Does Hypertension Affect the Recovery of Renal Functions after Reversal of Unilateral Ureteric Obstruction?
Abstract
1. Introduction
2. Results
2.1. Glomerular and Tubular Functions
2.2. Urinary Albumin/Creatinine Ratio
2.3. Gene Expression Analysis Results
2.4. Western Blot Analysis
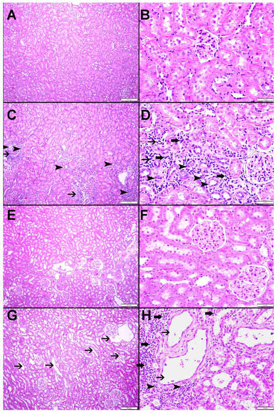
2.5. Histological Studies
3. Discussion
4. Materials and Methods
4.1. Experimental Groups
4.2. Ureteral Occlusion and Reversal
4.3. Surgical Procedure in the Terminal Experiment
4.4. Experimental Protocol and Assays
4.5. Urine Collection and Measurement of Albumin/Creatinine Ratio
4.6. Gene Expression Analysis
4.7. Western Blot Analysis
4.8. Histological Studies
4.9. Statistical Analysis
Author Contributions
Funding
Institutional Review Board Statement
Data Availability Statement
Conflicts of Interest
References
- Bander, S.J.; Buerkert, J.E.; Martin, D.; Klahr, S. Long-term effects of 24-hr unilateral ureteral obstruction on renal function in the rat. Kidney Int. 1985, 28, 614–620. [Google Scholar] [CrossRef]
- Chevalier, R.L. Pathogenesis of renal injury in obstructive uropathy. Curr. Opin. Pediatr. 2006, 18, 153–160. [Google Scholar] [CrossRef] [PubMed]
- Hammad, F.T.; Lubbad, L. Does curcumin protect against renal dysfunction following reversible unilateral ureteric obstruction in the rat? Eur. Surg. Res. 2011, 46, 188–193. [Google Scholar] [CrossRef] [PubMed]
- Hammad, F.T.; Wheatley, A.M.; Davis, G. Long-term renal effects of unilateral ureteral obstruction and the role of endothelin. Kidney Int. 2000, 58, 242–250. [Google Scholar] [CrossRef]
- Klahr, S. Pathophysiology of obstructive nephropathy. Kidney Int. 1983, 23, 414–426. [Google Scholar] [CrossRef] [PubMed]
- Klahr, S.; Harris, K.; Purkerson, M.L. Effects of obstruction on renal functions. Pediatr. Nephrol. 1988, 2, 34–42. [Google Scholar] [CrossRef] [PubMed]
- Mills, K.T.; Stefanescu, A.; He, J. The global epidemiology of hypertension. Nat. Rev. Nephrol. 2020, 16, 223–237. [Google Scholar] [CrossRef] [PubMed]
- Zhou, B.; Perel, P.; Mensah, G.A.; Ezzati, M. Global epidemiology, health burden and effective interventions for elevated blood pressure and hypertension. Nat. Rev. Cardiol. 2021, 18, 785–802. [Google Scholar] [CrossRef]
- Folkow, B.; Göthberg, G.; Lundin, S.; Ricksten, S.E. Structural “resetting” of the renal vascular bed in spontaneously hypertensive rats (SHR). Acta Physiol. Scand. 1977, 100, 270–272. [Google Scholar] [CrossRef]
- Mennuni, S.; Rubattu, S.; Pierelli, G.; Tocci, G.; Fofi, C.; Volpe, M. Hypertension and kidneys: Unraveling complex molecular mechanisms underlying hypertensive renal damage. J. Hum. Hypertens. 2014, 28, 74–79. [Google Scholar] [CrossRef]
- Ponnuchamy, B.; Khalil, R.A. Cellular mediators of renal vascular dysfunction in hypertension. Am. J. Physiol. Regul. Integr. Comp. Physiol. 2009, 296, R1001–R1018. [Google Scholar] [CrossRef]
- Segura, J.; Campo, C.; Gil, P.; Roldán, C.; Vigil, L.; Rodicio, J.L.; Ruilope, L.M. Development of chronic kidney disease and cardiovascular prognosis in essential hypertensive patients. J. Am. Soc. Nephrol. 2004, 15, 1616–1622. [Google Scholar] [CrossRef] [PubMed]
- Carlström, M.; Wåhlin, N.; Skøtt, O.; Persson, A.E. Relief of chronic partial ureteral obstruction attenuates salt-sensitive hypertension in rats. Acta Physiol. 2007, 189, 67–75. [Google Scholar] [CrossRef] [PubMed]
- Inada, Y.; Terashita, Z.; Shibouta, Y.; Nishikawa, K.; Shino, A.; Kikuchi, S.; Shimamoto, K. Acceleration of hypotension and development of stroke in the spontaneously hypertensive rat by unilateral ureteral obstruction. Clin. Exp. Hypertens. 1980, 2, 139–152. [Google Scholar] [CrossRef]
- Inada, Y.; Terashita, Z.; Shibouta, Y.; Shimakawa, H.; Nishikawa, K.; Kikuchi, S.; Shimamoto, K. Facilitated hypertension and development of stroke in the spontaneously hypertensive rat by a unilateral ureteral obstruction. Jpn. Heart J. 1979, 20, 711. [Google Scholar] [CrossRef][Green Version]
- Lucarelli, G.; Ditonno, P.; Bettocchi, C.; Grandaliano, G.; Gesualdo, L.; Selvaggi, F.P.; Battaglia, M. Delayed relief of ureteral obstruction is implicated in the long-term development of renal damage and arterial hypertension in patients with unilateral ureteral injury. J. Urol. 2013, 189, 960–965. [Google Scholar] [CrossRef]
- Zhou, X.; Fukuda, N.; Matsuda, H.; Endo, M.; Wang, X.; Saito, K.; Ueno, T.; Matsumoto, T.; Matsumoto, K.; Soma, M.; et al. Complement 3 activates the renal renin-angiotensin system by induction of epithelial-to-mesenchymal transition of the nephrotubulus in mice. Am. J. Physiol. Ren. Physiol. 2013, 305, F957–F967. [Google Scholar] [CrossRef] [PubMed]
- Hammad, F.T.; Lubbad, L.; Al-Salam, S.; Yasin, J.; Meeran, M.F.N.; Ojha, S.; Hammad, W.F. The Effect of Hypertension on the Recovery of Renal Dysfunction following Reversal of Unilateral Ureteral Obstruction in the Rat. Int. J. Mol. Sci. 2023, 24, 7365. [Google Scholar] [CrossRef]
- Ballantyne, F.C.; Gibbons, J.; O’Reilly, D.S. Urine albumin should replace total protein for the assessment of glomerular proteinuria. Ann. Clin. Biochem. 1993, 30, 101–103. [Google Scholar] [CrossRef] [PubMed]
- Levey, A.S.; Becker, C.; Inker, L.A. Glomerular filtration rate and albuminuria for detection and staging of acute and chronic kidney disease in adults: A systematic review. JAMA 2015, 313, 837–846. [Google Scholar] [CrossRef] [PubMed]
- Newman, D.J.; Thakkar, H.; Medcalf, E.A.; Gray, M.R.; Price, C.P. Use of urine albumin measurement as a replacement for total protein. Clin. Nephrol. 1995, 43, 104–109. [Google Scholar]
- Power, R.E.; Doyle, B.T.; Higgins, D.; Brady, H.R.; Fitzpatrick, J.M.; Watson, R.W. Mechanical deformation induced apoptosis in human proximal renal tubular epithelial cells is caspase dependent. J. Urol. 2004, 171, 457–461. [Google Scholar] [CrossRef]
- Ricardo, S.D.; Ding, G.; Eufemio, M.; Diamond, J.R. Antioxidant expression in experimental hydronephrosis: Role of mechanical stretch and growth factors. Am. J. Physiol. 1997, 272, F789–F798. [Google Scholar] [CrossRef]
- Khan, S.; Cleveland, R.P.; Koch, C.J.; Schelling, J.R. Hypoxia induces renal tubular epithelial cell apoptosis in chronic renal disease. Lab. Investig. 1999, 79, 1089–1099. [Google Scholar] [PubMed]
- Olbricht, C.J.; Cannon, J.K.; Tisher, C.C. Cathepsin B and L in nephron segments of rats with puromycin aminonucleoside nephrosis. Kidney Int. 1987, 32, 354–361. [Google Scholar] [CrossRef]
- Lim, A.I.; Tang, S.C.; Lai, K.N.; Leung, J.C. Kidney injury molecule-1: More than just an injury marker of tubular epithelial cells? J. Cell. Physiol. 2013, 228, 917–924. [Google Scholar] [CrossRef] [PubMed]
- Mishra, J.; Ma, Q.; Prada, A.; Mitsnefes, M.; Zahedi, K.; Yang, J.; Barasch, J.; Devarajan, P. Identification of neutrophil gelatinase-associated lipocalin as a novel early urinary biomarker for ischemic renal injury. J. Am. Soc. Nephrol. 2003, 14, 2534–2543. [Google Scholar] [CrossRef]
- Schelling, J.R. Tubular atrophy in the pathogenesis of chronic kidney disease progression. Pediatr. Nephrol. 2016, 31, 693–706. [Google Scholar] [CrossRef] [PubMed]
- Berecek, K.H.; Schwertschlag, U.; Gross, F. Alterations in renal vascular resistance and reactivity in spontaneous hypertension of rats. Am. J. Physiol. 1980, 238, H287–H293. [Google Scholar] [CrossRef] [PubMed]
- Sorensen, C.M.; Leyssac, P.P.; Skott, O.; Holstein-Rathlou, N.H. NO mediates downregulation of RBF after a prolonged reduction of renal perfusion pressure in SHR. Am. J. Physiol. Regul. Integr. Comp. Physiol. 2003, 285, R329–R338. [Google Scholar] [CrossRef][Green Version]
- Sorokin, I.; Mamoulakis, C.; Miyazawa, K.; Rodgers, A.; Talati, J.; Lotan, Y. Epidemiology of stone disease across the world. World J. Urol. 2017, 35, 1301–1320. [Google Scholar] [CrossRef]
- Flammia, R.S.; Tufano, A.; Proietti, F.; Gerolimetto, C.; De Nunzio, C.; Franco, G.; Leonardo, C. Renal surgery for kidney cancer: Is preoperative proteinuria a predictor of functional and survival outcomes after surgery? A systematic review of the literature. Minerva Urol. Nephrol. 2022, 74, 255–264. [Google Scholar] [CrossRef]
- Washino, S.; Hosohata, K.; Miyagawa, T. Roles Played by Biomarkers of Kidney Injury in Patients with Upper Urinary Tract Obstruction. Int. J. Mol. Sci. 2020, 21, 5490. [Google Scholar] [CrossRef]
- H’Doubler, P.B., Jr.; Peterson, M.; Shek, W.; Auchincloss, H.; Abbott, W.M.; Orkin, R.W. Spontaneously hypertensive and Wistar Kyoto rats are genetically disparate. Lab. Anim. Sci. 1991, 41, 471–473. [Google Scholar]
- Hammad, F.T.; Lubbad, L. The effect of aliskiren on the renal dysfunction following unilateral ureteral obstruction in the rat. Int. J. Physiol. Pathophysiol. Pharmacol. 2016, 8, 70–77. [Google Scholar] [PubMed]
- Kim, S.; Kim, S.J.; Yoon, H.E.; Chung, S.; Choi, B.S.; Park, C.W.; Shin, S.J. Fimasartan, a Novel Angiotensin-Receptor Blocker, Protects against Renal Inflammation and Fibrosis in Mice with Unilateral Ureteral Obstruction: The Possible Role of Nrf2. Int. J. Med. Sci. 2015, 12, 891–904. [Google Scholar] [CrossRef] [PubMed]
- Pimentel, J.L., Jr.; Martinez-Maldonado, M.; Wilcox, J.N.; Wang, S.; Luo, C. Regulation of renin-angiotensin system in unilateral ureteral obstruction. Kidney Int. 1993, 44, 390–400. [Google Scholar] [CrossRef] [PubMed]
- Ikenaga, H.; Suzuki, H.; Ishii, N.; Itoh, H.; Saruta, T. Role of NO on pressure-natriuresis in Wistar-Kyoto and spontaneously hypertensive rats. Kidney Int. 1993, 43, 205–211. [Google Scholar] [CrossRef] [PubMed]
- Khan, A.I.; Kato, J.; Kitamura, K.; Kangawa, K.; Eto, T. Hypotensive effect of chronically infused adrenomedullin in conscious Wistar-Kyoto and spontaneously hypertensive rats. Clin. Exp. Pharmacol. Physiol. 1997, 24, 139–142. [Google Scholar] [CrossRef] [PubMed]
- Miyauchi, T.; Ishikawa, T.; Tomobe, Y.; Yanagisawa, M.; Kimura, S.; Sugishita, Y.; Ito, I.; Goto, K.; Masaki, T. Characteristics of pressor response to endothelin in spontaneously hypertensive and Wistar-Kyoto rats. Hypertension 1989, 14, 427–434. [Google Scholar] [CrossRef] [PubMed]
- Yamamoto, J. Blood pressure and metabolic effects of streptozotocin in Wistar-Kyoto and spontaneously hypertensive rats. Clin. Exp. Hypertens. Part A Theory Pract. 1988, 10, 1065–1083. [Google Scholar] [CrossRef]
- Hammad, F.T.; Salam, S.A.; Nemmar, A.; Ali, M.; Lubbad, L. The Effect of Arabic Gum on Renal Function in Reversible Unilateral Ureteric Obstruction. Biomolecules 2019, 9, 25. [Google Scholar] [CrossRef]
- Hammad, F.T.; Lubbad, L. The effect of diclofenac sodium on renal function in reversible unilateral ureteric obstruction. Urol. Res. 2011, 39, 351–356. [Google Scholar] [CrossRef] [PubMed]






| RBF | GFR | FENa | |||||||
|---|---|---|---|---|---|---|---|---|---|
| NOK | POK | % Diff. | NOK | POK | % Diff. | NOK | POK | % Diff. | |
| G-NTR | 6.97 ± 0.63 | 6.21 ± 0.62 | −12 ± 9 | 1.18 ± 0.12 | 1.04 ± 0.17 | −9 ± 6 | 0.012 ± 0.002 | 0.011 ± 0.001 | 1 ± 14 |
| G-SHR | 4.19 ± 0.49 * | 3.96 ± 0.52 | −7 ± 7 | 0.51 ± 0.08 * | 0.46 ± 0.08 | −10 ± 7 | 0.025 ± 0.004 * | 0.031 ± 0.005 | 25 ± 11 |
| Kim-1 (NM_173149.2) | Forward | CTCACACTCAGATCATCTTCTC |
| Reverse | CCGCTTGGTGGTTTGCTAC | |
| Probe | FAM-CTCGAGTGACAAGCCCGTAGCC-BHQ-1 | |
| NGAL (Lcn2) (NM_130741.1) | Forward | CTGTTCCCACCGACCAATGC |
| Reverse | CCACTGCACATCCCAGTCA | |
| Probe | FAM-TGACAACTGAACAGACGGTGAGCG-BHQ-1 | |
| p53 (NM_030989.3) | Forward | CGAGATGTTCCGAGAGCTGAATG |
| Reverse | GTCTTCGGGTAGCTGGAGTG | |
| Probe | FAM-CCTTGGAATTAAAGGATGCCCGTGC-BHQ-1 | |
| PPIA (NM_017101.1) | Forward | GCGTCTGCTTCGAGCTGT |
| Reverse | CACCCTGGCACATGAATCC |
Disclaimer/Publisher’s Note: The statements, opinions and data contained in all publications are solely those of the individual author(s) and contributor(s) and not of MDPI and/or the editor(s). MDPI and/or the editor(s) disclaim responsibility for any injury to people or property resulting from any ideas, methods, instructions or products referred to in the content. |
© 2024 by the authors. Licensee MDPI, Basel, Switzerland. This article is an open access article distributed under the terms and conditions of the Creative Commons Attribution (CC BY) license (https://creativecommons.org/licenses/by/4.0/).
Share and Cite
Hammad, F.T.; Lubbad, L.; Al-Salam, S.; Hammad, W.F.; Yasin, J.; Meeran, M.F.N.; Ojha, S.; Arunachalam, S.; Hammad, A.F. Does Hypertension Affect the Recovery of Renal Functions after Reversal of Unilateral Ureteric Obstruction? Int. J. Mol. Sci. 2024, 25, 1540. https://doi.org/10.3390/ijms25031540
Hammad FT, Lubbad L, Al-Salam S, Hammad WF, Yasin J, Meeran MFN, Ojha S, Arunachalam S, Hammad AF. Does Hypertension Affect the Recovery of Renal Functions after Reversal of Unilateral Ureteric Obstruction? International Journal of Molecular Sciences. 2024; 25(3):1540. https://doi.org/10.3390/ijms25031540
Chicago/Turabian StyleHammad, Fayez T., Loay Lubbad, Suhail Al-Salam, Waheed F. Hammad, Javed Yasin, Mohamed Fizur Nagoor Meeran, Shreesh Ojha, Seenipandi Arunachalam, and Awwab F. Hammad. 2024. "Does Hypertension Affect the Recovery of Renal Functions after Reversal of Unilateral Ureteric Obstruction?" International Journal of Molecular Sciences 25, no. 3: 1540. https://doi.org/10.3390/ijms25031540
APA StyleHammad, F. T., Lubbad, L., Al-Salam, S., Hammad, W. F., Yasin, J., Meeran, M. F. N., Ojha, S., Arunachalam, S., & Hammad, A. F. (2024). Does Hypertension Affect the Recovery of Renal Functions after Reversal of Unilateral Ureteric Obstruction? International Journal of Molecular Sciences, 25(3), 1540. https://doi.org/10.3390/ijms25031540

