The Expression of Alamandine Receptor MrgD in Clear Cell Renal Cell Carcinoma Is Associated with a Worse Prognosis and Unfavorable Response to Antiangiogenic Therapy
Abstract
1. Introduction
2. Results
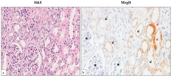
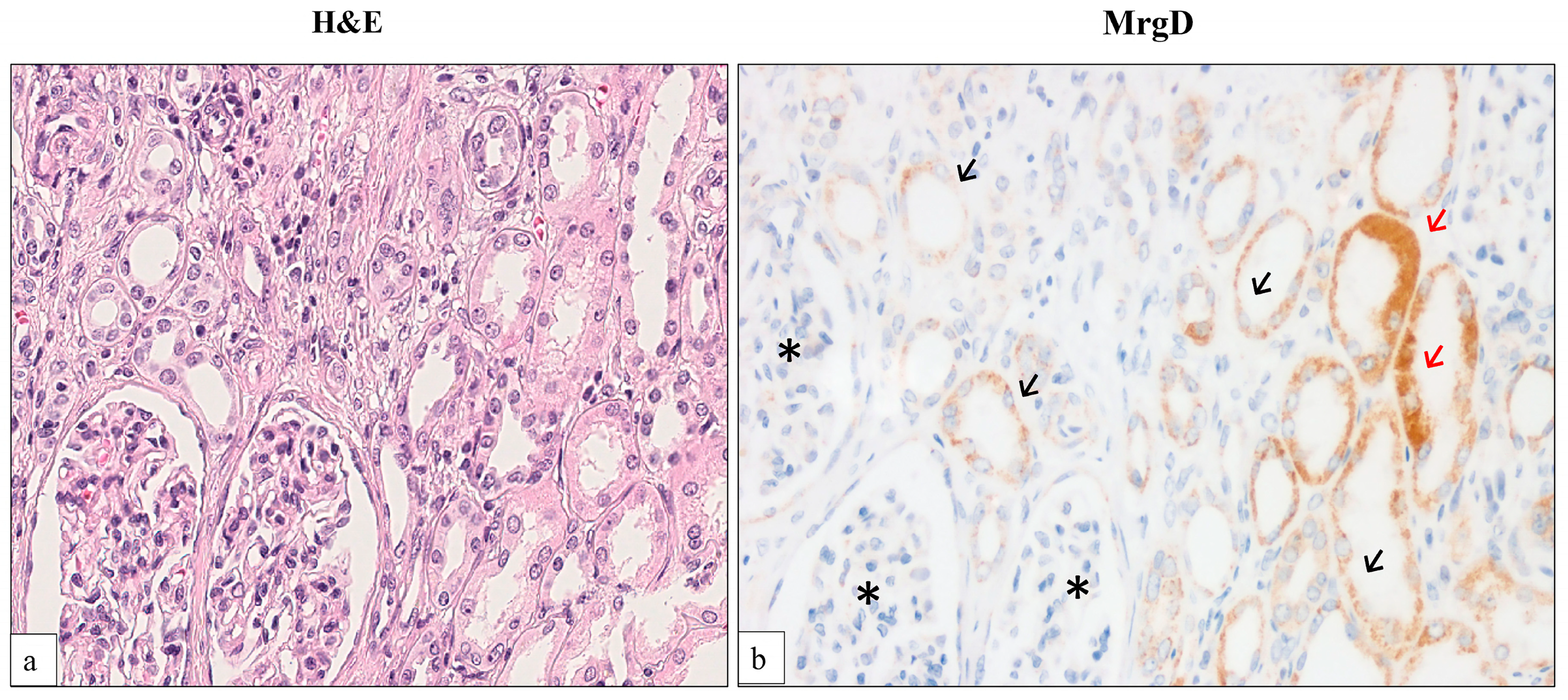
2.1. The Expression of the MrgD Receptor Exhibits Variability Based on the Specific Subtype of Renal Tumor
2.2. The Expression of MrgD in CCRCC Varies Depending on the Tumor’s Aggressiveness
2.2.1. MrgD Expression Is Higher in High-Grade CCRCCs
2.2.2. MrgD Staining Is More Intense in Large (>7 cm) Tumors
2.2.3. MrgD Expression Is Higher in Non-Organ-Confined CCRCCs
2.2.4. MrgD Expression Is Significantly Higher in Metastatic CCRCCs
2.2.5. MrgD Expression Is Associated with Worse Cancer-Specific Survival (CSS)
2.2.6. MrgD Expression Is Associated with Worse Response to Antiangiogenic Therapy
3. Discussion
4. Materials and Methods
4.1. Patients
4.2. MASS and RECIST Response Criteria for Patients with Metastatic CCRCC
4.3. Immunohistochemistry
4.4. Statistical Analysis
Supplementary Materials
Author Contributions
Funding
Institutional Review Board Statement
Informed Consent Statement
Data Availability Statement
Acknowledgments
Conflicts of Interest
References
- Sung, H.; Ferlay, J.; Siegel, R.L.; Laversanne, M.; Soerjomataram, I.; Jemal, A.; Bray, F. Global cancer statistics 2020: GLOBOCAN estimates of incidence and mortality worldwide for 36 cancers in 185 countries. CA Cancer J. Clin. 2021, 71, 209–249. [Google Scholar] [CrossRef]
- Siegel, R.L.; Miller, K.D.; Wagle, N.S.; Jemal, A. Cancer statistics, 2023. CA Cancer J. Clin. 2023, 73, 17–48. [Google Scholar] [CrossRef]
- Padala, S.A.; Barsouk, A.; Thandra, K.C.; Saginala, K.; Mohammed, A.; Vakiti, A.; Rawla, P.; Barsouk, A. Epidemiology of renal cell carcinoma. World J. Oncol. 2020, 11, 79–87. [Google Scholar] [CrossRef] [PubMed]
- MacLennan, G.T.; Cheng, L. Neoplasms of the kidney. In Urologic Surgical Pathology, 3rd ed.; Bostwick, D.G., Cheng, L., Eds.; Saunders: Philadelphia, PA, USA, 2014; pp. 76–156. [Google Scholar]
- Escudier, B.; Porta, C.; Schmidinger, M.; Rioux-Leclercq, N.; Bex, A.; Khoo, V.; Grünwald, V.; Gillessen, S.; Horwich, A.; ESMO Guidelines Committee. Renal cell carcinoma: ESMO Clinical Practice Guidelines for diagnosis, treatment and follow-up. Ann. Oncol. 2019, 30, 706–720. [Google Scholar] [CrossRef] [PubMed]
- Turajlic, S.; Xu, H.; Litchfield, K.; Rowan, A.; Horswell, S.; Chambers, T.; O’Brien, T.; Lopez, J.I.; Watkins, T.B.K.; Nicol, D.; et al. TRACERx renal consortium. Deterministic evolutionary trajectories influence primary tumor growth: TRACERx Renal. Cell 2018, 173, 595–610. [Google Scholar] [CrossRef] [PubMed]
- Reese, S.; Calderon, L.; Khaleel, S.; Hakimi, A.A. Current and future biomarkers in the management of renal cell carcinoma. Urol. Clin. N. Am. 2023, 50, 151–159. [Google Scholar] [CrossRef]
- Sobczuk, P.; Szczylik, C.; Porta, C.; Czarnecka, A.M. Renin angiotensin system deregulation as renal cancer risk factor. Oncol. Lett. 2017, 14, 5059–5068. [Google Scholar] [CrossRef] [PubMed]
- Nuzzo, P.V.; Adib, E.; Weise, N.; Curran, C.; Stewart, T.; Freeman, D.; Nassar, A.H.; Abou Alaiwi, S.; Bakouny, Z.; McGregor, B.A.; et al. Impact of renin-angiotensin system inhibitors on outcomes in patients with metastatic renal cell carcinoma treated with immune-checkpoint inhibitors. Clin. Genitourin. Cancer 2022, 20, 301–306. [Google Scholar] [CrossRef] [PubMed]
- Hassani, B.; Attar, Z.; Firouzabadi, N. The renin-angiotensin-aldosterone system (RAAS) signaling pathways and cancer: Foes versus allies. Cancer Cell Int. 2023, 23, 254. [Google Scholar] [CrossRef]
- Giani, J.F.; Veiras, L.C.; Shen, J.Z.Y.; Bernstein, E.A.; Cao, D.; Okwan-Duodu, D.; Khan, Z.; Gonzalez-Villalobos, R.A.; Bernstein, K.E. Novel roles of the renal angiotensin-converting enzyme. Mol. Cell. Endocrinol. 2021, 529, 111257. [Google Scholar] [CrossRef]
- Wegman-Ostrosky, T.; Soto-Reyes, E.; Vidal-Millán, S.; Sánchez-Corona, J. The renin-angiotensin system meets the hallmarks of cancer. J. Renin Angiotensin Aldosterone Syst. 2015, 16, 227–233. [Google Scholar] [CrossRef]
- Malek, V.; Suryavanshi, S.V.; Sharma, N.; Kulkarni, Y.A.; Mulay, S.R.; Gaikwad, A.B. Potential of renin-angiotensin-aldosterone system modulations in diabetic kidney disease: Old players to new hope! Rev. Physiol. Biochem. Pharmacol. 2021, 179, 31–71. [Google Scholar]
- Dolley-Hitze, T.; Jouan, F.; Martin, B.; Mottier, S.; Edeline, J.; Moranne, O.; Le Pogamp, P.; Belaud-Rotureau, M.A.; Patard, J.J.; Rioux-Leclercq, N.; et al. Angiotensin-2 receptors (AT1-R and AT2-R), new prognostic factors for renal clear-cell carcinoma? Br. J. Cancer 2010, 103, 1698–1705. [Google Scholar] [CrossRef]
- Keizman, D.; Huang, P.; Eisenberger, M.A.; Pili, R.; Kim, J.J.; Antonarakis, E.S.; Hammers, H.; Carducci, M.A. Angiotensin system inhibitors and outcome of sunitinib treatment in patients with metastatic renal cell carcinoma: A retrospective examination. Eur. J. Cancer 2011, 47, 1955–1961. [Google Scholar] [CrossRef]
- McKay, R.R.; Rodriguez, G.E.; Lin, X.; Kaymakcalan, M.D.; Hamnvik, O.P.; Sabbisetti, V.S.; Bhatt, R.S.; Simantov, R.; Choueiri, T.K. Angiotensin system inhibitors and survival outcomes in patients with metastatic renal cell carcinoma. Clin. Cancer Res. 2015, 21, 2471–2479. [Google Scholar] [CrossRef] [PubMed]
- Izzedine, H.; Derosa, L.; Le Teuff, G.; Albiges, L.; Escudier, B. Hypertension and angiotensin system inhibitors: Impact on outcome in sunitinib-treated patients for metastatic renal cell carcinoma. Ann. Oncol. 2015, 26, 1128–1133. [Google Scholar] [CrossRef] [PubMed]
- Eskelinen, T.; Veitonmäki, T.; Kotsar, A.; Tammela, T.L.J.; Pöyhönen, A.; Murtola, T.J. Improved renal cancer prognosis among users of drugs targeting renin-angiotensin system. Cancer Causes Control 2022, 33, 313–320. [Google Scholar] [CrossRef]
- Lautner, R.Q.; Villela, D.C.; Fraga-Silva, R.A.; Silva, N.; Verano-Braga, T.; Costa-Fraga, F.; Jankowski, J.; Jankowski, V.; Sousa, F.; Alzamora, A.; et al. Discovery and characterization of alamandine: A novel component of the renin-angiotensin system. Circ. Res. 2013, 112, 1104–1111. [Google Scholar] [CrossRef] [PubMed]
- Schleifenbaum, J. Alamandine and its receptor MrgD pair up to join the protective arm of the renin-angiotensin system. Front. Med. 2019, 6, 107. [Google Scholar] [CrossRef]
- Wang, W.; Zhang, Y.; Huang, W.; Yuan, Y.; Hong, Q.; Xie, Z.; Li, L.; Chen, Y.; Li, X.; Meng, Y. Alamandine/MrgD axis prevents TGF-β1-mediated fibroblast activation via regulation of aerobic glycolysis and mitophagy. J. Transl. Med. 2023, 21, 24. [Google Scholar] [CrossRef] [PubMed]
- Nishimura, S.; Uno, M.; Kaneta, Y.; Fukuchi, K.; Nishigohri, H.; Hasegawa, J.; Komori, H.; Takeda, S.; Enomoto, K.; Nara, F.; et al. MRGD, a MAS-related G-protein coupled receptor, promotes tumorigenesis and is highly expressed in lung cancer. PLoS ONE 2012, 7, e38618. [Google Scholar] [CrossRef]
- Li, Z.; Xie, Y.; Zhong, T.; Zhang, X.; Dang, Y.; Gan, T.; Chen, G. Expression and clinical contribution of MRGD mRNA in non-small cell lung cancers. J. BUON 2015, 20, 1101–1106. [Google Scholar]
- da Silva, F.A.; Rodrigues-Ribeiro, L.; Melo-Braga, M.N.; Passos-Silva, D.G.; Sampaio, W.O.; Gorshkov, V.; Kjeldsen, F.; Verano-Braga, T.; Santos, R.A.S. Phosphoproteomic studies of alamandine signaling in CHO-MrgD and human pancreatic carcinoma cells: An antiproliferative effect is unveiled. Proteomics 2022, 22, e2100255. [Google Scholar] [CrossRef]
- Larrinaga, G.; Pérez, I.; Sanz, B.; Blanco, L.; López, J.I.; Cándenas, M.L.; Pinto, F.M.; Gil, J.; Irazusta, J.; Varona, A. Angiotensin-converting enzymes (ACE and ACE2) are downregulated in renal tumors. Regul. Pept. 2010, 165, 218–223. [Google Scholar] [CrossRef] [PubMed]
- Errarte, P.; Beitia, M.; Perez, I.; Manterola, L.; Lawrie, C.H.; Solano-Iturri, J.D.; Calvete-Candenas, J.; Unda, M.; López, J.I.; Larrinaga, G. Expression and activity of angiotensin-regulating enzymes is associated with prognostic outcome in clear cell renal cell carcinoma patients. PLoS ONE 2017, 12, e0181711. [Google Scholar] [CrossRef] [PubMed]
- Solano-Iturri, J.D.; Echevarría, E.; Unda, M.; Loizaga-Iriarte, A.; Pérez-Fernández, A.; Angulo, J.C.; López, J.I.; Larrinaga, G. Clinical Implications of (Pro)renin Receptor (PRR) Expression in Renal Tumours. Diagnostics 2021, 11, 272. [Google Scholar] [CrossRef]
- Mourão, T.C.; Bezerra, S.M.; de Almeida E Paula, F.; Rocha, M.M.; Santos, V.E.; Brazão Junior, E.S.; Abreu, D.; da Costa, W.H.; Zequi, S.C. Prognostic role of the immunohistochemical expression of proteins related to the renin-angiotensin system pathway in nonmetastatic clear cell renal cell carcinoma. Urol. Oncol. 2023, 41, 359.e1–359.e13. [Google Scholar] [CrossRef] [PubMed]
- Dong, X.; Han, S.; Zylka, M.J.; Simon, M.I.; Anderson, D.J. A diverse family of GPCRs expressed in specific subsets of nociceptive sensory neurons. Cell 2001, 106, 619–632. [Google Scholar] [CrossRef]
- Lasorsa, F.; di Meo, N.A.; Rutigliano, M.; Milella, M.; Ferro, M.; Pandolfo, S.D.; Crocetto, F.; Tataru, O.S.; Autorino, R.; Battaglia, M.; et al. Immune Checkpoint Inhibitors in Renal Cell Carcinoma: Molecular Basis and Rationale for Their Use in Clinical Practice. Biomedicines 2023, 11, 1071. [Google Scholar] [CrossRef]
- Pinter, M.; Jain, R.K. Targeting the renin-angiotensin system to improve cancer treatment: Implications for immunotherapy. Sci. Transl. Med. 2017, 9, eaan5616. [Google Scholar] [CrossRef]
- Nakamura, K.; Yaguchi, T.; Ohmura, G.; Kobayashi, A.; Kawamura, N.; Iwata, T.; Kiniwa, Y.; Okuyama, R.; Kawakami, Y. Involvement of local renin-angiotensin system in immunosuppression of tumor microenvironment. Cancer Sci. 2018, 109, 54–64. [Google Scholar] [CrossRef]
- Nakamura, K.; Okuyama, R.; Kawakami, Y. Renin-angiotensin system in the tumor microenvironment. Adv. Exp. Med. Biol. 2020, 1277, 105–114. [Google Scholar] [PubMed]
- Lasorsa, F.; Rutigliano, M.; Milella, M.; Ferro, M.; Pandolfo, S.D.; Crocetto, F.; Tataru, O.S.; Autorino, R.; Battaglia, M.; Ditonno, P.; et al. Cellular and Molecular Players in the Tumor Microenvironment of Renal Cell Carcinoma. J. Clin. Med. 2023, 12, 3888. [Google Scholar] [CrossRef] [PubMed]
- Khanna, P.; Soh, H.J.; Chen, C.H.; Saxena, R.; Amin, S.; Naughton, M.; Joslin, P.N.; Moore, A.; Bakouny, Z.; O’Callaghan, C.; et al. ACE2 abrogates tumor resistance to VEGFR inhibitors suggesting angiotensin-(1–7) as a therapy for clear cell renal cell carcinoma. Sci. Transl. Med. 2021, 13, eabc0170. [Google Scholar] [CrossRef] [PubMed]
- Zheng, S.; Yang, Y.; Song, R.; Yang, X.; Liu, H.; Ma, Q.; Yang, L.; Meng, R.; Tao, T.; Wang, S.; et al. Ang-(1–7) promotes the migration and invasion of human renal cell carcinoma cells via Mas-mediated AKT signaling pathway. Biochem. Biophys. Res. Commun. 2015, 460, 333–340. [Google Scholar] [CrossRef] [PubMed]
- Sobczuk, P.; Trzcinska-Danielewicz, J.; Koperski, L.; Girstun, A.; Cudnoch-Jedrzejewska, A. Angiotensin-(1–7) can promote cell migration and tumor growth of clear cell renal cell carcinoma. J. Physiol. Pharmacol. 2022, 73, 715–724. [Google Scholar]
- Huang, Y.; Li, Y.; Lou, A.; Wang, G.Z.; Hu, Y.; Zhang, Y.; Huang, W.; Wang, J.; Li, Y.; Zhu, X.; et al. Alamandine attenuates hepatic fibrosis by regulating autophagy induced by NOX4-dependent ROS. Clin. Sci. 2020, 134, 853–869. [Google Scholar] [CrossRef]
- Liu, Q.; Zheng, B.; Zhang, Y.; Huang, W.; Hong, Q.; Meng, Y. Alamandine via MrgD receptor attenuates pulmonary fibrosis via NOX4 and autophagy pathway. Can. J. Physiol. Pharmacol. 2021, 99, 885–893. [Google Scholar] [CrossRef]
- Manini, C.; López-Fernández, E.; López, J.I. Towards personalized sampling in clear cell renal cell carcinomas. Cancers 2022, 14, 3381. [Google Scholar] [CrossRef]
- Uno, M.; Nishimura, S.; Fukuchi, K.; Kaneta, Y.; Oda, Y.; Komori, H.; Takeda, S.; Haga, T.; Agatsuma, T.; Nara, F. Identification of physiologically active substances as novel ligands for MRGPRD. J. BioMed Biotechnol. 2012, 2012, 816159. [Google Scholar] [CrossRef]
- Arora, R.; Van Theemsche, K.M.; Van Remoortel, S.; Snyders, D.J.; Labro, A.J.; Timmermans, J.P. Constitutive, basal, and β-alanine-mediated activation of the human Mas-related G protein-coupled receptor D induces release of the inflammatory cytokine IL-6 and is dependent on NF-κB signaling. Int. J. Mol. Sci. 2021, 22, 13254. [Google Scholar] [CrossRef] [PubMed]
- Smith, A.D.; Shah, S.N.; Rini, B.I.; Lieber, M.L.; Remer, E.M. Morphology, Attenuation, Size, and Structure (MASS) criteria: Assessing response and predicting clinical outcome in metastatic renal cell carcinoma on antiangiogenic targeted therapy. AJR Am. J. Roentgenol. 2010, 194, 1470–1478. [Google Scholar] [CrossRef] [PubMed]
- Krajewski, K.M.; Nishino, M.; Ramaiya, N.H.; Choueiri, T.K. RECIST 1.1 compared with RECIST 1.0 in patients with advanced renal cell carcinoma receiving vascular endothelial growth factor-targeted therapy. AJR Am. J. Roentgenol. 2015, 204, W282–W288. [Google Scholar] [CrossRef]
- The Human Protein Atlas. Available online: https://www.proteinatlas.org/ENSG00000172938-MRGPRD/pathology (accessed on 8 December 2023).
- Fedchenko, N.; Reifenrath, J. Different approaches for interpretation and reporting of immunohistochemistry analysis results in the bone tissue—A review. Diagn. Pathol. 2014, 29, 221. [Google Scholar] [CrossRef]







| Tumor Center | Tumor Front | ||||||||
|---|---|---|---|---|---|---|---|---|---|
| Cancer-Specific Survival | Variables | p | ExpB | Inf | Sup | p | ExpB | Inf | Sup |
| Multiple Cox regression | MrgD | 0.959 | 0.96 | 0.24 | 3.76 | 0.714 | 0.77 | 0.19 | 3.07 |
| Grade | 0.367 | 1.76 | 0.51 | 6.00 | 0.228 | 2.51 | 0.56 | 11.2 | |
| pT | 0.053 | 2.53 | 0.99 | 6.51 | 0.270 | 1.89 | 0.61 | 5.86 | |
| pN | 0.197 | 2.88 | 0.58 | 14.4 | 0.170 | 3.10 | 0.62 | 15.6 | |
| pM | 0.003 | 5.55 | 1.77 | 17.4 | 0.005 | 5.83 | 1.71 | 19.9 | |
| Final step of Wald method | pT | 0.028 | 2.82 | 1.12 | 7.10 | - | - | - | - |
| pN | 0.069 | 3.08 | 0.91 | 10.4 | - | - | - | - | |
| pM | 0.001 | 6.97 | 2.48 | 19.6 | 0.001 | 13.43 | 4.75 | 37.9 | |
| CCRCC Patients (n = 87) | Average (Range) |
|---|---|
| Age (range) | 61.7 (36–82) |
| Sex (male/female) | 60/27 |
| Follow-up (months) | 88.6 (2–132) |
| Survival (n) | (n) |
| Alive | 62 |
| Dead of disease | 20 |
| Dead by other causes | 5 |
| Diameter (n) | |
| ≤7 cm | 67 |
| >7 cm | 21 |
| WHO/ISUP grade (n) | |
| Low (G1–G2) | 47 |
| High (G3–G4) | 40 |
| Necrosis (n) | |
| No | 61 |
| Yes | 26 |
| Local invasion (pT) (n) | |
| Organ-confined (pT1–pT2) | 69 |
| Not confined (pT3–pT4) | 18 |
| Lymph node invasion (N) (n) | |
| No | 81 |
| Yes | 6 |
| Synchronous metastasis (M) (n) | |
| No | 77 |
| Yes | 10 |
Disclaimer/Publisher’s Note: The statements, opinions and data contained in all publications are solely those of the individual author(s) and contributor(s) and not of MDPI and/or the editor(s). MDPI and/or the editor(s) disclaim responsibility for any injury to people or property resulting from any ideas, methods, instructions or products referred to in the content. |
© 2024 by the authors. Licensee MDPI, Basel, Switzerland. This article is an open access article distributed under the terms and conditions of the Creative Commons Attribution (CC BY) license (https://creativecommons.org/licenses/by/4.0/).
Share and Cite
Larrinaga, G.; Valdivia, A.; Arrieta-Aguirre, I.; Solano-Iturri, J.D.; Ugalde-Olano, A.; Loizaga-Iriarte, A.; Santos-Martín, A.; Pérez-Fernández, A.; Angulo, J.C.; López, J.I. The Expression of Alamandine Receptor MrgD in Clear Cell Renal Cell Carcinoma Is Associated with a Worse Prognosis and Unfavorable Response to Antiangiogenic Therapy. Int. J. Mol. Sci. 2024, 25, 1499. https://doi.org/10.3390/ijms25031499
Larrinaga G, Valdivia A, Arrieta-Aguirre I, Solano-Iturri JD, Ugalde-Olano A, Loizaga-Iriarte A, Santos-Martín A, Pérez-Fernández A, Angulo JC, López JI. The Expression of Alamandine Receptor MrgD in Clear Cell Renal Cell Carcinoma Is Associated with a Worse Prognosis and Unfavorable Response to Antiangiogenic Therapy. International Journal of Molecular Sciences. 2024; 25(3):1499. https://doi.org/10.3390/ijms25031499
Chicago/Turabian StyleLarrinaga, Gorka, Asier Valdivia, Inés Arrieta-Aguirre, Jon Danel Solano-Iturri, Aitziber Ugalde-Olano, Ana Loizaga-Iriarte, Aida Santos-Martín, Amparo Pérez-Fernández, Javier C. Angulo, and José I. López. 2024. "The Expression of Alamandine Receptor MrgD in Clear Cell Renal Cell Carcinoma Is Associated with a Worse Prognosis and Unfavorable Response to Antiangiogenic Therapy" International Journal of Molecular Sciences 25, no. 3: 1499. https://doi.org/10.3390/ijms25031499
APA StyleLarrinaga, G., Valdivia, A., Arrieta-Aguirre, I., Solano-Iturri, J. D., Ugalde-Olano, A., Loizaga-Iriarte, A., Santos-Martín, A., Pérez-Fernández, A., Angulo, J. C., & López, J. I. (2024). The Expression of Alamandine Receptor MrgD in Clear Cell Renal Cell Carcinoma Is Associated with a Worse Prognosis and Unfavorable Response to Antiangiogenic Therapy. International Journal of Molecular Sciences, 25(3), 1499. https://doi.org/10.3390/ijms25031499

