Semaglutide Modulates Extracellular Matrix Production of LX-2 Cells via Exosomes and Improves Metabolic Dysfunction-Associated Steatotic Liver Disease (MASLD)
Abstract
1. Introduction
2. Results
2.1. Patient Characteristics
2.2. Characterization of Exosomes
2.3. Membrane Cell Composition (Lipidomic) after Treatment with Exosomes
2.4. Effect of Exosomes on Liver Cells Viability
2.5. Molecular Characterization of Gene Expression Involved in Liver Fibrosis
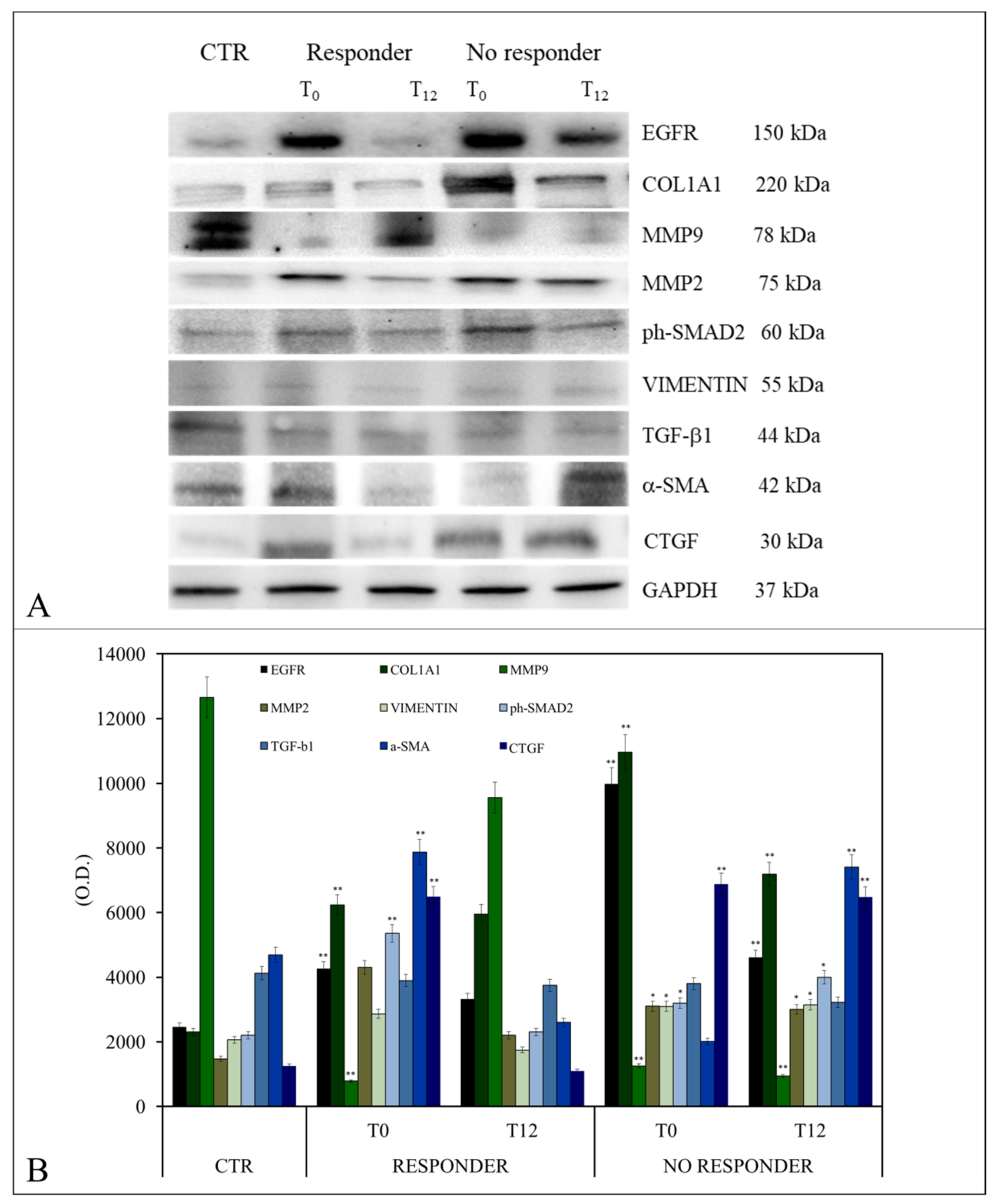
2.6. Expression of Proteins Involved in Liver Fibrosis in LX-2 Cells Treated with Exosomes
3. Discussion
4. Materials and Methods
4.1. Ethics
4.2. Examined Patients
4.3. Cell Culture
4.4. Exosome Extraction and Characterization
4.5. Fatty Acid Extraction, Purification, and Preparation of Fatty Acid Methyl Esters
4.6. Cell Viability Assay
4.7. RNA Extraction, cDNA Synthesis, and Digital Droplet PCR Analysis
4.8. Western Blotting Analysis
4.9. Immunofluorescence
4.10. Statistical Analysis
Supplementary Materials
Author Contributions
Funding
Institutional Review Board Statement
Informed Consent Statement
Data Availability Statement
Conflicts of Interest
References
- Rinella, M.E.; Lazarus, J.V.; Ratziu, V.; Francque, S.M.; Sanyal, A.J.; Kanwal, F.; Romero, D.; Abdelmalek, M.F.; Anstee, Q.M.; Arab, J.P.; et al. A multi-society Delphi consensus statement on new fatty liver disease nomenclature. Ann. Hepatol. 2023, 29, 101133. [Google Scholar] [CrossRef]
- Schuster, S.; Cabrera, D.; Arrese, M.; Feldstein, A.E. Triggering and resolution of inflammation in MASH. Nat. Rev. Gastroenterol. Hepatol. 2018, 15, 349–364. [Google Scholar] [CrossRef]
- Godoy-Matos, A.F.; Silva Júnior, W.S.; Valerio, C.M. NAFLD as a continuum: From obesity to metabolic syndrome and diabetes. Diabetol. Metab. Syndr. 2020, 12, 60. [Google Scholar] [CrossRef]
- Eslam, M.; Newsome, P.N.; Sarin, S.K.; Anstee, Q.M.; Targher, G.; Romero-Gomez, M.; Zelber-Sagi, S.; Wong, V.W.-S.; Dufour, J.-F.; Schattenberg, J.M.; et al. A new definition for metabolic dysfunction-associated fatty liver disease: An international expert consensus statement. J. Hepatol. 2020, 73, 202–209. [Google Scholar] [CrossRef]
- Quek, J.; Ng, C.H.; Tang, A.S.P.; Chew, N.; Chan, M.; Khoo, C.M.; Wei, C.P.; Chin, Y.H.; Tay, P.; Lim, G.; et al. Metabolic Associated Fatty Liver Disease Increases the Risk of Systemic Complications and Mortality. A Meta-Analysis and Systematic Review of 12 620 736 Individuals. Endocr. Pract. 2022, 28, 667–672. [Google Scholar] [CrossRef]
- Aroda, V.R.; Ahmann, A.; Cariou, B.; Chow, F.; Davies, M.J.; Jódar, E.; Mehta, R.; Woo, V.; Lingvay, I. Comparative Efficacy, Safety, and Cardiovascular Outcomes with Once-Weekly Subcutaneous Semaglutide in the Treatment of Type 2 Diabetes: Insights from the SUSTAIN 1-7 Trials. Diabetes Metab. 2019, 45, 409–418. [Google Scholar] [CrossRef]
- Elmaleh-Sachs, A.; Schwartz, J.L.; Bramante, C.T.; Nicklas, J.M.; Gudzune, K.A.; Jay, M. Obesity Management in Adults: A Review. JAMA 2023, 330, 2000–2015. [Google Scholar] [CrossRef] [PubMed]
- Capehorn, M.S.; Catarig, A.M.; Furberg, J.K.; Janez, A.; Price, H.C.; Tadayon, S.; Vergès, B.; Marre, M. Efficacy and Safety of Once-Weekly Semaglutide 1.0 mg vs Once-Daily Liraglutide 1.2 mg as Add-on to 1-3 Oral Antidiabetic Drugs in Subjects with Type 2 Diabetes (SUSTAIN 10). Diabetes Metab. 2020, 46, 100–109. [Google Scholar] [CrossRef] [PubMed]
- Husain, M.; Bain, S.C.; Jeppesen, O.K.; Lingvay, I.; Sørrig, R.; Treppendahl, M.B.; Vilsbøll, T. (SUSTAIN and PIONEER). Reduces Cardiovascular Events in Type 2 Diabetes across Varying Cardiovascular Risk. Diabetes Obes. Metab. 2020, 22, 442–451. [Google Scholar] [CrossRef] [PubMed]
- Volpe, S.; Lisco, G.; Racaniello, D.; Fanelli, M.; Colaianni, V.; Vozza, A.; Triggiani, V.; Sabbà, C.; Tortorella, C.; De Pergola, G.; et al. Once-Weekly Semaglutide Induces an Early Improvement in Body Composition in Patients with Type 2 Diabetes: A 26-Week Prospective Real-Life Study. Nutrients 2022, 14, 2414. [Google Scholar] [CrossRef] [PubMed]
- Zhang, Y.; Parajuli, K.R.; Fava, G.E.; Gupta, R.; Xu, W.; Nguyen, L.U.; Zakaria, A.F.; Fonseca, V.A.; Wang, H.; Mauvais-Jarvis, F.; et al. GLP-1 Receptor in Pancreatic α-Cells Regulates Glucagon Secretion in a Glucose-Dependent Bidirectional Manner. Diabetes 2018, 68, 34–44. [Google Scholar] [CrossRef]
- Nevola, R.; Epifani, R.; Imbriani, S.; Tortorella, G.; Aprea, C.; Galiero, R.; Rinaldi, L.; Marfella, R.; Sasso, F.C. GLP-1 Receptor Agonists in Non-Alcoholic Fatty Liver Disease: Current Evidence and Future Perspectives. Int. J. Mol. Sci. 2023, 24, 1703. [Google Scholar] [CrossRef]
- Scavo, M.P.; Depalo, N.; Rizzi, F.; Carrieri, L.; Serino, G.; Franco, I.; Bonfiglio, C.; Pesole, P.L.; Cozzolongo, R.; Gianuzzi, V.; et al. Exosomal FZD-7 Expression Is Modulated by Different Lifestyle Interventions in Patients with NAFLD. Nutrients 2022, 14, 1133. [Google Scholar] [CrossRef]
- Bi, Y.; Qiao, X.; Liu, Q.; Song, S.; Zhu, K.; Qiu, X.; Zhang, X.; Jia, C.; Wang, H.; Yang, Z.; et al. Systemic proteomics and miRNA profile analysis of exosomes derived from human pluripotent stem cells. Stem Cell Res. Ther. 2022, 13, 449. [Google Scholar] [CrossRef]
- Eguchi, A.; Kostallari, E.; Feldstein, A.E.; Shah, V.H. Extracellular vesicles, the liquid biopsy of the future. J. Hepatol. 2019, 70, 1292–1294. [Google Scholar] [CrossRef]
- Hirsova, P.; Ibrahim, S.H.; Krishnan, A.; Verma, V.K.; Bronk, S.F.; Werneburg, N.W.; Charlton, M.R.; Shah, V.H.; Malhi, H.; Gores, G.J. Lipid induced signaling causes release of inflammatory extracellular vesicles from hepatocytes. Gastroenterology 2016, 150, 956–967. [Google Scholar] [CrossRef]
- Volpe, S.; Lisco, G.; Fanelli, M.; Racaniello, D.; Colaianni, V.; Triggiani, D.; Donghia, R.; Crudele, L.; Rinaldi, R.; Sabbà, C.; et al. Once-Weekly Subcutaneous Semaglutide Improves Fatty Liver Disease in Patients with Type 2 Diabetes: A 52-Week Prospective Real-Life Study. Nutrients 2022, 14, 4673. [Google Scholar] [CrossRef]
- Wang, M.; Li, L.; Xu, Y.; Du, J.; Ling, C. Roles of hepatic stellate cells in NAFLD: From the perspective of inflammation and fibrosis. Front. Pharmacol. 2022, 13, 958428. [Google Scholar] [CrossRef]
- Niu, S.; Chen, S.; Chen, X.; Ren, Q.; Yue, L.; Pan, X.; Zhao, H.; Li, Z.; Chen, X. Semaglutide ameliorates metabolism and hepatic outcomes in an NAFLD mouse model. Front. Endocrinol. 2022, 13, 1046130. [Google Scholar] [CrossRef]
- Yokomori, H.; Ando, W. Spatial expression of glucagon-like peptide 1 receptor and caveolin-1 in hepatocytes with macrovesicular steatosis in non-alcoholic steatohepatitis. BMJ Open Gastroenterol. 2020, 7, e000370. [Google Scholar] [CrossRef]
- Pan, C.S.; Stanley, T.L. Effect of Weight Loss Medications on Hepatic Steatosis and Steatohepatitis: A Systematic Review. Front. Endocrinol. 2020, 11, 70. [Google Scholar] [CrossRef]
- Patel Chavez, C.; Cusi, K.; Kadiyala, S. The Emerging Role of Glucagon-like Peptide-1 Receptor Agonists for the Management of NAFLD. J. Clin. Endocrinol. Metab. 2022, 107, 29–38. [Google Scholar] [CrossRef] [PubMed]
- Carretero-Gómez, J.; Carrasco-Sánchez, F.J.; Fernández-Rodríguez, J.M.; Casado-Escribano, P.; Miramontes-González, J.P.; Seguí-Ripoll, J.M.; Ena, J.; Arévalo, J. Diabetes, Obesity, and Nutrition Working Group of the Spanish Society of Internal Medicine (SEMI). Effect of semaglutide on fatty liver disease biomarkers in patients with diabetes and obesity. Rev. Clin. Esp. 2023, 223, 134–143. [Google Scholar] [CrossRef]
- McLean, M.A.; Wong, C.K.; Campbell, J.E.; Hodson, D.J.; Trapp, S.; Drucker, D.J. Revisiting the Complexity of GLP-1 Action from Sites of Synthesis to Receptor Activation. Endocr. Rev. 2021, 42, 101–132. [Google Scholar] [CrossRef]
- Gupta, N.A.; Mells, J.; Dunham, R.M.; Grakoui, A.; Handy, J.; Saxena, N.K.; Anania, F.A. Glucagon-like peptide-1 receptor is present on human hepatocytes and has a direct role in decreasing hepatic steatosis in vitro by modulating elements of the insulin signaling pathway. Hepatology 2010, 51, 1584–1592. [Google Scholar] [CrossRef]
- Pyke, C.; Heller, R.S.; Kirk, R.K.; Ørskov, C.; Reedtz-Runge, S.; Kaastrup, P.; Hvelplund, A.; Bardram, L.; Calatayud, D.; Knudsen, L.B. GLP-1 receptor localization in monkey and human tissue: Novel distribution revealed with extensively validated monoclonal antibody. Endocrinology 2014, 155, 1280–1290. [Google Scholar] [CrossRef]
- Campbell, J.E.; Brown, T.J.; Streutker, C.; Holland, D.; Cao, X.; Baggio, L.L.; Drucker, D.J. GLP-1 receptor activation indirectly reduces hepatic lipid accumulation but does not attenuate development of atherosclerosis in diabetic male ApoE(−/−) mice. Endocrinology 2013, 154, 127–139. [Google Scholar]
- Wu, Y.R.; Shi, X.Y.; Ma, C.Y.; Zhang, Y.; Xu, R.X.; Li, J.J. Liraglutide improves lipid metabolism by enhancing cholesterol efflux associated with ABCA1 and ERK1/2 pathway. Cardiovasc. Diabetol. 2019, 18, 146. [Google Scholar] [CrossRef]
- Yabut, J.M.; Drucker, D.J. Glucagone-like Peptide-1 receptor-based Therapeutics form metabolic liver disease. Endocr Rev. 2023, 44, 14–32. [Google Scholar] [CrossRef]
- Gao, H.; Jin, Z.; Bandyopadhyay, G.; Rocha, K.C.E.; Liu, X.; Zhao, H.; Zhang, D.; Jouihan, H.; Pourshahian, S.; Kisseleva, T.; et al. MiR-690 treatment causes decreased fibrosis and steatosis and restores specific Kupffer cell functions in NASH. Cell Metab. 2022, 34, 978–990.e4. [Google Scholar] [CrossRef]
- Yan, C.; Tian, X.; Li, J.; Liu, D.; Ye, D.; Xie, Z.; Han, Y.; Zou, M.-H. A High-Fat Diet Attenuates AMPK α1 in Adipocytes to Induce Exosome Shedding and Nonalcoholic Fatty Liver Development In Vivo. Diabetes 2020, 70, 577–588. [Google Scholar] [CrossRef]
- Qiao, L.; Hu, J.; Qiu, X.; Wang, C.; Peng, J.; Zhang, C.; Zhang, M.; Lu, H.; Chen, W. LAMP2A, LAMP2B and LAMP2C: Similar structures, divergent roles. Autophagy 2023, 19, 2837–2852. [Google Scholar] [CrossRef] [PubMed]
- Newsome, P.N.; Buchholtz, K.; Cusi, K.; Linder, M.; Okanoue, T.; Ratziu, V.; Sanyal, A.J.; Sejling, A.S.; Harrison, S.A. NN9931-4296 Investigators. A Placebo-Controlled Trial of Subcutaneous Semaglutide in Nonalcoholic Steatohepatitis. N. Engl. J. Med. 2021, 384, 1113–1124. [Google Scholar] [CrossRef] [PubMed]
- Loomba, R.; Abdelmalek, M.F.; Armstrong, M.J.; Jara, M.; Kjær, M.S.; Krarup, N.; Lawitz, E.; Ratziu, V.; Sanyal, A.J.; Schattenberg, J.M.; et al. NN9931-4492 investigators. Semaglutide 2•4 mg once weekly in patients with non-alcoholic steatohepatitis-related cirrhosis: A randomised, placebo-controlled phase 2 trial. Lancet Gastroenterol. Hepatol. 2023, 8, 511–522. [Google Scholar] [CrossRef] [PubMed]
- Heyens, L.J.M.; Busschots, D.; Koek, G.H.; Robaeys, G.; Francque, S. Liver Fibrosis in Non-alcoholic Fatty Liver Disease: From Liver Biopsy to Non-invasive Biomarkers in Diagnosis and Treatment. Front. Med. 2021, 8, 615978. [Google Scholar] [CrossRef] [PubMed]
- Ferraioli, G.; Monteiro, L.B.S. Ultrasound-Based Techniques for the Diagnosis of Liver Steatosis. World J. Gastroenterol. 2019, 25, 6053–6062. [Google Scholar] [CrossRef] [PubMed]
- Lee, J.H.; Kim, D.; Kim, H.J.; Lee, C.H.; Yang, J.I.; Kim, W.; Kim, Y.J.; Yoon, J.H.; Cho, S.H.; Sung, M.W.; et al. Hepatic Steatosis Index: A Simple Screening Tool Reflecting Nonalcoholic Fatty Liver Disease. Dig. Liver Dis. 2010, 42, 503–508. [Google Scholar] [CrossRef] [PubMed]
- Loaeza-del-Castillo, A.; Paz-Pineda, F.; Oviedo-Cárdenas, E.; Sánchez-Avila, F.; Vargas-Vorácková, F. AST to platelet ratio index (APRI) for the noninvasive evaluation of liver fibrosis. Ann. Hepatol. 2008, 7, 350–357. [Google Scholar] [CrossRef]
- Shah, A.G.; Lydecker, A.; Murray, K.; Tetri, B.N.; Contos, M.J.; Sanyal, A.J.; Nash Clinical Research Network. Comparison of noninvasive markers of fibrosis in patients with nonalcoholic fatty liver disease. Clin. Gastroenterol. Hepatol. 2009, 7, 1104–1112. [Google Scholar] [CrossRef]
- Wang, H.; Jayasankar, N.; Thamaraikani, T.; Viktor, P.; Mohany, M.; Al-Rejaie, S.S.; Alammar, H.K.; Anad, E.; Alhili, F.; Hussein, S.F.; et al. Quercetin modulates expression of serum exosomal long noncoding RNA NEAT1 to regulate the miR-129-5p/BDNF axis and attenuate cognitive impairment in diabetic mice. Life Sci. 2024, 122449. [Google Scholar] [CrossRef]
- Scavo, M.P.; Depalo, N.; Rizzi, F.; Ingrosso, C.; Fanizza, E.; Chieti, A.; Messa, C.; Denora, N.; Laquintana, V.; Striccoli, M.; et al. FZD10 Carried by Exosomes Sustains Cancer Cell Proliferation. Cells 2019, 8, 777. [Google Scholar] [CrossRef] [PubMed]
- Scavo, M.P.; Depalo, N.; Tutino, V.; De Nunzio, V.; Ingrosso, C.; Rizzi, F.; Notarnicola, M.; Curri, M.L.; Giannelli, G. Exosomes for Diagnosis and Therapy in Gastrointestinal Cancers. Int. J. Mol. Sci. 2020, 21, 367. [Google Scholar] [CrossRef]
- Strauss, O.; Phillips, A.; Ruggiero, K.; Bartlett, A.; Dunbar, P.R. Immunofluorescence identifies distinct subsets of endothelial cells in the human liver. Sci. Rep. 2017, 7, 44356. [Google Scholar] [CrossRef]
- Moilanen, T.; Nikkari, T. The effect of storage on the fatty acid composition of human serum. Clin. Chim. Acta 1981, 114, 111–116. [Google Scholar] [CrossRef] [PubMed]
- Folch, J.; Lees, M.; Stanley, G.H.S. A simple method for the isolation and purification of total lipids from animal tissues. J. Biol. Chem. 1957, 226, 497–509. [Google Scholar] [CrossRef] [PubMed]
- Coviello, G.; Tutino, V.; Notarnicola, M.; Caruso, M.G. Erythrocyte membrane fatty acids profile in colorectal cancer patients: A preliminary study. Anticancer. Res. 2014, 34, 4775–4779. [Google Scholar] [PubMed]






| Age (yrs) | Gender | Response Masld/BMI | T2D Evolution (yrs) | BMI T0 [T12] Δ% | HbA1c T0 [T12] | APRI T0 [T12] | HIS T0 [T12] | FIB-4 T0 [T12] | US Grading (0–3) T0 [T12] |
|---|---|---|---|---|---|---|---|---|---|
| 59 | M | R/R | 7 | 33.5 [30.1] −10% | 41 [40] | 0.31 [0.37] | 40.0 [36.9] | 0.94 [1.17] | 2 (1) |
| 49 | M | R/R | 0 | 39.2 [26.5] −32.4% | 41 [40] | 0.27 [0.24] | 45.7 [33.8] | 0.74 [0.84] | 3 (0) |
| 54 | W | NR/R | 1 | 43.6 [38.3] −12.1% | 34 [31] | 0.37 [0.15] | 52.8 [48.4] | 0.98 [0.66] | 2 (2) |
| 71 | M | R/R | 20 | 37.7 [33.5] −11.1% | 49 [49] | 0.32 [0.18] | 50.4 [41.3] | 2.01 [1.12] | 2 (1) |
| 61 | W | NR/NR | 14 | 36.5 [34.9] −4.4% | 36 [33] | 0.25 [0.19] | 47.8 [50.5] | 1.16 [1.01] | 2 (2) |
| 61 | W | NR/R | 7 | 35.4 [29.4] −16.9% | 38 [36] | 0.43 [0.19] | 44.7 [40.5] | 1.33 [1.08] | 2 (2) |
| 42 | W | R/R | 0 | 41.6 [35.7] −14.2% | 38 [38] | 0.16 [0.11] | 52.3 [43.8] | 0.49 [0.34] | 3 (2) |
| 62 | W | R/R | 2 | 37.5 [31.2] −16.8% | 43 [37] | 0.17 [0.24] | 92.1 [53.6] | 2.25 [1.76] | 2 (1) |
| 47 | M | R/NR | 1 | 35.6 [34.1] −4.2% | 34 [38] | 0.25 [0.11] | 43.7 [39.4] | 0.67 [0.34] | 3 (2) |
| 60 | M | NR/R | 1 | 32.4 [29.1] −10.2% | 73 [53] | 0.23 [0.15] | 38.9 [37.1] | 0.81 [0.76] | 2 (2) |
| Sample | Size (nm) | PDI | ζ-Potential (mV) |
|---|---|---|---|
| Responders T0 | 136 ± 3 | 0.258 ± 0.012 | −29.1 ± 0.1 |
| Responders T12 | 131 ± 2 | 0.239 ± 0.006 | −25.5 ± 0.1 |
| Non-Responders T0 | 156 ± 4 | 0.266 ± 0.004 | −26.5 ± 0.3 |
| Non-Responders T12 | 154 ± 2 | 0.226 ± 0.011 | −27.6 ± 0.4 |
| Fatty Acids (%) | HEPA-RG Cells | LX2 Cells | ||||||||||
|---|---|---|---|---|---|---|---|---|---|---|---|---|
| Responders | No Responders | Responders | No Responders | |||||||||
| CTR | Healthy | T0 | T12 | T0 | T12 | CTR | Healthy | T0 | T12 | T0 | T12 | |
| Palmitic acid (C16:0) | 34.15 | 40.30 | 46.20 | 45.51 | 43.31 | 42.52 | 44.44 | 48.91 | 41.14 | 42.43 | 40.88 | 40.37 |
| Palmitoleic acid (C16:1n7) | 2.24 | 0.80 | 2.06 | 2.18 | 2.04 | 1.84 | 1.25 | 0.83 | 1.60 | 1.50 | 1.58 | 2.04 |
| 7z-palmitoleic acid (C16:1n9) | 5.27 | 0.82 | 2.36 | 2.93 | 2.61 | 2.53 | 0.49 | 0.00 | 0.65 | 0.49 | 0.65 | 1.06 |
| Stearic acid (C18:0) | 19.78 | 33.94 | 28.81 | 27.74 | 27.48 | 27.14 | 21.96 | 31.96 | 26.91 | 24.67 | 29.06 | 28.67 |
| Elaidic acid (C18:1trans) | 21.39 | 10.36 | 14.34 | 15.07 | 18.21 | 18.72 | 14.57 | 3.09 | 14.15 | 19.80 | 20.30 | 19.43 |
| C18:1n9 | 11.70 | 1.03 | 3.62 | 4.51 | 4.91 | 5.25 | 2.21 | 4.06 | 3.63 | 2.84 | 3.24 | 3.44 |
| Arachidonic acid (C20:4n6) | 2.57 | 2.26 | 2.40 | 2.38 | 1.44 | 1.89 | 2.85 | 1.15 | 4.07 | 3.52 | 3.56 | 4.20 |
| Saturation index (C18:0/C18:1n9) | 1.69 | 32.84 | 10.34 | 9.59 | 5.82 | 5.18 | 15.20 | 10.87 | 4.96 ** | 10.74 | 9.01 * | 8.39 * |
| ∆9-desaturase (C18:1n9/C18:0) | 0.59 | 0.03 | 0.11 | 0.13 | 0.18 | 0.19 | 0.07 | 0.13 | 0.15 | 0.08 | 0.11 | 0.12 |
| ∆9-desaturase (C16:1n7/C16:0) | 0.07 | 0.02 | 0.05 | 0.05 | 0.05 | 0.04 | 0.01 | 0.00 | 0.01 | 0.01 | 0.02 | 0.03 |
| Elovl6 (C18:0/C16:0) | 0.58 | 0.67 | 0.62 | 0.63 | 0.63 | 0.64 | 0.49 | 0.54 | 0.71 | 0.58 | 0.71 | 0.71 |
| β-oxidation (C16:1n9/C18:1n9) | 0.45 | 0.79 | 0.64 | 0.94 | 0.54 | 0.48 | 0.22 | 0.00 | 0.19 | 0.19 | 0.21 | 0.29 |
Disclaimer/Publisher’s Note: The statements, opinions and data contained in all publications are solely those of the individual author(s) and contributor(s) and not of MDPI and/or the editor(s). MDPI and/or the editor(s) disclaim responsibility for any injury to people or property resulting from any ideas, methods, instructions or products referred to in the content. |
© 2024 by the authors. Licensee MDPI, Basel, Switzerland. This article is an open access article distributed under the terms and conditions of the Creative Commons Attribution (CC BY) license (https://creativecommons.org/licenses/by/4.0/).
Share and Cite
Scavo, M.P.; Lisco, G.; Depalo, N.; Rizzi, F.; Volpe, S.; Arrè, V.; Carrieri, L.; Notarnicola, M.; De Nunzio, V.; Curri, M.L.; et al. Semaglutide Modulates Extracellular Matrix Production of LX-2 Cells via Exosomes and Improves Metabolic Dysfunction-Associated Steatotic Liver Disease (MASLD). Int. J. Mol. Sci. 2024, 25, 1493. https://doi.org/10.3390/ijms25031493
Scavo MP, Lisco G, Depalo N, Rizzi F, Volpe S, Arrè V, Carrieri L, Notarnicola M, De Nunzio V, Curri ML, et al. Semaglutide Modulates Extracellular Matrix Production of LX-2 Cells via Exosomes and Improves Metabolic Dysfunction-Associated Steatotic Liver Disease (MASLD). International Journal of Molecular Sciences. 2024; 25(3):1493. https://doi.org/10.3390/ijms25031493
Chicago/Turabian StyleScavo, Maria Principia, Giuseppe Lisco, Nicoletta Depalo, Federica Rizzi, Sara Volpe, Valentina Arrè, Livianna Carrieri, Maria Notarnicola, Valentina De Nunzio, Maria Lucia Curri, and et al. 2024. "Semaglutide Modulates Extracellular Matrix Production of LX-2 Cells via Exosomes and Improves Metabolic Dysfunction-Associated Steatotic Liver Disease (MASLD)" International Journal of Molecular Sciences 25, no. 3: 1493. https://doi.org/10.3390/ijms25031493
APA StyleScavo, M. P., Lisco, G., Depalo, N., Rizzi, F., Volpe, S., Arrè, V., Carrieri, L., Notarnicola, M., De Nunzio, V., Curri, M. L., De Pergola, G., Piazzolla, G., & Giannelli, G. (2024). Semaglutide Modulates Extracellular Matrix Production of LX-2 Cells via Exosomes and Improves Metabolic Dysfunction-Associated Steatotic Liver Disease (MASLD). International Journal of Molecular Sciences, 25(3), 1493. https://doi.org/10.3390/ijms25031493

