Aluminum Concentration Is Associated with Tumor Mutational Burden and the Expression of Immune Response Biomarkers in Colorectal Cancers
Abstract
1. Introduction
2. Results
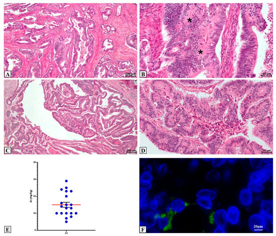
2.1. Clinical CRC Cohort Investigated and Al Detection
2.2. Mutational State and Al Accumulation
2.3. Al Bioaccumulation and Colon-Cancer-Related Immune Response
3. Discussion
4. Materials and Methods
4.1. Samples Collection
4.2. ICP-MS
4.3. Morin Staining Protocol
4.4. Molecular Investigation
4.5. Immunohistochemistry
4.6. Statistical Analysis
5. Conclusions
Supplementary Materials
Author Contributions
Funding
Institutional Review Board Statement
Informed Consent Statement
Data Availability Statement
Conflicts of Interest
References
- Cazzolla Gatti, R. Why We Will Continue to Lose Our Battle with Cancers If We Do Not Stop Their Triggers from Environmental Pollution. Int. J. Environ. Res. Public Health 2021, 18, 6107. [Google Scholar] [CrossRef]
- Sall, M.L.; Diaw, A.K.D.; Gningue-Sall, D.; Efremova Aaron, S.; Aaron, J.J. Toxic heavy metals: Impact on the environment and human health, and treatment with conducting organic polymers, a review. Environ. Sci. Pollut. Res. Int. 2020, 27, 29927–29942. [Google Scholar] [CrossRef] [PubMed]
- Scimeca, M.; Orlandi, A.; Terrenato, I.; Bischetti, S.; Bonanno, E. Assessment of metal contaminants in non-small cell lung cancer by EDX microanalysis. Eur. J. Histochem. 2014, 58, 2403. [Google Scholar] [CrossRef] [PubMed]
- Battistini, B.; Greggi, C.; Visconti, V.V.; Albanese, M.; Messina, A.; De Filippis, P.; Gasperini, B.; Falvino, A.; Piscitelli, P.; Palombi, L.; et al. Metals accumulation affects bone and muscle in osteoporotic patients: A pilot study. Environ. Res. 2024, 250, 118514. [Google Scholar] [CrossRef]
- Nagaraju, R.; Kalahasthi, R.; Balachandar, R.; Bagepally, B.S. Association between lead exposure and DNA damage (genotoxicity): Systematic review and meta-analysis. Arch. Toxicol. 2022, 96, 2899–2911. [Google Scholar] [CrossRef]
- Renu, K.; Chakraborty, R.; Myakala, H.; Koti, R.; Famurewa, A.C.; Madhyastha, H.; Vellingiri, B.; George, A.; Valsala Gopalakrishnan, A. Molecular mechanism of heavy metals (Lead, Chromium, Arsenic, Mercury, Nickel and Cadmium)—Induced hepatotoxicity—A review. Chemosphere 2021, 271, 129735. [Google Scholar] [CrossRef]
- Bjørklund, G.; Dadar, M.; Chirumbolo, S.; Aaseth, J.; Peana, M. Metals, autoimmunity, and neuroendocrinology: Is there a connection? Environ. Res. 2020, 187, 109541. [Google Scholar] [CrossRef] [PubMed]
- Witkowska, D.; Słowik, J.; Chilicka, K. Heavy Metals and Human Health: Possible Exposure Pathways and the Competition for Protein Binding Sites. Molecules 2021, 26, 6060. [Google Scholar] [CrossRef] [PubMed]
- Krewski, D.; Yokel, R.A.; Nieboer, E.; Borchelt, D.; Cohen, J.; Harry, J.; Kacew, S.; Lindsay, J.; Mahfouz, A.M.; Rondeau, V. Human health risk assessment for aluminium, aluminium oxide, and aluminium hydroxide. J. Toxicol. Environ. Health B Crit. Rev. 2007, 10 (Suppl. S1), 1–269. [Google Scholar] [CrossRef]
- Sanajou, S.; Şahin, G.; Baydar, T. Aluminium in cosmetics and personal care products. J. Appl. Toxicol. 2021, 41, 1704–1718. [Google Scholar] [CrossRef] [PubMed]
- Zhang, H.; Tang, J.; Huang, L.; Shen, X.; Zhang, R.; Chen, J. Aluminium in food and daily dietary intake assessment from 15 food groups in Zhejiang Province, China. Food Addit. Contam. Part B Surveill. 2016, 9, 73–78. [Google Scholar] [CrossRef] [PubMed]
- Gupta, Y.K.; Meenu, M.; Peshin, S.S. Aluminium utensils: Is it a concern? Natl. Med. J. India 2019, 32, 38–40. [Google Scholar] [CrossRef]
- Shu, W.S.; Zhang, Z.Q.; Lan, C.Y.; Wong, M.H. Fluoride and aluminium concentrations of tea plants and tea products from Sichuan Province, PR China. Chemosphere 2003, 52, 1475–1482. [Google Scholar] [CrossRef] [PubMed]
- European Food Safety Authority (EFSA). Safety of aluminium from dietary intake—Scientific Opinion of the Panel on Food Additives, Flavourings, Processing Aids and Food Contact Materials (AFC). EFSA J. 2008, 6, 754. [Google Scholar]
- Wang, J.Q.; Hu, Y.B.; Liang, C.M.; Xia, X.; Li, Z.J.; Gao, H.; Sheng, J.; Huang, K.; Wang, S.F.; Li, Y.; et al. Aluminum and magnesium status during pregnancy and placenta oxidative stress and inflammatory mRNA expression: China Ma'anshan birth cohort study. Environ. Geochem. Health 2020, 42, 3887–3898. [Google Scholar] [CrossRef] [PubMed]
- Coussens, L.M.; Werb, Z. Inflammation and cancer. Nature 2002, 420, 860–867. [Google Scholar] [CrossRef] [PubMed]
- Zhu, Y.Z.; Liu, D.W.; Liu, Z.Y.; Li, Y.F. impact of aluminum exposure on the immune system: A mini review. Environ. Toxicol. Pharmacol. 2013, 35, 82–87. [Google Scholar] [CrossRef]
- Bonfiglio, R.; Sisto, R.; Casciardi, S.; Palumbo, V.; Scioli, M.P.; Giacobbi, E.; Servadei, F.; Melino, G.; Mauriello, A.; Scimeca, M. Aluminium bioaccumulation in colon cancer, impinging on epithelial-mesenchymal-transition and cell death. Sci. Total Environ. 2024, 908, 168335. [Google Scholar] [CrossRef]
- Sohrabi, M.; Gholami, A.; Azar, M.H.; Yaghoobi, M.; Shahi, M.M.; Shirmardi, S.; Nikkhah, M.; Kohi, Z.; Salehpour, D.; Khoonsari, M.R.; et al. Trace Element and Heavy Metal Levels in Colorectal Cancer: Comparison Between Cancerous and Non-cancerous Tissues. Biol. Trace Elem. Res. 2018, 183, 1–8. [Google Scholar] [CrossRef]
- Lu, J.; Kornmann, M.; Traub, B. Role of Epithelial to Mesenchymal Transition in Colorectal Cancer. Int. J. Mol. Sci. 2023, 24, 14815. [Google Scholar] [CrossRef] [PubMed]
- Heryanto, Y.D.; Imoto, S. The transcriptome signature analysis of the epithelial-mesenchymal transition and immune cell infiltration in colon adenocarcinoma. Sci. Rep. 2023, 13, 18383. [Google Scholar] [CrossRef]
- Scimeca, M.; Rovella, V.; Palumbo, V.; Scioli, M.P.; Bonfiglio, R.; Centre, T.; Melino, G.; Piacentini, M.; Frati, L.; Agostini, M.; et al. Programmed Cell Death Pathways in Cholangiocarcinoma: Opportunities for Targeted Therapy. Cancers 2023, 15, 3638. [Google Scholar] [CrossRef]
- Vitale, I.; Pietrocola, F.; Guilbaud, E.; Aaronson, S.A.; Abrams, J.M.; Adam, D.; Agostini, M.; Agostinis, P.; Alnemri, E.S.; Altucci, L.; et al. Apoptotic cell death in disease-Current understanding of the NCCD 2023. Cell Death Differ. 2023, 30, 1097–1154. [Google Scholar] [PubMed]
- Pentimalli, F.; Grelli, S.; Di Daniele, N.; Melino, G.; Amelio, I. Cell death pathologies: Targeting death pathways and the immune system for cancer therapy. Genes Immun. 2019, 20, 539–554. [Google Scholar] [CrossRef] [PubMed]
- Schimek, V.; Strasser, K.; Beer, A.; Göber, S.; Walterskirchen, N.; Brostjan, C.; Müller, C.; Bachleitner-Hofmann, T.; Bergmann, M.; Dolznig, H.; et al. Tumour cell apoptosis modulates the colorectal cancer immune microenvironment via interleukin-8-dependent neutrophil recruitment. Cell Death Dis. 2022, 13, 113. [Google Scholar] [CrossRef] [PubMed]
- Liu, C.; Rokavec, M.; Huang, Z.; Hermeking, H. Curcumin activates a ROS/KEAP1/NRF2/miR-34a/b/c cascade to suppress colorectal cancer metastasis. Cell Death Differ. 2023, 30, 1771–1785. [Google Scholar] [CrossRef]
- Huang, Z.; Kaller, M.; Hermeking, H. CRISPR/Cas9-mediated inactivation of miR-34a and miR-34b/c in HCT116 colorectal cancer cells: Comprehensive characterization after exposure to 5-FU reveals EMT and autophagy as key processes regulated by miR-34. Cell Death Differ. 2023, 30, 2017–2034. [Google Scholar] [CrossRef] [PubMed]
- Zhou, Y.; Shao, Y.; Hu, W.; Zhang, J.; Shi, Y.; Kong, X.; Jiang, J. A novel long noncoding RNA SP100-AS1 induces radioresistance of colorectal cancer via sponging miR-622 and stabilizing ATG3. Cell Death Differ. 2023, 30, 111–124. [Google Scholar] [CrossRef] [PubMed]
- Eng, C.; Yoshino, T.; Ruíz-García, E.; Mostafa, N.; Cann, C.G.; O’Brian, B.; Benny, A.; Perez, R.O.; Cremolini, C. Colorectal cancer. Lancet 2024, 404, 294–310. [Google Scholar] [CrossRef]
- Bonfiglio, R.; Sisto, R.; Casciardi, S.; Palumbo, V.; Scioli, M.P.; Palumbo, A.; Trivigno, D.; Giacobbi, E.; Servadei, F.; Melino, G.; et al. The impact of toxic metal bioaccumulation on colorectal cancer: Unravelling the unexplored connection. Sci. Total Environ. 2024, 906, 167667. [Google Scholar] [CrossRef] [PubMed]
- Becht, E.; Giraldo, N.A.; Lacroix, L.; Buttard, B.; Elarouci, N.; Petitprez, F.; Selves, J.; Laurent-Puig, P.; Sautès-Fridman, C.; Fridman, W.H.; et al. Estimating the population abundance of tissue-infiltrating immune and stromal cell populations using gene expression. Genome Biol. 2016, 17, 218. [Google Scholar]
- Laur, N.; Kinscherf, R.; Pomytkin, K.; Kaiser, L.; Knes, O.; Deigner, H.P. ICP-MS trace element analysis in serum and whole blood. PLoS ONE 2020, 15, e0233357. [Google Scholar] [CrossRef] [PubMed]
- Amais, R.S.; Donati, G.L.; Arruda, M.A.Z. ICP-MS and trace element analysis as tools for better understanding medical conditions. TrAC Trends Anal. Chem. 2020, 133, 116094. [Google Scholar] [CrossRef]
- Coyte, R.M.; Darrah, T.H.; Barrett, E.; O’Connor, T.G.; Olesik, J.W.; Salafia, C.M.; Shah, R.; Love, T.; Miller, R.K. Comparison of trace element concentrations in paired formalin-fixed paraffin-embedded and frozen human placentae. Placenta 2023, 131, 98–103. [Google Scholar] [CrossRef] [PubMed]
- Ding, G.; Jing, Y.; Han, Y.; Sun, P.; Liang, S.; Liu, J.; Wang, X.; Lian, Y.; Fang, Y.; Jin, Z.; et al. Monitoring of Aluminum content in food and assessment of dietary exposure of residents in North China. Food Addit. Contam. Part B Surveill. 2021, 14, 177–183. [Google Scholar] [CrossRef] [PubMed]
- Shon, N.N.; Yarbrough, T.; Patel, P. Aluminum Hydroxide. In StatPearls [Internet]; StatPearls Publishing: Treasure Island, FL, USA, 2023. [Google Scholar]
- Koo, Y.J.; Pack, E.C.; Lee, Y.J.; Kim, H.S.; Jang, D.Y.; Lee, S.H.; Kim, Y.S.; Lim, K.M.; Choi, D.W. Determination of toxic metal release from metallic kitchen utensils and their health risks. Food Chem. Toxicol. 2020, 145, 111651. [Google Scholar] [CrossRef] [PubMed]
- Deshwal, G.K.; Panjagari, N.R. Review on metal packaging: Materials, forms, food applications, safety and recyclability. J. Food Sci. Technol. 2020, 57, 2377–2392. [Google Scholar] [CrossRef]
- Bonfiglio, R.; Scimeca, M.; Mauriello, A. The impact of aluminum exposure on human health. Arch. Toxicol. 2023, 97, 2997–2998. [Google Scholar] [CrossRef] [PubMed]
- Rønneberg, A.; Haldorsen, T.; Romundstad, P.; Andersen, A. Occupational exposure and cancer incidence among workers from an aluminum smelter in western Norway. Scand. J. Work. Environ. Health 1999, 25, 207–214. [Google Scholar] [CrossRef] [PubMed]
- Del Monaco, A.; Dimitriadis, C.; Xie, S.; Benke, G.; Sim, M.R.; Walker-Bone, K. Workers in Australian prebake aluminium smelters: Update on risk of mortality and cancer incidence in the Healthwise cohort. Occup. Environ. Med. 2023, 80, 160–169. [Google Scholar] [CrossRef]
- Cui, S.; Feng, J.; Tang, X.; Lou, S.; Guo, W.; Xiao, X.; Li, S.; Chen, X.; Huan, Y.; Zhou, Y.; et al. The prognostic value of tumor mutation burden (TMB) and its relationship with immune infiltration in breast cancer patients. Eur. J. Med. Res. 2023, 28, 90. [Google Scholar] [CrossRef]
- Galvano, A.; Gristina, V.; Malapelle, U.; Pisapia, P.; Pepe, F.; Barraco, N.; Castiglia, M.; Perez, A.; Rolfo, C.; Troncone, G.; et al. The prognostic impact of tumor mutational burden (TMB) in the first-line management of advanced non-oncogene addicted non-small-cell lung cancer (NSCLC): A systematic review and meta-analysis of randomized controlled trials. ESMO Open 2021, 6, 100124. [Google Scholar] [CrossRef] [PubMed]
- Patterson, A.; Auslander, N. Mutated processes predict immune checkpoint inhibitor therapy benefit in metastatic melanoma. Nat. Commun. 2022, 13, 5151. [Google Scholar] [CrossRef]
- Cristescu, R.; Mogg, R.; Ayers, M.; Albright, A.; Murphy, E.; Yearley, J.; Sher, X.; Liu, X.Q.; Lu, H.; Nebozhyn, M.; et al. Pan-tumor genomic biomarkers for PD-1 checkpoint blockade-based immunotherapy. Science 2018, 362, eaar3593. [Google Scholar] [CrossRef]
- Hou, W.; Yi, C.; Zhu, H. Predictive biomarkers of colon cancer immunotherapy: Present and future. Front. Immunol. 2022, 13, 1032314. [Google Scholar] [CrossRef] [PubMed]
- Zhao, Y.; Liang, X.; Duan, X.; Zhang, C. Exploring the prognostic function of TMB-related prognostic signature in patients with colon cancer. BMC Med. Genom. 2023, 16, 116. [Google Scholar] [CrossRef]
- Lankoff, A.; Banasik, A.; Duma, A.; Ochniak, E.; Lisowska, H.; Kuszewski, T.; Góźdź, S.; Wojcik, A. A comet assay study reveals that aluminium induces DNA damage and inhibits the repair of radiation-induced lesions in human peripheral blood lymphocytes. Toxicol. Lett. 2006, 161, 27–36. [Google Scholar] [CrossRef] [PubMed]
- Jalili, P.; Huet, S.; Lanceleur, R.; Jarry, G.; Le Hegarat, L.; Nesslany, F.; Hogeveen, K.; Fessard, V. Genotoxicity of Aluminum and Aluminum Oxide Nanomaterials in Rats Following Oral Exposure. Nanomaterials 2020, 10, 305. [Google Scholar] [CrossRef]
- Zhang, X.; Shen, M.; Wang, C.; Gao, M.; Wang, L.; Jin, Z.; Xia, X. Impact of aluminum exposure on oxidative stress, intestinal changes and immune responses in red swamp crayfish (Procambarus clarkii). Sci. Total Environ. 2023, 855, 158902. [Google Scholar] [CrossRef]
- Makhdoomi, S.; Ariafar, S.; Mirzaei, F.; Mohammadi, M. Aluminum neurotoxicity and autophagy: A mechanistic view. Neurol. Res. 2023, 45, 216–225. [Google Scholar] [CrossRef] [PubMed]
- Chen, B.; Chen, L.; Yang, Z.; Fu, Q.; Li, X.; Cao, C. Acute Aluminum Sulfate Triggers Inflammation and Oxidative Stress, Inducing Tissue Damage in the Kidney of the Chick. Biol. Trace Elem. Res. 2023, 201, 1442–1450. [Google Scholar] [CrossRef] [PubMed]
- Moubarz, G.; Mohammed, A.M.F.; Saleh, I.A.; Shahy, E.M.; Helmy, M.A. Nephrotoxic effect of heavy metals and the role of DNA repair gene among secondary aluminum smelter workers. Environ. Sci. Pollut. Res. Int. 2023, 30, 29814–29823. [Google Scholar] [CrossRef]
- Kooijman, S.; Vrieling, H.; Verhagen, L.; de Ridder, J.; de Haan, A.; van Riet, E.; Heck, A.J.R.; Kersten, G.F.A.; Pennings, J.L.A.; Metz, B.; et al. Aluminum Hydroxide and Aluminum Phosphate Adjuvants Elicit A Different Innate Immune Response. J. Pharm. Sci. 2022, 111, 982–990. [Google Scholar] [CrossRef] [PubMed]
- Nies, I.; Hidalgo, K.; Bondy, S.C.; Campbell, A. Distinctive cellular response to aluminum based adjuvants. Environ. Toxicol. Pharmacol. 2020, 78, 103404. [Google Scholar] [CrossRef] [PubMed]
- Seubert, A.; Monaci, E.; Pizza, M.; O’Hagan, D.T.; Wack, A. The adjuvants aluminum hydroxide and MF59 induce monocyte and granulocyte chemoattractants and enhance monocyte differentiation toward dendritic cells. J. Immunol. 2008, 180, 5402–5412. [Google Scholar] [CrossRef]
- Liao, Y.; Sun, L.; Nie, M.; Li, J.; Huang, X.; Heng, S.; Zhang, W.; Xia, T.; Guo, Z.; Zhao, Q.; et al. Modulation of Skin Inflammatory Responses by Aluminum Adjuvant. Pharmaceutics 2023, 15, 576. [Google Scholar] [CrossRef] [PubMed]
- Pineton de Chambrun, G.; Body-Malapel, M.; Frey-Wagner, I.; Djouina, M.; Deknuydt, F.; Atrott, K.; Esquerre, N.; Altare, F.; Neut, C.; Arrieta, M.C.; et al. Aluminum enhances inflammation and decreases mucosal healing in experimental colitis in mice. Mucosal Immunol. 2014, 7, 589–601. [Google Scholar] [CrossRef] [PubMed]
- Sharp, F.A.; Ruane, D.; Claass, B.; Creagh, E.; Harris, J.; Malyala, P.; Singh, M.; O’Hagan, D.T.; Pétrilli, V.; Tschopp, J.; et al. Uptake of particulate vaccine adjuvants by dendritic cells activates the NALP3 inflammasome. Proc. Natl. Acad. Sci. USA 2009, 106, 870–875. [Google Scholar] [CrossRef]
- Eisenbarth, S.; Colegio, O.; O’Connor, W.; Sutterwala, F.S.; Flavell, R.A. Crucial role for the Nalp3 inflammasome in the immunostimulatory properties of aluminium adjuvants. Nature 2008, 453, 1122–1126. [Google Scholar] [CrossRef] [PubMed]
- Sokolovska, A.; Hem, S.L.; HogenEsch, H. Activation of dendritic cells and induction of CD4(+) T cell differentiation by aluminum-containing adjuvants. Vaccine 2007, 25, 4575–4585. [Google Scholar] [CrossRef] [PubMed]
- Gräske, A.; Thuvander, A.; Johannisson, A.; Gadhasson, I.; Schütz, A.; Festin, R.; Wicklund Glynn, A. Influence of aluminium on the immune system--an experimental study on volunteers. Biometals 2000, 13, 123–133. [Google Scholar] [CrossRef]
- Shiravand, Y.; Khodadadi, F.; Kashani, S.M.A.; Hosseini-Fard, S.R.; Hosseini, S.; Sadeghirad, H.; Ladwa, R.; O’Byrne, K.; Kulasinghe, A. Immune Checkpoint Inhibitors in Cancer Therapy. Curr. Oncol. 2022, 29, 3044–3060. [Google Scholar] [CrossRef] [PubMed]
- Luo, J.; Gao, Q.; Wang, M.; Liu, H.; Zhu, H. Single-cell and spatial transcriptome characterize coinhibitory cell-cell communications during histological progression of lung adenocarcinoma. Front. Immunol. 2024, 15, 1430163. [Google Scholar] [CrossRef]
- Scimeca, M.; Bischof, J.; Bonfiglio, R.; Nale, E.; Iacovelli, V.; Carilli, M.; Vittori, M.; Agostini, M.; Rovella, V.; Servadei, F.; et al. Molecular profiling of a bladder cancer with very high tumour mutational burden. Cell Death Discov. 2024, 10, 202. [Google Scholar] [CrossRef]
- Bonfiglio, R.; Nardozi, D.; Scimeca, M.; Cerroni, C.; Mauriello, A.; Bonanno, E. PD-L1 in immune-escape of breast and prostate cancers: From biology to therapy. Future Oncol. 2017, 13, 2129–2131. [Google Scholar] [CrossRef] [PubMed]
- Buchbinder, E.I.; Desai, A. CTLA-4 and PD-1 Pathways: Similarities, Differences, and Implications of Their Inhibition. Am. J. Clin. Oncol. 2016, 39, 98–106. [Google Scholar] [CrossRef] [PubMed]
- Conforti, F.; Pala, L.; Bagnardi, V.; De Pas, T.; Martinetti, M.; Viale, G.; Gelber, R.D.; Goldhirsch, A. Cancer immunotherapy efficacy and patients’ sex: A systematic review and meta-analysis. Lancet Oncol. 2018, 19, 737–746. [Google Scholar] [CrossRef]
- Kozima, E.T.; Souza, A.B.F.; Castro, T.F.; Matos, N.A.; Philips, N.E.; Costa, G.P.; Talvani, A.; Cangussú, S.D.; Bezerra, F.S. Aluminum hydroxide nebulization-induced redox imbalance and acute lung inflammation in mice. Exp. Lung Res. 2020, 46, 64–74. [Google Scholar] [CrossRef]
- Cheng, S.; Li, Z.; Gao, R.; Xing, B.; Gao, Y.; Yang, Y.; Qin, S.; Zhang, L.; Ouyang, H.; Du, P.; et al. A pan-cancer single-cell transcriptional atlas of tumor infiltrating myeloid cells. Cell 2021, 184, 792–809.e23. [Google Scholar] [CrossRef]
- Zhang, L.; Li, Z.; Skrzypczynska, K.M.; Fang, Q.; Zhang, W.; O’Brien, S.A.; He, Y.; Wang, L.; Zhang, Q.; Kim, A.; et al. Single-Cell Analyses Inform Mechanisms of Myeloid-Targeted Therapies in Colon Cancer. Cell 2020, 181, 442–459.e29. [Google Scholar] [CrossRef] [PubMed]
- Li, K.; Shi, H.; Zhang, B.; Ou, X.; Ma, Q.; Chen, Y.; Shu, P.; Li, D.; Wang, Y. Myeloid-derived suppressor cells as immunosuppressive regulators and therapeutic targets in cancer. Signal Transduct. Target. Ther. 2021, 6, 362. [Google Scholar] [CrossRef]
- Jorgovanovic, D.; Song, M.; Wang, L.; Zhang, Y. Roles of IFN-γ in tumor progression and regression: A review. Biomark. Res. 2020, 8, 49. [Google Scholar] [CrossRef] [PubMed]
- Gocher, A.M.; Workman, C.J.; Vignali, D.A.A. Interferon-γ: Teammate or opponent in the tumour microenvironment? Nat. Rev. Immunol. 2022, 22, 158–172. [Google Scholar] [CrossRef]
- Mojic, M.; Takeda, K.; Hayakawa, Y. The Dark Side of IFN-γ: Its Role in Promoting Cancer Immunoevasion. Int. J. Mol. Sci. 2017, 19, 89. [Google Scholar] [CrossRef]
- Angelova, M.; Charoentong, P.; Hackl, H.; Fischer, M.L.; Snajder, R.; Krogsdam, A.M.; Waldner, M.J.; Bindea, G.; Mlecnik, B.; Galon, J.; et al. Characterization of the immunophenotypes and antigenomes of colorectal cancers reveals distinct tumor escape mechanisms and novel targets for immunotherapy. Genome Biol. 2015, 16, 64. [Google Scholar] [CrossRef] [PubMed]
- Zaidi, M.R.; Davis, S.; Noonan, F.P.; Graff-Cherry, C.; Hawley, T.S.; Walker, R.L.; Feigenbaum, L.; Fuchs, E.; Lyakh, L.; Young, H.A.; et al. Interferon-γ links ultraviolet radiation to melanomagenesis in mice. Nature 2011, 469, 548–553. [Google Scholar] [CrossRef]
- Wong, C.W.; Huang, Y.Y.; Hurlstone, A. The role of IFN-γ-signalling in response to immune checkpoint blockade therapy. Essays Biochem. 2023, 67, 991–1002. [Google Scholar] [PubMed]





| Al (mg/kg) | Age | Gender | Grade | Lymph Node Metastases | CTLA-4 TPM | PD-1 TPM | PD-L1 TPM | IFNγ TPM | TMB |
|---|---|---|---|---|---|---|---|---|---|
| 29 | 82 | M | High Grade | No | 23.7 | 1.9 | 20.5 | 1.7 | 151.0 |
| 25 | 83 | F | High Grade | No | 16.6 | 1.9 | 3.7 | 1.6 | 69.3 |
| 24 | 74 | F | High Grade | Yes | 8.9 | 2.0 | 18.6 | 1.0 | 53.0 |
| 23 | 85 | F | High Grade | No | 9.1 | 3.4 | 5.5 | 0.7 | 59.3 |
| 23 | 61 | F | Low Grade | Yes | 10.3 | 2.0 | 4.6 | 0.6 | 64.1 |
| 20 | 84 | M | High Grade | No | 8.5 | 1.9 | 4.5 | / | / |
| 16 | 66 | F | High Grade | No | 2.3 | 11.5 | 19.6 | 0.7 | 5.5 |
| 15 | 76 | M | High Grade | No | 2.4 | 0.8 | 1.4 | 0.6 | 3.4 |
| 15 | 77 | F | High Grade | No | 6.8 | 1.6 | 6.1 | 0.6 | 4.0 |
| 14 | 87 | F | High Grade | No | 6.1 | 2.8 | 27.3 | 0.7 | 4.0 |
| 13 | 87 | M | High Grade | Yes | 0.6 | 0.4 | 1.7 | 0.6 | 4.9 |
| 13 | 85 | F | High Grade | Yes | 5.2 | 2.4 | 2.6 | 0.6 | 3.9 |
| 10 | 81 | M | High Grade | No | 3.7 | 1.9 | 2.3 | 0.6 | 4.2 |
| 10 | 73 | M | High Grade | Yes | 3.3 | 1.1 | 1.3 | 0.5 | 5.6 |
| 10 | 37 | F | High Grade | Yes | 6.6 | 1.8 | 2.7 | 0.6 | 5.6 |
| 10 | 48 | M | High Grade | No | 0.9 | 0.3 | 1.1 | 0.4 | 4.0 |
| 10 | 75 | M | High Grade | No | 0.9 | 0.2 | 2.0 | 0.5 | 4.7 |
| 8 | 85 | F | High Grade | Yes | 2.5 | / | / | / | 9.7 |
| 7 | 66 | M | Low Grade | No | 0.9 | 1.0 | / | / | / |
| 5 | 77 | M | High Grade | No | 0.9 | 0.9 | 1.9 | 0.6 | 12.2 |
| Al (mg/kg) | Somatic Mutations |
|---|---|
| 29 | ADGRA2, AGO1, AKT2, AKT3, AMER1, APOBEC3B, APOBEC3F, APOBEC3G, APOBEC4, AR, ARHGAP35, ARID1A, ARID2, ARID5B, ASXL1, ATRX, BCL9, BCORL1, BCR, BRD4, CARD11, CASP8, CBL, CD22, CREBBP, CTCF, CTNNB1, DAXX, DDR1, DDX4, DICER1, DIS3, EPCAM, EPHA5, EPHB2, ETV1, FAT1, FBXW7, FGF12, FGF4, FH, FLI1, GAB2, GATA3, GLI1, GNA13, GNAS, GRIN2A, GRM3, GTF2I, HERC2, HIF1A, HLA-B, HLA-C, HNF1A, IGF1, IKBKE, IL3, INPP4A, IRS1, JAK2, JAK3, JARID2, KDM5C, KLHL6, KMT2A, KMT2B, KMT2C, KMT2D, KSR2, LATS2, LMO2, LRP1B, LRP5, LZTR1, MAGI2, MAP3K4, MAX, MECOM, MEF2B, MGA, MGAM, MITF, MPL, MSI1, MSLN, MYOD1, NCOA3, NOTCH1 |
| 25 | BCL2, MALT1, SETBP1 |
| 24 | / |
| 23 | HLA-B, HLA-C, PTPN1 |
| 23 | APOBEC3B, AR, ARHGAP35, ASXL1, AXIN1, CBL, CDC73, CENPA, CIC, CREBBP, CSNK1A1, CUX1, CYLD, ERG, EZH1, FANCF, FGF3, GATA3, GATA4, GRIN2A, INPP4B, KDM5A, KLF5, KMT2C, LRP5, MAD2L2, MED12, MITF, MYCN, NCOA3, NOTCH4, PBRM1, PGBD5, PIK3C3, POLD1, PPM1D, PPP2R1A, PREX2, PTPN11, PTPRS, RICTOR, RNF43, RPS6KA4, SS18, TAF1, TAL1, TCF7L2, TFE3, TGFBR2, TTK, YAP1, ZBTB20 |
| 20 | / |
| 16 | / |
| 15 | APC, ATM, BIRC3, CCNE1, CHEK1, DDX4, EED, ETS1, FGF2, FLI1, FUBP1, IRF2, KAT6A, MRE11, NEGR1, PGR, PIK3R1, PLK2, SDHD, SMAD4, SPTA1, TCF7L2, YAP1 |
| 15 | YY1 |
| 14 | ADGRA2, ANKRD26, AR, ARID1A, ARID1B, ARID5B, ASXL1, ATXN7, BCORL1, BRD4, CHD2, CIC, CREB1, DICER1, DNMT3A, DOT1L, EPHB2, ERBB3, ETV4, FAT1, FBXW7, FGF8, FOXO1, GLI1, GNAS, HDAC4, HLA-A, HLA-B, HLA-C, IGF2, INSR, JAK3, KAT6A, KLF5, KMT2B, KMT2D, LRP1B, LRP6, MAF, MECOM, MGA, MST1R, NADK, NCOR1, NF1, NOTCH2, NOTCH3, NOTCH4, NRG1, NSD1, NTRK2, NTRK3, P2RY8, PAX5, PAX8, PHOX2B, PIK3C2G, PLCG1, PML, PPP2R2A, PTEN, PTPRS, PTPRT, QKI, RBM10, RECQL4, RNF43, ROCK1, RRAS, SETBP1, SMC1A, SOCS1, TERT, TTK, ZBTB20, ZFHX3 |
| 13 | / |
| 13 | / |
| 10 | AKT1, ASXL1, CD74, DDX41, PAK5, PDGFRB, PLCG1, PTPRT, TOP1, U2AF1 |
| 10 | BRCA2, CCND3, CDK8, CUL4A, CYSLTR2, DIS3, ERCC5, FGF14, FGF9, FLT1, FLT3, FOXO1, IRS2, KLF5, LATS2, PREX2, RB1, UBR5, VEGFA |
| 10 | BCL2L2, CDK6, CUX1, EPHB4, FAM46C, FGF17, FGF20, GATA4, KEL, NKX3-1, PARP2, PPP2R2A, SH2D1A, STAG2, TCF7L2, XIAP |
| 10 | BRCA2, CCNB3, CDK8, CUL4A, CYSLTR2, DIS3, ERCC5, FGF14, FGF9, FLT1, FLT3, FOXO1, IRS2, KLF5, LAMP1, LATS2, PLCG2, RANBP2, RB1, ZFHX3 |
| 10 | APC, ARFRP1, CD70, DNMT1, ETV6, FBXW7, GNAS, HDAC7, INSR, KAT6A, LRP1B, MUC1, NCOA3, PTPN1, PTPRS, PTPRT, SMARCA4, SPOP, SRC, TBX3, TP53, VAV1, ZNF217 |
| 8 | ABCB1, ADGRA2, APC, APOBEC1, ARHGEF28, ARID1A, ARID1B, ARID2, ASXL1, BCR, BRD4, CCND3, CCNE1, CDC73, CDH1, CDKN2A, CHD2, CIC, CNOT9, DEK, DHX15, DICER1, DNMT1, DOT1L, EP300, EPHA7, EPHB1, EPHB4, FBXW7, FGF13, FOXL2, FRS2, GAB1, GATA6, GNAS, GTF2I, HERC2, HLA-B, HLA-C, HNF1A, HSD3B1, INHA, JARID2, KMT2A, KMT2C, KMT2D, LRP1B, LRP5, LRP6, MALT1, MAP3K1, MEF2B, MGA, MLLT3, MSI1, MST1, NADK, NCOA3, NCOR1, NCSTN, NFKBIA, NRG1, NSD3, NUP98, NUTM1, PDCD1LG2, PPM1D, PPP2R1A, PREX2, PTCH1, PTPRS, PTPRT, RANBP2, RBM15, RNF43, ROCK1, RPS6KA4, RUNX1, SETBP1, SLX4, SMO, SOX9, SPEN, STK33, SUZ12, TBX3, TCF7L2, TERT, TGFBR2, TNFAIP3 |
| 7 | / |
| 5 | ASXL1, ATRX, BCL2L1, BCR, CIC, CTNNB1, CXCR4, DNMT3B, GNAS, MAFB, MAGI2, MYC, NCOA3, PGR, PLCG1, PTPRT, RPS6KB2, SRC, TOP1, TP53, ZBTB7A |
| Al (mg/kg) | B Cells | Macrophages | T Lymphocytes | CD8+ | Fibroblasts | Myleoid Cells | Neutrophils |
|---|---|---|---|---|---|---|---|
| 29 | 80,955.8 | 3623.0 | 356.2 | 155.0 | 48,825.3 | 674.5 | 1952.5 |
| 25 | 4473.1 | 723.7 | 304.1 | 28.0 | 38,798.8 | 68.8 | 919.5 |
| 23 | 5648.6 | 2186.0 | 458.3 | 183.0 | 48,007.4 | 439.0 | 1033.0 |
| 23 | 18,969.9 | 1755.3 | 514.7 | 160.0 | 61,232.3 | 295.5 | 944.7 |
| 16 | 7234.7 | 1832.6 | 402.5 | 174.0 | 68,918.3 | 119.7 | 870.2 |
| 15 | 2281.9 | 642.4 | 246.3 | 86.0 | 15,741.5 | 233.2 | 1114.9 |
| 15 | 1430.7 | 1901.7 | 325.4 | 52.0 | 119,353.3 | 152.2 | 1146.1 |
| 14 | 1130.4 | 1849.1 | 244.1 | 66.0 | 120,199.5 | 67.0 | 1142.3 |
| 13 | 23,662.8 | 1174.7 | 422.4 | 129.0 | 60,896.8 | 124.2 | 1763.3 |
| 13 | 1354.2 | 2031.9 | 132.5 | 51.0 | 60,329.8 | 123.3 | 786.5 |
| 10 | 475.9 | 441.0 | 231.7 | 28.0 | 10,863.5 | 51.8 | 769.5 |
| 10 | 44,244.7 | 2349.4 | 414.3 | 180.0 | 177,744.3 | 357.2 | 1992.2 |
| 10 | 954.7 | 761.4 | 110.9 | 580.0 | 43,668.9 | 57.0 | 898.6 |
| 10 | 5423.1 | 1264.9 | 414.3 | 95.0 | 27,647.9 | 113.7 | 1464.9 |
| 10 | 646.1 | 1215.6 | 162.4 | 40.0 | 39,723.9 | 81.0 | 1432.3 |
Disclaimer/Publisher’s Note: The statements, opinions and data contained in all publications are solely those of the individual author(s) and contributor(s) and not of MDPI and/or the editor(s). MDPI and/or the editor(s) disclaim responsibility for any injury to people or property resulting from any ideas, methods, instructions or products referred to in the content. |
© 2024 by the authors. Licensee MDPI, Basel, Switzerland. This article is an open access article distributed under the terms and conditions of the Creative Commons Attribution (CC BY) license (https://creativecommons.org/licenses/by/4.0/).
Share and Cite
Bonfiglio, R.; Giacobbi, E.; Palumbo, V.; Casciardi, S.; Sisto, R.; Servadei, F.; Scioli, M.P.; Schiaroli, S.; Cornella, E.; Cervelli, G.; et al. Aluminum Concentration Is Associated with Tumor Mutational Burden and the Expression of Immune Response Biomarkers in Colorectal Cancers. Int. J. Mol. Sci. 2024, 25, 13388. https://doi.org/10.3390/ijms252413388
Bonfiglio R, Giacobbi E, Palumbo V, Casciardi S, Sisto R, Servadei F, Scioli MP, Schiaroli S, Cornella E, Cervelli G, et al. Aluminum Concentration Is Associated with Tumor Mutational Burden and the Expression of Immune Response Biomarkers in Colorectal Cancers. International Journal of Molecular Sciences. 2024; 25(24):13388. https://doi.org/10.3390/ijms252413388
Chicago/Turabian StyleBonfiglio, Rita, Erica Giacobbi, Valeria Palumbo, Stefano Casciardi, Renata Sisto, Francesca Servadei, Maria Paola Scioli, Stefania Schiaroli, Elena Cornella, Giulio Cervelli, and et al. 2024. "Aluminum Concentration Is Associated with Tumor Mutational Burden and the Expression of Immune Response Biomarkers in Colorectal Cancers" International Journal of Molecular Sciences 25, no. 24: 13388. https://doi.org/10.3390/ijms252413388
APA StyleBonfiglio, R., Giacobbi, E., Palumbo, V., Casciardi, S., Sisto, R., Servadei, F., Scioli, M. P., Schiaroli, S., Cornella, E., Cervelli, G., Sica, G., Candi, E., Melino, G., Mauriello, A., & Scimeca, M. (2024). Aluminum Concentration Is Associated with Tumor Mutational Burden and the Expression of Immune Response Biomarkers in Colorectal Cancers. International Journal of Molecular Sciences, 25(24), 13388. https://doi.org/10.3390/ijms252413388

