Platelet-Derived Growth Factor Subunit A Strengthens the Neurovascular Unit and Inhibits Retinal Vascular Regression Under Hyperoxic Conditions
Abstract
1. Introduction
2. Results
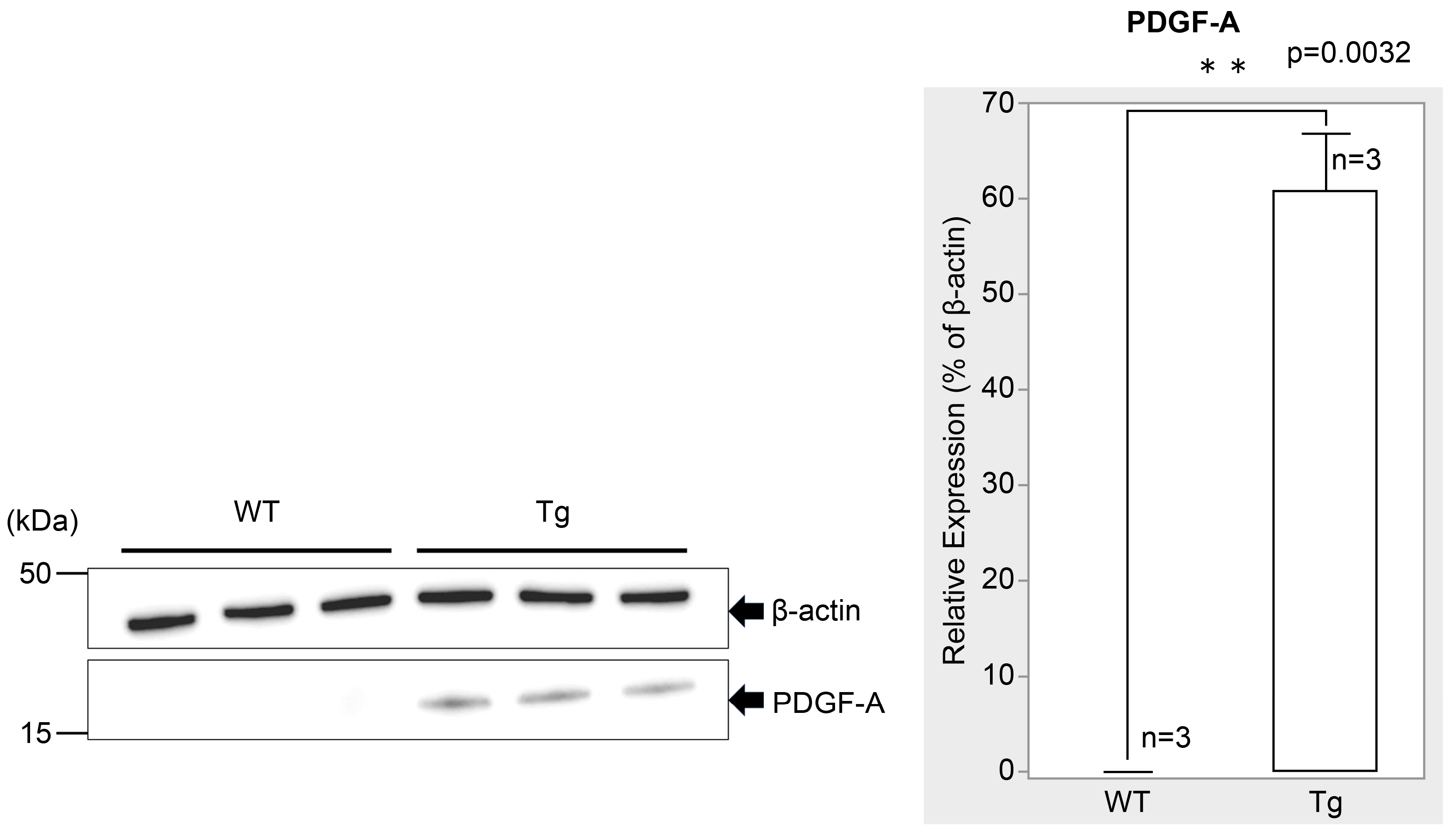
2.1. Elevated PDGF-A Expression in Transgenic Mice at P7
2.2. No Differences in Vascular Layer Structure in Transgenic Mice at P7
2.3. Increased Expression of Pax2 and GFAP in Transgenic Mice at P7
2.4. Increased Expression of PDGF Receptor Alpha Isoform (PDGFRα) in Transgenic Mice at P7
2.5. Increased Vascular Density and Length in Transgenic Mice at P7
2.6. Comparison of Vascular Regression Area After Hyperoxia Exposure in the OIR Model
2.7. Altered Expression of Pericytes and Astrocytes Post-Hyperoxia Exposure
2.8. Differences in Vascular Structure Following Hyperoxic Exposure
3. Discussion
3.1. PDGF-A Overexpression Enhanced Neurovascular Unit Stability
3.2. Inhibition of Avascular Area Formation After Hyperoxic Exposure
3.3. Differential Regression of Pericytes and Endothelial Cells Under Hyperoxic Conditions
3.4. Therapeutic Implications for Retinal Vascular Diseases
3.5. Limitations
3.5.1. Considerations of Translational Relevance
3.5.2. Limitations with Regard to GFAP as an Astrocyte Marker
3.6. Conclusions
4. Materials and Methods
4.1. Experimental Animals
4.2. OIR Model
4.3. Sample Collection
4.4. Western Blotting
4.5. Immunofluorescence Analysis of Whole-Mount Retinas
4.6. Immunofluorescence Analysis of Frozen Retinal Sections
4.7. Fluorescein Visualization of Retinal Vasculature
4.8. Image Acquisition and Analysis
4.9. Statistical Analysis
Author Contributions
Funding
Institutional Review Board Statement
Informed Consent Statement
Data Availability Statement
Acknowledgments
Conflicts of Interest
References
- Wheatley, C.M.; Dickinson, J.L.; Mackey, D.A.; Craig, J.E.; Sale, M.M. Retinopathy of prematurity: Recent advances in our understanding. Br. J. Ophthalmol. 2002, 86, 696–700. [Google Scholar] [CrossRef] [PubMed]
- Hartnett, M.E.; Penn, J.S. Mechanisms and management of retinopathy of prematurity. N. Engl. J. Med. 2012, 367, 2515–2526. [Google Scholar] [CrossRef] [PubMed]
- Smith, L.E. Pathogenesis of retinopathy of prematurity. Acta Paediatr. 2002, 91, 26–28. [Google Scholar] [CrossRef]
- Smith, L.E.; Wesolowski, E.; McLellan, A.; Kostyk, S.K.; D’Amato, R.; Sullivan, R.; D’Amore, P.A. Oxygen-induced retinopathy in the mouse. Investig. Ophthalmol. Vis. Sci. 1994, 35, 101–111. [Google Scholar]
- Puebla, M.; Tapia, P.J.; Espinoza, H. Key role of astrocytes in postnatal brain and retinal angiogenesis. Int. J. Mol. Sci. 2022, 23, 2646. [Google Scholar] [CrossRef]
- Duan, L.J.; Pan, S.J.; Sato, T.N.; Fong, G.H. Retinal angiogenesis regulates astrocytic differentiation in neonatal mouse retinas by oxygen dependent mechanisms. Sci. Rep. 2017, 7, 17608. [Google Scholar] [CrossRef]
- West, H.; Richardson, W.D.; Fruttiger, M. Stabilization of the retinal vascular network by reciprocal feedback between blood vessels and astrocytes. Development 2005, 132, 1855–1862. [Google Scholar] [CrossRef]
- Andrae, J.; Gallini, R.; Betsholtz, C. Role of platelet-derived growth factors in physiology and medicine. Genes Dev. 2008, 22, 1276–1312. [Google Scholar] [CrossRef] [PubMed]
- Fruttiger, M.; Calver, A.R.; Krüger, W.H.; Mudhar, H.S.; Michalovich, D.; Takakura, N.; Nishikawa, S.; Richardson, W.D. PDGF mediates a neuron-astrocyte interaction in the developing retina. Neuron 1996, 17, 1117–1131. [Google Scholar] [CrossRef]
- Yamada, H.; Yamada, E.; Ando, A.; Seo, M.S.; Esumi, N.; Okamoto, N.; Vinores, M.; LaRochelle, W.; Zack, D.J.; Campochiaro, P.A. Platelet-derived growth factor-A-induced retinal gliosis protects against ischemic retinopathy. Am. J. Pathol. 2000, 156, 477–487. [Google Scholar] [CrossRef]
- Fruttiger, M.; Karlsson, L.; Hall, A.C.; Abramsson, A.; Calver, A.R.; Boström, H.; Willetts, K.; Bertold, C.H.; Heath, J.K.; Betsholtz, C.; et al. Defective oligodendrocyte development and severe hypomyelination in PDGF-A knockout mice. Development 1999, 126, 457–467. [Google Scholar] [CrossRef] [PubMed]
- Yao, H.; Wang, T.; Deng, J.; Liu, D.; Li, X.; Deng, J. The development of blood-retinal barrier during the interaction of astrocytes with vascular wall cells. Neural Regen. Res. 2014, 9, 1047–1054. [Google Scholar] [CrossRef] [PubMed]
- Mudhar, H.S.; Pollock, R.A.; Wang, C.; Stiles, C.D.; Richardson, W.D. PDGF and its receptors in the developing rodent retina and optic nerve. Development 1993, 118, 539–552. [Google Scholar] [CrossRef]
- Mohamed, R.; Sharma, I.; Ibrahim, A.S.; Saleh, H.; Elsherbiny, N.M.; Fulzele, S.; Elmasry, K.; Smith, S.B.; Al-Shabrawey, M.; Tawfik, A. Hyperhomocysteinemia alters retinal endothelial cells barrier function and angiogenic potential via activation of oxidative stress. Sci. Rep. 2017, 7, 11952. [Google Scholar] [CrossRef] [PubMed]
- Stone, J.; Itin, A.; Alon, T.; Pe’er, J.; Gnessin, H.; Chan-Ling, T.; Keshet, E. Development of retinal vasculature is mediated by hypoxia-induced vascular endothelial growth factor (VEGF) expression by neuroglia. J. Neurosci. 1995, 15 Pt 1, 4738–4747. [Google Scholar] [CrossRef]
- Hammes, H.P.; Lin, J.; Renner, O.; Shani, M.; Lundqvist, A.; Betsholtz, C.; Brownlee, M.; Deutsch, U. Pericytes and the pathogenesis of diabetic retinopathy. Diabetes 2002, 51, 3107–3112. [Google Scholar] [CrossRef]
- Delaunay, K.; Khamsy, L.; Kowalczuk, L.; Moulin, A.; Nicolas, M.; Zografos, L.; Lassiaz, P.; Behar-Cohen, F. Glial cells of the human fovea. Mol. Vis. 2020, 26, 235–245. [Google Scholar] [PubMed]
- Vecino, E.; Rodriguez, F.D.; Ruzafa, N.; Pereiro, X.; Sharma, S.C. Glia-neuron interactions in the mammalian retina. Prog. Retin. Eye Res. 2016, 51, 1–40. [Google Scholar] [CrossRef]
- Katsel, P.; Byne, W.; Roussos, P.; Tan, W.; Siever, L.; Haroutunian, V. Astrocyte and glutamate markers in the superficial, deep, and white matter layers of the anterior cingulate gyrus in schizophrenia. Neuropsychopharmacology 2011, 36, 1171–1177. [Google Scholar] [CrossRef]
- Puschmann, T.B.; Dixon, K.J.; Turnley, A.M. Species differences in reactivity of mouse and rat astrocytes in vitro. Neurosignals 2010, 18, 152–163. [Google Scholar] [CrossRef]
- Zudaire, E.; Gambardella, L.; Kurcz, C.; Vermeren, S. A computational tool for quantitative analysis of vascular networks. PLoS ONE 2011, 6, e27385. [Google Scholar] [CrossRef] [PubMed]









| WT (n = 11) | Tg (n = 11) | |
|---|---|---|
| Total retinal area (mm2) | 11.39 ± 1.96 | 10.74 ± 1.11 |
| Non-perfused area (mm2) | 4.16 ± 0.93 | 1.80 ± 0.52 |
| Percentage of non-perfused area (mm2) | 37.10 ± 8.34 | 16.97 ± 5.30 |
Disclaimer/Publisher’s Note: The statements, opinions and data contained in all publications are solely those of the individual author(s) and contributor(s) and not of MDPI and/or the editor(s). MDPI and/or the editor(s) disclaim responsibility for any injury to people or property resulting from any ideas, methods, instructions or products referred to in the content. |
© 2024 by the authors. Licensee MDPI, Basel, Switzerland. This article is an open access article distributed under the terms and conditions of the Creative Commons Attribution (CC BY) license (https://creativecommons.org/licenses/by/4.0/).
Share and Cite
Yokota, K.; Yamada, H.; Mori, H.; Hattori, Y.; Omi, M.; Yamamoto, Y.; Toyama, K.; Imai, H. Platelet-Derived Growth Factor Subunit A Strengthens the Neurovascular Unit and Inhibits Retinal Vascular Regression Under Hyperoxic Conditions. Int. J. Mol. Sci. 2024, 25, 12945. https://doi.org/10.3390/ijms252312945
Yokota K, Yamada H, Mori H, Hattori Y, Omi M, Yamamoto Y, Toyama K, Imai H. Platelet-Derived Growth Factor Subunit A Strengthens the Neurovascular Unit and Inhibits Retinal Vascular Regression Under Hyperoxic Conditions. International Journal of Molecular Sciences. 2024; 25(23):12945. https://doi.org/10.3390/ijms252312945
Chicago/Turabian StyleYokota, Kaito, Haruhiko Yamada, Hidetsugu Mori, Yuki Hattori, Masatoshi Omi, Yuichi Yamamoto, Keiko Toyama, and Hisanori Imai. 2024. "Platelet-Derived Growth Factor Subunit A Strengthens the Neurovascular Unit and Inhibits Retinal Vascular Regression Under Hyperoxic Conditions" International Journal of Molecular Sciences 25, no. 23: 12945. https://doi.org/10.3390/ijms252312945
APA StyleYokota, K., Yamada, H., Mori, H., Hattori, Y., Omi, M., Yamamoto, Y., Toyama, K., & Imai, H. (2024). Platelet-Derived Growth Factor Subunit A Strengthens the Neurovascular Unit and Inhibits Retinal Vascular Regression Under Hyperoxic Conditions. International Journal of Molecular Sciences, 25(23), 12945. https://doi.org/10.3390/ijms252312945

