Mediastinal Teratoma with Nephroblastomatous Elements: Case Report, Literature Review, and Comparison with Maturing Fetal Glomerulogenic Zone/Definitive Zone Ratio and Nephrogenic Rests
Abstract
1. Introduction
2. Case Presentation
2.1. Clinical History
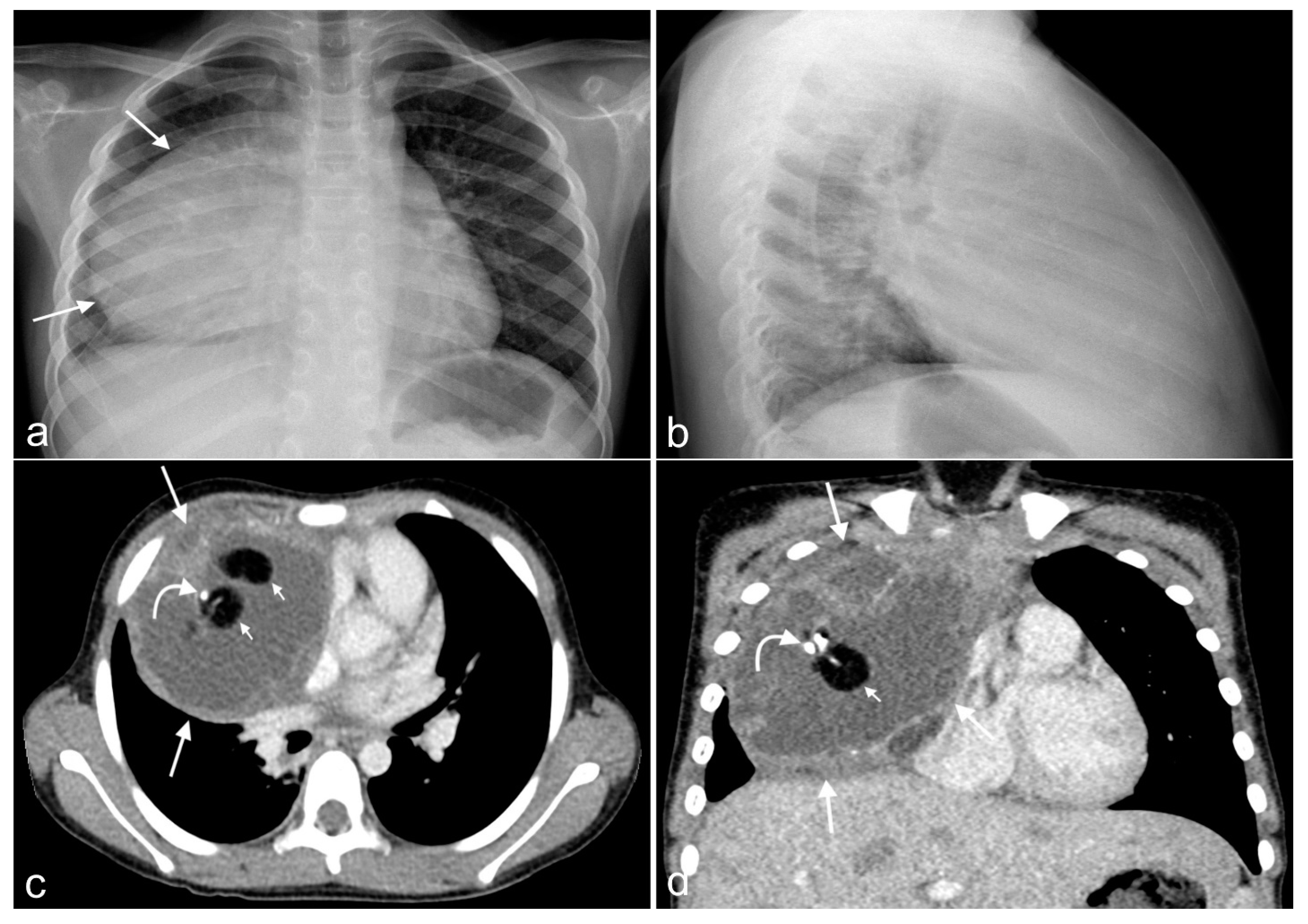
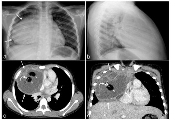
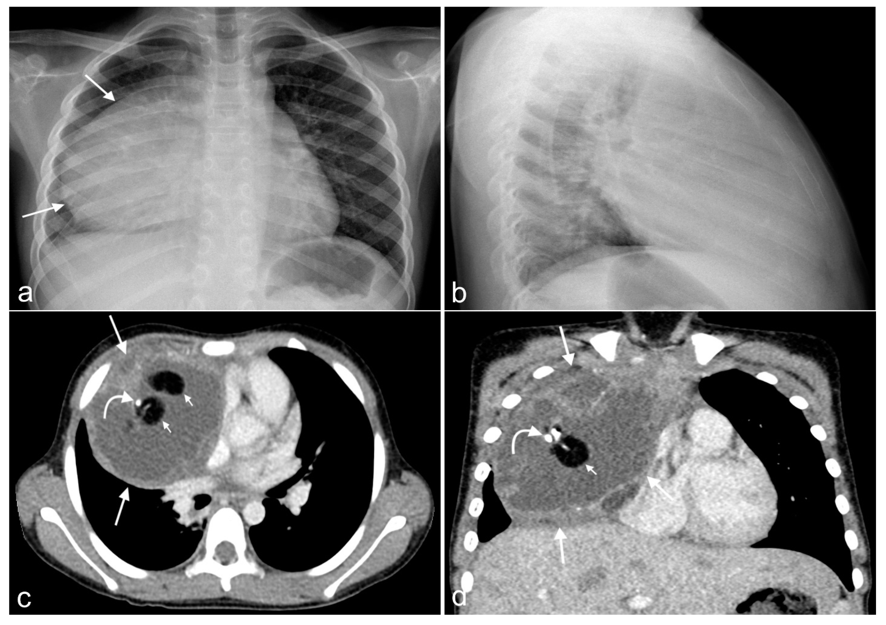
2.2. Radiology
2.3. Biochemistry
2.4. Surgical Management
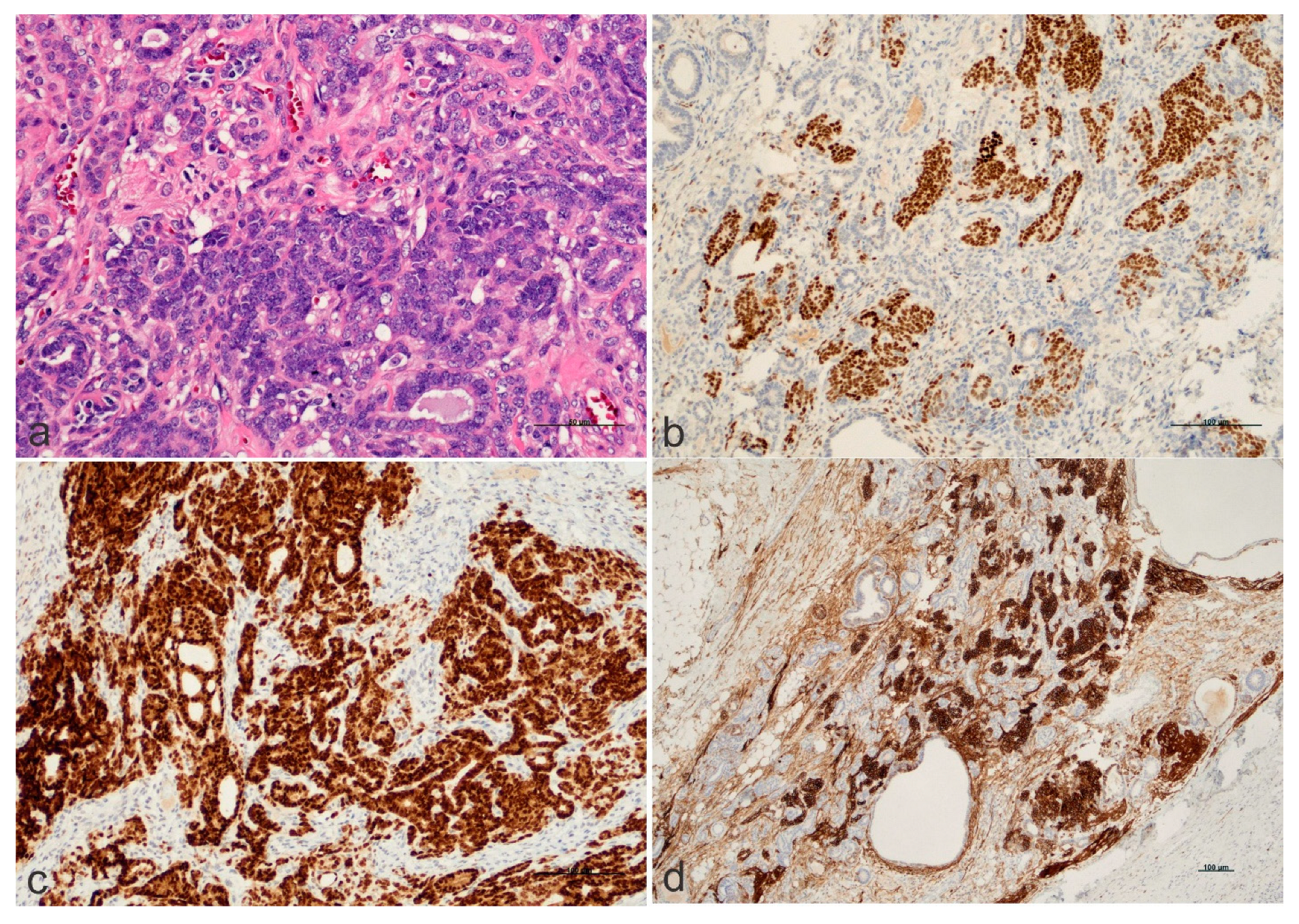
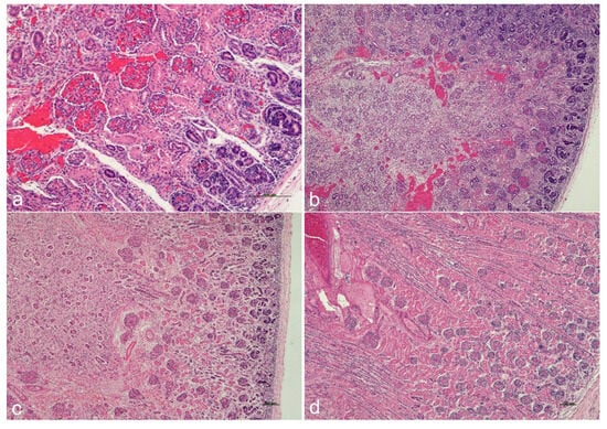
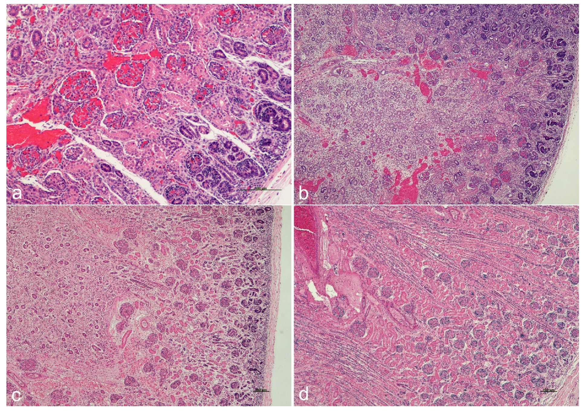
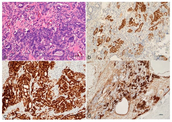
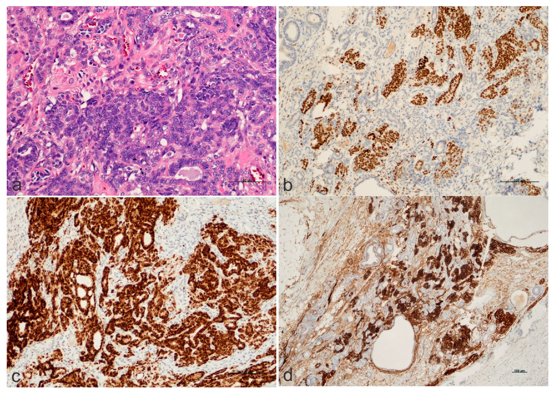
2.5. Pathology
2.6. Postoperative Course
3. Discussion
3.1. Narrative Literature Review
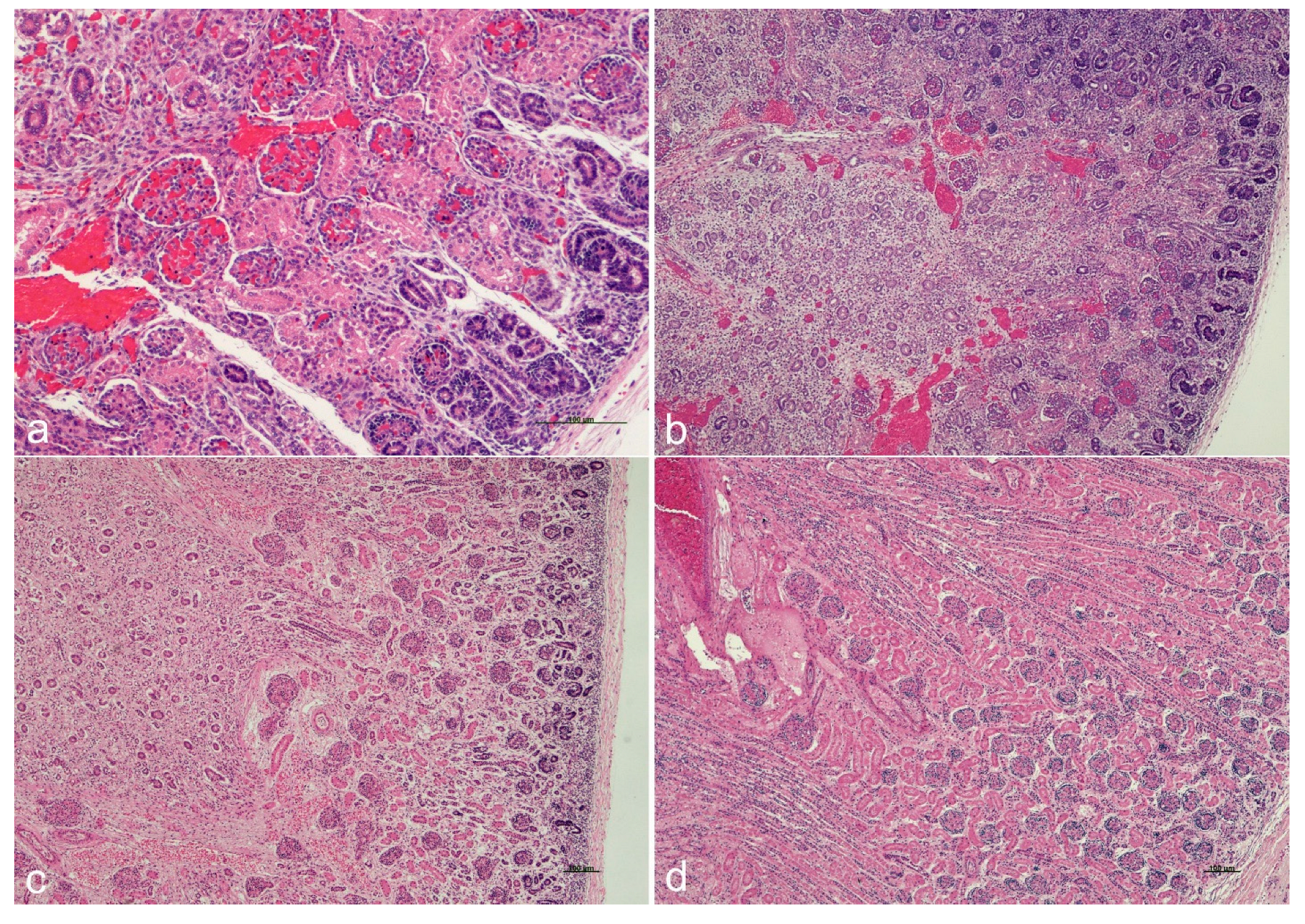
3.2. Glomerulogenic Zone During Ontogenesis
3.3. Nephrogenic Rests
4. In-Depth Analysis of Nephrogenic Rest–Wilms’ Tumor Nexus
5. Conclusions
Author Contributions
Funding
Institutional Review Board Statement
Informed Consent Statement
Data Availability Statement
Acknowledgments
Conflicts of Interest
References
- Rojas, Y.; Slater, B.J.; Braverman, R.M.; Eldin, K.W.; Thompson, P.A.; Wesson, D.E.; Nuchtern, J.G. Extrarenal Wilms tumor: A case report and review of the literature. J. Pediatr. Surg. 2013, 48, e33–e35. [Google Scholar] [CrossRef] [PubMed]
- Karim, A.; Shaikhyzada, K.; Abulkhanova, N.; Altyn, A.; Ibraimov, B.; Nurgaliyev, D.; Poddighe, D. Pediatric Extra-Renal Nephroblastoma (Wilms’ Tumor): A Systematic Case-Based Review. Cancers 2023, 15, 2563. [Google Scholar] [CrossRef] [PubMed]
- Variend, S.; Spicer, R.D.; Lond, L.; Mackinnon, A.E. Teratoid Wilms’ tumor. Cancer 1984, 53, 1936–1942. [Google Scholar] [CrossRef] [PubMed]
- Moyson, F.; Maurus-Desmarez, R.; Gompel, C. Mediastinal Wilms’ tumor? Acta Chir. Belg. 1961, (Suppl. S2), 118–128. [Google Scholar]
- Malik, T.K.; Malik, G.B.; Diesh, G. Retroperitoneal teratoma with nephroblastic tissue as the main component. Int. Surg. 1967, 47, 246–249. [Google Scholar]
- Tebbi, K.; Ragab, A.H.; Ternberg, J.L.; Vietti, T.J. An extrarenal Wilms’ tumor arising from a sacrococcygeal teratoma. Clin. Pediatr. 1974, 13, 1019–1021. [Google Scholar] [CrossRef]
- Carney, J.A. Wilms’ tumor and renal cell carcinoma in retroperitoneal teratoma. Cancer 1975, 35, 1179–1183. [Google Scholar] [CrossRef]
- Valdiserri, R.O.; Yunis, E.J. Sacrococcygeal teratomas: A review of 68 cases. Cancer 1981, 48, 217–221. [Google Scholar] [CrossRef]
- Kim, Y.W.; Park, Y.K.; Oh, S.M.; Yang, M.H. Retroperitoneal teratoma with predominance of nephroblastic elements—A case report. J. Korean Med. Sci. 1990, 5, 237–242. [Google Scholar] [CrossRef]
- Park, H.R.; Park, C.Y.; Choi, N.K.; Park, Y.E. A case of retroperitoneal teratoma with nephroblastoma. J. Korean Med. Sci. 1991, 6, 95–102. [Google Scholar] [CrossRef]
- Pawel, B.R.; de Chadarévian, J.P.; Smergel, E.M.; Weintraub, W.H. Teratoid Wilms tumor arising as a botryoid growth within a supernumerary ectopic ureteropelvic structure. Arch. Pathol. Lab. Med. 1998, 122, 925–928. [Google Scholar] [PubMed]
- Emerson, R.E.; Ulbright, T.M.; Zhang, S.; Foster, R.S.; Eble, J.N.; Cheng, L. Nephroblastoma arising in a germ cell tumor of testicular origin. Am. J. Surg. Pathol. 2004, 28, 687–692. [Google Scholar] [CrossRef] [PubMed]
- Badillo, A.T.; Kreiger, P.A.; Schmitz, K.R.; Ernst, L.M.; Kaiser, L.R.; Liechty, K.W. Wilms’ tumor arising within a mediastinal teratoma. J. Pediatr. Surg. 2006, 41, e1–e5. [Google Scholar] [CrossRef] [PubMed]
- Vanasupa, B.P.; Aaberg, R.A.; Sutherland, R.S. Testicular teratoma with nephroblastoma component. Urology 2007, 70, 179.e1–179.e2. [Google Scholar] [CrossRef]
- García-Galvis, O.F.; Stolnicu, S.; Muñoz, E.; Aneiros-Fernández, J.; Alaggio, R.; Nogales, F.F. Adult extrarenal Wilms tumor of the uterus with teratoid features. Hum. Pathol. 2009, 40, 418–424. [Google Scholar] [CrossRef]
- Al-Adnani, M.; Walker, J.; Cohen, M. Sacrococcygeal teratoma with extensive nephrogenic differentiation: A rare finding not to be misdiagnosed as yolk sac tumour. Histopathology 2009, 54, 764–765. [Google Scholar] [CrossRef]
- Song, J.S.; Kim, I.K.; Kim, Y.M.; Khang, S.; Kim, K.; Lee, Y. Extrarenal teratoid Wilms’ tumor: Two cases in unusual locations, one associated with elevated serum AFP. Pathol. Int. 2010, 60, 35–41. [Google Scholar] [CrossRef]
- Chowhan, A.K.; Reddy, M.K.; Javvadi, V.; Kannan, T. Extrarenal teratoid Wilms’ tumour. Singap. Med. J. 2011, 52, e134–e137. [Google Scholar]
- Keskin, S.; Ekenel, M.; Başaran, M.; Aksu, C.; Kılıçaslan, I.; Tunç, M.; Bavbek, S. The first case of primary testicular germ cell tumor containing nephroblastoma as the only one non-germ cell component. Jpn. J. Clin. Oncol. 2011, 41, 1037–1040. [Google Scholar] [CrossRef]
- Ishida, M.; Hotta, M.; Ohta, M.; Taga, T.; Ohta, S.; Takeuchi, Y.; Okabe, H. A case of retroperitoneal immature teratoma with nephroblastic components. J. Pediatr. Hematol. Oncol. 2012, 34, e22–e25. [Google Scholar] [CrossRef]
- Baskaran, D. Extrarenal teratoid wilms’ tumor in association with horseshoe kidney. Indian. J. Surg. 2013, 75, 128–132. [Google Scholar] [CrossRef] [PubMed]
- Ma, Y.; Zheng, J.; Zhu, H.; Shen, C.; Zheng, S.; Xiao, X.; Chen, L. Sacrococcygeal teratoma with nephroblastic elements: A case report and review of literature. Int. J. Clin. Exp. Pathol. 2014, 7, 8211–8216. [Google Scholar] [PubMed]
- Li, Y.; Lei, C.; Xiang, B.; Li, F.; Wang, C.; Wang, Q.; Chen, S.; Ji, Y. Extrarenal teratoma with nephroblastoma in the retroperitoneum: Case report and literature review. Medicine 2017, 96, e8670. [Google Scholar] [CrossRef] [PubMed]
- Unny, A.K.; Subramanian, B.; Srinivasan, A.; Rabia, S. Extrarenal Teratoid Wilms Tumor. J. Indian. Assoc. Pediatr. Surg. 2022, 27, 623–626. [Google Scholar] [CrossRef]
- Fernandes, E.T.; Parham, D.M.; Ribeiro, R.C.; Douglass, E.C.; Mahesh Kumar, A.P.; Wilimas, J. Teratoid Wilms’ tumor: The St Jude experience. J. Pediatr. Surg. 1988, 23, 1131–1134. [Google Scholar] [CrossRef]
- Ghamdi, D.A.; Bakshi, N.; Akhtar, M. Teratoid wilms tumor: Report of three cases and review of the literature. Turk. J. Pathol. 2016, 35, 061–068. Available online: http://www.turkjpath.org/doi.php?doi=10.5146/tjpath.2016.01363 (accessed on 26 August 2024). [CrossRef]
- Inoue, M.; Uchida, K.; Kohei, O.; Nashida, Y.; Deguchi, T.; Komada, Y.; Kusunoki, M. Teratoid Wilms’ tumor: A case report with literature review. J. Pediatr. Surg. 2006, 41, 1759–1763. [Google Scholar] [CrossRef]
- Seo, J.; Suh, Y.; Choi, H.Y. Adult teratoid Wilms’ tumor with prominent neuroepithelial differentiation. Pathol. Int. 2009, 59, 44–48. [Google Scholar] [CrossRef]
- D’Hooghe, E.; Mifsud, W.; Vujanić, G.M. “Teratoid” Wilms Tumor: The Extreme End of Heterologous Element Differentiation, Not a Separate Entity. Am. J. Surg. Pathol. 2019, 43, 1583–1590. [Google Scholar] [CrossRef]
- Minuth, W.W. The mutual patterning between the developing nephron and its covering tissues-valid reasons to rethink the search for traces left by impaired nephrogenesis. Mol. Cell Pediatr. 2021, 8, 9. [Google Scholar] [CrossRef]
- Luyckx, V.A. Preterm Birth and its Impact on Renal Health. Semin. Nephrol. 2017, 37, 311–319. [Google Scholar] [CrossRef] [PubMed]
- Stritzke, A.; Thomas, S.; Amin, H.; Fusch, C.; Lodha, A. Renal consequences of preterm birth. Mol. Cell Pediatr. 2017, 4, 2. [Google Scholar] [CrossRef] [PubMed]
- Reidy, K.J.; Rosenblum, N.D. Cell and molecular biology of kidney development. Semin. Nephrol. 2009, 29, 321–337. [Google Scholar] [CrossRef]
- Wood-Bradley, R.J.; Henry, S.L.; Barrand, S.; Giot, A.; Eipper, L.; Bertram, J.F.; Cullen-McEwen, L.A.; Armitage, J.A. Analysis of structure and gene expression in developing kidneys of male and female rats exposed to low protein diets in utero. Anat. Rec. 2020, 303, 2657–2667. [Google Scholar] [CrossRef]
- Sutherland, M.R.; Gubhaju, L.; Moore, L.; Kent, A.L.; Dahlstrom, J.E.; Horne, R.S.C.; Hoy, W.E.; Bertram, J.F.; Black, M.J. Accelerated Maturation and Abnormal Morphology in the Preterm Neonatal Kidney. J. Am. Soc. Nephrol. 2011, 22, 1365–1374. [Google Scholar] [CrossRef]
- Rodríguez, M.M.; Gómez, A.H.; Abitbol, C.L.; Chandar, J.J.; Duara, S.; Zilleruelo, G.E. Histomorphometric Analysis of Postnatal Glomerulogenesis in Extremely Preterm Infants. Pediatr. Dev. Pathol. 2004, 7, 17–25. [Google Scholar] [CrossRef]
- Minuth, W.W. Reading First Coordinates from the Nephrogenic Zone in Human Fetal Kidney. Nephron 2018, 138, 137–146. [Google Scholar] [CrossRef] [PubMed]
- Minuth, W.W. Key features of the nephrogenic zone in the fetal human kidney—Hardly known but relevant for the detection of first traces impairing nephrogenesis. Cell Tissue Res. 2019, 375, 589–603. [Google Scholar] [CrossRef]
- Minuth, W.W. Shaping of the nephron—A complex, vulnerable, and poorly explored backdrop for noxae impairing nephrogenesis in the fetal human kidney. Mol. Cell Pediatr. 2020, 7, 2. [Google Scholar] [CrossRef]
- Oxburgh, L.; Muthukrishnan, S.D.; Brown, A. Growth Factor Regulation in the Nephrogenic Zone of the Developing Kidney. In Kidney Development and Disease [Internet]; Miller, R.K., Ed.; Results and Problems in Cell Differentiation; Springer International Publishing: Cham, Switzerland, 2017; Volume 60, pp. 137–164. Available online: http://link.springer.com/10.1007/978-3-319-51436-9_6 (accessed on 26 September 2024).
- Ryan, D.; Sutherland, M.R.; Flores, T.J.; Kent, A.L.; Dahlstrom, J.E.; Puelles, V.G.; Bertram, J.F.; McMahon, A.P.; Little, M.H.; Moore, L.; et al. Development of the Human Fetal Kidney from Mid to Late Gestation in Male and Female Infants. EBioMedicine 2018, 27, 275–283. [Google Scholar] [CrossRef]
- Munro, D.A.; Wineberg, Y.; Tarnick, J.; Vink, C.S.; Li, Z.; Pridans, C.; Dzierzak, E.; Kalisky, T.; Hohenstein, P.; Davies, J.A.; et al. Macrophages restrict the nephrogenic field and promote endothelial connections during kidney development. eLife 2019, 8, e43271. [Google Scholar] [CrossRef] [PubMed]
- Beckwith, J.B.; Kiviat, N.B.; Bonadio, J.F. Nephrogenic rests, nephroblastomatosis, and the pathogenesis of Wilms’ tumor. Pediatr. Pathol. 1990, 10, 1–36. [Google Scholar] [CrossRef] [PubMed]
- Sergi, C.M. Pathology of Childhood and Adolescence: An Illustrated Guide; Springer: Berlin, Germany, 2020. [Google Scholar]
- Schwalbe, E. Die Morphologie der Missbildungen des Menschen und der Tiere; Fischer: Jena, Germany, 1906; Volume 3, p. 60. [Google Scholar]
- Fialkowski, E.; Sudour-Bonnange, H.; Vujanic, G.M.; Shamberger, R.C.; Chowdhury, T.; Aldrink, J.H.; Davick, J.; Sandberg, J.; Furtwaengler, R.; Mullen, E. The varied spectrum of nephroblastomatosis, nephrogenic rests, and Wilms tumors: Review of current definitions and challenges of the field. Pediatr. Blood Cancer 2023, 70, e30162. [Google Scholar] [CrossRef] [PubMed]
- Beckwith, J.B. Precursor lesions of Wilms tumor: Clinical and biological implications. Med. Pediatr. Oncol. 1993, 21, 158–168. [Google Scholar] [CrossRef] [PubMed]
- Fukuzawa, R.; Reeve, A.E. Molecular Pathology and Epidemiology of Nephrogenic Rests and Wilms Tumors. J. Pediatr. Hematol./Oncol. 2007, 29, 589–594. [Google Scholar] [CrossRef]
- Beckwith, J.B. Nephrogenic rests and the pathogenesis of Wilms tumor: Developmental and clinical considerations. Am. J. Med. Genet. 1998, 79, 268–273. [Google Scholar] [CrossRef]
- Vujanić, G.M.; Apps, J.R.; Moroz, V.; Ceroni, F.; Williams, R.D.; Sebire, N.J.; Pritchard-Jones, K. Nephrogenic rests in Wilms tumors treated with preoperative chemotherapy: The UK SIOP Wilms Tumor 2001 Trial experience. Pediatr. Blood Cancer 2017, 64, e26547. [Google Scholar] [CrossRef]
- Breslow, N.E.; Beckwith, J.B.; Perlman, E.J.; Reeve, A.E. Age distributions, birth weights, nephrogenic rests, and heterogeneity in the pathogenesis of Wilms tumor. Pediatr. Blood Cancer 2006, 47, 260–267. [Google Scholar] [CrossRef]
- Knudson, A.G. Mutation and Cancer: Statistical Study of Retinoblastoma. Proc. Natl. Acad. Sci. USA 1971, 68, 820–823. [Google Scholar] [CrossRef]
- Chernoff, J. The two-hit theory hits 50. MBoC 2021, 32, rt1. [Google Scholar] [CrossRef]
- Cavenee, W.K.; Dryja, T.P.; Phillips, R.A.; Benedict, W.F.; Godbout, R.; Gallie, B.L.; Murphree, A.L.; Strong, L.C.; White, R.L. Expression of recessive alleles by chromosomal mechanisms in retinoblastoma. Nature 1983, 305, 779–784. [Google Scholar] [CrossRef] [PubMed]
- Hennigar, R.A.; O’Shea, P.A.; Grattan-Smith, J.D. Clinicopathologic Features of Nephrogenic Rests and Nephroblastomatosis. Adv. Anat. Pathol. 2001, 5, 276–289. [Google Scholar] [CrossRef] [PubMed]
- Bánki, T.; Drost, J.; van den Heuvel-Eibrink, M.M.; Mavinkurve-Groothuis, A.M.C.; de Krijger, R.R. Somatic, Genetic and Epigenetic Changes in Nephrogenic Rests and Their Role in the Transformation to Wilms Tumors, a Systematic Review. Cancers 2023, 15, 1363. [Google Scholar] [CrossRef] [PubMed]




| Antibody | Vendor | Catalogue | Clone | ER | Time (min) | Dilution |
|---|---|---|---|---|---|---|
| Pan-Keratins | In-house mix of CK8/18 and AE 1/3 (see below) | ER1 | 20 | 1:750 | ||
| CK8/18 | Leica | PA0067 | 5D3 | ER1 | 20 | RTU * |
| AE 1/3 | Millipore Sigma | MAB2314 | AE1–3 | ER1 | 20 | 1:750 |
| CD56 | Leica | PA0191 | CD564 | ER2 | 15 | RTU * |
| Glypican-3 | Millipore Sigma | CMQ-261M96 | - | ER2 | 20 | 1:50 |
| Beta-HCG | Leica | PA0014 | POLY ** | ER1 | 20 | RTU * |
| Ki67 | Dako | M7240 | MIB-1 | ER1 | 20 | 1:75 |
| Oct 3/4 | Leica | PA0193 | N1NK | ER2 | 30 | RTU * |
| PAX8 | Millipore Sigma | 363M-14 | MRQ-50 | ER2 | 20 | 1:100 |
| SALL4 | Biocare | CM384C | 6 × 103 | ER2 | 20 | 1:100 |
| Wilms Tumor 1 | Leica | PA0562 | WT49 | ER2 | 40 | RTU * |
| Author | YR | Age | Sex | Site | Size | Histology | Chemo/Rad | Follow-Up |
|---|---|---|---|---|---|---|---|---|
| Moyson [4] | 1961 | 3 y | F | Mediastinum | “Newborn head” | Death (several weeks later) | ||
| Malik [5] | 1967 | 6 y | F | Retroperitoneum | 12.0 × 12.0 × 8.0 cm | N.A. | ||
| Tebbi [6] | 1974 | 3 y | F | Sacrococcygeal region | 8.0 × 6.0 × 6.0 cm | Triphasic WT, cysts with mucinous epithelium, smooth muscle, fat, and cartilage | 5400 rads over 6 weeks Vincristine, actinomycin D for 12 weeks | No recurrence (46 months) |
| Carney [7] | 1975 | 41 y | M | Retroperitoneum | Not specified | Triphasic WT, renal cell carcinoma, teratoma elements | Radiation (2 months after surgery) | Death (4 months) |
| Valdiserri [8] | 1981 | 3 d | F | Sacrococcygeal region | 9.0 cm | Immature teratoma with predominant renal immature component | None | No recurrence (6 years) |
| Valdiserri [8] | 1981 | 1.5 y | F | Sacrococcygeal region | 2.0 cm | Immature teratoma with predominant renal immature component | None | Death (3 years, after surgery for other causes) |
| Kim [9] | 1990 | 10 m | F | Retroperitoneum | 3.0 × 3.0 × 2.5 cm | Predominant WT elements, minor component of cartilage, adipose tissue, glial tissue, mucinous glands | Vincristine, cyclophosphamide, and actinomycin-D | No recurrence (4 months) |
| Park [10] | 1991 | 4 y | F | Retroperitoneum | 20.0 × 15.0 × 12.0 cm | Predominant heterologous elements with adipose tissue, cartilage, ganglia, skeletal muscle, and glandular structures. Minor component of WT | Refused chemotherapy | Recurrence (3 months later with only nephroblastomatous elements) |
| Pawel [11] | 1998 | 7 y | M | Supernumerary ectopic ureteropelvic structure | 5.0 cm | Botryoid RMS-like growth with areas of triphasic WT | Vincristine and dactinomycin (18 weeks) | No recurrence (18 months) |
| Emerson [12] | 2004 | 22 y | M | Left testis with left supraclavicular and retroperitoneal lymphadenopathy | 7.5 cm | Mature and immature teratoma with WT and RMS. Supraclavicular lymph node with mature teratoma | Bleomycin–etopside–cisplatin (3 cycles) | No recurrence (21 months) |
| Badillo [13] | 2006 | 18 y | M | Mediastinum | 16.0 × 13.0 × 7.0 cm | Nodular triphasic WT and mature heterologous background elements | Vincristine and actinomycin D (after recurrence) | Recurrence |
| Vanasupa [14] | 2007 | 18 y | M | Right testis | 3.0 cm | Teratoma with WT, RMS, focal embryonal carcinoma, and minute YST | None | No recurrence (4 months) |
| García-Galvis [15] | 2008 | 62 y | F | Uterus | 8.0 cm | Triphasic WT and abundant heterologous elements | Cisplatin and ifosfamide (4 cycles) followed by 50 Gy radiation therapy | No recurrence (14 months) |
| Al-Adnani [16] | 2009 | 15 m | F | Sacrococcygeal region | 9.0 × 7.0 × 4.5 cm | Mature tissues and “large areas of nephrogenic differentiation” | None | No recurrence (9 months) |
| Song [17] | 2010 | 13 y | F | Vagina | 6.0 × 5.0 cm | A diffuse and nodular “blastema”, rhabdomyomatous spindle cells, fetal glomeruli in a mature cystic teratoma | Vincristine, cyclophosphamide, and actinomycin-D for 6 months | No recurrence (7 years, 1 month) |
| Song [17] | 2010 | 1 d | F | Sacrococcygeal region | 13 cm | A diffuse and nodular “blastema”, rhabdomyomatous spindle cells, fetal glomeruli in a mature cystic teratoma | Vincristine and actinomycin-D for 6 months | No recurrence (2 years, 5 months) |
| Chowhan [18] | 2011 | 15 m | M | Retroperitoneum | 6.0 × 6.0 cm | “Heterologous elements”, focally dilated glandular structures, focal adipocytes, neural and skeletal muscle, triphasic WT | Vincristine and actinomycin-D | No recurrence (6 months) |
| Keskin [19] | 2011 | 19 y | M | Testis | 4.0 cm | A mature cystic teratoma with a focus of nephroblastomatous elements | Bleomycin, etoposide, and cisplatin (4 cycles). Second-line paclitaxel, ifosfamide, and cisplatin. | Death (18 months) |
| Ishida [20] | 2012 | 2 m | F | Retroperitoneum | 13.0 × 10.0 × 10.0 cm | Multilobulated nephroblastomatous elements within an immature teratoma | None | No recurrence (3 months) |
| Baskaran [21] | 2013 | 3 y | M | Retroperitoneum | 11.0 × 10.0 cm | A unilocular thin-walled cyst with one polypoid focus of a blastema in a mature cystic teratoma | None | No recurrence (1 year) |
| Ma [22] | 2014 | 6 m | M | Sacrococcygeal region | 9.0 × 8.0 × 5.0 cm | Mature heterologous tissue with one focus of nephroblastic elements | None | No recurrence (8 months) |
| Li [23] | 2017 | 3 y | F | Abdomen | 14.0 × 13.0 × 10.0 cm | A multifocal blastemal component in a mature cystic teratoma | None | No recurrence (2 years) |
| Unny [24] | 2022 | 6 y | F | Retroperitoneum | 9.2 × 8.0 × 5.2 cm | Initial biopsy was diagnosed as Ewing’s tumor. Resection after neoadjuvant chemotherapy revealed a mature cystic teratoma with glomeruloid structures and a focal blastema. | Salvage chemotherapy with vincristine, orinotecan, and temozolomide | Recurrence and metastasis (2 months) |
| Alfawaz (our case) | 2024 | 8 y | F | Mediastinum | 10.0 × 8.0 × 2.5 cm | Mature cystic teratoma with heterologous elements and small foci of nephroblastomatous elements | None | No recurrence (6 months) |
| Early Events | Late Events |
|---|---|
| 1p Loss | |
| 4q Loss | |
| 7q Loss | 7p LOH |
| 11p Loss | |
| 11p13 LOI and LOH | |
| 12q Loss | 16q LOH |
| 22 Loss | |
| Mutations in WT1, WTX, and KRAS | Mutations in CTNNB1 and FBXW7 |
Disclaimer/Publisher’s Note: The statements, opinions and data contained in all publications are solely those of the individual author(s) and contributor(s) and not of MDPI and/or the editor(s). MDPI and/or the editor(s) disclaim responsibility for any injury to people or property resulting from any ideas, methods, instructions or products referred to in the content. |
© 2024 by the authors. Licensee MDPI, Basel, Switzerland. This article is an open access article distributed under the terms and conditions of the Creative Commons Attribution (CC BY) license (https://creativecommons.org/licenses/by/4.0/).
Share and Cite
Alfawaz, B.; Koujok, K.; Eamer, G.; Sergi, C.M. Mediastinal Teratoma with Nephroblastomatous Elements: Case Report, Literature Review, and Comparison with Maturing Fetal Glomerulogenic Zone/Definitive Zone Ratio and Nephrogenic Rests. Int. J. Mol. Sci. 2024, 25, 12427. https://doi.org/10.3390/ijms252212427
Alfawaz B, Koujok K, Eamer G, Sergi CM. Mediastinal Teratoma with Nephroblastomatous Elements: Case Report, Literature Review, and Comparison with Maturing Fetal Glomerulogenic Zone/Definitive Zone Ratio and Nephrogenic Rests. International Journal of Molecular Sciences. 2024; 25(22):12427. https://doi.org/10.3390/ijms252212427
Chicago/Turabian StyleAlfawaz, Bader, Khaldoun Koujok, Gilgamesh Eamer, and Consolato M. Sergi. 2024. "Mediastinal Teratoma with Nephroblastomatous Elements: Case Report, Literature Review, and Comparison with Maturing Fetal Glomerulogenic Zone/Definitive Zone Ratio and Nephrogenic Rests" International Journal of Molecular Sciences 25, no. 22: 12427. https://doi.org/10.3390/ijms252212427
APA StyleAlfawaz, B., Koujok, K., Eamer, G., & Sergi, C. M. (2024). Mediastinal Teratoma with Nephroblastomatous Elements: Case Report, Literature Review, and Comparison with Maturing Fetal Glomerulogenic Zone/Definitive Zone Ratio and Nephrogenic Rests. International Journal of Molecular Sciences, 25(22), 12427. https://doi.org/10.3390/ijms252212427

