DLK1 Is Associated with Stemness Phenotype in Medullary Thyroid Carcinoma Cell Lines
Abstract
1. Introduction
2. Results
2.1. Distinct Molecular Signatures of Stem Cell Markers in MTC Cell Lines
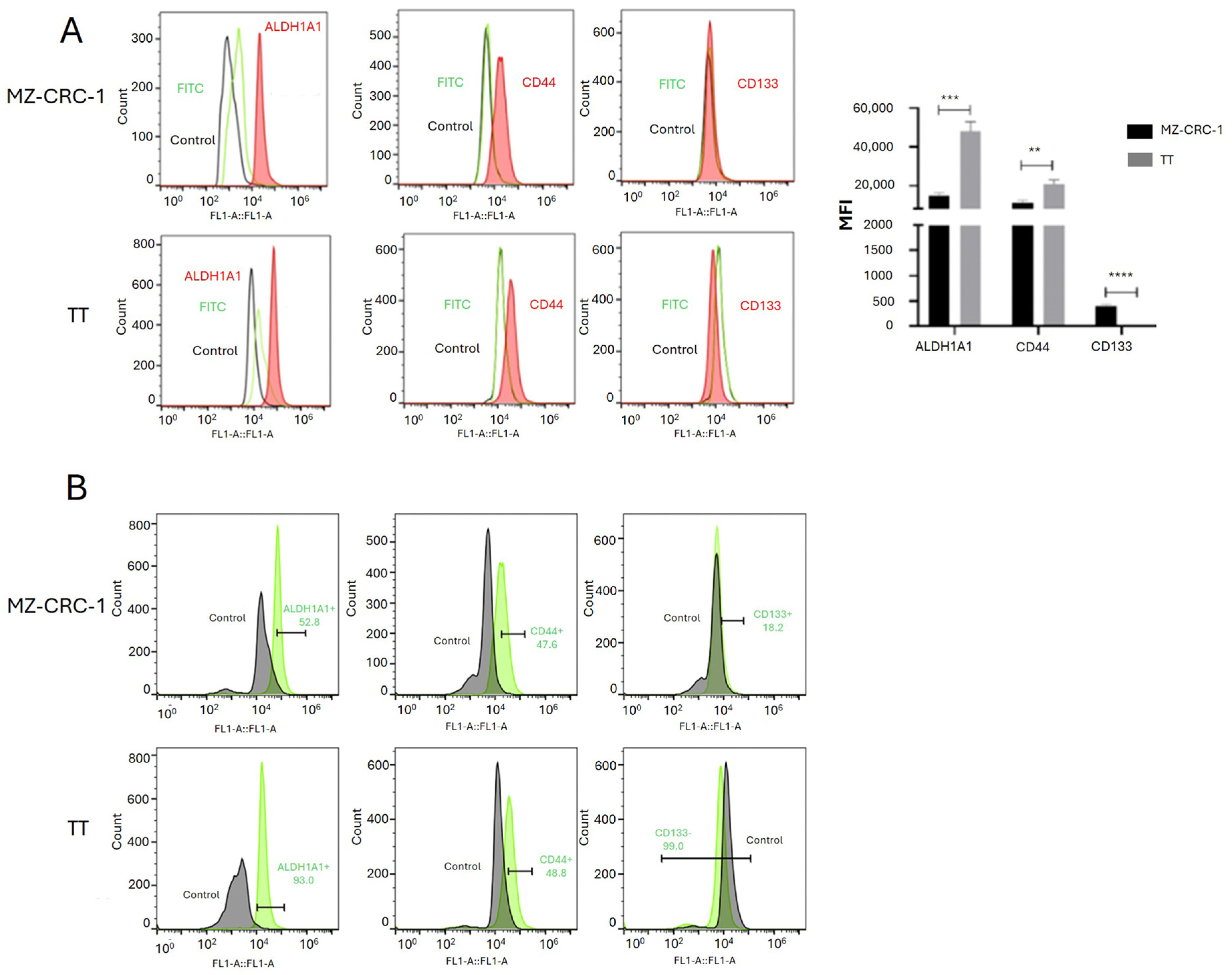
2.2. Validation Analysis Confirmed Higher Expression of Stemness Markers in MZ-CRC-1 Cells
2.3. The Expression of Hypothetical Thyroid Cancer Stem Cells in MTC Cell Lines
2.4. DLK1 Is Specifically Expressed in MTC Cell Lines
2.5. Expression of Multidrug Resistance Protein in Medullary Thyroid Carcinoma Cells
2.6. Enhanced Spheroid Generation Ability in MZ-CRC-1 Cells
2.7. Cell Sorting and Characterization of DLK1-Positive Cells
3. Discussion
4. Materials and Methods
4.1. Cell Culture
4.2. Protein Array Analysis
4.3. Flow Cytometry Analysis
4.4. Hoechst 33342 Efflux Assay
4.5. Generation of Spheroid Cultures
4.6. Western Blot Analysis
4.7. Fluorescence-Activated Cell Sorting (FACS)
4.8. Statistical Analysis
5. Conclusions
Supplementary Materials
Author Contributions
Funding
Data Availability Statement
Conflicts of Interest
References
- American Thyroid Association Guidelines Task Force; Kloos, R.T.; Eng, C.; Evans, D.B.; Francis, G.L.; Gagel, R.F.; Gharib, H.; Moley, J.F.; Pacini, F.; Ringel, M.D.; et al. Medullary thyroid cancer: Management guidelines of the American Thyroid Association. Thyroid 2009, 19, 565–612, Erratum in Thyroid 2009, 19, 1295. [Google Scholar] [CrossRef] [PubMed]
- Wells, S.A., Jr.; Asa, S.L.; Dralle, H.; Elisei, R.; Evans, D.B.; Gagel, R.F.; Lee, N.; Machens, A.; Moley, J.F.; Pacini, F.; et al. Revised American Thyroid Association guidelines for the management of medullary thyroid carcinoma. Thyroid 2015, 25, 567–610. [Google Scholar] [CrossRef] [PubMed] [PubMed Central]
- Cerutti, J.M.; Maciel, R.M. An unusual genotype-phenotype correlation in MEN 2 patients: Should screening for RET double germline mutations be performed to avoid misleading diagnosis and treatment? Clin. Endocrinol. 2013, 79, 591–592. [Google Scholar] [CrossRef] [PubMed]
- Araujo, A.N.; Moraes, L.; França, M.I.; Hakonarson, H.; Li, J.; Pellegrino, R.; Maciel, R.M.; Cerutti, J.M. Genome-wide copy number analysis in a family with p.G533C RET mutation and medullary thyroid carcinoma identified regions potentially associated with a higher predisposition to lymph node metastasis. J. Clin. Endocrinol. Metab. 2014, 99, E1104–E1112. [Google Scholar] [CrossRef] [PubMed]
- Signorini, P.S.; França, M.I.; Camacho, C.P.; Lindsey, S.C.; Valente, F.O.; Kasamatsu, T.S.; Machado, A.L.; Salim, C.P.; Delcelo, R.; Hoff, A.O.; et al. A ten-year clinical update of a large RET p.Gly533Cys kindred with medullary thyroid carcinoma emphasizes the need for an individualized assessment of affected relatives. Clin. Endocrinol. 2014, 80, 235–245. [Google Scholar] [CrossRef] [PubMed]
- Ceolin, L.; Duval, M.A.D.S.; Benini, A.F.; Ferreira, C.V.; Maia, A.L. Medullary thyroid carcinoma beyond surgery: Advances, challenges, and perspectives. Endocr. Relat. Cancer 2019, 26, R499–R518. [Google Scholar] [CrossRef] [PubMed]
- Maciel, R.M.B.; Camacho, C.P.; Assumpção, L.V.M.; Bufalo, N.E.; Carvalho, A.L.; de Carvalho, G.A.; Castroneves, L.A.; de Castro, F.M.; Ceolin, L.; Cerutti, J.M.; et al. Genotype and phenotype landscape of MEN2 in 554 medullary thyroid cancer patients: The BrasMEN study. Endocr. Connect. 2019, 8, 289–298. [Google Scholar] [CrossRef] [PubMed] [PubMed Central]
- Moura, M.M.; Cavaco, B.M.; Pinto, A.E.; Leite, V. High prevalence of RAS mutations in RET-negative sporadic medullary thyroid carcinomas. J. Clin. Endocrinol. Metab. 2011, 96, E863–E868. [Google Scholar] [CrossRef] [PubMed]
- Agrawal, N.; Jiao, Y.; Sausen, M.; Leary, R.; Bettegowda, C.; Roberts, N.J.; Bhan, S.; Ho, A.S.; Khan, Z.; Bishop, J.; et al. Exomic sequencing of medullary thyroid cancer reveals dominant and mutually exclusive oncogenic mutations in RET and RAS. J. Clin. Endocrinol. Metab. 2013, 98, E364–E369. [Google Scholar] [CrossRef] [PubMed] [PubMed Central]
- Oczko-Wojciechowska, M.; Czarniecka, A.; Gawlik, T.; Jarzab, B.; Krajewska, J. Current status of the prognostic molecular markers in medullary thyroid carcinoma. Endocr. Connect. 2020, 9, R251–R263. [Google Scholar] [CrossRef] [PubMed] [PubMed Central]
- Yeh, T.; Yeung, M.; Sherman, E.J.; Tuttle, R.M.; Sabra, M.M. Structural Doubling Time Predicts Overall Survival in Patients with Medullary Thyroid Cancer in Patients with Rapidly Progressive Metastatic Medullary Thyroid Cancer Treated with Molecular Targeted Therapies. Thyroid 2020, 30, 1112–1119. [Google Scholar] [CrossRef] [PubMed] [PubMed Central]
- Elisei, R.; Cosci, B.; Romei, C.; Bottici, V.; Renzini, G.; Molinaro, E.; Agate, L.; Vivaldi, A.; Faviana, P.; Basolo, F.; et al. Prognostic significance of somatic RET oncogene mutations in sporadic medullary thyroid cancer: A 10-year follow-up study. J. Clin. Endocrinol. Metab. 2008, 93, 682–687. [Google Scholar] [CrossRef] [PubMed]
- Moura, M.M.; Cavaco, B.M.; Leite, V. RAS proto-oncogene in medullary thyroid carcinoma. Endocr. Relat. Cancer 2015, 22, R235–R252. [Google Scholar] [CrossRef] [PubMed]
- Ciampi, R.; Romei, C.; Ramone, T.; Prete, A.; Tacito, A.; Cappagli, V.; Bottici, V.; Viola, D.; Torregrossa, L.; Ugolini, C.; et al. Genetic Landscape of Somatic Mutations in a Large Cohort of Sporadic Medullary Thyroid Carcinomas Studied by Next-Generation Targeted Sequencing. iScience 2019, 20, 324–336. [Google Scholar] [CrossRef] [PubMed] [PubMed Central]
- Kim, M.; Kim, B.H. Current Guidelines for Management of Medullary Thyroid Carcinoma. Endocrinol. Metab. 2021, 36, 514–524. [Google Scholar] [CrossRef] [PubMed] [PubMed Central]
- Pezzani, R.; Bertazza, L.; Cavedon, E.; Censi, S.; Manso, J.; Watutantrige-Fernando, S.; Pennelli, G.; Galuppini, F.; Barollo, S.; Mian, C. Novel Prognostic Factors Associated with Cell Cycle Control in Sporadic Medullary Thyroid Cancer Patients. Int. J. Endocrinol. 2019, 2019, 9421079. [Google Scholar] [CrossRef] [PubMed] [PubMed Central]
- Subbiah, V.; Gouda, M.A.; Iorgulescu, J.B.; Dadu, R.; Patel, K.; Sherman, S.; Cabanillas, M.; Hu, M.; Castellanos, L.E.; Amini, B.; et al. Adaptive Darwinian off-target resistance mechanisms to selective RET inhibition in RET driven cancer. NPJ Precis. Oncol. 2024, 8, 62. [Google Scholar] [CrossRef] [PubMed] [PubMed Central]
- Subbiah, V.; Shen, T.; Terzyan, S.S.; Liu, X.; Hu, X.; Patel, K.P.; Hu, M.; Cabanillas, M.; Behrang, A.; Meric-Bernstam, F.; et al. Structural basis of acquired resistance to selpercatinib and pralsetinib mediated by non-gatekeeper RET mutations. Ann. Oncol. 2021, 32, 261–268. [Google Scholar] [CrossRef] [PubMed] [PubMed Central]
- Maliszewska, A.; Leandro-Garcia, L.J.; Castelblanco, E.; Macià, A.; de Cubas, A.; Goméz-López, G.; Inglada-Pérez, L.; Álvarez-Escolá, C.; De la Vega, L.; Letón, R.; et al. Differential gene expression of medullary thyroid carcinoma reveals specific markers associated with genetic conditions. Am. J. Pathol. 2013, 182, 350–362. [Google Scholar] [CrossRef] [PubMed]
- Bi, Y.; Meng, Y.; Wu, H.; Cui, Q.; Luo, Y.; Xue, X. Expression of the potential cancer stem cell markers CD133 and CD44 in medullary thyroid carcinoma: A ten-year follow-up and prognostic analysis. J. Surg. Oncol. 2016, 113, 144–151. [Google Scholar] [CrossRef] [PubMed]
- Cordero-Barreal, A.; Caleiras, E.; López de Maturana, E.; Monteagudo, M.; Martínez-Montes, Á.M.; Letón, R.; Gil, E.; Álvarez-Escolá, C.; Regojo, R.M.; Andía, V.; et al. CD133 Expression in Medullary Thyroid Cancer Cells Identifies Patients with Poor Prognosis. J. Clin. Endocrinol. Metab. 2020, 105, dgaa527. [Google Scholar] [CrossRef] [PubMed]
- Vargas, C.V.F.; Ceolin, L.; Scheffel, R.S.; Benini, A.F.; Graudenz, M.S.; Maia, A.L. The tissue expression pattern of CA 19.9 is associated with oncological features in medullary thyroid carcinoma. Endocrine 2020, 70, 544–551. [Google Scholar] [CrossRef] [PubMed]
- Pitoia, F.; Trimboli, P.; Abelleira, E. Primary resistance to selpercatinib in a patient with advanced medullary thyroid cancer. Endocrine 2024. epub ahead of print. [Google Scholar] [CrossRef] [PubMed]
- Barbet, J.; Campion, L.; Kraeber-Bodéré, F.; Chatal, J.F.; GTE Study Group. Prognostic impact of serum calcitonin and carcinoembryonic antigen doubling-times in patients with medullary thyroid carcinoma. J. Clin. Endocrinol. Metab. 2005, 90, 6077–6084. [Google Scholar] [CrossRef] [PubMed]
- Williams, J.F.; Zhao, M.; Najdawi, F.; Ahmadi, S.; Hornick, J.L.; Wong, K.S.; Barletta, J.A. Grading of Medullary Thyroid Carcinoma: An Interobserver Reproducibility Study. Endocr. Pathol. 2022, 33, 371–377. [Google Scholar] [CrossRef] [PubMed]
- Araujo, A.N.; Camacho, C.P.; Mendes, T.B.; Lindsey, S.C.; Moraes, L.; Miyazawa, M.; Delcelo, R.; Pellegrino, R.; Mazzotti, D.R.; Maciel, R.M.B.; et al. Comprehensive Assessment of Copy Number Alterations Uncovers Recurrent AIFM3 and DLK1 Copy Gain in Medullary Thyroid Carcinoma. Cancers 2021, 13, 218. [Google Scholar] [CrossRef] [PubMed] [PubMed Central]
- Helman, L.J.; Thiele, C.J.; Linehan, W.M.; Nelkin, B.D.; Baylin, S.B.; Israel, M.A. Molecular markers of neuroendocrine development and evidence of environmental regulation. Proc. Natl. Acad. Sci. USA 1987, 84, 2336–2339. [Google Scholar] [CrossRef] [PubMed] [PubMed Central]
- Pittaway, J.F.H.; Lipsos, C.; Mariniello, K.; Guasti, L. The role of delta-like non-canonical Notch ligand 1 (DLK1) in cancer. Endocr. Relat. Cancer 2021, 28, R271–R287. [Google Scholar] [CrossRef] [PubMed]
- Kim, H.S.; Ahn, S.H.; Kim, H.J.; Park, J.W.; Han, I. Delta-like Factor 1 as a Possible Therapeutic Target for Sarcomas. Clin. Orthop. Surg. 2020, 12, 404–412. [Google Scholar] [CrossRef] [PubMed] [PubMed Central]
- Grassi, E.S.; Pietras, A. Emerging Roles of DLK1 in the Stem Cell Niche and Cancer Stemness. J. Histochem. Cytochem. 2022, 70, 17–28. [Google Scholar] [CrossRef] [PubMed] [PubMed Central]
- Nagayama, Y.; Shimamura, M.; Mitsutake, N. Cancer Stem Cells in the Thyroid. Front. Endocrinol. 2016, 7, 20. [Google Scholar] [CrossRef] [PubMed] [PubMed Central]
- Hadoux, J.; Pacini, F.; Tuttle, R.M.; Schlumberger, M. Management of advanced medullary thyroid cancer. Lancet Diabetes Endocrinol. 2016, 4, 64–71. [Google Scholar] [CrossRef] [PubMed]
- Angelousi, A.; Hayes, A.R.; Chatzellis, E.; Kaltsas, G.A.; Grossman, A.B. Metastatic medullary thyroid carcinoma: A new way forward. Endocr. Relat. Cancer 2022, 29, R85–R103. [Google Scholar] [CrossRef] [PubMed] [PubMed Central]
- Shimaoka, K.; Schoenfeld, D.A.; DeWys, W.D.; Creech, R.H.; DeConti, R. A randomized trial of doxorubicin versus doxorubicin plus cisplatin in patients with advanced thyroid carcinoma. Cancer 1985, 56, 2155–2160. [Google Scholar] [CrossRef] [PubMed]
- Pelizzo, M.R.; Boschin, I.M.; Bernante, P.; Toniato, A.; Piotto, A.; Pagetta, C.; Nibale, O.; Rampin, L.; Muzzio, P.C.; Rubello, D. Natural history, diagnosis, treatment and outcome of medullary thyroid cancer: 37 years experience on 157 patients. Eur. J. Surg. Oncol. 2007, 33, 493–497. [Google Scholar] [CrossRef] [PubMed]
- Torresan, F.; Armellin, C.; Iacobone, M. Management of medullary thyroid carcinoma. Ann. Thyroid. 2020, 5, 16. [Google Scholar] [CrossRef]
- Gild, M.L.; Clifton-Bligh, R.J.; Wirth, L.J.; Robinson, B.G. Medullary Thyroid Cancer: Updates and Challenges. Endocr. Rev. 2023, 44, 934–946. [Google Scholar] [CrossRef] [PubMed] [PubMed Central]
- Bruce, J.Y.; Bible, K.C.; Chintakuntlawar, A.V. Emergence of Resistant Clones in Medullary Thyroid Cancer May Not Be Rescued by Subsequent Salvage Highly Selective Rearranged During Transfection-Inhibitor Therapy. Thyroid 2021, 31, 332–333. [Google Scholar] [CrossRef] [PubMed]
- Solomon, B.J.; Tan, L.; Lin, J.J.; Wong, S.Q.; Hollizeck, S.; Ebata, K.; Tuch, B.B.; Yoda, S.; Gainor, J.F.; Sequist, L.V.; et al. RET Solvent Front Mutations Mediate Acquired Resistance to Selective RET Inhibition in RET-Driven Malignancies. J. Thorac. Oncol. 2020, 15, 541–549. [Google Scholar] [CrossRef] [PubMed] [PubMed Central]
- Hadoux, J.; Elisei, R.; Brose, M.S.; Hoff, A.O.; Robinson, B.G.; Gao, M.; Jarzab, B.; Isaev, P.; Kopeckova, K.; Wadsley, J.; et al. Phase 3 Trial of Selpercatinib in Advanced RET-Mutant Medullary Thyroid Cancer. N. Engl. J. Med. 2023, 389, 1851–1861. [Google Scholar] [CrossRef] [PubMed]
- Roman-Gil, M.S.; Pozas, J.; Rosero-Rodriguez, D.; Chamorro-Perez, J.; Ruiz-Granados, A.; Caracuel, I.R.; Grande, E.; Molina-Cerrillo, J.; Alonso-Gordoa, T. Resistance to RET targeted therapy in Thyroid Cancer: Molecular basis and overcoming strategies. Cancer Treat. Rev. 2022, 105, 102372. [Google Scholar] [CrossRef] [PubMed]
- Guo, M.; Sun, Y.; Wei, Y.; Xu, J.; Zhang, C. Advances in targeted therapy and biomarker research in thyroid cancer. Front. Endocrinol. 2024, 15, 1372553. [Google Scholar] [CrossRef] [PubMed] [PubMed Central]
- Okafor, C.; Hogan, J.; Raygada, M.; Thomas, B.J.; Akshintala, S.; Glod, J.W.; Del Rivero, J. Update on Targeted Therapy in Medullary Thyroid Cancer. Front. Endocrinol. 2021, 12, 708949. [Google Scholar] [CrossRef] [PubMed] [PubMed Central]
- Adams, J.M.; Strasser, A. Is tumor growth sustained by rare cancer stem cells or dominant clones? Cancer Res. 2008, 68, 4018–4021. [Google Scholar] [CrossRef] [PubMed]
- Grange, C.; Tapparo, M.; Collino, F.; Vitillo, L.; Damasco, C.; Deregibus, M.C.; Tetta, C.; Bussolati, B.; Camussi, G. Microvesicles released from human renal cancer stem cells stimulate angiogenesis and formation of lung premetastatic niche. Cancer Res. 2011, 71, 5346–5356. [Google Scholar] [CrossRef] [PubMed]
- Vinogradov, S.; Wei, X. Cancer stem cells and drug resistance: The potential of nanomedicine. Nanomedicine 2012, 7, 597–615. [Google Scholar] [CrossRef] [PubMed] [PubMed Central]
- Mai, Y.; Su, J.; Yang, C.; Xia, C.; Fu, L. The strategies to cure cancer patients by eradicating cancer stem-like cells. Mol. Cancer 2023, 22, 171. [Google Scholar] [CrossRef] [PubMed] [PubMed Central]
- Kulesza, J.; Paluszkiewicz, E.; Augustin, E. Cellular Effects of Selected Unsymmetrical Bisacridines on the Multicellular Tumor Spheroids of HCT116 Colon and A549 Lung Cancer Cells in Comparison to Monolayer Cultures. Int. J. Mol. Sci. 2023, 24, 15780. [Google Scholar] [CrossRef] [PubMed] [PubMed Central]
- Gheytanchi, E.; Naseri, M.; Karimi-Busheri, F.; Atyabi, F.; Mirsharif, E.S.; Bozorgmehr, M.; Ghods, R.; Madjd, Z. Morphological and molecular characteristics of spheroid formation in HT-29 and Caco-2 colorectal cancer cell lines. Cancer Cell Int. 2021, 21, 204. [Google Scholar] [CrossRef] [PubMed] [PubMed Central]
- Lytle, N.K.; Barber, A.G.; Reya, T. Stem cell fate in cancer growth, progression and therapy resistance. Nat. Rev. Cancer 2018, 18, 669–680. [Google Scholar] [CrossRef] [PubMed] [PubMed Central]
- Huang, J.L.; Oshi, M.; Endo, I.; Takabe, K. Clinical relevance of stem cell surface markers CD133, CD24, and CD44 in colorectal cancer. Am. J. Cancer Res. 2021, 11, 5141–5154. [Google Scholar] [PubMed] [PubMed Central]
- Sun, S.; Yang, Q.; Jiang, D.; Zhang, Y. Nanobiotechnology augmented cancer stem cell guided management of cancer: Liquid-biopsy, imaging, and treatment. J. Nanobiotechnology 2024, 22, 176. [Google Scholar] [CrossRef] [PubMed] [PubMed Central]
- Lone, S.N.; Nisar, S.; Masoodi, T.; Singh, M.; Rizwan, A.; Hashem, S.; El-Rifai, W.; Bedognetti, D.; Batra, S.K.; Haris, M.; et al. Liquid biopsy: A step closer to transform diagnosis, prognosis and future of cancer treatments. Mol. Cancer 2022, 21, 79. [Google Scholar] [CrossRef] [PubMed] [PubMed Central]
- Zito, G.; Richiusa, P.; Bommarito, A.; Carissimi, E.; Russo, L.; Coppola, A.; Zerilli, M.; Rodolico, V.; Criscimanna, A.; Amato, M.; et al. In vitro identification and characterization of CD133(pos) cancer stem-like cells in anaplastic thyroid carcinoma cell lines. PLoS ONE 2008, 3, e3544. [Google Scholar] [CrossRef] [PubMed] [PubMed Central]
- Todaro, M.; Iovino, F.; Eterno, V.; Cammareri, P.; Gambara, G.; Espina, V.; Gulotta, G.; Dieli, F.; Giordano, S.; De Maria, R.; et al. Tumorigenic and metastatic activity of human thyroid cancer stem cells. Cancer Res. 2010, 70, 8874–8885. [Google Scholar] [CrossRef] [PubMed]
- Hardin, H.; Montemayor-Garcia, C.; Lloyd, R.V. Thyroid cancer stem-like cells and epithelial-mesenchymal transition in thyroid cancers. Hum. Pathol. 2013, 44, 1707–1713. [Google Scholar] [CrossRef] [PubMed]
- Yasui, K.; Shimamura, M.; Mitsutake, N.; Nagayama, Y. SNAIL induces epithelial-to-mesenchymal transition and cancer stem cell-like properties in aldehyde dehydroghenase-negative thyroid cancer cells. Thyroid 2013, 23, 989–996. [Google Scholar] [CrossRef] [PubMed]
- Ahn, S.H.; Henderson, Y.C.; Williams, M.D.; Lai, S.Y.; Clayman, G.L. Detection of thyroid cancer stem cells in papillary thyroid carcinoma. J. Clin. Endocrinol. Metab. 2014, 99, 536–544. [Google Scholar] [CrossRef] [PubMed] [PubMed Central]
- Shimamura, M.; Nagayama, Y.; Matsuse, M.; Yamashita, S.; Mitsutake, N. Analysis of multiple markers for cancer stem-like cells in human thyroid carcinoma cell lines. Endocr. J. 2014, 61, 481–490. [Google Scholar] [CrossRef] [PubMed]
- Gianì, F.; Vella, V.; Nicolosi, M.L.; Fierabracci, A.; Lotta, S.; Malaguarnera, R.; Belfiore, A.; Vigneri, R.; Frasca, F. Thyrospheres From Normal or Malignant Thyroid Tissue Have Different Biological, Functional, and Genetic Features. J. Clin. Endocrinol. Metab. 2015, 100, E1168–E1178. [Google Scholar] [CrossRef] [PubMed]
- Zane, M.; Scavo, E.; Catalano, V.; Bonanno, M.; Todaro, M.; De Maria, R.; Stassi, G. Normal vs cancer thyroid stem cells: The road to transformation. Oncogene 2016, 35, 805–815. [Google Scholar] [CrossRef] [PubMed]
- Takano, T. Fetal cell carcinogenesis of the thyroid: A modified theory based on recent evidence. Endocr. J. 2014, 61, 311–320. [Google Scholar] [CrossRef] [PubMed]
- Hardin, H.; Zhang, R.; Helein, H.; Buehler, D.; Guo, Z.; Lloyd, R.V. The evolving concept of cancer stem-like cells in thyroid cancer and other solid tumors. Lab. Investig. 2017, 97, 1142–1151. [Google Scholar] [CrossRef] [PubMed]
- Lloyd, R.V.; Hardin, H.; Montemayor-Garcia, C.; Rotondo, F.; Syro, L.V.; Horvath, E.; Kovacs, K. Stem cells and cancer stem-like cells in endocrine tissues. Endocr. Pathol. 2013, 24, 1–10. [Google Scholar] [CrossRef] [PubMed]
- Kucerova, L.; Feketeova, L.; Kozovska, Z.; Poturnajova, M.; Matuskova, M.; Nencka, R.; Babal, P. In vivo 5FU-exposed human medullary thyroid carcinoma cells contain a chemoresistant CD133+ tumor-initiating cell subset. Thyroid 2014, 24, 520–532. [Google Scholar] [CrossRef] [PubMed] [PubMed Central]
- Turányi, E.; Dezso, K.; Paku, S.; Nagy, P. DLK is a novel immunohistochemical marker for adrenal gland tumors. Virchows Arch. 2009, 455, 295–299. [Google Scholar] [CrossRef] [PubMed]
- van Limpt, V.; Chan, A.; Caron, H.; Sluis, P.V.; Boon, K.; Hermus, M.C.; Versteeg, R. SAGE analysis of neuroblastoma reveals a high expression of the human homologue of the Drosophila Delta gene. Med. Pediatr. Oncol. 2000, 35, 554–558. [Google Scholar] [CrossRef] [PubMed]
- Yin, D.; Xie, D.; Sakajiri, S.; Miller, C.W.; Zhu, H.; Popoviciu, M.L.; Said, J.W.; Black, K.L.; Koeffler, H.P. DLK1: Increased expression in gliomas and associated with oncogenic activities. Oncogene 2006, 25, 1852–1861. [Google Scholar] [CrossRef] [PubMed]
- López-Terrada, D.; Gunaratne, P.H.; Adesina, A.M.; Pulliam, J.; Hoang, D.M.; Nguyen, Y.; Mistretta, T.A.; Margolin, J.; Finegold, M.J. Histologic subtypes of hepatoblastoma are characterized by differential canonical Wnt and Notch pathway activation in DLK+ precursors. Hum. Pathol. 2009, 40, 783–794. [Google Scholar] [CrossRef] [PubMed]
- Grassi, E.S.; Jeannot, P.; Pantazopoulou, V.; Berg, T.J.; Pietras, A. Niche-derived soluble DLK1 promotes glioma growth. Neoplasia 2020, 22, 689–701. [Google Scholar] [CrossRef] [PubMed] [PubMed Central]
- Grassi, E.S.; Pantazopoulou, V.; Pietras, A. Hypoxia-induced release, nuclear translocation, and signaling activity of a DLK1 intracellular fragment in glioma. Oncogene 2020, 39, 4028–4044. [Google Scholar] [CrossRef] [PubMed] [PubMed Central]
- Moraes, L.; Zanchin, N.I.T.; Cerutti, J.M. ABI3, a component of the WAVE2 complex, is potentially regulated by PI3K/AKT pathway. Oncotarget 2017, 8, 67769–67781. [Google Scholar] [CrossRef] [PubMed] [PubMed Central]
- Cossarizza, A.; Chang, H.D.; Radbruch, A.; Abrignani, S.; Addo, R.; Akdis, M.; Andrä, I.; Andreata, F.; Annunziato, F.; Arranz, E.; et al. Guidelines for the use of flow cytometry and cell sorting in immunological studies (third edition). Eur. J. Immunol. 2021, 51, 2708–3145. [Google Scholar] [CrossRef] [PubMed] [PubMed Central]
- Zhu, W.; Hai, T.; Ye, L.; Cote, G.J. Medullary thyroid carcinoma cell lines contain a self-renewing CD133+ population that is dependent on ret proto-oncogene activity. J. Clin. Endocrinol. Metab. 2010, 95, 439–444. [Google Scholar] [CrossRef] [PubMed] [PubMed Central]







| Protein | Average Intensity in TT Cells | Average Intensity in MZ-CRC-1 Cells | Fold Change * | p-Value |
|---|---|---|---|---|
| OCT3/4 | 173 | 941 | 5.439306 | 0.009 |
| SOX2 | 283 | 389 | 1.374558 | 0.0428 |
| NANOG | 398 | 786 | 1.974874 | 0.031 |
| OTX2 | 452 | 570 | 1.261062 | 0.0423 |
| E-Cadherin | 7956 | 893 | 0.112242 | 0.0017 |
| Snail | 846 | 589 | 0.696217 | 0.0059 |
| GSC | 430 | 479 | 1.113953 | NS |
| VEGF | 339 | 662 | 1.952802 | 0.0139 |
| SOX17 | 249 | 492 | 1.975904 | 0.0282 |
| FOXA2 | 218 | 435 | 1.995413 | NS |
| TP63 | 272 | 341 | 1.253676 | NS |
| PDX-1 | 359 | 434 | 1.208914 | 0.0247 |
| GATA-4 | 660 | 469 | 0.710606 | NS |
| AFP | 163 | 192 | 1.177914 | NS |
| HCG | 335 | 2048 | 6.113433 | 0.0035 |
| Protein | Average Intensity in TT DLK1− Cells | Average Intensity in TT DLK1+ Cells | p-Value | Average Intensity in MZ-CRC-1 DLK1− Cells | Average Intensity in MZ-CRC-1 DLK1+ Cells | p-Value |
|---|---|---|---|---|---|---|
| OCT-3/4 | 528 | 689 | 0.0255 | 544 | 771 | 0.0041 |
| NANOG | 628 | 731 | 0.0119 | 569 | 859 | 0.0042 |
| SOX2 | 563 | 639 | 0.0241 | 440 | 864 | 0.013 |
| OTX2 | 810 | 818 | NS | 995 | 936 | NS |
| E-cadherin | 1495 | 3194 | 0.038 | 985 | 1544 | 0.011 |
| Snail | 781 | 703 | NS | 708 | 844 | 0.0091 |
| GSC | 669 | 695 | NS | 884 | 926 | NS |
| VEGF | 699 | 1156 | 0.0033 | 783 | 1002 | NS |
| SOX17 | 703 | 700 | NS | 716 | 907 | NS |
| FOXA2 | 803 | 1302 | 0.0245 | 856 | 941 | NS |
| TP63 | 650 | 691 | NS | 887 | 792 | NS |
| PDX-1 | 618 | 660 | NS | 679 | 811 | NS |
| GATA-4 | 1511 | 1495 | NS | 2192 | 1587 | 0.0105 |
| AFP | 603 | 533 | NS | 619 | 608 | NS |
| HCG | 757 | 901 | NS | 988 | 962 | NS |
Disclaimer/Publisher’s Note: The statements, opinions and data contained in all publications are solely those of the individual author(s) and contributor(s) and not of MDPI and/or the editor(s). MDPI and/or the editor(s) disclaim responsibility for any injury to people or property resulting from any ideas, methods, instructions or products referred to in the content. |
© 2024 by the authors. Licensee MDPI, Basel, Switzerland. This article is an open access article distributed under the terms and conditions of the Creative Commons Attribution (CC BY) license (https://creativecommons.org/licenses/by/4.0/).
Share and Cite
da Silva, D.D.; Araldi, R.P.; Belizario, M.R.; Rocha, W.G.; Maciel, R.M.d.B.; Cerutti, J.M. DLK1 Is Associated with Stemness Phenotype in Medullary Thyroid Carcinoma Cell Lines. Int. J. Mol. Sci. 2024, 25, 11924. https://doi.org/10.3390/ijms252211924
da Silva DD, Araldi RP, Belizario MR, Rocha WG, Maciel RMdB, Cerutti JM. DLK1 Is Associated with Stemness Phenotype in Medullary Thyroid Carcinoma Cell Lines. International Journal of Molecular Sciences. 2024; 25(22):11924. https://doi.org/10.3390/ijms252211924
Chicago/Turabian Styleda Silva, Danilo Dias, Rodrigo Pinheiro Araldi, Mariana Rocha Belizario, Welbert Gomes Rocha, Rui Monteiro de Barros Maciel, and Janete Maria Cerutti. 2024. "DLK1 Is Associated with Stemness Phenotype in Medullary Thyroid Carcinoma Cell Lines" International Journal of Molecular Sciences 25, no. 22: 11924. https://doi.org/10.3390/ijms252211924
APA Styleda Silva, D. D., Araldi, R. P., Belizario, M. R., Rocha, W. G., Maciel, R. M. d. B., & Cerutti, J. M. (2024). DLK1 Is Associated with Stemness Phenotype in Medullary Thyroid Carcinoma Cell Lines. International Journal of Molecular Sciences, 25(22), 11924. https://doi.org/10.3390/ijms252211924

