Comparison Between Electroporation at Different Voltage Levels and Microinjection to Generate Porcine Embryos with Multiple Xenoantigen Knock-Outs
Abstract
1. Introduction
2. Results
2.1. Voltage Optimization for Enhanced Molecule Delivery in Zygote Electroporation
2.2. Guide RNA Selection for Gene Editing
2.3. Comparative Analysis Between Microinjection and Electroporation Techniques
2.3.1. Comparisons of Blastocyst Formation Rates Across Electroporation and Microinjection Groups for Gene Editing
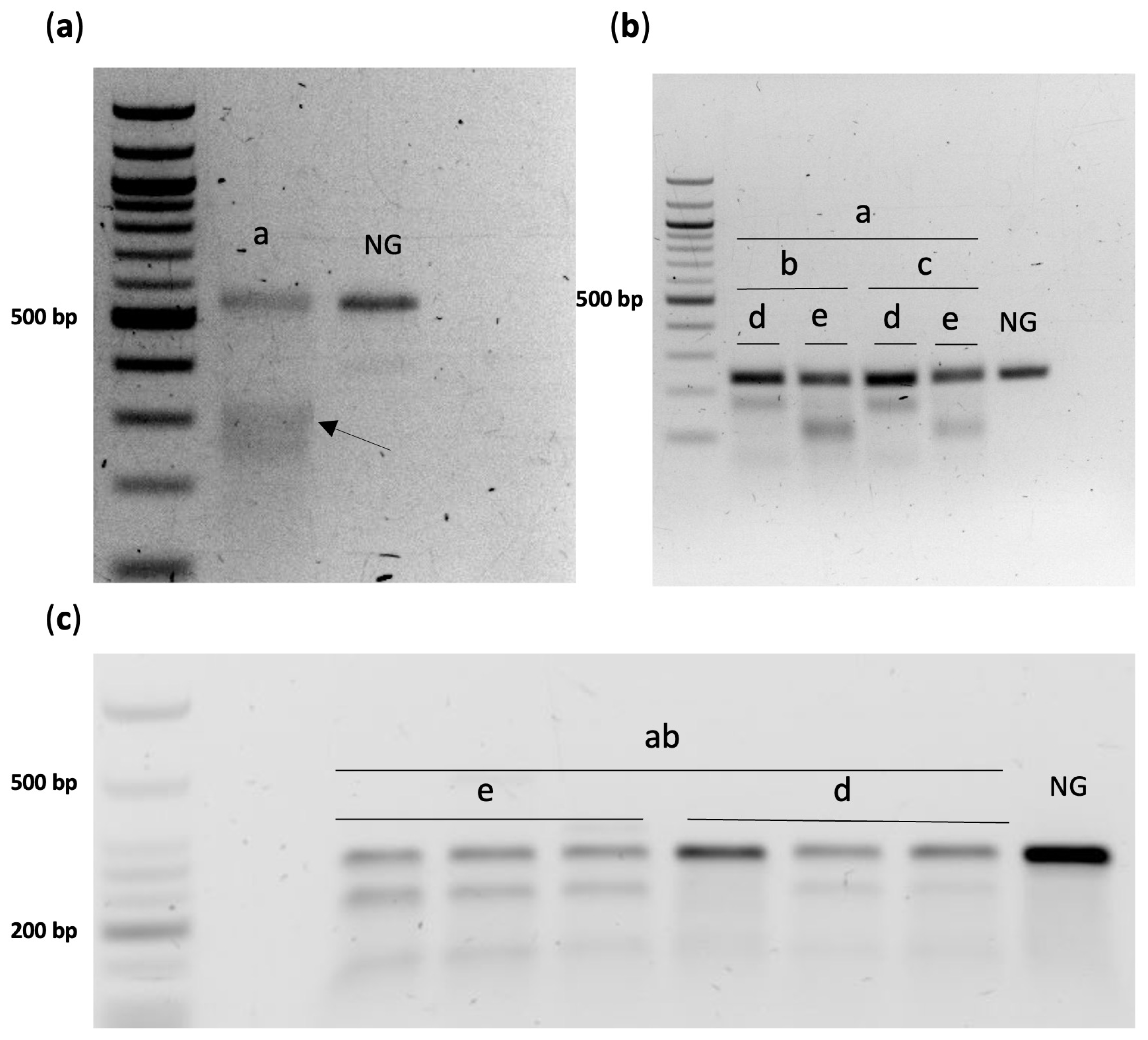
2.3.2. Comparative Analysis of Mosaicism Development and Mutation Rates in Gene–Edited Blastocysts Among Delivery Technique Groups
3. Discussion
4. Materials and Methods
4.1. Study Design
4.1.1. Optimizing Voltage Levels for Efficient Molecule Delivery into Zygotes via Electroporation
4.1.2. Assembly of a Multiplexed RNP Complexes Targeting GGTA1, CMAH and B4GALNT2 in Electroporation and Microinjection Experiments
4.1.3. Comparative Analysis Between Microinjection and Electroporation Techniques in Terms of Blastocyst Developmental Potential, Editing Efficiencies, and Mosaicism Development
4.2. Ovary Collection and Maturation
4.3. Parthenogenetic Activation
4.4. Extraction, Freezing, and Thawing of Porcine Semen
4.5. In Vitro Fertilization (IVF)
4.6. Electroporation
4.7. Cytoplasmatic Microinjection
4.8. Evaluation of Fluorescence Intensity in Embryos Post TMR–Dextran Delivery
4.9. Analysis of Target Sites
4.9.1. DNA Extraction of the Blastocysts
4.9.2. PCR Analysis of Targeted Genes
4.9.3. T7 Endonuclease Assay
4.9.4. Allele-Specific Sequencing of GGTA1, CMAH, and B4GALNT2
4.9.5. Sanger Sequencing
4.9.6. Analysis of Genomic Edits
Supplementary Materials
Author Contributions
Funding
Institutional Review Board Statement
Informed Consent Statement
Data Availability Statement
Acknowledgments
Conflicts of Interest
References
- Xi, J.; Zheng, W.; Chen, M.; Zou, Q.; Tang, C.; Zhou, X. Genetically engineered pigs for xenotransplantation: Hopes and challenges. Front. Cell Dev. Biol. 2023, 10, 1093534. [Google Scholar] [CrossRef] [PubMed]
- Klymiuk, N.; Aigner, B.; Brem, G.; Wolf, E. Genetic modification of pigs as organ donors for xenotransplantation. Mol. Reprod. Dev. 2010, 77, 209–221. [Google Scholar] [CrossRef] [PubMed]
- Gao, M.; Zhu, X.; Yang, G.; Bao, J.; Bu, H. CRISPR/Cas9-Mediated Gene Editing in Porcine Models for Medical Research. DNA Cell Biol. 2021, 40, 1462–1475. [Google Scholar] [CrossRef] [PubMed]
- Mohiuddin, M.M.; Singh, A.K.; Scobie, L.; Goerlich, C.E.; Grazioli, A.; Saharia, K.; Crossan, C.; Burke, A.; Drachenberg, C.; Oguz, C.; et al. Graft dysfunction in compassionate use of genetically engineered pig-to-human cardiac xenotransplantation: A case report. Lancet 2023, 402, 397–410. [Google Scholar] [CrossRef]
- Griffith, B.P.; Goerlich, C.E.; Singh, A.K.; Rothblatt, M.; Lau, C.L.; Shah, A.; Lorber, M.; Grazioli, A.; Saharia, K.K.; Hong, S.N.; et al. Genetically Modified Porcine-to-Human Cardiac Xenotransplantation. N. Engl. J. Med. 2022, 387, 35–44. [Google Scholar] [CrossRef]
- Chase, B. World’s First Genetically-Edited Pig Kidney Transplant into Living Recipient Performed at Massachusetts General Hospital; Massachusetts General Hospital: Boston, MA, USA, 2024. [Google Scholar]
- Estrada, J.L.; Martens, G.; Li, P.; Adams, A.; Newell, K.A.; Ford, M.L.; Butler, J.R.; Sidner, R.; Tector, M.; Tector, J. Evaluation of human and non-human primate antibody binding to pig cells lacking GGTA1/CMAH/β4GalNT2 genes. Xenotransplantation 2015, 22, 194–202. [Google Scholar] [CrossRef]
- Yoon, S.; Lee, S.; Park, C.; Choi, H.; Yoo, M.; Lee, S.C.; Hyun, C.H.; Kim, N.; Kang, T.; Son, E.; et al. An Efficacious Transgenic Strategy for Triple Knockout of Xeno-Reactive Antigen Genes GGTA1, CMAH, and B4GALNT2 from Jeju Native Pigs. Vaccines 2022, 10, 1503. [Google Scholar] [CrossRef]
- Liu, T.; Dou, H.; Xiang, X.; Li, L.; Li, Y.; Lin, L.; Pang, X.; Zhang, Y.; Chen, Y.; Luan, J.; et al. Factors Determining the Efficiency of Porcine Somatic Cell Nuclear Transfer: Data Analysis with Over 200,000 Reconstructed Embryos. Cell Reprogram 2015, 17, 463–471. [Google Scholar] [CrossRef]
- Chung, Y.G.; Ratnam, S.; Chaillet, J.R.; Latham, K.E. Abnormal Regulation of DNA Methyltransferase Expression in Cloned Mouse Embryos1. Biol. Reprod. 2003, 69, 146–153. [Google Scholar] [CrossRef]
- Ogura, A.; Matoba, S.; Inoue, K. 25th ANNIVERSARY OF CLONING BY SOMATIC-CELL NUCLEAR TRANSFER: Epigenetic abnormalities associated with somatic cell nuclear transfer. Reproduction 2021, 162, F45–F58. [Google Scholar] [CrossRef]
- Jabbar, A.; Zulfiqar, F.; Mahnoor, M.; Mushtaq, N.; Zaman, M.H.; Din, A.S.U.; Khan, M.A.; Ahmad, H.I. Advances and Perspectives in the Application of CRISPR-Cas9 in Livestock. Mol. Biotechnol. 2021, 63, 757–767. [Google Scholar] [CrossRef] [PubMed]
- Petersen, B.; Frenzel, A.; Lucas-Hahn, A.; Herrmann, D.; Hassel, P.; Klein, S.; Ziegler, M.; Hadeler, K.G.; Niemann, H. Efficient production of biallelic GGTA1 knockout pigs by cytoplasmic microinjection of CRISPR/Cas9 into zygotes. Xenotransplantation 2016, 23, 338–346. [Google Scholar] [CrossRef] [PubMed]
- Lin, J.C.; Van Eenennaam, A.L. Electroporation-Mediated Genome Editing of Livestock Zygotes. Front. Genet. 2021, 12, 648482. [Google Scholar] [CrossRef]
- Mehravar, M.; Shirazi, A.; Nazari, M.; Banan, M. Mosaicism in CRISPR/Cas9-mediated genome editing. Dev. Biol. 2019, 445, 156–162. [Google Scholar] [CrossRef]
- Tanihara, F.; Hirata, M.; Nguyen, N.T.; Sawamoto, O.; Kikuchi, T.; Doi, M.; Otoi, T. Efficient generation of GGTA1-deficient pigs by electroporation of the CRISPR/Cas9 system into in vitro-fertilized zygotes. BMC Biotechnol. 2020, 20, 40. [Google Scholar] [CrossRef]
- Nishio, K.; Tanihara, F.; Nguyen, T.-V.; Kunihara, T.; Nii, M.; Hirata, M.; Takemoto, T.; Otoi, T. Effects of voltage strength during electroporation on the development and quality of in vitro-produced porcine embryos. Reprod. Domest. Anim. 2018, 53, 313–318. [Google Scholar] [CrossRef]
- Navarro-Serna, S.; Dehesa-Etxebeste, M.; Piñeiro-Silva, C.; Romar, R.; Lopes, J.S.; López de Munaín, A.; Gadea, J. Generation of Calpain-3 knock-out porcine embryos by CRISPR-Cas9 electroporation and intracytoplasmic microinjection of oocytes before insemination. Theriogenology 2022, 186, 175–184. [Google Scholar] [CrossRef]
- Fischer, K.; Kraner-Scheiber, S.; Petersen, B.; Rieblinger, B.; Buermann, A.; Flisikowska, T.; Flisikowski, K.; Christan, S.; Edlinger, M.; Baars, W.; et al. Efficient production of multi-modified pigs for xenotransplantation by ‘combineering’, gene stacking and gene editing. Sci. Rep. 2016, 6, 29081. [Google Scholar] [CrossRef]
- Camargo, L.S.A.; Owen, J.R.; Van Eenennaam, A.L.; Ross, P.J. Efficient One-Step Knockout by Electroporation of Ribonucleoproteins Into Zona-Intact Bovine Embryos. Front. Genet. 2020, 11, 570069. [Google Scholar] [CrossRef]
- Kobayashi, T.; Namba, M.; Koyano, T.; Fukushima, M.; Sato, M.; Ohtsuka, M.; Matsuyama, M. Successful production of genome-edited rats by the rGONAD method. BMC Biotechnol. 2018, 18, 19. [Google Scholar] [CrossRef]
- Kaneko, T.; Sakuma, T.; Yamamoto, T.; Mashimo, T. Simple knockout by electroporation of engineered endonucleases into intact rat embryos. Sci. Rep. 2014, 4, 6382. [Google Scholar] [CrossRef] [PubMed]
- Alghadban, S.; Bouchareb, A.; Hinch, R.; Hernandez-Pliego, P.; Biggs, D.; Preece, C.; Davies, B. Electroporation and genetic supply of Cas9 increase the generation efficiency of CRISPR/Cas9 knock-in alleles in C57BL/6J mouse zygotes. Sci. Rep. 2020, 10, 17912. [Google Scholar] [CrossRef]
- Tröder, S.E.; Ebert, L.K.; Butt, L.; Assenmacher, S.; Schermer, B.; Zevnik, B. An optimized electroporation approach for efficient CRISPR/Cas9 genome editing in murine zygotes. PLoS ONE 2018, 13, e0196891. [Google Scholar] [CrossRef]
- Hirata, M.; Wittayarat, M.; Namula, Z.; Le, Q.A.; Lin, Q.; Nguyen, N.T.; Takebayashi, K.; Sato, Y.; Tanihara, F.; Otoi, T. Evaluation of multiple gene targeting in porcine embryos by the CRISPR/Cas9 system using electroporation. Mol. Biol. Rep. 2020, 47, 5073–5079. [Google Scholar] [CrossRef]
- Sakurai, T.; Kamiyoshi, A.; Kawate, H.; Watanabe, S.; Sato, M.; Shindo, T. Production of genetically engineered mice with higher efficiency, lower mosaicism, and multiplexing capability using maternally expressed Cas9. Sci. Rep. 2020, 10, 1091. [Google Scholar] [CrossRef] [PubMed]
- Le, Q.A.; Tanihara, F.; Wittayarat, M.; Namula, Z.; Sato, Y.; Lin, Q.; Takebayashi, K.; Hirata, M.; Otoi, T. Comparison of the effects of introducing the CRISPR/Cas9 system by microinjection and electroporation into porcine embryos at different stages. BMC Res. Notes 2021, 14, 7. [Google Scholar] [CrossRef]
- Tanihara, F.; Hirata, M.; Nguyen, N.T.; Sawamoto, O.; Kikuchi, T.; Otoi, T. One-Step Generation of Multiple Gene-Edited Pigs by Electroporation of the CRISPR/Cas9 System into Zygotes to Reduce Xenoantigen Biosynthesis. Int. J. Mol. Sci. 2021, 22, 2249. [Google Scholar] [CrossRef] [PubMed]
- Namula, Z.; Le, Q.A.; Wittayarat, M.; Lin, Q.; Takebayashi, K.; Hirata, M.; Do, L.T.K.; Tanihara, F.; Otoi, T. Triple gene editing in porcine embryos using electroporation alone or in combination with microinjection. Vet. World 2022, 15, 496–501. [Google Scholar] [CrossRef]
- Teixeira, M.; Py, B.F.; Bosc, C.; Laubreton, D.; Moutin, M.-J.; Marvel, J.; Flamant, F.; Markossian, S. Electroporation of mice zygotes with dual guide RNA/Cas9 complexes for simple and efficient cloning-free genome editing. Sci. Rep. 2018, 8, 474. [Google Scholar] [CrossRef]
- Punetha, M.; Kumar, D.; Saini, S.; Chaudhary, S.; Bajwa, K.K.; Sharma, S.; Mangal, M.; Yadav, P.S.; Green, J.A.; Whitworth, K.; et al. Optimising Electroporation Condition for CRISPR/Cas-Mediated Knockout in Zona-Intact Buffalo Zygotes. Animals 2024, 14, 134. [Google Scholar] [CrossRef]
- Hashimoto, M.; Yamashita, Y.; Takemoto, T. Electroporation of Cas9 protein/sgRNA into early pronuclear zygotes generates non-mosaic mutants in the mouse. Dev. Biol. 2016, 418, 1–9. [Google Scholar] [CrossRef] [PubMed]
- Navarro-Serna, S.; Hachem, A.; Canha-Gouveia, A.; Hanbashi, A.; Garrappa, G.; Lopes, J.S.; Paris-Oller, E.; Sarrias-Gil, L.; Flores-Flores, C.; Bassett, A.; et al. Generation of Nonmosaic, Two-Pore Channel 2 Biallelic Knockout Pigs in One Generation by CRISPR-Cas9 Microinjection Before Oocyte Insemination. CRISPR J. 2021, 4, 132–146. [Google Scholar] [CrossRef] [PubMed]
- Brinkman, E.K.; Chen, T.; Amendola, M.; van Steensel, B. Easy quantitative assessment of genome editing by sequence trace decomposition. Nucleic Acids Res. 2014, 42, e168. [Google Scholar] [CrossRef] [PubMed]
- Lenk, L. Generation of KCNJ5 G151R/+ Knock-in Pigs as a Model for Human Primary Aldosteronism Using the CRISPR/Cas9 System. Ph.D. Thesis, University of Veterinary Medicine Hannover (TiHo), Hanover, Germany, 2022. [Google Scholar]
- Söllner, J.-H. An Experimental Approach of an In Vivo Pathogen Genome Targeting Strategy to Generate African Swine Fever Resistant Pigs. Ph.D. Thesis, University of Veterinary Medicine Hannover (TiHo), Hanover, Germany, 2022. [Google Scholar]
- Synthego. Mouse Zygote Microinjection Protocol; Synthego: Redwood City, CA, USA, 2019; p. 3. [Google Scholar]
- Schneider, C.A.; Rasband, W.S.; Eliceiri, K.W. NIH Image to ImageJ: 25 years of image analysis. Nat. Methods 2012, 9, 671–675. [Google Scholar] [CrossRef]
- R Core Team. R: A Language and Environment for Statistical Computing, R version 4.3.0; R Foundation for Statistical Computing: Vienna, Austria, 2023. [Google Scholar]




| Condition | N° of Replicates per Trial | Zygotes | Blastocysts | Mean BR (SD) | 
|---|---|---|---|---|
| E30V | 2 | 172 | 61 | 34.88 a (4.8) | 
| E35V | 2 | 164 | 52 | 31.46 a (7.8) | 
| E40V | 2 | 170 | 37 | 21.5 a (6.6) | 
| Control (parthenogenetic) | 1 | 83 | 29 | 34.67 a (8.8) | 
| Condition | Zygotes | Blastocysts | Mean BR (SD) | 
|---|---|---|---|
| E30V | 92 | 33 | 36 a (8.2) | 
| E35V | 89 | 30 | 34 a (6.7) | 
| E40V | 88 | 22 | 25 a (7.3) | 
| Control (IVF) | 134 | 38 | 29 a (9.6) | 
| Technique | Treatment | Voltage | Total Zygotes 1 | Total Blastocysts | Mean BR (SD) | 
|---|---|---|---|---|---|
| Electroporation | IVF Control | - | 142 | 58 | 40 (14) | 
| Gene-edited | 30 V | 235 | 65 | 28 (5) | |
| Gene-edited | 35 V | 238 | 58 | 25 (8) | |
| Microinjection | IVF Control | - | 142 | 76 | 52 a (11) | 
| Gene-edited | - | 207 | 46 | 22 b (14) | 
| Genetic Variant (GV) | Delivery Group (DG) | B4GALNT2 | CMAH | GGTA1 | Total of GV by DG | 
|---|---|---|---|---|---|
| UE | E30V | 3 | 2 | 2 | 7 b (19%) | 
| E35V | 3 | 2 | 2 | 7 b (19%) | |
| MI | 5 | 9 | 8 | 22 a (61%) | |
| Total | 11 | 13 | 12 | 36 | |
| Mosaic | E30V | 15 | 14 | 17 | 46 a (40%) | 
| E35V | 14 | 9 | 16 | 39 (34%) | |
| MI | 12 | 7 | 12 | 31 b (27%) | |
| Total | 41 1 | 30 2 | 45 1 | 116 | |
| Biallelic Disruption | E30V | 1 | 4 | 0 | 5 (24%) | 
| E35V | 2 | 8 | 1 | 11(52%) | |
| MI | 1 | 4 | 0 | 5 (24%) | |
| Total | 4 2 | 16 1 | 1 2 | 21 | 
| Disclaimer/Publisher’s Note: The statements, opinions and data contained in all publications are solely those of the individual author(s) and contributor(s) and not of MDPI and/or the editor(s). MDPI and/or the editor(s) disclaim responsibility for any injury to people or property resulting from any ideas, methods, instructions or products referred to in the content. | 
© 2024 by the authors. Licensee MDPI, Basel, Switzerland. This article is an open access article distributed under the terms and conditions of the Creative Commons Attribution (CC BY) license (https://creativecommons.org/licenses/by/4.0/).
Share and Cite
Fernández, J.P.; Petersen, B.; Hassel, P.; Lucas Hahn, A.; Kielau, P.; Geibel, J.; Kues, W.A. Comparison Between Electroporation at Different Voltage Levels and Microinjection to Generate Porcine Embryos with Multiple Xenoantigen Knock-Outs. Int. J. Mol. Sci. 2024, 25, 11894. https://doi.org/10.3390/ijms252211894
Fernández JP, Petersen B, Hassel P, Lucas Hahn A, Kielau P, Geibel J, Kues WA. Comparison Between Electroporation at Different Voltage Levels and Microinjection to Generate Porcine Embryos with Multiple Xenoantigen Knock-Outs. International Journal of Molecular Sciences. 2024; 25(22):11894. https://doi.org/10.3390/ijms252211894
Chicago/Turabian StyleFernández, Juan Pablo, Björn Petersen, Petra Hassel, Andrea Lucas Hahn, Paul Kielau, Johannes Geibel, and Wilfried A. Kues. 2024. "Comparison Between Electroporation at Different Voltage Levels and Microinjection to Generate Porcine Embryos with Multiple Xenoantigen Knock-Outs" International Journal of Molecular Sciences 25, no. 22: 11894. https://doi.org/10.3390/ijms252211894
APA StyleFernández, J. P., Petersen, B., Hassel, P., Lucas Hahn, A., Kielau, P., Geibel, J., & Kues, W. A. (2024). Comparison Between Electroporation at Different Voltage Levels and Microinjection to Generate Porcine Embryos with Multiple Xenoantigen Knock-Outs. International Journal of Molecular Sciences, 25(22), 11894. https://doi.org/10.3390/ijms252211894
 
        





 
       