Rosa canina L. Methanol Extract and Its Component Rutin Reduce Cholesterol More Efficiently than Miglustat in Niemann–Pick C Fibroblasts
Abstract
1. Introduction
2. Results
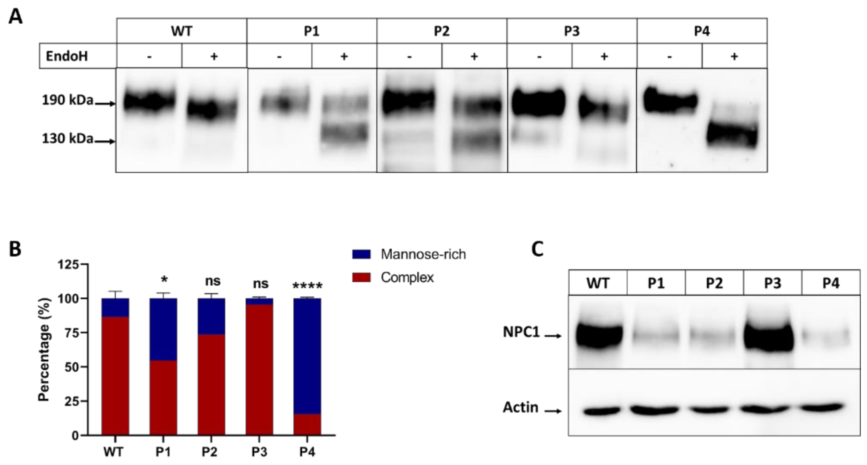
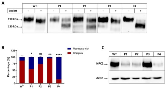
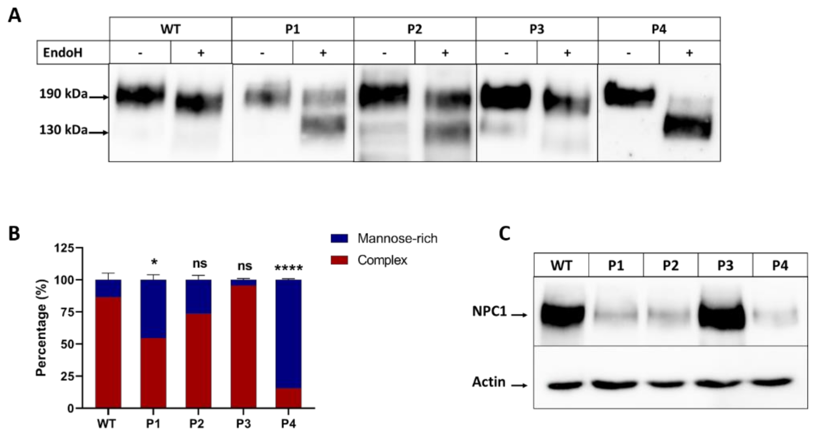
2.1. Variations in the Trafficking Behavior, Expression, and Cholesterol Content of NPC1 Mutants
2.2. Mutation-Dependent Rescue of NPC1 Trafficking in NPC Patients’ Fibroblasts
2.3. RCME Reduces Cholesterol Accumulation More Efficiently than Miglustat
2.4. The Effect of Rutin and Quercitrin on Cholesterol Reduction
3. Discussion
4. Materials and Methods
4.1. Cell Culture and Treatments with RCME and Miglustat
4.2. Endoglycosidase H Treatment
4.3. SDS-PAGE, Western Blotting
4.4. Filipin Staining
4.5. Cholesterol Analysis
4.6. Statistical Analysis
5. Conclusions
Author Contributions
Funding
Institutional Review Board Statement
Informed Consent Statement
Data Availability Statement
Conflicts of Interest
References
- Meikle, P.J.; Hopwood, J.J.; Clague, A.E.; Carey, W.F. Prevalence of lysosomal storage disorders. JAMA 1999, 281, 249–254. [Google Scholar] [CrossRef] [PubMed]
- Vanier, M.T. Niemann-Pick disease type C. Orphanet J. Rare Dis. 2010, 5, 16. [Google Scholar] [CrossRef] [PubMed]
- Puri, V.; Watanabe, R.; Dominguez, M.; Sun, X.; Wheatley, C.L.; Marks, D.L.; Pagano, R.E. Cholesterol modulates membrane traffic along the endocytic pathway in sphingolipid-storage diseases. Nat. Cell Biol. 1999, 1, 386–388. [Google Scholar] [CrossRef] [PubMed]
- Tharkeshwar, A.K.; Trekker, J.; Vermeire, W.; Pauwels, J.; Sannerud, R.; Priestman, D.A.; Te Vruchte, D.; Vints, K.; Baatsen, P.; Decuypere, J.-P. A novel approach to analyze lysosomal dysfunctions through subcellular proteomics and lipidomics: The case of NPC1 deficiency. Sci. Rep. 2017, 7, 41408. [Google Scholar] [CrossRef]
- Davies, J.P.; Ioannou, Y.A. Topological analysis of Niemann-Pick C1 protein reveals that the membrane orientation of the putative sterol-sensing domain is identical to those of 3-hydroxy-3-methylglutaryl-CoA reductase and sterol regulatory element binding protein cleavage-activating protein. J. Biol. Chem. 2000, 275, 24367–24374. [Google Scholar]
- Ory, D.S. The Niemann-Pick disease genes: Regulators of cellular cholesterol homeostasis. Trends Cardiovasc. Med. 2004, 14, 66–72. [Google Scholar] [CrossRef]
- Ohno, K.; Nanba, E.; Nakano, T.; Inui, K.; Okada, S.; Takeshita, K. Altered sensitivities to potential inhibitors of cholesterol biosynthesis in Niemann-Pick type C fibroblasts. Cell Struct. Funct. 1993, 18, 231–240. [Google Scholar] [CrossRef]
- Amiri, M.; Naim, H.Y. Miglustat-induced intestinal carbohydrate malabsorption is due to the inhibition of α-glucosidases, but not β-galactosidases. J. Inherit. Metab. Dis. 2012, 35, 949–954. [Google Scholar] [CrossRef]
- Chen, F.W.; Li, C.; Ioannou, Y.A. Cyclodextrin induces calcium-dependent lysosomal exocytosis. PLoS ONE 2010, 5, e15054. [Google Scholar] [CrossRef]
- Shammas, H.; Kuech, E.-M.; Rizk, S.; Das, A.M.; Naim, H.Y. Different Niemann-Pick C1 genotypes generate protein phenotypes that vary in their intracellular processing, trafficking and localization. Sci. Rep. 2019, 9, 5292. [Google Scholar] [CrossRef]
- Brogden, G.; Shammas, H.; Walters, F.; Maalouf, K.; Das, A.M.; Naim, H.Y.; Rizk, S. Different trafficking phenotypes of Niemann-Pick C1 gene mutations correlate with various alterations in lipid storage, membrane composition and miglustat amenability. Int. J. Mol. Sci. 2020, 21, 2101. [Google Scholar] [CrossRef] [PubMed]
- Wanes, D.; Toutounji, M.; Sebai, H.; Rizk, S.; Naim, H.Y. Rosa canina L. can restore endoplasmic reticulum alterations, protein trafficking and membrane integrity in a dextran sulfate sodium-induced inflammatory bowel disease phenotype. Nutrients 2021, 13, 441. [Google Scholar] [CrossRef] [PubMed]
- Wissemann, V.; Gallenmüller, F.; Ritz, C.; Steinbrecher, T.; Speck, T. Inheritance of growth form and mechanical characters in reciprocal polyploid hybrids of Rosa section Caninae—Implications for the ecological niche differentiation and radiation process of hybrid offspring. Trees 2006, 20, 340–347. [Google Scholar] [CrossRef]
- Wanes, D.; Jabri, M.-A.; Tounsi, H.; Rtibi, K.; Zouari, N.; Hajji, N.; Jridi, M.; Abdellaoui, A.; Sebai, H. Chemical characterization of bioactive components of Rosa canina extract and its protective effect on dextran sulfate sodium-induced intestinal bowel disease in a mouse model. J. Med. Food 2020, 23, 1109–1119. [Google Scholar] [CrossRef]
- Fernandez-Valero, E.; Ballart, A.; Iturriaga, C.; Lluch, M.; Macias, J.; Vanier, M.; Pineda, M.; Coll, M. Identification of 25 new mutations in 40 unrelated Spanish Niemann-Pick type C patients: Genotype-phenotype correlations. Clin. Genet. 2005, 68, 245–254. [Google Scholar] [CrossRef]
- Park, W.D.; O'Brien, J.F.; Lundquist, P.A.; Kraft, D.L.; Vockley, C.W.; Karnes, P.S.; Patterson, M.C.; Snow, K. Identification of 58 novel mutations in Niemann-Pick disease type C: Correlation with biochemical phenotype and importance of PTC1-like domains in NPC1. Hum. Mutat. 2003, 22, 313–325. [Google Scholar] [CrossRef]
- Millat, G.; Chikh, K.; Naureckiene, S.; Sleat, D.E.; Fensom, A.H.; Higaki, K.; Elleder, M.; Lobel, P.; Vanier, M.T. Niemann-Pick disease type C: Spectrum of HE1 mutations and genotype/phenotype correlations in the NPC2 group. Am. J. Hum. Genet. 2001, 69, 1013–1021. [Google Scholar] [CrossRef]
- Las Heras, M.; Szenfeld, B.; Ballout, R.A.; Buratti, E.; Zanlungo, S.; Dardis, A.; Klein, A.D. Understanding the phenotypic variability in Niemann-Pick disease type C (NPC): A need for precision medicine. NPJ Genom. Med. 2023, 8, 21. [Google Scholar] [CrossRef]
- Zervas, M.; Somers, K.L.; Thrall, M.A.; Walkley, S.U. Critical role for glycosphingolipids in Niemann-Pick disease type C. Curr. Biol. 2001, 11, 1283–1287. [Google Scholar] [CrossRef]
- Lachmann, R.H.; te Vruchte, D.; Lloyd-Evans, E.; Reinkensmeier, G.; Sillence, D.J.; Fernandez-Guillen, L.; Dwek, R.A.; Butters, T.D.; Cox, T.M.; Platt, F.M. Treatment with miglustat reverses the lipid-trafficking defect in Niemann–Pick disease type C. Neurobiol. Dis. 2004, 16, 654–658. [Google Scholar] [CrossRef]
- Davidson, C.D.; Ali, N.F.; Micsenyi, M.C.; Stephney, G.; Renault, S.; Dobrenis, K.; Ory, D.S.; Vanier, M.T.; Walkley, S.U. Chronic cyclodextrin treatment of murine Niemann-Pick C disease ameliorates neuronal cholesterol and glycosphingolipid storage and disease progression. PLoS ONE 2009, 4, e6951. [Google Scholar] [CrossRef] [PubMed]
- Wheeler, S.; Schmid, R.; Sillence, D.J. Lipid–protein interactions in Niemann–Pick type C disease: Insights from molecular modeling. Int. J. Mol. Sci. 2019, 20, 717. [Google Scholar] [CrossRef] [PubMed]
- Argüello, G.; Balboa, E.; Tapia, P.J.; Castro, J.; Yañez, M.J.; Mattar, P.; Pulgar, R.; Zanlungo, S. Genistein activates transcription factor EB and corrects Niemann–Pick C phenotype. Int. J. Mol. Sci. 2021, 22, 4220. [Google Scholar] [CrossRef] [PubMed]
- Sobo, K.; Le Blanc, I.; Luyet, P.-P.; Fivaz, M.; Ferguson, C.; Parton, R.G.; Gruenberg, J.; van der Goot, F.G. Late endosomal cholesterol accumulation leads to impaired intra-endosomal trafficking. PLoS ONE 2007, 2, e851. [Google Scholar] [CrossRef]
- Fraldi, A.; Annunziata, F.; Lombardi, A.; Kaiser, H.J.; Medina, D.L.; Spampanato, C.; Fedele, A.O.; Polishchuk, R.; Sorrentino, N.C.; Simons, K. Lysosomal fusion and SNARE function are impaired by cholesterol accumulation in lysosomal storage disorders. EMBO J. 2010, 29, 3607–3620. [Google Scholar] [CrossRef]
- Sarkar, S.; Carroll, B.; Buganim, Y.; Maetzel, D.; Ng, A.H.; Cassady, J.P.; Cohen, M.A.; Chakraborty, S.; Wang, H.; Spooner, E. Impaired autophagy in the lipid-storage disorder Niemann-Pick type C1 disease. Cell Rep. 2013, 5, 1302–1315. [Google Scholar] [CrossRef]
- Hur, H.J.; Jeong, Y.-H.; Lee, S.H.; Sung, M.J. Quercitrin ameliorates hyperlipidemia and hepatic steatosis in ovariectomized mice. Life 2020, 10, 243. [Google Scholar] [CrossRef]
- Fernandes, A.A.H.; Novelli, E.L.B.; Okoshi, K.; Okoshi, M.P.; Di Muzio, B.P.; Guimarães, J.F.C.; Junior, A.F. Influence of rutin treatment on biochemical alterations in experimental diabetes. Biomed. Pharmacother. 2010, 64, 214–219. [Google Scholar] [CrossRef]
- Prince, P.S.M.; Kannan, N. Protective effect of rutin on lipids, lipoproteins, lipid metabolizing enzymes and glycoproteins in streptozotocin-induced diabetic rats. J. Pharm. Pharmacol. 2006, 58, 1373–1383. [Google Scholar] [CrossRef]
- Vaou, N.; Stavropoulou, E.; Voidarou, C.; Tsakris, Z.; Rozos, G.; Tsigalou, C.; Bezirtzoglou, E. Interactions between medical plant-derived bioactive compounds: Focus on antimicrobial combination effects. Antibiotics 2022, 11, 1014. [Google Scholar] [CrossRef]
- Ip, P.; Sharda, P.R.; Cunningham, A.; Chakrabartty, S.; Pande, V.; Chakrabartty, A. Quercitrin and quercetin 3-β-d-glucoside as chemical chaperones for the A4V SOD1 ALS-causing mutant. Protein Eng. Des. Sel. 2017, 30, 431–440. [Google Scholar] [CrossRef] [PubMed]
- Ortega, J.T.; Parmar, T.; Jastrzebska, B. Flavonoids enhance rod opsin stability, folding, and self-association by directly binding to ligand-free opsin and modulating its conformation. J. Biol. Chem. 2019, 294, 8101–8122. [Google Scholar] [CrossRef] [PubMed]
- Encarnaçao, M.; Coutinho, M.; Cho, S.-M.; Cardoso, M.; Ribeiro, I.; Chaves, P.; Santos, J.; Quelhas, D.; Lacerda, L.; Teles, E.L. NPC1 silent variant affecting splicing (p. Val562Val) and unfold protein response in an NPC patient. Authorea Prepr. 2020. [Google Scholar] [CrossRef]
- Dardis, A.; Zampieri, S.; Gellera, C.; Carrozzo, R.; Cattarossi, S.; Peruzzo, P.; Dariol, R.; Sechi, A.; Deodato, F.; Caccia, C. Molecular genetics of Niemann–Pick Type C disease in Italy: An update on 105 patients and description of 18 NPC1 novel variants. J. Clin. Med. 2020, 9, 679. [Google Scholar] [CrossRef]
- Ginocchio, V.M.; D'Amico, A.; Bertini, E.; Ceravolo, F.; Dardis, A.; Verrigni, D.; Bembi, B.; Dionisi-Vici, C.; Deodato, F. Efficacy of miglustat in Niemann–Pick C disease: A single centre experience. Mol. Genet. Metab. 2013, 110, 329–335. [Google Scholar] [CrossRef]
- Laemmli, U.K. Cleavage of structural proteins during the assembly of the head of bacteriophage T4. Nature 1970, 227, 680–685. [Google Scholar] [CrossRef]
- Bligh, E.G.; Dyer, W.J. A rapid method of total lipid extraction and purification. Can. J. Biochem. Physiol. 1959, 37, 911–917. [Google Scholar] [CrossRef]








| Patient (P) | Mutation | Inheritance Pattern (Genotype) | |
|---|---|---|---|
| cDNA | Protein | ||
| Patient 1 | c.3182T>C c.3337C>T | p.I1061T p.P887L | Compound heterozygous |
| Patient 2 | c.3467A>G | p.N1156S | Heterozygous |
| Patient 3 | c.3493G>A c.3591+121C>T | p.V1165M p.0 | Compound heterozygous |
| Patient 4 | c.3797G>A | p.R1266Q | Homozygous |
Disclaimer/Publisher’s Note: The statements, opinions and data contained in all publications are solely those of the individual author(s) and contributor(s) and not of MDPI and/or the editor(s). MDPI and/or the editor(s) disclaim responsibility for any injury to people or property resulting from any ideas, methods, instructions or products referred to in the content. |
© 2024 by the authors. Licensee MDPI, Basel, Switzerland. This article is an open access article distributed under the terms and conditions of the Creative Commons Attribution (CC BY) license (https://creativecommons.org/licenses/by/4.0/).
Share and Cite
Wanes, D.; Al Aoua, S.; Shammas, H.; Walters, F.; Das, A.M.; Rizk, S.; Naim, H.Y. Rosa canina L. Methanol Extract and Its Component Rutin Reduce Cholesterol More Efficiently than Miglustat in Niemann–Pick C Fibroblasts. Int. J. Mol. Sci. 2024, 25, 11361. https://doi.org/10.3390/ijms252111361
Wanes D, Al Aoua S, Shammas H, Walters F, Das AM, Rizk S, Naim HY. Rosa canina L. Methanol Extract and Its Component Rutin Reduce Cholesterol More Efficiently than Miglustat in Niemann–Pick C Fibroblasts. International Journal of Molecular Sciences. 2024; 25(21):11361. https://doi.org/10.3390/ijms252111361
Chicago/Turabian StyleWanes, Dalanda, Sherin Al Aoua, Hadeel Shammas, Friederike Walters, Anibh M. Das, Sandra Rizk, and Hassan Y. Naim. 2024. "Rosa canina L. Methanol Extract and Its Component Rutin Reduce Cholesterol More Efficiently than Miglustat in Niemann–Pick C Fibroblasts" International Journal of Molecular Sciences 25, no. 21: 11361. https://doi.org/10.3390/ijms252111361
APA StyleWanes, D., Al Aoua, S., Shammas, H., Walters, F., Das, A. M., Rizk, S., & Naim, H. Y. (2024). Rosa canina L. Methanol Extract and Its Component Rutin Reduce Cholesterol More Efficiently than Miglustat in Niemann–Pick C Fibroblasts. International Journal of Molecular Sciences, 25(21), 11361. https://doi.org/10.3390/ijms252111361

