The Interstitial Gland as a Source of Pro- or Anti-Senescent Cells during Chinchilla Rabbit Ovarian Aging
Abstract
1. Introduction
2. Results
2.1. The Interstitial Gland Gradually Replaces the Follicular Component That Occupies the Cortical Ovary
2.2. The Ovarian Interstitial Gland Foamy Cells (OIGFCs) Show Ultrastructural Characteristics of Lipophagy
2.3. The OIGFCs Do Not Express the Pan-Leukocyte Marker CD-45 but Do Express CYP11A1
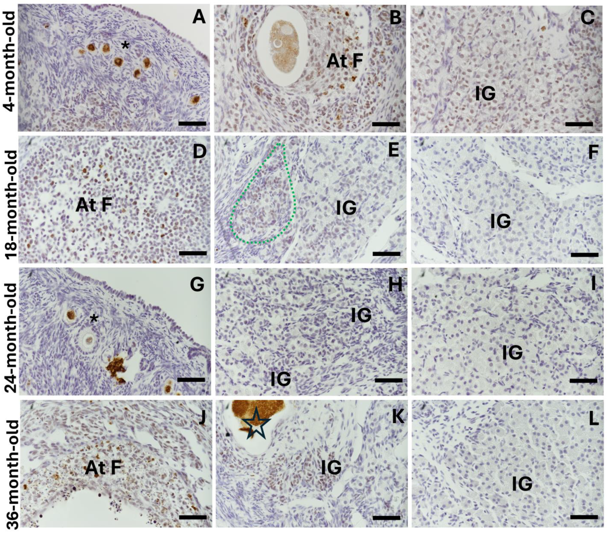
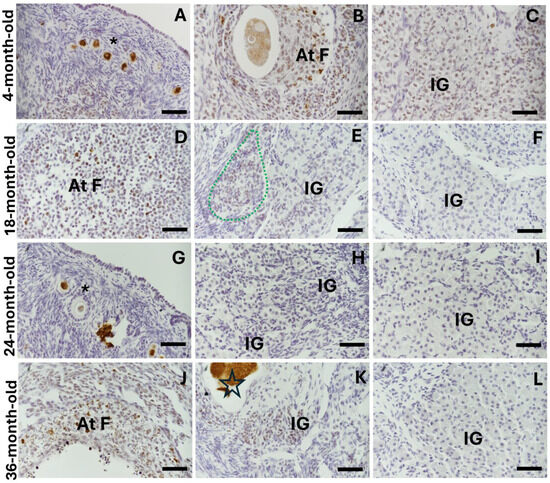
2.4. The Interstitial Gland as a Source of Anti-Senescent Cells
3. Discussion
4. Materials and Methods
4.1. High-Resolution and Transmission Electron Microscopy
4.2. Lipofuscin Detection and Analysis
4.3. Immunohistochemistry
4.4. Statistical Analysis
5. Conclusions
Supplementary Materials
Author Contributions
Funding
Institutional Review Board Statement
Informed Consent Statement
Data Availability Statement
Acknowledgments
Conflicts of Interest
References
- Camaioni, A.; Ucci, M.A.; Campagnolo, L.; De Felici, M.; Klinger, F.G. The process of ovarian aging: It is not just about oocytes and granulosa cells. J. Assist. Reprod. Genet. 2022, 39, 783–792. [Google Scholar] [CrossRef] [PubMed]
- Hernandez-Segura, A.; Nehme, J.; Demaria, M. Hallmarks of Cellular Senescence. Trends Cell Biol. 2018, 28, 436–453. [Google Scholar] [CrossRef]
- Ansere, V.A.; Ali-Mondal, S.; Sathiaseelan, R.; Garcia, D.N.; Isola, J.V.V.; Henseb, J.D.; Saccon, T.D.; Ocañas, S.R.; Tooley, K.B.; Stout, M.B.; et al. Cellular hallmarks of aging emerge in the ovary prior to primordial follicle depletion. Mech. Ageing Dev. 2021, 194, 111425. [Google Scholar] [CrossRef] [PubMed]
- Maruyama, N.; Fukunaga, I.; Kogo, T.; Endo, T.; Fujii, W.; Kanai-Azuma, M.; Naito, K.; Sugiura, K. Accumulation of senescent cells in the stroma of aged mouse ovary. J. Reprod. Dev. 2023, 69, 328–336. [Google Scholar] [CrossRef] [PubMed]
- Hense, J.D.; Garcia, D.N.; Isola, J.V.; Alvarado-Rincón, J.A.; Zanini, B.M.; Prosczek, J.B.; Stout, M.B.; Mason, J.B.; Walsh, P.T.; Brieño-Enríquez, M.A.; et al. Senolytic treatment reverses obesity-mediated senescent cell accumulation in the ovary. GeroScience 2022, 44, 1747–1759. [Google Scholar] [CrossRef] [PubMed]
- Isola, J.V.V.; Hense, J.D.; Osório, C.A.P.; Biswas, S.; Alberola-Ila, J.; Ocañas, S.R.; Schneider, A.; Stout, M.B. Reproductive Ageing: Inflammation, immune cells, and cellular senescence in the aging ovary. Reproduction 2024, 168, e230499. [Google Scholar] [CrossRef]
- Urzua, U.; Chacon, C.; Espinoza, R.; Martínez, S.; Hernandez, N. Parity-Dependent Hemosiderin and Lipofuscin Accumulation in the Reproductively Aged Mouse Ovary. Anal. Cell. Pathol. 2018, 2018, 1289103. [Google Scholar] [CrossRef]
- Briley, S.M.; Jasti, S.; McCracken, J.M.; Hornick, J.E.; Fegley, B.; Pritchard, M.T.; Duncan, F.E. Reproductive age-associated fibrosis in the stroma of the mammalian ovary. Reproduction 2016, 152, 245–260. [Google Scholar] [CrossRef]
- Foley, K.G.; Pritchard, M.T.; Duncan, F.E. Macrophage-derived multinucleated giant cells: Hallmarks of the aging ovary. Reproduction 2021, 161, V5–V9. [Google Scholar]
- Zhou, J.; Peng, X.; Mei, S. Autophagy in Ovarian Follicular Development and Atresia. Int. J. Biol. Sci. 2019, 15, 726–737. [Google Scholar]
- Guraya, S.S. Recent advances in the morphology, histochemistry, biochemistry, and physiology of interstitial gland cells of mammalian ovary. Int. Rev. Cytol. 1978, 55, 171–245. [Google Scholar] [PubMed]
- de Souza, V.G.; Bandeira, L.B.; Souza, N.; Taboga, S.R.; Martins, T.M.M.; Silva Perez, A.P. Prenatal and pubertal exposure to 17α-ethinylestradiol disrupts folliculogenesis and promotes morphophysiological changes in ovaries of old gerbils (Meriones unguiculatus). J. Dev. Orig. Health Dis. 2022, 13, 49–60. [Google Scholar] [CrossRef]
- Shen, J.; Liu, Y.; Teng, X.; Jin, L.; Feng, L.; Sun, X.; Zhao, F.; Huang, B.; Zhong, J.; Chen, Y.; et al. Spatial Transcriptomics of Aging Rat Ovaries Reveals Unexplored Cell Subpopulations with Reduced Antioxidative Defense. Gerontology 2023, 69, 1315–1329. [Google Scholar] [CrossRef]
- Díaz-Hernández, V.; Caldelas, I.; Montaño, L.M.; Merchant-Larios, H. Morphological rearrangement of the cortical region, in aging ovaries. Histol. Histopathol. 2019, 34, 775–789. [Google Scholar] [PubMed]
- Claesson, L.; Hillarp, N.A.; Hogberg, B. Lipid changes in the interstitial gland of the rabbit ovary at oestrogen formation. Acta Physiol. Scand. 1953, 29, 329–339. [Google Scholar] [CrossRef] [PubMed]
- Guraya, S.S.; Greenwald, G.S. Histochemical Studies on the Interstitial Gland in the Rabbit Ovary. Am. J. Anat. 1964, 114, 495–519. [Google Scholar] [CrossRef] [PubMed]
- Jarc, E.; Petan, T. Lipid Droplets and the Management of Cellular Stress. Yale J. Biol. Med. 2019, 92, 435–452. [Google Scholar]
- Maestri, A.; Garagnani, P.; Pedrelli, M.; Hagberg, C.E.; Parini, P.; Ehrenborg, E. Lipid droplets, autophagy, and ageing: A cell-specific tale. Ageing Res. Rev. 2024, 94, 102194. [Google Scholar] [CrossRef]
- Esmaeilian, Y.; Hela, F.; Bildik, G.; İltumur, E.; Yusufoglu, S.; Yildiz, C.S.; Yakin, K.; Kordan, Y.; Oktem, O. Autophagy regulates sex steroid hormone synthesis through lysosomal degradation of lipid droplets in human ovary and testis. Cell Death Dis. 2023, 14, 342. [Google Scholar] [CrossRef]
- Schulze, R.J.; Sathyanarayan, A.; Mashek, D.G. Breaking fat: The regulation and mechanisms of lipophagy. Biochim. Biophys. Acta Mol. Cell Biol. Lipids 2017, 1862, 1178–1187. [Google Scholar] [CrossRef]
- Singh, R.; Kaushik, S.; Wang, Y.; Xiang, Y.; Novak, I.; Komatsu, M.; Tanaka, K.; Cuervo, A.M.; Czaja, M.J. Autophagy regulates lipid metabolism. Nature 2009, 458, 1131–1135. [Google Scholar] [CrossRef] [PubMed]
- Kaushik, S.; Tasset, I.; Arias, E.; Pampliega, O.; Wong, E.; Martinez-Vicente, M.; Cuervo, A.M. Autophagy and the hallmarks of aging. Ageing Res. Rev. 2021, 72, 101468. [Google Scholar] [CrossRef] [PubMed]
- Rheinländer, A.; Schraven, B.; Bommhardt, U. CD45 in human physiology and clinical medicine. Immunol. Lett. 2018, 196, 22–32. [Google Scholar] [CrossRef] [PubMed]
- Chien, Y.; Rosal, K.; Chung, B.-C. Function of CYP11A1 in the mitochondria. Mol. Cell. Endocrinol. 2017, 441, 55–61. [Google Scholar] [CrossRef]
- Mossman, H.W.; Koering, M.J.; Ferry, D., Jr. Cyclic Changes in Interstitial Gland Tissue of the Human Ovary. Am. J. Anat. 1964, 115, 235–255. [Google Scholar] [CrossRef]
- Bildik, G.; Esmaeilian, Y.; Hela, F.; Akin, N.; İltumur, E.; Yusufoglu, S.; Yildiz, C.S.; Yakin, K.; Oktem, O. Cholesterol uptake or trafficking, steroid biosynthesis, and gonadotropin responsiveness are defective in young poor responders. Fertil. Steril. 2022, 117, 1069–1080. [Google Scholar] [CrossRef]
- Kwon, Y.; Kim, J.W.; Jeoung, J.A.; Kim, M.S.; Kang, C. Autophagy Is Pro-Senescence When Seen in Close-Up, but Anti-Senescence in Long-Shot. Mol. Cells 2017, 40, 607–612. [Google Scholar] [CrossRef]










| Mean OD SBB ± SEM. | ||||
|---|---|---|---|---|
| Structure | 4-Month-Old | 18-Month-Old | 24-Month-Old | 36-Month-Old |
| (a) Surface epithelium | 0.059 ± 0.009 | 0.173 ± 0.023 && h*** | 0.144 ± 0.025 & h*** | 0.1599 ± 0.005 && h*** |
| (b) Primordial follicles | 0.044 ± 0.006 | 0.086 ± 0.009 & a**, g**, h*** | 0.103 ± 0.020 & h*** | 0.1058 ± 0.008 & h*** |
| (c) Primary follicles | 0.045 ± 0.008 | 0.087 ± 0.010 a**, g**, h*** | 0.101 ± 0.028 h*** | 0.0980 ± 0.008 h*** |
| (d) Secondary follicles | 0.045 ± 0.007 | 0.099 ± 0.012 & a*, g** | 0.113 ± 0.019 && h*** | 0.110 ± 0.009 && h*** |
| (e) Atretic follicles | 0.048 ± 0.010 | 0.082 ± 0.008 a**, g** | 0.114 ± 0.15 && h*** | 0.0105 ± 0.009 & h*** |
| (f) Oocytes | 0.050 ± 0.010 | 0.085 ± 0.009 a**, g** | 0.098 ± 0.020 h*** | 0.100 ± 0.0003 & h*** |
| (g) Interstitial gland | 0.061 ± 0.010 | 0.179 ± 0.016 && h*** | 0.175 ± 0.054 && h*** | 0.173 ± 0.023 && h*** |
| (h) OIGFCs | - | 0.378 ± 0.004 && | 0.398 ± 0.039 && | 0.396 ± 0.045 && |
| Primary Antibodies | Dilution Immunohistochemistry (IH) Western Blot (WB) | Epitope Retrieval Buffer |
|---|---|---|
| Mouse anti-p21 (sc-817, Santa Cruz Biotechnology, Dallas, TX, USA) | 1:25 (IH) 1:200 (WB) | 1X Diva Decloaker (Biocare Medical, Pike Lane, CA, USA) |
| Biotin mouse anti-CD45 (103103, Biolegend, San Diego, CA, USA) | 1:50 (IH) 1:200 (WB) | Tris buffer-EDTA pH 10 |
| Mouse anti-PCNA [PC10] (GTX20029, GeneTex, Irvine, CA, USA) | 1:300 (IH) 1:1000 (WB) | 1X Diva Decloaker (Biocare Medical, Pike Lane, CA, USA) |
| Mouse anti-p-Histone H2A.X (sc-517348, Santa Cruz Biotechnology, Dallas, TX, USA) | 1:25 (IH) 1:200 (WB) | 1X Diva Decloaker (Biocare Medical, Pike Lane, CA, USA) |
| Goat anti-CYP11A1 (sc-18040, Santa Cruz Biotechnology, Dallas, TX, USA) | 1:50 (IH) 1:500 (WB) | Tris buffer-EDTA pH 10 |
| Goat anti-Actin (sc-1616, Santa Cruz Biotechnology Dallas, TX, USA) | 1:5000 (WB) | |
| Secondary antibodies | ||
| HRP horse anti-mouse (PI-2000, Vector Laboratories, Burlingame, CA, USA) | 1:250 (IH) 1:1000 (WB) | |
| HRP rabbit anti-goat (R-21459, Thermo Fisher Scientific, Rockford, IL, USA) | 1:250 (IH) 1:1000 (WB) | |
| Streptavidin, peroxidase (SA-5004, Vector Laboratories, Burlingame, CA, USA) | 1:500 (IH) 1:1000 (WB) | |
Disclaimer/Publisher’s Note: The statements, opinions and data contained in all publications are solely those of the individual author(s) and contributor(s) and not of MDPI and/or the editor(s). MDPI and/or the editor(s) disclaim responsibility for any injury to people or property resulting from any ideas, methods, instructions or products referred to in the content. |
© 2024 by the authors. Licensee MDPI, Basel, Switzerland. This article is an open access article distributed under the terms and conditions of the Creative Commons Attribution (CC BY) license (https://creativecommons.org/licenses/by/4.0/).
Share and Cite
Díaz-Hernández, V.; Marmolejo-Valencia, A.; Montiel-De la Cruz, C.; Piñón-Zárate, G.; Montaño, L.M.; Mora-Herrera, S.I.; Caldelas, I. The Interstitial Gland as a Source of Pro- or Anti-Senescent Cells during Chinchilla Rabbit Ovarian Aging. Int. J. Mol. Sci. 2024, 25, 9906. https://doi.org/10.3390/ijms25189906
Díaz-Hernández V, Marmolejo-Valencia A, Montiel-De la Cruz C, Piñón-Zárate G, Montaño LM, Mora-Herrera SI, Caldelas I. The Interstitial Gland as a Source of Pro- or Anti-Senescent Cells during Chinchilla Rabbit Ovarian Aging. International Journal of Molecular Sciences. 2024; 25(18):9906. https://doi.org/10.3390/ijms25189906
Chicago/Turabian StyleDíaz-Hernández, Verónica, Alejandro Marmolejo-Valencia, César Montiel-De la Cruz, Gabriela Piñón-Zárate, Luis M. Montaño, Silvia Ivonne Mora-Herrera, and Ivette Caldelas. 2024. "The Interstitial Gland as a Source of Pro- or Anti-Senescent Cells during Chinchilla Rabbit Ovarian Aging" International Journal of Molecular Sciences 25, no. 18: 9906. https://doi.org/10.3390/ijms25189906
APA StyleDíaz-Hernández, V., Marmolejo-Valencia, A., Montiel-De la Cruz, C., Piñón-Zárate, G., Montaño, L. M., Mora-Herrera, S. I., & Caldelas, I. (2024). The Interstitial Gland as a Source of Pro- or Anti-Senescent Cells during Chinchilla Rabbit Ovarian Aging. International Journal of Molecular Sciences, 25(18), 9906. https://doi.org/10.3390/ijms25189906

