Alterations of Liver Morphology in Senescent Rats
Abstract
1. Introduction
2. Results
2.1. Descriptive Histopathological Analysis of Rat Liver Reveals Key Differences between Adult and Senescent Specimens
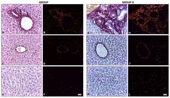
2.2. The Liver Tissue of Senescent Rats Shows Inflammatory Lesions and Fibrosis Predominantly Confined to the Portal Space
2.3. In Senescent Rats, the Reduction of Body and Liver Morphometric Parameters Is Accompanied by Significant Cellular Changes: The Hepatic Nuclei Increase in Size While Their Number Decreases
3. Discussion
4. Materials and Methods
4.1. Animals
4.2. Histological Processing and Staining
4.3. Histopathological Analyses
4.4. Quantification of Collagen Fibers
4.5. Liver Stereology
4.6. Statistical Analysis
5. Conclusions
Author Contributions
Funding
Institutional Review Board Statement
Informed Consent Statement
Data Availability Statement
Conflicts of Interest
References
- Kalra, A.; Yetiskul, E.; Wehrle, C.J.; Tuma, F. Physiology, Liver. [Updated 2023 May 1]. In StatPearls [Internet]; StatPearls Publishing: Treasure Island, FL, USA, 2024. Available online: https://www.ncbi.nlm.nih.gov/books/NBK535438/ (accessed on 6 August 2024).
- Sengupta, P. The laboratory rat: Relating its age with human’s. Int. J Prev. Med. 2013, 4, 624–630. [Google Scholar] [PubMed]
- Le Couteur, D.G.; McLean, A.J. The aging liver. Drug clearance and an oxygen diffusion barrier hypothesis. Clin. Pharmacokinet. 1998, 34, 359–373. [Google Scholar] [CrossRef] [PubMed]
- Anantharaju, A.; Feller, A.; Chedid, A. Aging liver. A review. Gerontology 2002, 48, 343–353. [Google Scholar] [CrossRef]
- Baiocchi, L.; Glaser, S.; Francis, H.; Kennedy, L.; Felli, E.; Alpini, G.; Gracia-Sancho, J. Impact of aging on liver cells and liver disease: Focus on the biliary and vascular compartments. Hepatol. Commun. 2021, 5, 1125–1137. [Google Scholar] [CrossRef] [PubMed]
- Jungermann, K.; Katz, N. Functional specialization of different hepatocyte populations. Physiol. Rev. 1989, 69, 708–764. [Google Scholar] [CrossRef]
- Brunk, U.T.; Terman, A. The mitochondrial-lysosomal axis theory of aging: Accumulation of damaged mitochondria as a result of imperfect autophagocytosis. Eur. J. Biochem. 2002, 269, 1996–2002. [Google Scholar] [CrossRef] [PubMed]
- Schmucker, D.L. Age-related changes in liver structure and function: Implications for disease? Exp. Gerontol. 2005, 40, 650–659. [Google Scholar] [CrossRef]
- Krizhanovsky, V.; Yon, M.; Dickins, R.A.; Hearn, S.; Simon, J.; Miething, C.; Yee, H.; Zender, L.; Lowe, S.W. Senescence of activated stellate cells limits liver fibrosis. Cell 2008, 134, 657–667. [Google Scholar] [CrossRef] [PubMed]
- Terman, A.; Brunk, U.T. Oxidative stress, accumulation of biological ‘garbage’, and aging. Antioxid. Redox. Signal. 2006, 8, 197–204. [Google Scholar] [CrossRef]
- Le Couteur, D.G.; Cogger, V.C.; McCuskey, R.S.; De Cabo, R.; Smedsrød, B.; Sorensen, K.K.; Warren, A.; Fraser, R. Age-related changes in the liver sinusoidal endothelium: A mechanism for dyslipidemia. Ann. N. Y. Acad. Sci. 2007, 1114, 79–87. [Google Scholar] [CrossRef]
- Le Couteur, D.G.; Warren, A.; Cogger, V.C.; Smedsrød, B.; Sørensen, K.K.; De Cabo, R.; Fraser, R.; McCuskey, R.S. Old age and the hepatic sinusoid. Anat. Rec. 2008, 291, 672–683. [Google Scholar] [CrossRef]
- Sastre, J.; Pallardó, F.V.; Viña, J. Mitochondrial oxidative stress plays a key role in aging and apoptosis. IUBMB Life 2000, 49, 427–435. [Google Scholar] [CrossRef] [PubMed]
- Nakad, R.; Schumacher, B. DNA damage response and immune defense: Links and mechanisms. Front. Genet. 2016, 7, 147. [Google Scholar] [CrossRef] [PubMed]
- Jones, D.P.; Sies, H. The Redox Code. Antioxid. Redox Signal 2015, 23, 734–746. [Google Scholar] [CrossRef] [PubMed]
- Youle, R.J.; van der Bliek, A.M. Mitochondrial fission, fusion, and stress. Science 2012, 337, 1062–1065. [Google Scholar] [CrossRef] [PubMed]
- Sun, Y.; Coppé, J.P.; Lam, E.W. Cellular senescence: The sought or the unwanted? Trends Mol. Med. 2018, 24, 871–885. [Google Scholar] [CrossRef]
- Neurohr, G.E.; Terry, R.L.; Lengefeld, J.; Bonney, M.; Brittingham, G.P.; Moretto, F.; Miettinen, T.P.; Vaites, L.P.; Soares, L.M.; Paulo, J.A.; et al. Excessive cell growth causes cytoplasm dilution and contributes to senescence. Cell 2019, 176, 1083–1097.e18. [Google Scholar] [CrossRef]
- Kowald, A.; Passos, J.F.; Kirkwood, T.B.L. On the evolution of cellular senescence. Aging Cell 2020, 19, e13270. [Google Scholar] [CrossRef]
- Huang, W.; Hickson, L.J.; Eirin, A.; Kirkland, J.L.; Lerman, L.O. Cellular senescence: The good, the bad and the unknown. Nature reviews. Nephrology 2022, 18, 611–627. [Google Scholar] [CrossRef]
- Ogrodnik, M.; Salmonowicz, H.; Gladyshev, V.N. Integrating cellular senescence with the concept of damage accumulation in aging: Relevance for clearance of senescent cells. Aging Cell 2019, 18, e12841. [Google Scholar] [CrossRef]
- Donato, A.J.; Morgan, R.G.; Walker, A.E.; Lesniewski, L.A. Cellular and molecular biology of aging endothelial cells. J. Mol. Cell Cardiol. 2015, 89, 122–135. [Google Scholar] [CrossRef]
- Pasarín, M.; La Mura, V.; Gracia-Sancho, J.; García-Calderó, H.; Rodríguez-Vilarrupla, A.; García-Pagán, J.C.; Bosch, J.; Abraldes, J.G. Sinusoidal endothelial dysfunction precedes inflammation and fibrosis in a model of NAFLD. PLoS ONE 2012, 7, e32785. [Google Scholar] [CrossRef] [PubMed]
- Maeso-Díaz, R.; Ortega-Ribera, M.; Fernández-Iglesias, A.; Hide, D.; Muñoz, L.; Hessheimer, A.J.; Vila, S.; Francés, R.; Fondevila, C.; Albillos, A.; et al. Effects of aging on liver microcirculatory function and sinusoidal phenotype. Aging Cell 2018, 17, e12829. [Google Scholar] [CrossRef] [PubMed]
- Friedman, S.L. Hepatic stellate cells: Protean, multifunctional, and enigmatic cells of the liver. Physiol. Rev. 2008, 88, 125–172. [Google Scholar] [CrossRef] [PubMed]
- Schuppan, D.; Afdhal, N.H. Liver cirrhosis. Lancet 2008, 371, 838–851. [Google Scholar] [CrossRef]
- Lefkowitch, J.H. Scheuer’s Liver Biopsy Interpretation, 10th ed.; Elsevier Health Sciences: New York, NY, USA, 2020; pp. 155–186. [Google Scholar]
- Watanabe, T.; Tanaka, Y. Age-related alterations in the size of human hepatocytes. Virchows Archiv. B Cell Pathol. 1982, 39, 9–20. [Google Scholar] [CrossRef]
- Nakajima, T.; Nakashima, T.; Okada, Y.; Jo, M.; Nishikawa, T.; Mitsumoto, Y.; Katagishi, T.; Kimura, H.; Itoh, Y.; Kagawa, K.; et al. Nuclear size measurement is a simple method for the assessment of hepatocellular aging in non-alcoholic fatty liver disease: Comparison with telomere-specific quantitative FISH and p21 immunohistochemistry. Pathol. Int. 2010, 60, 175–183. [Google Scholar] [CrossRef]
- Wang, M.J.; Chen, F.; Lau, J.T.Y.; Hu, Y.P. Hepatocyte polyploidization and its association with pathophysiological processes. Cell Death Dis. 2017, 8, e2805. [Google Scholar] [CrossRef] [PubMed]
- Ge, T.; Shao, Y.; Bao, X.; Xu, W.; Lu, C. Cellular senescence in liver diseases: From mechanisms to therapies. Int. Immunopharmacol. 2023, 121, 110522. [Google Scholar] [CrossRef]
- Crouch, J.; Shvedova, M.; Thanapaul, R.J.R.S.; Botchkarev, V.; Roh, D. Epigenetic regulation of cellular senescence. Cells 2022, 11, 672. [Google Scholar] [CrossRef]
- Rossiello, F.; Jurk, D.; Passos, J.F.; d’Adda di Fagagna, F. Telomere dysfunction in ageing and age-related diseases. Nat. Cell Biol. 2022, 24, 135–147. [Google Scholar] [CrossRef] [PubMed]
- Hu, S.J.; Jiang, S.S.; Zhang, J.; Luo, D.; Yu, B.; Yang, L.Y.; Zhong, H.H.; Yang, M.W.; Liu, L.Y.; Hong, F.F.; et al. Effects of apoptosis on liver aging. World J. Clin. Cases 2019, 7, 691–704. [Google Scholar] [CrossRef]
- Institute for Laboratory Animal Research. Guide for the Care and Use of Laboratory Animals; National Academies Press: Washington, DC, USA, 2011. [Google Scholar]
- Kümmecke, A.M.; Zieglowski, L.; Ernst, L.; Palme, R.; Tolba, R.H. Does sex matter in liver surgery? Comparison of severity assessments between female and male rats after partial hepatectomy: A pilot study. Eur. Surg. Res. 2023, 64, 65–76. [Google Scholar] [CrossRef] [PubMed]
- Rikans, L.E.; Moore, D.R.; Snowden, C.D. Sex-dependent differences in the effects of aging on antioxidant defense mechanisms of rat liver. Biochim. Biophys. Acta 1991, 1074, 195–200. [Google Scholar] [CrossRef] [PubMed]
- Russell, W.M.S.; Burch, R.L. The Principles of Humane Experimental Technique; Universities Federation for Animal Welfare: Wheathampstead, UK, 1959; reprinted in 1992. [Google Scholar]
- Cruz-Orive, L.M.; Weibel, E.R. Recent stereological methods for cell biology: A brief survey. Am. J. Physiol. 1990, 258, L148–L156. [Google Scholar] [CrossRef] [PubMed]
- Canadian Council on Animal Care. Guide to the Care and Use of Experimental Animals, 2nd ed.; Canadian Council on Animal Care: Ottawa, ON, USA, 1998; Volume 1, Available online: https://ccac.ca/Documents/Standards/Guidelines/Experimental_Animals_Vol1.pdf (accessed on 13 August 2024).
- Scherle, W. A simple method for volumetry of organs in quantitative stereology. Mikroskopie 1970, 26, 57–60. [Google Scholar]
- Klopfleisch, R. Multiparametric and semiquantitative scoring systems for the evaluation of mouse model histopathology—A systematic review. BMC Vet. Res. 2013, 9, 123. [Google Scholar] [CrossRef]
- Mandarim-de-Lacerda, C.A.; del Sol, M. Tips for studies with quantitative morphology (Morphometry and Stereology). Int. J. Morphol. 2017, 35, 1482–1494. [Google Scholar] [CrossRef]


| Collagen | Median ± SD | p | |
|---|---|---|---|
| Group A | Group S | ||
| Type I (µm2) | 18.18 ± 3.23 | 24.63 ± 9.99 | 0.001 * |
| Type III (µm2) | 15.22 ± 3.02 | 15.75 ± 3.74 | 0.541 |
| Variables | Group A | Group S | p | ||
|---|---|---|---|---|---|
| Mean ± SD | Min–Max | Mean ± SD | Min–Max | ||
| Body mass (g) | 462.17 ± 46.21 | 401.00–519.00 | 366.73 ± 45.84 | 302.00–415.19 | 0.005 * |
| Liver mass (g) | 20.85 ± 3.77 | 14.87–26.21 | 15.51 ± 1.40 | 13.98–18.03 | 0.009 * |
| Liver volume (cm3) | 19.00 ± 3.46 | 14.00–24.00 | 14.33 ± 1.63 | 12.00–17.00 | 0.014 * |
| Parameters | Mean ± SD | p | |
|---|---|---|---|
| Group A | Group S | ||
| VvhepM (%) | 10.85 ± 2.52 | 8.65 ± 2.18 | 0.001 * |
| VvhepB (%) | 1.01 ± 1.40 | 0.98 ± 1.62 | 0.086 |
| SvhepM (mm−1) | 27.78 ± 7.37 | 44.05 ± 11.39 | 0.001 * |
| NvhepM (mm−3) | 177,579.37 ± 42,953.28 | 103,174.60 ± 45,478.43 | 0.001 * |
| Grade | |
|---|---|
| Portal inflammation and interphase hepatitis | |
| 0 | Absent or minimal. |
| 1 | Portal inflammation only. |
| 2 | Mild or localized interface hepatitis. |
| 3 | Moderate or more extensive interface hepatitis. |
| 4 | Severe and widespread interface hepatitis. |
| Lobular activity | |
| 0 | None. |
| 1 | Inflammatory cells but no hepatocellular damage. |
| 2 | Focal necrosis or apoptosis. |
| 3 | Severe hepatocellular damage. |
| 4 | Damage includes bridging confluent necrosis. |
| Stage | |
| 0 | No fibrosis. |
| 1 | Fibrosis confined to portal tracts. |
| 2 | Periportal or portal–portal septa but intact vascular relationships. Intact vascular relationships. |
| 3 | Fibrosis with distorted structure but no obvious cirrhosis. (septal fibrosis, bridging fibrosis). |
| 4 | Probable or definite cirrhosis. |
| Stage | Rating |
|---|---|
| 1 | The florid duct lesion, portal hepatitis. * |
| 2 | Ductular reaction and periportal hepatitis. |
| 3 | Scarring, bridging necrosis, septal fibrosis. |
| 4 | Cirrhosis. |
Disclaimer/Publisher’s Note: The statements, opinions and data contained in all publications are solely those of the individual author(s) and contributor(s) and not of MDPI and/or the editor(s). MDPI and/or the editor(s) disclaim responsibility for any injury to people or property resulting from any ideas, methods, instructions or products referred to in the content. |
© 2024 by the authors. Licensee MDPI, Basel, Switzerland. This article is an open access article distributed under the terms and conditions of the Creative Commons Attribution (CC BY) license (https://creativecommons.org/licenses/by/4.0/).
Share and Cite
Maldonado-Rengel, R.; Sócola-Barsallo, Z.; Vásquez, B. Alterations of Liver Morphology in Senescent Rats. Int. J. Mol. Sci. 2024, 25, 9846. https://doi.org/10.3390/ijms25189846
Maldonado-Rengel R, Sócola-Barsallo Z, Vásquez B. Alterations of Liver Morphology in Senescent Rats. International Journal of Molecular Sciences. 2024; 25(18):9846. https://doi.org/10.3390/ijms25189846
Chicago/Turabian StyleMaldonado-Rengel, Ruth, Zaida Sócola-Barsallo, and Bélgica Vásquez. 2024. "Alterations of Liver Morphology in Senescent Rats" International Journal of Molecular Sciences 25, no. 18: 9846. https://doi.org/10.3390/ijms25189846
APA StyleMaldonado-Rengel, R., Sócola-Barsallo, Z., & Vásquez, B. (2024). Alterations of Liver Morphology in Senescent Rats. International Journal of Molecular Sciences, 25(18), 9846. https://doi.org/10.3390/ijms25189846

