Expression Patterns of Cytokeratins (CK7, CK20, CK19, CK AE1/AE3) in Atypical Endometrial Hyperplasia Coexisting with Endometrial Cancer
Abstract
1. Introduction
2. Results
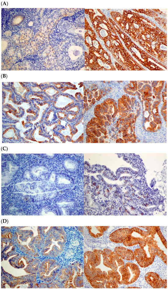
2.1. CK Expression in the Hyperplastic and Neoplastic Endometrium
2.2. Correlation of CK Staining between AEH and G1 EC
2.3. Correlation of CK Staining between AEH and G2 EC
2.4. Correlation of CK Staining between G1 and G2 ECs
3. Discussion
4. Materials and Methods
4.1. Patients and Tissue Samples
4.2. Immunohistochemistry
4.3. Statistical Analyses
5. Conclusions
Supplementary Materials
Author Contributions
Funding
Institutional Review Board Statement
Informed Consent Statement
Data Availability Statement
Acknowledgments
Conflicts of Interest
References
- Auclair, M.H.; Yong, P.J.; Salvador, S.; Thurston, J.; Colgan, T.T.J.; Sebastianelli, A. Guideline no. 390-classification and management of endometrial hyperplasia. J. Obstet. Gynaecol. Can. 2019, 41, 1789–1800. [Google Scholar] [PubMed]
- Sung, H.; Ferlay, J.; Siegel, R.L.; Laversanne, M.; Soerjomataram, I.; Jemal, A.; Bray, F. Global Cancer Statistics 2020: GLOBOCAN Estimates of Incidence and Mortality Worldwide for 36 Cancers in 185 Countries. CA Cancer J. Clin. 2021, 71, 209–249. [Google Scholar]
- Nees, L.K.; Heublein, S.; Steinmacher, S.; Juhasz-Böss, I.; Brucker, S.; Tempfer, C.B.; Wallwiener, M. Endometrial hyperplasia as a risk factor of endometrial cancer. Arch. Gynecol. Obstet. 2022, 306, 407–421. [Google Scholar] [PubMed]
- Mutter, G.; Baak, J.; Crum, C.; Richart, R.M.; Ferenczy, A.; Faquin, W.C. Endometrial precancer diagnosis by histopathology, clonal analysis, and computerized morphometry. J. Pathol. 2000, 190, 462–469. [Google Scholar] [PubMed]
- Mutter, G. The Endometrial Collaborative Group. Endometrial intraepithelial neoplasia(EIN): Will it bring order to chaos? Gynecol. Oncol. 2000, 76, 287–290. [Google Scholar]
- Bilgin, T.; Ozuysal, S.; Ozan, H.; Atakan, T. Coexisting endometrial cancer in patients with a preoperative diagnosis of atypical endometrial hyperplasia. J. Obstet. Gynaecol. Res. 2004, 30, 205–209. [Google Scholar]
- Giede, K.C.; Yen, T.W.; Chibbar, R.; Pierson, R.A. Significance of concurrent endometrial cancer in women with a preoperative diagnosis of atypical endometrial hyperplasia. J. Obstet. Gynaecol. Can. 2008, 30, 896–901. [Google Scholar]
- Hunter, J.E.; Tritz, D.E.; Howell, M.G.; DePriest, P.D.; Gallion, H.H.; Andrews, S.J.; Buckley, S.B.; Kryscio, R.J.; van Nagell, J.R., Jr. The prognostic and therapeutic implications of cytologic atypia in patients with endometrial hyperplasia. Gynecol. Oncol. 1994, 55, 66–71. [Google Scholar]
- Miller, C.; Bidus, M.A.; Pulcini, J.P.; Maxwell, G.L.; Cosin, J.A.; Rose, G.S. The ability of endometrial biopsies with atypical complex hyperplasia to guide surgical management. Am. J. Obstet. Gynecol. 2008, 199, 69.e1–69.e4. [Google Scholar]
- Trimble, C.L.; Kauderer, J.; Zaino, R.; Silverberg, S.; Lim, P.C.; Burke, J.J., 2nd; Alberts, D.; Curtin, J. Concurrent endometrial carcinoma in women with a biopsy diagnosis of atypical endometrial hyperplasia: A Gynecologic Oncology Group study. Cancer 2006, 106, 812–819. [Google Scholar]
- Whyte, J.S.; Gurney, E.P.; Curtin, J.P.; Blank, S.V. Lymph node dissection in the surgical management of atypical endometrial hyperplasia. Am. J. Obstet. Gynecol. 2010, 202, 176.e1–176.e4. [Google Scholar]
- Widra, E.A.; Dunton, C.J.; McHugh, M.; Palazzo, J.P. Endometrial hyperplasia and the risk of carcinoma. Int. J. Gynecol. Cancer 1995, 5, 233–235. [Google Scholar]
- Schweizer, J.; Bowden, P.E.; Coulombe, P.A.; Langbein, L.; Lane, E.B.; Magin, T.M.; Maltais, L.; Omary, M.B.; Parry, D.A.D.; Rogers, M.A.; et al. New consensus nomenclature for mammalian keratins. J. Cell Biol. 2006, 174, 169–174. [Google Scholar]
- Moll, R.; Divo, M.; Langbein, L. The human keratins: Biology and pathology. Histochem. Cell Biol. 2008, 129, 705–733. [Google Scholar]
- Yu, B.; Kong, D.; Cheng, C.; Xiang, D.; Cao, L.; Liu, Y.; He, Y. Assembly and recognition of keratins: A structural perspective. Semin. Cell Dev. Biol. 2022, 128, 80–89. [Google Scholar]
- Moll, R.; Levy, R.; Czernobilsky, B.; Majert, P.H.; Hellweg, G.D.; Franke, W.W. Cytokeratins of normal epithelia and some neoplasms of female genital tract. Lab. Investig. 1983, 49, 599–610. [Google Scholar]
- Chu, P.G.; Weiss, L.M. Keratin expression in human tissues and neoplasms. Histopathology 2002, 40, 403–439. [Google Scholar] [PubMed]
- Chu, P.; Wu, E.; Weiss, L.M. Cytokeratin 7 and cytokeratin 20 expression in epithelial neoplasms: A survey of 435 cases. Mod. Pathol. 2000, 13, 962–972. [Google Scholar]
- Alkushi, A.; Irving, J.; Hsu, F.; Dupuis, B.; Liu, C.L.; Rijn, M.; Gilks, C.B. Immunoprofile of cervical and endometrial adenocarcinomas using a tissue microarray. Virchows Arch. 2003, 442, 271–277. [Google Scholar] [PubMed]
- Han, C.P.; Kok, L.F.; Lee, M.Y.; Wu, T.S.; Ruan, A.; Cheng, Y.W.; Wang, P.H.; Koo, C.L.; Tyan, Y.S. Five commonly used markers (p53, TTF1, CK7, CK20,and CK34_E12) are of no use in distinguishing between primary endocervical and endometrial adenocarcinomas in a tissue microarray extension study. Arch. Gynecol. Obstet. 2010, 281, 317–323. [Google Scholar]
- Dum, D.; Menz, A.; Völkel, C.; De Wispelaere, N.; Hinsch, A.; Gorbokon, N.; Lennartz, M.; Luebke, A.M.; Hube-Magg, C.; Kluth, M.; et al. Cytokeratin 7 and cytokeratin 20 expression in cancer: A tissue microarray study on 15,424 cancers. Exp. Mol. Pathol. 2022, 126, 104762. [Google Scholar]
- Wang, N.P.; Zee, S.; Zarbo, R.J.; Bacchi, C.E.; Gown, A.M. Coordinate expression of cytokeratins 7 and 20 defines unique subsets of carcinomas. Appl. Immunohistochem. 1995, 3, 99–107. [Google Scholar]
- Hahn, H.S.; Chun, Y.K.; Kwon, Y.I.; Kim, T.J.; Lee, K.H.; Shim, J.U.; Mok, J.E.; Lim, K.T. Concurrent endometrial carcinoma following hysterectomy for atypical endometrial hyperplasia. Eur. J. Obstet. Gynecol. Reprod. Biol. 2010, 150, 80–83. [Google Scholar] [PubMed]
- Leitao, M.M., Jr.; Han, G.; Lee, L.X.; Abu-Rustum, N.R.; Brown, C.L.; Chi, D.S.; Sonoda, Y.; Levine, D.A.; Gardner, G.J.; Jewell, E.E.; et al. Complex atypical hyperplasia of the uterus: Characteristics and prediction of underlying carcinoma risk. Am. J. Obstet. Gynecol. 2010, 203, e1–e349. [Google Scholar]
- Bourdel, N.; Chauvet, P.; Tognazza, E.; Pereira, B.; Botchorishvili, R.; Canis, M. Sampling in atypical endometrial hyperplasia: Which method results in the lowest underestimation of endometrial cancer? A systematic review and meta-analysis. J. Minim. Invasive Gynecol. 2016, 23, 692–701. [Google Scholar]
- Kisielewski, F.; Gajewska, M.E.; Marczewska, M.J.; Panek, G.; Wielgoś, M.; Kamiński, P. Comparison of endometrial biopsy and postoperative hysterectomy specimen findings in patients with atypical endometrial hyperplasia and endometrial cancer. Ginekol. Pol. 2016, 87, 488–492. [Google Scholar]
- Zhao, J.; Hu, Y.; Zhao, Y.; Chen, D.; Fang, T.; Ding, M. Risk factors of endometrial cancer in patients with endometrial hyperplasia: Implication for clinical treatments. BMC Womens Health 2021, 21, 312. [Google Scholar]
- Doherty, M.T.; Sanni, O.B.; Coleman, H.G.; Cardwell, C.R.; McCluggage, W.G.; Quinn, D.; Wylie, J.; McMenamin, Ú.C. Concurrent and future risk of endometrial cancer in women with endometrial hyperplasia: A systematic review and meta-analysis. PLoS ONE 2020, 15, e0232231. [Google Scholar]
- Rakha, E.; Wong, S.C.; Soomro, I.; Chaudry, Z.; Sharma, A.; Deen, S.; Chan, S.; Abu, J.; Nunns, D.; Williamson, K.; et al. Clinical outcome of atypical endometrial hyperplasia diagnosed on an endometrial biopsy: Institutional experience and review of literature. Am. J. Surg. Pathol. 2012, 36, 1683–1690. [Google Scholar]
- Vetter, M.H.; Smith, B.; Benedict, J.; Hade, E.M.; Bixel, K.; Copeland, L.J.; Cohn, D.E.; Fowler, J.M.; O’Malley, D.; Salani, R.; et al. Preoperative predictors of endometrial cancer at time of hysterectomy for endometrial intraepithelial neoplasia or complex atypical hyperplasia. Am. J. Obstet. Gynecol. 2020, 222, 60.e1–60.e7. [Google Scholar]
- Barakat, A.; Ismail, A.; Chattopadhyay, S.; Davies, Q. Endometrial cancer incidence in patients with atypical endometrial hyperplasia according to mode of management. Cancer Diagn. Progn. 2022, 2, 564–568. [Google Scholar]
- Burrows, A.; Pudwell, J.; Bougie, O. Preoperative factors of endometrial carcinoma in patients undergoing hysterectomy for atypical endometrial hyperplasia. J. Obstet. Gynaecol. Can. 2021, 43, 822–830. [Google Scholar]
- Capozzi, V.A.; Sozzi, G.; Butera, D.; Chiantera, V.; Ghi, T.; Berretta, R. Nodal assessment in endometrial atypical hyperplasia. Gynecol. Obstet. Investig. 2022, 87, 226–231. [Google Scholar]
- Rajadurai, V.A.; Chivers, P.; Ayres, C.; Mohan, G.R.; Stewart, C.J.R.; Leung, Y.C.; Wan, K.M.; Cohen, P.A. Predictors of endometrial carcinoma in patients with atypical endometrial hyperplasia at a tertiary gynaecological cancer centre in Western Australia. Aust. N. Z. J. Obstet. Gynaecol. 2021, 61, 275–283. [Google Scholar]
- Kurman, R.; Norris, H. Evaluation of criteria for distinguishing atypical endometrial hyperplasia from well-differentiated carcinoma. Cancer 1982, 49, 2547–2559. [Google Scholar]
- Zaino, R.J.; Kauderer, J.; Trimble, C.L.; Silverberg, S.G.; Curtin, J.P.; Lim, P.C.; Gallup, D.G. Reproducibility of the diagnosis of atypical hyperplasia. A Gynecologic Oncology Group study. Cancer 2006, 106, 804–811. [Google Scholar] [PubMed]
- Karantza, V. Keratins in health and cancer: More than mere epithelial cell markers. Oncogene 2011, 30, 127–138. [Google Scholar]
- Park, K.J.; Bramlage, M.P.; Ellenson, L.H.; Pirog, E.C. Immunoprofile of adenocarcinomas of the endometrium, endocervix, and ovary with mucinous differentiation. Appl. Immunohistochem. Mol. Morphol. 2009, 17, 8–11. [Google Scholar] [PubMed]
- McCluggage, W.G. Immunohistochemical and functional biomarkers of value in female genital tract lesions. Int. J. Gynecol. Pathol. 2006, 25, 101–120. [Google Scholar] [PubMed]
- Bartek, J.; Bartkova, J.; Taylor-Papadimitriou, J.; Rejthar, A.; Kovarik, J.; Lukas, Z.; Vojtesek, B. Differential expression of keratin 19 in normal human epithelial tissues revealed by monospecific monoclonal antibodies. Histochem. J. 1986, 18, 565–575. [Google Scholar]
- Kwaspen, F.H.L.; Smedts, F.M.M.; Broos, A.; Bulten, H.; Debie, W.M.H.; Ramaekers, F.C.S. Reproducible and highly sensitive detection of the broad spectrum epithelial marker keratin 19 in routine cancer diagnosis. Histopathology 1997, 31, 503–516. [Google Scholar]
- Wonodirekso, S.; Hadisaputra, W.; Affandi, B.; Siregar, B.; Rogers, P.A.W. Cytokeratin 8, 18 and 19 in endometrial epithelium of Norplant and norethisterone enanthate injectable progestogen contraceptive users. Hum. Reprod. 1996, 11, 144–149. [Google Scholar] [PubMed]
- Stewart, C.J.R.; Crook, M.L.; Lacey, J.; Louwen, K. Cytokeratin 19 expression in normal endometrium and in low-grade endometrioid adenocarcinoma of the endometrium. Int. J. Gynecol. Pathol. 2011, 30, 484–491. [Google Scholar]
- Zemer, R.; Fishman, A.; Bernheim, J.; Zimlichman, S.; Markowicz, O.; Altaras, M.; Klein, A. Expression of Cytokeratin-20 in endometrial carcinoma. Gynecol. Oncol. 1998, 70, 410–413. [Google Scholar]
- Moll, R.; Lowe, A.; Laufer, J.; Franke, W.W. Cytokeratin-20 in human carcinomas: A new histodiagnostic marker detected by monoclonal antibodies. Am. J. Pathol. 1992, 140, 427–447. [Google Scholar] [PubMed]
- Moskaluk, C.A.; Zhang, H.; Powell, S.M.; Cerilli, L.A.; Hampton, G.M.; Frierson, H.F. Cdx2 protein expression in normal and malignant human tissues: An immunohistochemical survey using tissue microarrays. Mod. Pathol. 2003, 16, 913–919. [Google Scholar]
- Kaimaktchiev, V.; Terracciano, L.; Tornillo, L.; Spichtin, H.; Stoios, D.; Bundi, M.; Korcheva, V.; Mirlacher, M.; Loda, M.; Sauter, G.; et al. The homeobox intestinal differentiation factor CDX2 is selectively expressed in gastrointestinal adenocarcinomas. Mod. Pathol. 2004, 1, 1392–1399. [Google Scholar]
- De Lott, L.B.; Morrison, C.; Suster, S.; Cohn, D.E.; Frankel, W.L. CDX2 is a useful marker of intestinal-type differentiation; a tissue microarray-based study of 629 tumors from various sites. Arch. Pathol. Lab. Med. 2005, 129, 1100–1105. [Google Scholar]
- Nelson, G.; Ordóñez, M.D. Broad-spectrum immunohistochemical epithelial markers: A review. Hum. Pathol. 2013, 44, 1195–1215. [Google Scholar]
- Wick, M.R.; Swanson, P.E.; Manivel, J.C. Placental-like alkaline phosphatase reactivity in human tumors: An immunohistochemical study of 520 cases. Hum. Pathol. 1987, 18, 946–954. [Google Scholar]
- WHO Classification of Tumours Editorial Board. Female Genital Tumours. In WHO Classification of Tumours, 5th ed.; IARC Press: Lyon, France, 2020; Volume 4. [Google Scholar]
- Berek, J.S.; Matias-Guiu, X.; Creutzberg, C.; Fotopoulou, C.; Gaffney, D.; Kehoe, S.; Lindemann, K.; Mutch, D.; Concin, N. Endometrial Cancer Staging Subcommittee, FIGO Women’s Cancer Committee. FIGO staging of endometrial cancer: 2023. Int. J. Gynecol. Obstet. 2023, 162, 383–394. [Google Scholar]

| Grade of Heterogeneous CK19 Expression | AEH | EC G1 | p |
|---|---|---|---|
| 1p | 18.52% | 32.5% | 0.04 * |
| 2p | 81.48% | 62.5% | |
| 3p | 0% | 5% |
| Grade of Intense CKAE1/AE3 Expression | AEH | G2 EC | p |
|---|---|---|---|
| 1p | 13.51% | 7.69% | 0.031 * |
| 2p | 50.0% | 92.31% | |
| 3p | 31.08% | 0% |
| Grade of Intensity CKAE1/AE3 Expression | AEH | EC G2 | p |
|---|---|---|---|
| 1p + 2p | 63.51% | 100% | 0.029 * |
| 3p | 31.08% | 0% |
| Grade of Intensity CKAE1/AE3 Expression | EC G1 | EC G2 | p |
|---|---|---|---|
| 1p | 16.39% | 7.69% | 0.007 * |
| 2p | 47.54% | 92.31% | |
| 3p | 36.07% | 0% |
| Grade of Intensity CKAE1/AE3 Expression | EC G1 | EC G2 | p |
|---|---|---|---|
| 1p + 2p | 63.93% | 100% | 0.008 * |
| 3p | 36.07% | 0% |
| . | Mean (±SD) | Min-Max |
|---|---|---|
| Age (years) | 56.63 (±9.97) | 43–79 |
| Number of pregnancies (n) | 2.31 (±1.423) | 0–5 |
| Number of deliveries (n) | 1.92 (±1.07) | 0–5 |
| Length of menopause (years) | 6.96 (±9.351) | 0–25 |
| Body mass index (kg/m2) | 31.31 (±8.147) | 21.5–60.2 |
| Number of Cases n (%) | |
|---|---|
| FIGO stage | |
| I | 74 (100%) |
| Histological grade according to the WHO | |
| G1 | 61 (82.43%) |
| G2 | 13 (17.57%) |
| G3 | 0 (0%) |
| Myometrial invasion | |
| <1/2 of myometrium thickness | 71 (95.95%) |
| ≥1/2 of myometrium thickness | 3 (4.05%) |
| LVSI | |
| Absent | 74 (100%) |
| Antibody | Clone | Isotype | pH | Dilution |
|---|---|---|---|---|
| Cytokeratin 7 | OV-TL 12/30 | IgG1 kappa | High | 1:50 |
| Cytokeratin 19 | RCK 108 | IgG1 kappa | High | 1:50 |
| Cytokeratin 20 | Ks20.8 | IgG2a kappa | High | 1:50 |
| AE1/AE3 | AE1/AE3 | IgG1 kappa | High | 1:100 |
Disclaimer/Publisher’s Note: The statements, opinions and data contained in all publications are solely those of the individual author(s) and contributor(s) and not of MDPI and/or the editor(s). MDPI and/or the editor(s) disclaim responsibility for any injury to people or property resulting from any ideas, methods, instructions or products referred to in the content. |
© 2024 by the authors. Licensee MDPI, Basel, Switzerland. This article is an open access article distributed under the terms and conditions of the Creative Commons Attribution (CC BY) license (https://creativecommons.org/licenses/by/4.0/).
Share and Cite
Vasilevska, D.; Rudaitis, V.; Lewkowicz, D.; Širvienė, D.; Mickys, U.; Semczuk, M.; Obrzut, B.; Semczuk, A. Expression Patterns of Cytokeratins (CK7, CK20, CK19, CK AE1/AE3) in Atypical Endometrial Hyperplasia Coexisting with Endometrial Cancer. Int. J. Mol. Sci. 2024, 25, 9084. https://doi.org/10.3390/ijms25169084
Vasilevska D, Rudaitis V, Lewkowicz D, Širvienė D, Mickys U, Semczuk M, Obrzut B, Semczuk A. Expression Patterns of Cytokeratins (CK7, CK20, CK19, CK AE1/AE3) in Atypical Endometrial Hyperplasia Coexisting with Endometrial Cancer. International Journal of Molecular Sciences. 2024; 25(16):9084. https://doi.org/10.3390/ijms25169084
Chicago/Turabian StyleVasilevska, Danuta, Vilius Rudaitis, Dorota Lewkowicz, Dominika Širvienė, Ugnius Mickys, Marek Semczuk, Bogdan Obrzut, and Andrzej Semczuk. 2024. "Expression Patterns of Cytokeratins (CK7, CK20, CK19, CK AE1/AE3) in Atypical Endometrial Hyperplasia Coexisting with Endometrial Cancer" International Journal of Molecular Sciences 25, no. 16: 9084. https://doi.org/10.3390/ijms25169084
APA StyleVasilevska, D., Rudaitis, V., Lewkowicz, D., Širvienė, D., Mickys, U., Semczuk, M., Obrzut, B., & Semczuk, A. (2024). Expression Patterns of Cytokeratins (CK7, CK20, CK19, CK AE1/AE3) in Atypical Endometrial Hyperplasia Coexisting with Endometrial Cancer. International Journal of Molecular Sciences, 25(16), 9084. https://doi.org/10.3390/ijms25169084

