GLI Transcriptional Targets S100A7 and KRT16 Show Upregulated Expression Patterns in Epidermis Overlying the Tumor Mass in Melanoma Samples
Abstract
1. Introduction
2. Results
2.1. S100A7 and KRT16 Are Novel Targets of GLI1 in Different In Vitro Models of Melanoma Cell Lines
2.2. Clinical Characteristics of Melanoma Samples Are Correlated with Stages of the Disease
2.3. Proteins S100A7 and KRT16 Have Strong Expression in the Epidermis Overlying the Tumor
2.4. Expression of GLI1 Is Strongly Associated with Expressions of GLI3, KRT16, and S100A7 in the Epidermis Bordering the Tumor
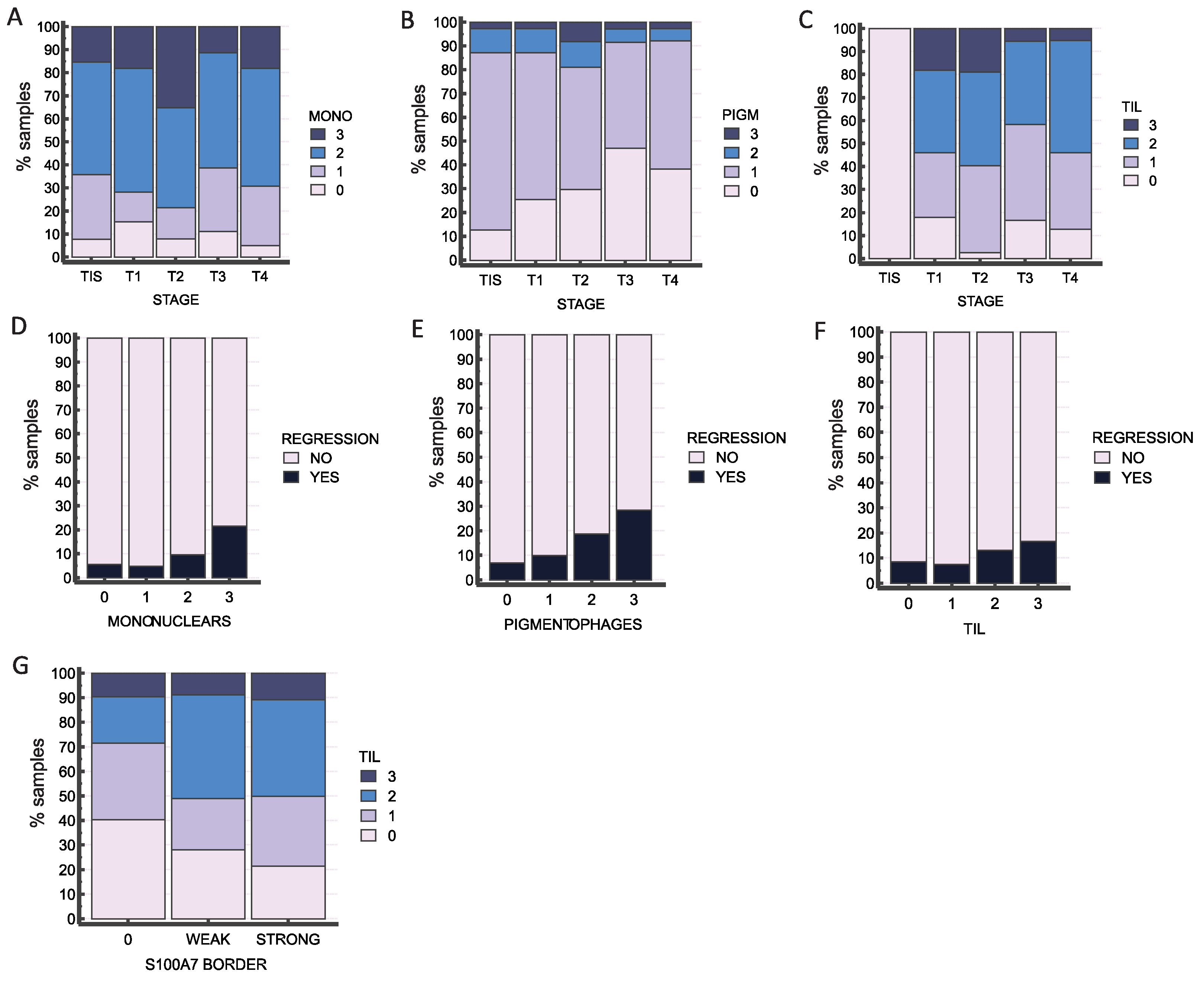
2.5. Immune Infiltration Is an Important Feature in Melanoma Samples
3. Discussion
4. Materials and Methods
4.1. Cell Culture
4.2. Plasmids and Cell Transfection
4.3. Spheroid Culture
4.4. Generation of the CHL1 SHH-KI Cell Line
4.5. Quantitative PCR Analysis
4.6. Patient Samples and Characteristics
4.7. Immunohistochemical Staining and Analysis
4.8. Statistical Analysis
5. Conclusions
Supplementary Materials
Author Contributions
Funding
Institutional Review Board Statement
Informed Consent Statement
Data Availability Statement
Acknowledgments
Conflicts of Interest
References
- Davis, L.E.; Shalin, S.C.; Tackett, A.J. Current State of Melanoma Diagnosis and Treatment. Cancer Biol. Ther. 2019, 20, 1366–1379. [Google Scholar] [CrossRef] [PubMed]
- Tanese, K.; Emoto, K.; Kubota, N.; Fukuma, M.; Sakamoto, M. Immunohistochemical Visualization of the Signature of Activated Hedgehog Signaling Pathway in Cutaneous Epithelial Tumors. J. Dermatol. 2018, 45, 1181–1186. [Google Scholar] [CrossRef]
- Regl, G.; Kasper, M.; Schnidar, H.; Eichberger, T.; Neill, G.W.; Ikram, M.S.; Quinn, A.G.; Philpott, M.P.; Frischauf, A.-M.; Aberger, F. The Zinc-Finger Transcription Factor GLI2 Antagonizes Contact Inhibition and Differentiation of Human Epidermal Cells. Oncogene 2004, 23, 1263–1274. [Google Scholar] [CrossRef] [PubMed]
- Dahmane, N.; Lee, J.; Robins, P.; Heller, P.; Ruiz i Altaba, A. Activation of the Transcription Factor Gli1 and the Sonic Hedgehog Signalling Pathway in Skin Tumours. Nature 1997, 389, 876–881. [Google Scholar] [CrossRef] [PubMed]
- Pandolfi, S.; Stecca, B. Hedgehog-Gli Signaling in Basal Cell Carcinoma and Other Skin Cancers: Prospects for Therapy. Res. Rep. Biol. RRB 2015, 6, 55–71. [Google Scholar] [CrossRef][Green Version]
- Stecca, B.; Mas, C.; Clement, V.; Zbinden, M.; Correa, R.; Piguet, V.; Beermann, F.; Ruiz i Altaba, A. Melanomas Require HEDGEHOG-GLI Signaling Regulated by Interactions between GLI1 and the RAS-MEK/AKT Pathways. Proc. Natl. Acad. Sci. USA 2007, 104, 5895–5900. [Google Scholar] [CrossRef]
- Jalili, A.; Mertz, K.D.; Romanov, J.; Wagner, C.; Kalthoff, F.; Stuetz, A.; Pathria, G.; Gschaider, M.; Stingl, G.; Wagner, S.N. NVP-LDE225, a Potent and Selective SMOOTHENED Antagonist Reduces Melanoma Growth In Vitro and In Vivo. PLoS ONE 2013, 8, e69064. [Google Scholar] [CrossRef]
- O’Reilly, K.E.; Vega-Saenz de Miera, E.; Segura, M.F.; Friedman, E.; Poliseno, L.; Han, S.W.; Zhong, J.; Zavadil, J.; Pavlick, A.; Hernando, E.; et al. Hedgehog Pathway Blockade Inhibits Melanoma Cell Growth in Vitro and in Vivo. Pharmaceuticals 2013, 6, 1429–1450. [Google Scholar] [CrossRef]
- Brellier, F.; Marionnet, C.; Chevallier-Lagente, O.; Toftgard, R.; Mauviel, A.; Sarasin, A.; Magnaldo, T. Ultraviolet Irradiation Represses PATCHED Gene Transcription in Human Epidermal Keratinocytes through an Activator Protein-1-Dependent Process. Cancer Res. 2004, 64, 2699–2704. [Google Scholar] [CrossRef]
- Capozza, F.; Trimmer, C.; Castello-Cros, R.; Katiyar, S.; Whitaker-Menezes, D.; Follenzi, A.; Crosariol, M.; Llaverias, G.; Sotgia, F.; Pestell, R.G.; et al. Genetic Ablation of Cav1 Differentially Affects Melanoma Tumor Growth and Metastasis in Mice: Role of Cav1 in Shh Heterotypic Signaling and Transendothelial Migration. Cancer Res. 2012, 72, 2262–2274. [Google Scholar] [CrossRef]
- Agrawal, V.; Kim, D.Y.; Kwon, Y.-G. Hhip Regulates Tumor-Stroma-Mediated Upregulation of Tumor Angiogenesis. Exp. Mol. Med. 2017, 49, e289. [Google Scholar] [CrossRef] [PubMed]
- Kurtović, M.; Piteša, N.; Bartoniček, N.; Ozretić, P.; Musani, V.; Čonkaš, J.; Petrić, T.; King, C.; Sabol, M. RNA-Seq and ChIP-Seq Identification of Unique and Overlapping Targets of GLI Transcription Factors in Melanoma Cell Lines. Cancers 2022, 14, 4540. [Google Scholar] [CrossRef] [PubMed]
- Maelandsmo, G.M.; Flørenes, V.A.; Mellingsaeter, T.; Hovig, E.; Kerbel, R.S.; Fodstad, O. Differential Expression Patterns of S100A2, S100A4 and S100A6 during Progression of Human Malignant Melanoma. Int. J. Cancer 1997, 74, 464–469. [Google Scholar] [CrossRef]
- Madsen, P.; Rasmussen, H.H.; Leffers, H.; Honoré, B.; Dejgaard, K.; Olsen, E.; Kiil, J.; Walbum, E.; Andersen, A.H.; Basse, B. Molecular Cloning, Occurrence, and Expression of a Novel Partially Secreted Protein “Psoriasin” That Is Highly up-Regulated in Psoriatic Skin. J. Investig. Dermatol. 1991, 97, 701–712. [Google Scholar] [CrossRef]
- Algermissen, B.; Sitzmann, J.; LeMotte, P.; Czarnetzki, B. Differential Expression of CRABP II, Psoriasin and Cytokeratin 1 mRNA in Human Skin Diseases. Arch. Dermatol. Res. 1996, 288, 426–430. [Google Scholar] [CrossRef]
- Gonzalez, L.L.; Garrie, K.; Turner, M.D. Role of S100 Proteins in Health and Disease. Biochim. Biophys. Acta Mol. Cell Res. 2020, 1867, 118677. [Google Scholar] [CrossRef] [PubMed]
- Gauglitz, G.G.; Bureik, D.; Zwicker, S.; Ruzicka, T.; Wolf, R. The Antimicrobial Peptides Psoriasin (S100A7) and Koebnerisin (S100A15) Suppress Extracellular Matrix Production and Proliferation of Human Fibroblasts. Skin Pharmacol. Physiol. 2015, 28, 115–123. [Google Scholar] [CrossRef] [PubMed]
- Alowami, S.; Qing, G.; Emberley, E.; Snell, L.; Watson, P.H. Psoriasin (S100A7) Expression Is Altered during Skin Tumorigenesis. BMC Dermatol. 2003, 3, 1. [Google Scholar] [CrossRef] [PubMed]
- Martinsson, H.; Yhr, M.; Enerbäck, C. Expression Patterns of S100A7 (Psoriasin) and S100A9 (Calgranulin-B) in Keratinocyte Differentiation. Exp. Dermatol. 2005, 14, 161–168. [Google Scholar] [CrossRef]
- Vegfors, J.; Ekman, A.-K.; Stoll, S.W.; Bivik Eding, C.; Enerbäck, C. Psoriasin (S100A7) Promotes Stress-Induced Angiogenesis. Br. J. Dermatol. 2016, 175, 1263–1273. [Google Scholar] [CrossRef]
- Gläser, R.; Harder, J.; Lange, H.; Bartels, J.; Christophers, E.; Schröder, J.-M. Antimicrobial Psoriasin (S100A7) Protects Human Skin from Escherichia coli Infection. Nat. Immunol. 2005, 6, 57–64. [Google Scholar] [CrossRef] [PubMed]
- Enk, C.D.; Jacob-Hirsch, J.; Gal, H.; Verbovetski, I.; Amariglio, N.; Mevorach, D.; Ingber, A.; Givol, D.; Rechavi, G.; Hochberg, M. The UVB-Induced Gene Expression Profile of Human Epidermis In Vivo Is Different from That of Cultured Keratinocytes. Oncogene 2006, 25, 2601–2614. [Google Scholar] [CrossRef] [PubMed]
- Gläser, R.; Navid, F.; Schuller, W.; Jantschitsch, C.; Harder, J.; Schröder, J.M.; Schwarz, A.; Schwarz, T. UV-B Radiation Induces the Expression of Antimicrobial Peptides in Human Keratinocytes in Vitro and in Vivo. J. Allergy Clin. Immunol. 2009, 123, 1117–1123. [Google Scholar] [CrossRef] [PubMed]
- Rangaraj, A.; Ye, L.; Sanders, A.J.; Price, P.E.; Harding, K.G.; Jiang, W.G. Molecular and Cellular Impact of Psoriasin (S100A7) on the Healing of Human Wounds. Exp. Ther. Med. 2017, 13, 2151–2160. [Google Scholar] [CrossRef]
- Lee, K.C.; Eckert, R.L. S100A7 (Psoriasin)—Mechanism of Antibacterial Action in Wounds. J. Investig. Dermatol. 2007, 127, 945–957. [Google Scholar] [CrossRef] [PubMed]
- Lei, H.; Wang, Y.; Zhang, T.; Chang, L.; Wu, Y.; Lai, Y. TLR3 Activation Induces S100A7 to Regulate Keratinocyte Differentiation after Skin Injury. Sci. China Life Sci. 2017, 60, 158–167. [Google Scholar] [CrossRef] [PubMed]
- Singh, P.; Ali, S.A. Multifunctional Role of S100 Protein Family in the Immune System: An Update. Cells 2022, 11, 2274. [Google Scholar] [CrossRef] [PubMed]
- Yoshio, H.; Tollin, M.; Gudmundsson, G.H.; Lagercrantz, H.; Jornvall, H.; Marchini, G.; Agerberth, B. Antimicrobial Polypeptides of Human Vernix Caseosa and Amniotic Fluid: Implications for Newborn Innate Defense. Pediatr. Res. 2003, 53, 211–216. [Google Scholar] [CrossRef]
- Zhang, X.; Yin, M.; Zhang, L. Keratin 6, 16 and 17—Critical Barrier Alarmin Molecules in Skin Wounds and Psoriasis. Cells 2019, 8, 807. [Google Scholar] [CrossRef]
- Bhawan, J.; Whren, K.; Panova, I.; Yaar, M. Keratin 16 Expression in Epidermal Melanocytes of Normal Human Skin. Am. J. Dermatopathol. 2005, 27, 476–481. [Google Scholar] [CrossRef]
- Ramot, Y.; Gáspár, E.; Dendorfer, A.; Langbein, L.; Paus, R. The “melanocyte-Keratin” Mystery Revisited: Neither Normal Human Epidermal nor Hair Follicle Melanocytes Express Keratin 16 or Keratin 6 in Situ. Br. J. Dermatol. 2009, 161, 933–938. [Google Scholar] [CrossRef] [PubMed]
- Metri, R.; Mohan, A.; Nsengimana, J.; Pozniak, J.; Molina-Paris, C.; Newton-Bishop, J.; Bishop, D.; Chandra, N. Identification of a Gene Signature for Discriminating Metastatic from Primary Melanoma Using a Molecular Interaction Network Approach. Sci. Rep. 2017, 7, 17314. [Google Scholar] [CrossRef]
- Lessard, J.C.; Piña-Paz, S.; Rotty, J.D.; Hickerson, R.P.; Kaspar, R.L.; Balmain, A.; Coulombe, P.A. Keratin 16 Regulates Innate Immunity in Response to Epidermal Barrier Breach. Proc. Natl. Acad. Sci. USA 2013, 110, 19537–19542. [Google Scholar] [CrossRef]
- Kent, W.J.; Sugnet, C.W.; Furey, T.S.; Roskin, K.M.; Pringle, T.H.; Zahler, A.M.; Haussler, D. The Human Genome Browser at UCSC. Genome Res. 2002, 12, 996–1006. [Google Scholar] [CrossRef]
- Piteša, N.; Kurtović, M.; Bartoniček, N.; Gkotsi, D.S.; Čonkaš, J.; Petrić, T.; Musani, V.; Ozretić, P.; Riobo-Del Galdo, N.A.; Sabol, M. Signaling Switching from Hedgehog-GLI to MAPK Signaling Potentially Serves as a Compensatory Mechanism in Melanoma Cell Lines Resistant to GANT-61. Biomedicines 2023, 11, 1353. [Google Scholar] [CrossRef]
- Moubayed, N.; Weichenthal, M.; Harder, J.; Wandel, E.; Sticherling, M.; Gläser, R. Psoriasin (S100A7) Is Significantly up-Regulated in Human Epithelial Skin Tumours. J. Cancer Res. Clin. Oncol. 2007, 133, 253–261. [Google Scholar] [CrossRef] [PubMed]
- Zhu, L.; Okano, S.; Takahara, M.; Chiba, T.; Tu, Y.; Oda, Y.; Furue, M. Expression of S100 Protein Family Members in Normal Skin and Sweat Gland Tumors. J. Dermatol. Sci. 2013, 70, 211–219. [Google Scholar] [CrossRef]
- Han, W.; Xu, W.-H.; Wang, J.-X.; Hou, J.-M.; Zhang, H.-L.; Zhao, X.-Y.; Shen, G.-L. Identification, Validation, and Functional Annotations of Genome-Wide Profile Variation between Melanocytic Nevus and Malignant Melanoma. BioMed Res. Int. 2020, 2020, 1840415. [Google Scholar] [CrossRef]
- Kasper, M.; Schnidar, H.; Neill, G.W.; Hanneder, M.; Klingler, S.; Blaas, L.; Schmid, C.; Hauser-Kronberger, C.; Regl, G.; Philpott, M.P.; et al. Selective Modulation of Hedgehog/GLI Target Gene Expression by Epidermal Growth Factor Signaling in Human Keratinocytes. Mol. Cell Biol. 2006, 26, 6283–6298. [Google Scholar] [CrossRef] [PubMed]
- Bresnick, A.R.; Weber, D.J.; Zimmer, D.B. S100 Proteins in Cancer. Nat. Rev. Cancer 2015, 15, 96–109. [Google Scholar] [CrossRef]
- Gaynor, R.; Herschman, H.R.; Irie, R.; Jones, P.; Morton, D.; Cochran, A. S100 Protein: A Marker for Human Malignant Melanomas? Lancet 1981, 1, 869–871. [Google Scholar] [CrossRef] [PubMed]
- Cocchia, D.; Michetti, F.; Donato, R. Immunochemical and Immuno-Cytochemical Localization of S-100 Antigen in Normal Human Skin. Nature 1981, 294, 85–87. [Google Scholar] [CrossRef] [PubMed]
- Xiong, T.-F.; Pan, F.-Q.; Li, D. Expression and Clinical Significance of S100 Family Genes in Patients with Melanoma. Melanoma Res. 2019, 29, 23–29. [Google Scholar] [CrossRef] [PubMed]
- Bhalla, S.; Kaur, H.; Dhall, A.; Raghava, G.P.S. Prediction and Analysis of Skin Cancer Progression Using Genomics Profiles of Patients. Sci. Rep. 2019, 9, 15790. [Google Scholar] [CrossRef]
- Brouard, M.C.; Saurat, J.-H.; Ghanem, G.; Siegenthaler, G. Urinary Excretion of Epidermal-Type Fatty Acid-Binding Protein and S100A7 Protein in Patients with Cutaneous Melanoma. Melanoma Res. 2002, 12, 627–631. [Google Scholar] [CrossRef] [PubMed]
- Tian, T.; Li, X.; Hua, Z.; Ma, J.; Wu, X.; Liu, Z.; Chen, H.; Cui, Z. S100A7 Promotes the Migration, Invasion and Metastasis of Human Cervical Cancer Cells through Epithelial-Mesenchymal Transition. Oncotarget 2017, 8, 24964–24977. [Google Scholar] [CrossRef]
- Lu, Z.; Zheng, S.; Liu, C.; Wang, X.; Zhang, G.; Wang, F.; Wang, S.; Huang, J.; Mao, S.; Lei, Y.; et al. S100A7 as a Potential Diagnostic and Prognostic Biomarker of Esophageal Squamous Cell Carcinoma Promotes M2 Macrophage Infiltration and Angiogenesis. Clin. Transl. Med. 2021, 11, e459. [Google Scholar] [CrossRef]
- Dey, K.K.; Bharti, R.; Dey, G.; Pal, I.; Rajesh, Y.; Chavan, S.; Das, S.; Das, C.K.; Jena, B.C.; Halder, P.; et al. S100A7 Has an Oncogenic Role in Oral Squamous Cell Carcinoma by Activating P38/MAPK and RAB2A Signaling Pathway. Cancer Gene Ther. 2016, 23, 382–391. [Google Scholar] [CrossRef] [PubMed]
- Trnski, D.; Sabol, M.; Gojević, A.; Martinić, M.; Ozretić, P.; Musani, V.; Ramić, S.; Levanat, S. GSK3β and Gli3 Play a Role in Activation of Hedgehog-Gli Pathway in Human Colon Cancer—Targeting GSK3β Downregulates the Signaling Pathway and Reduces Cell Proliferation. Biochim. Biophys. Acta (BBA)-Mol. Basis Dis. 2015, 1852, 2574–2584. [Google Scholar] [CrossRef]
- Kikuchi, A.; Sakuraoka, K.; Shimizu, H.; Nishikawa, T. Immunohistochemical Evaluation of Epidermis Overlying Basal Cell Carcinomas. Br. J. Dermatol. 1993, 128, 644–649. [Google Scholar] [CrossRef]
- Peng, G.; Tsukamoto, S.; Okumura, K.; Ogawa, H.; Ikeda, S.; Niyonsaba, F. A Pancancer Analysis of the Oncogenic Role of S100 Calcium Binding Protein A7 (S100A7) in Human Tumors. Biology 2022, 11, 284. [Google Scholar] [CrossRef] [PubMed]
- Roth, W.; Kumar, V.; Beer, H.-D.; Richter, M.; Wohlenberg, C.; Reuter, U.; Thiering, S.; Staratschek-Jox, A.; Hofmann, A.; Kreusch, F.; et al. Keratin 1 Maintains Skin Integrity and Participates in an Inflammatory Network in Skin through Interleukin-18. J. Cell Sci. 2012, 125, 5269–5279. [Google Scholar] [CrossRef]
- Mirjačić Martinović, K.; Vuletić, A.; Mališić, E.; Srdić-Rajić, T.; Tišma Miletić, N.; Babović, N.; Jurišić, V. Increased Circulating TGF-Β1 Is Associated with Impairment in NK Cell Effector Functions in Metastatic Melanoma Patients. Growth Factors 2022, 40, 231–239. [Google Scholar] [CrossRef] [PubMed]
- Konjević, G.M.; Vuletić, A.M.; Mirjačić Martinović, K.M.; Larsen, A.K.; Jurišić, V.B. The Role of Cytokines in the Regulation of NK Cells in the Tumor Environment. Cytokine 2019, 117, 30–40. [Google Scholar] [CrossRef] [PubMed]
- Passarelli, A.; Mannavola, F.; Stucci, L.S.; Tucci, M.; Silvestris, F. Immune System and Melanoma Biology: A Balance between Immunosurveillance and Immune Escape. Oncotarget 2017, 8, 106132–106142. [Google Scholar] [CrossRef] [PubMed]
- Marzagalli, M.; Ebelt, N.D.; Manuel, E.R. Unraveling the Crosstalk between Melanoma and Immune Cells in the Tumor Microenvironment. Semin. Cancer Biol. 2019, 59, 236–250. [Google Scholar] [CrossRef] [PubMed]
- Kang, K.; Xie, F.; Mao, J.; Bai, Y.; Wang, X. Significance of Tumor Mutation Burden in Immune Infiltration and Prognosis in Cutaneous Melanoma. Front. Oncol. 2020, 10, 573141. [Google Scholar] [CrossRef] [PubMed]
- Whiteside, T.L. Tumor-Infiltrating Lymphocytes and Their Role in Solid Tumor Progression. Exp. Suppl. 2022, 113, 89–106. [Google Scholar] [CrossRef] [PubMed]
- Brauner, A.; Alvendal, C.; Chromek, M.; Stopsack, K.H.; Ehrström, S.; Schröder, J.M.; Bohm-Starke, N. Psoriasin, a Novel Anti-Candida Albicans Adhesin. J. Mol. Med. 2018, 96, 537–545. [Google Scholar] [CrossRef]
- Sun, W.; Zheng, Y.; Lu, Z.; Cui, Y.; Tian, Q.; Xiao, S.; Liu, F.; Liu, J. Overexpression of S100A7 Protects LPS-Induced Mitochondrial Dysfunction and Stimulates IL-6 and IL-8 in HaCaT Cells. PLoS ONE 2014, 9, e92927. [Google Scholar] [CrossRef]
- Mints, M.; Landin, D.; Näsman, A.; Mirzaie, L.; Ursu, R.G.; Zupancic, M.; Marklund, L.; Dalianis, T.; Munck-Wikland, E.; Ramqvist, T. Tumour Inflammation Signature and Expression of S100A12 and HLA Class I Improve Survival in HPV-Negative Hypopharyngeal Cancer. Sci. Rep. 2021, 11, 1782. [Google Scholar] [CrossRef] [PubMed]
- Ozretić, P.; Hanžić, N.; Proust, B.; Sabol, M.; Trnski, D.; Radić, M.; Musani, V.; Ciribilli, Y.; Milas, I.; Puljiz, Z.; et al. Expression Profiles of P53/P73, NME and GLI Families in Metastatic Melanoma Tissue and Cell Lines. Sci. Rep. 2019, 9, 12470. [Google Scholar] [CrossRef] [PubMed]
- Trnski, D.; Sabol, M.; Tomić, S.; Štefanac, I.; Mrčela, M.; Musani, V.; Rinčić, N.; Kurtović, M.; Petrić, T.; Levanat, S.; et al. SHH-N Non-Canonically Sustains Androgen Receptor Activity in Androgen-Independent Prostate Cancer Cells. Sci. Rep. 2021, 11, 14880. [Google Scholar] [CrossRef] [PubMed]
- Gonnissen, A.; Isebaert, S.; Perneel, C.; McKee, C.M.; Verrill, C.; Bryant, R.J.; Van Utterbeeck, F.; Lerut, E.; Haustermans, K.; Muschel, R.J. Tissue Microarray Analysis Indicates Hedgehog Signaling as a Potential Prognostic Factor in Intermediate-Risk Prostate Cancer. BMC Cancer 2017, 17, 634. [Google Scholar] [CrossRef] [PubMed]








| Characteristic | TIS | T1 | T2 | T3 | T4 | Total |
|---|---|---|---|---|---|---|
| Sex | ||||||
| m | 19 (17.4%) | 26 (23.9%) | 18 (16.5%) | 19 (17.4%) | 27 (24.8%) | 109 (100%) |
| f | 20 (24.7%) | 13 (16.0%) | 19 (23.5%) | 17 (21.0%) | 12 (14.8%) | 81 (100%) |
| Clark | ||||||
| I | 39 (95.1%) | 2 (4.9%) | 0 (0.0%) | 0 (0.0%) | 0 (0.0%) | 41 (100%) |
| II | 0 (0.0%) | 27 (100%) | 0 (0.0%) | 0 (0.0%) | 0 (0.0%) | 27 (100%) |
| III | 0 (0.0%) | 9 (20.5%) | 25 (56.8%) | 7 (15.9%) | 3 (6.8%) | 44 (100%) |
| IV | 0 (0.0%) | 1 (1.4%) | 12 (16.7%) | 28 (38.9%) | 31 (43.1%) | 72 (100%) |
| V | 0 (0.0%) | 0 (0.0%) | 0 (0.0%) | 1 (20.0%) | 4 (80%) | 5 (100%) |
| Breslow | ||||||
| N/A | 39 (97.5%) | 1 (2.5%) | 0 (0.0%) | 0 (0.0%) | 0 (0.0%) | 40 (100%) |
| I | 0 (0.0%) | 34 (100%) | 0 (0.0%) | 0 (0.0%) | 0 (0.0%) | 34 (100%) |
| II | 0 (0.0%) | 4 (12.9%) | 27 (87.1%) | 0 (0.0%) | 0 (0.0%) | 31 (100%) |
| III | 0 (0.0%) | 0 (0.0%) | 10 (22.7%) | 33 (75%) | 1 (2.3%) | 44 (100%) |
| IV | 0 (0.0%) | 0 (0.0%) | 0 (0.0%) | 3 (7.7%) | 36 (92.3%) | 39 (100%) |
| V | 0 (0.0%) | 0 (0.0%) | 0 (0.0%) | 0 (0.0%) | 1 (100%) | 1 (100%) |
| Preexisting nevus | ||||||
| Yes | 11 (35.5%) | 8 (25.8%) | 6 (19.4%) | 4 (12.9%) | 2 (6.5%) | 31 (100%) |
| No | 28 (17.6%) | 31 (19.5%) | 31 (19.5%) | 32 (20.1%) | 37 (23.3%) | 159 (100%) |
| Regression | ||||||
| Yes | 3 (15.0%) | 6 (30.0%) | 7 (35.0%) | 2 (10.0%) | 2 (10.0%) | 20 (100%) |
| No | 36 (21.2%) | 33 (19.4%) | 30 (17.6%) | 34 (20.0%) | 37 (21.8%) | 170 (100%) |
| Ulceration | ||||||
| Yes | 0 (0.0%) | 1 (1.8%) | 5 (8.9%) | 19 (33.9%) | 31 (55.4%) | 56 (100%) |
| No | 39 (29.1%) | 38 (28.4.%) | 32 (23.9%) | 17 (12.7%) | 8 (6.0%) | 134 (100%) |
| Mononuclear cells | ||||||
| None | 3 (15.8%) | 6 (31.6%) | 3 (15.8%) | 4 (21.1%) | 2 (10.5%) | 19 (100%) |
| Few | 11 (27.5%) | 5 (12.5%) | 5 (12.5%) | 10 (25.0%) | 10 (25.0%) | 40 (100%) |
| Medium dense | 19 (20.2%) | 21 (22.3%) | 16 (17.0%) | 18 (19.1%) | 20 (21.3%) | 94 (100%) |
| Dense | 6 (16.2%) | 7 (18.9%) | 13 (35.1%) | 4 (10.8%) | 7 (18.9%) | 37 (100%) |
| Pigmentophages | ||||||
| None | 5 (8.6%) | 10 (17.2%) | 11 (19.0%) | 17 (29.3%) | 15 (25.9%) | 58 (100%) |
| Few | 29 (26.6%) | 24 (22.0%) | 19 (17.4%) | 16 (14.7%) | 21 (19.3%) | 109 (100%) |
| Medium/focal | 4 (25.0%) | 4 (25.0%) | 4 (25.0%) | 2 (12.5%) | 2 (12.5%) | 16 (100%) |
| Dense | 1 (14.3%) | 1 (14.3%) | 3 (42.9%) | 1 (14.3%) | 1 (14.3%) | 7 (100%) |
| TIL | ||||||
| None | 39 (68.4%) | 7 (12.3%) | 1 (1.8%) | 6 (10.5%) | 5 (8.8%) | 57 (100%) |
| Few | 0 (0.0%) | 11 (20.4%) | 14 (25.9%) | 15 (27.8%) | 13 (24.1%) | 54 (100%) |
| Medium/focal | 0 (0.0%) | 14 (23.0%) | 15 (24.6%) | 13 (21.3%) | 19 (31.1%) | 61 (100%) |
| Dense | 0 (0.0%) | 7 (38.9%) | 7 (38.9%) | 2 (11.1%) | 2 (11.1%) | 18 (100%) |
Disclaimer/Publisher’s Note: The statements, opinions and data contained in all publications are solely those of the individual author(s) and contributor(s) and not of MDPI and/or the editor(s). MDPI and/or the editor(s) disclaim responsibility for any injury to people or property resulting from any ideas, methods, instructions or products referred to in the content. |
© 2024 by the authors. Licensee MDPI, Basel, Switzerland. This article is an open access article distributed under the terms and conditions of the Creative Commons Attribution (CC BY) license (https://creativecommons.org/licenses/by/4.0/).
Share and Cite
Kurtović, M.; Piteša, N.; Čonkaš, J.; Hajpek, H.; Vučić, M.; Musani, V.; Ozretić, P.; Sabol, M. GLI Transcriptional Targets S100A7 and KRT16 Show Upregulated Expression Patterns in Epidermis Overlying the Tumor Mass in Melanoma Samples. Int. J. Mol. Sci. 2024, 25, 6084. https://doi.org/10.3390/ijms25116084
Kurtović M, Piteša N, Čonkaš J, Hajpek H, Vučić M, Musani V, Ozretić P, Sabol M. GLI Transcriptional Targets S100A7 and KRT16 Show Upregulated Expression Patterns in Epidermis Overlying the Tumor Mass in Melanoma Samples. International Journal of Molecular Sciences. 2024; 25(11):6084. https://doi.org/10.3390/ijms25116084
Chicago/Turabian StyleKurtović, Matea, Nikolina Piteša, Josipa Čonkaš, Helena Hajpek, Majda Vučić, Vesna Musani, Petar Ozretić, and Maja Sabol. 2024. "GLI Transcriptional Targets S100A7 and KRT16 Show Upregulated Expression Patterns in Epidermis Overlying the Tumor Mass in Melanoma Samples" International Journal of Molecular Sciences 25, no. 11: 6084. https://doi.org/10.3390/ijms25116084
APA StyleKurtović, M., Piteša, N., Čonkaš, J., Hajpek, H., Vučić, M., Musani, V., Ozretić, P., & Sabol, M. (2024). GLI Transcriptional Targets S100A7 and KRT16 Show Upregulated Expression Patterns in Epidermis Overlying the Tumor Mass in Melanoma Samples. International Journal of Molecular Sciences, 25(11), 6084. https://doi.org/10.3390/ijms25116084

