C-Phycocyanin Attenuates Noise-Induced Cochlear Synaptopathy via the Inhibition of Oxidative Stress and Intercellular Adhesion Molecule-1 in the Cochlea
Abstract
1. Introduction
2. Results
2.1. C-PC Alleviates H2O2-Induced Cytotoxicity and Oxidative Stress in Auditory Cells
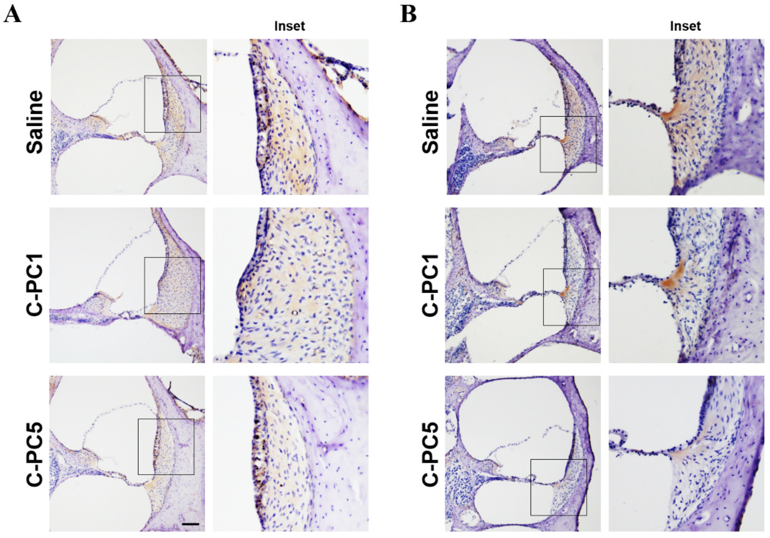
2.2. Intratympanic Administration of C-PC Rescued Noise-Induced Cochlear Synaptopathy
3. Discussion
4. Materials and Methods
4.1. Cell Culture
4.2. Animal Study
4.3. Surgical Procedures
4.4. Noise Exposure
4.5. Evaluation of Cell Viability
4.6. Measurement of ROS Levels
4.7. Quantitative PCR
4.8. Immunofluorescence Staining of NOX4
4.9. Measurement of the Activity of Intracellular Antioxidant Enzymes
4.10. Auditory Brainstem Response Recording
4.11. Cochlear Surface Preparations
4.12. Cryosections of Cochleae
4.13. Immunohistochemistry
4.14. Statistical Analysis
5. Conclusions
Author Contributions
Funding
Institutional Review Board Statement
Informed Consent Statement
Data Availability Statement
Conflicts of Interest
References
- Natarajan, N.; Batts, S.; Stankovic, K.M. Noise-induced hearing loss. J. Clin. Med. 2023, 12, 2347. [Google Scholar] [CrossRef] [PubMed]
- Gröschel, M.; Götze, R.; Ernst, A.; Basta, D. Differential impact of temporary and permanent noise-induced hearing loss on neuronal cell density in the mouse central auditory pathway. J. Neurotrauma. 2010, 27, 1499–1507. [Google Scholar] [CrossRef] [PubMed]
- Henderson, D.; Bielefeld, E.C.; Harris, K.C.; Hu, B.H. The role of oxidative stress in noise-induced hearing loss. Ear Hear. 2006, 27, 1–19. [Google Scholar] [CrossRef]
- Liberman, M.C.; Kujawa, S.G. Cochlear synaptopathy in acquired sensorineural hearing loss: Manifestations and mechanisms. Hear. Res. 2017, 349, 138–147. [Google Scholar] [CrossRef]
- Kobel, M.; Le Prell, C.G.; Liu, J.; Hawks, J.W.; Bao, J. Noise-induced cochlear synaptopathy: Past findings and future studies. Hear. Res. 2017, 349, 148–154. [Google Scholar] [CrossRef] [PubMed]
- Shi, L.; Chang, Y.; Li, X.; Aiken, S.; Liu, L.; Wang, J. Cochlear synaptopathy and noise-induced hidden hearing loss. Neural Plast. 2016, 2016, 6143164. [Google Scholar] [CrossRef]
- Bajin, M.D.; Dahm, V.; Lin, V.Y.W. Hidden hearing loss: Current concepts. Curr. Opin. Otolaryngol. Head. Neck Surg. 2022, 30, 321–325. [Google Scholar] [CrossRef]
- Kujawa, S.G.; Liberman, M.C. Synaptopathy in the noise-exposed and aging cochlea: Primary neural degeneration in acquired sensorineural hearing loss. Hear. Res. 2015, 330 Pt B, 191–199. [Google Scholar] [CrossRef]
- Pisani, A.; Paciello, F.; Montuoro, R.; Rolesi, R.; Galli, J.; Fetoni, A.R. Antioxidant therapy as an effective strategy against noise-induced hearing loss: From experimental models to clinic. Life 2023, 13, 1035. [Google Scholar] [CrossRef]
- Romay, C.H.; González, R.; Ledón, N.; Remirez, D.; Rimbau, V. C-phycocyanin: A biliprotein with antioxidant, anti-inflammatory and neuroprotective effects. Curr. Protein Pept. Sci. 2003, 4, 207–216. [Google Scholar] [CrossRef]
- Fernandes, R.; Campos, J.; Serra, M.; Fidalgo, J.; Almeida, H.; Casas, A.; Toubarro, D.; Barros, A.I.R.N.A. Exploring the benefits of phycocyanin: From Spirulina cultivation to its widespread applications. Pharmaceuticals 2023, 16, 592. [Google Scholar] [CrossRef]
- Blas-Valdivia, V.; Moran-Dorantes, D.N.; Rojas-Franco, P.; Franco-Colin, M.; Mirhosseini, N.; Davarnejad, R.; Halajisani, A.; Tavakoli, O.; Cano-Europa, E. C-phycocyanin prevents acute myocardial infarction-induced oxidative stress, inflammation and cardiac damage. Pharm. Biol. 2022, 60, 755–763. [Google Scholar] [CrossRef]
- Zhang, Y.; Li, L.; Qin, S.; Yuan, J.; Xie, X.; Wang, F.; Hu, S.; Yi, Y.; Chen, M. C-phycocyanin alleviated cisplatin-induced oxidative stress and inflammation via gut microbiota-metabolites axis in mice. Front. Nutr. 2022, 9, 996614. [Google Scholar] [CrossRef]
- Oumayma, B.; Wahid, K.; Soumaya, G.; Olfa, T.; Ben Rhouma, K.; Mohsen, S.; Dorsaf, H. Phycocyanin improved alcohol-induced hepatorenal toxicity and behavior impairment in Wistar rats. Drug Chem. Toxicol. 2023, 46, 1187–1192. [Google Scholar] [CrossRef]
- Wang, C.; Zhao, Y.; Wang, L.; Pan, S.; Liu, Y.; Li, S.; Wang, D. C-phycocyanin mitigates cognitive impairment in doxorubicin-induced chemobrain: Impact on neuroinflammation, oxidative stress, and brain mitochondrial and synaptic alterations. Neurochem. Res. 2021, 46, 149–158. [Google Scholar] [CrossRef] [PubMed]
- Khan, M.; Varadharaj, S.; Shobha, J.C.; Naidu, M.U.; Parinandi, N.L.; Kutala, V.K.; Kuppusamy, P. C-phycocyanin ameliorates doxorubicin-induced oxidative stress and apoptosis in adult rat cardiomyocytes. J. Cardiovasc. Pharmacol. 2006, 47, 9–20. [Google Scholar] [CrossRef] [PubMed]
- Zheng, J.; Inoguchi, T.; Sasaki, S.; Maeda, Y.; McCarty, M.F.; Fujii, M.; Ikeda, N.; Kobayashi, K.; Sonoda, N.; Takayanagi, R. Phycocyanin and phycocyanobilin from Spirulina platensis protect against diabetic nephropathy by inhibiting oxidative stress. Am. J. Physiol. Regul. Integr. Comp. Physiol. 2013, 304, R110–R120. [Google Scholar] [CrossRef]
- Guo, W.; Zeng, M.; Zhu, S.; Li, S.; Qian, Y.; Wu, H. Phycocyanin ameliorates mouse Colitis via phycocyanobilin-dependent antioxidant and anti-inflammatory protection of the intestinal epithelial barrier. Food Funct. 2022, 13, 3294–3307. [Google Scholar] [CrossRef] [PubMed]
- Zhang, L.; Kong, D.; Huang, J.; Wan, Q.; Shao, L. The Therapeutic Effect and the Possible Mechanism of C-Phycocyanin in lipopolysaccharide and seawater-induced acute lung injury. Drug Des. Devel Ther. 2022, 16, 1025–1040. [Google Scholar] [CrossRef]
- Pentón-Rol, G.; Marín-Prida, J.; Falcón-Cama, V. C-phycocyanin and phycocyanobilin as remyelination therapies for enhancing recovery in multiple sclerosis and ischemic stroke: A preclinical perspective. Behav. Sci. 2018, 8, 15. [Google Scholar] [CrossRef]
- Kim, Y.R.; Do, J.M.; Kim, K.H.; Stoica, A.R.; Jo, S.W.; Kim, U.K.; Yoon, H.S. C-phycocyanin from Limnothrix species KNUA002 alleviates cisplatin-induced ototoxicity by blocking the mitochondrial apoptotic pathway in auditory cells. Mar. Drugs. 2019, 17, 235. [Google Scholar] [CrossRef]
- Hwang, J.H.; Chen, J.C.; Chan, Y.C. Effects of C-phycocyanin and Spirulina on salicylate-induced tinnitus, expression of NMDA receptor and inflammatory genes. PLoS ONE 2013, 8, e58215. [Google Scholar] [CrossRef] [PubMed]
- Shih, C.P.; Kuo, C.Y.; Lin, Y.Y.; Lin, Y.C.; Chen, H.K.; Wang, H.; Chen, H.C.; Wang, C.H. Inhibition of cochlear HMGB1 expression attenuates oxidative stress and inflammation in an experimental murine model of noise-induced hearing loss. Cells 2021, 10, 810. [Google Scholar] [CrossRef]
- Koh, E.J.; Seo, Y.J.; Choi, J.; Lee, H.Y.; Kang, D.H.; Kim, K.J.; Lee, B.Y. Spirulina maxima extract prevents neurotoxicity via promoting activation of BDNF/CREB signaling pathways in neuronal cells and mice. Molecules 2017, 22, 1363. [Google Scholar] [CrossRef] [PubMed]
- Frye, M.D.; Ryan, A.F.; Kurabi, A. Inflammation associated with noise-induced hearing loss. J. Acoust. Soc. Am. 2019, 146, 4020. [Google Scholar] [CrossRef] [PubMed]
- Shih, C.P.; Chen, H.C.; Lin, Y.C.; Chen, H.K.; Wang, H.; Kuo, C.Y.; Lin, Y.Y.; Wang, C.H. Middle-ear dexamethasone delivery via ultrasound microbubbles attenuates noise-induced hearing loss. Laryngoscope 2019, 129, 1907–1914. [Google Scholar] [CrossRef] [PubMed]
- Yamashita, D.; Jiang, H.Y.; Schacht, J.; Miller, J.M. Delayed production of free radicals following noise exposure. Brain Res. 2004, 1019, 201–209. [Google Scholar] [CrossRef]
- Kishimoto-Urata, M.; Urata, S.; Fujimoto, C.; Yamasoba, T. Role of oxidative stress and antioxidants in acquired inner ear disorders. Antioxidants 2022, 11, 1469. [Google Scholar] [CrossRef]
- Chan, Y.C.; Hwang, J.H. Effects of Spirulina on the functions and redox status of auditory system in senescence-accelerated prone-8 mice. PLoS ONE 2017, 12, e0178916. [Google Scholar] [CrossRef]
- Mao, H.; Chen, Y. Noise-induced hearing loss: Updates on molecular targets and potential interventions. Neural Plast. 2021, 2021, 4784385. [Google Scholar]
- Kim, K.X.; Payne, S.; Yang-Hood, A.; Li, S.Z.; Davis, B.; Carlquist, J.; V-Ghaffari, B.; Gantz, J.A.; Kallogjeri, D.; Fitzpatrick, J.A.J.; et al. Vesicular glutamatergic transmission in noise-induced loss and repair of cochlear ribbon synapses. J. Neurosci. 2019, 39, 4434–4447. [Google Scholar] [CrossRef] [PubMed]
- Kurasawa, S.; Mohri, H.; Tabuchi, K.; Ueyama, T. Loss of synaptic ribbons is an early cause in ROS-induced acquired sensorineural hearing loss. Neurobiol. Dis. 2023, 186, 106280. [Google Scholar] [CrossRef]
- Colla, M.F.; Lunardelo, P.P.; Dias, F.A.M. Cochlear synaptopathy and hidden hearing loss: A scoping review. Codas 2023, 36, e20230032. [Google Scholar] [CrossRef]
- Shore, S.E.; Wu, C. Mechanisms of noise-induced tinnitus: Insights from cellular studies. Neuron 2019, 103, 8–20. [Google Scholar] [CrossRef]
- Tahir, E.; Buyuklu, A.F.; Ocal, F.C.A.; Gurgen, S.G.; Sarsmaz, H.Y. Protective effect of Spirulina on cisplatin-induced ototoxicity: A functional and histopathological study. B-ENT 2022, 18, 34–43. [Google Scholar] [CrossRef]
- Harinto, P.E.; Ruspita, D.A.; Marliyawati, D.; Widodo, P.; Naftali, Z. Effect of Spirulina on cochlea histopathological changes in Wistar rats induced by kanamicin. Mal. J. Med. Health Sci. 2023, 19, 69–75. [Google Scholar] [CrossRef]
- Hwang, J.H.; Chang, N.C.; Chen, J.C.; Chan, Y.C. Expression of antioxidant genes in the mouse cochlea and brain in salicylate-induced tinnitus and effect of treatment with Spirulina platensis water extract. Audiol. Neurootol. 2015, 20, 322–329. [Google Scholar] [CrossRef]
- Chan, Y.C.; Wang, M.F.; Hwang, J.H. Effects of Spirulina on GABA receptor gene expression in salicylate-induced tinnitus. Int. Tinnitus J. 2018, 22, 84–88. [Google Scholar] [CrossRef] [PubMed]
- Hwang, J.H.; Chan, Y.C. Expressions of ion co-transporter genes in salicylate- induced tinnitus and treatment effects of spirulina. BMC Neurol. 2016, 16, 159. [Google Scholar] [CrossRef]
- Arjunan, A.; Rajan, R. Noise and brain. Physiol. Behav. 2020, 227, 113136. [Google Scholar] [CrossRef]
- Liu, R.; Qin, S.; Li, W. Phycocyanin: Anti-inflammatory effect and mechanism. Biomed. Pharmacother. 2022, 153, 113362. [Google Scholar] [CrossRef] [PubMed]
- Liao, A.H.; Hsieh, Y.L.; Ho, H.C.; Chen, H.K.; Lin, Y.C.; Shih, C.P.; Chen, H.C.; Kuo, C.Y.; Lu, Y.J.; Wang, C.H. Effects of microbubble size on ultrasound-mediated gene transfection in auditory cells. Biomed. Res. Int. 2014, 2014, 840852. [Google Scholar] [CrossRef] [PubMed]
- Shih, C.P.; Chen, H.C.; Chen, H.K.; Chiang, M.C.; Sytwu, H.K.; Lin, Y.C.; Li, S.L.; Shih, Y.F.; Liao, A.H.; Wang, C.H. Ultrasound-aided microbubbles facilitate the delivery of drugs to the inner ear via the round window membrane. J. Control Release 2013, 167, 167–174. [Google Scholar] [CrossRef] [PubMed]








Disclaimer/Publisher’s Note: The statements, opinions and data contained in all publications are solely those of the individual author(s) and contributor(s) and not of MDPI and/or the editor(s). MDPI and/or the editor(s) disclaim responsibility for any injury to people or property resulting from any ideas, methods, instructions or products referred to in the content. |
© 2024 by the authors. Licensee MDPI, Basel, Switzerland. This article is an open access article distributed under the terms and conditions of the Creative Commons Attribution (CC BY) license (https://creativecommons.org/licenses/by/4.0/).
Share and Cite
Lin, Y.-C.; Shih, C.-P.; Lin, Y.-Y.; Lin, H.-C.; Kuo, C.-Y.; Chen, H.-K.; Chen, H.-C.; Wang, C.-H. C-Phycocyanin Attenuates Noise-Induced Cochlear Synaptopathy via the Inhibition of Oxidative Stress and Intercellular Adhesion Molecule-1 in the Cochlea. Int. J. Mol. Sci. 2024, 25, 5154. https://doi.org/10.3390/ijms25105154
Lin Y-C, Shih C-P, Lin Y-Y, Lin H-C, Kuo C-Y, Chen H-K, Chen H-C, Wang C-H. C-Phycocyanin Attenuates Noise-Induced Cochlear Synaptopathy via the Inhibition of Oxidative Stress and Intercellular Adhesion Molecule-1 in the Cochlea. International Journal of Molecular Sciences. 2024; 25(10):5154. https://doi.org/10.3390/ijms25105154
Chicago/Turabian StyleLin, Yi-Chun, Cheng-Ping Shih, Yuan-Yung Lin, Hung-Che Lin, Chao-Yin Kuo, Hang-Kang Chen, Hsin-Chien Chen, and Chih-Hung Wang. 2024. "C-Phycocyanin Attenuates Noise-Induced Cochlear Synaptopathy via the Inhibition of Oxidative Stress and Intercellular Adhesion Molecule-1 in the Cochlea" International Journal of Molecular Sciences 25, no. 10: 5154. https://doi.org/10.3390/ijms25105154
APA StyleLin, Y.-C., Shih, C.-P., Lin, Y.-Y., Lin, H.-C., Kuo, C.-Y., Chen, H.-K., Chen, H.-C., & Wang, C.-H. (2024). C-Phycocyanin Attenuates Noise-Induced Cochlear Synaptopathy via the Inhibition of Oxidative Stress and Intercellular Adhesion Molecule-1 in the Cochlea. International Journal of Molecular Sciences, 25(10), 5154. https://doi.org/10.3390/ijms25105154

