Sequence-Dependent Interaction of the Human Papillomavirus E2 Protein with the DNA Elements on Its DNA Replication Origin
Abstract
1. Introduction
2. Results
2.1. Purification of HPV-11 E2 Protein and its Structure in Solution
2.2. E2 Protein Binds Specifically to its Double-Stranded DNA Binding Sites
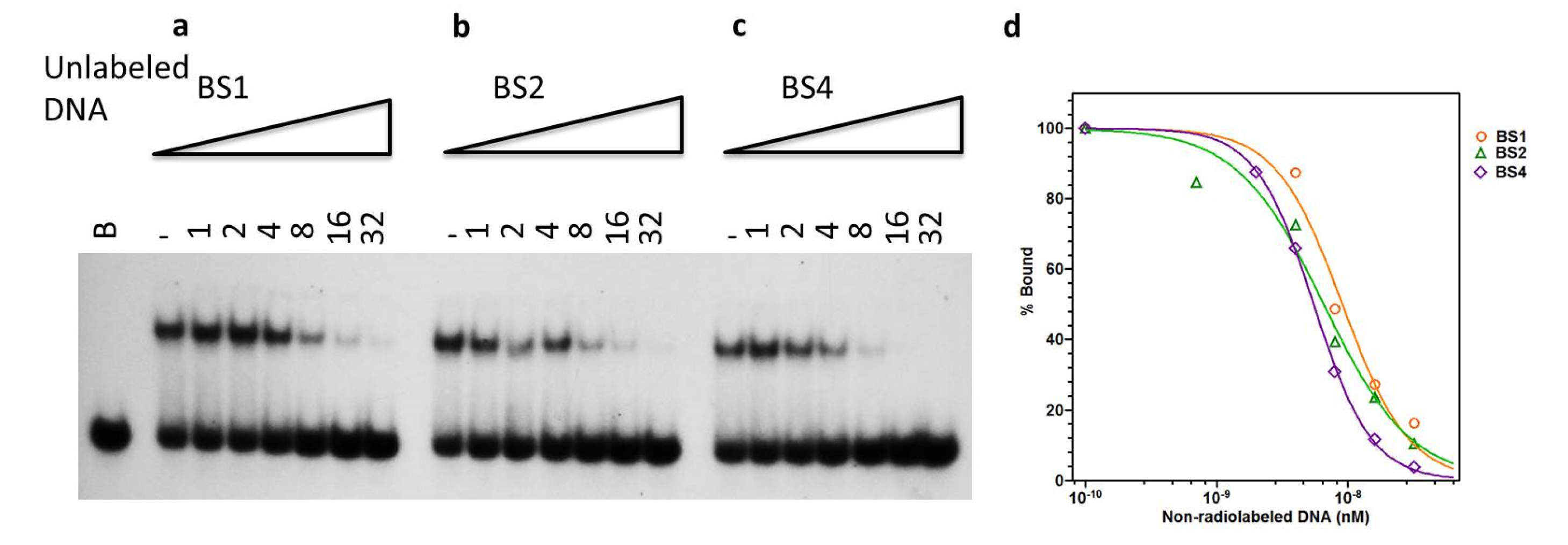
2.3. E2 Binds Differentially to its DNA Binding Sites
2.4. The Composition and Length of the Spacer Affected E2 Binding Affinity
2.5. Flanking Sequences of the E2 Binding Sites Modulate E2 Binding Affinity
2.6. Modulation of DNA Binding Ability of E2 by Ionic Strength and Temperature
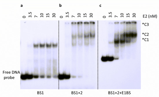
2.7. Higher Order Complex Formation with Multiple Binding Sites
2.8. Analysis of E2-DNA Complexes by Atomic Force Microscopy (AFM)
3. Discussion
3.1. Mechanism of E2-DNA Interaction in the HPV Origin
3.2. DNA Binding Is Affected by Spacer and Flanking DNA Sequences
3.3. Thermodynamics of E2-DNA Interaction
3.4. Binding to DNA Containing Dual E2 Binding Sites
3.5. Analysis of E2-DNA Complex at the HPV Origin by AFM
4. Materials and Methods
4.1. Reagents
4.2. Buffers
4.3. Full-Length Protein Structure Modeling
4.4. Cloning, Expression, and Purification of E2
4.5. Mass Spectrometry
4.6. Dynamic Light Scattering of Purified E2 Protein
4.7. Electrophoretic Mobility Shift Assay (EMSA)
4.8. Calculation of Equilibrium Binding Constants
4.9. Cloning of HPV-11 Origin for Atomic Force Microscopy of E2-DNA Complexes
4.10. Binding Reactions for AFM
5. Conclusions
- E2 binding sites have conserved sequences that result in efficient DNA recognition and high affinity binding.
- Four-nucleotide spacer sequence as well as flanking DNA sequences around individual E2 DNA binding site modulated DNA binding affinities.
- Full-length E2 protein was a dimer in solution only at low concentrations and formed larger oligomers at higher concentrations.
- The E2-DNA interaction is thermodynamically driven primarily by hydrophobic interactions.
- AFM analysis revealed that the association of E2 with the HPV origin resulted in multimer formation, a prerequisite for the initiation of loop formation.
Author Contributions
Funding
Institutional Review Board Statement
Informed Consent Statement
Data Availability Statement
Acknowledgments
Conflicts of Interest
References
- Myers, E.R.; McCrory, D.C.; Nanda, K.; Bastian, L.; Matchar, D.B. Mathematical model for the natural history of human papillomavirus infection and cervical carcinogenesis. Am. J. Epidemiol. 2000, 151, 1158–1171. [Google Scholar] [CrossRef] [PubMed]
- Munoz, N.; Bosch, F.X.; de Sanjose, S.; Herrero, R.; Castellsague, X.; Shah, K.V.; Snijders, P.J.; Meijer, C.J. International Agency for Research on Cancer Multicenter Cervical Cancer Study, G. Epidemiologic classification of human papillomavirus types associated with cervical cancer. N. Engl. J. Med. 2003, 348, 518–527. [Google Scholar] [CrossRef]
- Lacey, C.J.; Lowndes, C.M.; Shah, K.V. Chapter 4: Burden and management of non-cancerous HPV-related conditions: HPV-6/11 disease. Vaccine 2006, 24 (Suppl. 3), S35–S41. [Google Scholar] [CrossRef] [PubMed]
- Sanchez, G.I.; Jaramillo, R.; Cuello, G.; Quintero, K.; Baena, A.; O’Byrne, A.; Reyes, A.J.; Santamaria, C.; Cuello, H.; Arrunategui, A.; et al. Human papillomavirus genotype detection in recurrent respiratory papillomatosis (RRP) in Colombia. Head Neck 2013, 35, 229–234. [Google Scholar] [CrossRef] [PubMed]
- Bernard, H.U. The clinical importance of the nomenclature, evolution and taxonomy of human papillomaviruses. J. Clin. Virol. Off. Publ. Pan Am. Soc. Clin. Virol. 2005, 32 (Suppl. 1), S1–S6. [Google Scholar] [CrossRef] [PubMed]
- zur Hausen, H.; de Villiers, E.M. Human papillomaviruses. Annu. Rev. Microbiol. 1994, 48, 427–447. [Google Scholar] [CrossRef]
- Yang, L.; Li, R.; Mohr, I.J.; Clark, R.; Botchan, M.R. Activation of BPV-1 replication in vitro by the transcription factor E2. Nature 1991, 353, 628–632. [Google Scholar] [CrossRef]
- Ustav, M.; Stenlund, A. Transient replication of BPV-1 requires two viral polypeptides encoded by the E1 and E2 open reading frames. EMBO J. 1991, 10, 449–457. [Google Scholar] [CrossRef]
- Sverdrup, F.; Khan, S.A. Replication of human papillomavirus (HPV) DNAs supported by the HPV type 18 E1 and E2 proteins. J. Virol. 1994, 68, 505–509. [Google Scholar] [CrossRef]
- Kuo, S.R.; Liu, J.S.; Broker, T.R.; Chow, L.T. Cell-free replication of the human papillomavirus DNA with homologous viral E1 and E2 proteins and human cell extracts. J. Biol. Chem. 1994, 269, 24058–24065. [Google Scholar] [CrossRef]
- Sanders, C.M.; Stenlund, A. Recruitment and loading of the E1 initiator protein: An ATP-dependent process catalysed by a transcription factor. EMBO J. 1998, 17, 7044–7055. [Google Scholar] [CrossRef]
- Giri, I.; Yaniv, M. Structural and mutational analysis of E2 trans-activating proteins of papillomaviruses reveals three distinct functional domains. EMBO J. 1988, 7, 2823–2829. [Google Scholar] [CrossRef]
- Moskaluk, C.A.; Bastia, D. The bovine papillomavirus type 1 transcriptional activator E2 protein binds to its DNA recognition sequence as a dimer. Virology 1989, 169, 236–238. [Google Scholar] [CrossRef]
- Gauthier, J.M.; Dillner, J.; Yaniv, M. Structural analysis of the human papillomavirus type 16-E2 transactivator with antipeptide antibodies reveals a high mobility region linking the transactivation and the DNA-binding domains. Nucleic Acids Res. 1991, 19, 7073–7079. [Google Scholar] [CrossRef][Green Version]
- Yilmaz, G.; Biswas-Fiss, E.E.; Biswas, S.B. Genetic variations in the DNA replication origins of human papillomavirus family correlate with their oncogenic potential. Biochim. Biophys. Acta (BBA)-Gen. Subj. 2018, 1862, 979–990. [Google Scholar] [CrossRef] [PubMed]
- Thain, A.; Webster, K.; Emery, D.; Clarke, A.R.; Gaston, K. DNA binding and bending by the human papillomavirus type 16 E2 protein. Recognition of an extended binding site. J. Biol. Chem. 1997, 272, 8236–8242. [Google Scholar] [CrossRef] [PubMed]
- Steger, G.; Corbach, S. Dose-dependent regulation of the early promoter of human papillomavirus type 18 by the viral E2 protein. J. Virol. 1997, 71, 50–58. [Google Scholar] [CrossRef]
- Sedman, T.; Sedman, J.; Stenlund, A. Binding of the E1 and E2 proteins to the origin of replication of bovine papillomavirus. J. Virol. 1997, 71, 2887–2896. [Google Scholar] [CrossRef] [PubMed]
- Berg, M.; Stenlund, A. Functional interactions between papillomavirus E1 and E2 proteins. J. Virol. 1997, 71, 3853–3863. [Google Scholar] [CrossRef]
- Hawley-Nelson, P.; Androphy, E.J.; Lowy, D.R.; Schiller, J.T. The specific DNA recognition sequence of the bovine papillomavirus E2 protein is an E2-dependent enhancer. EMBO J. 1988, 7, 525–531. [Google Scholar] [CrossRef]
- Chin, M.T.; Hirochika, R.; Hirochika, H.; Broker, T.R.; Chow, L.T. Regulation of human papillomavirus type 11 enhancer and E6 promoter by activating and repressing proteins from the E2 open reading frame: Functional and biochemical studies. J. Virol. 1988, 62, 2994–3002. [Google Scholar] [CrossRef]
- Phelps, W.C.; Howley, P.M. Transcriptional trans-activation by the human papillomavirus type 16 E2 gene product. J. Virol. 1987, 61, 1630–1638. [Google Scholar] [CrossRef]
- Cripe, T.P.; Haugen, T.H.; Turk, J.P.; Tabatabai, F.; Schmid, P.G., 3rd; Durst, M.; Gissmann, L.; Roman, A.; Turek, L.P. Transcriptional regulation of the human papillomavirus-16 E6-E7 promoter by a keratinocyte-dependent enhancer, and by viral E2 trans-activator and repressor gene products: Implications for cervical carcinogenesis. EMBO J. 1987, 6, 3745–3753. [Google Scholar] [CrossRef] [PubMed]
- Rotoli, S.M.; Biswas-Fiss, E.; Biswas, S.B. Quantitative analysis of the mechanism of DNA binding by Bacillus DnaA protein. Biochimie 2012, 94, 2764–2775. [Google Scholar] [CrossRef] [PubMed]
- Stayton, M.M.; Bertsch, L.; Biswas, S.; Burgers, P.; Dixon, N.; Flynn, J.E., Jr.; Fuller, R.; Kaguni, J.; Kobori, J.; Kodaira, M.; et al. Enzymatic recognition of DNA replication origins. Cold Spring Harb. Symp. Quant. Biol. 1983, 47 Pt 2, 693–700. [Google Scholar] [CrossRef]
- Bramhill, D.; Kornberg, A. Duplex opening by dnaA protein at novel sequences in initiation of replication at the origin of the E. coli chromosome. Cell 1988, 52, 743–755. [Google Scholar] [CrossRef]
- Fuller, R.S.; Kaguni, J.M.; Kornberg, A. Enzymatic replication of the origin of the Escherichia coli chromosome. Proc. Natl. Acad. Sci. USA 1981, 78, 7370–7374. [Google Scholar] [CrossRef] [PubMed]
- Hirota, Y.; Mordoh, J.; Scheffler, I.; Jacob, F. Genetic approach to DNA replication and its control in Escherichia coli. Fed. Proc. 1972, 31, 1422–1427. [Google Scholar]
- LeBowitz, J.H.; McMacken, R. The Escherichia coli dnaB replication protein is a DNA helicase. J. Biol. Chem. 1986, 261, 4738–4748. [Google Scholar] [CrossRef]
- Patel, M.J.; Bhatia, L.; Yilmaz, G.; Biswas-Fiss, E.E.; Biswas, S.B. Multiple conformational states of DnaA protein regulate its interaction with DnaA boxes in the initiation of DNA replication. Biochim. Biophys. Acta 2017, 1861, 2165–2174. [Google Scholar] [CrossRef] [PubMed]
- Mitkova, A.V.; Khopde, S.M.; Biswas, S.B. Mechanism and stoichiometry of interaction of DnaG primase with DnaB helicase of Escherichia coli in RNA primer synthesis. J. Biol. Chem. 2003, 278, 52253–52261. [Google Scholar] [CrossRef]
- Bramhill, D.; Kornberg, A. A model for initiation at origins of DNA replication. Cell 1988, 54, 915–918. [Google Scholar] [CrossRef]
- Sekimizu, K.; Bramhill, D.; Kornberg, A. ATP activates dnaA protein in initiating replication of plasmids bearing the origin of the E. coli chromosome. Cell 1987, 50, 259–265. [Google Scholar] [CrossRef] [PubMed]
- Sekimizu, K.; Bramhill, D.; Kornberg, A. Sequential early stages in the in vitro initiation of replication at the origin of the Escherichia coli chromosome. J. Biol. Chem. 1988, 263, 7124–7130. [Google Scholar] [CrossRef] [PubMed]
- Funnell, B.E.; Baker, T.A.; Kornberg, A. In vitro assembly of a prepriming complex at the origin of the Escherichia coli chromosome. J. Biol. Chem. 1987, 262, 10327–10334. [Google Scholar] [CrossRef]
- Bernard, B.A.; Bailly, C.; Lenoir, M.C.; Darmon, M.; Thierry, F.; Yaniv, M. The human papillomavirus type 18 (HPV18) E2 gene product is a repressor of the HPV18 regulatory region in human keratinocytes. J. Virol. 1989, 63, 4317–4324. [Google Scholar] [CrossRef] [PubMed]
- Remm, M.; Brain, R.; Jenkins, J.R. The E2 binding sites determine the efficiency of replication for the origin of human papillomavirus type 18. Nucleic Acids Res. 1992, 20, 6015–6021. [Google Scholar] [CrossRef][Green Version]
- Chan, S.Y.; Bernard, H.U.; Ong, C.K.; Chan, S.P.; Hofmann, B.; Delius, H. Phylogenetic analysis of 48 papillomavirus types and 28 subtypes and variants: A showcase for the molecular evolution of DNA viruses. J. Virol. 1992, 66, 5714–5725. [Google Scholar] [CrossRef]
- Bedrosian, C.L.; Bastia, D. The DNA-binding domain of HPV-16 E2 protein interaction with the viral enhancer: Protein-induced DNA bending and role of the nonconserved core sequence in binding site affinity. Virology 1990, 174, 557–575. [Google Scholar] [CrossRef]
- Alexander, K.A.; Phelps, W.C. A fluorescence anisotropy study of DNA binding by HPV-11 E2C protein: A hierarchy of E2-binding sites. Biochemistry 1996, 35, 9864–9872. [Google Scholar] [CrossRef]
- Dong, G.; Broker, T.R.; Chow, L.T. Human papillomavirus type 11 E2 proteins repress the homologous E6 promoter by interfering with the binding of host transcription factors to adjacent elements. J. Virol. 1994, 68, 1115–1127. [Google Scholar] [CrossRef] [PubMed]
- Hou, S.Y.; Wu, S.Y.; Zhou, T.; Thomas, M.C.; Chiang, C.M. Alleviation of human papillomavirus E2-mediated transcriptional repression via formation of a TATA binding protein (or TFIID)-TFIIB-RNA polymerase II-TFIIF preinitiation complex. Mol. Cell. Biol. 2000, 20, 113–125. [Google Scholar] [CrossRef] [PubMed]
- Tan, S.H.; Gloss, B.; Bernard, H.U. During negative regulation of the human papillomavirus-16 E6 promoter, the viral E2 protein can displace Sp1 from a proximal promoter element. Nucleic Acids Res. 1992, 20, 251–256. [Google Scholar] [CrossRef] [PubMed]
- Moskaluk, C.A.; Bastia, D. Interaction of the bovine papillomavirus type 1 E2 transcriptional control protein with the viral enhancer: Purification of the DNA-binding domain and analysis of its contact points with DNA. J. Virol. 1988, 62, 1925–1931. [Google Scholar] [CrossRef]
- Mok, Y.K.; de Prat Gay, G.; Butler, P.J.; Bycroft, M. Equilibrium dissociation and unfolding of the dimeric human papillomavirus strain-16 E2 DNA-binding domain. Protein Sci. 1996, 5, 310–319. [Google Scholar] [CrossRef]
- Ustav, M., Jr.; Castaneda, F.R.; Reinson, T.; Mannik, A.; Ustav, M. Human Papillomavirus Type 18 cis-Elements Crucial for Segregation and Latency. PLoS ONE 2015, 10, e0135770. [Google Scholar] [CrossRef]
- Tan, S.H.; Leong, L.E.; Walker, P.A.; Bernard, H.U. The human papillomavirus type 16 E2 transcription factor binds with low cooperativity to two flanking sites and represses the E6 promoter through displacement of Sp1 and TFIID. J. Virol. 1994, 68, 6411–6420. [Google Scholar] [CrossRef]
- Sim, J.; Ozgur, S.; Lin, B.Y.; Yu, J.H.; Broker, T.R.; Chow, L.T.; Griffith, J. Remodeling of the human papillomavirus type 11 replication origin into discrete nucleoprotein particles and looped structures by the E2 protein. J. Mol. Biol. 2008, 375, 1165–1177. [Google Scholar] [CrossRef][Green Version]
- Monini, P.; Grossman, S.R.; Pepinsky, B.; Androphy, E.J.; Laimins, L.A. Cooperative binding of the E2 protein of bovine papillomavirus to adjacent E2-responsive sequences. J. Virol. 1991, 65, 2124–2130. [Google Scholar] [CrossRef]
- Fuller, R.S.; Kornberg, A. Purified dnaA protein in initiation of replication at the Escherichia coli chromosomal origin of replication. Proc. Natl. Acad. Sci. USA 1983, 80, 5817–5821. [Google Scholar] [CrossRef]
- Wang, Y.; Coulombe, R.; Cameron, D.R.; Thauvette, L.; Massariol, M.J.; Amon, L.M.; Fink, D.; Titolo, S.; Welchner, E.; Yoakim, C.; et al. Crystal structure of the E2 transactivation domain of human papillomavirus type 11 bound to a protein interaction inhibitor. J. Biol. Chem. 2004, 279, 6976–6985. [Google Scholar] [CrossRef]
- Dell, G.; Wilkinson, K.W.; Tranter, R.; Parish, J.; Leo Brady, R.; Gaston, K. Comparison of the structure and DNA-binding properties of the E2 proteins from an oncogenic and a non-oncogenic human papillomavirus. J. Mol. Biol. 2003, 334, 979–991. [Google Scholar] [CrossRef] [PubMed]
- Antson, A.A.; Burns, J.E.; Moroz, O.V.; Scott, D.J.; Sanders, C.M.; Bronstein, I.B.; Dodson, G.G.; Wilson, K.S.; Maitland, N.J. Structure of the intact transactivation domain of the human papillomavirus E2 protein. Nature 2000, 403, 805–809. [Google Scholar] [CrossRef] [PubMed]
- Carr, K.M.; Kaguni, J.M. Stoichiometry of DnaA and DnaB protein in initiation at the Escherichia coli chromosomal origin. J. Biol. Chem. 2001, 276, 44919–44925. [Google Scholar] [CrossRef]
- Stubenrauch, F.; Leigh, I.M.; Pfister, H. E2 represses the late gene promoter of human papillomavirus type 8 at high concentrations by interfering with cellular factors. J. Virol. 1996, 70, 119–126. [Google Scholar] [CrossRef]
- Finley, J.B.; Luo, M. X-ray crystal structures of half the human papilloma virus E2 binding site: D(GACCGCGGTC). Nucleic Acids Res. 1998, 26, 5719–5727. [Google Scholar] [CrossRef] [PubMed]
- Hernandez-Ramon, E.E.; Burns, J.E.; Zhang, W.; Walker, H.F.; Allen, S.; Antson, A.A.; Maitland, N.J. Dimerization of the human papillomavirus type 16 E2 N terminus results in DNA looping within the upstream regulatory region. J. Virol. 2008, 82, 4853–4861. [Google Scholar] [CrossRef]
- Sambrook, J.; Fritsch, E.F.; Maniatis, T. Molecular Cloning: A Laboratory Manual; Cold Spring Harbor Press: Cold Spring Harbor, NY, USA, 1989. [Google Scholar]
- Biswas, E.E.; Chen, P.H.; Biswas, S.B. Overexpression and rapid purification of biologically active yeast proliferating cell nuclear antigen. Protein Expr. Purif. 1995, 6, 763–770. [Google Scholar] [CrossRef]










| Oligonucleotide | Sequence | Kd [nM] |
|---|---|---|
| Non-specific | TGGCGGACCCCACCCAGCCCCACGCGCA | ND * |
| BS1 | GGTTCA ACCGAAAACGGT TATATG | 6.2 ± 0.9 |
| BS2 | GGAGGG ACCGAAAACGGT TCAACC | 7.8 ± 0.7 |
| BS3 | CCTGCA ACCGGTTTCGGT TACCCA | 10.2 ± 1.7 |
| BS4 | CTTGCA ACCGTTTTCGGT TGCCCT | 4.8 ± 0.7 |
| BS1 5′ mutant | 5′ CCTGCA ACCGAAAACGGT TATATG 3′ | 6.4 ± 0.6 |
| BS1 3′ mutant | 5′ GGTTCA ACCGAAAACGGT TACCCA 3′ | 7.6 ± 0.6 |
| BS1 5′ + 3′ mutant | 5′ CCTGCA ACCGAAAACGGT TACCCA 3′ | 7.7 ± 1.7 |
| Temperature | KD (M) |
|---|---|
| 0 °C | 7.3 ± 0.7 × 10−9 |
| 10 °C | 5.5 ± 1.5 × 10−9 |
| 20 °C | 6.2 ± 1.4 × 10−9 |
| 30 °C | 5.3 ± 0.4 × 10−9 |
| 35 °C | 5.7 ± 1.1 × 10−9 |
| Oligonucleotide | Sequence |
|---|---|
| BS1 (50 bp) | GGAGGGATTGAAAACTTTTCAACCGAAAACGGTTATATATA AACCAGCCC |
| BS1+2 (50 bp) | GGCGGGACCGAAAACGGTTCAACCGAAAACGGTTATATATA AACCAGCCC |
| BS1+2+E1BS(124 bp) | GTAACCCACACCCTACATATTTCCTTCTTATACTTAATAACAA TCTTATTTAAAAAAGAGGAGGGACCGAAAACGGTTCAACCG AAAACGGTTATATATAAACCAGCCCAAAAAATTAGCAGA |
Disclaimer/Publisher’s Note: The statements, opinions and data contained in all publications are solely those of the individual author(s) and contributor(s) and not of MDPI and/or the editor(s). MDPI and/or the editor(s) disclaim responsibility for any injury to people or property resulting from any ideas, methods, instructions or products referred to in the content. |
© 2023 by the authors. Licensee MDPI, Basel, Switzerland. This article is an open access article distributed under the terms and conditions of the Creative Commons Attribution (CC BY) license (https://creativecommons.org/licenses/by/4.0/).
Share and Cite
Yilmaz, G.; Biswas-Fiss, E.E.; Biswas, S.B. Sequence-Dependent Interaction of the Human Papillomavirus E2 Protein with the DNA Elements on Its DNA Replication Origin. Int. J. Mol. Sci. 2023, 24, 6555. https://doi.org/10.3390/ijms24076555
Yilmaz G, Biswas-Fiss EE, Biswas SB. Sequence-Dependent Interaction of the Human Papillomavirus E2 Protein with the DNA Elements on Its DNA Replication Origin. International Journal of Molecular Sciences. 2023; 24(7):6555. https://doi.org/10.3390/ijms24076555
Chicago/Turabian StyleYilmaz, Gulden, Esther E. Biswas-Fiss, and Subhasis B. Biswas. 2023. "Sequence-Dependent Interaction of the Human Papillomavirus E2 Protein with the DNA Elements on Its DNA Replication Origin" International Journal of Molecular Sciences 24, no. 7: 6555. https://doi.org/10.3390/ijms24076555
APA StyleYilmaz, G., Biswas-Fiss, E. E., & Biswas, S. B. (2023). Sequence-Dependent Interaction of the Human Papillomavirus E2 Protein with the DNA Elements on Its DNA Replication Origin. International Journal of Molecular Sciences, 24(7), 6555. https://doi.org/10.3390/ijms24076555

