TRIM21 Expression as a Prognostic Biomarker for Progression-Free Survival in HNSCC
Abstract
1. Introduction
2. Results
2.1. Patient Characteristics
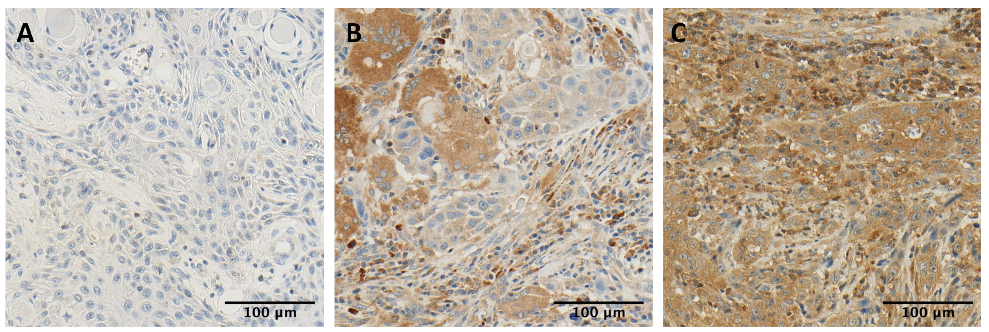
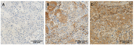
2.2. TRIM21 Staining Patterns in Our HNSCC Cohort
2.3. TRIM21 Expression Is Higher in Primary Tumors Compared with Lymph Node Metastases
2.4. TRIM21 Expression Regarding the Anatomical Site of the Primary Tumor
2.5. TRIM21 Expression Is Higher in Primary Tumors with Immune Infiltration
2.6. Higher TRIM21 Expression Is Associated with a Shorter Progression-Free, but Not with a Shorter Overall Survival
2.7. TRIM21 Expression Regarding Clinicopathological Features of HNSCC Patients
3. Discussion
4. Materials and Methods
4.1. Patients and HNSCC Cancer Specimens
4.2. Tissue Microarray Construction
4.3. Immunohistochemistry
4.4. Digitalization and Evaluation
4.5. Immune Cell Infiltration
4.6. P16 Status
4.7. Statistical Analysis and Visualization
Author Contributions
Funding
Institutional Review Board Statement
Informed Consent Statement
Data Availability Statement
Acknowledgments
Conflicts of Interest
Abbreviations
| AUC | Area under the curve |
| CI | Confidence interval |
| DM | Distant metastasis |
| FFPE | Formalin-fixed paraffin-embedded |
| IFI16 | gamma-interferon-inducible protein-16 |
| GEPIA | Gene Expression Profiling Interactive Analysis |
| HNSCC | Head and neck squamous cell carcinoma |
| H&E | Hematoxylin and eosin |
| HPV | Human papillomavirus |
| HR | Hazard Ratio |
| KP | Kaplan–Meier |
| LM | Lymph node metastasis |
| NPC | Nasopharyngeal cancer |
| OS | Overall survival |
| PT | Primary tumor |
| PFS | Progression-free survival |
| ROC | Receiver operating characteristic |
| RT | Recurrent tumor |
| TMA | Tissue microarray |
| TRIM21 | Tripartite motif containing-21 |
Appendix A
| Variable | n (%) | |
|---|---|---|
| Total patients | 396 | |
| Age (years) at initial diagnosis | Mean ± SD | 62.5 ± 10.5 |
| Range | 29–90 | |
| N/A | 4 | |
| Sex | Female | 89 (23%) |
| Male | 306 (77%) | |
| N/A | 1 | |
| Tissue type | Primary tumor | 337 (59.33%) |
| Lymph node metastasis | 156 (27.46%) | |
| Recurrent tumor | 54 (9.51%) | |
| Distant metastasis | 16 (2.82%) | |
| Anatomical site of primary tumor | Oral cavity | 86 (23.1%) |
| Hypopharynx | 49 (13.2%) | |
| Larynx | 107 (28.8%) | |
| Oropharynx | 130 (34.9%) | |
| T stage at initial diagnosis | T0/CUP | 14 (3.5%) |
| T1 | 89 (22.5%) | |
| T2 | 110 (27.8%) | |
| T3 | 103 (26%) | |
| T4 | 77 (19.4%) | |
| Tx | 3 (0.8%) | |
| N stage at initial diagnosis | N0 | 165 (42%) |
| N1 | 69 (17.5%) | |
| N2 | 99 (25.2%) | |
| N3 | 58 (14.8%) | |
| Nx | 2 (0.5%) | |
| N/A | 3 | |
| UICC at initial diagnosis stadium | 1 | 85 (22%) |
| 2 | 73 (19%) | |
| 3 | 65 (17%) | |
| 4 | 170 (43%) | |
| N/A | 3 | |
| Lymph node metastasis | Yes | 209 (58%) |
| No | 187 (47%) | |
| Distant metastasis | Yes | 53 (13%) |
| No | 342 (87%) | |
| N/A | 1 | |
| Recurrence | No | 299 (76%) |
| Yes | 97 (24%) | |
| p16 status | negative | 280 (71%) |
| positive | 116 (29%) | |
| History of alcohol abuse | Yes | 215 (57%) |
| No | 164 (43%) | |
| N/A | 17 | |
| History of smoking | Yes | 325 (87%) |
| No | 47 (13%) | |
| N/A | 24 | |
| Salvage surgery | Yes | 8 (2%) |
| No | 388 (98%) | |
| Primary tumor chemotherapy | Yes | 117 (30%) |
| No | 273 (70%) | |
| N/A | 6 | |
| Primary tumor radiotherapy | Yes | 233 (60%) |
| No | 158 (40%) | |
| N/A | 5 | |
References
- Amaral, M.N.; Faísca, P.; Ferreira, H.A.; Gaspar, M.M.; Reis, C.P. Current Insights and Progress in the Clinical Management of Head and Neck Cancer. Cancers 2022, 14, 6079. [Google Scholar] [CrossRef] [PubMed]
- Wang, H.; Zhao, Q.; Zhang, Y.; Wei, J.; Wang, B.; Zheng, Z.; Liu, S.; Liu, Z.; Meng, L.; Xin, Y.; et al. Efficacy and Safety of Systemic Treatments for Patients with Recurrent/Metastatic Head and Neck Squamous Cell Carcinoma: A Systematic Review and Network Meta-Analysis. Pharmacol. Res. 2021, 173, 105866. [Google Scholar] [CrossRef] [PubMed]
- Sacco, A.G.; Cohen, E.E. Current Treatment Options for Recurrent or Metastatic Head and Neck Squamous Cell Carcinoma. JCO 2015, 33, 3305–3313. [Google Scholar] [CrossRef] [PubMed]
- Pezzuto, F.; Buonaguro, L.; Caponigro, F.; Ionna, F.; Starita, N.; Annunziata, C.; Buonaguro, F.M.; Tornesello, M.L. Update on Head and Neck Cancer: Current Knowledge on Epidemiology, Risk Factors, Molecular Features and Novel Therapies. Oncology 2015, 89, 125–136. [Google Scholar] [CrossRef] [PubMed]
- Park, J.-O.; Nam, I.-C.; Kim, C.-S.; Park, S.-J.; Lee, D.-H.; Kim, H.-B.; Han, K.-D.; Joo, Y.-H. Sex Differences in the Prevalence of Head and Neck Cancers: A 10-Year Follow-Up Study of 10 Million Healthy People. Cancers 2022, 14, 2521. [Google Scholar] [CrossRef]
- Kaatsch, P.; Spix, C.; Katalinic, A.; Hentschel, S.; Luttmann, S.; Waldeyer-Sauerland, M.; Waldmann, A. Krebs in Deutschland für 2015/2016; Robert Koch-Institut (Hrsg.) und die Gesellschaft der Epidemiologischen Krebsregister in Deutschland e. V. (Hrsg.): Berlin, Germany, 2019; Volume 163. [Google Scholar] [CrossRef]
- Kitamura, N.; Sento, S.; Yoshizawa, Y.; Sasabe, E.; Kudo, Y.; Yamamoto, T. Current Trends and Future Prospects of Molecular Targeted Therapy in Head and Neck Squamous Cell Carcinoma. Int. J. Mol. Sci. 2020, 22, 240. [Google Scholar] [CrossRef]
- Rathod, S.; Livergant, J.; Klein, J.; Witterick, I.; Ringash, J. A Systematic Review of Quality of Life in Head and Neck Cancer Treated with Surgery with or without Adjuvant Treatment. Oral Oncol. 2015, 51, 888–900. [Google Scholar] [CrossRef]
- Marur, S.; D’Souza, G.; Westra, W.H.; Forastiere, A.A. HPV-Associated Head and Neck Cancer: A Virus-Related Cancer Epidemic. Lancet Oncol. 2010, 11, 781–789. [Google Scholar] [CrossRef]
- Lewis, J.S.; Beadle, B.; Bishop, J.A.; Chernock, R.D.; Colasacco, C.; Lacchetti, C.; Moncur, J.T.; Rocco, J.W.; Schwartz, M.R.; Seethala, R.R.; et al. Human Papillomavirus Testing in Head and Neck Carcinomas: Guideline From the College of American Pathologists. Arch. Pathol. Lab. Med. 2018, 142, 559–597. [Google Scholar] [CrossRef]
- Tawk, B.; Debus, J.; Abdollahi, A. Evolution of a Paradigm Switch in Diagnosis and Treatment of HPV-Driven Head and Neck Cancer—Striking the Balance Between Toxicity and Cure. Front. Pharmacol. 2022, 12, 753387. [Google Scholar] [CrossRef]
- Chen, Y.-P.; Wang, Y.-Q.; Lv, J.-W.; Li, Y.-Q.; Chua, M.L.K.; Le, Q.-T.; Lee, N.; Colevas, A.D.; Seiwert, T.; Hayes, D.N.; et al. Identification and Validation of Novel Microenvironment-Based Immune Molecular Subgroups of Head and Neck Squamous Cell Carcinoma: Implications for Immunotherapy. Ann. Oncol. 2019, 30, 68–75. [Google Scholar] [CrossRef]
- Ribbat-Idel, J.; Perner, S.; Kuppler, P.; Klapper, L.; Krupar, R.; Watermann, C.; Paulsen, F.-O.; Offermann, A.; Bruchhage, K.-L.; Wollenberg, B.; et al. Immunologic “Cold” Squamous Cell Carcinomas of the Head and Neck Are Associated With an Unfavorable Prognosis. Front. Med. 2021, 8, 622330. [Google Scholar] [CrossRef]
- Chuang, C.-Y.; Chien, Y.-C.; Lin, C.-W.; Chou, C.-H.; Chen, S.-C.; Liu, C.-L.; Bai, L.-Y.; Yang, S.-F.; Yu, Y.-L. TRIM21 Polymorphisms Are Associated with Susceptibility and Clinical Status of Oral Squamous Cell Carcinoma Patients. Int. J. Med. Sci. 2021, 18, 2997–3003. [Google Scholar] [CrossRef]
- Ben-Chetrit, E.; Chan, E.K.; Sullivan, K.F.; Tan, E.M. A 52-KD Protein Is a Novel Component of the SS-A/Ro Antigenic Particle. J. Exp. Med. 1988, 167, 1560–1571. [Google Scholar] [CrossRef]
- Jones, E.L.; Laidlaw, S.M.; Dustin, L.B. TRIM21/Ro52—Roles in Innate Immunity and Autoimmune Disease. Front. Immunol. 2021, 12, 738473. [Google Scholar] [CrossRef]
- McEwan, W.A.; Tam, J.C.H.; Watkinson, R.E.; Bidgood, S.R.; Mallery, D.L.; James, L.C. Intracellular Antibody-Bound Pathogens Stimulate Immune Signaling via the Fc Receptor TRIM21. Nat. Immunol. 2013, 14, 327–336. [Google Scholar] [CrossRef]
- Sun, J.; Chen, X.; Ji, X.; Meng, S.; Wang, W.; Wang, P.; Bai, J.; Li, Z.; Chen, Y. TRIM21 Deficiency Promotes Cell Proliferation and Tumorigenesis via Regulating P21 Expression in Ovarian Cancer. Bioengineered 2022, 13, 6024–6035. [Google Scholar] [CrossRef]
- Chen, X.; Li, Z.; Yong, H.; Wang, W.; Wang, D.; Chu, S.; Li, M.; Hou, P.; Zheng, J.; Bai, J. Trim21-Mediated HIF-1α Degradation Attenuates Aerobic Glycolysis to Inhibit Renal Cancer Tumorigenesis and Metastasis. Cancer Lett. 2021, 508, 115–126. [Google Scholar] [CrossRef]
- Ding, Q.; He, D.; He, K.; Zhang, Q.; Tang, M.; Dai, J.; Lv, H.; Wang, X.; Xiang, G.; Yu, H. Downregulation of TRIM21 Contributes to Hepatocellular Carcinoma Carcinogenesis and Indicates Poor Prognosis of Cancers. Tumor. Biol. 2015, 36, 8761–8772. [Google Scholar] [CrossRef]
- Sjöstrand, M.; Ambrosi, A.; Brauner, S.; Sullivan, J.; Malin, S.; Kuchroo, V.K.; Espinosa, A.; Wahren-Herlenius, M. Expression of the Immune Regulator Tripartite-Motif 21 Is Controlled by IFN Regulatory Factors. J. Immunol. 2013, 191, 3753–3763. [Google Scholar] [CrossRef]
- Rah, B.; Rather, R.A.; Bhat, G.R.; Baba, A.B.; Mushtaq, I.; Farooq, M.; Yousuf, T.; Dar, S.B.; Parveen, S.; Hassan, R.; et al. JAK/STAT Signaling: Molecular Targets, Therapeutic Opportunities, and Limitations of Targeted Inhibitions in Solid Malignancies. Front. Pharmacol. 2022, 13, 821344. [Google Scholar] [CrossRef] [PubMed]
- Foss, S.; Watkinson, R.E.; Grevys, A.; McAdam, M.B.; Bern, M.; Høydahl, L.S.; Dalhus, B.; Michaelsen, T.E.; Sandlie, I.; James, L.C.; et al. TRIM21 Immune Signaling Is More Sensitive to Antibody Affinity Than Its Neutralization Activity. J. Immunol. 2016, 196, 3452–3459. [Google Scholar] [CrossRef] [PubMed]
- Brauner, S.; Zhou, W.; Backlin, C.; Green, T.M.; Folkersen, L.; Ivanchenko, M.; Löfström, B.; Xu-Monette, Z.Y.; Young, K.H.; Møller Pedersen, L.; et al. Reduced Expression of TRIM21/Ro52 Predicts Poor Prognosis in Diffuse Large B-Cell Lymphoma Patients with and without Rheumatic Disease. J. Intern. Med. 2015, 278, 323–332. [Google Scholar] [CrossRef] [PubMed]
- Zhou, W.; Zhang, Y.; Zhong, C.; Hu, J.; Hu, H.; Zhou, D.; Cao, M. Decreased Expression of TRIM21 Indicates Unfavorable Outcome and Promotes Cell Growth in Breast Cancer. CMAR 2018, 10, 3687–3696. [Google Scholar] [CrossRef] [PubMed]
- Wu, Z.; Wang, Y.; Yu, Z.; Meng, Z.; Duan, W.; Zhang, W.; Fang, J. TRIM21—A Potential Biomarker for the Prognosis of Thyroid Cancer. Exp. Ther. Med. 2022, 24, 761. [Google Scholar] [CrossRef]
- Zhao, Z.; Wang, Y.; Yun, D.; Huang, Q.; Meng, D.; Li, Q.; Zhang, P.; Wang, C.; Chen, H.; Lu, D. TRIM21 Overexpression Promotes Tumor Progression by Regulating Cell Proliferation, Cell Migration and Cell Senescence in Human Glioma. Am. J. Cancer Res. 2020, 10, 114–130. [Google Scholar]
- Wang, F.; Zhang, Y.; Shen, J.; Yang, B.; Dai, W.; Yan, J.; Maimouni, S.; Daguplo, H.Q.; Coppola, S.; Gao, Y.; et al. The Ubiquitin E3 Ligase TRIM21 Promotes Hepatocarcinogenesis by Suppressing the P62-Keap1-Nrf2 Antioxidant Pathway. Cell. Mol. Gastroenterol. Hepatol. 2021, 11, 1369–1385. [Google Scholar] [CrossRef]
- Massa, S.T.; Osazuwa-Peters, N.; Christopher, K.M.; Arnold, L.D.; Schootman, M.; Walker, R.J.; Varvares, M.A. Competing Causes of Death in the Head and Neck Cancer Population. Oral Oncol. 2017, 65, 8–15. [Google Scholar] [CrossRef]
- Lop, J.; del Prado Venegas, M.; Pujol, A.; Sauter, B.; Vásquez, R.; Casasayas, M.; Quer, M.; León, X. Causes of Long-Term Mortality in Patients with Head and Neck Squamous Cell Carcinomas. Eur. Arch. Otorhinolaryngol. 2022, 279, 3657–3664. [Google Scholar] [CrossRef]
- Zhang, P.; Li, X.; He, Q.; Zhang, L.; Song, K.; Yang, X.; He, Q.; Wang, Y.; Hong, X.; Ma, J.; et al. TRIM21–SERPINB5 Aids GMPS Repression to Protect Nasopharyngeal Carcinoma Cells from Radiation-Induced Apoptosis. J. Biomed. Sci. 2020, 27, 30. [Google Scholar] [CrossRef]
- Chen, Y.-P.; Chan, A.T.C.; Le, Q.-T.; Blanchard, P.; Sun, Y.; Ma, J. Nasopharyngeal Carcinoma. Lancet 2019, 394, 64–80. [Google Scholar] [CrossRef]
- Gillison, M.L.; Chaturvedi, A.K.; Anderson, W.F.; Fakhry, C. Epidemiology of Human Papillomavirus–Positive Head and Neck Squamous Cell Carcinoma. JCO 2015, 33, 3235–3242. [Google Scholar] [CrossRef]
- Klapper, L.; Ribbat-Idel, J.; Kuppler, P.; Paulsen, F.-O.; Bruchhage, K.-L.; Rades, D.; Offermann, A.; Kirfel, J.; Wollenberg, B.; Idel, C.; et al. NR2F6 as a Prognostic Biomarker in HNSCC. Int. J. Mol. Sci. 2020, 21, 5527. [Google Scholar] [CrossRef]
- Idel, C.; Ribbat-Idel, J.; Kuppler, P.; Krupar, R.; Offermann, A.; Vogel, W.; Rades, D.; Kirfel, J.; Wollenberg, B.; Perner, S. EVI1 as a Marker for Lymph Node Metastasis in HNSCC. Int. J. Mol. Sci. 2020, 21, 854. [Google Scholar] [CrossRef]
- Paulsen, F.-O.; Idel, C.; Ribbat-Idel, J.; Kuppler, P.; Klapper, L.; Rades, D.; Bruchhage, K.-L.; Wollenberg, B.; Brägelmann, J.; Perner, S.; et al. CDK19 as a Potential HPV-Independent Biomarker for Recurrent Disease in HNSCC. Int. J. Mol. Sci. 2020, 21, 5508. [Google Scholar] [CrossRef]
- Watermann, C.; Pasternack, H.; Idel, C.; Ribbat-Idel, J.; Brägelmann, J.; Kuppler, P.; Offermann, A.; Jonigk, D.; Kühnel, M.P.; Schröck, A.; et al. Recurrent HNSCC Harbor an Immunosuppressive Tumor Immune Microenvironment Suggesting Successful Tumor Immune Evasion. Clin. Cancer Res. 2020. [Google Scholar] [CrossRef]
- Klapper, L.; Idel, C.; Kuppler, P.; Jagomast, T.; von Bernuth, A.; Bruchhage, K.-L.; Rades, D.; Offermann, A.; Kirfel, J.; Perner, S.; et al. TRIM24 Expression as an Independent Biomarker for Prognosis and Tumor Recurrence in HNSCC. J. Pers. Med. 2022, 12, 991. [Google Scholar] [CrossRef]
- Bottner, J.; Ribbat-Idel, J.; Klapper, L.; Jagomast, T.; Lemster, A.-L.; Perner, S.; Idel, C.; Kirfel, J. Elevated LSD1 and SNAIL Expression Indicate Poor Prognosis in Hypopharynx Carcinoma. Int. J. Mol. Sci. 2022, 23, 5075. [Google Scholar] [CrossRef]
- Brierley, J.; Gospodarowicz, M.K.; Wittekind, C. (Eds.) TNM Classification of Malignant Tumours, 8th ed.; John Wiley & Sons, Inc: Chichester, UK; Hoboken, NJ, USA, 2017; ISBN 978-1-11926-357-9. [Google Scholar]
- Braun, M.; Goltz, D.; Shaikhibrahim, Z.; Vogel, W.; Böhm, D.; Scheble, V.; Sotlar, K.; Fend, F.; Tan, S.-H.; Dobi, A.; et al. ERG Protein Expression and Genomic Rearrangement Status in Primary and Metastatic Prostate Cancer—A Comparative Study of Two Monoclonal Antibodies. Prostate Cancer Prostatic Dis. 2012, 15, 165–169. [Google Scholar] [CrossRef]
- Scheble, V.J.; Braun, M.; Beroukhim, R.; Mermel, C.H.; Ruiz, C.; Wilbertz, T.; Stiedl, A.-C.; Petersen, K.; Reischl, M.; Kuefer, R.; et al. ERG Rearrangement Is Specific to Prostate Cancer and Does Not Occur in Any Other Common Tumor. Mod. Pathol. 2010, 23, 1061–1067. [Google Scholar] [CrossRef]
- Bankhead, P.; Loughrey, M.B.; Fernández, J.A.; Dombrowski, Y.; McArt, D.G.; Dunne, P.D.; McQuaid, S.; Gray, R.T.; Murray, L.J.; Coleman, H.G.; et al. QuPath: Open Source Software for Digital Pathology Image Analysis. Sci. Rep. 2017, 7, 16878. [Google Scholar] [CrossRef] [PubMed]
- The Jamovi Project. jamovi, Version 2.3; jamovi: Sydney, Australia, 2021. Available online: https://www.jamovi.org (accessed on 11 April 2022).
- Therneau, T.M.; Lumley, T.; Elizabeth, A.; Cynthia, C. Survival: A Package for Survival Analysis in R. 2022. Available online: https://cran.r-project.org/web/packages/survival/index.html (accessed on 11 April 2022).
- Harrison, E.; Drake, T.; Ots, R. Finalfit: Quickly Create Elegant Regression Results Tables and Plots When Modelling. 2022. Available online: https://CRAN.R-project.org/package=finalfit (accessed on 11 April 2022).
- R Core Team. R: A Language and Environment for Statistical Computing; R Core Team: Vienna, Austria, 2022. [Google Scholar]
- Kassambara, A.; Kosinski, M.; Biecek, P.; Fabian, S. Survminer: Drawing Survival Curves Using “Ggplot2”. 2021. Available online: https://cran.r-project.org/web/packages/survminer/index.html (accessed on 3 July 2022).
- Tang, Y.; Horikoshi, M.; Li, W. Ggfortify: Unified Interface to Visualize Statistical Results of Popular R Packages. R J. 2016, 8, 474. [Google Scholar] [CrossRef]
- Wickham, H.; Averick, M.; Bryan, J.; Chang, W.; McGowan, L.; François, R.; Grolemund, G.; Hayes, A.; Henry, L.; Hester, J.; et al. Welcome to the Tidyverse. JOSS 2019, 4, 1686. [Google Scholar] [CrossRef]
- Ahlmann-Eltze, C.; Patil, I. Ggsignif: R Package for Displaying Significance Brackets for “Ggplot2”. PsyArXiv. 2021. Available online: https://cran.r-project.org/web/packages/ggsignif/index.html (accessed on 3 July 2022).
- Schneider, C.A.; Rasband, W.S.; Eliceiri, K.W. NIH Image to ImageJ: 25 Years of Image Analysis. Nat. Methods 2012, 9, 671–675. [Google Scholar] [CrossRef]






| Clinicopathological Variable | Univariate Survival Analysis | Multivariate Survival Analysis | ||
|---|---|---|---|---|
| HR (95% CI) | p-Value | HR (95% CI) | p-Value | |
| TRIM21 expression High (n = 242) Low (n = 79) | 0.63 (0.41–0.97) | 0.035 * | 0.63 (0.41–0.98) | 0.040 * |
| p16 Negative (n = 237) Positive (n = 84) | 0.42 (0.27–0.67) | <0.001 * | 0.44 (0.26–0.73) | 0.002 * |
| UICC UICC I and II (n = 124) UICC III and IV (n = 197) | 2.31 (1.59–3.34) | <0.001 * | 1.07 (0.59–1.93) | 0.829 |
| T stage T1 and T2 (n = 166) T3 and T4 (n = 155) | 2.17 (1.55–3.03) | <0.001 * | 1.80 (1.14–2.83) | 0.011 * |
| N stage N0 (n = 142) Nx (n = 179) | 1.42 (1.01–1.98) | 0.042 * | 1.44 (0.97–2.14) | 0.069 |
| Clinicopathological Features | n | p-Value |
|---|---|---|
| Sex | female (n = 74) vs. male (n = 262) | 0.142 |
| Age | ≤62 years old (n = 168) vs. >62 years old (n = 167) * | 0.295 |
| Alcohol abuse | no (n = 183) vs. yes (n = 141) | 0.174 |
| Nicotine consumption | no (n = 36) vs. yes (n = 283) | 0.143 |
| p16 status | negative (n = 250) vs. positive (n = 87) | 0.264 |
| UICC stage at initial diagnosis | UICC I and II (n = 128) vs. UICC III and IV (n = 208) | 0.582 |
| T stage at initial diagnosis | T1 and T2 (n = 171) vs. T3 and T4 (n = 164) | 0.242 |
| N stage at initial diagnosis | N0 (n = 147) vs. Nx (n = 187) | 0.147 |
| Distant metastasis | no (n = 291) vs. yes (n = 45) | 0.490 |
| Grading | G 1 and G 2 (n = 261) vs. G 3 (n = 73) | 0.252 |
| Recurrence | no (n = 263) vs. yes (n = 74) | 0.061 |
Disclaimer/Publisher’s Note: The statements, opinions and data contained in all publications are solely those of the individual author(s) and contributor(s) and not of MDPI and/or the editor(s). MDPI and/or the editor(s) disclaim responsibility for any injury to people or property resulting from any ideas, methods, instructions or products referred to in the content. |
© 2023 by the authors. Licensee MDPI, Basel, Switzerland. This article is an open access article distributed under the terms and conditions of the Creative Commons Attribution (CC BY) license (https://creativecommons.org/licenses/by/4.0/).
Share and Cite
von Bernuth, A.; Ribbat-Idel, J.; Klapper, L.; Jagomast, T.; Rades, D.; Leichtle, A.; Pries, R.; Bruchhage, K.-L.; Perner, S.; Offermann, A.; et al. TRIM21 Expression as a Prognostic Biomarker for Progression-Free Survival in HNSCC. Int. J. Mol. Sci. 2023, 24, 5140. https://doi.org/10.3390/ijms24065140
von Bernuth A, Ribbat-Idel J, Klapper L, Jagomast T, Rades D, Leichtle A, Pries R, Bruchhage K-L, Perner S, Offermann A, et al. TRIM21 Expression as a Prognostic Biomarker for Progression-Free Survival in HNSCC. International Journal of Molecular Sciences. 2023; 24(6):5140. https://doi.org/10.3390/ijms24065140
Chicago/Turabian Stylevon Bernuth, Amelie, Julika Ribbat-Idel, Luise Klapper, Tobias Jagomast, Dirk Rades, Anke Leichtle, Ralph Pries, Karl-Ludwig Bruchhage, Sven Perner, Anne Offermann, and et al. 2023. "TRIM21 Expression as a Prognostic Biomarker for Progression-Free Survival in HNSCC" International Journal of Molecular Sciences 24, no. 6: 5140. https://doi.org/10.3390/ijms24065140
APA Stylevon Bernuth, A., Ribbat-Idel, J., Klapper, L., Jagomast, T., Rades, D., Leichtle, A., Pries, R., Bruchhage, K.-L., Perner, S., Offermann, A., Sailer, V., & Idel, C. (2023). TRIM21 Expression as a Prognostic Biomarker for Progression-Free Survival in HNSCC. International Journal of Molecular Sciences, 24(6), 5140. https://doi.org/10.3390/ijms24065140

