Expression of Progesterone Receptor A as an Independent Negative Prognosticator for Cervical Cancer
Abstract
1. Introduction
2. Results
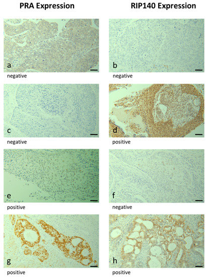
2.1. Expression of PRA in Patients with Cervical Cancer
2.2. Correlation Analysis of PRA and RIP140
2.3. Survival Analysis
2.4. Cox Regression Analysis
3. Discussion
4. Materials and Methods
4.1. Patient Collective
4.2. Immunohistochemistry
4.3. Signal Evaluation (Immunoreactive Score)
4.4. Ethical Approval
4.5. Statistical Analysis
5. Conclusions
Author Contributions
Funding
Institutional Review Board Statement
Informed Consent Statement
Data Availability Statement
Acknowledgments
Conflicts of Interest
References
- Den Boon, J.A.; Pyeon, D.; Wang, S.S.; Horswill, M.; Schiffman, M.; Sherman, M.; Zuna, R.E.; Wang, Z.; Hewitt, S.M.; Pearson, R.; et al. Molecular transitions from papillomavirus infection to cervical precancer and cancer: Role of stromal estrogen receptor signaling. Proc. Natl. Acad. Sci. USA 2015, 112, E3255–E3264. [Google Scholar] [CrossRef] [PubMed]
- Yi, M.; Li, T.; Niu, M.; Luo, S.; Chu, Q.; Wu, K. Epidemiological trends of women’s cancers from 1990 to 2019 at the global, regional, and national levels: A population-based study. Biomark Res. 2021, 9, 55. [Google Scholar] [CrossRef]
- Young, R.H.; Clement, P.B. Endocervical adenocarcinoma and its variants: Their morphology and differential diagnosis. Histopathology 2002, 41, 185–207. [Google Scholar] [CrossRef]
- Schiffman, M.; Wentzensen, N.; Wacholder, S.; Kinney, W.; Gage, J.C.; Castle, P.E. Human papillomavirus testing in the prevention of cervical cancer. J. Natl. Cancer Inst. 2011, 103, 368–683. [Google Scholar] [CrossRef] [PubMed]
- De Sanjosé, S.; Brotons, M.; Pavón, M.A. The natural history of human papillomavirus infection. Best Pr. Res. Clin. Obstet. Gynaecol. 2018, 47, 2–13. [Google Scholar] [CrossRef] [PubMed]
- Gupta, S.; Takhar, P.P.S.; Degenkolbe, R.; Koh, C.H.; Zimmermann, H.; Yang, C.M.; Sim, K.G.; Hsu, S.I.-H.; Bernard, H.-U. The human papillomavirus type 11 and 16 E6 proteins modulate the cell-cycle regulator and transcription cofactor TRIP-Br1. Virology 2003, 317, 155–164. [Google Scholar] [CrossRef]
- Stiasny, A.; Freier, C.P.; Kuhn, C.; Schulze, S.; Mayr, D.; Alexiou, C.; Janko, C.; Wiest, I.; Dannecker, C.; Jeschke, U.; et al. The involvement of E6, p53, p16, MDM2 and Gal-3 in the clinical outcome of patients with cervical cancer. Oncol. Lett. 2017, 14, 4467–4476. [Google Scholar] [CrossRef]
- Cascardi, E.; Cazzato, G.; Daniele, A.; Silvestris, E.; Cormio, G.; Di Vagno, G.; Malvasi, A.; Loizzi, V.; Scacco, S.; Dellino, M.; et al. Association between Cervical Microbiota and HPV: Could This Be the Key to Complete Cervical Cancer Eradication? Biology 2022, 11, 1114. [Google Scholar] [CrossRef]
- Tang, D.; Wu, D.; Hirao, A.; Lahti, J.M.; Liu, L.; Mazza, B.; Ingram, A.J. ERK activation mediates cell cycle arrest and apoptosis after DNA damage independently of p53. J. Biol. Chem. 2002, 277, 12710–12717. [Google Scholar] [CrossRef] [PubMed]
- Freier, C.P.; Stiasny, A.; Kuhn, C.; Mayr, D.; Alexiou, C.; Janko, C.; Wiest, I.; Jeschke, U.; Kost, B. Immunohistochemical Evaluation of the Role of p53 Mutation in Cervical Cancer: Ser-20 p53-Mutant Correlates with Better Prognosis. Anticancer. Res. 2016, 36, 3131–3137. [Google Scholar]
- Vats, A.; Trejo-Cerro, O.; Massimi, P.; Banks, L. Regulation of HPV E7 Stability by E6-Associated Protein (E6AP). J. Virol. 2022, 96, e00663-22. [Google Scholar] [CrossRef] [PubMed]
- Liggett, W.H.; Sidransky, D. Role of the p16 tumor suppressor gene in cancer. J. Clin. Oncol. 1998, 16, 1197–1206. [Google Scholar] [CrossRef]
- Li, M.; Yang, J.; Liu, K.; Yang, J.; Zhan, X.; Wang, L.; Shen, X.; Chen, J.; Mao, Z. p16 promotes proliferation in cervical carcinoma cells through CDK6-HuR-IL1A axis. J. Cancer 2020, 11, 1457–1467. [Google Scholar] [CrossRef] [PubMed]
- Friese, K.; Kost, B.; Vattai, A.; Marmé, F.; Kuhn, C.; Mahner, S.; Dannecker, C.; Jeschke, U.; Heublein, S. The G protein-coupled estrogen receptor (GPER/GPR30) may serve as a prognostic marker in early-stage cervical cancer. J. Cancer Res. Clin. Oncol. 2017, 144, 13–19. [Google Scholar] [CrossRef]
- Rosell, M.; Jones, M.C.; Parker, M.G. Role of nuclear receptor corepressor RIP140 in metabolic syndrome. Biochim. Biophys. Acta Mol. Basis Dis. 2011, 1812, 919–928. [Google Scholar] [CrossRef]
- Hong, M.-K.; Wang, J.-H.; Su, C.-C.; Li, M.-H.; Hsu, Y.-H.; Chu, T.-Y. Expression of Estrogen and Progesterone Receptor in Tumor Stroma Predicts Favorable Prognosis of Cervical Squamous Cell Carcinoma. Int. J. Gynecol. Cancer 2017, 27, 1247–1255. [Google Scholar] [CrossRef]
- Cavaillès, V.; Dauvois, S.; L’Horset, F.; Lopez, G.; Hoare, S.; Kushner, P.J.; Parker, M.G. Nuclear factor RIP140 modulates transcriptional activation by the estrogen receptor. EMBO J. 1995, 14, 3741–3751. [Google Scholar] [CrossRef]
- Ho, P.C.; Tsui, Y.C.; Feng, X.; Greaves, D.R.; Wei, L.N. NF-kappaB-mediated degradation of the coactivator RIP140 regulates inflammatory responses and contributes to endotoxin tolerance. Nat. Immunol. 2012, 13, 379–386. [Google Scholar] [CrossRef] [PubMed]
- Yu, X.; Xue, X.; Zhu, X.; Li, X. Downregulation of RIP140 in triple-negative breast cancer inhibits the growth and proliferation of cancer cells. Oncol. Lett. 2018, 15, 8784–8788. [Google Scholar] [CrossRef] [PubMed]
- Vattai, A.; Cavailles, V.; Sixou, S.; Beyer, S.; Kuhn, C.; Peryanova, M.; Heidegger, H.; Hermelink, K.; Mayr, D.; Mahner, S.; et al. Investigation of RIP140 and LCoR as independent markers for poor prognosis in cervical cancer. Oncotarget 2017, 8, 105356–105371. [Google Scholar] [CrossRef] [PubMed]
- Nautiyal, J.; Steel, J.H.; Mane, M.R.; Oduwole, O.; Poliandri, A.; Alexi, X.; Wood, N.; Poutanen, M.; Zwart, W.; Stingl, J.; et al. The transcriptional co-factor RIP140 regulates mammary gland development by promoting the generation of key mitogenic signals. Development 2013, 140, 1079–1089. [Google Scholar] [CrossRef]
- Madak-Erdogan, Z.; Katzenellenbogen, B.S. Aryl hydrocarbon receptor modulation of estrogen receptor alpha-mediated gene regulation by a multimeric chromatin complex involving the two receptors and the coregulator RIP140. Toxicol Sci. 2012, 125, 401–411. [Google Scholar] [CrossRef] [PubMed]
- Shabani, N.; Kuhn, C.; Kunze, S.; Schulze, S.; Mayr, D.; Dian, D.; Zhao, Y.; Mylonas, I. Prognostic significance of oestrogen receptor alpha (ERalpha) and beta (ERbeta), progesterone receptor A (PR-A) and B (PR-B) in endometrial carcinomas. Eur. J. Cancer 2007, 43, 2434–2444. [Google Scholar] [CrossRef] [PubMed]
- Lenhard, M.; Tereza, L.; Heublein, S.; Ditsch, N.; Himsl, I.; Mayr, D.; Friese, K.; Jeschke, U. Steroid hormone receptor expression in ovarian cancer: Progesterone receptor B as prognostic marker for patient survival. BMC Cancer 2012, 12, 553. [Google Scholar] [CrossRef]
- Czogalla, B.; Kahaly, M.; Mayr, D.; Schmoeckel, E.; Niesler, B.; Hester, A.; Zeder-Göß, C.; Kolben, T.; Burges, A.; Mahner, S.; et al. Correlation of NRF2 and progesterone receptor and its effects on ovarian cancer biology. Cancer Manag. Res. 2019, ume 11, 7673–7684. [Google Scholar] [CrossRef]
- Kjaer, S.K.; Christensen, I.J.; Jacobs, I.; Gayther, S.; Christensen, L.; Høgdall, C.; Blaakaer, J.; Høgdall, E.V. Prognostic value of estrogen receptor and progesterone receptor tumor expression in Danish ovarian cancer patients: From the ‘MALOVA’ ovarian cancer study. Oncol. Rep. 2007, 18, 1051–1059. [Google Scholar] [CrossRef]
- Luo, H.; Li, S.; Zhao, M.; Sheng, B.; Zhu, H.; Zhu, X. Prognostic value of progesterone receptor expression in ovarian cancer: A meta-analysis. Oncotarget 2017, 8, 36845–36856. [Google Scholar] [CrossRef]
- Scholz, C.; Heublein, S.; Lenhard, M.; Friese, K.; Mayr, D.; Jeschke, U. Glycodelin A is a prognostic marker to predict poor outcome in advanced stage ovarian cancer patients. BMC Res. Notes 2012, 5, 551. [Google Scholar] [CrossRef] [PubMed]
- Diep, C.H.; Charles, N.J.; Gilks, C.B.; Kalloger, S.E.; Argenta, P.A.; Lange, C.A. Progesterone receptors induce FOXO1-dependent senescence in ovarian cancer cells. Cell Cycle 2013, 12, 1433–1449. [Google Scholar] [CrossRef]
- Hopp, T.A.; Weiss, H.L.; Hilsenbeck, S.G.; Cui, Y.; Allred, D.C.; Horwitz, K.B.; Fuqua, S.A.W. Breast Cancer Patients with Progesterone Receptor PR-A-Rich Tumors Have Poorer Disease-Free Survival Rates. Clin. Cancer Res. 2004, 10, 2751–2760. [Google Scholar] [CrossRef]
- Shyamala, G.; Yang, X.; Cardiff, R.D.; Dale, E. Impact of progesterone receptor on cell-fate decisions during mammary gland development. Proc. Natl. Acad. Sci. USA 2000, 97, 3044–3049. [Google Scholar] [CrossRef]
- Pathiraja, T.N.; Shetty, P.B.; Jelinek, J.; He, R.; Hartmaier, R.; Margossian, A.L.; Hilsenbeck, S.G.; Issa, J.-P.J.; Oesterreich, S. Progesterone Receptor Isoform-Specific Promoter Methylation: Association of PRA Promoter Methylation with Worse Outcome in Breast Cancer Patients. Clin. Cancer Res. 2011, 17, 4177–4186. [Google Scholar] [CrossRef]
- Singhal, H.; Greene, M.E.; Zarnke, A.L.; Laine, M.; Al Abosy, R.; Chang, Y.-F.; Dembo, A.G.; Schoenfelt, K.; Vadhi, R.; Qiu, X.; et al. Progesterone receptor isoforms, agonists and antagonists differentially reprogram estrogen signaling. Oncotarget 2017, 9, 4282–4300. [Google Scholar] [CrossRef]
- Scholz, C.; Toth, B.; Barthell, E.; Mylonas, I.; Weissenbacher, T.; Friese, K.; Jeschke, U. Immunohistochemical expression of glycodelin in breast cancer correlates with estrogen-receptor alpha and progesterone-receptor A positivity. Histol. Histopathol. 2009, 24, 467–471. [Google Scholar]
- Heidegger, H.; Dietlmeier, S.; Ye, Y.; Kuhn, C.; Vattai, A.; Aberl, C.; Jeschke, U.; Mahner, S.; Kost, B. The Prostaglandin EP3 Receptor Is an Independent Negative Prognostic Factor for Cervical Cancer Patients. Int. J. Mol. Sci. 2017, 18, 1571. [Google Scholar] [CrossRef] [PubMed]
- Kost, B.P.; Beyer, S.; Schröder, L.; Zhou, J.; Mayr, D.; Kuhn, C.; Schulze, S.; Hofmann, S.; Mahner, S.; Jeschke, U.; et al. Glucocorticoid receptor in cervical cancer: An immunhistochemical analysis. Arch. Gynecol. Obstet. 2018, 299, 203–209. [Google Scholar] [CrossRef] [PubMed]
- Tazawa, H.; Osman, W.; Shoji, Y.; Treuter, E.; Gustafsson, J.-A.; Zilliacus, J. Regulation of Subnuclear Localization Is Associated with a Mechanism for Nuclear Receptor Corepression by RIP140. Mol. Cell Biol. 2003, 23, 4187–4198. [Google Scholar] [CrossRef]
- Park, Y.; Baik, S.; Ho, C.; Lin, C.-Y.; Chung, S.-H. Progesterone Receptor Is a Haploinsufficient Tumor-Suppressor Gene in Cervical Cancer. Mol. Cancer Res. 2021, 19, 42–47. [Google Scholar] [CrossRef] [PubMed]
- Beyer, S.; Zhu, J.; Mayr, D.; Kuhn, C.; Schulze, S.; Hofmann, S.; Dannecker, C.; Jeschke, U.; Kost, B.P. Histone H3 Acetyl K9 and Histone H3 Tri Methyl K4 as Prognostic Markers for Patients with Cervical Cancer. Int. J. Mol. Sci. 2017, 18, 477. [Google Scholar] [CrossRef]






| Patient Characteristics | n (%) |
|---|---|
| Age (years) | Median 47.0 years 20–83 |
| Histology | Squamous: 202/250 (80.8) Adenocarcinoma 48/250 (19.2) |
| Tumor grade | G1 21/250 (8.4) G2 143/250 (57.2) G3 78/250 (31.2) |
| pT | pT1 110/250 (44.0) pT2 128/250 (51.2) pT3/4 9/259 (3.6) |
| pN | pN0 151/250 (60.4) pN1 99 (39.6) |
| pM | pM0 250/250 (100) pM1 0/250 (0) |
| Nuclear RIP140 | IRS = 0: 23/240 (9.6) IRS ≥ 1: 217 (90.4) |
| Cytoplasmic RIP140 | IRS = 0: 21/240 (8.8) IRS ≥ 1: 219 (91.2) |
| Nuclear PRA | IRS ≤ 1: 127/250 (50.8) IRS > 1: 123/250 (49.2) |
| Cytoplasmic PRA | IRS ≤ 1: 237/250 (94.8) IRS > 1: 13/250 (5.2) |
| A | ||
| Variables | p Value | Correlation Coefficient |
| RIP140 Cytoplasmic IRS | 0.019 | 0.152 |
| RIP140 Nuclear IRS | 0.066 | 0.119 |
| E6 Cytoplasmic IRS | 0.024 | 0.144 |
| P16 Cytoplasmic IRS | 0.022 | −0.149 |
| EP3 IRS | 0.000 | 0.236 |
| B | ||
| Variables | p Value | Correlation Coefficient |
| RIP140 Cytoplasmic IRS | 0.214 | 0.185 |
| RIP140 Nuclear IRS | 0.359 | 0.137 |
| E6 Cytoplasmic IRS | 0.509 | 0.098 |
| P16 Cytoplasmic IRS | 0.003 | −0.425 |
| EP3 IRS | 0.038 | 0.303 |
| Variable | Coefficient | HR (95%CI) | p Value |
|---|---|---|---|
| pN | 0.987 | 2.683 (0.727–9.894) | 0.138 |
| pM | −0.112 | 0.894 (0.239–3.345) | 0.868 |
| pT | 0.575 | 1.777 (0.952–3.316) | 0.071 |
| FIGO | −0.058 | 0.943 (0.826–1.077) | 0.389 |
| Age | −0.011 | 0.989 (0.935–1.045) | 0.691 |
| PRA ≥ 4 + RIP140 | 2.024 | 7.571 (1.135–50.518) | 0.037 |
Disclaimer/Publisher’s Note: The statements, opinions and data contained in all publications are solely those of the individual author(s) and contributor(s) and not of MDPI and/or the editor(s). MDPI and/or the editor(s) disclaim responsibility for any injury to people or property resulting from any ideas, methods, instructions or products referred to in the content. |
© 2023 by the authors. Licensee MDPI, Basel, Switzerland. This article is an open access article distributed under the terms and conditions of the Creative Commons Attribution (CC BY) license (https://creativecommons.org/licenses/by/4.0/).
Share and Cite
Garrido, F.; Wild, C.M.; Jeschke, U.; Dannecker, C.; Mayr, D.; Cavailles, V.; Mahner, S.; Kost, B.; Heidegger, H.H.; Vattai, A. Expression of Progesterone Receptor A as an Independent Negative Prognosticator for Cervical Cancer. Int. J. Mol. Sci. 2023, 24, 2815. https://doi.org/10.3390/ijms24032815
Garrido F, Wild CM, Jeschke U, Dannecker C, Mayr D, Cavailles V, Mahner S, Kost B, Heidegger HH, Vattai A. Expression of Progesterone Receptor A as an Independent Negative Prognosticator for Cervical Cancer. International Journal of Molecular Sciences. 2023; 24(3):2815. https://doi.org/10.3390/ijms24032815
Chicago/Turabian StyleGarrido, Fabian, Carl Mathis Wild, Udo Jeschke, Christian Dannecker, Doris Mayr, Vincent Cavailles, Sven Mahner, Bernd Kost, Helene H. Heidegger, and Aurelia Vattai. 2023. "Expression of Progesterone Receptor A as an Independent Negative Prognosticator for Cervical Cancer" International Journal of Molecular Sciences 24, no. 3: 2815. https://doi.org/10.3390/ijms24032815
APA StyleGarrido, F., Wild, C. M., Jeschke, U., Dannecker, C., Mayr, D., Cavailles, V., Mahner, S., Kost, B., Heidegger, H. H., & Vattai, A. (2023). Expression of Progesterone Receptor A as an Independent Negative Prognosticator for Cervical Cancer. International Journal of Molecular Sciences, 24(3), 2815. https://doi.org/10.3390/ijms24032815

