Localization of Pyranose 2-Oxidase from Kitasatospora aureofaciens: A Step Closer to Elucidate a Biological Role
Abstract
1. Introduction
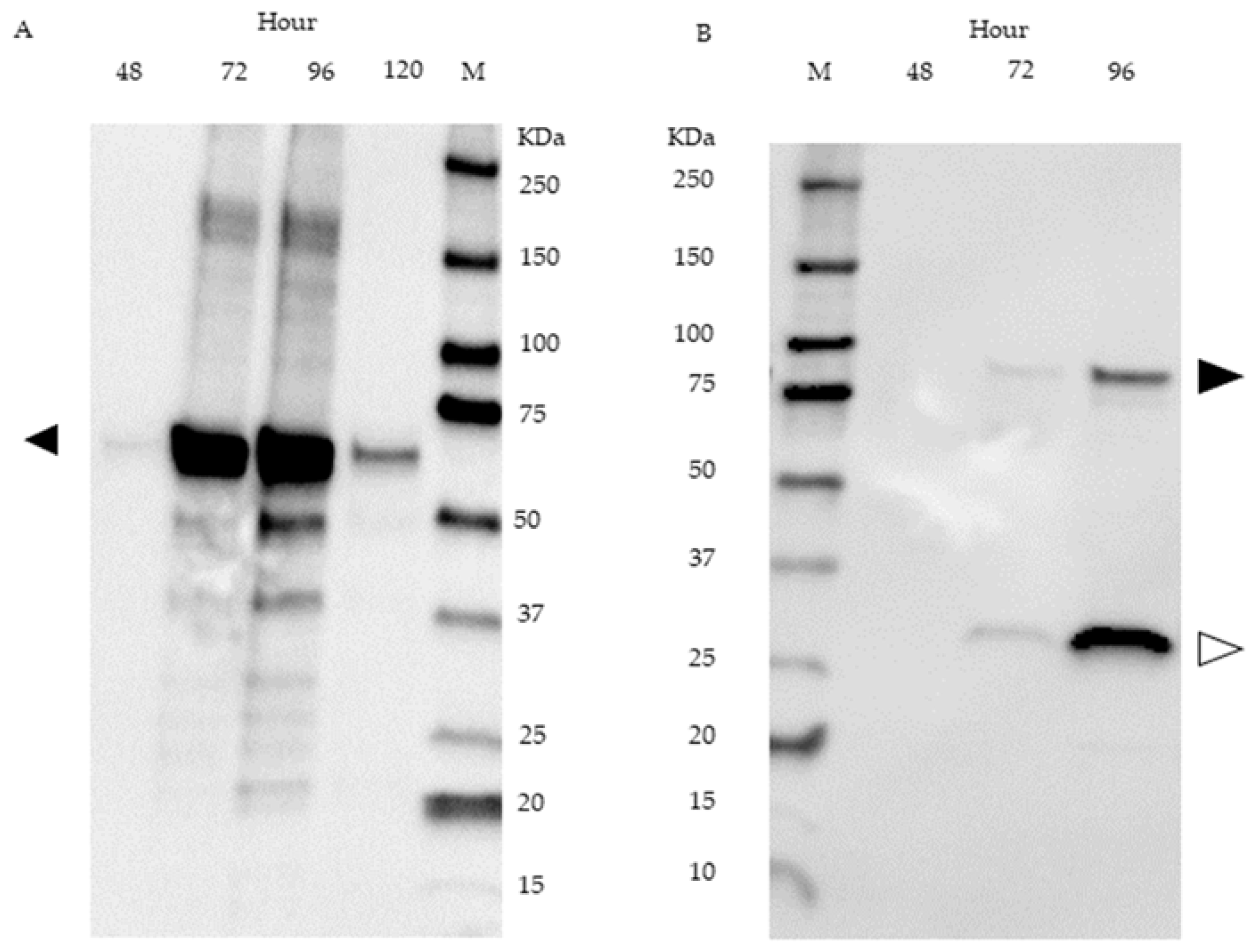
2. Results
2.1. Signal Peptide Prediction
2.2. Heterologous Expression of KaPOx with a Putative Signal Peptide
2.3. Fusion Protein Approach
3. Discussion
4. Materials and Methods
4.1. Strains and Plasmids
4.2. Media
4.3. DNA Manipulation
4.4. Vector Constructions
4.5. Transformation
4.6. Cultivation and Protein Production
4.7. SDS-PAGE and Western Blot
4.8. Enzymatic Activity Assay and Fluorescent Signal Analysis
Supplementary Materials
Author Contributions
Funding
Institutional Review Board Statement
Informed Consent Statement
Data Availability Statement
Acknowledgments
Conflicts of Interest
References
- Cragg, S.M.; Beckham, G.T.; Bruce, N.C.; Bugg, T.D.H.; Distel, D.L.; Dupree, P.; Etxabe, A.G.; Goodell, B.S.; Jellison, J.; McGeehan, J.E.; et al. Lignocellulose degradation mechanisms across the Tree of Life. Curr. Opin. Chem. Biol. 2015, 29, 108–119. [Google Scholar] [CrossRef]
- Polegioni, L.; Tonin, F.; Rosini, E. Lignin-degrading enzymes. FEBS J. 2015, 282, 1190–1213. [Google Scholar] [CrossRef]
- Bugg, T.D.H.; Ahmad, M.; Hardiman, E.M.; Rahmanpour, R. Pathways for degradation of lignin in bacteria and fungi. Nat. Prod. Rep. 2011, 28, 1883. [Google Scholar] [CrossRef]
- Xu, Z.; Lei, P.; Wen, Z.; Jin, M. Recent advances in lignin valorization with bacterial cultures: Microorganisms, metabolic pathways, and bio-products. Biotechnol. Biofuels 2019, 12, 2–19. [Google Scholar] [CrossRef]
- Bissaro, B.; Røhr, Å.K.; Müller, G.; Chylenski, P.; Skaugen, M.; Forsberg, Z.; Horn, S.J.; Vaaje-Kohlstad, G.; Eijsink, V.G.H. Oxidative cleavage of polysaccharides by monocopper enzymes depends on H2O2. Nat. Chem. Biol. 2017, 13, 1123–1128. [Google Scholar] [CrossRef]
- Herzog, P.L.; Sützl, L.; Eisenhut, B.; Maresch, D.; Haltrich, D.; Obinger, C.; Peterbauer, C.K. Versatile Oxidase and Dehydrogenase Activities of Bacterial Pyranose 2-Oxidase Facilitate Redox Cycling with Manganese Peroxidase In Vitro. Appl. Environ. Microbiol. 2019, 85, e00390-19. [Google Scholar] [CrossRef]
- Leitner, C.; Volc, J.; Haltrich, D. Purification and Characterization of Pyranose Oxidase from the White Rot Fungus Trametes multicolor. Appl. Environ. Microbiol. 2001, 67, 3636–3644. [Google Scholar] [CrossRef]
- Pisanelli, I.; Kujawa, M.; Spadiut, O.; Kitt, R.; Halada, P.; Volc, J.; Mozuch, M.D.; Kersten, P.; Haltrich, D.; Peterbauer, C. Pyranose 2-oxidase from Phanerochaete chrysosporium--expression in E. coli and biochemical characterization. J. Biotechnol. 2009, 142, 97–106. [Google Scholar] [CrossRef]
- Ai, M.Q.; Wang, F.F.; Zhang, Y.Z.; Huang, F. Purification of pyranose oxidase from the white rot fungus Irpex lacteus and its cooperation with laccase in lignin degradation. Proc. Biochem. 2014, 49, 2191–2198. [Google Scholar] [CrossRef]
- Wang, F.F.; Huang, F.; Ai, M.Q. Synergetic Depolymerization of Aspen CEL by Pyranose 2-Oxidase and Lignin-degrading Peroxidases. Bioresources 2019, 14, 3481–3494. [Google Scholar] [CrossRef]
- Bugg, T.D.H.; Ahmad, M.; Hardiman, E.M.; Singh, R. The emerging role for bacteria in lignin degradation and bio-product formation. Curr. Opin. Biotechnol. 2011, 22, 394–400. [Google Scholar] [CrossRef]
- Bugg, T.D.H.; James, J.W.; Rashid, G.M.M. Bacterial enzymes for lignin depolymerisation: New biocatalysts for generation of renewable chemicals from biomass. Curr. Opin. Chem. Biol. 2020, 55, 26–33. [Google Scholar] [CrossRef]
- Díaz-García, L.; Bugg, T.D.H.; Jiménez, D.J. Exploring the lignin catabolism potential of soil-derived lignocellulolytic microbial consortia by a gene-centric metagenomic approach. Microb. Ecol. 2020, 80, 885–896. [Google Scholar] [CrossRef]
- Mendes, S.; Banha, C.; Madeira, J.; Santos, D.; Miranda, V.; Manzanera, M.; Ventura, M.R.; van Berkel, W.J.H.; Martins, L.O. Characterization of a bacterial pyranose 2-oxidase from Arthrobacter siccitolerans. J. Mol. Catal. B Enzym. 2016, 133, S34–S43. [Google Scholar] [CrossRef]
- Kostelac, A.; Sützl, L.; Puc, J.; Furlanetto, V.; Divne, C.; Haltrich, D. Biochemical Characterization of Pyranose Oxidase from Streptomyces canus—Towards a Better Understanding of Pyranose Oxidase Homologues in Bacteria. Int. J. Mol. Sci. 2022, 23, 13595. [Google Scholar] [CrossRef]
- Abrera, A.T.; Sützl, L.; Haltrich, D. Pyranose Oxidase: A versatile sugar oxidoreductase for bioelectrochemical applications. Bioelectrochemistry 2020, 132, 107409. [Google Scholar] [CrossRef]
- Whittaker, M.M.; Whittaker, J.W. Streptomyces coelicolor oxidase (SCO2837p): A new free radical metalloenzyme secreted by Streptomyces coelicolor A3(2). Arch. Biochem. Biophys. 2006, 452, 108–118. [Google Scholar] [CrossRef]
- Bendtsen, J.D.; Nielsen, H.; Widdick, D.; Palmer, T.; Brunak, S. Prediction of twin-arginine signal peptides. BMC Bioinform. 2005, 6, 167. [Google Scholar] [CrossRef]
- Sianidis, G.; Pozidis, C.; Becker, F.; Vrancken, K.; Sjoeholm, C.; Karamanou, S.; Takamiya-Wik, M.; Mellaert, L.V.; Schaefer, T.; Anne, J.; et al. Functional large-scale production of a novel Jonesia sp. xyloglucanase by heterologous secretion from Streptomyces lividans. J. Biotechnol. 2006, 121, 498–507. [Google Scholar] [CrossRef]
- Bongers, R.S.; Veening, J.; van Wieringen, M.; Kuipers, O.P.; Kleerebezem, M. Development and Characterization of a Subtilin-Regulated Expression System in Bacillus subtilis: Strict Comtrol of Gene Expression by Addition of Subtilin. Appl. Env. Microbiol. 2005, 71, 8818–8824. [Google Scholar] [CrossRef]
- Harwood, C.; Cranenburgh, R. Bacillus protein secretion: An unfolding story. Trends Microbiol. 2008, 16, 73–79. [Google Scholar] [CrossRef] [PubMed]
- Neef, J.; van Dijl, J.M.; Buist, G. Recombinant protein secretion by Bacillus subtilis and Lactococcus lactis: Pathways, applications and innovation potentials. Essays Biochem. 2021, 65, 187–195. [Google Scholar] [CrossRef]
- Hsiao, N.H.; Kirby, R. Comparative genomics of Streptomyces avermitilis, Streptomyces cattleya, Streptomyces maritimus and Kitasatospora aureofaciens using a Streptomyces coelicolor microarray system. Antonie Leeuwenhoek 2007, 93, 1–25. [Google Scholar] [CrossRef]
- Labeda, D.P.; Dunlap, C.A.; Rong, X.; Huang, Y.; Doroghazi, J.R.; Ju, K.S.; Metcalf, W.W. Phylogenetic relationships in the family Streptomycetaceae using multi-locus sequence analysis. Antonie Leeuwenhoek 2017, 110, 563–583. [Google Scholar] [CrossRef] [PubMed]
- Anne, J.; Vrancken, K.; van Mellaert, L.; van Impe, J.; Bernaerts, K. Protein secretion biotechnology in gram-positive bacteria with special emphasis on Streptomyces lividans. Biochim. Biophys. Acta 2014, 1843, 1750–1761. [Google Scholar] [CrossRef] [PubMed]
- Kolkman, M.A.B.; van der Ploeg, R.; Bertels, M.; van Dijk, M.; van der Laan, J.; van Dijl, J.M.; Ferrari, E. The Twin-Arginine Signal Peptide of Bacillus subtilis YwbN Can Direct either Tat- or Sec-Dependent Secretion of Different Cargo Proteins: Secretion of Active Subtilisin via the B. subtilis Tat Pathway. Appl. Environ. Microbiol. 2008, 74, 7507–7513. [Google Scholar] [CrossRef]
- Sützl, L.; Foley, G.; Gillam, E.M.J.; Bodén, M.; Haltrich, D. The GMC superfamily of oxidoreductases revisited: Analysis and evolution of fungal GMC oxidoreductases. Biotechnol. Biofuels 2019, 12, 118. [Google Scholar] [CrossRef]
- Danneel, H.J.; Rossner, E.; Zeeck, A.; Giffhorn, F. Purification and characterization of a pyranose oxidase from the basidiomycete Peniophora gigantea and chemical analyses of its reaction products. Eur. J. Biochem. 1993, 214, 795–802. [Google Scholar] [CrossRef]
- Machida, Y.; Nakanishi, T. Purification and properties of pyranose oxidase from Coriolus versicolor. Agric. Biol. Chem. 1984, 48, 2463–2470. [Google Scholar] [CrossRef]
- Daniel, G.; Volc, J.; Kubatova, E. Pyranose oxidase, a major source of H2O2 during wood degradation by Phanerochaete chrysosporium, Trametes versicolor, and Oudemansiella mucida. Appl. Environ. Microbiol. 1994, 60, 2524–2532. [Google Scholar] [CrossRef]
- Nishimura, I.; Okada, K.; Koyama, Y. Cloning and expression of pyranose oxidase cDNA from Coriolus versicolor in Escherichia coli. J. Biotechnol. 1996, 52, 11–20. [Google Scholar] [CrossRef]
- Hallberg, B.M.; Leitner, C.; Haltrich, D.; Divne, C. Crystallization and preliminary X-ray diffraction analysis of pyranose 2-oxidase from the white-rot fungus Trametes multicolor. Acta Crystallogr. Sect. D Biol. Crystallogr. 2004, 60, 197–199. [Google Scholar] [CrossRef]
- Hamed, M.B.; Vrancken, K.; Bilyk, B.; Koepff, J.; Novakova, R.; van Mellaert, L.; Oldiges, M.; Luzhetskyy, A.; Kormanec, J.; Anné, J.; et al. Monitoring Protein Secretion in Streptomyces Using Fluorescent Proteins. Front. Microbiol. 2018, 9, 3019. [Google Scholar] [CrossRef]
- Ward, J.M.; Janssen, G.R.; Kieser, T.; Bibb, M.J.; Buttner, J.M.; Bibb, M.J. Construction and characterisation of a series of multi-copy promoter-probe plasmid vectors for Streptomyces using the aminoglycoside phototransferase gene from Tn5 as indicator. Mol. Gen. Genet. 1986, 203, 468–478. [Google Scholar] [CrossRef]
- Vrancken, K.; Van Mellaert, L.; Anné, J. Cloning and Expression Vectors for a Gram-Positive Host, Streptomyces lividans. Methods Mol. Biol. 2010, 668, 97–107. [Google Scholar] [CrossRef]
- Sambrook, J.; Russell, D.W. Plasmids and Their Usefulness in Molecular Cloning. In Molecular Cloning: A Laboratory Manual, 3rd ed.; Argentine, J., Irwin, N., Eds.; Cold Spring Harbor Laboratory Press: New York, NY, USA, 2001; Volume 1, pp. 116–118. [Google Scholar]







| No. | Species | E Value | Per. Ident | Upstream | Length (AA) | TatP-1.0 | Note |
|---|---|---|---|---|---|---|---|
| 1 | Kitasatospora aureofaciens | 0 | 95.24 | v | 44 | Predicted | This study |
| 2 | Mycobacterium lacus | 0 | 65.19 | n.d | |||
| 3 | Actinomyces sp. Lu 9419 | 6.00 × 10−175 | 56.75 | v | 101 | n.d | |
| 4 | Amycolatopsis japonica | 3.00 × 10−168 | 55.29 | n.d | |||
| 5 | Frankia alni ACN14a | 7.00 × 10−152 | 51.06 | n.d | |||
| 6 | Streptomyces sudanensis | 9.00 × 10−140 | 49.01 | n.d | |||
| 7 | Streptomyces davawennsis JCM 4913 | 3.00 × 10−135 | 48.99 | v | 55 | n.d | |
| 8 | Streptomyces alboniger | 8.00 × 10−139 | 48.91 | v | 56 | Predicted | TatP-1.0 score 5 out of 5 |
| 9 | Streptomyces sp. MRC013 | 1.00 × 10−138 | 48.74 | n.d | |||
| 10 | Phytohabitans suffuscus | 4.00 × 10−102 | 48.15 | n.d | n.d | ||
| 11 | Streptomyces cinnabarinus | 2.00 × 10−135 | 48.08 | v | 12 | n.d | |
| 12 | Streptomyces cyaneogriseus subsp. noncyanogenus | 2.00 × 10−93 | 48.04 | v | 52 | n.d | TatP-1.0 score 2 out of 5 |
| 13 | Streptomyces huasconensis | 4.00 × 10−136 | 47.76 | v | 64 | Predicted | TatP-1.0 score 5 out of 5 |
| 14 | Streptomyces tuirus | 6.00 × 10−143 | 46.94 | v | 32 | n.d | |
| 15 | Streptomyces lusitanus | 3.00 × 10−139 | 46.48 | n.d | |||
| 16 | Phytohabitans flavus | 3.00 × 10−125 | 46.23 | n.d | |||
| 17 | Nocardiopsis sp. Mg02 | 4.00 × 10−106 | 38.95 | v | 10 | n.d | |
| 19 | Microbacterium sp. 10M-3C3 | 5.00 × 10−63 | 38.25 | v | 50 | n.d | |
| 20 | Microbacterium atlanticum | 2.00 × 10−60 | 37.59 | v | 41 | n.d | |
| 21 | Microbacterium sp. KUDC0405 | 1.00 × 10−48 | 37.59 | v | 5 | n.d | |
| 22 | Microbacterium testaceum StLB037 | 6.00 × 10−62 | 37.55 | n.d | |||
| 23 | Micromonospora carbonacea | 7.00 × 10−76 | 37.1 | n.d | |||
| 24 | Arthrobacter sp. DNA4 | 6.00 × 10−59 | 37.08 | v | 35 | n.d | TatP-1.0 score 2 out of 5 |
| 25 | Actinoalloteichus sp. AHMU CJ021 | 1.00 × 10−59 | 37.06 | v | 100 | Predicted | More than 1 possibility for TatP-1.0 prediction |
| 26 | Microbacterium sp. XT11 | 7.00 × 10−63 | 37.02 | v | 10 | n.d | |
| 27 | Streptomyces canus | 9.00 × 10−61 | 33.71 | n.d | |||
| 28 | Pseudarthrobacter siccitolerans | 6.00 × 10−64 | 34.89 | v | 60 | Predicted | TatP-1.0 score 3 out of 5 |
| Name | Recombinant Gene | Host | Origin |
| pUC19 | - | E. coli | NEB |
| pNZ8901 | - | E. coli/B. subtilis | MoBiTec |
| pNZ8901-spkapox | KaPOx with signal peptide (SPKaPOx) | E. coli/B. subtilis | This study |
| pNZ8901-kapox | KaPOx | E. coli/B. subtilis | This study |
| pIJ486 | - | S. lividans TK24 | KU Leuven |
| pIJ486-spsec-mrfp | mRFP with signal peptide | S. lividans TK24 | KU Leuven |
| pUC19-Pvsi | Promoter VSI (Pvsi) | E. coli | This study |
| pUC19-Pvsi-mrfp | Pvsi, mrfp | E. coli | This study |
| pUC19-Pvsi-spkapox | Pvsi, SPKaPOx | E. coli | This study |
| pUC19-Pvsi-kapox | Pvsi, KaPOx | E. coli | This study |
| pUC19-Pvsi-spkapox-mrfp | Pvsi, SPKaPOx, mrfp | E. coli | This study |
| pUC19-Pvsi-kapox-mrfp | Pvsi, KaPOx, mrfp | E. coli | This study |
| pIJ486-mrfp | Pvsi, mrfp | S. lividans TK24 | This study |
| pIJ486-spkapox | Pvsi, SPKaPOx | S. lividans TK24 | This study |
| pIJ486-kapox | Pvsi, KaPOx | S. lividans TK24 | This study |
| pIJ486-spkapox-mrfp | Pvsi, SPKaPOx, mrfp | S. lividans TK24 | This study |
| pIJ486-kapox-mrfp | Pvsi, KaPOx, mrfp | S. lividans TK24 | This study |
Disclaimer/Publisher’s Note: The statements, opinions and data contained in all publications are solely those of the individual author(s) and contributor(s) and not of MDPI and/or the editor(s). MDPI and/or the editor(s) disclaim responsibility for any injury to people or property resulting from any ideas, methods, instructions or products referred to in the content. |
© 2023 by the authors. Licensee MDPI, Basel, Switzerland. This article is an open access article distributed under the terms and conditions of the Creative Commons Attribution (CC BY) license (https://creativecommons.org/licenses/by/4.0/).
Share and Cite
Virginia, L.J.; Peterbauer, C. Localization of Pyranose 2-Oxidase from Kitasatospora aureofaciens: A Step Closer to Elucidate a Biological Role. Int. J. Mol. Sci. 2023, 24, 1975. https://doi.org/10.3390/ijms24031975
Virginia LJ, Peterbauer C. Localization of Pyranose 2-Oxidase from Kitasatospora aureofaciens: A Step Closer to Elucidate a Biological Role. International Journal of Molecular Sciences. 2023; 24(3):1975. https://doi.org/10.3390/ijms24031975
Chicago/Turabian StyleVirginia, Ludovika Jessica, and Clemens Peterbauer. 2023. "Localization of Pyranose 2-Oxidase from Kitasatospora aureofaciens: A Step Closer to Elucidate a Biological Role" International Journal of Molecular Sciences 24, no. 3: 1975. https://doi.org/10.3390/ijms24031975
APA StyleVirginia, L. J., & Peterbauer, C. (2023). Localization of Pyranose 2-Oxidase from Kitasatospora aureofaciens: A Step Closer to Elucidate a Biological Role. International Journal of Molecular Sciences, 24(3), 1975. https://doi.org/10.3390/ijms24031975

