Galgravin Isolated from Piper kadsura Ameliorates Lipopolysaccharide (LPS)-Induced Endotoxemia in Mice
Abstract
1. Introduction
2. Results
2.1. Galgravin Inhibits NF-kB Activity in LPS-Treated RAW 264.7 Macrophages
2.2. Galgravin Attenuates the Production of Proinflammatory Molecules in LPS-Activated RAW 264.7 Macrophages and Bone Marrow-Derived Macrophages (BMDMs)
2.3. Galgravin Improves the Pathological Phenotypes of LPS-Treated Endotoxemia Mice
2.4. Galgravin Attenuates the mRNA Levels of IL-6, TNF-α and iNOS in Lung Tissues of LPS-Challenged Mice
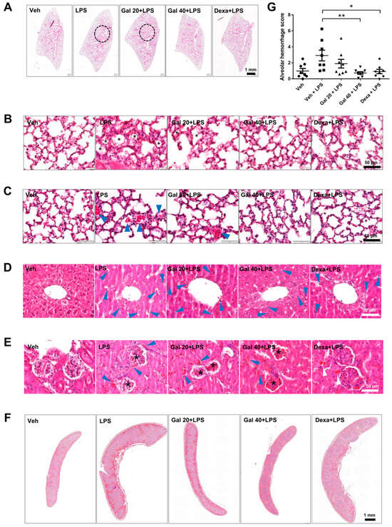
2.5. Galgravin Attenuates Inflammatory Responses in Multiple Organs of LPS-Challenged Mice
3. Discussion
4. Materials and Methods
4.1. Chemicals and Antibodies
4.2. Isolation of Galgravin from Piper kadsura
4.3. Cell Culture of RAW 264.7 Macrophages
4.4. Cell Culture of Bone Marrow-Derived Macrophages (BMDMs)
4.5. Luciferase Reporter Assay
4.6. MTT Assay
4.7. Western Blot (WB)
4.8. Measurement of Cytokines Using Enzyme-Linked Immunosorbent Assay (ELISA)
4.9. Measurement of Gene Expression Using RT-PCR
4.10. Animal Model
4.11. Bronchoalveolar Lavage (BAL) Fluid Analysis
4.12. Histological Analysis
4.13. Statistical Analysis
5. Conclusions
Supplementary Materials
Author Contributions
Funding
Institutional Review Board Statement
Informed Consent Statement
Data Availability Statement
Conflicts of Interest
References
- Annane, D.; Renault, A.; Brun-Buisson, C.; Megarbane, B.; Quenot, J.P.; Siami, S.; Cariou, A.; Forceville, X.; Schwebel, C.; Martin, C.; et al. Hydrocortisone plus Fludrocortisone for Adults with Septic Shock. N. Engl. J. Med. 2018, 378, 809–818. [Google Scholar] [CrossRef]
- Wang, Z.; Wang, Z. The role of macrophages polarization in sepsis-induced acute lung injury. Front. Immunol. 2023, 14, 1209438. [Google Scholar] [CrossRef]
- Matouk, A.I.; El-Daly, M.; Habib, H.A.; Senousy, S.; Naguib Abdel Hafez, S.M.; Kasem, A.W.; Almalki, W.H.; Alzahrani, A.; Alshehri, A.; Ahmed, A.F. Protective effects of menthol against sepsis-induced hepatic injury: Role of mediators of hepatic inflammation, apoptosis, and regeneration. Front. Pharmacol. 2022, 13, 952337. [Google Scholar] [CrossRef]
- He, F.F.; Wang, Y.M.; Chen, Y.Y.; Huang, W.; Li, Z.Q.; Zhang, C. Sepsis-induced AKI: From pathogenesis to therapeutic approaches. Front. Pharmacol. 2022, 13, 981578. [Google Scholar] [CrossRef]
- Ciesielska, A.; Matyjek, M.; Kwiatkowska, K. TLR4 and CD14 trafficking and its influence on LPS-induced pro-inflammatory signaling. Cell Mol. Life Sci. 2021, 78, 1233–1261. [Google Scholar] [CrossRef]
- Vaure, C.; Liu, Y. A comparative review of toll-like receptor 4 expression and functionality in different animal species. Front. Immunol. 2014, 5, 316. [Google Scholar] [CrossRef]
- Tran, Q.T.N.; Gan, P.X.L.; Liao, W.; Mok, Y.K.; Chai, C.L.L.; Wong, W.S.F. Degradation of MK2 with natural compound andrographolide: A new modality for anti-inflammatory therapy. Pharmacol. Res. 2023, 194, 106861. [Google Scholar] [CrossRef]
- Li, Z.; Li, Z.; Chen, Z.; Sun, H.; Yuan, Z.; Wang, X.; Wei, J.; Cao, X.; Zheng, D. Andrographolide contributes to spinal cord injury repair via inhibition of apoptosis, oxidative stress and inflammation. Front. Pharmacol. 2022, 13, 949502. [Google Scholar] [CrossRef]
- Peng, Y.; Ao, M.; Dong, B.; Jiang, Y.; Yu, L.; Chen, Z.; Hu, C.; Xu, R. Anti-Inflammatory Effects of Curcumin in the Inflammatory Diseases: Status, Limitations and Countermeasures. Drug Des. Devel. Ther. 2021, 15, 4503–4525. [Google Scholar] [CrossRef]
- Roy, T.; Banang-Mbeumi, S.; Boateng, S.T.; Ruiz, E.M.; Chamcheu, R.N.; Kang, L.; King, J.A.; Walker, A.L.; Nagalo, B.M.; Kousoulas, K.G.; et al. Dual targeting of mTOR/IL-17A and autophagy by fisetin alleviates psoriasis-like skin inflammation. Front. Immunol. 2022, 13, 1075804. [Google Scholar] [CrossRef]
- Huo, M.; Gao, R.; Jiang, L.; Cui, X.; Duan, L.; Deng, X.; Guan, S.; Wei, J.; Soromou, L.W.; Feng, H.; et al. Suppression of LPS-induced inflammatory responses by gossypol in RAW 264.7 cells and mouse models. Int. Immunopharmacol. 2013, 15, 442–449. [Google Scholar] [CrossRef]
- Kang, J.; Zhang, Y.; Cao, X.; Fan, J.; Li, G.; Wang, Q.; Diao, Y.; Zhao, Z.; Luo, L.; Yin, Z. Lycorine inhibits lipopolysaccharide-induced iNOS and COX-2 up-regulation in RAW264.7 cells through suppressing P38 and STATs activation and increases the survival rate of mice after LPS challenge. Int. Immunopharmacol. 2012, 12, 249–256. [Google Scholar] [CrossRef]
- Cheng, C.; Yu, X. Research Progress in Chinese Herbal Medicines for Treatment of Sepsis: Pharmacological Action, Phytochemistry, and Pharmacokinetics. Int. J. Mol. Sci. 2021, 22, 11078. [Google Scholar] [CrossRef]
- Chen, H.; Zhu, Y.; Zhang, Y.L.; Zeng, M.N.; Cao, Y.G.; Sun, P.T.; Cao, B.; Du, K.; Zhao, X.; Wang, X.W.; et al. Neolignans and amide alkaloids from the stems of Piper kadsura and their neuroprotective activity. Phytochemistry 2022, 203, 113336. [Google Scholar] [CrossRef]
- Xin, H.; Dai, Z.; Cai, J.; Ke, Y.; Shi, H.; Fu, Q.; Jin, Y.; Liang, X. Rapid purification of diastereoisomers from Piper kadsura using supercritical fluid chromatography with chiral stationary phases. J. Chromatogr. A 2017, 1509, 141–146. [Google Scholar] [CrossRef]
- Yu, N.; Gu, H.; Wei, Y.; Zhu, N.; Wang, Y.; Zhang, H.; Zhu, Y.; Zhang, X.; Ma, C.; Sun, A. Suitable DNA Barcoding for Identification and Supervision of Piper kadsura in Chinese Medicine Markets. Molecules 2016, 21, 1221. [Google Scholar] [CrossRef]
- Zhao, L.; Wang, S.; Huang, X.; Fan, Y.; Xue, Z.; Yang, D.; Ouyang, H.; Chang, Y.; He, J. Pharmacokinetic and Bioavailability Studies of Galgravin after Oral and Intravenous Administration to Rats Using HPLC-MS/MS Method. Biomed. Res. Int. 2021, 2021, 9919789. [Google Scholar] [CrossRef]
- Liu, F.; Zhao, Q.; Liu, S.; Xu, Y.; Zhou, D.; Gao, Y.; Zhu, L. Revealing the Pharmacological Mechanism of Acorus tatarinowii in the Treatment of Ischemic Stroke Based on Network Pharmacology. Evid. Based Complement. Alternat Med. 2020, 2020, 3236768. [Google Scholar] [CrossRef]
- Ponci, V.; Figueiredo, C.R.; Massaoka, M.H.; de Farias, C.F.; Matsuo, A.L.; Sartorelli, P.; Lago, J.H. Neolignans from Nectandra megapotamica (Lauraceae) Display in vitro Cytotoxic Activity and Induce Apoptosis in Leukemia Cells. Molecules 2015, 20, 12757–12768. [Google Scholar] [CrossRef]
- Ni, G.; Yu, D.Q. Chemical constituents from rhizomes of Acorus tatarinowii. Zhongguo Zhong Yao Za Zhi 2013, 38, 569–573. [Google Scholar]
- Ikewuchi, J.C.; Ikewuchi, C.C.; Ifeanacho, M.O.; Igboh, N.M.; Ijeh, I.I. Moderation of hematological and plasma biochemical indices of sub-chronic salt-loaded rats by aqueous extract of the sclerotia of Pleurotus tuberregium (Fr) Sing’s: Implications for the reduction of cardiovascular risk. J. Ethnopharmacol. 2013, 150, 466–476. [Google Scholar] [CrossRef]
- Asai, M.; Lee, J.W.; Itakura, Y.; Choi, B.K.; Yonezawa, T.; Teruya, T.; Cha, B.Y.; Ohnishi, M.; Yamaguchi, A.; Woo, J.T. Effects of veraguensin and galgravin on osteoclast differentiation and function. Cytotechnology 2012, 64, 315–322. [Google Scholar] [CrossRef][Green Version]
- Rye, C.E.; Barker, D. Asymmetric synthesis of (+)-galbelgin, (-)-kadangustin J, (-)-cyclogalgravin and (-)-pycnanthulignenes A and B, three structurally distinct lignan classes, using a common chiral precursor. J. Org. Chem. 2011, 76, 6636–6648. [Google Scholar] [CrossRef]
- Zhai, H.; Inoue, T.; Moriyama, M.; Esumi, T.; Mitsumoto, Y.; Fukuyama, Y. Neuroprotective effects of 2,5-diaryl-3,4-dimethyltetrahydrofuran neolignans. Biol. Pharm. Bull. 2005, 28, 289–293. [Google Scholar] [CrossRef]
- da Silva Filho, A.A.; Andrade e Silva, M.L.; Carvalho, J.C.; Bastos, J.K. Evaluation of analgesic and anti-inflammatory activities of Nectandra megapotamica (Lauraceae) in mice and rats. J. Pharm. Pharmacol. 2004, 56, 1179–1184. [Google Scholar] [CrossRef]
- Fu, S.L.; Hsu, Y.H.; Lee, P.Y.; Hou, W.C.; Hung, L.C.; Lin, C.H.; Chen, C.M.; Huang, Y.J. Dioscorin isolated from Dioscorea alata activates TLR4-signaling pathways and induces cytokine expression in macrophages. Biochem. Biophys. Res. Commun. 2006, 339, 137–144. [Google Scholar] [CrossRef]
- Dusabimana, T.; Je, J.; Yun, S.P.; Kim, H.J.; Kim, H.; Park, S.W. GOLPH3 promotes endotoxemia-induced liver and kidney injury through Golgi stress-mediated apoptosis and inflammatory response. Cell Death Dis. 2023, 14, 458. [Google Scholar] [CrossRef]
- Myers, M.J.; Deaver, C.M.; Lewandowski, A.J. Molecular mechanism of action responsible for carrageenan-induced inflammatory response. Mol. Immunol. 2019, 109, 38–42. [Google Scholar] [CrossRef]
- Domscheit, H.; Hegeman, M.A.; Carvalho, N.; Spieth, P.M. Molecular Dynamics of Lipopolysaccharide-Induced Lung Injury in Rodents. Front. Physiol. 2020, 11, 36. [Google Scholar] [CrossRef]
- Aeffner, F.; Bolon, B.; Davis, I.C. Mouse Models of Acute Respiratory Distress Syndrome: A Review of Analytical Approaches, Pathologic Features, and Common Measurements. Toxicol. Pathol. 2015, 43, 1074–1092. [Google Scholar] [CrossRef]
- Lin, L.C.; Shen, C.C.; Shen, Y.C.; Tsai, T.H. Anti-inflammatory neolignans from Piper kadsura. J. Nat. Prod. 2006, 69, 842–844. [Google Scholar] [CrossRef]
- Chiu, L.C.; Wang, J.Y.; Lin, C.H.; Hsu, C.H.; Lin, L.C.; Fu, S.L. Diterpenoid Compounds Isolated from Chloranthus oldhamii Solms Exert Anti-Inflammatory Effects by Inhibiting the IKK/NF-kappaB Pathway. Molecules 2021, 26, 6540. [Google Scholar] [CrossRef]
- Tsai, Y.C.; Wang, S.L.; Wu, M.Y.; Liao, C.H.; Lin, C.H.; Chen, J.J.; Fu, S.L.; Pilloin, A. Flavonoid Isolated from Aquilaria sinensis, Exhibits Anti-Inflammatory Activity In Vitro and In Vivo. Molecules 2018, 23, 3177. [Google Scholar] [CrossRef]
- Huang, C.Y.; Deng, J.S.; Huang, W.C.; Jiang, W.P.; Huang, G.J. Attenuation of Lipopolysaccharide-Induced Acute Lung Injury by Hispolon in Mice, Through Regulating the TLR4/PI3K/Akt/mTOR and Keap1/Nrf2/HO-1 Pathways, and Suppressing Oxidative Stress-Mediated ER Stress-Induced Apoptosis and Autophagy. Nutrients 2020, 12, 1742. [Google Scholar] [CrossRef]






Disclaimer/Publisher’s Note: The statements, opinions and data contained in all publications are solely those of the individual author(s) and contributor(s) and not of MDPI and/or the editor(s). MDPI and/or the editor(s) disclaim responsibility for any injury to people or property resulting from any ideas, methods, instructions or products referred to in the content. |
© 2023 by the authors. Licensee MDPI, Basel, Switzerland. This article is an open access article distributed under the terms and conditions of the Creative Commons Attribution (CC BY) license (https://creativecommons.org/licenses/by/4.0/).
Share and Cite
Ou, S.-M.; Hsu, Y.-C.; Fu, S.-L.; Lin, L.-C.; Lin, C.-H. Galgravin Isolated from Piper kadsura Ameliorates Lipopolysaccharide (LPS)-Induced Endotoxemia in Mice. Int. J. Mol. Sci. 2023, 24, 16572. https://doi.org/10.3390/ijms242316572
Ou S-M, Hsu Y-C, Fu S-L, Lin L-C, Lin C-H. Galgravin Isolated from Piper kadsura Ameliorates Lipopolysaccharide (LPS)-Induced Endotoxemia in Mice. International Journal of Molecular Sciences. 2023; 24(23):16572. https://doi.org/10.3390/ijms242316572
Chicago/Turabian StyleOu, Shih-Ming, Yin-Chieh Hsu, Shu-Ling Fu, Lie-Chwen Lin, and Chao-Hsiung Lin. 2023. "Galgravin Isolated from Piper kadsura Ameliorates Lipopolysaccharide (LPS)-Induced Endotoxemia in Mice" International Journal of Molecular Sciences 24, no. 23: 16572. https://doi.org/10.3390/ijms242316572
APA StyleOu, S.-M., Hsu, Y.-C., Fu, S.-L., Lin, L.-C., & Lin, C.-H. (2023). Galgravin Isolated from Piper kadsura Ameliorates Lipopolysaccharide (LPS)-Induced Endotoxemia in Mice. International Journal of Molecular Sciences, 24(23), 16572. https://doi.org/10.3390/ijms242316572

