Leucine-Rich Alpha-2 Glycoprotein 1 Accumulates in Complicated Atherosclerosis and Promotes Calcification
Abstract
1. Introduction
2. Results
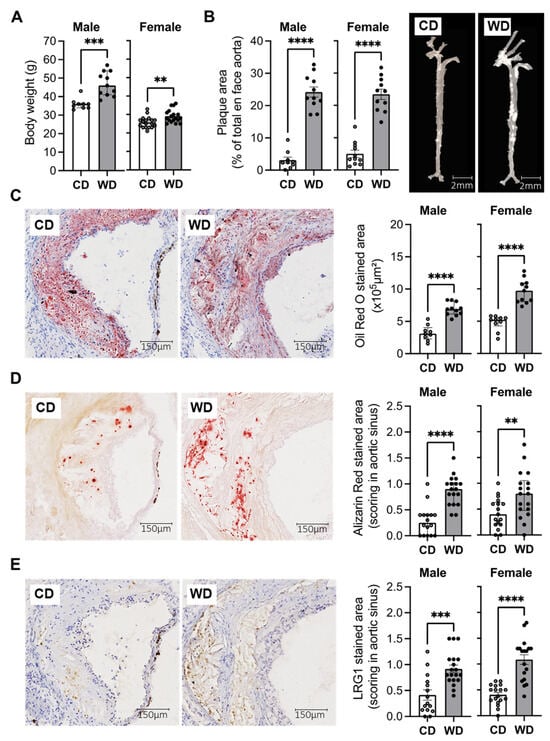
2.1. LRG1 Is Localized in Calcified Regions of Atherosclerotic Plaques in Mouse and Human
2.2. LRG1 Expression Is Induced in Endothelial Cells by Pro-Inflammatory Cytokines
2.3. LRG1 Promotes VSMC Trans-Differentiation and Calcification
2.4. LRG1 Potentiates TGFβ-Induced SMAD1/5 Signaling in VSMC
3. Discussion
4. Materials and Methods
4.1. Mouse Model
4.2. Histological Analysis and Immunohistochemical Staining
4.3. Cell Culture
4.4. Quantification of Calcium Deposition
4.5. Real-Time Quantitative PCR
4.6. Capillary Western Blot Analysis
4.7. Statistical Analysis
Author Contributions
Funding
Institutional Review Board Statement
Informed Consent Statement
Data Availability Statement
Acknowledgments
Conflicts of Interest
References
- Lusis, A.J. Atherosclerosis. Nature 2000, 407, 233–241. [Google Scholar] [CrossRef] [PubMed]
- Redgrave, J.N.; Gallagher, P.; Lovett, J.K.; Rothwell, P.M. Critical Cap Thickness and Rupture in Symptomatic Carotid Plaques. Stroke 2008, 39, 1722–1729. [Google Scholar] [CrossRef] [PubMed]
- Bentzon, J.F.; Otsuka, F.; Virmani, R.; Falk, E. Mechanisms of Plaque Formation and Rupture. Circ. Res. 2014, 114, 1852–1866. [Google Scholar] [CrossRef] [PubMed]
- Hutcheson, J.; Maldonado, N.; Aikawa, E. Small Entities with Large Impact: Microcalcifications and Atherosclerotic Plaque Vulnerability. Curr. Opin. Lipidol. 2014, 25, 327–332. [Google Scholar] [CrossRef]
- Van Rosendael, A.R.; Narula, J.; Lin, F.Y.; van den Hoogen, I.J.; Gianni, U.; Al Hussein Alawamlh, O.; Dunham, P.C.; Peña, J.M.; Lee, S.-E.; Andreini, D.; et al. Association of High-Density Calcified 1K Plaque with Risk of Acute Coronary Syndrome. JAMA Cardiol. 2020, 5, 282–290. [Google Scholar] [CrossRef]
- Kelly-Arnold, A.; Maldonado, N.; Laudier, D.; Aikawa, E.; Cardoso, L.; Weinbaum, S. Revised Microcalcification Hypothesis for Fibrous Cap Rupture in Human Coronary Arteries. Proc. Natl. Acad. Sci. USA 2013, 110, 10741–10746. [Google Scholar] [CrossRef]
- Joshi, N.V.; Vesey, A.T.; Williams, M.C.; Shah, A.S.V.; Calvert, P.A.; Craighead, F.H.M.; Yeoh, S.E.; Wallace, W.; Salter, D.; Fletcher, A.M.; et al. 18F-Fluoride Positron Emission Tomography for Identification of Ruptured and High-Risk Coronary Atherosclerotic Plaques: A Prospective Clinical Trial. Lancet 2014, 383, 705–713. [Google Scholar] [CrossRef]
- Sakamoto, A.; Kawakami, R.; Mori, M.; Guo, L.; Paek, K.H.; Mosquera, J.V.; Cornelissen, A.; Ghosh, S.K.B.; Kawai, K.; Konishi, T.; et al. CD163+ Macrophages Restrain Vascular Calcification, Promoting the Development of High-Risk Plaque. JCI Insight 2023, 8, e154922. [Google Scholar] [CrossRef]
- Karlöf, E.; Seime, T.; Dias, N.; Lengquist, M.; Witasp, A.; Almqvist, H.; Kronqvist, M.; Gådin, J.R.; Odeberg, J.; Maegdefessel, L.; et al. Correlation of Computed Tomography with Carotid Plaque Transcriptomes Associates Calcification with Lesion-Stabilization. Atherosclerosis 2019, 288, 175–185. [Google Scholar] [CrossRef]
- Huang, H.; Virmani, R.; Younis, H.; Burke, A.P.; Kamm, R.D.; Lee, R.T. The Impact of Calcification on the Biomechanical Stability of Atherosclerotic Plaques. Circulation 2001, 103, 1051–1056. [Google Scholar] [CrossRef]
- Guo, J.; Fujiyoshi, A.; Willcox, B.; Choo, J.; Vishnu, A.; Hisamatsu, T.; Ahuja, V.; Takashima, N.; Barinas-Mitchell, E.; Kadota, A.; et al. Increased Aortic Calcification Is Associated with Arterial Stiffness Progression in Multiethnic Middle-Aged Men. Hypertension 2017, 69, 102–108. [Google Scholar] [CrossRef] [PubMed]
- Blacher, J.; Guerin, A.P.; Pannier, B.; Marchais, S.J.; London, G.M. Arterial Calcifications, Arterial Stiffness, and Cardiovascular Risk in End-Stage Renal Disease. Hypertension 2001, 38, 938–942. [Google Scholar] [CrossRef]
- Rennenberg, R.J.M.W.; Kessels, A.G.H.; Schurgers, L.J.; van Engelshoven, J.M.A.; de Leeuw, P.W.; Kroon, A.A. Vascular Calcifications as a Marker of Increased Cardiovascular Risk: A Meta-Analysis. Vasc. Health Risk Manag. 2009, 5, 185–197. [Google Scholar] [CrossRef] [PubMed]
- Ho, C.Y.; Shanahan, C.M. Medial Arterial Calcification: An Overlooked Player in Peripheral Arterial Disease. Arter. Thromb. Vasc. Biol. 2016, 36, 1475–1482. [Google Scholar] [CrossRef]
- Li, M.; Wang, Z.-W.; Fang, L.-J.; Cheng, S.-Q.; Wang, X.; Liu, N.-F. Programmed Cell Death in Atherosclerosis and Vascular Calcification. Cell Death Dis. 2022, 13, 467. [Google Scholar] [CrossRef]
- Voelkl, J.; Lang, F.; Eckardt, K.-U.; Amann, K.; Kuro-O, M.; Pasch, A.; Pieske, B.; Alesutan, I. Signaling Pathways Involved in Vascular Smooth Muscle Cell Calcification during Hyperphosphatemia. Cell Mol. Life Sci. 2019, 76, 2077–2091. [Google Scholar] [CrossRef]
- Checkouri, E.; Blanchard, V.; Meilhac, O. Macrophages in Atherosclerosis, First or Second Row Players? Biomedicines 2021, 9, 1214. [Google Scholar] [CrossRef] [PubMed]
- Glorieux, G.; Mullen, W.; Duranton, F.; Filip, S.; Gayrard, N.; Husi, H.; Schepers, E.; Neirynck, N.; Schanstra, J.P.; Jankowski, J.; et al. New Insights in Molecular Mechanisms Involved in Chronic Kidney Disease Using High-Resolution Plasma Proteome Analysis. Nephrol. Dial. Transpl. 2015, 30, 1842–1852. [Google Scholar] [CrossRef]
- Pek, S.L.T.; Tavintharan, S.; Wang, X.; Lim, S.C.; Woon, K.; Yeoh, L.Y.; Ng, X.; Liu, J.; Sum, C.F. Elevation of a Novel Angiogenic Factor, Leucine-Rich-A2-Glycoprotein (LRG1), Is Associated With Arterial Stiffness, Endothelial Dysfunction, and Peripheral Arterial Disease in Patients With Type 2 Diabetes. J. Clin. Endocrinol. Metab. 2015, 100, 1586–1593. [Google Scholar] [CrossRef]
- Hong, Q.; Zhang, L.; Fu, J.; Verghese, D.A.; Chauhan, K.; Nadkarni, G.N.; Li, Z.; Ju, W.; Kretzler, M.; Cai, G.-Y.; et al. LRG1 Promotes Diabetic Kidney Disease Progression by Enhancing TGF-β–Induced Angiogenesis. J. Am. Soc. Nephrol. 2019, 30, 546–562. [Google Scholar] [CrossRef]
- Wang, X.; Abraham, S.; McKenzie, J.A.G.; Jeffs, N.; Swire, M.; Tripathi, V.B.; Luhmann, U.F.O.; Lange, C.A.K.; Zhai, Z.; Arthur, H.M.; et al. LRG1 Promotes Angiogenesis by Modulating Endothelial TGF-β Signalling. Nature 2013, 499, 306–311. [Google Scholar] [CrossRef] [PubMed]
- Yang, F.-J.; Hsieh, C.-Y.; Shu, K.-H.; Chen, I.-Y.; Pan, S.-Y.; Chuang, Y.-F.; Chiu, Y.-L.; Yang, W.-S. Plasma Leucine-Rich α-2-Glycoprotein 1 Predicts Cardiovascular Disease Risk in End-Stage Renal Disease. Sci. Rep. 2020, 10, 5988. [Google Scholar] [CrossRef]
- Bos, S.; Phillips, M.; Watts, G.F.; Verhoeven, A.J.M.; Sijbrands, E.J.G.; Ward, N.C. Novel Protein Biomarkers Associated with Coronary Artery Disease in Statin-Treated Patients with Familial Hypercholesterolemia. J. Clin. Lipidol. 2017, 11, 682–693. [Google Scholar] [CrossRef] [PubMed]
- Hong, Q.; Cai, H.; Zhang, L.; Li, Z.; Zhong, F.; Ni, Z.; Cai, G.; Chen, X.-M.; He, J.C.; Lee, K. Modulation of Transforming Growth Factor-β-Induced Kidney Fibrosis by Leucine-Rich ⍺-2 Glycoprotein-1. Kidney Int. 2021, 101, 299–314. [Google Scholar] [CrossRef]
- Tang, Y.; Yang, X.; Friesel, R.E.; Vary, C.P.H.; Liaw, L. Mechanisms of TGF-β-Induced Differentiation in Human Vascular Smooth Muscle Cells. J. Vasc. Res. 2011, 48, 485–494. [Google Scholar] [CrossRef] [PubMed]
- Halloran, B.G.; Prorok, G.D.; So, B.J.; Baxter, B.T. Transforming Growth Factor-Beta 1 Inhibits Human Arterial Smooth-Muscle Cell Proliferation in a Growth-Rate-Dependent Manner. Am. J. Surg. 1995, 170, 193–197. [Google Scholar] [CrossRef]
- Cecelja, M.; Jiang, B.; Bevan, L.; Frost, M.L.; Spector, T.D.; Chowienczyk, P.J. Arterial Stiffening Relates to Arterial Calcification But Not to Noncalcified Atheroma in Women. J. Am. Coll. Cardiol. 2011, 57, 1480–1486. [Google Scholar] [CrossRef]
- Van der Toorn, J.E.; Bos, D.; Arshi, B.; Leening, M.J.G.; Vernooij, M.W.; Ikram, M.A.; Ikram, M.K.; Kavousi, M. Arterial Calcification at Different Sites and Prediction of Atherosclerotic Cardiovascular Disease among Women and Men. Atherosclerosis 2021, 337, 27–34. [Google Scholar] [CrossRef]
- Haupt, H.; Baudner, S. Isolation and characterization of an unknown, leucine-rich 3.1-S-alpha2-glycoprotein from human serum (author’s transl). Hoppe-Seyler’s Z. Physiol. Chem. 1977, 358, 639–646. [Google Scholar] [CrossRef]
- Wang, S.; Wang, E.; Chen, Q.; Yang, Y.; Xu, L.; Zhang, X.; Wu, R.; Hu, X.; Wu, Z. Uncovering Potential lncRNAs and mRNAs in the Progression From Acute Myocardial Infarction to Myocardial Fibrosis to Heart Failure. Front. Cardiovasc. Med. 2021, 8, 719. [Google Scholar] [CrossRef]
- Zhang, Y.; Luo, Q.; Wang, N.; Hu, F.; Jin, H.; Ge, T.; Wang, C.; Qin, W. LRG1 Suppresses the Migration and Invasion of Hepatocellular Carcinoma Cells. Med. Oncol. 2015, 32, 146. [Google Scholar] [CrossRef] [PubMed]
- O’Donnell, L.C.; Druhan, L.J.; Avalos, B.R. Molecular Characterization and Expression Analysis of Leucine-Rich Alpha2-Glycoprotein, a Novel Marker of Granulocytic Differentiation. J. Leukoc. Biol. 2002, 72, 478–485. [Google Scholar] [CrossRef] [PubMed]
- Camilli, C.; Hoeh, A.E.; De Rossi, G.; Moss, S.E.; Greenwood, J. LRG1: An Emerging Player in Disease Pathogenesis. J. Biomed. Sci. 2022, 29, 6. [Google Scholar] [CrossRef] [PubMed]
- Kallenberg, D.; Tripathi, V.; Javaid, F.; Pilotti, C.; George, J.; Davis, S.; Blackburn, J.W.; O’Connor, M.; Dowsett, L.; Bowers, C.E.; et al. A Humanized Antibody against LRG1 That Inhibits Angiogenesis and Reduces Retinal Vascular Leakage. bioRxiv 2021. [Google Scholar] [CrossRef]
- Javaid, F.; Pilotti, C.; Camilli, C.; Kallenberg, D.; Bahou, C.; Blackburn, J.; R Baker, J.; Greenwood, J.; Moss, S.E.; Chudasama, V. Leucine-Rich Alpha-2-Glycoprotein 1 (LRG1) as a Novel ADC Target. RSC Chem. Biol. 2021, 2, 1206–1220. [Google Scholar] [CrossRef]
- Scallan, J.P.; Hill, M.A.; Davis, M.J. Lymphatic Vascular Integrity Is Disrupted in Type 2 Diabetes Due to Impaired Nitric Oxide Signalling. Cardiovasc. Res. 2015, 107, 89–97. [Google Scholar] [CrossRef]
- Jiang, W.; Xu, C.; Xu, S.; Su, W.; Du, C.; Dong, J.; Feng, R.; Huang, C.; Li, J.; Ma, T. Macrophage-Derived, LRG1-Enriched Extracellular Vesicles Exacerbate Aristolochic Acid Nephropathy in a TGFβR1-Dependent Manner. Cell Biol. Toxicol. 2021, 38, 629–648. [Google Scholar] [CrossRef]
- Druhan, L.J.; Lance, A.; Li, S.; Price, A.E.; Emerson, J.T.; Baxter, S.A.; Gerber, J.M.; Avalos, B.R. Leucine Rich α-2 Glycoprotein: A Novel Neutrophil Granule Protein and Modulator of Myelopoiesis. PLoS ONE 2017, 12, e0170261. [Google Scholar] [CrossRef]
- Gao, Y.; Zhou, J.; Xie, Z.; Wang, J.; Ho, C.; Zhang, Y.; Li, Q. Mechanical Strain Promotes Skin Fibrosis through LRG-1 Induction Mediated by ELK1 and ERK Signalling. Commun. Biol. 2019, 2, 359. [Google Scholar] [CrossRef]
- Honda, H.; Fujimoto, M.; Serada, S.; Urushima, H.; Mishima, T.; Lee, H.; Ohkawara, T.; Kohno, N.; Hattori, N.; Yokoyama, A.; et al. Leucine-Rich α-2 Glycoprotein Promotes Lung Fibrosis by Modulating TGF-β Signaling in Fibroblasts. Physiol. Rep. 2017, 5, e13556. [Google Scholar] [CrossRef]
- Tian, H.; Ketova, T.; Hardy, D.; Xu, X.; Gao, X.; Zijlstra, A.; Blobe, G.C. Endoglin Mediates Vascular Maturation by Promoting Vascular Smooth Muscle Cell Migration and Spreading. Arter. Thromb. Vasc. Biol. 2017, 37, 1115–1126. [Google Scholar] [CrossRef] [PubMed][Green Version]
- Ma, X.; Labinaz, M.; Goldstein, J.; Miller, H.; Keon, W.J.; Letarte, M.; O’Brien, E. Endoglin Is Overexpressed after Arterial Injury and Is Required for Transforming Growth Factor-Beta-Induced Inhibition of Smooth Muscle Cell Migration. Arter. Thromb. Vasc. Biol. 2000, 20, 2546–2552. [Google Scholar] [CrossRef] [PubMed]
- Pardali, E.; Ten Dijke, P. TGFβ Signaling and Cardiovascular Diseases. Int. J. Biol. Sci. 2012, 8, 195–213. [Google Scholar] [CrossRef]
- Niu, Z.; Su, G.; Li, T.; Yu, H.; Shen, Y.; Zhang, D.; Liu, X. Vascular Calcification: New Insights into BMP Type I Receptor A. Front. Pharmacol. 2022, 13, 887253. [Google Scholar] [CrossRef] [PubMed]
- Su, Z.; Zong, P.; Chen, J.; Yang, S.; Shen, Y.; Lu, Y.; Yang, C.; Kong, X.; Sheng, Y.; Sun, W. Celastrol Attenuates Arterial and Valvular Calcification via Inhibiting BMP2/Smad1/5 Signalling. J. Cell Mol. Med. 2020, 24, 12476–12490. [Google Scholar] [CrossRef] [PubMed]
- Lee, S.J.; Jeong, J.Y.; Oh, C.J.; Park, S.; Kim, J.-Y.; Kim, H.-J.; Doo Kim, N.; Choi, Y.-K.; Do, J.-Y.; Go, Y.; et al. Pyruvate Dehydrogenase Kinase 4 Promotes Vascular Calcification via SMAD1/5/8 Phosphorylation. Sci. Rep. 2015, 5, 16577. [Google Scholar] [CrossRef]
- Rezaei, H.B.; Kamato, D.; Ansari, G.; Osman, N.; Little, P.J. Cell Biology of Smad2/3 Linker Region Phosphorylation in Vascular Smooth Muscle. Clin. Exp. Pharmacol. Physiol. 2012, 39, 661–667. [Google Scholar] [CrossRef]
- Zhang, X.; Xie, H.; Chang, P.; Zhao, H.; Xia, Y.; Zhang, L.; Guo, X.; Huang, C.; Yan, F.; Hu, L.; et al. Glycoprotein M6B Interacts with TβRI to Activate TGF-β-Smad2/3 Signaling and Promote Smooth Muscle Cell Differentiation. Stem Cells 2019, 37, 190–201. [Google Scholar] [CrossRef]
- Haku, S.; Wakui, H.; Azushima, K.; Haruhara, K.; Kinguchi, S.; Ohki, K.; Uneda, K.; Kobayashi, R.; Matsuda, M.; Yamaji, T.; et al. Early Enhanced Leucine-Rich α-2-Glycoprotein-1 Expression in Glomerular Endothelial Cells of Type 2 Diabetic Nephropathy Model Mice. Biomed. Res. Int. 2018, 2018, 2817045. [Google Scholar] [CrossRef]
- Fu, J.; Wei, C.; Zhang, W.; Schlondorff, D.; Wu, J.; Cai, M.; He, W.; Baron, M.H.; Chuang, P.Y.; Liu, Z. Gene Expression Profiles of Glomerular Endothelial Cells Support Their Role in the Glomerulopathy of Diabetic Mice. Kidney Int. 2018, 94, 326–345. [Google Scholar] [CrossRef]
- Kumagai, S.; Nakayama, H.; Fujimoto, M.; Honda, H.; Serada, S.; Ishibashi-Ueda, H.; Kasai, A.; Obana, M.; Sakata, Y.; Sawa, Y.; et al. Myeloid Cell-Derived LRG Attenuates Adverse Cardiac Remodelling after Myocardial Infarction. Cardiovasc. Res. 2016, 109, 272–282. [Google Scholar] [CrossRef] [PubMed]
- Ma, S.; Wang, Y.; Chen, Y.; Cao, F. The Role of the Autophagy in Myocardial Ischemia/Reperfusion Injury. Biochim. Biophys. Acta. 2015, 1852, 271–276. [Google Scholar] [CrossRef] [PubMed]
- Song, W.; Wang, X. The Role of TGFβ1 and LRG1 in Cardiac Remodelling and Heart Failure. Biophys. Rev. 2015, 7, 91–104. [Google Scholar] [CrossRef]
- Feng, J.; Zhan, J.; Ma, S. LRG1 Promotes Hypoxia-Induced Cardiomyocyte Apoptosis and Autophagy by Regulating Hypoxia-Inducible Factor-1α. Bioengineered 2021, 12, 8897–8907. [Google Scholar] [CrossRef] [PubMed]
- Goettsch, C.; Hutcheson, J.D.; Hagita, S.; Rogers, M.A.; Creager, M.D.; Pham, T.; Choi, J.; Mlynarchik, A.K.; Pieper, B.; Kjolby, M.; et al. A Single Injection of Gain-of-Function Mutant PCSK9 Adeno-Associated Virus Vector Induces Cardiovascular Calcification in Mice with No Genetic Modification. Atherosclerosis 2016, 251, 109–118. [Google Scholar] [CrossRef]
- Sanson, M.; Augé, N.; Vindis, C.; Muller, C.; Bando, Y.; Thiers, J.-C.; Marachet, M.-A.; Zarkovic, K.; Sawa, Y.; Salvayre, R.; et al. Oxidized Low-Density Lipoproteins Trigger Endoplasmic Reticulum Stress in Vascular Cells: Prevention by Oxygen-Regulated Protein 150 Expression. Circ. Res. 2009, 104, 328–336. [Google Scholar] [CrossRef]
- Amaya-Garrido, A.; Brunet, M.; Buffin-Meyer, B.; Piedrafita, A.; Grzesiak, L.; Agbegbo, E.; Del Bello, A.; Ferrandiz, I.; Ardeleanu, S.; Bermudez-Lopez, M.; et al. Calprotectin Is a Contributor to and Potential Therapeutic Target for Vascular Calcification in Chronic Kidney Disease. Sci. Transl. Med. 2023, 15, eabn5939. [Google Scholar] [CrossRef]





Disclaimer/Publisher’s Note: The statements, opinions and data contained in all publications are solely those of the individual author(s) and contributor(s) and not of MDPI and/or the editor(s). MDPI and/or the editor(s) disclaim responsibility for any injury to people or property resulting from any ideas, methods, instructions or products referred to in the content. |
© 2023 by the authors. Licensee MDPI, Basel, Switzerland. This article is an open access article distributed under the terms and conditions of the Creative Commons Attribution (CC BY) license (https://creativecommons.org/licenses/by/4.0/).
Share and Cite
Grzesiak, L.; Amaya-Garrido, A.; Feuillet, G.; Malet, N.; Swiader, A.; Sarthou, M.-K.; Wahart, A.; Ramel, D.; Gayral, S.; Schanstra, J.P.; et al. Leucine-Rich Alpha-2 Glycoprotein 1 Accumulates in Complicated Atherosclerosis and Promotes Calcification. Int. J. Mol. Sci. 2023, 24, 16537. https://doi.org/10.3390/ijms242216537
Grzesiak L, Amaya-Garrido A, Feuillet G, Malet N, Swiader A, Sarthou M-K, Wahart A, Ramel D, Gayral S, Schanstra JP, et al. Leucine-Rich Alpha-2 Glycoprotein 1 Accumulates in Complicated Atherosclerosis and Promotes Calcification. International Journal of Molecular Sciences. 2023; 24(22):16537. https://doi.org/10.3390/ijms242216537
Chicago/Turabian StyleGrzesiak, Lucile, Ana Amaya-Garrido, Guylène Feuillet, Nicole Malet, Audrey Swiader, Marie-Kerguelen Sarthou, Amandine Wahart, Damien Ramel, Stéphanie Gayral, Joost Peter Schanstra, and et al. 2023. "Leucine-Rich Alpha-2 Glycoprotein 1 Accumulates in Complicated Atherosclerosis and Promotes Calcification" International Journal of Molecular Sciences 24, no. 22: 16537. https://doi.org/10.3390/ijms242216537
APA StyleGrzesiak, L., Amaya-Garrido, A., Feuillet, G., Malet, N., Swiader, A., Sarthou, M.-K., Wahart, A., Ramel, D., Gayral, S., Schanstra, J. P., Klein, J., & Laffargue, M. (2023). Leucine-Rich Alpha-2 Glycoprotein 1 Accumulates in Complicated Atherosclerosis and Promotes Calcification. International Journal of Molecular Sciences, 24(22), 16537. https://doi.org/10.3390/ijms242216537

