Comparison of the Effects of Recombinant and Native Prolactin on the Proliferation and Apoptosis of Goose Granulosa Cells
Abstract
:1. Introduction
2. Results
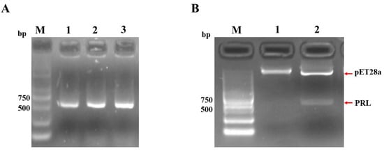
2.1. Amplification of PRL Gene and Construction of Recombinant pET-28a-PRL
2.2. Purification and Identification of Goose Recombinant PRL Protein and Its Antibody
2.3. Purification and Identification of Goose Native PRL Protein
2.4. Effects of rPRL and nPRL on Goose Pre-Hierarchical and Hierarchical Granulosa Cell Viability
2.5. Effects of rPRL and nPRL on Goose Pre-Hierarchical and Hierarchical Granulosa Cell Proliferation
2.6. Effects of rPRL and nPRL on Goose Pre-Hierarchical and Hierarchical Granulosa Cell Apoptosis
2.7. Effects of rPRL and nPRL on the Expression of Several Key Genes Involved in Cell Apoptosis in Goose Pre-Hierarchical and Hierarchical Granulosa Cells
3. Discussion
4. Materials and Methods
4.1. Ethics Statement
4.2. Birds and Tissue Collection
4.3. Construction of the Goose Recombinant pET28a-PRL
4.4. Prokaryotic Expression and Purification of the Goose Recombinant PRL (rPRL) Protein
4.5. Preparation and Purification of Polyclonal Antibodies against the rPRL Protein
4.6. Preparation of the Immunoaffinity Chromatography (IAC) Column and Purification of the Goose Native PRL (nPRL) Protein
4.7. Cell Culture and Treatment
4.8. Cell Viability Assay
4.9. EdU and Hoechst 33,342 Staining Assay
4.10. Annexin V-FITC/PI Double Staining in the Detection of Apoptosis by Flow Cytometry
4.11. Quantitative Real-Time PCR
4.12. Statistical Analysis
5. Conclusions
Supplementary Materials
Author Contributions
Funding
Institutional Review Board Statement
Informed Consent Statement
Data Availability Statement
Conflicts of Interest
References
- Deng, Y.; Gan, X.; Chen, D.; Huang, H.L.; Yuan, J.S.; Qiu, J.M.; Hu, S.Q.; Hu, J.W.; Wang, J.W. Comparison of growth characteristics of in vitro cultured granulosa cells from geese follicles at different developmental stages. Biosci. Rep. 2018, 38, BSR20171361. [Google Scholar] [CrossRef] [PubMed]
- Zhu, G.; Fang, C.; Li, J.; Mo, C.; Wang, Y.; Li, J. Transcriptomic Diversification of Granulosa Cells during Follicular Development in Chicken. Sci. Rep. 2019, 9, 5462. [Google Scholar] [CrossRef] [PubMed]
- Johnson, A.L.; Woods, D.C. Dynamics of avian ovarian follicle development: Cellular mechanisms of granulosa cell differentiation. Gen. Comp. Endocrinol. 2009, 163, 12–17. [Google Scholar] [CrossRef]
- Johnson, A.P.; Stephens, S.C.; Giles, R.J. The domestic chicken: Causes and consequences of an egg a day. Poult. Sci. 2015, 94, 816–820. [Google Scholar] [CrossRef] [PubMed]
- El Halawani, M.E.; Rozenboim, I. The Ontogeny and Control of Incubation Behavior in Turkeys. Poult. Sci. 1993, 72, 906–911. [Google Scholar] [CrossRef]
- Li, W.L.; Liu, Y.; Yu, Y.C.; Huang, Y.M.; Liang, S.D.; Shi, Z.D. Prolactin plays a stimulatory role in ovarian follicular development and egg laying in chicken hens. Domest. Anim. Endocrinol. 2011, 41, 57–66. [Google Scholar] [CrossRef] [PubMed]
- Sharp, P.; Dawson, A.; Lea, R. Control of luteinizing hormone and prolactin secretion in birds. Comp. Biochem. Physiol. Part C Pharmacol. Toxicol. Endocrinol. 1998, 119, 275–282. [Google Scholar] [CrossRef]
- Sinha, Y. Structural variants of prolactin: Occurrence and physiological significance. Endocr. Rev. 1995, 16, 354–369. [Google Scholar] [CrossRef]
- Sharp, P.; Blache, D. A neuroendocrine model for prolactin as the key mediator of seasonal breeding in birds under long- and short-day photoperiods. Can. J. Physiol. Pharmacol. 2003, 81, 350–358. [Google Scholar] [CrossRef]
- Crisóstomo, S.; Guémené, D.; Garreau-Mills, M.; Morvan, C.; Zadworny, D. Prevention of incubation behavior expression in turkey hens by active immunization against prolactin. Theriogenology 1998, 50, 675–690. [Google Scholar] [CrossRef]
- March, J.; Sharp, P.; Wilson, P.; Sang, H. Effect of active immunization against recombinant-derived chicken prolactin fusion protein on the onset of broodiness and photoinduced egg laying in bantam hens. J. Reprod. Fertil. Steril. 1994, 101, 227–233. [Google Scholar] [CrossRef] [PubMed]
- Crisóstomo, S.; Guémené, D.; Garreau-Mills, M.; Zadworny, D. Prevention of the expression of incubation behaviour using passive immunisation against prolactin in turkey hens (Meleagris gallopavo). Gen. Reprod. Nutr. Dev. 1997, 37, 253–266. [Google Scholar] [CrossRef]
- Bédécarrats, G.Y.; Baxter, M.; Sparling, B. An updated model to describe the neuroendocrine control of reproduction in chickens. Gen. Comp. Endocrinol. 2016, 227, 58–63. [Google Scholar] [CrossRef] [PubMed]
- Hrabia, A.; Paczoska-Eliasiewicz, H.; Rzasa, J. Effect of prolactin on estradiol and progesterone secretion by isolated chicken ovarian follicles. Folia Biol. 2004, 52, 197–203. [Google Scholar] [CrossRef]
- Hu, S.; Zadworny, D. Effects of nonglycosylated and glycosylated prolactin on basal and gonadotropin-stimulated steroidogenesis in chicken ovarian follicles. Domest. Anim. Endocrinol. 2017, 61, 27–38. [Google Scholar] [CrossRef]
- Kiapekou, E.; Loutradis, D.; Mastorakos, G.; Bletsa, R.; Beretsos, P.; Zapanti, E.; Drakakis, P.; Antsaklis, A.; Kiessling, A. Effect of PRL on in vitro follicle growth, in vitro oocyte maturation, fertilization and early embryonic development in mice. Cloning Stem Cells 2009, 11, 293–300. [Google Scholar] [CrossRef] [PubMed]
- Kelly, P.A.; Binart, N.; Lucas, B.; Bouchard, B.; Goffin, V. Implications of multiple phenotypes observed in prolactin receptor knockout mice. Front. Neuroendocrinol. 2001, 22, 140–145. [Google Scholar] [CrossRef]
- Bachelot, A.; Beaufaron, J.; Servel, N.; Kedzia, C.; Monget, P.; Kelly, P.A.; Gibori, G.; Binart, N. Prolactin independent rescue of mouse corpus luteum life span: Identification of prolactin and luteinizing hormone target genes. AJP Endocrinol. Metab. 2009, 297, E676–E684. [Google Scholar] [CrossRef] [PubMed]
- Shi, Z.; Tian, Y.; Wu, W.; Wang, Z. Controlling reproductive seasonality in the geese: A review. World’s Poult. Sci. J. 2008, 64, 343–355. [Google Scholar] [CrossRef]
- Huang, Y.M.; Shi, Z.D.; Liu, Z.; Liu, Y.; Li, X.W. Endocrine regulations of reproductive seasonality, follicular development and incubation in Magang geese. Anim. Reprod. Sci. 2008, 104, 344–358. [Google Scholar] [CrossRef]
- Yang, H.M.; Wang, Y.; Wang, Z.Y.; Wang, X.X. Seasonal and photoperiodic regulation of reproductive hormones and related genes in Yangzhou geese. Poult. Sci. 2016, 96, 486–490. [Google Scholar] [CrossRef]
- Yao, Y.; Yang, Y.Z.; Gu, T.T.; Cao, Z.F.; Chen, G.H. Comparison of the broody behavior characteristics of different breeds of geese. Poult. Sci. 2019, 98, 5226–5233. [Google Scholar] [CrossRef] [PubMed]
- Chen, R.; Guo, R.; Zhu, H.; Shi, Z. Development of a sandwich ELISA for determining plasma prolactin concentration in domestic birds. Domest. Anim. Endocrinol. 2019, 67, 21–27. [Google Scholar] [CrossRef]
- Zhao, W.; Yuan, T.; Fu, Y.; Niu, D.; Lu, L. Seasonal differences in the transcriptome profile of the Zhedong white goose (Anser cygnoides) pituitary gland. Poult. Sci. 2020, 100, 1154–1166. [Google Scholar] [CrossRef]
- Zadworny, D.; Kansaku, N.; Bedecarrats, G.; Guemene, D.; Kuhnlein, U. Prolactin and its receptor in galliformes. Avian Poult. Biol. Rev. 2002, 13, 223–229. [Google Scholar] [CrossRef]
- Tabibzadeh, C.; Rozenboim, I.; Silsby, J.; Pitts, G.; Foster, D.; el Halawani, M. Modulation of ovarian cytochrome P450 17 alpha-hydroxylase and cytochrome aromatase messenger ribonucleic acid by prolactin in the domestic turkey. Biol. Reprod. 1995, 52, 600–608. [Google Scholar] [CrossRef] [PubMed]
- Zhang, Y.; Chen, Z.; An, C.; Weng, K.; Cao, Z.; Xu, Q.; Chen, G. Effect of active immunization with recombinant-derived goose INH-α, AMH, and PRL fusion protein on broodiness onset and egg production in geese (Anser cygnoides). Poult. Sci. 2021, 100, 101452. [Google Scholar] [CrossRef] [PubMed]
- Hu, S.; Li, L.; Ren, X.; Qing, E.; Deng, D.; He, H.; Li, L.; Wang, J. Evidence for the Existence of Two Prolactin Isoforms in the Developing Pituitary Gland of the Goose (Anser cygnoides). Folia Biol. 2022, 70, 1–10. [Google Scholar] [CrossRef]
- Basini, G.; Baioni, L.; Bussolati, S.; Grolli, S.; Grasselli, F. Prolactin is a potential physiological modulator of swine ovarian follicle function. Regul. Pept. 2014, 189, 22–30. [Google Scholar] [CrossRef]
- Dusza, L. Effect of prolactin on ovarian steroidogenesis. J. Acta Physiol. Pol. 1989, 40, 74–84. [Google Scholar]
- Ocłoń, E.; Leśniak-Walentyn, A.; Solomon, G.; Shpilman, M.; Hrabia, A.; Gertler, A. Comparison of in vitro bioactivity of chicken prolactin and mammalian lactogenic hormones. Gen. Comp. Endocrinol. 2017, 240, 27–34. [Google Scholar] [CrossRef] [PubMed]
- Hiyama, G.; Kansaku, N.; Kinoshita, M.; Sasanami, T.; Nakamura, A.; Noda, K.; Tsukada, A.; Shimada, K.; Zadworny, D. Changes in post-translational modifications of prolactin during development and reproductive cycles in the chicken. Gen. Comp. Endocrinol. 2009, 161, 238–245. [Google Scholar] [CrossRef] [PubMed]
- Yang, R.; Zhang, S.; Duan, C.; Guo, Y.; Shan, X.; Zhang, X.; Yue, S.; Zhang, Y.; Liu, Y. Effect of prolactin on cytotoxicity and oxidative stress in ovine ovarian granulosa cells. PeerJ 2023, 11, e15629. [Google Scholar] [CrossRef] [PubMed]
- Yang, R.; Duan, C.; Zhang, S.; Guo, Y.; Shan, X.; Chen, M.; Yue, S.; Zhang, Y.; Liu, Y. High Prolactin Concentration Induces Ovarian Granulosa Cell Oxidative Stress, Leading to Apoptosis Mediated by and L-PRLR and S-PRLR. Int. J. Mol. Sci. 2023, 24, 14407. [Google Scholar] [CrossRef]
- Macotela, Y.; Triebel, J.; Clapp, C. Time for a New Perspective on Prolactin in Metabolism. Trends Endocrinol. Metab. 2020, 31, 276–286. [Google Scholar] [CrossRef]
- Glintborg, D.; Altinok, M.; Mumm, H.; Buch, K.; Ravn, P.; Andersen, M. Prolactin is associated with metabolic risk and cortisol in 1007 women with polycystic ovary syndrome. Hum. Reprod. 2014, 29, 1773–1779. [Google Scholar] [CrossRef] [PubMed]
- Ruiz-Herrera, X.; de Los Ríos, E.A.; Díaz, J.M.; Lerma-Alvarado, R.M.; Martínez de la Escalera, L.; López-Barrera, F.; Lemini, M.; Arnold, E.; de la Escalera, G.M.; Clapp, C.; et al. Prolactin Promotes Adipose Tissue Fitness and Insulin Sensitivity in Obese Males. Endocrinology 2017, 158, 56–68. [Google Scholar] [CrossRef]
- Park, S.; Kim, D.; Daily, J.; Kim, S. Serum prolactin concentrations determine whether they improve or impair β-cell function and insulin sensitivity in diabetic rats. Diabetes Metab. Res. Rev. 2011, 27, 564–574. [Google Scholar] [CrossRef]
- Tseng, L.; Mazella, J. Prolactin and its receptor in human endometrium. Semin. Reprod. Endocrinol. 1999, 17, 23–27. [Google Scholar] [CrossRef]
- Kuwana, T.; Bouchier-Hayes, L.; Chipuk, J.; Bonzon, C.; Sullivan, B.; Green, D.; Newmeyer, D. BH3 domains of BH3-only proteins differentially regulate Bax-mediated mitochondrial membrane permeabilization both directly and indirectly. Mol. Cell. Endocrinol. 2005, 17, 525–535. [Google Scholar] [CrossRef]
- Lavrik, I.; Golks, A.; Krammer, P. Death receptor signaling. J. Cell Sci. 2005, 118, 265–267. [Google Scholar] [CrossRef]
- Kumar, S.; Dorstyn, L.; Lim, Y. The role of caspases as executioners of apoptosis. Biochem. Soc. Trans. 2022, 50, 33–45. [Google Scholar] [CrossRef] [PubMed]
- Yang, R.; Duan, C.; Zhang, S.; Liu, Y.; Zhang, Y. Prolactin Regulates Ovine Ovarian Granulosa Cell Apoptosis by Affecting the Expression of MAPK12 Gene. Int. J. Mol. Sci. 2023, 24, 10269. [Google Scholar] [CrossRef]
- Marquez, R.T.; Xu, L. Bcl-2:Beclin 1 complex: Multiple, mechanisms regulating autophagy/apoptosis toggle switch. Am. J. Cancer Res. 2012, 2, 214. [Google Scholar] [PubMed]
- Choi, J.; Jo, M.; Lee, E.; Choi, D. AKT is involved in granulosa cell autophagy regulation via mTOR signaling during rat follicular development and atresia. Reproduction 2014, 147, 73–80. [Google Scholar] [CrossRef]
- Gaytán, M.; Morales, C.; Sánchez-Criado, J.; Gaytán, F. Immunolocalization of beclin 1, a bcl-2-binding, autophagy-related protein, in the human ovary: Possible relation to life span of corpus luteum. Cell Tissue Res. 2008, 331, 509–517. [Google Scholar] [CrossRef] [PubMed]
- Shao, T.; Ke, H.; Liu, R.; Xu, L.; Han, S.; Zhang, X.; Dang, Y.; Jiao, X.; Li, W.; Chen, Z.; et al. Autophagy regulates differentiation of ovarian granulosa cells through degradation of WT1. Autophagy 2022, 18, 1864–1878. [Google Scholar] [CrossRef] [PubMed]
- Schmittgen, T.D. Analyzing real-time PCR data by the comparative CT method. Nat. Protoc. 2008, 3, 1101–1108. [Google Scholar] [CrossRef]







| Gene | Forward Primer (5′–3′) | Reversed Primer (5′–3′) | Tm (°C) | Product Length (bp) |
|---|---|---|---|---|
| Bcl2 | CCTTCGTGGAGTTGTATGGCA | CCACCAGAACCAAACTCAGGATA | 60 | 100 |
| Caspase3 | CTGGTATTGAGGCAGACAGTGG | CAGCACCCTACACAGAGACTGAA | 60 | 158 |
| Fas | CACTCCCACAAGTCAAG | AGTAGGGTTCCATAGGC | 60 | 163 |
| Becn1 | CGCTGTGCCAGATGTGGAAGG | CAGAAGGAATACTGCGAGTTCAAGA | 60 | 151 |
| GAPDH | GCTGATGCTCCCATGTTCGTGAT | GTGGTGCAAGAGGCATTGCTGAC | 60 | 86 |
| β-Actin | CAACGAGCGGTTCAGGTGT | TGGAGTTGAAGGTGGTCTCG | 60 | 92 |
Disclaimer/Publisher’s Note: The statements, opinions and data contained in all publications are solely those of the individual author(s) and contributor(s) and not of MDPI and/or the editor(s). MDPI and/or the editor(s) disclaim responsibility for any injury to people or property resulting from any ideas, methods, instructions or products referred to in the content. |
© 2023 by the authors. Licensee MDPI, Basel, Switzerland. This article is an open access article distributed under the terms and conditions of the Creative Commons Attribution (CC BY) license (https://creativecommons.org/licenses/by/4.0/).
Share and Cite
Deng, D.; Li, W.; Li, X.; Yuan, X.; Li, L.; Wang, J.; Han, C.; Hu, S. Comparison of the Effects of Recombinant and Native Prolactin on the Proliferation and Apoptosis of Goose Granulosa Cells. Int. J. Mol. Sci. 2023, 24, 16376. https://doi.org/10.3390/ijms242216376
Deng D, Li W, Li X, Yuan X, Li L, Wang J, Han C, Hu S. Comparison of the Effects of Recombinant and Native Prolactin on the Proliferation and Apoptosis of Goose Granulosa Cells. International Journal of Molecular Sciences. 2023; 24(22):16376. https://doi.org/10.3390/ijms242216376
Chicago/Turabian StyleDeng, Donghang, Wen Li, Xiaopeng Li, Xin Yuan, Liang Li, Jiwen Wang, Chunchun Han, and Shenqiang Hu. 2023. "Comparison of the Effects of Recombinant and Native Prolactin on the Proliferation and Apoptosis of Goose Granulosa Cells" International Journal of Molecular Sciences 24, no. 22: 16376. https://doi.org/10.3390/ijms242216376
APA StyleDeng, D., Li, W., Li, X., Yuan, X., Li, L., Wang, J., Han, C., & Hu, S. (2023). Comparison of the Effects of Recombinant and Native Prolactin on the Proliferation and Apoptosis of Goose Granulosa Cells. International Journal of Molecular Sciences, 24(22), 16376. https://doi.org/10.3390/ijms242216376

