The Value of ER∝ in the Prognosis of GH- and PRL-Secreting PitNETs: Clinicopathological Correlations
Abstract
1. Introduction
1.1. Estrogen Receptors Expression and the Pituitary Gland
1.2. ER∝ as a Prognosis Factor
2. Results
2.1. Patient Characteristics
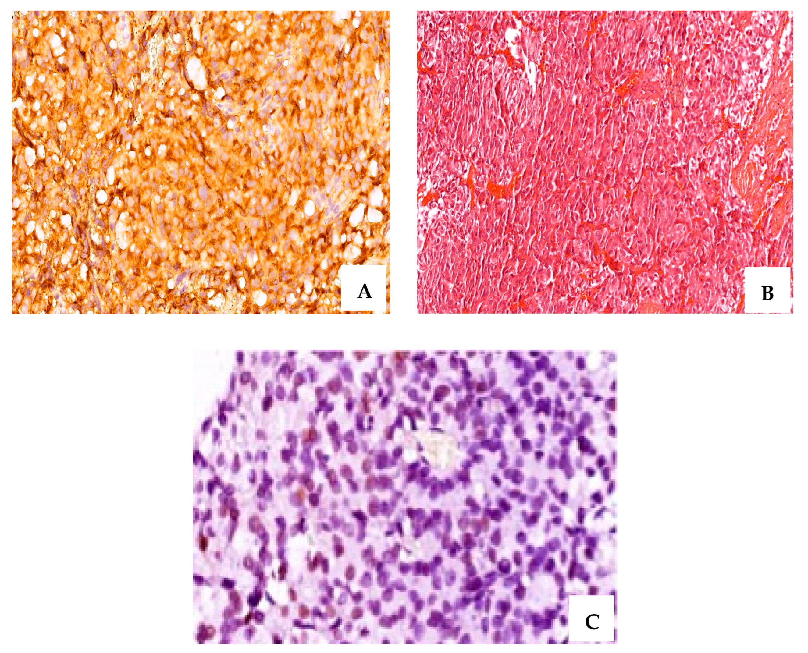
2.2. Histopathological Examination
2.3. Immunohistochemistry Evaluation
2.4. Sex-Related Differences
2.5. Factors Correlated with ER∝ Expression
2.6. Predictors of Remission
3. Discussion
4. Materials and Methods
4.1. Histopathological Exam
4.2. Immunohistochemical Staining
4.3. Scoring of Immunohistochemical Stains
4.4. Data Analysis
5. Conclusions
Author Contributions
Funding
Institutional Review Board Statement
Informed Consent Statement
Data Availability Statement
Acknowledgments
Conflicts of Interest
References
- Chanson, P.; Maiter, D. The epidemiology, diagnosis and treatment of Prolactinomas: The old and the new. Best Pract. Res. Clin. Endocrinol. Metab. 2019, 33, 1012–1090. [Google Scholar] [CrossRef] [PubMed]
- Besser, M. Criteria for medical as opposed to surgical treatment of prolactinomas. Acta Endocrinol. 1993, 129, 27–30. [Google Scholar]
- Moraes, A.B.; Silva, C.M.; Vieira Neto, L.; Gadelha, M.R. Giant prolactinomas: The therapeutic approach. Clin. Endocrinol. 2013, 79, 447–456. [Google Scholar] [CrossRef] [PubMed]
- Cozzi, R.; Auriemma, R.S.; De Menis, E.; Esposito, F.; Ferrante, E.; Iatì, G.; Mazzatenta, D.; Poggi, M.; Rudà, R.; Tortora, F.; et al. Italian Guidelines for the Management of Prolactinomas. Endocr. Metab. Immune Disord. Drug Targets 2023, 23, 1459–1479. [Google Scholar] [CrossRef] [PubMed]
- Jiang, Y.; Yin, S.; Hu, Y.; Chen, C.; Ma, W.; Jiang, S.; Zhou, P. Mammosomatotroph and mixed somatotroph-lactotroph adenoma in acromegaly: A retrospective study with long-term follow-up. Endocrine 2019, 66, 310–318. [Google Scholar]
- Manoranjan, B.; Salehi, F.; Scheithauer, B.W.; Rotondo, F.; Kovacs, K.; Cusimano, M.D. Estrogen receptors alpha and beta immunohistochemical expression: Clinicopathological correlations in pituitary adenomas. Anticancer Res. 2010, 30, 2897–2904. [Google Scholar]
- Šošić-Jurjević, B.; Ajdžanović, V.; Miljić, D.; Trifunović, S.; Filipović, B.; Stanković, S.; Bolevich, S.; Jakovljević, V.; Milošević, V. Pituitary Hyperplasia, Hormonal Changes and Prolactinoma Development in Males Exposed to Estrogens—An Insight from Translational Studies. Int. J. Mol. Sci. 2020, 21, 2024. [Google Scholar] [CrossRef]
- Wierinckx, A.; Delgrange, E.; Bertolino, P.; François, P.; Chanson, P.; Jouanneau, E.; Lachuer, J.; Trouillas, J.; Raverot, G. Sex-Related Differences in Lactotroph Tumor Aggressiveness Are Associated with a Specific Gene-Expression Signature and Genome Instability. Front. Endocrinol. 2018, 9, 706. [Google Scholar] [CrossRef]
- Heaney, A.P.; Fernando, M.; Melmed, S. Functional role of estrogen in pituitary tumor pathogenesis. J. Clin. Investig. 2002, 109, 277–283. [Google Scholar] [CrossRef]
- Haydar Ali Tajuddin, A.; Kamaruddin, N.; Sukor, N.; Azizan, E.A.; Omar, A.M. Estrogen Receptors in Nonfunctioning Pituitary Neuroendocrine Tumors: Review on Expression and Gonadotroph Functions. J. Endocr. Soc. 2020, 12. [Google Scholar] [CrossRef]
- Bima, C.; Chiloiro, S.; Giampietro, A.; Gessi, M.; Mattogno, P.P.; Lauretti, L.; Anile, C.; Rindi, G.; Pontecorvi, A.; De Marinis, L.; et al. Galectin-3 and Estrogen Receptor Alpha as Prognostic Markers in Prolactinoma: Preliminary Results from a Pilot Study. Front. Endocrinol. 2021, 12, 684055. [Google Scholar] [CrossRef] [PubMed]
- Larkin, S.; Ansorge, O. Pathology and Pathogenesis of Pituitary Adenomas and Other Sellar Lesions. In Endotext; Feingold, K.R., Anawalt, B., Blackman, M.R., Boyce, A., Chrousos, G., Corpas, E., de Herder, W.W., Dhatariya, K., Dungan, K., Hofland, J., et al., Eds.; MDText.com, Inc.: South Dartmouth, MA, USA, 2000. [Google Scholar]
- Melmed, S.; Bronstein, M.D.; Chanson, P.; Klibanski, A.; Casanueva, F.F.; Wass, J.A.H.; Strasburger, C.J.; Luger, A.; Clemmons, D.R.; Giustina, A. A Consensus Statement on acromegaly therapeutic outcomes. Nat. Rev. Endocrinol. 2018, 14, 552–556. [Google Scholar] [CrossRef] [PubMed]
- Zandbergen, I.M.; Zamanipoor Najafabadi, A.H.; Pelsma, I.C.M.; van den Akker-van Marle, M.E.; Bisschop, P.H.L.T.; Boogaarts, H.D.J.; van Bon, A.C.; Burhani, B.; le Cessie, S.; Dekkers, O.M.; et al. The PRolaCT studies—A study protocol for a combined randomised clinical trial and observational cohort study design in prolactinoma. Trials 2021, 1, 653. [Google Scholar] [CrossRef]
- Klein, M.; Vignaud, J.M.; Hennequin, V.; Toussaint, B.; Bresler, L.; Plénat, F.; Leclère, J.; Duprez, A.; Weryha, G. Increased expression of the vascular endothelial growth factor is a pejorative prognosis marker in papillary thyroid carcinoma. J. Clin. Endocrinol. Metab. 2001, 86, 656–658. [Google Scholar] [CrossRef] [PubMed]
- Katznelson, L.; Laws, E.R., Jr.; Melmed, S.; Molitch, M.E.; Murad, M.H.; Utz, A.; Wass, J.A.; Endocrine Society. Acromegaly: An endocrine society clinical practice guideline. J. Clin. Endocrinol. Metab. 2014, 11, 3933–3951. [Google Scholar] [CrossRef] [PubMed]
- Melmed, S.; Casanueva, F.F.; Hoffman, A.R.; Kleinberg, D.L.; Montori, V.M.; Schlechte, J.A.; Wass, J.A.; Endocrine Society. Diagnosis and treatment of hyperprolactinemia: An Endocrine Society clinical practice guideline. J. Clin. Endocrinol. Metab. 2011, 2, 273–288. [Google Scholar] [CrossRef] [PubMed]
- Trouillas, J.; Delgrange, E.; Wierinckx, A.; Vasiljevic, A.; Jouanneau, E.; Burman, P.; Raverot, G. Clinical, Pathological, and Molecular Factors of Aggressiveness in Lactotroph Tumours. Neuroendocrinology 2019, 1, 70–76. [Google Scholar] [CrossRef] [PubMed]
- Delgrange, E.; Vasiljevic, A.; Wierinckx, A.; François, P.; Jouanneau, E.; Raverot, G.; Trouillas, J. Expression of estrogen receptor alpha is associated with prolactin pituitary tumor prognosis and supports the sex-related difference in tumor growth. Eur. J. Endocrinol. 2015, 172, 791–801. [Google Scholar] [CrossRef]
- Delgrange, E.; Raverot, G.; Bex, M.; Burman, P.; Decoudier, B.; Devuyst, F.; Feldt-Rasmussen, U.; Andersen, M.; Maiter, D. Giant prolactinomas in women. Eur. J. Endocrinol. 2013, 1, 31–38. [Google Scholar] [CrossRef] [PubMed]
- Shimon, I.; Sosa, E.; Mendoza, V.; Greenman, Y.; Tirosh, A.; Espinosa, E.; Popovic, V.; Glezer, A.; Bronstein, M.D.; Mercado, M. Giant prolactinomas larger than 60 mm in size: A cohort of massive and aggressive prolactin-secreting pituitary adenomas. Pituitary 2016, 4, 429–436. [Google Scholar] [CrossRef]
- Kreutz, J.; Vroonen, L.; Cattin, F.; Petrossians, P.; Thiry, A.; Rostomyan, L.; Tshibanda, L.; Beckers, A.; Bonneville, J.F. Intensity of prolactinoma on T2-weighted magnetic resonance imaging: Towards another gender difference. Neuroradiology 2015, 7, 679–684. [Google Scholar] [CrossRef] [PubMed]
- Raverot, G.; Wierinckx, A.; Dantony, E.; Auger, C.; Chapas, G.; Villeneuve, L.; Brue, T.; Figarella-Branger, D.; Roy, P.; Jouanneau, E.; et al. Prognostic factors in prolactin pituitary tumors: Clinical, histological, and molecular data from a series of 94 patients with a long postoperative follow-up. J. Clin. Endocrinol. Metab. 2010, 4, 1708–1816. [Google Scholar] [CrossRef] [PubMed]
- Roche, M.; Wierinckx, A.; Croze, S.; Rey, C.; Legras-Lachuer, C.; Morel, A.P.; Fusco, A.; Raverot, G.; Trouillas, J.; Lachuer, J. Deregulation of miR-183 and KIAA0101 in Aggressive and Malignant Pituitary Tumors. Front. Med. 2015, 2, 54. [Google Scholar] [CrossRef] [PubMed]
- Bazuhair, T.; Aleid, B.; Almalki, M. Effect of Tamoxifen on the Management of Dopamine Agonist-Resistant Prolactinomas: A Systematic Review. Cureus. 2023, 15, e35171. [Google Scholar] [CrossRef] [PubMed]
- Gürlek, A.; Karavitaki, N.; Ansorge, O.; Wass, J.A. What are the markers of aggressiveness in prolactinomas? Changes in cell biology, extracellular matrix components, angiogenesis and genetics. Eur. J. Endocrinol. 2007, 2, 143–153. [Google Scholar] [CrossRef][Green Version]
- Kansra, S.; Yamagata, S.; Sneade, L.; Foster, L.; Ben-Jonathan, N. Differential effects of estrogen receptor antagonists on pituitary lactotroph proliferation and prolactin release. Mol. Cell. Endocrinol. 2005, 1–2, 27–36. [Google Scholar] [CrossRef] [PubMed]
- Shupnik, M.A. Oestrogen receptors, receptor variants and oestrogen actions in the hypothalamic-pituitary axis. J. Neuroendocrinol. 2002, 2, 85–94. [Google Scholar] [CrossRef]
- Hulting, A.L.; Werner, S.; Hagenfeldt, K. Oral contraceptive steroids do not promote the development or growth of prolactinomas. Contraception 1983, 1, 69–73. [Google Scholar] [CrossRef]
- Delgrange, E.; Sassolas, G.; Perrin, G.; Jan, M.; Trouillas, J. Clinical and histological correlations in prolactinomas, with special reference to bromocriptine resistance. Acta Neurochir. 2005, 7, 751–757. [Google Scholar] [CrossRef]
- Orrego, J.J.; Chandler, W.F.; Barkan, A.L. Rapid re-expansion of a macroprolactinoma after early discontinuation of bromocriptine. Pituitary 2000, 3, 189–192. [Google Scholar] [CrossRef] [PubMed]
- Jaquet, P.; Ouafik, L.; Saveanu, A.; Gunz, G.; Fina, F.; Dufour, H.; Culler, M.D.; Moreau, J.P.; Enjalbert, A. Quantitative and functional expression of somatostatin receptor subtypes in human prolactinomas. J. Clin. Endocrinol. Metab. 1999, 9, 3268–3276. [Google Scholar] [CrossRef]
- Fusco, A.; Gunz, G.; Jaquet, P.; Dufour, H.; Germanetti, A.L.; Culler, M.D.; Barlier, A.; Saveanu, A. Somatostatinergic ligands in dopamine-sensitive and -resistant prolactinomas. Eur. J. Endocrinol. 2008, 5, 595–603. [Google Scholar] [CrossRef] [PubMed]
- Ozturk, S.; Donmez-Altuntas, H.; Ozturk, F.; Kurtsoy, A.; Gokay, F.; Simsek, Y.; Bayram, F. The significance of estrogen receptors in acromegaly: Are they useful as predictors of prognosis and therapy regimen? Growth Horm. IGF Res. 2020, 55, 101337. [Google Scholar] [CrossRef] [PubMed]
- McKevitt, C.; Gabriel, E.; Marenco-Hillembrand, L.; Otamendi-Lopez, A.; Jeevaratnam, S.; Almeida, J.P.; Samson, S.; Chaichana, K.L. Supervised machine learning to validate a novel scoring system for the prediction of disease remission of functional pituitary adenomas following transsphenoidal surgery. Sci Rep. 2023, 13, 15409. [Google Scholar] [CrossRef]
- Pollak, M.N.; Huynh, H.T.; Lefebvre, S.P. Tamoxifen reduces serum insulin-like growth factor I (IGF-I). Breast Cancer Res. Treat. 1992, 22, 91–100. [Google Scholar] [CrossRef]
- Shimon, I.; Barkan, A. Estrogen treatment for acromegaly. Pituitary 2012, 15, 601–607. [Google Scholar] [CrossRef]
- Pereira-Lima, J.F.; Marroni, C.P.; Pizarro, C.B.; Barbosa-Coutinho, L.M.; Ferreira, N.P.; Oliveira, M.C. Immunohistochemical detection of estrogen receptor alpha in pituitary adenomas and its correlation with cellular replication. Neuroendocrinology 2004, 3, 119–124. [Google Scholar] [CrossRef]
- Pappy, A.L.; Savinkina, A.; Bicknese, C.; Neill, S.; Oyesiku, N.M.; Ioachimescu, A.G. Predictive modeling for pituitary adenomas: Single center experience in 501 consecutive patients. Pituitary 2019, 22, 520–531. [Google Scholar] [CrossRef]
- Chen, Y.; Cai, F.; Cao, J.; Gao, F.; Lv, Y.; Tang, Y.; Zhang, A.; Yan, W.; Wang, Y.; Hu, X.; et al. Analysis of Related Factors of Tumor Recurrence or Progression After Transnasal Sphenoidal Surgical Treatment of Large and Giant Pituitary Adenomas and Establish a Nomogram to Predict Tumor Prognosis. Front. Endocrinol. 2021, 12, 793337. [Google Scholar] [CrossRef]
- Monsalves, E.; Larjani, S.; Godoy, B.L.; Juraschka, K.; Carvalho, F.; Kucharczyk, W.; Kulkarni, A.; Mete, O.; Gentili, F.; Ezzat, S.; et al. Growth Patterns of Pituitary Adenomas and Histopathological Correlates. J. Clin. Endocrinol. Metab. 2014, 99, 1330–1338. [Google Scholar] [CrossRef]
- Kim, J.S.; Lee, Y.S.; Jung, M.J.; Hong, Y.K. The Predictive Value of Pathologic Features in Pituitary Adenoma and Correlation with Pituitary Adenoma Recurrence. J. Pathol. Transl. Med. 2016, 6, 419–425. [Google Scholar] [CrossRef] [PubMed]
- Asa, S.L.; Mete, O.; Perry, A.; Osamura, R.Y. Overview of the 2022 WHO Classification of Pituitary Tumors. Endocr. Pathol. 2022, 33, 6–26. [Google Scholar] [CrossRef] [PubMed]






| Distribution, n (%) | |
|---|---|
| Age at diagnosis (years) * | 45.9 ± 12.8 |
| Women, n (%) | 23 (68.8%) |
| Men, n (%) | 9 (28.2%) |
| Biochemical diagnosis | |
| PRL-hypersecretion | 5 (15.6%) |
| GH-hypersecretion | 20 (62.5%) |
| GH- & PRL-hypersecretion | 7 (21.8%) |
| PRL level at diagnosis, (ng/dL) | 1187.5 ± 3111.6 |
| IGF1 level at diagnosis, (×ULN) | 3.1 ± 1.5 |
| GH level at diagnosis (ng/mL) | 17.4 ± 21.4 |
| Tumor dimensions | |
| Maximal tumor diameter at diagnosis (mm) | 23.9 ± 14.5 |
| Microadenoma, n (%) | 16 (50%) |
| Macroadenoma, n (%) | 11 (34.3%) |
| Giant adenomas, n (%) | 5 (15.6%) |
| Knosp Grade | |
| 0, n (%) | 11 (34.3%) |
| 1, n (%) | 5 (15.6%) |
| 2, n (%) | 8 (25%) |
| 3, n (%) | 5 (15.6%) |
| 4, n (%) | 3 (9.3%) |
| Pre-operative pituitary insufficiency, n (%) | 15 (46.8%) |
| Apoplexy, n (%) | 2 (6.2%) |
| Pre-surgical treatment | |
| Medication | 5 (15.6%) |
| Radiotherapy | 0 |
| Follow-up | |
| Duration (years) * | 5.4 ± 3.6 |
| Surgical cure, n (%) | 4 (12.5%) |
| DA resistance, n (%) | 3 (9.3%) |
| Radiotherapy, n (%) | 4 (12.5%) |
| Tumor progression, n (%) | 4 (12.5%) |
| Postoperative PRL level, (ng/dL) | 386.5 ± 1514.8 |
| Postoperative IGF1 level (×ULN) | 2 ± 1.3 |
| Postoperative GH level (ng/mL) | 5 ± 12 |
| Post-surgical medical treatment, n (%) | 23 (71.8%) |
| Post-surgical radiotherapy, n (%) | 4 (12.5%) |
| Remission of disease, n (%) | 6 (18.7%) |
| Control under medical treatment, n (%) | 30 (93.7%) |
| Ki-67 labeling index | 3.1± 0.5 |
| ER∝ | 0.94 ± 1.3 |
| Categories | Distribution |
|---|---|
| Tinctoriality, n (%) | |
| Acidophil | 16 (50%) |
| Cromophobe | 5 (15.6%) |
| Mixed | 11 (34.3%) |
| (acidophil and cromophobe) | |
| Pattern, n (%) | |
| Pseudoglandular (acinar) | 2 (6.2%) |
| Papillary | 6 (18.7%) |
| Trabecular | 2 (6.2%) |
| Adenoma Type | CAM 5.2 Expression Pattern | Pituitary Hormones | Number (%) |
|---|---|---|---|
| Somatotroph adenomas | Densely granulated | GH | 2 (6.2%) |
| Sparsely granulated | GH | 4 (12.5%) | |
| Mixed pattern | GH | 2 (6.2%) | |
| Mammosomatotroph adenomas | Densely granulated | GH + PRL | 1 (3.1%) |
| Sparsely granulated | GH + PRL | 2 (6.2%) | |
| Mixed pattern | GH + PRL | 0 | |
| PRL− secreting adenomas | Densely granulated | PRL | 2 (6.2%) |
| IHC | |||
| GH | 17 (53.1%) | ||
| PRL | 24 (75%) | ||
| GH + PRL | 9 (28.1%) | ||
| GH + PRL + FSH/LH | 2 (6.2%) | ||
| GH + PRL + TSH + FSH/LH | 3 (9.3%) | ||
| GH + PRL + ACTH + LH | 1 (3.1%) | ||
| Women | Men | p-Value | |
|---|---|---|---|
| Age (years) * | 49 ± 12.3 | 37.8 ± 11 | 0.01 |
| PRL level at diagnosis, median (ng/dL) | 470.5 ± 1803 | 3069.5 ± 4883.6 | 0.02 |
| IGF1 level at diagnosis, median (xULN) | 3.1 ± 1.5 | 3.2 ± 1.9 | 0.44 |
| Tumor maximal diameter (mm), median, at diagnosis | 19.9 ± 13.3 | 34 ± 13.2 | 0.00 |
| Invasion | |||
| Non-invasive (%) | 13 (56.5%) | 4 (44.4%) | 0.96 |
| Invasive (%) | 10 (43.4%) | 5 (55.5%) | |
| Tumor dimensions | 0.00 | ||
| Microadenoma, n (%) | 7 (21.8%) | 0 | |
| Macroadenoma, n (%) | 16 (50%) | 6 (18.7%) | |
| Giant adenoma, n (%) | 2 (6.2%) | 3 (9.3%) | |
| Ki-67 (%) | 3.1 ± 0.6 | 3.1 ± 0.2 | 0.37 |
| ER∝ (median, immunoreactive score) | 0.8 ± 1.3 | 1.1 ± 1.4 | 0.32 |
| Preoperative treatment | |||
| Medical treatment, n (%) | 1 (3.1%) | 3 (9.3%) | |
| Radiotherapy, n (%) | 0 | 0 | |
| Follow-up | 0.66 | ||
| Surgical cure, n (%) | 4 (17.3%) | 1 (11.1%) | |
| DA resistance, n (%) | 1 (11.1%) | 1 (11.1%) | |
| Post-operative Radiotherapy, n (%) | 1 (11.1%) | 3 (9.3%) | |
| Recurrence, n (%) | 4 (17.3%) | 2 (6.2%) | |
| Post-operative tumor maximal diameter (mm), median | 12.2 ± 11.5 | 18.3 ± 12.2 | 0.10 |
| ER∝ (+) | ER∝ (-) | p | |
|---|---|---|---|
| Women, n (%) Men, n (%) | 8 (25%) | 15 (46.8%) | 0.23 |
| 4 (12.5%) | 5 (15.6%) | ||
| Basal PRL level (ng/dL) | 3299.7 ± 470.6 | 75.8 ± 203.3 | 0.00 |
| Maximal tumor diameter at diagnosis (mm) | 31.3 ± 19.4 | 20 ± 9.7 | 0.03 |
| Invasiveness, n (%) | 7 (21.8%) | 9 (28.1%) | 0.72 |
| Gross Total Resection | 0.07 | ||
| - Yes, n (%) | 0 | 5 (15.6%) | |
| - No, n (%) | 11 (34.3%) | 16 (50%) | |
| Cured | 0 | 2 (6.2%) | 0.29 |
| Ki-67 (%) | 3.4 ± 0.9 | 3 ± 0.1 | 0.07 |
| SSTR 5 (+) | 11 (34.3%) | 21 (66.6%) | 0.98 |
| Maximal Tumor Diameter at Diagnosis | Basal PRL | IGF1 at Diagnosis | Postoperative IGF1 | Postoperative GH | Postoperative PRL | Maximal Postoperative Tumor Diameter | ER∝ (IR) | |
|---|---|---|---|---|---|---|---|---|
| Basal PRL level | 0.75 ** | - | 0.26 | 0.16 | 0.33 | 0.43 * | 0.63 ** | 0.60 ** |
| IGF1 at diagnosis | 0.03 | −0.23 | - | 0.48 * | 0.52 * | 0.74 ** | −0.05 | −0.14 |
| Maximal tumor diameter at diagnosis | - | 0.75 ** | 0.037 | 0.25 | 0.35 | 0.57 ** | 0.66 ** | 0.31 |
| Maximal postoperative tumor diameter | 0.66 ** | 0.63 ** | −0.58 | 0.05 | 0.26 | 0.45 * | - | 0.09 |
| Postoperative PRL | 0.57 ** | 0.74 ** | −0.02 | 0.32 | 0.28 | - | 0.45 * | 0.58 ** |
| ER∝ (IR) | 0.31 | 0.60 ** | −0.14 | −0.04 | 0.09 | 0.58 ** | 0.38 * | - |
| Predictor | Correlation Coefficients | ||
|---|---|---|---|
| r2 Adjusted | beta | p | |
| GH nadir in OGTT test (preoperative) | 0.200 | 0.483 | 0.014 |
| IGF1 at diagnosis | 0.097 | 0.367 | 0.071 |
| Gender | 0.168 | 0.441 | 0.011 |
| Invasion | 0.135 | 0.404 | 0.022 |
| ER∝ expression | 0.040 | −0.266 | 0.141 |
Disclaimer/Publisher’s Note: The statements, opinions and data contained in all publications are solely those of the individual author(s) and contributor(s) and not of MDPI and/or the editor(s). MDPI and/or the editor(s) disclaim responsibility for any injury to people or property resulting from any ideas, methods, instructions or products referred to in the content. |
© 2023 by the authors. Licensee MDPI, Basel, Switzerland. This article is an open access article distributed under the terms and conditions of the Creative Commons Attribution (CC BY) license (https://creativecommons.org/licenses/by/4.0/).
Share and Cite
Dumitriu-Stan, R.-I.; Burcea, I.-F.; Nastase, V.N.; Ceaușu, R.A.; Dumitrascu, A.; Cocosila, L.C.; Bastian, A.; Zurac, S.; Raica, M.; Poiana, C. The Value of ER∝ in the Prognosis of GH- and PRL-Secreting PitNETs: Clinicopathological Correlations. Int. J. Mol. Sci. 2023, 24, 16162. https://doi.org/10.3390/ijms242216162
Dumitriu-Stan R-I, Burcea I-F, Nastase VN, Ceaușu RA, Dumitrascu A, Cocosila LC, Bastian A, Zurac S, Raica M, Poiana C. The Value of ER∝ in the Prognosis of GH- and PRL-Secreting PitNETs: Clinicopathological Correlations. International Journal of Molecular Sciences. 2023; 24(22):16162. https://doi.org/10.3390/ijms242216162
Chicago/Turabian StyleDumitriu-Stan, Roxana-Ioana, Iulia-Florentina Burcea, Valeria Nicoleta Nastase, Raluca Amalia Ceaușu, Anda Dumitrascu, Laurentiu Catalin Cocosila, Alexandra Bastian, Sabina Zurac, Marius Raica, and Catalina Poiana. 2023. "The Value of ER∝ in the Prognosis of GH- and PRL-Secreting PitNETs: Clinicopathological Correlations" International Journal of Molecular Sciences 24, no. 22: 16162. https://doi.org/10.3390/ijms242216162
APA StyleDumitriu-Stan, R.-I., Burcea, I.-F., Nastase, V. N., Ceaușu, R. A., Dumitrascu, A., Cocosila, L. C., Bastian, A., Zurac, S., Raica, M., & Poiana, C. (2023). The Value of ER∝ in the Prognosis of GH- and PRL-Secreting PitNETs: Clinicopathological Correlations. International Journal of Molecular Sciences, 24(22), 16162. https://doi.org/10.3390/ijms242216162

