A Novel Variant in TPM3 Causing Muscle Weakness and Concomitant Hypercontractile Phenotype
Abstract
1. Introduction
2. Results
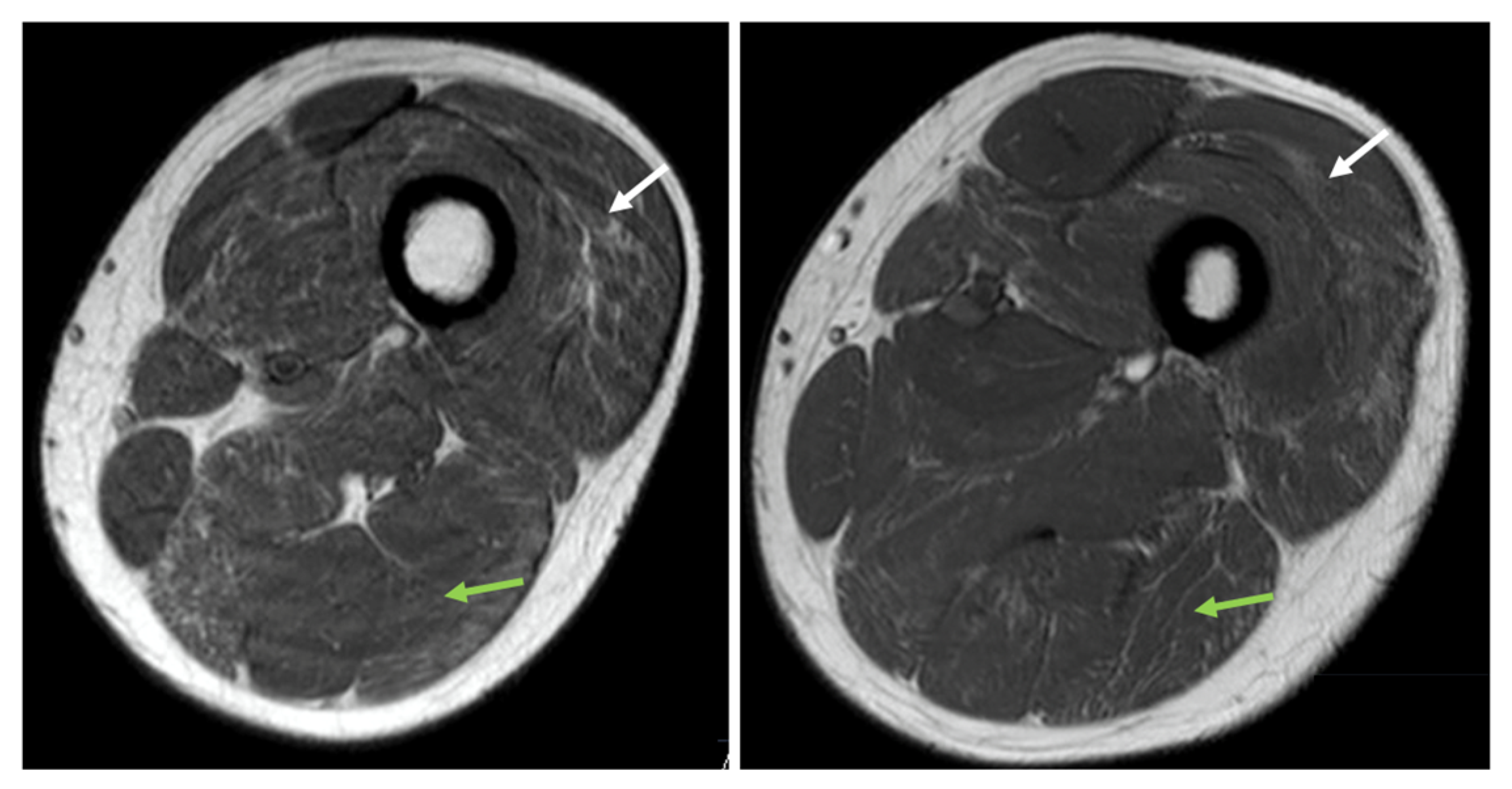
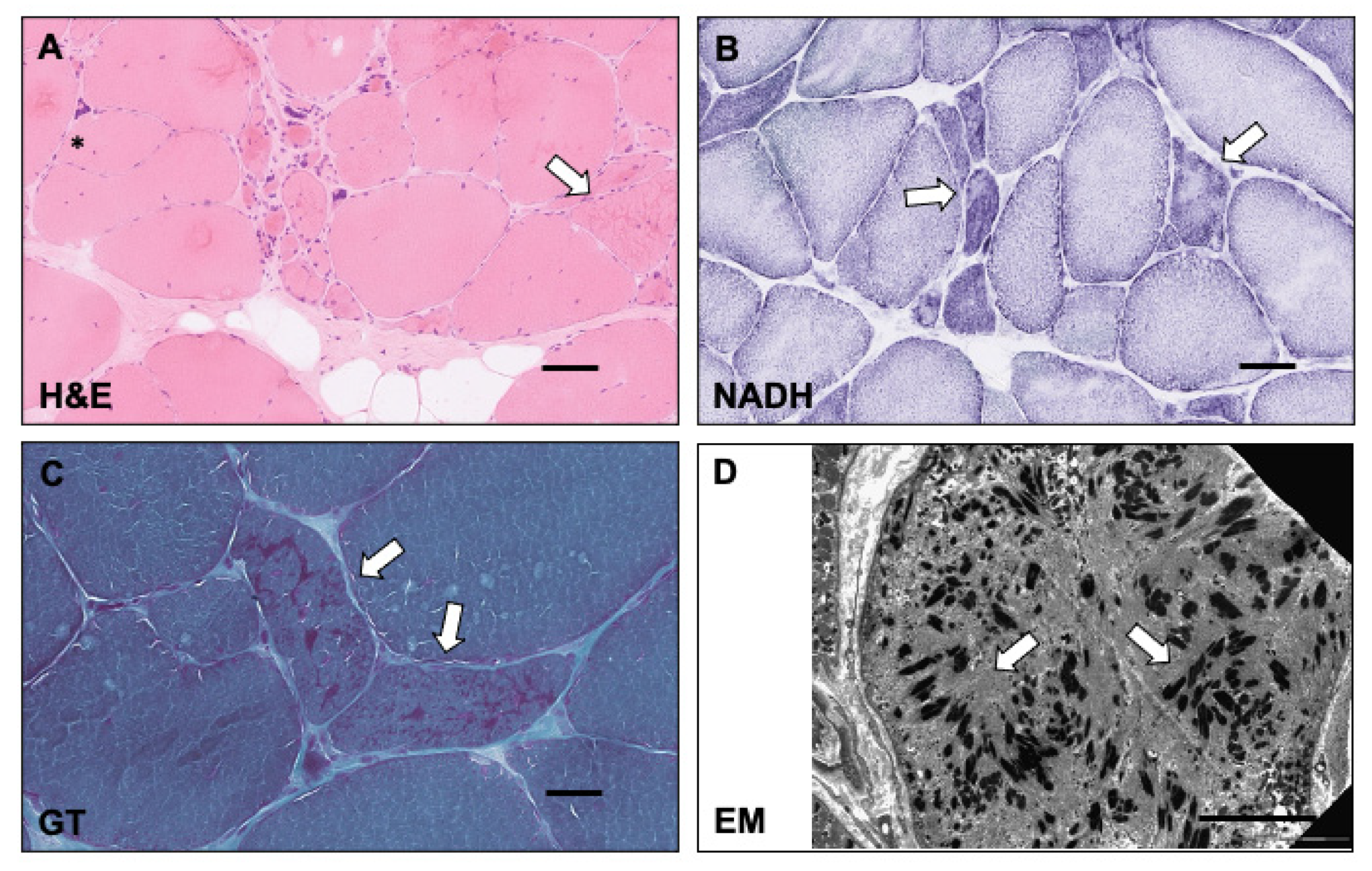
2.1. Case Series Report
2.2. Functional Significance of the Amino Acid Substitution p.Glu3Gly in Tpm3.12
2.2.1. End-to-End Interactions of Tpm3.12 and Tpm3.12-E3G
2.2.2. Effects of the p.Glu3Gly Mutation in Tpm3.12 on the Thin Filament Assembly
2.2.3. Ca2+-Dependent Regulation of the Actin-Activated Myosin S1 ATPase by Wild-Type or Mutant Tpm3.12 and Tn Complex
3. Discussion
3.1. Hypercontractile Phenotypes Linked to Mutations in TPM3 and TPM2
3.2. Mechanism of Releasing Inhibition of Actin–Myosin Interactions by Tpm3.12-E3G
3.3. Structural Determinants of the Molecular Phenotype Produced by the Substitution p.Glu3Gly
3.4. Mechanisms of the Clinical Phenotype Associated with the Mutation p.Glu3Gly
4. Materials and Methods
4.1. Patient Recruitment and Sample Collection
4.2. Genetic Testing
4.3. Protein Isolation, Expression, and Purification
4.4. Native-PAGE
4.5. Actin-Binding Assay
4.6. Actomyosin ATPase
Supplementary Materials
Author Contributions
Funding
Institutional Review Board Statement
Informed Consent Statement
Data Availability Statement
Acknowledgments
Conflicts of Interest
References
- Cohen, E.; Bonne, G.; Rivier, F.; Hamroun, D. The 2022 version of the gene table of neuromuscular disorders (nuclear genome). Neuromuscul. Disord. 2021, 31, 1313–1357. [Google Scholar] [CrossRef]
- Pelin, K.; Wallgren-Pettersson, C. Update on the Genetics of Congenital Myopathies. Semin. Pediatr. Neurol. 2019, 29, 12–22. [Google Scholar] [CrossRef]
- Benarroch, L.; Bonne, G.; Rivier, F.; Hamroun, D. The 2023 version of the gene table of neuromuscular disorders (nuclear genome). Neuromuscul. Disord. 2023, 33, 76–117. [Google Scholar] [CrossRef] [PubMed]
- Laitila, J.; Wallgren-Pettersson, C. Recent advances in nemaline myopathy. Neuromuscul. Disord. 2021, 31, 955–967. [Google Scholar] [CrossRef] [PubMed]
- Mokbel, N.; Ilkovski, B.; Kreissl, M.; Memo, M.; Jeffries, C.M.; Marttila, M.; Lehtokari, V.L.; Lemola, E.; Gronholm, M.; Yang, N.; et al. K7del is a common TPM2 gene mutation associated with nemaline myopathy and raised myofibre calcium sensitivity. Brain 2013, 136, 494–507. [Google Scholar] [CrossRef] [PubMed]
- Donkervoort, S.; Papadaki, M.; de Winter, J.M.; Neu, M.B.; Kirschner, J.; Bolduc, V.; Yang, M.L.; Gibbons, M.A.; Hu, Y.; Dastgir, J.; et al. TPM3 deletions cause a hypercontractile congenital muscle stiffness phenotype. Ann. Neurol. 2015, 78, 982–994. [Google Scholar] [CrossRef]
- Marttila, M.; Lehtokari, V.L.; Marston, S.; Nyman, T.A.; Barnerias, C.; Beggs, A.H.; Bertini, E.; Ceyhan-Birsoy, O.; Cintas, P.; Gerard, M.; et al. Mutation update and genotype-phenotype correlations of novel and previously described mutations in TPM2 and TPM3 causing congenital myopathies. Hum. Mutat. 2014, 35, 779–790. [Google Scholar] [CrossRef]
- Moraczewska, J. Thin filament dysfunctions caused by mutations in tropomyosin Tpm3.12 and Tpm1.1. J. Muscle Res. Cell Motil. 2020, 41, 39–53. [Google Scholar] [CrossRef]
- Almobarak, S.; Hu, J.; Langdon, K.D.; Ang, L.C.; Campbell, C. alpha-tropomyosin gene (TPM3) mutation in an infant with nemaline myopathy. Clin. Case Rep. 2021, 9, 1672–1676. [Google Scholar] [CrossRef]
- Chen, Z.; Saini, M.; Koh, J.S.; Lim, G.Z.; Dang, N.J.; Prasad, K.; Koh, S.H.; Tay, K.S.S.; Lee, M.; Ong, H.L.; et al. A novel variant in the tropomyosin 3 gene presenting as an adult-onset distal myopathy—A case report. BMC Neurol. 2023, 23, 181. [Google Scholar] [CrossRef]
- Hitchcock-DeGregori, S.E. Tropomyosin: Function follows structure. Adv. Exp. Med. Biol. 2008, 644, 60–72. [Google Scholar] [PubMed]
- Yamada, Y.; Namba, K.; Fujii, T. Cardiac muscle thin filament structures reveal calcium regulatory mechanism. Nat. Commun. 2020, 11, 153. [Google Scholar] [CrossRef]
- Risi, C.M.; Pepper, I.; Belknap, B.; Landim-Vieira, M.; White, H.D.; Dryden, K.; Pinto, J.R.; Chase, P.B.; Galkin, V.E. The structure of the native cardiac thin filament at systolic Ca2+ levels. Proc. Natl. Acad. Sci. USA 2021, 118, e2024288118. [Google Scholar] [CrossRef] [PubMed]
- Risi, C.M.; Belknap, B.; White, H.D.; Dryden, K.; Pinto, J.R.; Chase, P.B.; Galkin, V.E. High-resolution cryo-EM structure of the junction region of the native cardiac thin filament in relaxed state. PNAS Nexus 2023, 2, pgac298. [Google Scholar] [CrossRef] [PubMed]
- Bugiardini, E.; Khan, A.M.; Phadke, R.; Lynch, D.S.; Cortese, A.; Feng, L.; Gang, Q.; Pittman, A.M.; Morrow, J.M.; Turner, C.; et al. Genetic and phenotypic characterisation of inherited myopathies in a tertiary neuromuscular centre. Neuromuscul. Disord. 2019, 29, 747–757. [Google Scholar] [CrossRef]
- Ciplys, E.; Aucynaite, A.; Slibinskas, R. Generation of human ER chaperone BiP in yeast Saccharomyces cerevisiae. Microb. Cell Fact. 2014, 13, 22. [Google Scholar] [CrossRef]
- Tobacman, L.S. Cooperative binding of tropomyosin to actin. Adv. Exp. Med. Biol. 2008, 644, 85–94. [Google Scholar]
- Geeves, M.A.; Hitchcock-DeGregori, S.E.; Gunning, P.W. A systematic nomenclature for mammalian tropomyosin isoforms. J. Muscle Res. Cell Motil. 2014, 36, 47–153. [Google Scholar] [CrossRef]
- Gunning, P.W.; Hardeman, E.C.; Lappalainen, P.; Mulvihill, D.P. Tropomyosin-master regulator of actin filament function in the cytoskeleton. J. Cell Sci. 2015, 128, 2965–2974. [Google Scholar] [CrossRef]
- McKillop, D.F.; Geeves, M.A. Regulation of the interaction between actin and myosin subfragment 1: Evidence for three states of the thin filament. Biophys. J. 1993, 65, 693–701. [Google Scholar] [CrossRef]
- Vibert, P.; Craig, R.; Lehman, W. Steric-model for activation of muscle thin filaments. J. Mol. Biol. 1997, 266, 8–14. [Google Scholar] [CrossRef] [PubMed]
- Risi, C.; Eisner, J.; Belknap, B.; Heeley, D.H.; White, H.D.; Schroder, G.F.; Galkin, V.E. Ca2+-induced movement of tropomyosin on native cardiac thin filaments revealed by cryoelectron microscopy. Proc. Natl. Acad. Sci. USA 2017, 114, 6782–6787. [Google Scholar] [CrossRef] [PubMed]
- Orzechowski, M.; Fischer, S.; Moore, J.R.; Lehman, W.; Farman, G.P. Energy landscapes reveal the myopathic effects of tropomyosin mutations. Arch. Biochem. Biophys. 2014, 564, 89–99. [Google Scholar] [CrossRef] [PubMed]
- Marston, S.; Memo, M.; Messer, A.; Papadaki, M.; Nowak, K.; McNamara, E.; Ong, R.; El-Mezgueldi, M.; Li, X.; Lehman, W. Mutations in repeating structural motifs of tropomyosin cause gain of function in skeletal muscle myopathy patients. Hum. Mol. Genet. 2013, 22, 4978–4987. [Google Scholar] [CrossRef]
- Li, X.E.; Tobacman, L.S.; Mun, J.Y.; Craig, R.; Fischer, S.; Lehman, W. Tropomyosin position on F-actin revealed by EM reconstruction and computational chemistry. Biophys. J. 2011, 100, 1005–1013. [Google Scholar] [CrossRef]
- Greenfield, N.J.; Huang, Y.J.; Swapna, G.V.; Bhattacharya, A.; Rapp, B.; Singh, A.; Montelione, G.T.; Hitchcock-DeGregori, S.E. Solution NMR structure of the junction between tropomyosin molecules: Implications for actin binding and regulation. J. Mol. Biol. 2006, 364, 80–96. [Google Scholar] [CrossRef]
- Wegner, A.; Walsh, T.P. Interaction of tropomyosin-troponin with actin filaments. Biochemistry 1981, 20, 5633–5642. [Google Scholar] [CrossRef]
- Pavadai, E.; Lehman, W.; Rynkiewicz, M.J. Protein-Protein Docking Reveals Dynamic Interactions of Tropomyosin on Actin Filaments. Biophys. J. 2020, 119, 75–86. [Google Scholar] [CrossRef]
- Moraczewska, J.; Robaszkiewicz, K.; Sliwinska, M.; Czajkowska, M.; Ly, T.; Kostyukova, A.; Wen, H.; Zheng, W. Congenital myopathy-related mutations in tropomyosin disrupt regulatory function through altered actin affinity and tropomodulin binding. FEBS J. 2019, 286, 1877–1893. [Google Scholar] [CrossRef]
- Bronson, D.D.; Schachat, F.H. Heterogeneity of contractile proteins. Differences in tropomyosin in fast, mixed, and slow skeletal muscles of the rabbit. J. Biol. Chem. 1982, 257, 3937–3944. [Google Scholar] [CrossRef]
- Kalyva, A.; Schmidtmann, A.; Geeves, M.A. In vitro formation and characterization of the skeletal muscle alpha.beta tropomyosin heterodimers. Biochemistry 2012, 51, 6388–6399. [Google Scholar] [CrossRef][Green Version]
- Bershitsky, S.Y.; Logvinova, D.S.; Shchepkin, D.V.; Kopylova, G.V.; Matyushenko, A.M. Myopathic mutations in the beta-chain of tropomyosin differently affect the structural and functional properties of betabeta- and alphabeta-dimers. FASEB J. 2019, 33, 1963–1971. [Google Scholar] [CrossRef] [PubMed]
- Sliwinska, M.; Robaszkiewicz, K.; Czajkowska, M.; Zheng, W.J.; Moraczewska, J. Functional effects of substitutions I92T and V95A in actin-binding period 3 of tropomyosin. Biochim. Biophys. Acta-Proteins Proteom. 2018, 1866, 558–568. [Google Scholar] [CrossRef]
- Corbett, M.A.; Akkari, P.A.; Domazetovska, A.; Cooper, S.T.; North, K.N.; Laing, N.G.; Gunning, P.W.; Hardeman, E.C. An alphaTropomyosin mutation alters dimer preference in nemaline myopathy. Ann. Neurol. 2005, 57, 42–49. [Google Scholar] [CrossRef]
- Rasmussen, M.; Jin, J.P. Troponin Variants as Markers of Skeletal Muscle Health and Diseases. Front. Physiol. 2021, 12, 747214. [Google Scholar] [CrossRef] [PubMed]
- van de Locht, M.; Borsboom, T.C.; Winter, J.M.; Ottenheijm, C.A.C. Troponin Variants in Congenital Myopathies: How They Affect Skeletal Muscle Mechanics. Int. J. Mol. Sci. 2021, 22, 9187. [Google Scholar] [CrossRef] [PubMed]
- Brotto, M.A.; Biesiadecki, B.J.; Brotto, L.S.; Nosek, T.M.; Jin, J.P. Coupled expression of troponin T and troponin I isoforms in single skeletal muscle fibers correlates with contractility. Am. J. Physiol. Cell Physiol. 2006, 290, C567–C576. [Google Scholar] [CrossRef]
- Westra, D.; Schouten, M.I.; Stunnenberg, B.C.; Kusters, B.; Saris, C.G.J.; Erasmus, C.E.; van Engelen, B.G.; Bulk, S.; Verschuuren-Bemelmans, C.C.; Gerkes, E.H.; et al. Panel-Based Exome Sequencing for Neuromuscular Disorders as a Diagnostic Service. J. Neuromuscul. Dis. 2019, 6, 241–258. [Google Scholar] [CrossRef]
- Sliwinska, M.; Robaszkiewicz, K.; Wasag, P.; Moraczewska, J. Mutations Q93H and E97K in TPM2 Disrupt Ca-Dependent Regulation of Actin Filaments. Int. J. Mol. Sci. 2021, 22, 4036. [Google Scholar] [CrossRef] [PubMed]
- Monteiro, P.B.; Lataro, R.C.; Ferro, J.A.; Reinach Fde, C. Functional alpha-tropomyosin produced in Escherichia coli. A dipeptide extension can substitute the amino-terminal acetyl group. J. Biol. Chem. 1994, 269, 10461–10466. [Google Scholar] [CrossRef] [PubMed]






Disclaimer/Publisher’s Note: The statements, opinions and data contained in all publications are solely those of the individual author(s) and contributor(s) and not of MDPI and/or the editor(s). MDPI and/or the editor(s) disclaim responsibility for any injury to people or property resulting from any ideas, methods, instructions or products referred to in the content. |
© 2023 by the authors. Licensee MDPI, Basel, Switzerland. This article is an open access article distributed under the terms and conditions of the Creative Commons Attribution (CC BY) license (https://creativecommons.org/licenses/by/4.0/).
Share and Cite
Robaszkiewicz, K.; Siatkowska, M.; Wadman, R.I.; Kamsteeg, E.-J.; Chen, Z.; Merve, A.; Parton, M.; Bugiardini, E.; de Bie, C.; Moraczewska, J. A Novel Variant in TPM3 Causing Muscle Weakness and Concomitant Hypercontractile Phenotype. Int. J. Mol. Sci. 2023, 24, 16147. https://doi.org/10.3390/ijms242216147
Robaszkiewicz K, Siatkowska M, Wadman RI, Kamsteeg E-J, Chen Z, Merve A, Parton M, Bugiardini E, de Bie C, Moraczewska J. A Novel Variant in TPM3 Causing Muscle Weakness and Concomitant Hypercontractile Phenotype. International Journal of Molecular Sciences. 2023; 24(22):16147. https://doi.org/10.3390/ijms242216147
Chicago/Turabian StyleRobaszkiewicz, Katarzyna, Małgorzata Siatkowska, Renske I. Wadman, Erik-Jan Kamsteeg, Zhiyong Chen, Ashirwad Merve, Matthew Parton, Enrico Bugiardini, Charlotte de Bie, and Joanna Moraczewska. 2023. "A Novel Variant in TPM3 Causing Muscle Weakness and Concomitant Hypercontractile Phenotype" International Journal of Molecular Sciences 24, no. 22: 16147. https://doi.org/10.3390/ijms242216147
APA StyleRobaszkiewicz, K., Siatkowska, M., Wadman, R. I., Kamsteeg, E.-J., Chen, Z., Merve, A., Parton, M., Bugiardini, E., de Bie, C., & Moraczewska, J. (2023). A Novel Variant in TPM3 Causing Muscle Weakness and Concomitant Hypercontractile Phenotype. International Journal of Molecular Sciences, 24(22), 16147. https://doi.org/10.3390/ijms242216147

