Expression and Characterization of Intein-Cyclized Trimer of Staphylococcus aureus Protein A Domain Z
Abstract
1. Introduction
2. Results and Discussion
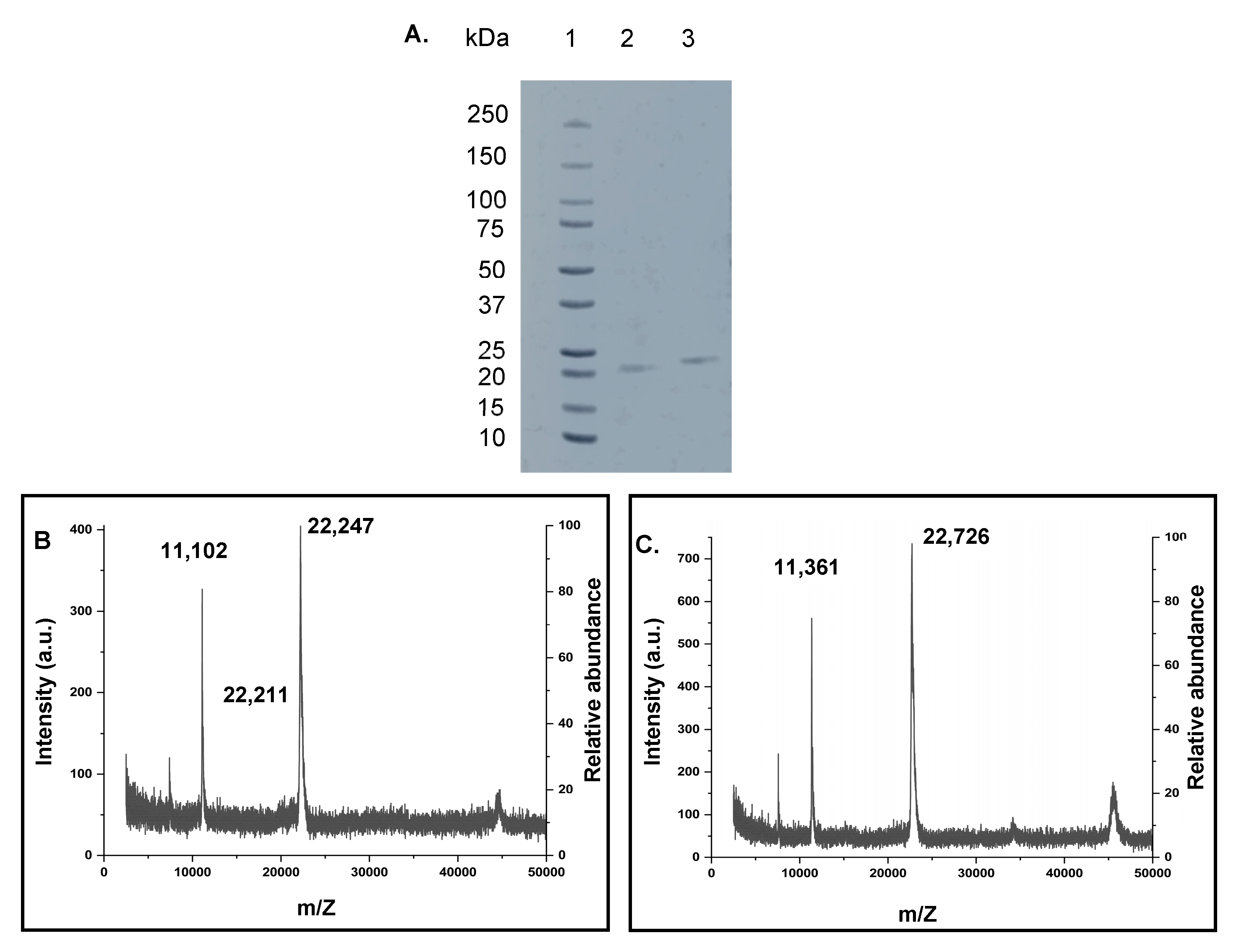
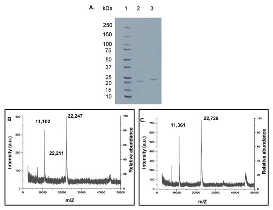
2.1. Expression and Purification of Recombinant Linear and Cyclic Z3 Proteins
2.2. Characterization of Recombinant Proteins by Mass Spectrometry Methods
2.3. Confirmation of Cyclization by Edman Degradation (ED) and Carboxypeptidase Y (CPDY) Digestion
2.4. Antibody Binding Characterization by Differential Scanning Fluorimetry (DSF)
2.5. Binding Kinetics by Surface Plasmon Resonance (SPR)
2.6. Conformational Analysis by Analytical Ultracentrifugation (AUC)
2.7. Binding Thermodynamics by Isothermal Titration Calorimetry (ITC)
3. Materials and Methods
3.1. Materials
3.2. Circularized and Linear Z3 Protein Plasmid Construction
3.3. Expression and Purification of Linear Z3 and Cyclic Z3 Proteins
3.4. SDS-PAGE
3.5. Matrix-Assisted Laser Desorption/Ionization (MALDI) Mass Spectrometry
3.6. Tryptic Digestion MS-MS
3.7. Carboxypeptidase Y (CPDY) Digestion
3.8. Edman Degradation
3.9. Differential Scanning Fluorimetry (DSF)
3.10. Surface Plasmon Resonance (SPR)
3.11. Analytical Ultracentrifugation (AUC)
3.12. Isothermal Titration Calorimetry (ITC)
3.13. Accession Codes
4. Conclusions
Supplementary Materials
Author Contributions
Funding
Institutional Review Board Statement
Informed Consent Statement
Data Availability Statement
Acknowledgments
Conflicts of Interest
References
- Deisenhofer, J. Crystallographic refinement and atomic models of a human Fc fragment and its complex with fragment B of protein A from Staphylococcus aureus at 2.9- and 2.8-.ANG. resolution. Biochemistry 1981, 20, 2361–2370. [Google Scholar] [CrossRef] [PubMed]
- Forsgren, A.; Sjöquist, J. “Protein A” from S. Aureus: I. Pseudo-Immune Reaction with Human γ -Globulin. J. Immunol. 1966, 97, 822–827. [Google Scholar] [CrossRef]
- Kim, H.K.; Thammavongsa, V.; Schneewind, O.; Missiakas, D. Recurrent infections and immune evasion strategies of Staphylococcus aureus. Curr. Opin. Microbiol. 2012, 15, 92–99. [Google Scholar] [CrossRef] [PubMed]
- Jensen, K. A Normally Occurring Staphylococcus Antibody in Human Serum. Acta Pathol. Microbiol. Scand. 1958, 44, 421–428. [Google Scholar] [CrossRef]
- Ghosh, A.; Elber, R.; Scheraga, H.A. An atomically detailed study of the folding pathways of protein A with the stochastic difference equation. Proc. Natl. Acad. Sci. USA 2002, 99, 10394–10398. [Google Scholar] [CrossRef] [PubMed]
- Myers, J.K.; Oas, T.G. Preorganized secondary structure as an important determinant of fast protein folding. Nat. Struct. Biol. 2001, 8, 552–558. [Google Scholar] [CrossRef]
- Goding, J.W. Use of staphylococcal protein A as an immunological reagent. J. Immunol. Methods 1978, 20, 241–253. [Google Scholar] [CrossRef]
- Palmqvist, N.; Foster, T.; Tarkowski, A.; Josefsson, E. Protein A is a virulence factor in Staphylococcus aureus arthritis and septic death. Microb. Pathog. 2002, 33, 239–249. [Google Scholar] [CrossRef]
- Patel, A.H.; Nowlan, P.; Weavers, E.D.; Foster, T. Virulence of protein A-deficient and alpha-toxin-deficient mutants of Staphylococcus aureus isolated by allele replacement. Infect. Immun. 1987, 55, 3103–3110. [Google Scholar] [CrossRef]
- Kozlowski, L.M.; Li, W.; Goldschmidt, M.; I Levinson, A. In vivo inflammatory response to a prototypic B cell superantigen: Elicitation of an Arthus reaction by staphylococcal protein A. J. Immunol. 1998, 160, 5246–5252. [Google Scholar] [CrossRef]
- Nilsson, B.; Moks, T.; Jansson, B.; Abrahmsén, L.; Elmblad, A.; Holmgren, E.; Henrichson, C.; Jones, T.A.; Uhlen, M. A synthetic IgG-binding domain based on staphylococcal protein A. Protein Eng. Des. Sel. 1987, 1, 107–113. [Google Scholar] [CrossRef] [PubMed]
- Tustian, A.D.; Endicott, C.; Adams, B.; Mattila, J.; Bak, H. Development of purification processes for fully human bispecific antibodies based upon modification of protein A binding avidity. mAbs 2016, 8, 828–838. [Google Scholar] [CrossRef] [PubMed]
- Xia, H.-F.; Liang, Z.-D.; Wang, S.-L.; Wu, P.-Q.; Jin, X.-H. Molecular Modification of Protein A to Improve the Elution pH and Alkali Resistance in Affinity Chromatography. Appl. Biochem. Biotechnol. 2014, 172, 4002–4012. [Google Scholar] [CrossRef] [PubMed]
- Linhult, M.; Gülich, S.; Gräslund, T.; Simon, A.; Karlsson, M.; Sjöberg, A.; Nord, K.; Hober, S. Improving the tolerance of a protein A analogue to repeated alkaline exposures using a bypass mutagenesis approach. Proteins Struct. Funct. Bioinform. 2004, 55, 407–416. [Google Scholar] [CrossRef] [PubMed]
- Nord, K.; Gunneriusson, E.; Ringdahl, J.; Ståhl, S.; Uhlén, M.; Nygren, P.Å. Binding proteins selected from combinatorial libraries of an α-helical bacterial receptor domain. Nat. Biotechnol. 1997, 15, 772–777. [Google Scholar] [CrossRef]
- Zielinski, R.; Lyakhov, I.; Jacobs, A.; Chertov, O.; Kramer-Marek, G.; Francella, N.; Stephen, A.; Fisher, R.; Blumenthal, R.; Capala, J. Affitoxin—A Novel Recombinant, HER2-specific, Anticancer Agent for Targeted Therapy of HER2-positive Tumors. J. Immunother. 2009, 32, 817–825. [Google Scholar] [CrossRef]
- Altai, M.; Liu, H.; Orlova, A.; Tolmachev, V.; Gräslund, T. Influence of molecular design on biodistribution and targeting properties of an Affibody-fused HER2-recognising anticancer toxin. Int. J. Oncol. 2016, 49, 1185–1194. [Google Scholar] [CrossRef]
- Sörensen, J.; Sandberg, D.; Sandström, M.; Wennborg, A.; Feldwisch, J.; Tolmachev, V.; Åström, G.; Lubberink, M.; Garske-Román, U.; Carlsson, J.; et al. First-in-Human Molecular Imaging of HER2 Expression in Breast Cancer Metastases Using the 111In-ABY-025 Affibody Molecule. J. Nucl. Med. 2014, 55, 730–735. [Google Scholar] [CrossRef]
- Deepankumar, K.; Nadarajan, S.P.; Mathew, S.; Lee, S.-G.; Yoo, T.H.; Hong, E.Y.; Kim, B.-G.; Yun, H. Engineering Transaminase for Stability Enhancement and Site-Specific Immobilization through Multiple Noncanonical Amino Acids Incorporation. ChemCatChem 2014, 7, 417–421. [Google Scholar] [CrossRef]
- Lahiri, P.; Verma, H.; Ravikumar, A.; Chatterjee, J. Protein stabilization by tuning the steric restraint at the reverse turn. Chem. Sci. 2018, 9, 4600–4609. [Google Scholar] [CrossRef]
- Gentilucci, L.; De Marco, R.; Cerisoli, L. Chemical Modifications Designed to Improve Peptide Stability: Incorporation of Non-Natural Amino Acids, Pseudo-Peptide Bonds, and Cyclization. Curr. Pharm. Des. 2010, 16, 3185–3203. [Google Scholar] [CrossRef] [PubMed]
- Clark, R.J.; Akcan, M.; Kaas, Q.; Daly, N.L.; Craik, D.J. Cyclization of conotoxins to improve their biopharmaceutical properties. Toxicon 2012, 59, 446–455. [Google Scholar] [CrossRef] [PubMed]
- Schoene, C.; Fierer, J.O.; Bennett, S.P.; Howarth, M. SpyTag/SpyCatcher Cyclization Confers Resilience to Boiling on a Mesophilic Enzyme. Angew. Chem. 2014, 126, 6215–6218. [Google Scholar] [CrossRef]
- Molhoek, E.M.; van Dijk, A.; Veldhuizen, E.J.; Haagsman, H.P.; Bikker, F. Improved proteolytic stability of chicken cathelicidin-2 derived peptides by d-amino acid substitutions and cyclization. Peptides 2011, 32, 875–880. [Google Scholar] [CrossRef] [PubMed]
- Purkayastha, A.; Kang, T.J. Stabilization of Proteins by Covalent Cyclization. Biotechnol. Bioprocess Eng. 2019, 24, 702–712. [Google Scholar] [CrossRef]
- Townend, J.E.; Tavassoli, A. Traceless production of cyclic peptide libraries in E. coli. ACS Chem. Bio. 2016, 11, 1624–1630. [Google Scholar] [CrossRef]
- Góngora-Benítez, M.; Tulla-Puche, J.; Albericio, F. Multifaceted Roles of Disulfide Bonds. Peptides as Therapeutics. Chem. Rev. 2013, 114, 901–926. [Google Scholar] [CrossRef]
- Iwai, H.; Plückthun, A. Circular β-lactamase: Stability enhancement by cyclizing the backbone. FEBS Lett. 1999, 459, 166–172. [Google Scholar] [CrossRef]
- Waldhauer, M.C.; Schmitz, S.N.; Ahlmann-Eltze, C.; Gleixner, J.G.; Schmelas, C.C.; Huhn, A.G.; Bunne, C.; Büscher, M.; Horn, M.; Klughammer, N.; et al. Backbone circularization of Bacillus subtilis family 11 xylanase increases its thermostability and its resistance against aggregation. Mol. BioSyst. 2015, 11, 3231–3243. [Google Scholar] [CrossRef]
- Ludwig, C.; Pfeiff, M.; Linne, U.; Mootz, H.D. Ligation of a Synthetic Peptide to the N Terminus of a Recombinant Protein Using Semisynthetic Proteintrans-Splicing. Angew. Chem. Int. Ed. 2006, 45, 5218–5221. [Google Scholar] [CrossRef]
- Järver, P.; Mikaelsson, C.; Karlström, A.E. Chemical synthesis and evaluation of a backbone-cyclized minimized 2-helix Z-domain. J. Pept. Sci. 2011, 17, 463–469. [Google Scholar] [CrossRef] [PubMed]
- Zhou, F.; Kroetsch, A.; Nguyen, V.P.; Huang, X.; Ogoke, O.; Parashurama, N.; Park, S. High-Affinity Antibody Detection with a Bivalent Circularized Peptide Containing Antibody-Binding Domains. Biotechnol. J. 2019, 14, e1800647. [Google Scholar] [CrossRef]
- Westerlund, K.; Myrhammar, A.; Tano, H.; Gestin, M.; Karlström, A. Stability Enhancement of a Dimeric HER2-Specific Affibody Molecule through Sortase A-Catalyzed Head-to-Tail Cyclization. Molecules 2021, 26, 2874. [Google Scholar] [CrossRef] [PubMed]
- Scott, C.P.; Abel-Santos, E.; Wall, M.; Wahnon, D.C.; Benkovic, S.J. Production of cyclic peptides and proteins in vivo. Proc. Natl. Acad. Sci. USA 1999, 96, 13638–13643. [Google Scholar] [CrossRef] [PubMed]
- Wang, H.; Liu, J.; Yuet, K.P.; Hill, A.J.; Sternberg, P.W. Split cGAL, an intersectional strategy using a split intein for refined spatiotemporal transgene control in Caenorhabditis elegans. Proc. Natl. Acad. Sci. USA 2018, 115, 3900–3905. [Google Scholar] [CrossRef] [PubMed]
- Carvajal-Vallejos, P.; Pallissé, R.; Mootz, H.D.; Schmidt, S.R. Unprecedented Rates and Efficiencies Revealed for New Natural Split Inteins from Metagenomic Sources. J. Biol. Chem. 2012, 287, 28686–28696. [Google Scholar] [CrossRef]
- Dassa, B.; London, N.; Stoddard, B.L.; Schueler-Furman, O.; Pietrokovski, S. Fractured genes: A novel genomic arrangement involving new split inteins and a new homing endonuclease family. Nucleic Acids Res. 2009, 37, 2560–2573. [Google Scholar] [CrossRef]
- Arai, R.; Ueda, H.; Kitayama, A.; Kamiya, N.; Nagamune, T. Design of the linkers which effectively separate domains of a bifunctional fusion protein. Protein Eng. Des. Sel. 2001, 14, 529–532. [Google Scholar] [CrossRef]
- Wingfield, P.T. N-Terminal Methionine Processing. Curr. Protoc. Protein Sci. 2017, 88, 6.14.1–6.14.3. [Google Scholar] [CrossRef]
- Jung, G.; Ueno, H.; Hayashi, R. Carboxypeptidase Y: Structural basis for protein sorting and catalytic triad. J. Biochem. 1999, 126, 1–6. [Google Scholar] [CrossRef]
- Ionescu, R.M.; Vlasak, J.; Price, C.; Kirchmeier, M. Contribution of Variable Domains to the Stability of Humanized IgG1 Monoclonal Antibodies. J. Pharm. Sci. 2008, 97, 1414–1426. [Google Scholar] [CrossRef] [PubMed]
- Cedergren, L.; Andersson, R.; Jansson, B.; Uhlén, M.; Nilsson, B. Mutational analysis of the interaction between staphylococcal protein A and human IgG1. Protein Eng. Des. Sel. 1993, 6, 441–448. [Google Scholar] [CrossRef] [PubMed]
- Wright, T.A.; Stewart, J.M.; Page, R.C.; Konkolewicz, D. Extraction of Thermodynamic Parameters of Protein Unfolding Using Parallelized Differential Scanning Fluorimetry. J. Phys. Chem. Lett. 2017, 8, 553–558. [Google Scholar] [CrossRef] [PubMed]
- Braisted, A.C.; A Wells, J. Minimizing a binding domain from protein A. Proc. Natl. Acad. Sci. USA 1996, 93, 5688–5692. [Google Scholar] [CrossRef] [PubMed]
- Jendeberg, L.; Persson, B.; Andersson, R.; Karlsson, R.; Uhlén, M.; Nilsson, B. Kinetic analysis of the interaction between protein a domain variants and human Fc using plasmon resonance detection. J. Mol. Recognit. 1995, 8, 270–278. [Google Scholar] [CrossRef] [PubMed]
- Chow, H.Y.; Zhang, Y.; Matheson, E.; Li, X. Ligation Technologies for the Synthesis of Cyclic Peptides. Chem. Rev. 2019, 119, 9971–10001. [Google Scholar] [CrossRef] [PubMed]
- Tam, J.P.; Lu, Y.-A.; Yu, Q. Thia Zip Reaction for Synthesis of Large Cyclic Peptides: Mechanisms and Applications. J. Am. Chem. Soc. 1999, 121, 4316–4324. [Google Scholar] [CrossRef]
- Yang, X.-H.; Huan, L.-M.; Chu, X.-S.; Sun, Y.; Shi, Q.-H. A comparative investigation of random and oriented immobilization of protein A ligands on the binding of immunoglobulin G. Biochem. Eng. J. 2018, 139, 15–24. [Google Scholar] [CrossRef]
- Zwolak, A.; Armstrong, A.A.; Tam, S.H.; Pardinas, J.R.; Goulet, D.R.; Zheng, S.; Brosnan, K.; Emmell, E.; Luo, J.; Gilliland, G.L.; et al. Modulation of protein A binding allows single-step purification of mouse bispecific antibodies that retain FcRn binding. mAbs 2017, 9, 1306–1316. [Google Scholar] [CrossRef]
- Lund, L.N.; Christensen, T.; Toone, E.; Houen, G.; Staby, A.; Hilaire, P.M.S. Exploring variation in binding of Protein A and Protein G to immunoglobulin type G by isothermal titration calorimetry. J. Mol. Recognit. 2011, 24, 945–952. [Google Scholar] [CrossRef]
- Von Roman, M.F.; Berensmeier, S. Improving the binding capacities of protein A chromatographic materials by means of ligand polymerization. J. Chromatogr. A. 2014, 1347, 80–86. [Google Scholar] [CrossRef] [PubMed]
- Patil, U.; Crum, M.; Vu, B.; Wasden, K.; Kourentzi, K.; Willson, R.C. Continuous Fc detection for protein A capture process control. Biosens. Bioelectron. 2020, 165, 112327. [Google Scholar] [CrossRef]
- Thermo Fisher Scientific, Pierce C18 Tips, User Instructions. 0747 (2011). Available online: https://tools.thermofisher.com/content/sfs/manuals/MAN0011713_Pierce_C18_Tip_UG.pdf (accessed on 22 June 2021).
- Transfiguracion, J.C.; Lee, B.H.; Park, S.Y.; Van der Voort, F.R. Purification and Characterization of a Carboxypeptidase Y from Kluyveromyces fragilis JSB95. J. Dairy Sci. 1998, 81, 647–654. [Google Scholar] [CrossRef]
- Manandhar, P.; Mazhar, Z.; Abousaway, O.; Aboagye, C.; Moussa, Z.; Lim, D.; Yu, T.; Byrnes, J.; Briggs, J.M.; Sen, M. Heterotropic roles of divalent cations in the establishment of allostery and affinity maturation of integrin αXβ2. Cell Rep. 2022, 40, 111254. [Google Scholar] [CrossRef] [PubMed]
- BioRAD. Protein Thermal Shift Assays Made Easy with Bio-Rad’s Family of CFX Real-Time PCR Detection Systems; Biorad: Hercules, CA, USA, 2018; pp. 1–8. [Google Scholar]
- Demeler, B.; Gorbet, G.E. Analytical Ultracentrifugation Data Analysis with UltraScan-III; Springer: Tokyo, Japan, 2016; pp. 119–143. [Google Scholar] [CrossRef]
- Brookes, E.; Cao, W.; Demeler, B. A two-dimensional spectrum analysis for sedimentation velocity experiments of mixtures with heterogeneity in molecular weight and shape. Eur. Biophys. J. 2009, 39, 405–414. [Google Scholar] [CrossRef] [PubMed]
- Demeler, B.; Brookes, E. Monte Carlo analysis of sedimentation experiments. Colloid Polym. Sci. 2007, 286, 129–137. [Google Scholar] [CrossRef]
- Williams, T.L.; Gorbet, G.E.; Demeler, B. Multi-speed sedimentation velocity simulations with UltraScan-III. Eur. Biophys. J. 2018, 47, 815–823. [Google Scholar] [CrossRef]
- Demeler, B. Methods for the Design and Analysis of Sedimentation Velocity and Sedimentation Equilibrium Experiments with Proteins. Curr. Protoc. Protein Sci. 2010, 60, 7.13.1–7.13.24. [Google Scholar] [CrossRef]
- Demeler, B.; van Holde, K.E. Sedimentation velocity analysis of highly heterogeneous systems. Anal. Biochem. 2004, 335, 279–288. [Google Scholar] [CrossRef]









| Components | Tm1 (°C) | Tm2 (°C) | Tm3 (°C) | ΔuG0 kJ mol−1 | ΔuS0 kJ mol−1 K−1 | ΔuH0 kJ mol−1 |
|---|---|---|---|---|---|---|
| Rituximab | 68.5 ± 0.1 | 74.1 ± 0.0 | 81.3 ± 0.5 | 55.8 ± 0.5 | 1.3 ± 0.0 | 429.9 ± 1.6 |
| Rituximab: linear Z3 (1:1) | 73.4 ± 0.1 | 84.6 ± 0.1 | N/A | 68.7 ± 3.3 | 1.4 ± 0.1 | 481.1 ± 22.6 |
| Rituximab: cyclic Z3 (1:1) | 73.4 ± 0.2 | 82.8 ± 0.1 | N/A | 66.8 ± 1.0 | 1.4 ± 0.0 | 476.0 ± 9.0 |
Disclaimer/Publisher’s Note: The statements, opinions and data contained in all publications are solely those of the individual author(s) and contributor(s) and not of MDPI and/or the editor(s). MDPI and/or the editor(s) disclaim responsibility for any injury to people or property resulting from any ideas, methods, instructions or products referred to in the content. |
© 2023 by the authors. Licensee MDPI, Basel, Switzerland. This article is an open access article distributed under the terms and conditions of the Creative Commons Attribution (CC BY) license (https://creativecommons.org/licenses/by/4.0/).
Share and Cite
Nandy, S.; Maranholkar, V.M.; Crum, M.; Wasden, K.; Patil, U.; Goyal, A.; Vu, B.; Kourentzi, K.; Mo, W.; Henrickson, A.; et al. Expression and Characterization of Intein-Cyclized Trimer of Staphylococcus aureus Protein A Domain Z. Int. J. Mol. Sci. 2023, 24, 1281. https://doi.org/10.3390/ijms24021281
Nandy S, Maranholkar VM, Crum M, Wasden K, Patil U, Goyal A, Vu B, Kourentzi K, Mo W, Henrickson A, et al. Expression and Characterization of Intein-Cyclized Trimer of Staphylococcus aureus Protein A Domain Z. International Journal of Molecular Sciences. 2023; 24(2):1281. https://doi.org/10.3390/ijms24021281
Chicago/Turabian StyleNandy, Suman, Vijay M. Maranholkar, Mary Crum, Katherine Wasden, Ujwal Patil, Atul Goyal, Binh Vu, Katerina Kourentzi, William Mo, Amy Henrickson, and et al. 2023. "Expression and Characterization of Intein-Cyclized Trimer of Staphylococcus aureus Protein A Domain Z" International Journal of Molecular Sciences 24, no. 2: 1281. https://doi.org/10.3390/ijms24021281
APA StyleNandy, S., Maranholkar, V. M., Crum, M., Wasden, K., Patil, U., Goyal, A., Vu, B., Kourentzi, K., Mo, W., Henrickson, A., Demeler, B., Sen, M., & Willson, R. C. (2023). Expression and Characterization of Intein-Cyclized Trimer of Staphylococcus aureus Protein A Domain Z. International Journal of Molecular Sciences, 24(2), 1281. https://doi.org/10.3390/ijms24021281

