Trichinella spiralis-Secreted Products Promote Collagen Capsule Formation through TGF-β1/Smad3 Pathway
Abstract
:1. Introduction
2. Results
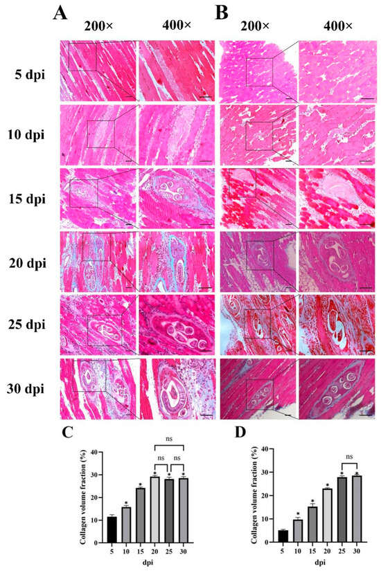
2.1. Synchronous Development of Collagen Capsules in Intravenously Infected Mice Muscles by T. spiralis
2.2. Type IV Collagen and Type VI Collagen Were Highly Expressed in T. spiralis-Infected Muscle Tissues and Regulated by TGF-β1/Smad3 Pathway
2.3. Trichinella spiralis-Secreted Products Promoted Collagen Synthesis in Myoblasts through TGF-β1/Smad3 Pathway
3. Discussion
4. Materials and Methods
4.1. Parasites and ES Products
4.2. Animal Experiments
4.3. Histological Analysis of the Diaphragm
4.4. Co-Culture of Myoblasts with TGF-β1 or SB525334 under Stimulating of T. spiralis ES Products
4.5. Quantitative Real-Time PCR (q-PCR) Analysis
4.6. Western Blot Analysis
4.7. Statistical Analysis
5. Conclusions
Supplementary Materials
Author Contributions
Funding
Institutional Review Board Statement
Informed Consent Statement
Data Availability Statement
Conflicts of Interest
Abbreviations
References
- Rostami, A.; Gamble, H.R.; Dupouy-Camet, J.; Khazan, H.; Bruschi, F. Meat sources of infection for outbreaks of human trichinellosis. Food Microbiol. 2017, 64, 65–71. [Google Scholar] [CrossRef] [PubMed]
- Johne, A.; Filter, M.; Gayda, J.; Buschulte, A.; Bandick, N.; Nöckler, K.; Mayer-Scholl, A. Survival of Trichinella spiralis in cured meat products. Vet. Parasitol. 2020, 287, 109260. [Google Scholar] [CrossRef] [PubMed]
- Polvere, R.I.; Kabbash, C.A.; Capó, V.A.; Kadan, I.; Despommier, D.D. Trichinella spiralis: Synthesis of type IV and type VI collagen during nurse cell formation. Exp. Parasitol. 1997, 86, 191–199. [Google Scholar] [CrossRef]
- Park, M.K.; Cho, M.K.; Kang, S.A.; Kim, B.Y.; Yu, H.S. The induction of the collagen capsule synthesis by Trichinella spiralis is closely related to protease-activated receptor 2. Vet. Parasitol. 2016, 230, 56–61. [Google Scholar] [CrossRef] [PubMed]
- Wu, D.; Guo, J.; Qi, B.; Xiao, H. TGF-β1 induced proliferation, migration, and ECM accumulation through the SNHG11/miR-34b/LIF pathway in human pancreatic stellate cells. Endocr. J. 2021, 68, 1347–1357. [Google Scholar] [CrossRef] [PubMed]
- Meng, X.M.; Nikolic-Paterson, D.J.; Lan, H.Y. TGF-β: The master regulator of fibrosis. Nat. Rev. Nephrol. 2016, 12, 325–338. [Google Scholar] [CrossRef] [PubMed]
- Fabre, V.; Beiting, D.P.; Bliss, S.K.; Gebreselassie, N.G.; Gagliardo, L.F.; Lee, N.A.; Lee, J.J.; Appleton, J.A. Eosinophil deficiency compromises parasite survival in chronic nematode infection. J. Immunol. 2009, 182, 1577–1583. [Google Scholar] [CrossRef]
- Beiting, D.P.; Bliss, S.K.; Schlafer, D.H.; Roberts, V.L.; Appleton, J.A. Interleukin-10 limits local and body cavity inflammation during infection with muscle-stage Trichinella spiralis. Infect. Immun. 2004, 72, 3129–3137. [Google Scholar] [CrossRef]
- Despommier, D.D. How does Trichinella spiralis make itself at home? Parasitol. Today 1998, 14, 318–323. [Google Scholar] [CrossRef]
- Wang, C.H.; Bell, R.G. Trichinella spiralis: Newborn larval migration route in rats reexamined. Exp. Parasitol. 1986, 61, 76–85. [Google Scholar] [CrossRef]
- Kim, K.K.; Sheppard, D.; Chapman, H.A. TGF-β1 signaling and tissue fibrosis. Cold Spring Harb. Perspect. Biol. 2018, 10, a022293. [Google Scholar] [CrossRef] [PubMed]
- Hu, H.H.; Chen, D.Q.; Wang, Y.N.; Feng, Y.L.; Cao, G.; Vaziri, N.D.; Zhao, Y.Y. New insights into TGF-β/Smad signaling in tissue fibrosis. Chem. Biol. Interact. 2018, 292, 76–83. [Google Scholar] [CrossRef] [PubMed]
- Park, M.K.; Kim, H.J.; Cho, M.K.; Kang, S.A.; Park, S.Y.; Jang, S.B.; Yu, H.S. Identification of a host collagen inducing factor from the excretory secretory proteins of Trichinella spiralis. PLoS Negl. Trop. Dis. 2018, 12, e0006516. [Google Scholar] [CrossRef] [PubMed]
- Wu, Z.; Nagano, I.; Boonmars, T.; Takahashi, Y. Involvement of the c-Ski oncoprotein in cell cycle arrest and transformation during nurse cell formation after Trichinella spiralis infection. Int. J. Parasitol. 2006, 36, 1159–1166. [Google Scholar] [CrossRef]
- Vega-Sánchez, V.; Gómez-De-Anda, F.R.; Calderón-Domínguez, G.; Ramírez-Y-Ramírez, M.C.; Reyes-Rodríguez, N.E.; Zepeda-Velázquez, A.P.; Tapia-Romero, R.; de-la-Rosa-Arana, J.L. Kinetics of eosinophils during development of the cellular infiltrate surrounding the nurse cell of Trichinella spiralis in experimentally infected mice. Pathogens 2021, 10, 1382. [Google Scholar] [CrossRef]
- Heo, J.Y.; Do, J.Y.; Lho, Y.; Kim, A.Y.; Kim, S.W.; Kang, S.H. TGF-β1 Receptor inhibitor SB525334 attenuates the epithelial to mesenchymal transition of peritoneal mesothelial cells via the TGF-β1 signaling pathway. Biomedicines 2021, 9, 839. [Google Scholar] [CrossRef]
- Zou, J.; Li, C.; Jiang, S.; Luo, L.; Yan, X.; Huang, D.; Luo, Z. AMPK inhibits Smad3-mediated autoinduction of TGF-β1 in gastric cancer cells. J. Cell. Mol. Med. 2021, 25, 2806–2815. [Google Scholar] [CrossRef]
- Hernández-Ancheyta, L.; Salinas-Tobón, M.D.R.; Cifuentes-Goches, J.C.; Hernández-Sánchez, J. Trichinella spiralis muscle larvae excretory-secretory products induce changes in cytoskeletal and myogenic transcription factors in primary myoblast cultures. Int. J. Parasitol. 2018, 48, 275–285. [Google Scholar] [CrossRef]
- Haehling, E.; Niederkorn, J.Y.; Stewart, G.L. Trichinella spiralis and Trichinella pseudospiralis induce collagen synthesis by host fibroblasts in vitro and in vivo. Int. J. Parasitol. 1995, 25, 1393–1400. [Google Scholar] [CrossRef]
- Ren, H.N.; Zhuo, T.X.; Bai, S.J.; Bai, Y.; Sun, X.Y.; Liu, R.D.; Long, S.R.; Cui, J.; Wang, Z.Q. Proteomic analysis of hydrolytic proteases in excretory/secretory proteins from Trichinella spiralis intestinal infective larvae using zymography combined with shotgun LC-MS/MS approach. Acta Trop. 2021, 216, 105825. [Google Scholar] [CrossRef]
- Wu, Z.; Nagano, I.; Nakada, T.; Takahashi, Y. Expression of excretory and secretory protein genes of Trichinella at muscle stage differs before and after cyst formation. Parasitol. Int. 2002, 51, 155–161. [Google Scholar] [CrossRef] [PubMed]
- Lee, S.P.; Kim, J.H.; Sung, I.K.; Lee, S.Y.; Park, H.S.; Shim, C.S.; Han, H.S. Effect of submucosal fibrosis on endoscopic submucosal dissection of colorectal tumors: Pathologic review of 173 cases. J. Gastroenterol. Hepatol. 2015, 30, 872–878. [Google Scholar] [CrossRef] [PubMed]
- Wang, J.H.; Wei, X.F.; Zhang, C.S.; Lv, G.D.; Jiang, T.; Lu, X.M.; Wen, H.; Lin, R.Y. The expression and significance of Col1a1, Col3a1 and Col4a1 in hepatic tissue of BALB/c mice infected with Echinococcus multilocularis in the middle stages of infection. J. Pathog. Biol. 2012, 7, 653–656. [Google Scholar]
- Li, Y.; Lin, R.Y.; Xu, Q.; Wei, X.F.; Wang, J.H.; Zhang, C.S.; Wen, H.; Ding, J.B. Effects of Echinococcus multilocularis infection on the expression TGF-β1 and its signal protein in liver of Balb/c mice. Immunol. J. 2011, 27, 215–220. [Google Scholar]




| Primer | Primer Sequences (5’-3’) |
|---|---|
| Collagen IV(Col4a1)-Forward | CCCGGAGTTCCAGGATTTCA |
| Collagen IV(Col4a1)-Reverse | TTAGGGCCGGGTACACCTTG |
| CollagenVI (Col6a2)-Forward | AAGGGTGTGCCTGGCTTCAAG |
| CollagenVI (Col6a2)-Reverse | CCAGTTTGCCCTTCTGTCCATC |
| Tgfb1-Forward | GTGTGGAGCAACATGTGGAACTCTA |
| Tgfb1-Reverse | TTGGTTCAGCCACTGCCGTA |
| Smad3-Forward | GAGTAGAGACGCCAGTTCTACC |
| Smad3-Reverse | GGTTTGGAGAACCTGCGTCCAT |
| Gapdh-Forward | TACCCCCAATGTGTCCGTC |
| Gapdh-Reverse | AAGAGTGGGAGTTGCTGTTGAAG |
Disclaimer/Publisher’s Note: The statements, opinions and data contained in all publications are solely those of the individual author(s) and contributor(s) and not of MDPI and/or the editor(s). MDPI and/or the editor(s) disclaim responsibility for any injury to people or property resulting from any ideas, methods, instructions or products referred to in the content. |
© 2023 by the authors. Licensee MDPI, Basel, Switzerland. This article is an open access article distributed under the terms and conditions of the Creative Commons Attribution (CC BY) license (https://creativecommons.org/licenses/by/4.0/).
Share and Cite
Cheng, G.; Zhang, Z.; Wang, Y.; Zao, Y.; Wang, R.; Gao, M.; Feng, M.; Zhang, X.; Jiang, P. Trichinella spiralis-Secreted Products Promote Collagen Capsule Formation through TGF-β1/Smad3 Pathway. Int. J. Mol. Sci. 2023, 24, 15003. https://doi.org/10.3390/ijms241915003
Cheng G, Zhang Z, Wang Y, Zao Y, Wang R, Gao M, Feng M, Zhang X, Jiang P. Trichinella spiralis-Secreted Products Promote Collagen Capsule Formation through TGF-β1/Smad3 Pathway. International Journal of Molecular Sciences. 2023; 24(19):15003. https://doi.org/10.3390/ijms241915003
Chicago/Turabian StyleCheng, Ge, Zifang Zhang, Yixuan Wang, Youjiao Zao, Ruoqi Wang, Mengying Gao, Miaomiao Feng, Xi Zhang, and Peng Jiang. 2023. "Trichinella spiralis-Secreted Products Promote Collagen Capsule Formation through TGF-β1/Smad3 Pathway" International Journal of Molecular Sciences 24, no. 19: 15003. https://doi.org/10.3390/ijms241915003
APA StyleCheng, G., Zhang, Z., Wang, Y., Zao, Y., Wang, R., Gao, M., Feng, M., Zhang, X., & Jiang, P. (2023). Trichinella spiralis-Secreted Products Promote Collagen Capsule Formation through TGF-β1/Smad3 Pathway. International Journal of Molecular Sciences, 24(19), 15003. https://doi.org/10.3390/ijms241915003

