The Importance of Aortic Valve Bicuspid Phenotype in Valvular Evolution in Pediatric Patients: A Case Report and Literature Mini-Review
Abstract
:1. Introduction
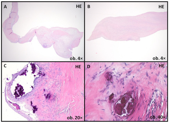
2. Case Presentation
3. Discussion
3.1. Bicuspid Aortic Valve
3.2. Aortopathies Associated with BAV
4. Conclusions
Author Contributions
Funding
Institutional Review Board Statement
Informed Consent Statement
Data Availability Statement
Acknowledgments
Conflicts of Interest
References
- Spaziani, G.; Girolami, F.; Arcieri, L.; Calabri, G.B.; Porcedda, G.; Di Filippo, C.; Surace, F.C.; Pozzi, M.; Favilli, S. Bicuspid Aortic Valve in Children and Adolescents: A Comprehensive Review. Diagnostics 2022, 12, 1751. [Google Scholar] [CrossRef]
- Cotts, T.B.; Salciccioli, K.B.; Swanson, S.K. Aortopathy in Congenital Heart Disease. Cardiol. Clin. 2020, 38, 325–336. [Google Scholar] [CrossRef] [PubMed]
- Niaz, T.; Poterucha, J.T.; Johnson, J.N.; Craviari, C.; Nienaber, T.; Palfreeman, J.; Cetta, F.; Hagler, D.J. Incidence, morphology, and progression of bicuspid aortic valve in pediatric and young adult subjects with coexisting congenital heart defects. Congenit. Heart Dis. 2017, 12, 261–269. [Google Scholar] [CrossRef]
- Crawford, E.; McCarthy, P.M.; Malaisrie, C. The need for comprehensive multidisciplinary programs, complex interventions, and precision medicine for bicuspid aortic valve disease. Ann. Cardiothorac. Surg. 2022, 11, 369–379. [Google Scholar] [CrossRef] [PubMed]
- Vahanian, A.; Beyersdorf, F.; Praz, F.; Milojevic, M.; Baldus, S.; Bauersachs, J.; Capodanno, D.; Conradi, L.; De Bonis, M.; De Paulis, R.; et al. 2021 ESC/EACTS Guidelines for the management of valvular heart disease: Developed by the Task Force for the management of valvular heart disease of the European Society of Cardiology (ESC) and the European Association for Cardio-Thoracic Surgery (EACTS). Eur. Heart J. 2022, 43, 561–632. [Google Scholar] [CrossRef]
- Halushka, M.K.; Angelini, A.; Bartoloni, G.; Basso, C.; Batoroeva, L.; Bruneval, P.; Buja, L.M.; Butany, J.; d’Amati, G.; Fallon, J.T.; et al. Consensus statement on surgical pathology of the aorta from the Society for Cardiovascular Pathology and the Association for European Cardiovascular Pathology: II. Noninflammatory degenerative diseases—Nomenclature and diagnostic criteria. Cardiovasc. Pathol. 2016, 25, 247–257. [Google Scholar] [CrossRef] [PubMed]
- Michelena, H.I.; Della Corte, A.; Evangelista, A.; Maleszewski, J.J.; Edwards, W.D.; Roman, M.J.; Devereux, R.B.; Fernández, B.; Asch, F.M.; Barker, A.J.; et al. International consensus statement on nomenclature and classification of the congenital bicuspid aortic valve and its aortopathy, for clinical, surgical, interventional and research purposes. Eur. J. Cardiothorac. Surg. 2021, 60, 448–476. [Google Scholar] [CrossRef]
- Michelena, H.I.; Della Corte, A.; Evangelista, A.; Maleszewski, J.J.; Enriquez-Sarano, M.; Bax, J.J.; Otto, C.M.; Schäfers, H.J. Speaking a common language: Introduction to a standard terminology for the bicuspid aortic valve and its aortopathy. Prog. Cardiovasc. Dis. 2020, 63, 419–424. [Google Scholar] [CrossRef]
- Grattan, M.; Prince, A.; Rumman, R.K.; Morgan, C.; Petrovic, M.; Hauck, A.; Young, L.; Franco-Cereceda, A.; Loeys, B.; Mohamed, S.A.; et al. Predictors of Bicuspid Aortic Valve–Associated Aortopathy in Childhood a Report from the MIBAVA Consortium. Circ. Cardiovasc. Imaging 2020, 13, e009717. [Google Scholar] [CrossRef]
- Dayawansa, N.H.; Sara Baratchi, S.; Karlheinz, P. Uncoupling the Vicious Cycle of Mechanical Stress and Inflammation in Calcific Aortic Valve Disease. Front. Cardiovasc. Med. Sec. Heart Valve Disease 2022, 9, 783543. [Google Scholar] [CrossRef]
- Chen, J.; Ryzhova, L.M.; Sewell-Loftin, M.; Brown, C.B.; Huppert, S.S.; Baldwin, H.S.; Merryman, W.D. Notch1 mutation leads to valvular calcification through enhanced myofibroblast mechanotransduction. Arterioscler. Thromb. Vasc. Biol. 2015, 35, 1597–1605. [Google Scholar] [CrossRef] [PubMed]
- Hamatani, Y.; Ishibashi-Ueda, H.; Naga, T.; Sugano, Y.; Kanzaki, H.; Yasuda, S.; Fujita, T.; Kobayashi, J.; Anzai, T. Pathological Investigation of Congenital Bicuspid Aortic Valve Stenosis, Compared with Atherosclerotic Tricuspid Aortic Valve Stenosis and Congenital Bicuspid Aortic Valve Regurgitation. PLoS ONE 2016, 11, e0160208. [Google Scholar] [CrossRef]
- Padang, R.; Bannon, P.G.; Jeremy, R.; Richmond, D.R.; Semsarian, C.; Vallely, M.; Wilson, M.; Yan, T.D. The genetic and molecular basis of bicuspid aortic valve associated thoracic aortopathy: A link to phenotype heterogeneity. Ann. Cardiothorac. Surg. 2013, 2, 83–91. [Google Scholar] [CrossRef] [PubMed]
- Făgărășan, A.; Săsăran, M.O. The Predictive Role of Plasma Biomarkers in the Evolution of Aortopathies Associated with Congenital Heart Malformations. Int. J. Mol. Sci. 2022, 23, 4993. [Google Scholar] [CrossRef] [PubMed]
- Grewal, N.; Franken, R.; Mulder, B.J.; Goumans, M.J.; Lindeman, J.H.; Jongbloed, M.R.; De Ruiter, M.C.; Klautz, R.J.; Bogers, A.J.; Poelmann, R.E.; et al. Histopathology of aortic complications in bicuspid aortic valve versus Marfan syndrome: Relevance for therapy? Heart Vessel. 2016, 31, 795–806. [Google Scholar] [CrossRef] [PubMed]
- Kennedy, J.A.; Hua, X.; Mishra, K.; Murphy, G.A.; Rosenkranz, A.C.; Horowitz, J.D. Inhibition of calcifying nodule formation in cultured porcine aortic valve cells by nitric oxide donors. Eur. J. Pharmacol. 2009, 602, 28–35. [Google Scholar] [CrossRef]
- Aicher, D.; Urbich, C.; Zeiher, A.; Dimmeler, S.; Schäfers, H.J. Endothelial nitric oxide synthase in bicuspid aortic valve disease. Ann. Thorac. Surg. 2007, 83, 1290–1294. [Google Scholar] [CrossRef]
- Gioscia-Ryan, R.A.; Clayton, Z.S.; Zigler, M.C.; Richey, J.J.; Cuevas, L.M.; Rossman, M.J.; Battson, M.L.; Ziemba, B.P.; Hutton, D.A.; VanDongen, N.S.; et al. Lifelong Voluntary Aerobic Exercise Prevents Age- and Western Diet- Induced Vascular Dysfunction, Mitochondrial Oxidative Stress and Inflammation in Mice. J. Physiol. 2021, 599, 911–925. [Google Scholar] [CrossRef]
- Riobishek, F.; Padera, R.F., Jr.; Thubrikar, M.J. Dilatation of the ascending aorta in patients with congenitally bicuspid aortic valves. HSR Proc. Intensive Care Cardiovasc. Anesth. 2012, 4, 109–118. [Google Scholar]
- Blais, S.; Meloche-Dumas, L.; Fournier, A.; Dallaire, F.; Dahdah, N. Pediatric Risk Factors of Aortic Dilatation in BAV. Circ. Cardiovasc. Imaging 2020, 13, e009675. [Google Scholar] [CrossRef]
- Biner, S.; Rafique, A.M.; Ray, I.; Cuk, O.; Siegel, R.J.; Tolstrup, K. Aortopathy is prevalent in relatives of bicuspid aortic valve patients. J. Am. Coll. Cardiol. 2009, 53, 2288–2295. [Google Scholar] [CrossRef] [PubMed]
- Galian-Gay, L.; Carro Hevia, A.; Teixido-Turà, G.; Rodríguez Palomares, J.; Gutiérrez-Moreno, L.; Maldonado, G.; Gonzàlez-Alujas, M.T.; Sao-Aviles, A.; Gallego, P.; Calvo-Iglesias, F.; et al. Familial clustering of bicuspid aortic valve and its relationship with aortic dilation in first-degree relatives. Heart 2019, 105, 603–608. [Google Scholar] [CrossRef] [PubMed]
- Mahle, W.T.; Sutherland, J.L.; Frias, P.A. Outcome of Isolated Bicuspid Aortic Valve in Childhood. J. Pediatr. 2010, 157, 445–449. [Google Scholar] [CrossRef] [PubMed]
- Pape, L.A.; Tsai, T.T.; Isselbacher, E.M.; Oh, J.K.; O’Gara, P.T.; Evangelista, A.; Fattori, R.; Meinhardt, G.; Trimarchi, S.; Bossone, E.; et al. Aortic diameter ≥5.5 cm is not a good predictor of type a aortic dissection: Observations from the International Registry of Acute Aortic Dissection (IRAD). Circulation 2007, 116, 1120–1127. [Google Scholar] [CrossRef] [PubMed]
- Grewal, N.; Klautz, R.J.M.; Poelmann, R.E. Intrinsic histological and morphological abnormalities of the pediatric thoracic aorta in bicuspid aortic valve patients are predictive for future aortopathy. Pathol. Res. Pract. 2023, 248, 154620. [Google Scholar] [CrossRef] [PubMed]





Disclaimer/Publisher’s Note: The statements, opinions and data contained in all publications are solely those of the individual author(s) and contributor(s) and not of MDPI and/or the editor(s). MDPI and/or the editor(s) disclaim responsibility for any injury to people or property resulting from any ideas, methods, instructions or products referred to in the content. |
© 2023 by the authors. Licensee MDPI, Basel, Switzerland. This article is an open access article distributed under the terms and conditions of the Creative Commons Attribution (CC BY) license (https://creativecommons.org/licenses/by/4.0/).
Share and Cite
Făgărășan, A.; Gurzu, S.; Satala, C.-B.; Hagău, A.C. The Importance of Aortic Valve Bicuspid Phenotype in Valvular Evolution in Pediatric Patients: A Case Report and Literature Mini-Review. Int. J. Mol. Sci. 2023, 24, 14027. https://doi.org/10.3390/ijms241814027
Făgărășan A, Gurzu S, Satala C-B, Hagău AC. The Importance of Aortic Valve Bicuspid Phenotype in Valvular Evolution in Pediatric Patients: A Case Report and Literature Mini-Review. International Journal of Molecular Sciences. 2023; 24(18):14027. https://doi.org/10.3390/ijms241814027
Chicago/Turabian StyleFăgărășan, Amalia, Simona Gurzu, Catalin-Bogdan Satala, and Asmaa Carla Hagău. 2023. "The Importance of Aortic Valve Bicuspid Phenotype in Valvular Evolution in Pediatric Patients: A Case Report and Literature Mini-Review" International Journal of Molecular Sciences 24, no. 18: 14027. https://doi.org/10.3390/ijms241814027
APA StyleFăgărășan, A., Gurzu, S., Satala, C.-B., & Hagău, A. C. (2023). The Importance of Aortic Valve Bicuspid Phenotype in Valvular Evolution in Pediatric Patients: A Case Report and Literature Mini-Review. International Journal of Molecular Sciences, 24(18), 14027. https://doi.org/10.3390/ijms241814027

