Characterization of a Human Gastrointestinal Stromal Tumor Cell Line Established by SV40LT-Mediated Immortalization
Abstract
:1. Introduction
2. Results
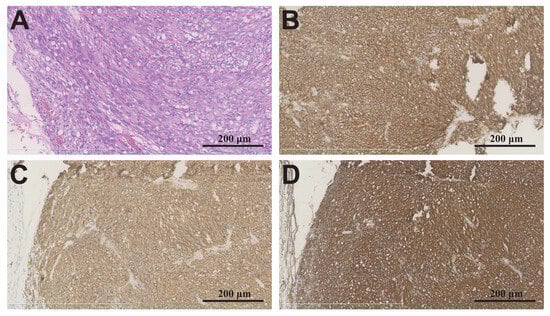
2.1. Pathological Assessment of the GIST Tumor Tissue
2.2. Primary Cell Culture and Identification of Primary GIST Cells
2.3. ImGIST Cell Line Characterization
2.3.1. ImGIST Cell Morphology
2.3.2. Genetic Mutation Analysis of the ImGIST Cell Line
2.3.3. Short Tandem Repeat Analysis of ImGISTs
2.3.4. Karyotype Analysis of ImGIST Cells
2.3.5. Effects of Imatinib Inhibition on ImGIST Cell Growth
2.3.6. Effects of Different Serum Concentrations on ImGIST Cell Growth
2.4. Comparison between the Biological Characteristics of ImGIST and PriGIST Cell Lines
2.4.1. Cell Growth Analysis
2.4.2. Cell Cycle
2.4.3. SV40LT, P53, and CD1117 Expression Analysis
3. Discussion
4. Materials and Methods
4.1. Patient Clinical Information
4.2. Isolation of Primary GIST Cells
4.3. Immortalization of Primary GIST Cells
4.4. Cell Morphology
4.5. Immunofluorescence Identification
4.6. Genetic Mutation Analysis
4.7. Short Tandem Repeat Analysis
4.8. Karyotype Analysis
4.9. Cell Growth Assay
4.10. Cell Cycle
4.11. Real-Time PCR
4.12. Western Blot Analysis
4.13. Drug Sensitivity Test
4.14. Effects of Serum Concentration on Cell Growth
4.15. Statistical Analysis
Author Contributions
Funding
Institutional Review Board Statement
Informed Consent Statement
Data Availability Statement
Conflicts of Interest
Abbreviations
| SV40LT | simian virus 40 large T antigen |
| ImGIST | immortalized gastrointestinal stromal tumor cell line |
| HE | hematoxylin-eosin |
| HPFs | high-power fields |
| PriGIST | primary gastrointestinal stromal tumor cells |
| STR | Short Tandem Repeat |
| IC50 | half maximal inhibitory concentration |
| FBS | fetal bovine serum |
| Td | doubling time |
| bFGF | basic fibroblast growth factor |
| BSA | bovine serum albumin |
| DAPI | 4′,6-diamidino-2-phenylindole |
| GAPDH | glyceraldehyde 3-phosphate dehydrogenase |
| RIPA | radio-immunoprecipitation assay |
References
- Joensuu, H.; Fletcher, C.; Dimitrijevic, S.; Silberman, S.; Roberts, P.; Demetri, G. Management of malignant gastrointestinal stromal tumours. Lancet Oncol. 2002, 3, 655–664. [Google Scholar] [CrossRef]
- Miettinen, M.; Lasota, J. Gastrointestinal stromal tumors: Pathology and prognosis at different sites. Semin. Diagn. Pathol. 2006, 23, 70–83. [Google Scholar] [CrossRef]
- Hirota, S.; Isozaki, K.; Moriyama, Y.; Hashimoto, K.; Nishida, T.; Ishiguro, S.; Kawano, K.; Hanada, M.; Kurata, A.; Takeda, M.; et al. Gain-of-function mutations of c-kit in human gastrointestinal stromal tumors. Science 1998, 279, 577–580. [Google Scholar] [CrossRef]
- Rubin, B.P.; Heinrich, M.C.; Corless, C.L. Gastrointestinal stromal tumour. Lancet 2007, 369, 1731–1741. [Google Scholar] [CrossRef]
- Joensuu, H.; Hohenberger, P.; Corless, C.L. Gastrointestinal stromal tumour. Lancet 2013, 382, 973–983. [Google Scholar] [CrossRef]
- Wozniak, A.; Gebreyohannes, Y.K.; Debiec-Rychter, M.; Schöffski, P. New targets and therapies for gastrointestinal stromal tumors. Expert. Rev. Anticancer. Ther. 2017, 17, 1117–1129. [Google Scholar] [CrossRef]
- Wu, C.E.; Tzen, C.Y.; Wang, S.Y.; Yeh, C.N. Clinical Diagnosis of Gastrointestinal Stromal Tumor (GIST): From the Molecular Genetic Point of View. Cancers 2019, 11, 679. [Google Scholar] [CrossRef]
- von Mehren, M.; Randall, R.L.; Benjamin, R.S.; Boles, S.; Bui, M.M.; Casper, E.S.; Conrad, E.U., III; DeLaney, T.F.; Ganjoo, K.N.; George, S.; et al. Gastrointestinal stromal tumors, version 2.2014. J. Natl. Compr. Canc Netw. 2014, 12, 853–862. [Google Scholar] [CrossRef]
- Casali, P.G.; Abecassis, N.; Aro, H.T.; Bauer, S.; Biagini, R.; Bielack, S.; Bonvalot, S.; Boukovinas, I.; Bovee, J.; Brodowicz, T.; et al. Gastrointestinal stromal tumours: ESMO-EURACAN Clinical Practice Guidelines for diagnosis, treatment and follow-up. Ann. Oncol. 2018, 29, iv267. [Google Scholar] [CrossRef]
- Blay, J.Y.; Kang, Y.K.; Nishida, T.; von Mehren, M. Gastrointestinal stromal tumours. Nat. Rev. Dis. Primers 2021, 7, 22. [Google Scholar] [CrossRef]
- Joensuu, H.; Eriksson, M.; Sundby Hall, K.; Reichardt, A.; Hermes, B.; Schütte, J.; Cameron, S.; Hohenberger, P.; Jost, P.J.; Al-Batran, S.E.; et al. Survival Outcomes Associated with 3 Years vs 1 Year of Adjuvant Imatinib for Patients With High-Risk Gastrointestinal Stromal Tumors: An Analysis of a Randomized Clinical Trial After 10-Year Follow-up. JAMA Oncol. 2020, 6, 1241–1246. [Google Scholar] [CrossRef]
- Dudzisz-Śledź, M.; Klimczak, A.; Bylina, E.; Rutkowski, P. Treatment of Gastrointestinal Stromal Tumors (GISTs): A Focus on Younger Patients. Cancers 2022, 14, 2831. [Google Scholar] [CrossRef]
- Demetri, G.D.; von Mehren, M.; Blanke, C.D.; Van den Abbeele, A.D.; Eisenberg, B.; Roberts, P.J.; Heinrich, M.C.; Tuveson, D.A.; Singer, S.; Janicek, M.; et al. Efficacy and safety of imatinib mesylate in advanced gastrointestinal stromal tumors. N. Engl. J. Med. 2002, 347, 472–480. [Google Scholar] [CrossRef]
- Raut, C.P.; Espat, N.J.; Maki, R.G.; Araujo, D.M.; Trent, J.; Williams, T.F.; Purkayastha, D.D.; DeMatteo, R.P. Efficacy and Tolerability of 5-Year Adjuvant Imatinib Treatment for Patients With Resected Intermediate- or High-Risk Primary Gastrointestinal Stromal Tumor: The PERSIST-5 Clinical Trial. JAMA Oncol. 2018, 4, e184060. [Google Scholar] [CrossRef]
- Li, B.; Chen, H.; Yang, S.; Chen, F.; Xu, L.; Li, Y.; Li, M.; Zhu, C.; Shao, F.; Zhang, X.; et al. Advances in immunology and immunotherapy for mesenchymal gastrointestinal cancers. Mol. Cancer 2023, 22, 71. [Google Scholar] [CrossRef]
- Zhang, D.; He, C.; Guo, Y.; Li, J.; Li, B.; Zhao, Y.; Yu, L.; Chang, Z.; Pei, H.; Yang, M.; et al. Efficacy of SCF drug conjugate targeting c-KIT in gastrointestinal stromal tumor. BMC Med. 2022, 20, 257. [Google Scholar] [CrossRef]
- Tuveson, D.A.; Willis, N.A.; Jacks, T.; Griffin, J.D.; Singer, S.; Fletcher, C.D.; Fletcher, J.A.; Demetri, G.D. STI571 inactivation of the gastrointestinal stromal tumor c-KIT oncoprotein: Biological and clinical implications. Oncogene 2001, 20, 5054–5058. [Google Scholar] [CrossRef]
- Taguchi, T.; Sonobe, H.; Toyonaga, S.; Yamasaki, I.; Shuin, T.; Takano, A.; Araki, K.; Akimaru, K.; Yuri, K. Conventional and molecular cytogenetic characterization of a new human cell line, GIST-T1, established from gastrointestinal stromal tumor. Lab. Investig. 2002, 82, 663–665. [Google Scholar] [CrossRef]
- Bauer, S.; Yu, L.K.; Demetri, G.D.; Fletcher, J.A. Heat shock protein 90 inhibition in imatinib-resistant gastrointestinal stromal tumor. Cancer Res. 2006, 66, 9153–9161. [Google Scholar] [CrossRef]
- Rossi, S.; Ou, W.; Tang, D.; Bhattacharya, N.; Dei Tos, A.P.; Fletcher, J.A.; Loda, M. Gastrointestinal stromal tumours overexpress fatty acid synthase. J. Pathol. 2006, 209, 369–375. [Google Scholar] [CrossRef]
- Kierstead, T.D.; Tevethia, M.J. Association of p53 binding and immortalization of primary C57BL/6 mouse embryo fibroblasts by using simian virus 40 T-antigen mutants bearing internal overlapping deletion mutations. J. Virol. 1993, 67, 1817–1829. [Google Scholar] [CrossRef]
- Li, P.; Wu, Y.; Goodwin, A.J.; Halushka, P.V.; Wilson, C.L.; Schnapp, L.M.; Fan, H. Generation of a new immortalized human lung pericyte cell line: A promising tool for human lung pericyte studies. Lab. Investig. 2021, 101, 625–635. [Google Scholar] [CrossRef]
- Lundberg, A.S.; Randell, S.H.; Stewart, S.A.; Elenbaas, B.; Hartwell, K.A.; Brooks, M.W.; Fleming, M.D.; Olsen, J.C.; Miller, S.W.; Weinberg, R.A.; et al. Immortalization and transformation of primary human airway epithelial cells by gene transfer. Oncogene 2002, 21, 4577–4586. [Google Scholar] [CrossRef] [PubMed]
- Toouli, C.D.; Huschtscha, L.I.; Neumann, A.A.; Noble, J.R.; Colgin, L.M.; Hukku, B.; Reddel, R.R. Comparison of human mammary epithelial cells immortalized by simian virus 40 T-Antigen or by the telomerase catalytic subunit. Oncogene 2002, 21, 128–139. [Google Scholar] [CrossRef] [PubMed]
- Ahuja, D.; Sáenz-Robles, M.T.; Pipas, J.M. SV40 large T antigen targets multiple cellular pathways to elicit cellular transformation. Oncogene 2005, 24, 7729–7745. [Google Scholar] [CrossRef]
- Bukowy-Bieryłło, Z. Long-term differentiating primary human airway epithelial cell cultures: How far are we? Cell Commun. Signal 2021, 19, 63. [Google Scholar] [CrossRef] [PubMed]
- Wang, Y.; Chen, S.; Yan, Z.; Pei, M. A prospect of cell immortalization combined with matrix microenvironmental optimization strategy for tissue engineering and regeneration. Cell Biosci. 2019, 9, 7. [Google Scholar] [CrossRef]
- Guo, D.; Zhang, L.; Wang, X.; Zheng, J.; Lin, S. Establishment methods and research progress of livestock and poultry immortalized cell lines: A review. Front. Vet. Sci. 2022, 9, 956357. [Google Scholar] [CrossRef] [PubMed]
- Kirchhoff, C.; Araki, Y.; Huhtaniemi, I.; Matusik, R.J.; Osterhoff, C.; Poutanen, M.; Samalecos, A.; Sipilä, P.; Suzuki, K.; Orgebin-Crist, M.C. Immortalization by large T-antigen of the adult epididymal duct epithelium. Mol. Cell Endocrinol. 2004, 216, 83–94. [Google Scholar] [CrossRef]
- Manfredi, J.J.; Prives, C. The transforming activity of simian virus 40 large tumor antigen. Biochim. Biophys. Acta 1994, 1198, 65–83. [Google Scholar] [CrossRef] [PubMed]
- Bryan, T.M.; Reddel, R.R. SV40-induced immortalization of human cells. Crit. Rev. Oncog. 1994, 5, 331–357. [Google Scholar] [CrossRef] [PubMed]
- Liu, Y.; Wang, C.H.; Fan, J.; Peng, J.X.; Pan, J.; Zhang, X.; Qi, S.T. Establishing a papillary craniopharyngioma cell line by SV40LT-mediated immortalization. Pituitary 2021, 24, 159–169. [Google Scholar] [CrossRef] [PubMed]
- Doyle, L.A.; Hornick, J.L. Gastrointestinal stromal tumours: From KIT to succinate dehydrogenase. Histopathology 2014, 64, 53–67. [Google Scholar] [CrossRef] [PubMed]
- Joensuu, H.; Wardelmann, E.; Sihto, H.; Eriksson, M.; Sundby Hall, K.; Reichardt, A.; Hartmann, J.T.; Pink, D.; Cameron, S.; Hohenberger, P.; et al. Effect of KIT and PDGFRA Mutations on Survival in Patients With Gastrointestinal Stromal Tumors Treated With Adjuvant Imatinib: An Exploratory Analysis of a Randomized Clinical Trial. JAMA Oncol. 2017, 3, 602–609. [Google Scholar] [CrossRef] [PubMed]
- Heinrich, M.C.; Rankin, C.; Blanke, C.D.; Demetri, G.D.; Borden, E.C.; Ryan, C.W.; von Mehren, M.; Blackstein, M.E.; Priebat, D.A.; Tap, W.D.; et al. Correlation of Long-term Results of Imatinib in Advanced Gastrointestinal Stromal Tumors With Next-Generation Sequencing Results: Analysis of Phase 3 SWOG Intergroup Trial S0033. JAMA Oncol. 2017, 3, 944–952. [Google Scholar] [CrossRef]
- Schaefer, I.M.; Mariño-Enríquez, A.; Fletcher, J.A. What is New in Gastrointestinal Stromal Tumor? Adv. Anat. Pathol. 2017, 24, 259–267. [Google Scholar] [CrossRef]
- Burk, J.; Holland, H.; Lauermann, A.F.; May, T.; Siedlaczek, P.; Charwat, V.; Kasper, C. Generation and characterization of a functional human adipose-derived multipotent mesenchymal stromal cell line. Biotechnol. Bioeng. 2019, 116, 1417–1426. [Google Scholar] [CrossRef]
- Sommer, G.; Agosti, V.; Ehlers, I.; Rossi, F.; Corbacioglu, S.; Farkas, J.; Moore, M.; Manova, K.; Antonescu, C.R.; Besmer, P. Gastrointestinal stromal tumors in a mouse model by targeted mutation of the Kit receptor tyrosine kinase. Proc. Natl. Acad. Sci. USA 2003, 100, 6706–6711. [Google Scholar] [CrossRef]
- Nakai, N.; Ishikawa, T.; Nishitani, A.; Liu, N.N.; Shincho, M.; Hao, H.; Isozaki, K.; Kanda, T.; Nishida, T.; Fujimoto, J.; et al. A mouse model of a human multiple GIST family with KIT-Asp820Tyr mutation generated by a knock-in strategy. J. Pathol. 2008, 214, 302–311. [Google Scholar] [CrossRef]
- Kondo, J.; Huh, W.J.; Franklin, J.L.; Heinrich, M.C.; Rubin, B.P.; Coffey, R.J. A smooth muscle-derived, Braf-driven mouse model of gastrointestinal stromal tumor (GIST): Evidence for an alternative GIST cell-of-origin. J. Pathol. 2020, 252, 441–450. [Google Scholar] [CrossRef]
- Cao, Y.; Zhang, X.; Chen, Q.; Rao, X.; Qiu, E.; Wu, G.; Lin, Y.; Zeng, Z.; Zheng, B.; Li, Z.; et al. Patient-Derived Organoid Facilitating Personalized Medicine in Gastrointestinal Stromal Tumor With Liver Metastasis: A Case Report. Front. Oncol. 2022, 12, 920762. [Google Scholar] [CrossRef] [PubMed]
- Tang, X.Y.; Wu, S.; Wang, D.; Chu, C.; Hong, Y.; Tao, M.; Hu, H.; Xu, M.; Guo, X.; Liu, Y. Human organoids in basic research and clinical applications. Signal Transduct. Target. Ther. 2022, 7, 168. [Google Scholar] [CrossRef] [PubMed]
- Schneider, C.A.; Rasband, W.S.; Eliceiri, K.W. NIH Image to ImageJ: 25 years of image analysis. Nat. Methods 2012, 9, 671–675. [Google Scholar] [CrossRef] [PubMed]







| Locus | PriGIST | ImGIST |
|---|---|---|
| Amelogenin | X, X | X, X |
| D5S818 | 10, 12 | 10, 12 |
| D13S317 | 8, 8 | 8, 8 |
| D7S820 | 8, 13 | 8, 13 |
| D16S539 | 11, 12 | 11, 12 |
| VWA | 14, 14 | 14, 14 |
| TH01 | 9, 10 | 9, 10 |
| TPOX | 8, 8 | 8, 8 |
| CSF1PO | 10, 11 | 10, 11 |
| D12S391 | 19, 20 | 19, 20 |
| FGA | 23, 24 | 23, 24 |
| D2S1338 | 22, 24 | 22, 24 |
| D21S11 | 29, 30 | 29, 30 |
| D18S51 | 17, 17 | 17, 17 |
| D8S1179 | 10, 11 | 10, 11 |
| D3S1358 | 15, 17 | 15, 17 |
| D6S1043 | 12, 12 | 12, 12 |
| PENTAE | 12, 20 | 12, 20 |
| D19S433 | 16, 17.2 | 16, 17.2 |
| PENTAD | 10, 11 | 10, 11 |
| D1S1656 | 11, 16 | 11, 16 |
| Genes | Sequences |
|---|---|
| SV40 | Forward: 5′-TTC AGA GCA GAA TTG TGG AGT G-3′ |
| Reverse: 5′-CCT GGCT GTC TTC ATC ATC ATC-3′ | |
| P53 | Forward: 5′-CCA ACA ACA CCA GCT CCT CT-3′ |
| Reverse: 5′-CCT CAT TCA GCT CTC GGA AC-3′ | |
| GAPDH | Forward: 5′-AGT CCA CTG GCG TCT TCA-3′ |
| Reverse: 5′-AGG CTG TTG TCA TAC TTC TCA T-3′ |
Disclaimer/Publisher’s Note: The statements, opinions and data contained in all publications are solely those of the individual author(s) and contributor(s) and not of MDPI and/or the editor(s). MDPI and/or the editor(s) disclaim responsibility for any injury to people or property resulting from any ideas, methods, instructions or products referred to in the content. |
© 2023 by the authors. Licensee MDPI, Basel, Switzerland. This article is an open access article distributed under the terms and conditions of the Creative Commons Attribution (CC BY) license (https://creativecommons.org/licenses/by/4.0/).
Share and Cite
Hu, X.; Su, P.; Liu, B.; Guo, J.; Wang, Z.; He, C.; Wang, Z.; Kou, Y. Characterization of a Human Gastrointestinal Stromal Tumor Cell Line Established by SV40LT-Mediated Immortalization. Int. J. Mol. Sci. 2023, 24, 13640. https://doi.org/10.3390/ijms241713640
Hu X, Su P, Liu B, Guo J, Wang Z, He C, Wang Z, Kou Y. Characterization of a Human Gastrointestinal Stromal Tumor Cell Line Established by SV40LT-Mediated Immortalization. International Journal of Molecular Sciences. 2023; 24(17):13640. https://doi.org/10.3390/ijms241713640
Chicago/Turabian StyleHu, Xiangchen, Peng Su, Bo Liu, Jingwei Guo, Zitong Wang, Cai He, Zhe Wang, and Youwei Kou. 2023. "Characterization of a Human Gastrointestinal Stromal Tumor Cell Line Established by SV40LT-Mediated Immortalization" International Journal of Molecular Sciences 24, no. 17: 13640. https://doi.org/10.3390/ijms241713640
APA StyleHu, X., Su, P., Liu, B., Guo, J., Wang, Z., He, C., Wang, Z., & Kou, Y. (2023). Characterization of a Human Gastrointestinal Stromal Tumor Cell Line Established by SV40LT-Mediated Immortalization. International Journal of Molecular Sciences, 24(17), 13640. https://doi.org/10.3390/ijms241713640

