Mechanism of Action and Efficiency of Ag3PO4-Based Photocatalysts for the Control of Hazardous Gram-Positive Pathogens
Abstract
:1. Introduction
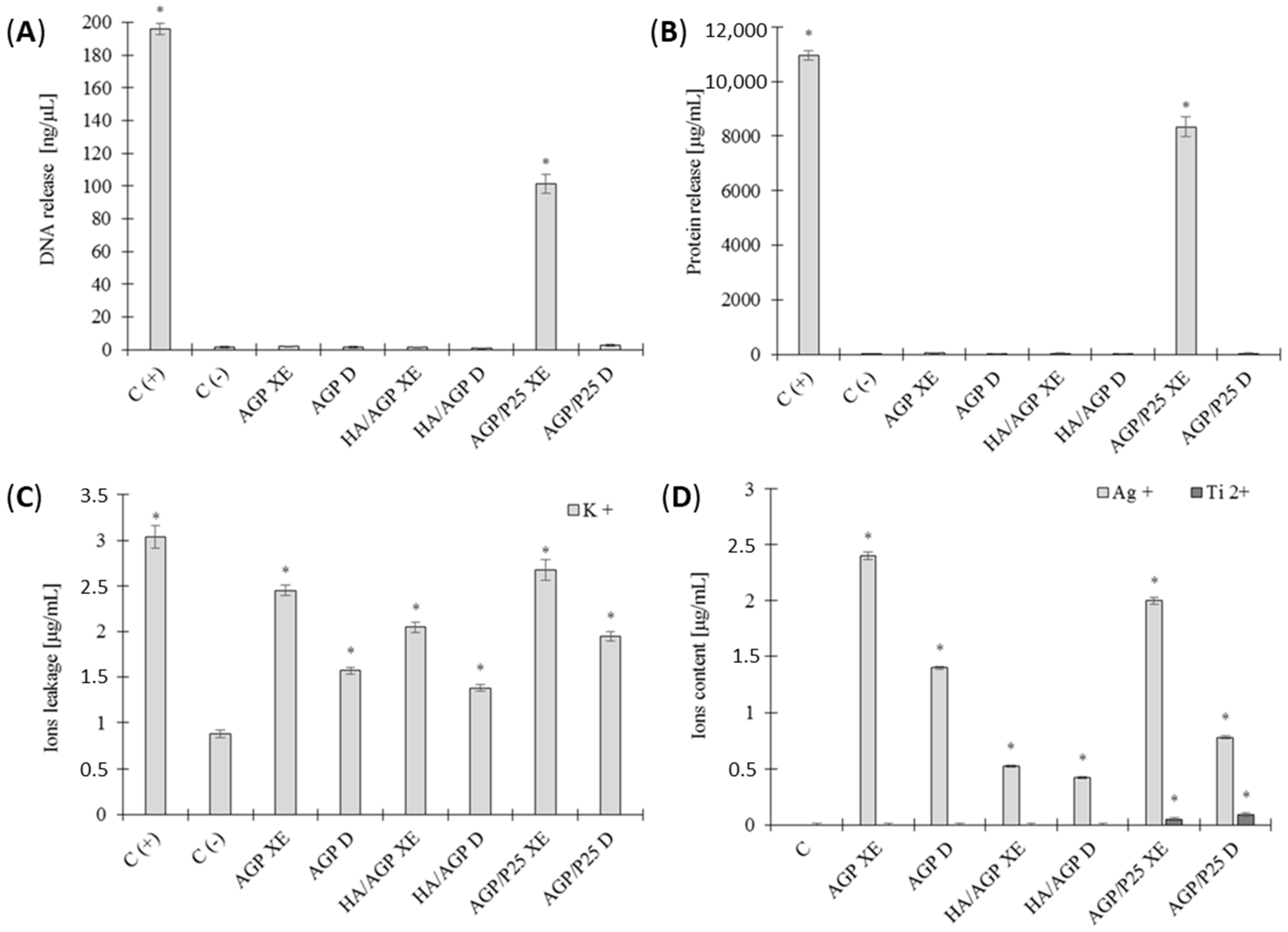
2. Results and Discussion
3. Materials and Methods
3.1. Nanopowders
- Ag3PO4/P25 (AGP/P25); P25–TiO2 powder 75 wt.% anatase:25 wt.% rutile phases)
- Ag3PO4/HA (HA/AGP); HA–hydroxyapatite
- Ag3PO4 (AGP)
- HA
3.2. Preparation and Characterization of Photocatalysts
3.3. Strains and Growth Condition
3.4. Photocatalytic Inactivation Experiment
3.5. Leakage of Cellular Metabolites
3.6. Leakage of Potassium Ions
3.7. Penetration of Silver and Titanium Ions
3.8. Ions Content Analysis ICP-OES
3.9. Oxidative Stress and ROS Production
3.10. Bacterial Viability (CLSM)
3.11. TEM and SEM EDS Analysis
3.12. Statistical Analysis
4. Conclusions
- It shows a detailed antibacterial mechanism of action of the investigated microcomposites;
- Studies on the antimicrobial activity of the tested compounds involved resistant strains of Gram-positive bacteria, both reference and clinical with a great impact on nosocomial infections;
- Compared to other studies (generally focused on one compound), these presented in the following article include the antimicrobial activity of several different silver phosphate composites exposed to VIS light or without exposure.
Author Contributions
Funding
Institutional Review Board Statement
Informed Consent Statement
Data Availability Statement
Acknowledgments
Conflicts of Interest
References
- Ma, Z.; Lin, S.; Sa, R.; Li, Q.; Wu, K. A Comprehensive Understanding of Water Photooxidation on Ag3PO4 Surfaces. RSC Adv. 2017, 7, 23994–24003. [Google Scholar] [CrossRef]
- Lipsky, F.; Lacerda, L.H.D.S.; De Lazaro, S.R.; Longo, E.; Andrés, J.; San-Miguel, M.A. Unraveling the Relationship between Exposed Surfaces and the Photocatalytic Activity of Ag3PO4: An in-Depth Theoretical Investigation. RSC Adv. 2020, 10, 30640–30649. [Google Scholar] [CrossRef] [PubMed]
- Mesquita, M.Q.; Dias, C.J.; Neves, M.G.P.M.S.; Almeida, A.; Faustino, M.A.F. Revisiting Current Photoactive Materials for Antimicrobial Photodynamic Therapy. Molecules 2018, 23, 2424. [Google Scholar] [CrossRef]
- Declerck, N.; Bouillaut, L.; Chaix, D.; Rugani, N.; Slamti, L.; Hoh, F.; Lereclus, D.; Arold, S.T. Structure of PlcR: Insights into virulence regulation and evolution of quorum sensing in Gram-positive bacteria. Proc. Natl. Acad. Sci. USA 2007, 104, 18490–18495. [Google Scholar] [CrossRef]
- Dancer, S.J. Controlling Hospital-Acquired Infection: Focus on the Role of the Environment and New Technologies for Decontamination. Clin. Microbiol. Rev. 2014, 27, 665–690. [Google Scholar] [CrossRef]
- Gawryszewska, I.; Żabicka, D.; Hryniewicz, W.; Sadowy, E. Linezolid-Resistant Enterococci in Polish Hospitals: Species, Clonality and Determinants of Linezolid Resistance. Eur. J. Clin. Microbiol. Infect. Dis. 2017, 36, 1279–1286. [Google Scholar] [CrossRef]
- Seo, Y.; Yeo, B.E.; Cho, Y.S.; Park, H.; Kwon, C.; Huh, Y.D. Photo-Enhanced Antibacterial Activity of Ag3PO4. Mater. Lett. 2017, 197, 146–149. [Google Scholar] [CrossRef]
- Hamrouni, A.; Azzouzi, H.; Rayes, A.; Palmisano, L.; Ceccato, R.; Parrino, F. Enhanced Solar Light Photocatalytic Activity of Ag Doped TiO2-Ag3PO4 Composites. Nanomaterials 2020, 10, 795. [Google Scholar] [CrossRef] [PubMed]
- Sabri, M.; Habibi-Yangjeh, A.; Chand, H.; Krishnan, V. Activation of persulfate by novel TiO2/FeOCl photocatalyst under visible light: Facile synthesis and high photocatalytic performance. Sep. Purif. Technol. 2020, 250, 117268. [Google Scholar] [CrossRef]
- Wei, N.; Cui, H.; Song, Q.; Zhang, L.; Song, X.; Wang, K.; Zhang, Y.; Li, J.; Wen, J.; Tian, J. Ag2O nanoparticle/TiO2 nanobelt heterostructures with remarkable photo-response and photocatalytic properties under UV, visible and near-infrared irradiation. Appl. Catal. B Environ. 2016, 198, 83–90. [Google Scholar] [CrossRef]
- Lyu, Y.; We, F.; Zhang, T.; Luo, L.; Pan, Y.; Yang, X.; You, H.; Zhou, S. Different antibacterial effect of Ag3PO4/TiO2 heterojunctions and the TiO2 polymorphs. J. Alloys Compd. 2021, 876, 160016. [Google Scholar] [CrossRef]
- Xu, J.W.; Gao, Z.D.; Han, K.; Liu, Y.; Song, Y.Y. Synthesis of magnetically separable Ag3PO4/TiO2/Fe3O4 heterostructure with enhanced photocatalytic performance under visible light for photoinactivation of bacteria. ACS Appl. Mater. Interfaces 2014, 6, 15122–15131. [Google Scholar] [CrossRef] [PubMed]
- Li, Y.; Zhang, W.; Niu, J.; Chen, Y. Mechanism of Photogenerated Reactive Oxygen Species and Correlation with the Antibacterial Properties of Engineered Metal-Oxide Nanoparticles. ACS Nano 2012, 6, 5164–5173. [Google Scholar] [CrossRef] [PubMed]
- Paluch, E.; Szperlik, J.; Lamch, Ł.; Wilk, K.A.; Obłąk, E. Biofilm Eradication and Antifungal Mechanism of Action against Candida albicans of Cationic Dicephalic Surfactants with a Labile Linker. Sci. Rep. 2021, 11, 8896. [Google Scholar] [CrossRef]
- Dickinson, B.C.; Chang, C.J. Chemistry and Biology of Reactive Oxygen Species in Signaling or Stress Responses. Nat. Chem. Biol. 2011, 7, 504–511. [Google Scholar] [CrossRef]
- Seo, Y.; Park, K.; Hong, Y.; Lee, E.S.; Kim, S.S.; Jung, Y.T.; Park, H.; Kwon, C.; Cho, Y.S.; Huh, Y.D. Reactive-Oxygen-Species-Mediated Mechanism for Photoinduced Antibacterial and Antiviral Activities of Ag3PO4. J. Anal. Sci. Technol. 2020, 11, 21. [Google Scholar] [CrossRef] [PubMed]
- Almeida, J.A.S.; Faneca, H.; Carvalho, R.A.; Marques, E.F.; Pais, A.A.C.C. Dicationic Alkylammonium Bromide Gemini Surfactants. Membrane Perturbation and Skin Irritation. PLoS ONE 2011, 6, e26965. [Google Scholar] [CrossRef]
- Pathakoti, K.; Morrow, S.; Han, C.; Pelaez, M.; He, X.; Dionysiou, D.D.; Hwang, H.M. Photoinactivation of Escherichia Coli by sulfur-doped and nitrogen-fluorine-codoped TiO2 nanoparticles under solar simulated light and visible light irradiation. Environ. Sci. Technol. 2013, 47, 9988–9996. [Google Scholar] [CrossRef] [PubMed]
- Paluch, E.; Szperlik, J.; Czuj, T.; Cal, M.; Lamch, Ł.; Wilk, K.A.; Obłąk, E. Multifunctional Cationic Surfactants with a Labile Amide Linker as Efficient Antifungal Agents—Mechanisms of Action. Appl. Microbiol. Biotechnol. 2021, 105, 1237–1251. [Google Scholar] [CrossRef]
- Bonetta, S.; Bonetta, S.; Motta, F.; Strini, A.; Carraro, E. Photocatalytic Bacterial Inactivation by TiO2-Coated Surfaces. AMB Express 2013, 3, 59. [Google Scholar] [CrossRef]
- Tsuang, Y.H.; Sun, J.S.; Huang, Y.C.; Lu, C.H.; Chang, W.H.S.; Wang, C.C. Studies of Photokilling of Bacteria Using Titanium Dioxide Nanoparticles. Artif. Organs 2008, 32, 167–174. [Google Scholar] [CrossRef]
- Saud, P.S.; Pant, B.; Twari, A.P.; Ghouri, Z.K.; Park, M.; Kim, H.Y. Effective photocatalyctic efficacy of hydrothermally synthesized silver phosphate decorated titanium dioxide nanocomposite fibers. J. Colloid Interface Sci. 2016, 465, 225–232. [Google Scholar] [CrossRef]
- Yang, X.; Qin, J.; Jiang, Y.; Chen, K.; Yan, X.; Zhang, D.; Li, R.; Tang, H. Fabrication of P25/Ag3PO4/graphebe oxide heterostructures for enhanced solar photocatalyctic degradation of organic pollutants and bacteria. Appl. Catal. B Environ. 2015, 166–167, 231–240. [Google Scholar] [CrossRef]
- Li, Y.; Zzhou, H.; Zhu, G.; Shao, C.; Pan, H.; Xu, X.; Tang, R. High efficient multifunctional Ag3PO4 loaded hydroxyapatite nanowires for water treatment. J. Hazard. Mater. 2015, 299, 379–387. [Google Scholar] [CrossRef] [PubMed]
- Elyacoubi, A.; Rkhaila, A.; Sallek, B.; Elidrissi, B.C. Antibacterial and photocatalyctic performance of Silver orthophosphate/Hydroxyapatite composite. Mediterr. J. Chem. 2019, 8, 320–327. [Google Scholar] [CrossRef]
- Mccullagh, C.; Robertson, J.M.C.; Bahnemann, D.W.; Robertson, P.K.J. The Application of TiO2 Photocatalysis for Disinfection of Water Contaminated with Pathogenic Micro-Organisms: A Review. Res. Chem. Intermed. 2007, 33, 359–375. [Google Scholar] [CrossRef]
- Singh, K.; Gujju, R.; Bandaru, S.; Misra, S.; Babu, K.S.; Puvvada, N. Facet-Dependent Bactericidal Activity of Ag3PO4 Nanostructures against Gram-Positive/Negative Bacteria. ACS Omega 2022, 7, 16616–16628. [Google Scholar] [CrossRef]
- Karthikeyan Thirunavukkarasu, G.; Bacova, J.; Monfort, O.; Dworniczek, E.; Paluch, E.; Bilal Hanif, M.; Rauf, S.; Motlochova, M.; Capek, J.; Hensel, K.; et al. Critical Comparison of Aerogel TiO2 and P25 Nanopowders: Cytotoxic Properties, Photocatalytic Activity and Photoinduced Antimicrobial/Antibiofilm Performance. Appl. Surf. Sci. 2022, 579, 152145. [Google Scholar] [CrossRef]
- de Angelis, I.; Barone, F.; Zijno, A.; Bizzarri, L.; Russo, M.T.; Pozzi, R.; Franchini, F.; Giudetti, G.; Uboldi, C.; Ponti, J.; et al. Comparative Study of ZnO and TiO2 Nanoparticles: Physicochemical Characterisation and Toxicological Effects on Human Colon Carcinoma Cells. Nanotoxicology 2013, 7, 1361–1372. [Google Scholar] [CrossRef]
- Paluch, E.; Sobierajska, P.; Okinczyc, P.; Widelski, J.; Duda-Madej, A.; Krzyzanowska, B.; Krzyzek, P.; Ogorek, R.; Szperlik, J.; Chmielowiec, J.; et al. Nanoapatites Doped and Co-Doped with Noble Metal Ions as Modern Antibiofilm Materials for Biomedical Applications against Drug-Resistant Clinical Strains of Enterococcus faecalis VRE and Staphylococcus aureus MRSA. Int. J. Mol. Sci. 2022, 23, 1533. [Google Scholar] [CrossRef]
- Shin, J.U.; Gwon, J.; Lee, S.Y.; Yoo, H.S. Silver-Incorporated Nanocellulose Fibers for Antibacterial Hydrogels. ACS Omega 2018, 3, 16150–16157. [Google Scholar] [CrossRef] [PubMed]
- Sinclair, T.R.; Van Den Hengel, S.K.; Raza, B.G.; Rutjes, S.A.; De Roda Husman, A.M.; Peijnenburg, W.J.G.M.; Roesink, H.D.W.; De Vos, W.M. Surface Chemistry-Dependent Antiviral Activity of Silver Nanoparticles. Nanotechnology 2021, 32, 365101. [Google Scholar] [CrossRef]
- Böcking, T.; Barrow, K.D.; Netting, A.G.; Chilcott, T.C.; Coster, H.G.L.; Höfer, M. Effects of Singlet Oxygen on Membrane Sterols in the Yeast Saccharomyces Cerevisiae. Eur. J. Biochem. 2000, 267, 1607–1618. [Google Scholar] [CrossRef]
- Leadsham, J.E.; Sanders, G.; Giannaki, S.; Bastow, E.L.; Hutton, R.; Naeimi, W.R.; Breitenbach, M.; Gourlay, C.W. Loss of Cytochrome c Oxidase Promotes Ras-Dependent Ros Production from the Er Resident Nadph Oxidase, Yno1p, in Yeast. Cell Metab. 2013, 18, 279–286. [Google Scholar] [CrossRef]
- Shen, X.; Liu, W.; Gao, X.; Lu, Z.; Wu, X.; Gao, X. Mechanisms of Oxidase and Superoxide Dismutation-like Activities of Gold, Silver, Platinum, and Palladium, and Their Alloys: A General Way to the Activation of Molecular Oxygen. J. Am. Chem. Soc. 2015, 137, 15882–15891. [Google Scholar] [CrossRef]
- Cheloni, G.; Marti, E.; Slaveykova, V.I. Interactive Effects of Copper Oxide Nanoparticles and Light to Green Alga Chlamydomonas Reinhardtii. Aquat. Toxicol. 2016, 170, 120–128. [Google Scholar] [CrossRef]
- Schieber, M.; Chandel, N.S. ROS Function in Redox Signaling and Oxidative Stress. Curr. Biol. 2014, 24, R453–R462. [Google Scholar] [CrossRef] [PubMed]
- Overmyer, K.; Brosché, M.; Kangasjärvi, J. Reactive Oxygen Species and Hormonal Control of Cell Death. Trends Plant Sci. 2003, 8, 335–342. [Google Scholar] [CrossRef]
- Kim, K.S.; Lee, D.; Song, C.G.; Kang, P.M. Reactive Oxygen Species-Activated Nanomaterials as Theranostic Agents. Nanomedicine 2015, 10, 2709–2723. [Google Scholar] [CrossRef]
- Foster, H.A.; Ditta, I.B.; Varghese, S.; Steele, A. Photocatalytic Disinfection Using Titanium Dioxide: Spectrum and Mechanism of Antimicrobial Activity. Appl. Microbiol. Biotechnol. 2011, 90, 1847–1868. [Google Scholar] [CrossRef]
- Mitoraj, D.; Jańczyk, A.; Strus, M.; Kisch, H.; Stochel, G.; Heczko, P.B.; Macyk, W. Visible Light Inactivation of Bacteria and Fungi by Modified Titanium Dioxide. Photochem. Photobiol. Sci. 2007, 6, 642–648. [Google Scholar] [CrossRef] [PubMed]
- Badurova, K.; Monfort, O.; Satrapinskyy, L.; Dworniczek, E.; Gocsiniak, G.; Plesch, G. Photocatalytic activity of Ag3PO4 and some of its composites under nonfiltered and UV-filtered solar-like radiation. Ceram. Int. 2017, 43, 3706–3712. [Google Scholar] [CrossRef]
- Badurova, K.; Motola, M.; Janczura, A.; Tomáš Roch, T.; Satrapinskyy, L.; Greguš, J.; Dworniczek, E.; Plesch, G. Structural transformation of Ag3PO4 and Ag3PO4/TiO2 induced by visible light and Cl−ions: Its impact on their photocatalytic, antimicrobial, and antifungal performance. Chem. Pap. 2000, 74, 2785–2797. [Google Scholar] [CrossRef]
- Paluch, E.; Okińczyc, P.; Zwyrzykowska-Wodzińska, A.; Szperlik, J.; Żarowska, B.; Duda-Madej, A.; Bąbelewski, P.; Włodarczyk, M.; Wojtasik, W.; Kupczyński, R.; et al. Composition and Antimicrobial Activity of Ilex Leaves Water Extracts. Molecules 2021, 26, 7442. [Google Scholar] [CrossRef] [PubMed]
- Liu, Q.; Li, N.; Qiao, Z.; Li, W.; Wang, L.; Zhu, S.; Jing, Z.; Yan, T. The Multiple Promotion Effects of Ammonium Phosphate-Modified Ag3PO4 on Photocatalytic Performance. Front. Chem. 2019, 7, 866. [Google Scholar] [CrossRef]
- Lin, C.M.; Preston, J.F.; Wei, C.I. Antibacterial Mechanism of Allyl Isothiocyanate. J. Food Prot. 2000, 63, 727–734. [Google Scholar] [CrossRef]
- Duan, F.; Xin, G.; Niu, H.; Huang, W. Chlorinated Emodin as a Natural Antibacterial Agent against Drug-Resistant Bacteria through Dual Influence on Bacterial Cell Membranes and DNA. Sci. Rep. 2017, 7, 12721. [Google Scholar] [CrossRef]
- Szymczycha-Madeja, A.; Welna, M.; Pohl, P. Method Validation for Multi-Elemental Analysis of Dialyzable and Non-Dialyzable Fractions of Coffee Brews by F AAS and ICP OES: A Bioaccessibility Study. Food Anal. Methods 2019, 12, 198–216. [Google Scholar] [CrossRef]
- Kim, I.S.; Sohn, H.Y.; Jin, I. Adaptive Stress Response to Menadione-Induced Oxidative Stress in Saccharomyces Cerevisiae KNU5377. J. Microbiol. 2011, 49, 816–823. [Google Scholar] [CrossRef] [PubMed]
- Manteca, Á.; Fernández, M.; Sánchez, J. A Death Round Affecting a Young Compartmentalized Mycelium Precedes Aerial Mycelium Dismantling in Confluent Surface Cultures of Streptomyces Antibioticus. Microbiology 2005, 151, 3689–3697. [Google Scholar] [CrossRef]
- Reynolds, E.S. The Use of Lead Citrate at High PH as an Electron-Opaque Stain in Electron Microscopy. J. Cell Biol. 1963, 17, 208. [Google Scholar] [CrossRef] [PubMed]
- Zielonka, A.; Żymańczyk-Duda, E.; Brzezińska-Rodak, M.; Duda, M.; Grzesiak, J.; Klimek-Ochab, M. Nanosilica Synthesis Mediated by Aspergillus Parasiticus Strain. Fungal Biol. 2018, 122, 333–344. [Google Scholar] [CrossRef] [PubMed]






Disclaimer/Publisher’s Note: The statements, opinions and data contained in all publications are solely those of the individual author(s) and contributor(s) and not of MDPI and/or the editor(s). MDPI and/or the editor(s) disclaim responsibility for any injury to people or property resulting from any ideas, methods, instructions or products referred to in the content. |
© 2023 by the authors. Licensee MDPI, Basel, Switzerland. This article is an open access article distributed under the terms and conditions of the Creative Commons Attribution (CC BY) license (https://creativecommons.org/licenses/by/4.0/).
Share and Cite
Paluch, E.; Seniuk, A.; Plesh, G.; Widelski, J.; Szymański, D.; Wiglusz, R.J.; Motola, M.; Dworniczek, E. Mechanism of Action and Efficiency of Ag3PO4-Based Photocatalysts for the Control of Hazardous Gram-Positive Pathogens. Int. J. Mol. Sci. 2023, 24, 13553. https://doi.org/10.3390/ijms241713553
Paluch E, Seniuk A, Plesh G, Widelski J, Szymański D, Wiglusz RJ, Motola M, Dworniczek E. Mechanism of Action and Efficiency of Ag3PO4-Based Photocatalysts for the Control of Hazardous Gram-Positive Pathogens. International Journal of Molecular Sciences. 2023; 24(17):13553. https://doi.org/10.3390/ijms241713553
Chicago/Turabian StylePaluch, Emil, Alicja Seniuk, Gustav Plesh, Jarosław Widelski, Damian Szymański, Rafał J. Wiglusz, Martin Motola, and Ewa Dworniczek. 2023. "Mechanism of Action and Efficiency of Ag3PO4-Based Photocatalysts for the Control of Hazardous Gram-Positive Pathogens" International Journal of Molecular Sciences 24, no. 17: 13553. https://doi.org/10.3390/ijms241713553
APA StylePaluch, E., Seniuk, A., Plesh, G., Widelski, J., Szymański, D., Wiglusz, R. J., Motola, M., & Dworniczek, E. (2023). Mechanism of Action and Efficiency of Ag3PO4-Based Photocatalysts for the Control of Hazardous Gram-Positive Pathogens. International Journal of Molecular Sciences, 24(17), 13553. https://doi.org/10.3390/ijms241713553

