A Variant in TBCD Associated with Motoneuronopathy and Corpus Callosum Hypoplasia: A Case Report
Abstract
1. Introduction
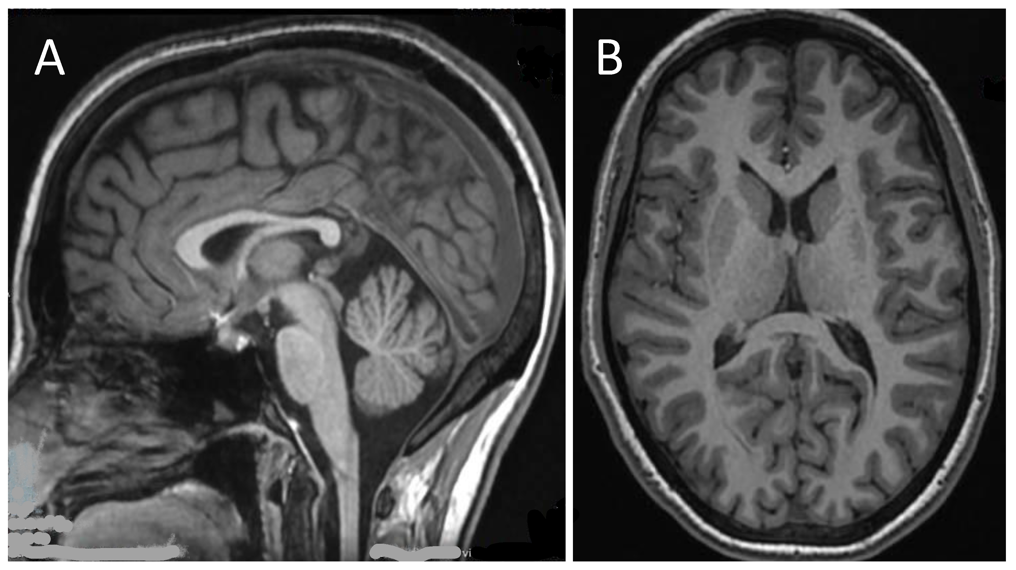
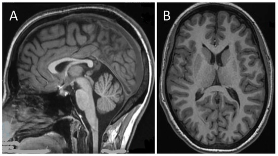
2. Case Presentation
3. Discussion
| Number of Patients | Sex | Ethnicity | Age at Onset | Familiarity | Zygosity (Het/Homo) | Allele 1 Variant | Allele 2 Variant | Amino Acid Change | Reference | Perinatal History | Neurological Symptoms | Neurological Assessments | Extra-Neurological Manifestations | |||||||
|---|---|---|---|---|---|---|---|---|---|---|---|---|---|---|---|---|---|---|---|---|
| Epilepsy | Peripheral Neuropathy | Mental Retardation | Hypotonia | Bulbar Involvement | Others | Imaging/MRI | NCS | EEG | ||||||||||||
| 1 | M | Chinese | neonatal period | NR | compound heterozogous | c.881G>A | c.22801C>A | R294Q | Liao, 2020 [21] | NR | Intractable epilepsy, focal seizures | NR | At 20 months: significant atrophy | NR | spared | NR | significant atrophy | NR | Low voltage on EEG, NCSE, CSE | NR |
| 1 | M | Chinese | 10 months | point mutation in the father, deletion in the mother (affected) | compound heterozygous | 230A>G | deletions of exons 28 to 39 | H77R | Zhang, 2018 [8] | NR | Intractable epilepsy, generalized seizures | NR | development regression after 5 months of age | yes | spared | microcephaly, hyperreflexia, reduced motor activity, bilateral Babinski reflexes | diffuse cortical atrophy with thinned CC | NR | high-amplitude delta wave background, multi- focal interictal spikes | bilateral hip dislocation at 8 months of age. |
| 1 | M | Japanese | at birth | parents were carrier | compound heterozygous | c.1564-12C>G (splicing) | C.2314C>T | R772C | Miyake, 2016 [1] | normal | no | NR | development regression | yes | spared | respiratory failure, muscle atrophy | cortical atrophy | NR | NR | NR |
| 1 | F | Japanese | at birth | parents were carrier | compound heterozygous | c.1564-12C>G (splicing) | C.2314C>T | R772C | normal | no | NR | development regression | yes | spared | respiratory failure, muscle atrophy | cortical atrophy | NR | NR | NR | |
| 1 | F | Japanese | 1 month | parents were carrier | compound heterozygous | c.1160T>G | c.2761G>A | M387R | normal | west syndrome | NR | development regression | yes | spared | respiratory failure, muscle atrophy | NR | NR | NR | NR | |
| 1 | M | Japanese | 1 month | parents were carrier | compound heterozygous | c.1160T>G | c.2761G>A | A921T | normal | cataplexy | NR | development regression | yes | spared | respiratory failure, muscle atrophy | NR | NR | NR | NR | |
| 1 | M | Chinese | 5 months | parents were carrier | compound heterozygous | c.2280C>A | c.3365C>T | Y760 * | normal | generalized seizures | NR | development regression | yes | spared | respiratory failure | NR | NR | NR | NR | |
| 1 | F | Chinese | 5 months | parents were carrier | compound heterozygous | c.2280C>A | c.3365C>T | P1122L | normal | generalized seizures | NR | development regression | yes | spared | NR | NR | NR | NR | NR | |
| 1 | F | Israelian | 9 months | parents were carrier | homozigous | c.2810C>G | P937R | normal | generalized seizures | NR | development regression | no | spared | NR | NR | NR | NR | NR | ||
| 1 | F | Israelian | 9 months | parents were carrier | homozigous | c.2810C>G | P937R | normal | generalized seizures | NR | development regression | no | spared | NR | NR | NR | NR | NR | ||
| 1 | F | Japanese | 5 months | parents were carrier | homozigous | c.2825G4A | R942Q | Ikeda, 2016 [11] | normal | partial seizure | NR | development regression | yes | spared | NR | cortical atrophy | NR | NR | NR | |
| 8 | M | Faroese | 6 months | parents of 2 patients were carrier | homozigous | 3099C>G | N1033K | Grønborg, 2018 [10] | normal | generalized treatment resistant epilepsy | NR | development regression | yes | spared | respiratory failure, spasticity, | cortical and global cerebral atrophy | NR | NR | Bilateral hip luxation | |
| 1 | M | Indian-Jewish | 20 months | parents were heterozigous carrier | homozigous | c.1423G>A | A475T | Pode-Shakked, 2016 [9] | normal | generalized seizures | NR | development regression | yes | spared | microcephaly and right-sided plagiocephaly, | dilatated ventricles and subarachnoid spaces with diffuse thinning of the WM and CC, mild secondary hypomyelination | NR | disorganized high amplitude delta wave background and multi- focal polyspike discharges at moderate rate. | low anterior hairline, large ears, pectus excavatum, right hand single transverse palmar crease, lateral deviation of the first toes | |
| 1 | F | Egyptian-Jewish | 24 months | consanguineous, carrier | homozigous | c.2810C>G | P937R | normal | generalized seizures | NR | development regression | no | spared | NR | mild cortical atrophy, moderately thin corpus callosu | normal | high-amplitude delta wave background, multi- focal interictal spikes | |||
| 1 | F | Egyptian-Jewish | 24 months | consanguineous, carrier | homozigous | c.2810C>G | P937R | normal | generalized treatment resistant epilepsy | NR | development regression | no | spared | NR | cortical atrophy and moderately thin CC | NR | NR | NR | ||
| 1 | M | German/Sicilian/Cajun-Hungarian/Irish | 6 months | parents were heterozigous carrier | compound heterozigous | c.1757C>T | c.3192-2A>G | A586V | normal | generalized treatment resistant epilepsy | severe motor axonal neuropathy | development regression | yes | spared | NR | cortical atrophy and moderately thin CC | severe motor axonal neuropathy | NR | NR | |
| 1 | M | German/Sicilian/Cajun-Hungarian/Irish | 6 months | parents were heterozigous carrier | compound heterozigous | c.1757C>T | c.3192-2A>G | A586V | normal | generalized treatment resistant epilepsy | NR | development regression | no | spared | NR | cortical atrophy and moderately thin CC | NR | NR | several tendon lengthening orthopedic surgeries | |
| 1 | F | Chinese | 12 months | NR | compound heterozigous | c.3365C>T | c.1739G>A | P1122L, R580Q | Tian, 2019 [17] | NR | generalized tonic-clonic seizures | NR | slight delay of intellectual development | no | NR | dystonia | myelination delay reflected by abnormal signal in the occipital WM | NR | Interictal EEG: large number of spike waves | NR |
| 1 | F | Chinese | 6 months | NR | compound heterozigous | c.230A>G | c.907C>T | H77R, R303 * | NR | generalized tonic-clonic seizures | NR | nearly normal intellectual development | no | NR | NR | myelination delay reflected by abnormal signal in the occipital WM | NR | Interictal EEG: low amplitudespike waves in midline | NR | |
| 1 | M | Chinese | - | NR | compound heterozigous | c.2953C>T | c.3550C>T | R979C, Q1184 * | NR | generalized tonic-clonic seizures | absent | ASD | no | NR | NR | normal | NR | NR | NR | |
| 1 | F | Chinese | 12 months | parents were heterozigous carrier | compound heterozigous | c.1340C>T | c.817+2T>C | A447V | Chen, 2021 [18] | normal | generalized tonic-clonic seizures | NR | early-onset neurodegeneration, failure to thrive | yes | failure to thrive | respiratory failure | thinning of the CC, diffuse cerebral atrophy involving both gray and WM, dilatated ventricles | NR | NR | severe scoliosis, thrombocytopenia, presence of accessory spleen |
| 1 | F | Chinese | 18 months | parents were heterozigous carrier | compound heterozigous | c.1340C>T | c.817+2T>C | A447V | normal | focal to generalized tonic-clonic seizures | NR | early-onset neurodegeneration | yes | spared | respiratory failure | hypoplasia of CC, prominent enlargement of cerebral cortical sulci and ventricles | NR | slow wave activities | mild elevation of aspartate aminotransferase and CK (335 IU/L). | |
4. Conclusions
Author Contributions
Funding
Institutional Review Board Statement
Informed Consent Statement
Data Availability Statement
Acknowledgments
Conflicts of Interest
Appendix A. Methods for Genetic Analysis
References
- Miyake, N.; Fukai, R.; Ohba, C.; Chihara, T.; Miura, M.; Shimizu, H.; Kakita, A.; Imagawa, E.; Shiina, M.; Ogata, K.; et al. Biallelic TBCD Mutations Cause Early-Onset Neurodegenerative Encephalopathy. Am. J. Hum. Genet. 2016, 99, 950–961. [Google Scholar] [CrossRef]
- Fanarraga, M.L.; Bellido, J.; Jaén, C.; Villegas, J.C.; Zabala, J.C. TBCD links centriologenesis, spindle microtubule dynamics, and midbody abscission in human cells. PLoS ONE 2010, 5, e8846. [Google Scholar] [CrossRef]
- Okumura, M.; Sakuma, C.; Miura, M.; Chihara, T. Linking cell surface receptors to microtubules: Tubulin folding cofactor D mediates Dscam functions during neuronal morphogenesis. J. Neurosci. 2015, 35, 1979–1990. [Google Scholar] [CrossRef]
- Flex, E.; Niceta, M.; Cecchetti, S.; Thiffault, I.; Au, M.G.; Capuano, A.; Piermarini, E.; Ivanova, A.A.; Francis, J.W.; Chillemi, G.; et al. Biallelic Mutations in TBCD, Encoding the Tubulin Folding Cofactor D, Perturb Microtubule Dynamics and Cause Early-Onset Encephalopathy. Am. J. Hum. Genet. 2016, 99, 962–973. [Google Scholar] [CrossRef]
- Tarrade, A.; Fassier, C.; Courageot, S.; Charvin, D.; Vitte, J.; Peris, L.; Thorel, A.; Mouisel, E.; Fonknechten, N.; Roblot, N.; et al. A mutation of spastin is responsible for swellings and impairment of transport in a region of axon characterized by changes in microtubule composition. Hum. Mol. Genet. 2006, 15, 3544–3558. [Google Scholar] [CrossRef]
- Tian, G.; Bhamidipati, A.; Cowan, N.J.; Lewis, S.A. Tubulin folding cofactors as GTPase-activating proteins. GTP hydrolysis and the assembly of the alpha/beta-tubulin heterodimer. J. Biol. Chem. 1999, 274, 24054–24058. [Google Scholar] [CrossRef]
- Bhamidipati, A.; Lewis, S.A.; Cowan, N.J. ADP ribosylation factor-like protein 2 (Arl2) regulates the interaction of tubulin-folding cofactor D with native tubulin. J. Cell Biol. 2000, 149, 1087–1096. [Google Scholar] [CrossRef]
- Zhang, Y.; Zhang, L.; Zhou, S. Developmental Regression and Epilepsy of Infancy with Migrating Focal Seizures Caused by TBCD Mutation: A Case Report and Review of the Literature. Neuropediatrics 2020, 51, 68–71. [Google Scholar] [CrossRef]
- Pode-Shakked, B.; Barash, H.; Ziv, L.; Gripp, K.W.; Flex, E.; Barel, O.; Carvalho, K.S.; Scavina, M.; Chillemi, G.; Niceta, M.; et al. Microcephaly, intractable seizures and developmental delay caused by biallelic variants in TBCD: Further delineation of a new chaper-one-mediated tubulinopathy. Clin. Genet. 2017, 91, 725–738. [Google Scholar] [CrossRef]
- Grønborg, S.; Risom, L.; Ek, J.; Larsen, K.B.; Scheie, D.; Petkov, Y.; Larsen, V.A.; Dunø, M.; Joensen, F.; Østergaard, E. A Faroese founder variant in TBCD causes early onset, progressive encephalopathy with a homogenous clinical course. Eur. J. Hum. Genet. 2018, 26, 1512–1520. [Google Scholar] [CrossRef]
- Ikeda, T.; Nakahara, A.; Nagano, R.; Utoyama, M.; Obara, M.; Moritake, H.; Uechi, T.; Mitsui, J.; Ishiura, H.; Yoshimura, J.; et al. TBCD may be a causal gene in progressive neurodegenerative encephalopathy with atypical infantile spinal muscular atrophy. J. Hum. Genet. 2017, 62, 473–480. [Google Scholar] [CrossRef] [PubMed]
- D’Amore, A.; Tessa, A.; Casali, C.; Dotti, M.T.; Filla, A.; Silvestri, G.; Antenora, A.; Astrea, G.; Barghigiani, M.; Battini, R.; et al. Next Generation Molecular Diagnosis of Hereditary Spastic Paraplegias: An Italian Cross-Sectional Study. Front. Neurol. 2018, 9, 981. [Google Scholar] [CrossRef]
- Tian, G.; Cowan, N.J. Tubulin-specific chaperones: Components of a molecular machine that assembles the α/β heterodimer. Methods Cell Biol. 2013, 115, 155–171. [Google Scholar] [CrossRef] [PubMed]
- Francis, J.W.; Newman, L.E.; Cunningham, L.A.; Kahn, R.A. A Trimer Consisting of the Tubulin-specific Chaperone D (TBCD), Regulatory GTPase ARL2, and β-Tubulin Is Required for Maintaining the Microtubule Network. J. Biol. Chem. 2017, 292, 4336–4349. [Google Scholar] [CrossRef] [PubMed]
- Bahi-Buisson, N.; Poirier, K.; Fourniol, F.; Saillour, Y.; Valence, S.; Lebrun, N.; Hully, M.; Bianco, C.F.; Boddaert, N.; Elie, C.; et al. The wide spectrum of tubulinopathies: What are the key features for the diagnosis? Brain 2014, 137, 1676–1700. [Google Scholar] [CrossRef] [PubMed]
- Hoff, K.J.; Neumann, A.J.; Moore, J.K. The molecular biology of tubulinopathies: Understanding the impact of variants on tubulin structure and microtubule regulation. Front. Cell Neurosci. 2022, 16, 1023267. [Google Scholar] [CrossRef]
- Tian, D.; Rizwan, K.; Liu, Y.; Kang, L.; Yang, Y.; Mao, X.; Shu, L. Biallelic pathogenic variants in TBCD-related neurodevelopment disease with mild clinical features. Neurol. Sci. 2019, 40, 2325–2331. [Google Scholar] [CrossRef]
- Chen, C.L.; Lee, C.N.; Chien, Y.H.; Hwu, W.L.; Chang, T.M.; Lee, N.C. Novel Compound Heterozygous Variants in TBCD Gene Associated with Infantile Neurodegenerative Encephalopathy. Children 2021, 8, 1140. [Google Scholar] [CrossRef]
- Bora, G.; Hensel, N.; Rademacher, S.; Koyunoğlu, D.; Sunguroğlu, M.; Aksu-Mengeş, E.; Balcı-Hayta, B.; Claus, P.; Erdem-Yurter, H. Microtubule-associated protein 1B dysregulates microtubule dynamics and neuronal mitochondrial transport in spinal muscular atrophy. Hum. Mol. Genet. 2021, 29, 3935–3944. [Google Scholar] [CrossRef]
- Ocampo-Chih, C.; Dennis, H.; Lall, N.; Pham, N.; Liang, B.; Verma, S.; Neira Fresneda, J. PEBAT, an Intriguing Neurodegenerative Tubulinopathy Caused by a Novel Homozygous Variant in TBCD: A Case Series and Literature Review. Pediatr. Neurol. 2023, 139, 59–64. [Google Scholar] [CrossRef]
- Liao, J.; Huang, T.; Srour, M.; Xiao, Y.; Chen, Y.; Lin, S.; Chen, L.; Hu, Y.; Men, L.; Wen, J.; et al. Status Epilepticus Manifested as Continuous Epileptic Spasms. Front. Neurol. 2020, 11, 65. [Google Scholar] [CrossRef] [PubMed]





Disclaimer/Publisher’s Note: The statements, opinions and data contained in all publications are solely those of the individual author(s) and contributor(s) and not of MDPI and/or the editor(s). MDPI and/or the editor(s) disclaim responsibility for any injury to people or property resulting from any ideas, methods, instructions or products referred to in the content. |
© 2023 by the authors. Licensee MDPI, Basel, Switzerland. This article is an open access article distributed under the terms and conditions of the Creative Commons Attribution (CC BY) license (https://creativecommons.org/licenses/by/4.0/).
Share and Cite
Caputo, M.; Martinelli, I.; Fini, N.; Gianferrari, G.; Simonini, C.; Trovato, R.; Santorelli, F.M.; Tessa, A.; Mandrioli, J.; Zucchi, E. A Variant in TBCD Associated with Motoneuronopathy and Corpus Callosum Hypoplasia: A Case Report. Int. J. Mol. Sci. 2023, 24, 12386. https://doi.org/10.3390/ijms241512386
Caputo M, Martinelli I, Fini N, Gianferrari G, Simonini C, Trovato R, Santorelli FM, Tessa A, Mandrioli J, Zucchi E. A Variant in TBCD Associated with Motoneuronopathy and Corpus Callosum Hypoplasia: A Case Report. International Journal of Molecular Sciences. 2023; 24(15):12386. https://doi.org/10.3390/ijms241512386
Chicago/Turabian StyleCaputo, Maria, Ilaria Martinelli, Nicola Fini, Giulia Gianferrari, Cecilia Simonini, Rosanna Trovato, Filippo Maria Santorelli, Alessandra Tessa, Jessica Mandrioli, and Elisabetta Zucchi. 2023. "A Variant in TBCD Associated with Motoneuronopathy and Corpus Callosum Hypoplasia: A Case Report" International Journal of Molecular Sciences 24, no. 15: 12386. https://doi.org/10.3390/ijms241512386
APA StyleCaputo, M., Martinelli, I., Fini, N., Gianferrari, G., Simonini, C., Trovato, R., Santorelli, F. M., Tessa, A., Mandrioli, J., & Zucchi, E. (2023). A Variant in TBCD Associated with Motoneuronopathy and Corpus Callosum Hypoplasia: A Case Report. International Journal of Molecular Sciences, 24(15), 12386. https://doi.org/10.3390/ijms241512386

