Superimposed Mosaicism in the Form of Extremely Extended Segmental Plexiform Neurofibroma Caused by a Novel Pathogenic Variant in the NF1 Gene
Abstract
1. Introduction
2. Results
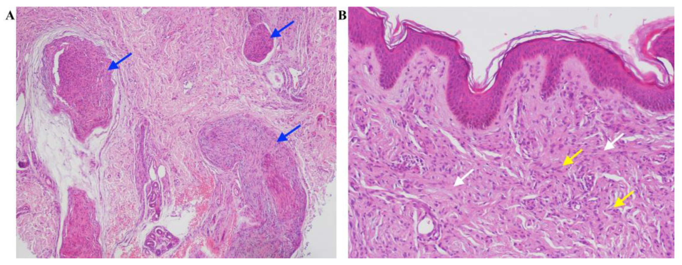
2.1. Clinical and Histological Findings
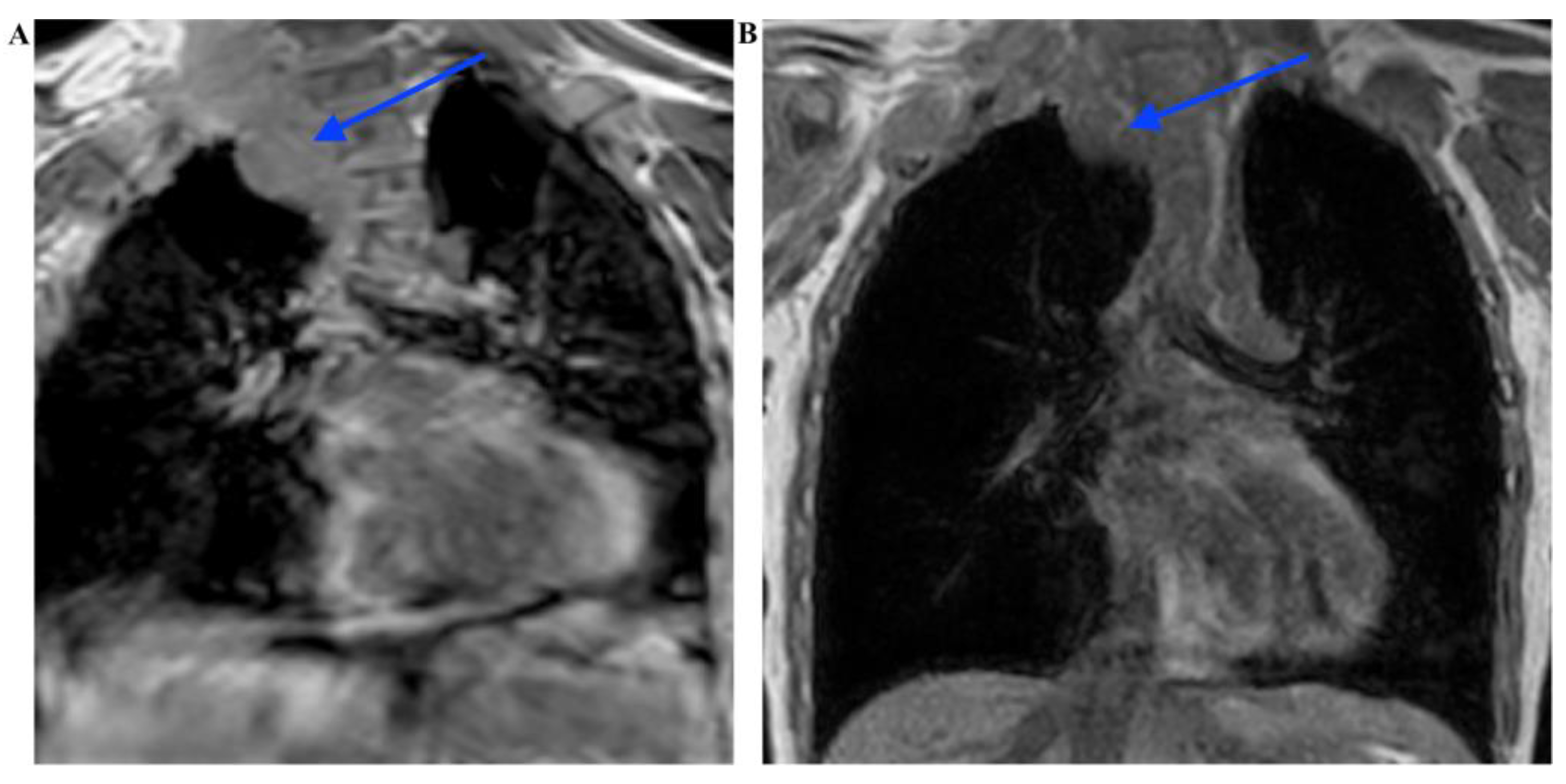
2.2. Investigation
2.3. Orphan Drug Therapy
2.4. Genetic Analyses
2.4.1. Next Generation Sequencing of NF1, NF2, RAF1, KIT, SPRED1, SMARCB1, PTPN11 Genes
2.4.2. MLPA Analysis
2.4.3. Whole Exome Sequencing
3. Discussion
4. Materials and Methods
4.1. NGS Based Gene Panel Sequencing of NF1, NF2, RAF1, KIT, SPRED1, SMARCB1, PTPN11 Genes
4.2. MLPA Analysis
4.3. Whole Exome Sequencing and Data Analysis
5. Conclusions
Author Contributions
Funding
Institutional Review Board Statement
Informed Consent Statement
Data Availability Statement
Acknowledgments
Conflicts of Interest
References
- Hernández-Imaz, E.; Martín, Y.; de Conti, L.; Melean, G.; Valero, A.; Baralle, M.; Hernández-Chico, C. Functional analysis of mutations in exon 9 of NF1 reveals the presence of several elements regulating splicing. PLoS ONE 2015, 10, e0141735. [Google Scholar] [CrossRef] [PubMed]
- Wilson, B.N.; John, A.M.; Handler, M.Z.; Schwartz, R.A. Neurofibromatosis type 1: New developments in genetics and treatment. J. Am. Acad. Dermatol. 2021, 84, 1667–1676. [Google Scholar] [CrossRef]
- Pálla, S.; Anker, P.; Farkas, K.; Plázár, D.; Kiss, S.; Marschalkó, P.; Szalai, Z.; Bene, J.; Hadzsiev, K.; Maróti, Z.; et al. Co-occurrence of neurofibromatosis type 1 and pseudoachondroplasia—A first case report. BMC Pediatr. 2023, 23, 110. [Google Scholar] [CrossRef] [PubMed]
- Lamprini, N.; Alexopoulos, A.; Kokkinou, E.; Kleoniki, R.; Tzetis, M.; Tsipi, M.; Kakourou, T.; Kanaka-Gantenbein, C.; Chrousos, G.; Kattamis, A. Characteristics of Café-au-lait Macules and their Association with the Neurofibromatosis type I Genotype in a Cohort of Greek Children. Acta Derm.-Venereol. 2023, 103, 5758. [Google Scholar]
- Alkindy, A.; Chuzhanova, N.; Kini, U.; Cooper, D.N.; Upadhyaya, M. Genotype-phenotype associations in neurofibromatosis type 1 (NF1): An increased risk of tumor complications in patients with NF1 splice-site mutations? Hum. Genom. 2012, 6, 12. [Google Scholar] [CrossRef]
- Duong, T.; Bastuji-Garin, S.; Valeyrie-Allanore, L.; Sbidian, E.; Ferkal, S.; Wolkenstein, P. Evolving pattern with age of cutaneous signs in neurofibromatosis type 1: A cross-sectional study of 728 patients. Dermatology 2011, 222, 269–273. [Google Scholar] [CrossRef]
- Friedman, J. Neurofibromatosis 1: Clinical manifestations and diagnostic criteria. J. Child Neurol. 2002, 17, 548–554. [Google Scholar] [CrossRef]
- Kang, E.; Yoon, H.M.; Lee, B.H. Neurofibromatosis type I: Points to be considered by general pediatricians. Clin. Exp. Pediatr. 2021, 64, 149. [Google Scholar] [CrossRef]
- Legius, E.; Messiaen, L.; Wolkenstein, P.; Pancza, P.; Avery, R.A.; Berman, Y.; Blakeley, J.; Babovic-Vuksanovic, D.; Cunha, K.S.; Ferner, R. Revised diagnostic criteria for neurofibromatosis type 1 and Legius syndrome: An international consensus recommendation. Genet. Med. 2021, 23, 1506–1513. [Google Scholar] [CrossRef]
- Toberer, F.; Happle, R.; Schneiderbauer, R.; Hausser, I.; Kröhl, V.; Epple, A.; Moog, U.; Enk, A.; Lonsdorf, A. At first sight or second glance: Clinical presentation of mosaic manifestations of autosomal dominant skin disorders–A case series. J. Eur. Acad. Dermatol. Venereol. 2017, 31, 1912–1915. [Google Scholar] [CrossRef]
- Yang, C.-C.; Happle, R.; Chao, S.-C.; Lee, J.Y.-Y.; Chen, W. Giant café-au-lait macule in neurofibromatosis 1: A type 2 segmental manifestation of neurofibromatosis 1? J. Am. Acad. Dermatol. 2008, 58, 493–497. [Google Scholar] [CrossRef] [PubMed]
- Calligaris, L.; Cortellazzo Wiel, L.; Sartor, E.; Berti, I.; Bruno, I.; Barbi, E.; Magnolato, A. Juvenile xanthogranuloma: A possible diagnostic criterion for Neurofibromatosis type 1 in young children. Am. J. Med. Genet. A 2021, 185, 3895–3896. [Google Scholar] [CrossRef] [PubMed]
- Ferner, R.E. Neurofibromatosis 1 and neurofibromatosis 2: A twenty first century perspective. Lancet Neurol. 2007, 6, 340–351. [Google Scholar] [CrossRef]
- Spyk, S.L.-v.; Thomas, N.; Cooper, D.N.; Upadhyaya, M. Neurofibromatosis type 1-associated tumours: Their somatic mutational spectrum and pathogenesis. Hum. Genom. 2011, 5, 632. [Google Scholar] [CrossRef] [PubMed]
- Collins, N.C.; Ayodeji, E.E.; Motunrayo, F.O.; Abayomi, S.B.; Olufemi, O.I.; Olusesan, A.L. Large penile plexiform neurofibroma in an 11-year old boy. Malawi Med. J. 2018, 30, 49–51. [Google Scholar] [CrossRef] [PubMed]
- Nguyen, R.; Dombi, E.; Widemann, B.C.; Solomon, J.; Fuensterer, C.; Kluwe, L.; Friedman, J.M.; Mautner, V.-F. Growth dynamics of plexiform neurofibromas: A retrospective cohort study of 201 patients with neurofibromatosis 1. Orphanet J. Rare Dis. 2012, 7, 75. [Google Scholar] [CrossRef] [PubMed]
- Dagalakis, U.; Lodish, M.; Dombi, E.; Sinaii, N.; Sabo, J.; Baldwin, A.; Steinberg, S.M.; Stratakis, C.A.; Widemann, B.C. Puberty and plexiform neurofibroma tumor growth in patients with neurofibromatosis type I. J. Pediatr. 2014, 164, 620–624. [Google Scholar] [CrossRef] [PubMed]
- Gottfried, O.N.; Viskochil, D.H.; Couldwell, W.T. Neurofibromatosis Type 1 and tumorigenesis: Molecular mechanisms and therapeutic implications. Neurosurg. Focus 2010, 28, E8. [Google Scholar] [CrossRef]
- Armstrong, A.E.; Belzberg, A.J.; Crawford, J.R.; Hirbe, A.C.; Wang, Z.J. Treatment decisions and the use of MEK inhibitors for children with neurofibromatosis type 1-related plexiform neurofibromas. BMC Cancer 2023, 23, 553. [Google Scholar] [CrossRef]
- Fisher, M.J.; Blakeley, J.O.; Weiss, B.D.; Dombi, E.; Ahlawat, S.; Akshintala, S.; Belzberg, A.J.; Bornhorst, M.; Bredella, M.A.; Cai, W. Management of neurofibromatosis type 1-associated plexiform neurofibromas. Neuro-oncology 2022, 24, 1827–1844. [Google Scholar] [CrossRef]
- Pearson, A.D.; Allen, C.; Fangusaro, J.; Hutter, C.; Witt, O.; Weiner, S.; Reaman, G.; Russo, M.; Bandopadhayay, P.; Ahsan, S. Paediatric Strategy Forum for Medicinal Product Development in Mitogen-Activated Protein Kinase (MAPK) pathway inhibitors. ACCELERATE in collaboration with the European Medicines Agency With participation of the Food and Drug Administration. Eur. J. Cancer 2022, 177, 120–142. [Google Scholar] [CrossRef] [PubMed]
- Anderson, M.K.; Johnson, M.; Thornburg, L.; Halford, Z. A Review of Selumetinib in the Treatment of Neurofibromatosis Type 1–Related Plexiform Neurofibromas. Ann. Pharmacother. 2022, 56, 716–726. [Google Scholar] [CrossRef] [PubMed]
- Ge, L.-L.; Xing, M.-Y.; Zhang, H.-B.; Wang, Z.-C. Neurofibroma Development in Neurofibromatosis Type 1: Insights from Cellular Origin and Schwann Cell Lineage Development. Cancers 2022, 14, 4513. [Google Scholar] [CrossRef]
- Cohen-Barak, E.; Toledano-Alhadef, H.; Danial-Farran, N.; Livneh, I.; Mwassi, B.; Hriesh, M.; Zagairy, F.; Gafni-Amsalem, C.; Bashir, H.; Khayat, M. Concomitant variants in NF1, LZTR1 and GNAZ genes probably contribute to the aggressiveness of plexiform neurofibroma and warrant treatment with MEK inhibitor. Exp. Dermatol. 2022, 31, 775–780. [Google Scholar] [CrossRef]
- Pemov, A.; Li, H.; Patidar, R.; Hansen, N.; Sindiri, S.; Hartley, S.; Wei, J.; Elkahloun, A.; Chandrasekharappa, S.; Boland, J. The primacy of NF1 loss as the driver of tumorigenesis in neurofibromatosis type 1-associated plexiform neurofibromas. Oncogene 2017, 36, 3168–3177. [Google Scholar] [CrossRef] [PubMed]
- Serra, E.; Puig, S.; Otero, D.; Gaona, A.; Kruyer, H.; Ars, E.; Estivill, X.; Lázaro, C. Confirmation of a double-hit model for the NF1Gene in benign neurofibromas. Am. J. Hum. Genet. 1997, 61, 512–519. [Google Scholar] [CrossRef]
- Upadhyaya, M.; Spurlock, G.; Monem, B.; Thomas, N.; Friedrich, R.E.; Kluwe, L.; Mautner, V. Germline and somatic NF1 gene mutations in plexiform neurofibromas. Hum. Mutat. 2008, 29, E103–E111. [Google Scholar] [CrossRef]
- De Raedt, T.; Maertens, O.; Chmara, M.; Brems, H.; Heyns, I.; Sciot, R.; Majounie, E.; Upadhyaya, M.; De Schepper, S.; Speleman, F. Somatic loss of wild type NF1 allele in neurofibromas: Comparison of NF1 microdeletion and non-microdeletion patients. Genes Chromosomes Cancer 2006, 45, 893–904. [Google Scholar] [CrossRef]
- Steinmann, K.; Kluwe, L.; Friedrich, R.E.; Mautner, V.-F.; Cooper, D.N.; Kehrer-Sawatzki, H. Mechanisms of loss of heterozygosity in neurofibromatosis type 1-associated plexiform neurofibromas. J. Investig. Dermatol. 2009, 129, 615–621. [Google Scholar] [CrossRef]
- Happle, R. A rule concerning the segmental manifestation of autosomal dominant skin disorders: Review of clinical examples providing evidence for dichotomous types of severity. Arch. Dermatol. 1997, 133, 1505–1509. [Google Scholar] [CrossRef]
- Happle, R. The categories of cutaneous mosaicism: A proposed classification. Am. J. Med. Genet. Part A 2016, 170, 452–459. [Google Scholar] [CrossRef] [PubMed]
- Knudson Jr, A.G. Mutation and cancer: Statistical study of retinoblastoma. Proc. Natl. Acad. Sci. USA 1971, 68, 820–823. [Google Scholar] [CrossRef] [PubMed]
- Happle, R. Mosaicism in Human Skin; Springer: Berlin/Heidelberg, Germany, 2014. [Google Scholar]
- Happle, R.; Torrelo, A. Superimposed mosaicism in tuberous sclerosis complex: A key to understanding all of the manifold manifestations? J. Eur. Acad. Dermatol. Venereol. 2020, 34, 2511–2517. [Google Scholar] [CrossRef] [PubMed]








Disclaimer/Publisher’s Note: The statements, opinions and data contained in all publications are solely those of the individual author(s) and contributor(s) and not of MDPI and/or the editor(s). MDPI and/or the editor(s) disclaim responsibility for any injury to people or property resulting from any ideas, methods, instructions or products referred to in the content. |
© 2023 by the authors. Licensee MDPI, Basel, Switzerland. This article is an open access article distributed under the terms and conditions of the Creative Commons Attribution (CC BY) license (https://creativecommons.org/licenses/by/4.0/).
Share and Cite
Veres, K.; Bene, J.; Hadzsiev, K.; Garami, M.; Pálla, S.; Happle, R.; Medvecz, M.; Szalai, Z.Z. Superimposed Mosaicism in the Form of Extremely Extended Segmental Plexiform Neurofibroma Caused by a Novel Pathogenic Variant in the NF1 Gene. Int. J. Mol. Sci. 2023, 24, 12154. https://doi.org/10.3390/ijms241512154
Veres K, Bene J, Hadzsiev K, Garami M, Pálla S, Happle R, Medvecz M, Szalai ZZ. Superimposed Mosaicism in the Form of Extremely Extended Segmental Plexiform Neurofibroma Caused by a Novel Pathogenic Variant in the NF1 Gene. International Journal of Molecular Sciences. 2023; 24(15):12154. https://doi.org/10.3390/ijms241512154
Chicago/Turabian StyleVeres, Klára, Judit Bene, Kinga Hadzsiev, Miklós Garami, Sára Pálla, Rudolf Happle, Márta Medvecz, and Zsuzsanna Zsófia Szalai. 2023. "Superimposed Mosaicism in the Form of Extremely Extended Segmental Plexiform Neurofibroma Caused by a Novel Pathogenic Variant in the NF1 Gene" International Journal of Molecular Sciences 24, no. 15: 12154. https://doi.org/10.3390/ijms241512154
APA StyleVeres, K., Bene, J., Hadzsiev, K., Garami, M., Pálla, S., Happle, R., Medvecz, M., & Szalai, Z. Z. (2023). Superimposed Mosaicism in the Form of Extremely Extended Segmental Plexiform Neurofibroma Caused by a Novel Pathogenic Variant in the NF1 Gene. International Journal of Molecular Sciences, 24(15), 12154. https://doi.org/10.3390/ijms241512154

