Genetic Incorporation of Dansylalanine in Human Ferroportin to Probe the Alternating Access Mechanism of Iron Transport
Abstract
1. Introduction
2. Results and Discussion
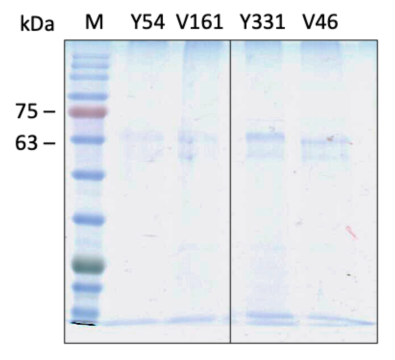
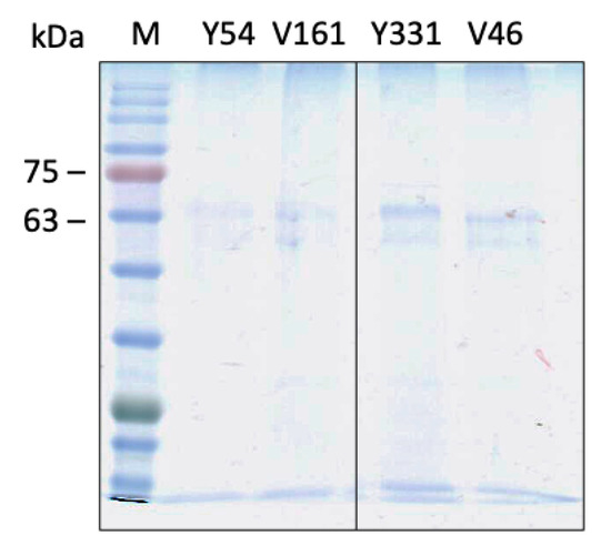
2.1. Selection of Reporter Residues and Incorporation of Dansylalanine (DA) into Fpn
2.2. Fluorescence Spectroscopy of Fpn DA
2.3. Cobalt Titration
3. Materials and Methods
3.1. Vectors and Constructs
3.2. Expression and Purification of Recombinant Fpn
3.3. Fluorescence Spectroscopy
Supplementary Materials
Author Contributions
Funding
Data Availability Statement
Conflicts of Interest
References
- Drakesmith, H.; Nemeth, E.; Ganz, T. Ironing out ferroportin. Cell Metab. 2015, 22, 777–787. [Google Scholar] [CrossRef] [PubMed]
- Vlasveld, L.T.; Janssen, R.; Bardou-Jacquet, E.; Venselaar, H.; Hamdi-Roze, H.; Drakesmith, H.; Swinkels, D.W. Twenty years of ferroportin disease: A review or an update of published clinical, biochemical, molecular, and functional features. Pharmaceuticals 2019, 12, 132. [Google Scholar] [CrossRef] [PubMed]
- Pietrangelo, A. The ferroportin disease: Pathogenesis, diagnosis and treatment. Haematologica 2017, 102, 1972–1984. [Google Scholar] [CrossRef] [PubMed]
- Billesbølle, C.B.; Azumaya, C.M.; Kretsch, R.C.; Powers, A.S.; Gonen, S.; Schneider, S.; Arvedson, T.; Dror, R.O.; Cheng, Y.; Manglik, A. Structure of hepcidin-bound ferroportin reveals iron homeostatic mechanisms. Nature 2020, 586, 807–811. [Google Scholar] [CrossRef] [PubMed]
- Wallace, D.F.; Harris, J.M.; Subramaniam, V.N. Functional analysis and theoretical modeling of ferroportin reveals clustering of mutations according to phenotype. Am. J. Physiol. Cell Physiol. 2010, 298, C75–C84. [Google Scholar] [CrossRef]
- Le Gac, G.; Ka, C.; Joubrel, R.; Gourlaouen, I.; Lehn, P.; Mornon, J.P.; Ferec, C.; Callebaut, I. Structure-function analysis of the human ferroportin iron exporter (SLC40A1): Effect of hemochromatosis type 4 mutations and identification of critical residues. Hum. Mut. 2013, 34, 1371–1380. [Google Scholar] [CrossRef]
- Bonaccorsi di Patti, M.C.; Polticelli, F.; Cece, G.; Cutone, A.; Felici, F.; Persichini, T.; Musci, G. A structural model of human ferroportin and of its iron binding sites. FEBS J. 2014, 281, 2851–2860. [Google Scholar] [CrossRef]
- Taniguchi, R.; Kato, H.E.; Font, J.; Deshpande, C.N.; Wada, M.; Ito, K.; Ishitani, R.; Jormakka, M.; Nureki, O. Outward- and inward-facing structures of a putative bacterial transition-metal transporter with homology to ferroportin. Nat. Commun. 2015, 6, 8545. [Google Scholar] [CrossRef]
- Deshpande, C.N.; Ruwe, T.A.; Shawki, A.; Xin, V.; Vieth, K.R.; Valore, E.V.; Qiao, B.; Ganz, T.; Nemeth, E.; Mackenzie, B.; et al. Calcium is an essential cofactor for metal efflux by the ferroportin transporter family. Nat. Commun. 2018, 9, 3075. [Google Scholar] [CrossRef]
- Li, S.; Yang, Y.; Li, W. Human ferroportin mediates proton-coupled active transport of iron. Blood Adv. 2020, 4, 4758–4768. [Google Scholar] [CrossRef]
- Shen, J.; Wilbon, A.S.; Zhou, M.; Pan, Y. Mechanism of Ca2+ transport by ferroportin. eLife 2023, 12, e82947. [Google Scholar] [CrossRef] [PubMed]
- Pan, Y.; Ren, Z.; Gao, S.; Shen, J.; Wang, L.; Xu, Z.; Yu, Y.; Bachina, P.; Zhang, H.; Fan, X.; et al. Structural basis of ion transport and inhibition in ferroportin. Nat. Commun. 2020, 11, 5686. [Google Scholar] [CrossRef] [PubMed]
- Liu, C.C.; Schultz, P.G. Adding new chemistries to the genetic code. Annu. Rev. Biochem. 2010, 79, 413–444. [Google Scholar] [CrossRef] [PubMed]
- Wang, L. Engineering the genetic code in cells and animals: Biological considerations and impacts. Acc. Chem. Res. 2017, 50, 2667–2675. [Google Scholar] [CrossRef]
- Tortosa, V.; Bonaccorsi di Patti, M.C.; Brandi, V.; Musci, G.; Polticelli, F. An improved structural model of the human iron exporter ferroportin. Insight into the role of pathogenic mutations in hereditary hemochromatosis type 4. Bio-Algorithms Med.-Syst. 2017, 13, 215–222. [Google Scholar] [CrossRef]
- Montosi, G.; Donovan, A.; Totaro, A.; Garuti, C.; Pignatti, E.; Cassanelli, S.; Trenor, C.C.; Gasparini, P.; Andrews, N.C.; Pietrangelo, A. Autosomal-dominant hemochromatosis is associated with a mutation in the ferroportin (SLC11A3) gene. J. Clin. Investig. 2001, 108, 619–623. [Google Scholar] [CrossRef]
- Summerer, D.; Chen, S.; Wu, N.; Deiters, A.; Chin, J.W.; Schultz, P.G. A genetically encoded fluorescent amino acid. Proc. Natl. Acad. Sci. USA 2006, 103, 9785–9789. [Google Scholar] [CrossRef]
- Young, T.S.; Ahmad, I.; Brock, A.; Schultz, P.G. Expanding the genetic repertoire of the methylotrophic yeast Pichia pastoris. Biochemistry 2009, 48, 2643–2653. [Google Scholar] [CrossRef]
- Lakowicz, J.R. Principles of Fluorescence Spectroscopy, 3rd ed.; Springer: Boston, MA, USA, 2006. [Google Scholar]
- Lehmann, E.F.; Liziczai, M.; Drozdzyk, K.; Altermatt, P.; Langini, C.; Manolova, V.; Sundstrom, H.; Durrenberger, F.; Dutzler, R.; Manatschal, C. Structures of ferroportin in complex with its specific inhibitor vamifeport. eLife 2023, 12, e83053. [Google Scholar] [CrossRef]
- Wilbon, A.S.; Shen, J.; Ruchala, P.; Zhou, M.; Pan, Y. Structural basis of ferroportin inhibition by minihepcidin PR73. PLoS Biol. 2023, 21, e3001936. [Google Scholar] [CrossRef]
- Pospisil, P.; Luxem, K.E.; Ener, M.; Sykora, J.; Kocabova, J.; Gray, H.B.; Vlcek, A.; Hof, M. Fluorescence quenching of (dimethylamino)naphthalene dyes Badan and Prodan by tryptophan in cytochromes P450 and micelles. J. Phys. Chem. B 2014, 118, 10085–10091. [Google Scholar] [CrossRef] [PubMed]
- Sears, I.B.; O’Connor, J.; Rossanese, O.W.; Glick, B.S. A versatile set of vectors for constitutive and regulated gene expression in Pichia pastoris. Yeast 1998, 14, 783–790. [Google Scholar] [CrossRef]







| Fpn | KD (µM) |
|---|---|
| Wild type | 7 |
| V46DA | 9 |
| Y54DA | 7 |
| V161DA | 14 |
| Y331DA | 6 |
Disclaimer/Publisher’s Note: The statements, opinions and data contained in all publications are solely those of the individual author(s) and contributor(s) and not of MDPI and/or the editor(s). MDPI and/or the editor(s) disclaim responsibility for any injury to people or property resulting from any ideas, methods, instructions or products referred to in the content. |
© 2023 by the authors. Licensee MDPI, Basel, Switzerland. This article is an open access article distributed under the terms and conditions of the Creative Commons Attribution (CC BY) license (https://creativecommons.org/licenses/by/4.0/).
Share and Cite
Amadei, M.; Niro, A.; Fullone, M.R.; Miele, R.; Polticelli, F.; Musci, G.; Bonaccorsi di Patti, M.C. Genetic Incorporation of Dansylalanine in Human Ferroportin to Probe the Alternating Access Mechanism of Iron Transport. Int. J. Mol. Sci. 2023, 24, 11919. https://doi.org/10.3390/ijms241511919
Amadei M, Niro A, Fullone MR, Miele R, Polticelli F, Musci G, Bonaccorsi di Patti MC. Genetic Incorporation of Dansylalanine in Human Ferroportin to Probe the Alternating Access Mechanism of Iron Transport. International Journal of Molecular Sciences. 2023; 24(15):11919. https://doi.org/10.3390/ijms241511919
Chicago/Turabian StyleAmadei, Matteo, Antonella Niro, Maria Rosaria Fullone, Rossella Miele, Fabio Polticelli, Giovanni Musci, and Maria Carmela Bonaccorsi di Patti. 2023. "Genetic Incorporation of Dansylalanine in Human Ferroportin to Probe the Alternating Access Mechanism of Iron Transport" International Journal of Molecular Sciences 24, no. 15: 11919. https://doi.org/10.3390/ijms241511919
APA StyleAmadei, M., Niro, A., Fullone, M. R., Miele, R., Polticelli, F., Musci, G., & Bonaccorsi di Patti, M. C. (2023). Genetic Incorporation of Dansylalanine in Human Ferroportin to Probe the Alternating Access Mechanism of Iron Transport. International Journal of Molecular Sciences, 24(15), 11919. https://doi.org/10.3390/ijms241511919

