Novel Variant IMPDH1 c.134A>G, p.(Tyr45Cys): Phenotype–Genotype Correlation Revealed Likely Benign Clinical Significance
Abstract
1. Introduction
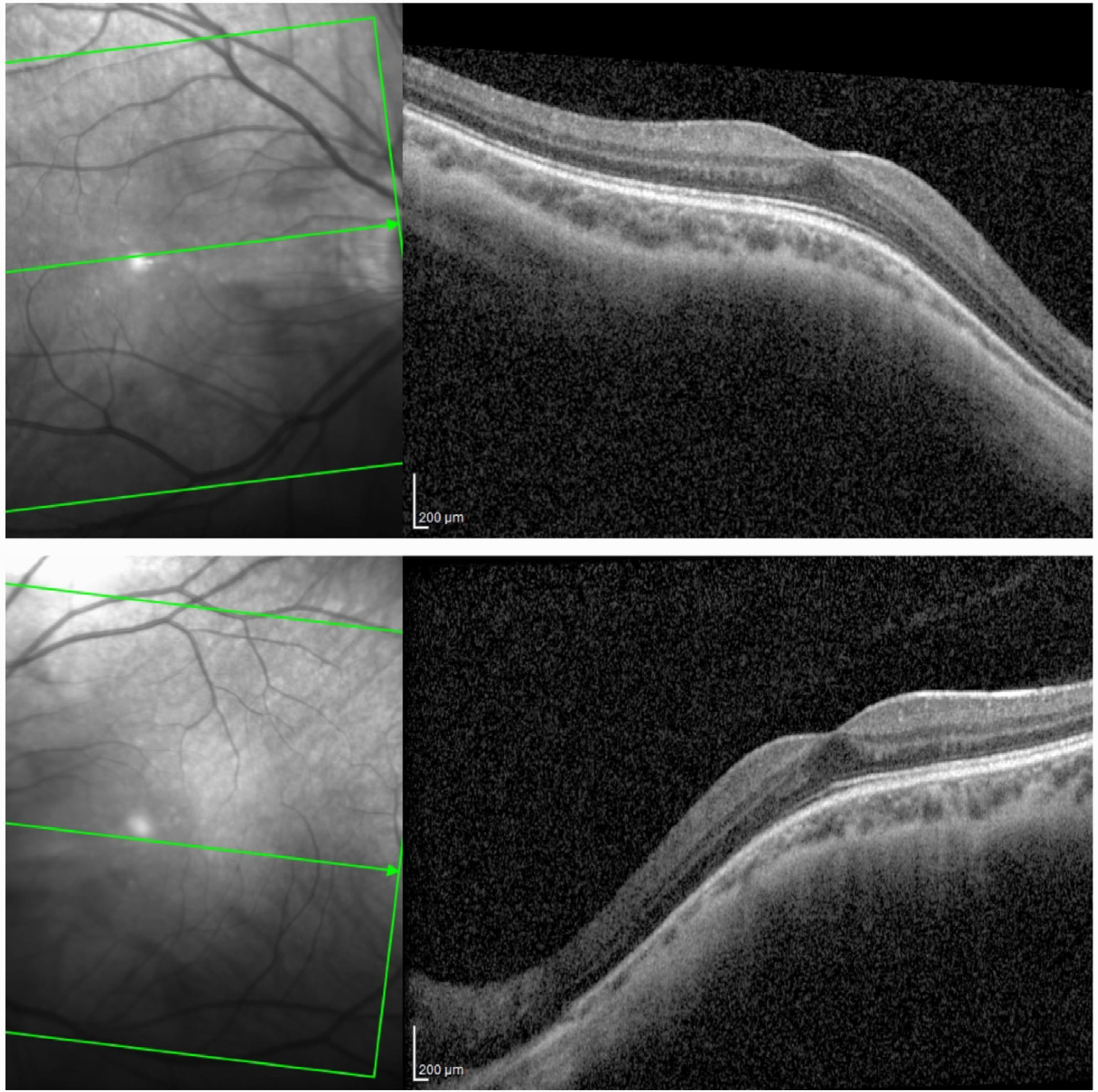
2. Case Presentation
2.1. Case Description
2.2. Genetic Testing Methodology
3. Discussion
3.1. IMPDH1 Gene
3.2. IMPDH1 c.134A>G, p.(Tyr45Cys)
3.3. Phenotype–Genotype Correlation
4. Conclusions
Author Contributions
Funding
Institutional Review Board Statement
Informed Consent Statement
Data Availability Statement
Conflicts of Interest
References
- IMP DEHYDROGENASE 1; IMPDH1. Available online: https://www.omim.org/entry/146690 (accessed on 21 May 2023).
- RETINITIS PIGMENTOSA 10; RP10. Available online: https://www.omim.org/entry/180105146690 (accessed on 21 May 2023).
- LEBER CONGENITAL AMAUROSIS 11; LCA11. Available online: https://www.omim.org/entry/613837 (accessed on 21 May 2023).
- Hoffman-Andrews, L. The known unknown: The challenges of genetic variants of uncertain significance in clinical practice. J. Law. Biosci. 2017, 4, 648–657. [Google Scholar] [CrossRef] [PubMed]
- Fahim, A. Retinitis pigmentosa: Recent advances and future directions in diagnosis and management. Curr. Opin. Pediatr. 2018, 30, 725–733. [Google Scholar] [CrossRef] [PubMed]
- Bowne, S.J.; Liu, Q.; Sullivan, L.S.; Zhu, J.; Spellicy, C.J.; Rickman, C.B.; Pierce, E.A.; Daiger, S.P. Why do mutations in the ubiquitously expressed housekeeping gene IMPDH1 cause retina-specific photoreceptor degeneration? Investig. Ophthalmol. Vis. Sci. 2006, 47, 3754–3765. [Google Scholar] [CrossRef] [PubMed]
- Bateman, A. The structure of a domain common to archaebacteria and the homocystinuria disease protein. Trends. Biochem. Sci. 1997, 22, 12–13. [Google Scholar] [CrossRef] [PubMed]
- Andashti, B.; Yazdanparast, R.; Motahar, M.; Barzegari, E.; Galehdari, H. Terminal Peptide Extensions Augment the Retinal IMPDH1 Catalytic Activity and Attenuate the ATP-induced Fibrillation Events. Cell. Biochem. Biophys. 2021, 79, 221–229. [Google Scholar] [CrossRef] [PubMed]
- Bowne, S.J.; Sullivan, L.S.; Blanton, S.H.; Cepko, C.L.; Blackshaw, S.; Birch, D.G.; Hughbanks-Wheaton, D.; Heckenlively, J.R.; Daiger, S.P. Mutations in the inosine monophosphate dehydrogenase 1 gene (IMPDH1) cause the RP10 form of autosomal dominant retinitis pigmentosa. Hum. Mol. Genet. 2002, 11, 559–568. [Google Scholar] [CrossRef]
- Wada, Y.; Sandberg, M.A.; McGee, T.L.; Stillberger, M.A.; Berson, E.L.; Dryja, T.P. Screen of the IMPDH1 gene among patients with dominant retinitis pigmentosa and clinical features associated with the most common mutation, Asp226Asn. Investig. Ophthalmol. Vis. Sci. 2005, 46, 1735–1741. [Google Scholar] [CrossRef][Green Version]
- Bowne, S.J.; Sullivan, L.S.; Mortimer, S.E.; Hedstrom, L.; Zhu, J.; Spellicy, C.J.; Gire, A.I.; Hughbanks-Wheaton, D.; Birch, D.G.; Lewis, R.A.; et al. Spectrum and frequency of mutations in IMPDH1 associated with autosomal dominant retinitis pigmentosa and leber congenital amaurosis. Investig. Ophthalmol. Vis. Sci. 2006, 47, 34–42. [Google Scholar] [CrossRef] [PubMed]
- Kennan, A.; Aherne, A.; Palfi, A.; Humphries, M.; McKee, A.; Stitt, A.; Simpson, D.A.; Demtroder, K.; Orntoft, T.; Ayuso, C.; et al. Identification of an IMPDH1 mutation in autosomal dominant retinitis pigmentosa (RP10) revealed following comparative microarray analysis of transcripts derived from retinas of wild-type and Rho−/− mice. Hum. Mol. Genet. 2002, 11, 547–557. [Google Scholar] [CrossRef] [PubMed]
- Coussa, R.G.; Chakarova, C.; Ajlan, R.; Taha, M.; Kavalec, C.; Gomolin, J.; Khan, A.; Lopez, I.; Ren, H.; Waseem, N.; et al. Genotype and Phenotype Studies in Autosomal Dominant Retinitis Pigmentosa (adRP) of the French Canadian Founder Population. Investig. Ophthalmol. Vis. Sci. 2015, 56, 8297–8305. [Google Scholar] [CrossRef] [PubMed]
- The Human Gene Mutation Database. Available online: http://www.hgmd.cf.ac.uk/ac/index.php (accessed on 18 May 2023).
- Jespersgaard, C.; Fang, M.; Bertelsen, M.; Dang, X.; Jensen, H.; Chen, Y.; Bech, N.; Dai, L.; Rosenberg, T.; Zhang, J.; et al. Molecular genetic analysis using targeted NGS analysis of 677 individuals with retinal dystrophy. Sci. Rep. 2019, 9, 1219. [Google Scholar] [CrossRef] [PubMed]
- Genome Aggregation Database (gnomAD). Available online: https://gnomad.broadinstitute.org/variant/7-128049822-T-C?dataset=gnomad_r2_1 (accessed on 22 May 2023).
- Bravo. Available online: https://bravo.sph.umich.edu/freeze8/hg38/ (accessed on 21 May 2023).
- University of California Santa Cruz Genomics Institute Genome Browser. Available online: https://genome.ucsc.edu (accessed on 19 May 2023).
- Donato, L.; Alibrandi, S.; Scimone, C.; Rinaldi, C.; Dascola, A.; Calamuneri, A.; D’Angelo, R.; Sidoti, A. The impact of modifier genes on cone-rod dystrophy heterogeneity: An explorative familial pilot study and a hypothesis on neurotransmission impairment. PLoS ONE 2022, 17, e0278857. [Google Scholar] [CrossRef] [PubMed]
- Donato, L.; Scimone, C.; Alibrandi, S.; Scalinci, S.Z.; Rinaldi, C.; D’Angelo, R.; Sidoti, A. Epitranscriptome Analysis of Oxidative Stressed Retinal Epithelial Cells Depicted a Possible RNA Editing Landscape of Retinal Degeneration. Antioxidants 2022, 11, 1967. [Google Scholar] [CrossRef] [PubMed]
- Jordan, S.A.; Farrar, G.J.; Kenna, P.; Humphries, M.M.; Sheils, D.M.; Kumar-Singh, R.; Sharp, E.M.; Soriano, N.; Ayuso, C.; Benitez, J.; et al. Localization of an autosomal dominant retinitis pigmentosa gene to chromosome 7q. Nat. Genet. 1993, 4, 54–58. [Google Scholar] [CrossRef] [PubMed]
- Wallang, B.S.; Das, S. Keratoglobus. Eye 2013, 27, 1004–1012. [Google Scholar] [CrossRef] [PubMed]
- Hao, X.-D.; Chen, X.-N.; Zhang, Y.-Y.; Chen, P.; Wei, C.; Shi, W.-Y.; Gao, H. Multi-level consistent changes of the ECM pathway identified in a typical keratoconus twin’s family by multi-omics analysis. Orphanet. J. Rare Dis. 2020, 15, 227. [Google Scholar] [CrossRef] [PubMed]
- Groot, A.C.G.-D.; Bartram, U.; Oosthoek, P.W.; Bartelings, M.M.; Hogers, B.; Poelmann, R.E.; Jongewaard, I.N.; Klewer, S.E. Collagen type VI expression during cardiac development and in human fetuses with trisomy 21. Anat. Rec. 2003, 275A, 1109–1116. [Google Scholar] [CrossRef] [PubMed]
- Haseeb, A.; Huynh, E.; ElSheikh, R.H.; ElHawary, A.S.; Scelfo, C.; Ledoux, D.M.; Maidana, D.E.; Elhusseiny, A.M. Down syndrome: A review of ocular manifestations. Ther. Adv. Ophthalmol. 2022, 14, 25158414221101718. [Google Scholar] [CrossRef] [PubMed]
- Richards, S.; Aziz, N.; Bale, S.; Bick, D.; Das, S.; Gastier-Foster, J.; Grody, W.W.; Hegde, M.; Lyon, E.; Spector, E.; et al. Standards and guidelines for the interpretation of sequence variants: A joint consensus recommendation of the American College of Medical Genetics and Genomics and the Association for Molecular Pathology. Genet. Med. 2015, 17, 405–424. [Google Scholar] [CrossRef] [PubMed]





Disclaimer/Publisher’s Note: The statements, opinions and data contained in all publications are solely those of the individual author(s) and contributor(s) and not of MDPI and/or the editor(s). MDPI and/or the editor(s) disclaim responsibility for any injury to people or property resulting from any ideas, methods, instructions or products referred to in the content. |
© 2023 by the authors. Licensee MDPI, Basel, Switzerland. This article is an open access article distributed under the terms and conditions of the Creative Commons Attribution (CC BY) license (https://creativecommons.org/licenses/by/4.0/).
Share and Cite
Bjeloš, M.; Ćurić, A.; Bušić, M.; Rak, B.; Kuzmanović Elabjer, B.; Marković, L. Novel Variant IMPDH1 c.134A>G, p.(Tyr45Cys): Phenotype–Genotype Correlation Revealed Likely Benign Clinical Significance. Int. J. Mol. Sci. 2023, 24, 11889. https://doi.org/10.3390/ijms241511889
Bjeloš M, Ćurić A, Bušić M, Rak B, Kuzmanović Elabjer B, Marković L. Novel Variant IMPDH1 c.134A>G, p.(Tyr45Cys): Phenotype–Genotype Correlation Revealed Likely Benign Clinical Significance. International Journal of Molecular Sciences. 2023; 24(15):11889. https://doi.org/10.3390/ijms241511889
Chicago/Turabian StyleBjeloš, Mirjana, Ana Ćurić, Mladen Bušić, Benedict Rak, Biljana Kuzmanović Elabjer, and Leon Marković. 2023. "Novel Variant IMPDH1 c.134A>G, p.(Tyr45Cys): Phenotype–Genotype Correlation Revealed Likely Benign Clinical Significance" International Journal of Molecular Sciences 24, no. 15: 11889. https://doi.org/10.3390/ijms241511889
APA StyleBjeloš, M., Ćurić, A., Bušić, M., Rak, B., Kuzmanović Elabjer, B., & Marković, L. (2023). Novel Variant IMPDH1 c.134A>G, p.(Tyr45Cys): Phenotype–Genotype Correlation Revealed Likely Benign Clinical Significance. International Journal of Molecular Sciences, 24(15), 11889. https://doi.org/10.3390/ijms241511889

