Genome-Wide Identification of Aqp Family Related to Spermatogenesis in Turbot (Scophthalmus maximus)
Abstract
1. Introduction
2. Results
2.1. Identification of aqps Genes in Turbot
2.2. Phylogenetic Analysis of AQPs Proteins
2.3. Conserved Motif and Domain Analyses
2.4. Chromosomes Localization of aqps
2.5. The Expression Patterns of aqps during Spermatogenesis
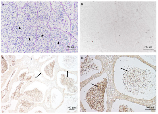
2.6. Localization of AQP1 Protein in Testis by Immunohistochemistry
2.7. The Effect of AQP1 Inhibitor and Antibody on Sperm Motility
2.8. Differential Expression of Smaqp1 RNA in Sperm of Different Quality
3. Discussion
4. Materials and Methods
4.1. Experimental Fish, and Sample Collection
4.2. Phylogenetic Analysis, Gene Location on Chromosomes, and Domain Analysis
4.3. RNA Seq
4.4. Real-Time PCR
4.5. Analyses of aqp1 Inhibitor and Antibody on Sperm Motility
4.6. Immunohistochemistry Localization of AQP1 Protein in Testis
4.7. Statistical Analysis
5. Conclusions
Supplementary Materials
Author Contributions
Funding
Institutional Review Board Statement
Informed Consent Statement
Data Availability Statement
Acknowledgments
Conflicts of Interest
References
- Alavi, S.M.H.; Cosson, J. Sperm motility in fishes (II) Effects of ions and osmolality: A review. Cell Biol. Int. 2006, 30, 1–14. [Google Scholar] [CrossRef] [PubMed]
- Herrera, F.; Bondarenko, O.; Boryshpolets, S. Osmoregulation in fish sperm. Fish Physiol. Biochem. 2021, 47, 785–795. [Google Scholar] [CrossRef] [PubMed]
- Cerda, J.; Finn, R.N. Piscine aquaporins: An overview of recent advances. J. Exp. Zool. 2010, 313A, 623–650. [Google Scholar] [CrossRef] [PubMed]
- King, L.S.; Kozono, D.; Agre, P. From structure to disease: The evolving tale of aquaporin biology. Nat. Rev. Mol. Cell Biol. 2004, 5, 687–698. [Google Scholar] [CrossRef]
- Zhang, D.; Tan, Y.J.; Qu, F.; Sheng, J.Z.; Huang, H.F. Functions of water channels in male and female reproductive systems. Mol. Asp. Med. 2012, 33, 676–690. [Google Scholar] [CrossRef]
- Yeung, C.H.; Barfield, J.P.; Cooper, T.G. Chloride channels in physiological volume regulation of human spermatozoa. Biol. Reprod. 2005, 73, 1057–1063. [Google Scholar] [CrossRef]
- Yeung, C.H.; Barfield, J.P.; Cooper, T.G. The role of anion channels and Ca2+ in addition to K+ channels in the physiological volume regulation of murine spermatozoa. Mol. Reprod. Dev. 2005, 71, 368–379. [Google Scholar] [CrossRef]
- Yeung, C.H.; Callies, C.; Rojek, A.; Nielsen, S.; Cooper, T.G. Aquaporin isoforms involved in physiological volume regulation of murine spermatozoa. Biol. Reprod. 2009, 80, 350–357. [Google Scholar] [CrossRef]
- Yeung, C.H.; Cooper, T.G. Aquaporin AQP11 in the testis: Molecular identity and association with the processing of residual cytoplasm of elongated spermatids. Reproduction 2010, 139, 209–216. [Google Scholar] [CrossRef]
- Monsang, S.J.; Parhi, J.; Choudhury, J.; Deka, A.; Pal, P. Molecular characterization of carp aquaporin-3a: Expression profiling during hormone-induced spawning. Aquaculture 2019, 500, 569–575. [Google Scholar] [CrossRef]
- Chauvigné, F.; Zapater, C.; Cerdà, J. Role of aquaporins during teleost gametogenesis and early embryogenesis. Front. Physiol. 2011, 2, 66. [Google Scholar] [CrossRef] [PubMed]
- Kannan, A.; Panneerselvam, A.; Mariajoseph-Antony, L.F.; Loganathan, C.; Prahalathan, C. Role of aquaporins in spermatogenesis and testicular steroidogenesis. J. Membr. Biol. 2020, 253, 109–114. [Google Scholar] [CrossRef]
- Boj, M.; Chauvigné, F.; Cerdà, J. Aquaporin biology of spermatogenesis and sperm physiology in mammals and teleosts. Biol. Bull. 2015, 229, 93–108. [Google Scholar] [CrossRef]
- Yeste, M.; Morato, R.; Rodriguez-Gil, J.E.; Bonet, S.; Prieto-Martinez, N. Aquaporins in the male reproductive tract and sperm: Functional implications and cryobiology. Reprod. Dom Anim. 2017, 52 (Suppl. S4), 12–27. [Google Scholar] [CrossRef]
- Zilli, L.; Schiavone, R.; Chauvigné, F.; Cerdà, J.; Storelli, C.; Vilella, S. Evidence for the involvement of aquaporins in sperm motility activation of the teleost gilthead sea bream (Sparus aurata). Biol. Reprod. 2009, 81, 880–888. [Google Scholar] [CrossRef]
- Shannonhouse, J.L.; Urbanski, H.F.; Woo, S.L.; Fong, L.A.; Goddard, S.D.; Lucas, W.F.; Jones, E.R.; Wu, C.; Morgan, C. Aquaporin-11 control of testicular fertility markers in Syrian hamsters. Mol. Cell Endocrinol. 2014, 391, 1–9. [Google Scholar] [CrossRef]
- Betsy, J.; Kumar, S. Cryopreservation of Fish Gametes; Springer: Singapore, 2020; pp. 135–149. [Google Scholar]
- Wang, X.Y.; Liu, Q.H.; Xu, S.H.; Xiao, Y.S.; Wang, Y.F.; Feng, C.C.; Xue, R.; Zhao, H.X.; Song, Z.Z.; Li, J. Transcriptome dynamics during turbot spermatogenesis predicting the potential key genes regulating male germ cell proliferation and maturation. Sci. Rep. 2018, 8, 15825. [Google Scholar] [CrossRef]
- Finn, R.N.; Chauvigné, F.; Hlidberg, J.B.; Cutler, C.P.; Cerdà, J. The lineage-specific evolution of aquaporin gene clusters facilitated tetrapod terrestrial adaptation. PLoS ONE 2014, 9, e113686. [Google Scholar]
- Engelund, M.B.; Chauvigné, F.; Christensen, B.M.; Finn, R.N.; Cerdà, J.; Madsen, S.S. Differential expression and novel permeability properties of three aquaporin 8 paralogs from seawater-challenged Atlantic salmon smolts. J. Exp. Biol. 2013, 216, 3873–3885. [Google Scholar] [CrossRef] [PubMed]
- Jia, Y.; Xu, F.; Liu, X. Duplication and subsequent functional diversification of aquaporin family in Pacific abalone Haliotis discus hannai. Mol. Phylogenetics Evol. 2022, 168, 107392. [Google Scholar] [CrossRef] [PubMed]
- Mohamed, E.A.; Im, J.W.; Kim, D.H.; Bae, H.R. Differential expressions of aquaporin subtypes in the adult mouse testis. Dev. Reprod. 2022, 26, 59–69. [Google Scholar] [CrossRef]
- Moretti, E.; Terzuoli, G.; Mazzi, L.; Iacoponi, F.; Collodel, G. Immunolocalization of aquaporin 7 in human sperm and its relationship with semen parameters. Syst. Biol. Reprod. Med. 2012, 58, 129–135. [Google Scholar] [CrossRef] [PubMed]
- Klein, C.; Troedsson, M.H.T.; Rutllant, J. Region-specific expression of aquaporin subtypes in equine testis, epididymis, and ductus deferens. Anat. Rec. 2013, 296, 1115–1126. [Google Scholar] [CrossRef]
- Raldúa, D.; Otero, D.; Fabra, M.; Cerdà, J. Differential localization and regulation of two aquaporin-1homologs in the in test in alepithelia of the marine teleost Sparus aurata. Am. J. Physiol. Regul. Integr. Comp. Physiol. 2008, 294, 993–1003. [Google Scholar] [CrossRef] [PubMed]
- Takei, G.L.; Mukai, C.; Okuno, M. Regulation of salmonid fish sperm motility by osmotic shock-induced water influx across the plasma membrane. Comp. Biochem. Physiol. A Mol. Integr. Physiol. 2015, 182, 84–92. [Google Scholar] [CrossRef] [PubMed]







| Gene | Number of Amino Acids | Molecular Weight (kDa) | Theoretical PI | Subcellular Location |
|---|---|---|---|---|
| Smaqp0a XP_035500823.1 | 263 | 28.681 | 9.36 | Plasma membrane |
| Smaqp0b XP_035500169.1 | 261 | 27.457 | 6.41 | Plasma membrane |
| Smaqp1 XP_035490995.1 | 271 | 29.004 | 8.44 | Plasma membrane |
| Smaqp3 XP_035496857.1 | 298 | 32.527 | 7.00 | Plasma membrane |
| Smaqp4 XP_035491251.1 | 335 | 35.952 | 6.38 | Plasma membrane |
| Smaqp7 XP_035487470.1 | 311 | 33.349 | 6.08 | Plasma membrane |
| Smaqp8aa XP_035469441.1 | 259 | 27.068 | 8.08 | Plasma membrane |
| Smaqp8ab XP_035469440.1 | 260 | 27.573 | 6.41 | Plasma membrane |
| Smaqp8b XP_035471338.1 | 259 | 27.324 | 7.56 | Plasma membrane |
| Smaqp9a XP_035499181.1 | 305 | 32.992 | 5.00 | Plasma membrane |
| Smaqp9b XP_035485369.1 | 288 | 30.954 | 6.09 | Plasma membrane |
| Smaqp10a XP_035500062.1 | 298 | 32.497 | 6.80 | Plasma membrane |
| Smaqp10b XP_035475972.1 | 446 | 48.158 | 8.09 | Plasma membrane |
| Smaqp11a XP_035479367.2 | 328 | 35.363 | 9.87 | Plasma membrane |
| Smaqp11b XP_035482617.2 | 270 | 28.455 | 8.40 | Plasma membrane |
| Smaqp12 XP_035503730.1 | 279 | 30.736 | 9.46 | Plasma membrane |
Disclaimer/Publisher’s Note: The statements, opinions and data contained in all publications are solely those of the individual author(s) and contributor(s) and not of MDPI and/or the editor(s). MDPI and/or the editor(s) disclaim responsibility for any injury to people or property resulting from any ideas, methods, instructions or products referred to in the content. |
© 2023 by the authors. Licensee MDPI, Basel, Switzerland. This article is an open access article distributed under the terms and conditions of the Creative Commons Attribution (CC BY) license (https://creativecommons.org/licenses/by/4.0/).
Share and Cite
Wang, X.; Zhao, N.; Wang, T.; Huang, J.; Liu, Q.; Li, J. Genome-Wide Identification of Aqp Family Related to Spermatogenesis in Turbot (Scophthalmus maximus). Int. J. Mol. Sci. 2023, 24, 11770. https://doi.org/10.3390/ijms241411770
Wang X, Zhao N, Wang T, Huang J, Liu Q, Li J. Genome-Wide Identification of Aqp Family Related to Spermatogenesis in Turbot (Scophthalmus maximus). International Journal of Molecular Sciences. 2023; 24(14):11770. https://doi.org/10.3390/ijms241411770
Chicago/Turabian StyleWang, Xueying, Ning Zhao, Tao Wang, Jinwei Huang, Qinghua Liu, and Jun Li. 2023. "Genome-Wide Identification of Aqp Family Related to Spermatogenesis in Turbot (Scophthalmus maximus)" International Journal of Molecular Sciences 24, no. 14: 11770. https://doi.org/10.3390/ijms241411770
APA StyleWang, X., Zhao, N., Wang, T., Huang, J., Liu, Q., & Li, J. (2023). Genome-Wide Identification of Aqp Family Related to Spermatogenesis in Turbot (Scophthalmus maximus). International Journal of Molecular Sciences, 24(14), 11770. https://doi.org/10.3390/ijms241411770

