The Protective Potential of Aronia melanocarpa L. Berry Extract against Cadmium-Induced Kidney Damage: A Study in an Animal Model of Human Environmental Exposure to This Toxic Element
Abstract
1. Introduction
2. Results
2.1. The Impact of Cd and AM Alone and Their Co-Administration on the Values of Biomarkers of Damage to the Kidney Tubules
2.2. The Impact of Cd and AM Alone and Their Co-Administration on the Values of Biomarkers of Damage to the Kidney Glomeruli
2.3. The Impact of Cd and AM Alone and Their Co-Administration on the Concentration of Cd in the Urine
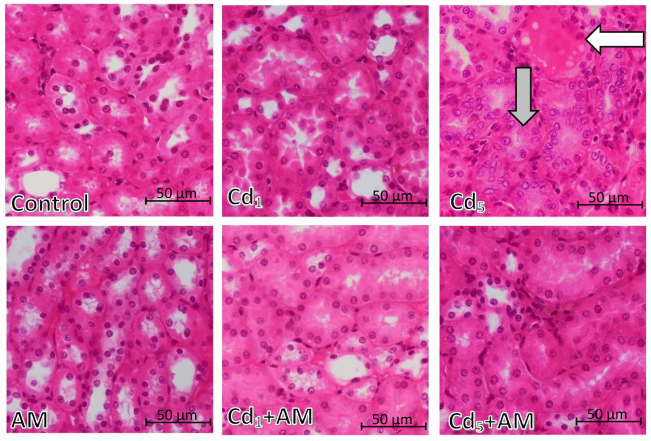
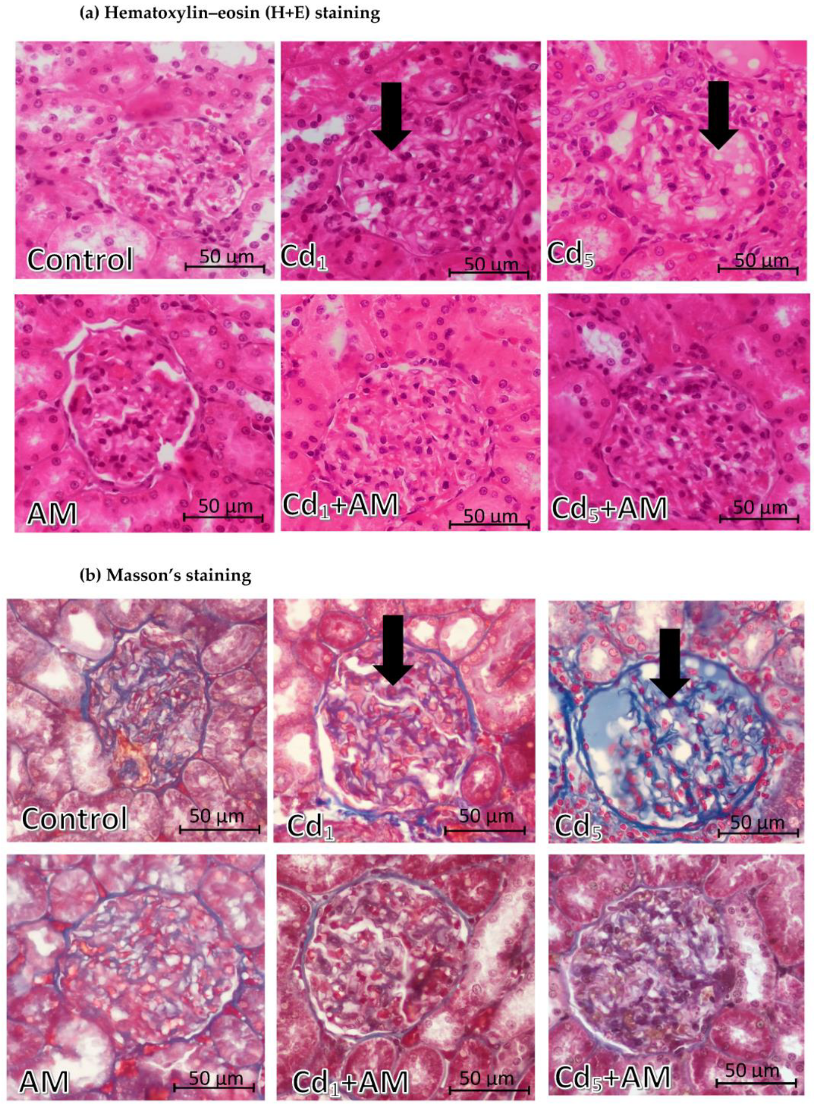
2.4. The Impact of Cd and AM Alone and Their Co-Administration on the Morphological Structure of the Kidney
2.5. The Impact of Cd and AM Alone and Their Co-Administration on the Markers of Inflammation in the Kidney
2.6. Relationships between the Investigated Biomarkers of Kidney Status and the Body Burden of Cd
2.7. Mutual Relationships between the Investigated Markers of the Kidney Status
3. Discussion
4. Materials and Methods
4.1. Animals
4.2. Feed Containing Cd
4.3. Aronia melanocarpa L. Extract
4.4. Design of the Study
- Control group: the rats were maintained on the standard Labofeed diet (0.0584 ± 0.0049 mg Cd/kg) and drinking water (redistilled water containing < 0.05 μg Cd/L) without the addition of the extract from the berries of A melanocarpa L.
- AM group: the animals received AM (0.1% aqueous solution of the extract from the berries of A. melanocarpa) as the only drinking fluid.
- Cd1 group: the rats were fed a diet containing 1 mg Cd/kg and received redistilled water as drinking fluid.
- Cd1+AM group: the animals were fed AM as the only drinking fluid for the entire duration of exposure to Cd at a concentration of 1 mg/kg feed.
- Cd5 group: the rats were treated with Cd at a concentration of 5 mg/kg feed and received redistilled water as drinking fluid.
- Cd5+AM group: the animals were exposed to Cd at a concentration of 5 mg/kg feed and received AM as the only drinking fluid.
4.5. Analytical Methods
4.5.1. Measurements of the Markers of Kidney Status in the Urine and Serum
Biomarkers of Tubular Damage
Biomarkers of Glomerular Damage
4.5.2. Determination of Cd Concentration in the Urine
4.5.3. Histopathological Studies
4.5.4. Determination of Proinflammatory Markers in the Kidney
4.6. Statistical Analysis
5. Conclusions
Supplementary Materials
Author Contributions
Funding
Institutional Review Board Statement
Informed Consent Statement
Data Availability Statement
Acknowledgments
Conflicts of Interest
Abbreviations
| AAS method | atomic absorption spectrometry method |
| ACR | albumin concentration in the urine adjusted for creatinine concentration |
| ALP | alkaline phosphatase |
| AM | 0.1% aqueous extract from the berries of Aronia melanocarpa L. |
| Bax | Bcl2-associated X protein |
| β2-MG | β2-microglobulin |
| b.w. | body weight |
| Cd | cadmium |
| CdCl2 × 2.5 H2O | cadmium chloride 2.5-hydrate |
| Cd-MT | cadmium-metallothionein complex |
| Cd2+ | cadmium ions |
| CV | coefficient of variation |
| Cu | copper |
| ELISA | enzyme-linked immunosorbent assay |
| GFR | glomerular filtration rate |
| HNO3 | nitric acid |
| HRP | horseradish peroxidase |
| KIM-1 | kidney injury molecule-1 |
| LOAEL | lowest observed adverse effect level |
| MIP1a | macrophage inflammatory protein 1 alpha |
| Mn | manganese |
| MT | metallothionein |
| NAC | N-acetyl-L-cysteine |
| NAG | N-acetyl-β-D-glucosaminidase |
| PCR | total protein concentration in the urine adjusted for creatinine concentration |
| SD | standard deviation |
| w.w. | wet weight |
| Zn | zinc |
References
- Zhang, J.; Wang, X.; Ma, Z.; Dang, Y.; Yang, Y.; Cao, S.; Ouyang, C.; Shi, X.; Pan, J.; Hu, X. Associations of urinary and blood cadmium concentrations with all-cause mortality in US adults with chronic kidney disease: A prospective cohort study. Environ. Sci. Pollut. Res. 2023, 30, 61659–61671. [Google Scholar] [CrossRef]
- Smereczański, N.M.; Brzóska, M.M. Current levels of environmental exposure to cadmium in industrialized countries as a risk factor for kidney damage in the general population: A comprehensive review of available data. Int. J. Mol. Sci. 2023, 24, 8413. [Google Scholar] [CrossRef] [PubMed]
- ATSDR. Substance Priority List. Agency for Toxic Substances and Disease Registry (ATSDR). 2022. Available online: https://www.atsdr.cdc.gov/spl/ (accessed on 4 March 2023).
- Wang, D.; Sun, H.; Wu, Y.; Zhou, Z.; Ding, Z.; Chen, X.; Xu, Y. Tubular and glomerular kidney effects in the Chinese general population with low environmental cadmium exposure. Chemosphere 2016, 147, 3–8. [Google Scholar] [CrossRef] [PubMed]
- Grau-Perez, M.; Pichler, G.; Galan-Chilet, I.; Briongos-Figuero, L.S.; Rentero-Garrido, P.; Lopez-Izquierdo, R.; Navas-Acien, A.; Weaver, V.; García-Barrera, T.; Gomez-Ariza, J.L.; et al. Urine cadmium levels and albuminuria in a general population from Spain: A gene-environment interaction analysis. Environ. Int. 2017, 106, 27–36. [Google Scholar] [CrossRef]
- Lin, Y.S.; Ho, W.C.; Caffrey, J.L.; Sonawane, B. Low serum zinc is associated with elevated risk of cadmium nephrotoxicity. Environ. Res. 2014, 134, 33–38. [Google Scholar] [CrossRef]
- Qu, Y.L.; Cai, J.Y.; Chen, X.; Zheng, L.; Huang, L.; Yang, J.X.; Ye, X.; Wang, Q.; Si, G.A.; Cao, Z.J. Association of cadmium pollution with liver function of population in mineral polluted areas of Guangxi. Chin. J. Prev. Vet. Med. 2020, 54, 839–843. [Google Scholar] [CrossRef]
- Nordberg, G.F.; Bernard, A.; Diamond, G.L.; Duffus, J.H.; Illing, P.; Nordberg, M.; Bergdahl, I.A.; Jin, T.; Skerfving, S. Risk assessment of effects of cadmium on human health (IUPAC Technical Report). Pure Appl. Chem. 2018, 90, 755–808. [Google Scholar] [CrossRef]
- Qing, Y.; Yang, J.; Chen, Y.; Shi, C.; Zhang, Q.; Ning, Z.; Yu, Y.; Li, Y. Urinary cadmium in relation to bone damage: Cadmium exposure threshold dose and health-based guidance value estimation. Ecotoxicol. Environ. Saf. 2021, 226, 112824. [Google Scholar] [CrossRef]
- Ruczaj, A.; Brzóska, M.M. Environmental exposure of the general population to cadmium as a risk factor of the damage to the nervous system: A critical review of current data. J. Appl. Toxicol. 2023, 43, 66–88. [Google Scholar] [CrossRef]
- Fagerberg, B.; Barregard, L. Review of cadmium exposure and smoking-independent effects on atherosclerotic cardiovascular disease in the general population. J. Intern. Med. 2021, 290, 1153–1179. [Google Scholar] [CrossRef]
- Satarug, S.; Vesey, D.A.; Gobe, G.C. Cadmium-induced proteinuria: Mechanistic insights from dose–effect analyses. Int. J. Mol. Sci. 2023, 24, 1893. [Google Scholar] [CrossRef]
- Zhang, Y.; Wang, P.; Liang, X.; Tan, C.S.; Tan, J.; Wang, J.; Huang, Q.; Huang, R.; Li, Z.; Chen, W.; et al. Associations between urinary excretion of cadmium and renal biomarkers in nonsmoking females: A cross-sectional study in rural areas of South China. Int. J. Environ. Res. Public Health 2015, 12, 11988–12001. [Google Scholar] [CrossRef]
- Chen, X.; Zhu, G.; Wang, Z.; Liang, Y.; Chen, B.; He, P.; Nordberg, M.; Nordberg, G.F.; Ding, X.; Jin, T. The association between dietary cadmium exposure and renal dysfunction—The benchmark dose estimation of reference levels: The ChinaCad study. J. Appl. Toxicol. 2018, 38, 1365–1373. [Google Scholar] [CrossRef] [PubMed]
- Qing, Y.; Yang, J.; Zhu, Y.; Li, Y.; Zheng, W.; Wu, M.; He, G. Dose-response evaluation of urinary cadmium and kidney injury biomarkers in Chinese residents and dietary limit standards. Environ. Health 2021, 20, 75. [Google Scholar] [CrossRef] [PubMed]
- Oosterwijk, M.M.; Hagedoorn, I.J.M.; Maatman, R.G.H.J.; Bakker, S.J.L.; Navis, G.; Laverman, G.D. Cadmium, active smoking and renal function deterioration in patients with type 2 diabetes. Nephrol. Dial. Transplant. 2023, 38, 876–883. [Google Scholar] [CrossRef]
- Brzóska, M.M.; Gałażyn-Sidorczuk, M.; Jurczuk, M.; Tomczyk, M. Protective effect of Aronia melanocarpa polyphenols on cadmium accumulation in the body: A study in a rat model of human exposure to this metal. Curr. Drug Targets 2015, 16, 1470–1487. [Google Scholar] [CrossRef] [PubMed]
- Mężyńska, M.; Brzóska, M.M.; Rogalska, J.; Piłat-Marcinkiewicz, B. Extract from Aronia melanocarpa L. berries prevents cadmium-induced oxidative stress in the liver: A study in a rat model of low-level and moderate lifetime human exposure to this toxic metal. Nutrients 2019, 11, 21. [Google Scholar] [CrossRef]
- Mężyńska, M.; Brzóska, M.M.; Rogalska, J.; Galicka, A. Extract from Aronia melanocarpa L. berries protects against cadmium-induced lipid peroxidation and oxidative damage to proteins and DNA in the liver: A study using a rat model of environmental human exposure to this xenobiotic. Nutrients 2019, 11, 758. [Google Scholar] [CrossRef]
- Kozłowska, M.; Brzóska, M.M.; Rogalska, J.; Galicka, A. The impact of a polyphenol-rich extract from the berries of Aronia melanocarpa L. on collagen metabolism in the liver: A study in an in vivo model of human environmental exposure to cadmium. Nutrients 2020, 12, 2766. [Google Scholar] [CrossRef]
- Brzóska, M.M.; Rogalska, J.; Gałażyn-Sidorczuk, M.; Jurczuk, M.; Roszczenko, A.; Tomczyk, M. Protective effect of Aronia melanocarpa polyphenols against cadmium-induced disorders in bone metabolism: A study in a rat model of lifetime human exposure to this heavy metal. Chem. Biol. Interact. 2015, 229, 132–146. [Google Scholar] [CrossRef] [PubMed]
- Brzóska, M.M.; Rogalska, J.; Roszczenko, A.; Gałażyn-Sidorczuk, M.; Tomczyk, M. The mechanism of the osteoprotective action of a polyphenol-rich Aronia melanocarpa extract during chronic exposure to cadmium is mediated by the oxidative defense system. Planta Med. 2016, 82, 621–631. [Google Scholar] [CrossRef]
- Brzóska, M.M.; Roszczenko, A.; Rogalska, J.; Gałażyn-Sidorczuk, M.; Mężyńska, M. Protective effect of chokeberry (Aronia melanocarpa L.) extract against cadmium impact on the biomechanical properties of the femur: A study in a rat model of low and moderate lifetime women exposure to this heavy metal. Nutrients 2017, 9, 543. [Google Scholar] [CrossRef]
- Onopiuk, B.M.; Dąbrowska, Z.N.; Rogalska, J.; Brzóska, M.M.; Dąbrowski, A.; Bijowski, K.; Onopiuk, P.; Mroczko, B.; Orywal, K.; Dąbrowska, E. The beneficial impact of the black chokeberry extract against the oxidative stress in the sublingual salivary gland of rats intoxicated with cadmium. Oxid. Med. Cell. Longev. 2021, 2021, 6622245. [Google Scholar] [CrossRef]
- Borowska, S.; Brzóska, M.M.; Gałażyn-Sidorczuk, M.; Rogalska, J. Effect of an extract from Aronia melanocarpa L. berries on the body status of zinc and copper under chronic exposure to cadmium: An in vivo experimental study. Nutrients 2017, 9, 1374. [Google Scholar] [CrossRef] [PubMed]
- Brzóska, M.M.; Gałażyn-Sidorczuk, M.; Kozłowska, M.; Smereczański, N.M. The body status of manganese and activity of this element-dependent mitochondrial superoxide dismutase in a rat model of human exposure to cadmium and co-administration of Aronia melanocarpa L. extract. Nutrients 2022, 14, 4773. [Google Scholar] [CrossRef]
- Borowska, S.; Brzóska, M.M. Chokeberries (Aronia melanocarpa) and their products as a possible means for the prevention and treatment of noncommunicable diseases and unfavorable health effects due to exposure to xenobiotics. Compr. Rev. Food Sci. Food Saf. 2016, 15, 982. [Google Scholar] [CrossRef]
- Sidor, A.; Gramza-Michałowska, A. Black chokeberry Aronia melanocarpa L.—A qualitative composition, phenolic profile and antioxidant potential. Molecules 2019, 24, 3710. [Google Scholar] [CrossRef] [PubMed]
- Olechno, E.; Puścion-Jakubik, A.; Zujko, M.E. Chokeberry (A. melanocarpa (Michx.) Elliott)—A natural product for metabolic disorders? Nutrients 2022, 14, 2688. [Google Scholar] [CrossRef] [PubMed]
- Mężyńska, M.; Brzóska, M.M. Review of polyphenol-rich products as potential protective and therapeutic factors against cadmium hepatotoxicity. J. Appl. Toxicol. 2019, 39, 117–145. [Google Scholar] [CrossRef]
- del Bo’, C.; Bernardi, S.; Marino, M.; Porrini, M.; Tucci, M.; Guglielmetti, S.; Cherubini, A.; Carrieri, B.; Kirkup, B.; Kroon, P.; et al. Systematic review on polyphenol intake and health outcomes: Is there sufficient evidence to define a health-promoting polyphenol-rich dietary pattern? Nutrients 2019, 11, 1355. [Google Scholar] [CrossRef]
- Borowska, S.; Brzóska, M.M.; Tomczyk, M. Complexation of bioelements and toxic metals by polyphenolic compounds—Implications for health. Curr. Drug Targets 2018, 19, 1612–1638. [Google Scholar] [CrossRef]
- Jung, H.Y.; Seo, D.W.; Hong, C.O.; Kim, J.Y.; Yang, S.Y.; Lee, K.W. Nephroprotection of plantamajoside in rats treated with cadmium. Environ. Toxicol. Pharmacol. 2015, 39, 125–136. [Google Scholar] [CrossRef]
- El–Aziz, A.G.S.; Mustafa, H.N.; Saleh, H.A.; El–Fark, M.M.O. Zingiber Officinale alleviates maternal and fetal hepatorenal toxicity induced by prenatal cadmium. Biomed. Pharmacol. J. 2018, 11, 1369–1380. [Google Scholar] [CrossRef]
- Huang, K.; Deng, Y.; Yuan, W.; Geng, J.; Wang, G.; Zou, F. Phospholipase D1 ameliorates apoptosis in chronic renal toxicity caused by low-dose cadmium exposure. Biomed. Res. Int. 2020, 2020, 7091053. [Google Scholar] [CrossRef]
- Kim, K.S.; Lim, H.J.; Lim, J.S.; Son, J.Y.; Lee, J.; Lee, B.M.; Chang, S.C.; Kim, H.S. Curcumin ameliorates cadmium-induced nephrotoxicity in Sprague-Dawley rats. Food Chem. Toxicol. 2018, 114, 34–40. [Google Scholar] [CrossRef]
- Joardar, S.; Dewanjee, S.; Bhowmick, S.; Dua, T.K.; Das, S.; Saha, A.; De Feo, V. Rosmarinic acid attenuates cadmium-induced nephrotoxicity via inhibition of oxidative stress, apoptosis, inflammation and fibrosis. Int. J. Mol. Sci. 2019, 20, 2027. [Google Scholar] [CrossRef] [PubMed]
- Kandemir, F.M.; Caglayan, C.; Darendelioğlu, E.; Küçükler, S.; İzol, E.; Kandemir, Ö. Modulatory effects of carvacrol against cadmium-induced hepatotoxicity and nephrotoxicity by molecular targeting regulation. Life Sci. 2021, 277, 119610. [Google Scholar] [CrossRef]
- Ruangyuttikarn, W.; Panyamoon, A.; Nambunmee, K.; Honda, R.; Swaddiwudhipong, W.; Nishijo, M. Use of the kidney injury molecule-1 as a biomarker for early detection of renal tubular dysfunction in a population chronically exposed to cadmium in the environment. SpringerPlus 2013, 2, 533. [Google Scholar] [CrossRef] [PubMed]
- Prozialeck, W.C.; Edwards, J.R.; Lamar, P.C.; Liu, J.; Vaidya, V.S.; Bonventre, J.V. Expression of kidney injury molecule-1 (Kim-1) in relation to necrosis and apoptosis during the early stages of Cd-induced proximal tubule injury. Toxicol. Appl. Pharmacol. 2009, 238, 306–314. [Google Scholar] [CrossRef] [PubMed]
- Callan, A.C.; Devine, A.; Qi, L.; Ng, J.C.; Hinwood, A.L. Investigation of the relationship between low environmental exposure to metals and bone mineral density, bone resorption and renal function. Int. J. Hyg. Environ. Health 2015, 218, 444–451. [Google Scholar] [CrossRef]
- Hambach, R.; Lison, D.; D’Haese, P.C.; Weyler, J.; De Graef, E.; De Schryver, A.; Lamberts, L.V.; van Sprundel, M. Co-exposure to lead increases the renal response to low levels of cadmium in metallurgy workers. Toxicol. Lett. 2013, 222, 233–238. [Google Scholar] [CrossRef] [PubMed]
- Brzóska, M.M.; Kamiński, M.; Supernak-Bobko, D.; Zwierz, K.; Moniuszko-Jakoniuk, J. Changes in the structure and function of the kidney of rats chronically exposed to cadmium. I. Biochemical and histopathological studies. Arch. Toxicol. 2003, 77, 344–352. [Google Scholar] [CrossRef]
- Garner, R.; Levallois, P. Cadmium levels and sources of exposure among Canadian adults. Health Rep. 2016, 27, 10–18. [Google Scholar]
- Zalups, R.K.; Ahmad, S. Molecular handling of cadmium in transporting epithelia. Toxicol. Appl. Pharmacol. 2003, 186, 163–188. [Google Scholar] [CrossRef] [PubMed]
- Andreollo, N.A.; Santos, E.F.; Araújo, M.R.; Lopes, L.R. Rat’s age versus human’s age: What is the relationship? Arq. Bras. Cir. Dig. 2012, 25, 49–51. [Google Scholar] [CrossRef] [PubMed]
- Wang, L.; Chen, D.; Cao, J.; Liu, Z. Protective effect of N-acetylcysteine on experimental chronic cadmium nephrotoxicity in immature female rats. Hum. Exp. Toxicol. 2009, 28, 221–229. [Google Scholar] [CrossRef]
- Yang, X.F.; Yang, Y.N. Protective effects of calcium antagonists on cadmium-induced toxicity in rats. Biomed. Environ. Sci. 1997, 10, 402–407. [Google Scholar]
- Kowalczyk, E.; Kopff, A.; Fijałkowski, P.; Kopff, M.; Niedworok, J.; Błaszczyk, J.; Kedziora, J.; Tyślerowicz, P. Effect of anthocyanins on selected biochemical parameters in rats exposed to cadmium. Acta Biochim. Pol. 2003, 50, 543–548. [Google Scholar] [CrossRef]
- Milutinović, M.; Radovanović, R.V.; Šavikin, K.; Radenković, S.; Arvandi, M.; Pešić, M.; Kostić, M.; Miladinović, B.; Branković, S.; Kitić, D. Chokeberry juice supplementation in type 2 diabetic patients—Impact on health status. J. Appl. Biomed. 2019, 17, 218–224. [Google Scholar] [CrossRef]
- Frazier, K.S.; Seely, J.C.; Hard, G.C.; Betton, G.; Burnett, R.; Nakatsuji, S.; Nishikawa, A.; Durchfeld-Meyer, B.; Bube, A. Proliferative and nonproliferative lesions of the rat and mouse urinary system. Toxicol. Pathol. 2012, 40, 14S–86S. [Google Scholar] [CrossRef] [PubMed]
- Şahin, E.; Gümüşlü, S. Immobilization stress in rat tissues: Alterations in protein oxidation, lipid peroxidation and antioxidant defense system. Comp. Biochem. Physiol. C Toxicol. Pharmacol. 2007, 144, 342–347. [Google Scholar] [CrossRef] [PubMed]













| Group and the Extent of Changes 1 | Tubular Vacuolization | Hyalinization | Extension of the Tubular Lumen | Hyperplasia of the Epithelium of the Convoluted Tubules | Hypertrophy of the Epithelium of the Convoluted Tubules | Tubular Necrosis | Interstitial Proliferation | Congestion at the Cortex/Medullary Interface | Perivascular Oedema | Glomerulonephritis | Glomerular Congestion |
|---|---|---|---|---|---|---|---|---|---|---|---|
| % of rats with the same severity of the lesion | |||||||||||
| Control | |||||||||||
| 0 | 100 | 100 | 100 | 100 | 100 | 100 | 100 | 100 | 75 | 50 | 100 |
| 1 | 25 | 50 | |||||||||
| 2 | |||||||||||
| 3 | |||||||||||
| AM | |||||||||||
| 0 | 75 | 100 | 75 | 75 | 100 | 100 | 100 | 100 | 75 | 100 | |
| 1 | 25 | 25 | 25 | 100 | 25 | ||||||
| 2 | |||||||||||
| 3 | |||||||||||
| Cd1 | |||||||||||
| 0 | 75 | 25 | 50 | 75 | 75 | 100 | 25 | 100 | 100 | ||
| 1 | 25 | 25 | 25 | 25 | 25 | 25 | 25 | ||||
| 2 | 25 | 50 | 50 | 75 | |||||||
| 3 | 50 | 25 | 25 | ||||||||
| Cd1+AM | |||||||||||
| 0 | 100 | 100 | 100 | 100 | 100 | 100 | 75 | 25 | 75 | 75 | 100 |
| 1 | 25 | 75 | 25 | 25 | |||||||
| 2 | |||||||||||
| 3 | |||||||||||
| Cd5 | |||||||||||
| 0 | 100 | 25 | 100 | 100 | 25 | 50 | 100 | ||||
| 1 | 50 | 50 | 50 | ||||||||
| 2 | 50 | 50 | 100 | 25 | 25 | ||||||
| 3 | 75 | 50 | 75 | ||||||||
| Cd5+AM | |||||||||||
| 0 | 100 | 25 | 50 | 100 | 50 | 100 | 25 | 25 | 25 | 50 | 100 |
| 1 | 75 | 50 | 50 | 75 | 75 | 75 | 50 | ||||
| 2 | |||||||||||
| 3 | |||||||||||
| Parameter | Regression Analysis 4 | Cd in the Blood of Rats | Cd in the Urine of Rats | Cd in the Kidney of Rats | |||
|---|---|---|---|---|---|---|---|
| Not Administered with AM 2 | Administered with AM 3 | Not Administered with AM | Administered with AM | Not Administered with AM | Administered with AM | ||
| KIM-1 in the Urine | βp R2 | 0.339 ‡ 0.105 | NS | 0.309 † 0.086 | NS | 0.509 ‡ 0.251 | NS |
| β2-MG in the Urine | βp R2 | 0.425 ‡ 0.172 | NS | 0.380 ‡ 0.135 | NS | 0.638 ‡ 0.401 | 0.284 † 0.071 |
| NAG in the Urine | βp R2 | 0.316 † 0.090 | NS | NS | NS | 0.434 ‡ 0.179 | 0.206 * 0.032 |
| ALP in the Urine | βp R2 | 0.489 ‡ 0.231 | NS | 0.420 † 0.092 | NS | 0.553 ‡ 0.298 | NS |
| ACR | βp R2 | 0.450 ‡ 0.194 | NS | 0.418 ‡ 0.166 | NS | 0.694 ‡ 0.476 | 0.224 * 0.040 |
| PCR | βp R2 | 0.409 ‡ 0.159 | NS | 0.279 † 0.068 | NS | 0.624 ‡ 0.383 | NS |
| Creatinine Clearance | βp R2 | −0.232 * 0.043 | NS | NS | NS | −0.414 ‡ 0.162 | NS |
| Uric Acid in the Serum | βp R2 | 0.225 * 0.040 | NS | 0.231 * 0.043 | NS | 0.308† 0.085 | NS |
| Uric acid in the Urine | βp R2 | NS | NS | NS | NS | NS | NS |
| Urea in the Serum | βp R2 | 0.525 ‡ 0.268 | NS | 0.372 ‡ 0.129 | NS | 0.532 ‡ 0.276 | NS |
| Urea in the Urine | βp R2 | NS | NS | NS | NS | NS | NS |
| Chemerin in the Kidney | βp R2 | 0.289 † 0.074 | −0.498 ‡ 0.240 | NS | −0.431 ‡ 0.177 | NS | −0.429 ‡ 0.175 |
| MIP1a in the Kidney | βp R2 | NS | −0.315 † 0.090 | NS | −0.256 * 0.056 | NS | −0.444 ‡ 0.188 |
| Bax in the Kidney | βp R2 | NS | −0.394 ‡ 0.146 | NS | −0.375 ‡ 0.131 | NS | −0.370 ‡ 0.127 |
| Parameter | Regression Analysis 3 | KIM 1 in the Urine | β2-MG in the Urine | NAG in the Urine | ALP in the Urine | ACR | PCR | Creatinine Clearance | Uric Acid in the Serum | Uric Acid in the Urine | Urea in the Serum | Urea in the Urine | Chemerin in the Kidney | MIP1a in the Kidney | Bax in the Kidney |
|---|---|---|---|---|---|---|---|---|---|---|---|---|---|---|---|
| β2-MG in the Urine | βp R2 | 0.447 ‡ 0.191 | - | 0.375 ‡ 0.132 | NS | 0.543 ‡ 0.287 | NS | NS | NS | 0.300 † 0.080 | NS | NS | NS | −0.420 ‡ 0.168 | −0.309 † 0.086 |
| NAG in the Urine | βp R2 | 0.235 * 0.045 | 0.733 ‡ 0.532 | - | NS | 0.204 * 0.031 | NS | NS | NS | NS | NS | NS | NS | −0.250 * 0.053 | NS |
| ALP in the Urine | βp R2 | 0.273 ‡ 0.064 | 0.594 ‡ 0.346 | 0.741 ‡ 0.544 | - | NS | 0.269 † 0.063 | −0.260 † 0.060 | NS | −0.220 * 0.039 | NS | NS | −0.203 * 0.031 | −0.270 † 0.064 | −0.250 * 0.050 |
| ACR | βp R2 | 0.563 ‡ 0.309 | 0.862 ‡ 0.739 | 0.704 ‡ 0.490 | 0.548 ‡ 0.239 | - | NS | NS | 0.312† 0.088 | 0.341‡ 0.107 | NS | NS | NS | −0.460 ‡ 0.207 | −0.360 ‡ 0.120 |
| PCR | βp R2 | 0.488 ‡ 0.230 | 0.755 ‡ 0.566 | 0.777 ‡ 0.600 | 0.767 ‡ 0.585 | 0.803 ‡ 0.641 | - | −0.320† 0.090 | NS | NS | NS | NS | NS | −0.321 † 0.094 | −0.320 † 0.092 |
| Creatinine Clearance | βp R2 | NS | −0.418 ‡ 0.165 | −0.310 † 0.088 | −0.360 ‡ 0.122 | −0.460 ‡ 0.199 | −0.464 ‡ 0.207 | - | NS | NS | NS | 0.220 * 0.038 | NS | NS | NS |
| Uric Acid in the Serum | βp R2 | 0.345 ‡ 0.109 | 0.356 ‡ 0.113 | 0.251 * 0.053 | NS | 0.390 ‡ 0.143 | NS | NS | - | NS | NS | 0.217 * 0.037 | 0.209 * 0.033 | NS | NS |
| Uric Acid in the Urine | βp R2 | NS | NS | NS | NS | NS | NS | 0.248 * 0.052 | NS | - | NS | 0.421 0.168 | NS | NS | NS |
| Urea in the Serum | βp R2 | 0.259 * 0.057 | 0.520 ‡ 0.262 | 0.591 ‡ 0.342 | 0.577 ‡ 0.325 | 0.499 ‡ 0.241 | 0.512 ‡ 0.254 | −0.305 † 0.083 | 0.474 ‡ 0.216 | NS | - | NS | NS | NS | NS |
| Urea in the Urine | βp R2 | 0.398 ‡ 0.149 | 0.273 † 0.065 | NS | NS | 0.289 † 0.073 | NS | 0.241 * 0.048 | 0.394 ‡ 0.146 | 0.628 ‡ 0.387 | NS | - | NS | NS | NS |
| Chemerin in the Kidney | βp R2 | NS | NS | 0.360 ‡ 0.120 | 0.240 * 0.047 | 0.223 * 0.040 | NS | 0.279 † 0.068 | 0.232 * 0.043 | NS | 0.239 * 0.047 | NS | - | 0.445 ‡ 0.189 | 0.481 ‡ 0.223 |
| MIP1a in the Kidney | βp R2 | NS | NS | NS | NS | NS | NS | NS | NS | NS | NS | NS | 0.258 * 0.057 | - | 0.794 ‡ 0.626 |
| Bax in the Kidney | βp R2 | NS | NS | NS | NS | NS | NS | NS | NS | NS | NS | 0.219 * 0.037 | 0.273 † 0.065 | 0.265 † 0.060 | - |
| Group | Intake during the 24-Month Study 1 | |
|---|---|---|
| Cd (μg/kg b.w./24 h) | Chokeberry Extract [Polyphenols] (mg/kg b.w./24 h) | |
| Control | 2.30–4.98 | 0 [0] |
| AM | 2.25–4.95 | 67.4–146.6 [44.3–96.4] |
| Cd1 | 39.2–83.8 | 0 [0] |
| Cd1+AM | 37.5–84.9 | 67.2–154.7 [44.2–101.7] |
| Cd5 | 210.1–403.2 | 0 [0] |
| Cd5+AM | 200.2–401.9 | 63.1–150.3 [41.5–98.8] |
Disclaimer/Publisher’s Note: The statements, opinions and data contained in all publications are solely those of the individual author(s) and contributor(s) and not of MDPI and/or the editor(s). MDPI and/or the editor(s) disclaim responsibility for any injury to people or property resulting from any ideas, methods, instructions or products referred to in the content. |
© 2023 by the authors. Licensee MDPI, Basel, Switzerland. This article is an open access article distributed under the terms and conditions of the Creative Commons Attribution (CC BY) license (https://creativecommons.org/licenses/by/4.0/).
Share and Cite
Smereczański, N.M.; Brzóska, M.M.; Rogalska, J.; Hutsch, T. The Protective Potential of Aronia melanocarpa L. Berry Extract against Cadmium-Induced Kidney Damage: A Study in an Animal Model of Human Environmental Exposure to This Toxic Element. Int. J. Mol. Sci. 2023, 24, 11647. https://doi.org/10.3390/ijms241411647
Smereczański NM, Brzóska MM, Rogalska J, Hutsch T. The Protective Potential of Aronia melanocarpa L. Berry Extract against Cadmium-Induced Kidney Damage: A Study in an Animal Model of Human Environmental Exposure to This Toxic Element. International Journal of Molecular Sciences. 2023; 24(14):11647. https://doi.org/10.3390/ijms241411647
Chicago/Turabian StyleSmereczański, Nazar M., Małgorzata M. Brzóska, Joanna Rogalska, and Tomasz Hutsch. 2023. "The Protective Potential of Aronia melanocarpa L. Berry Extract against Cadmium-Induced Kidney Damage: A Study in an Animal Model of Human Environmental Exposure to This Toxic Element" International Journal of Molecular Sciences 24, no. 14: 11647. https://doi.org/10.3390/ijms241411647
APA StyleSmereczański, N. M., Brzóska, M. M., Rogalska, J., & Hutsch, T. (2023). The Protective Potential of Aronia melanocarpa L. Berry Extract against Cadmium-Induced Kidney Damage: A Study in an Animal Model of Human Environmental Exposure to This Toxic Element. International Journal of Molecular Sciences, 24(14), 11647. https://doi.org/10.3390/ijms241411647

