Comprehensive Comparison of the Capacity of Functionalized Sepharose, Magnetic Core, and Polystyrene Nanoparticles to Immuno-Precipitate Procalcitonin from Human Material for the Subsequent Quantification by LC-MS/MS
Abstract
1. Introduction
2. Results
2.1. Covalent Coupling of Antibodies to Nano-Particles
2.2. Nano-Particle Characterization: Structure and Size Distribution Evaluation
2.3. Calculation of Binding Capacities, Repeatability, and Characterization of Depletion Kinetics
2.4. rhPCT Is Sensitive to Oxidation
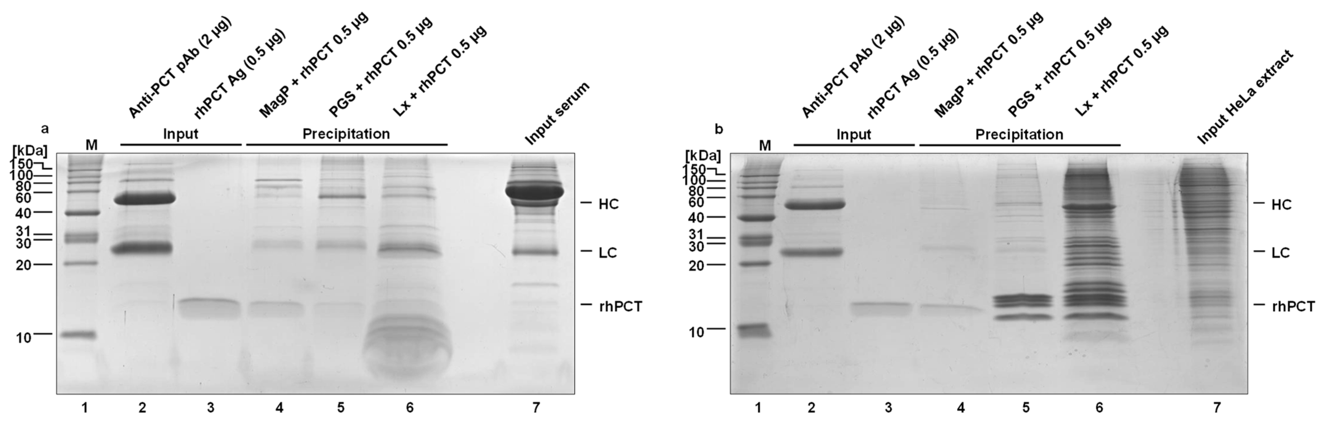
2.5. Precipitation Workflow in Different Human Materials and Evaluation of Unspecific Background
2.6. Relative Quantification of Immuno-Enriched PCT by LC-MS/MS
3. Discussion
4. Materials and Methods
4.1. Primary Antibodies, Cell Line, Serum Sample Pools
4.2. Covalent Coupling of Antibodies to Nano-Particles
4.3. Analysis of Particles, Size Determination, Calculation of Binding Capacities
4.4. Preparation of Cell Extract, Serum, and Immuno-Enrichment
4.5. Relative Quantification of Immuno-Enriched PCT by MS
4.6. Assessment of Immuno-Reactivity of Soluble PCT and Quantification of Stained PCT Resolved by SDS-PAGE
4.7. Assessment of the Impact of Oxidation on the Immunogenicity of rhPCT
4.8. Structural Prediction by AlphaFold 2.3.2
5. Conclusions
6. Patents
Supplementary Materials
Author Contributions
Funding
Institutional Review Board Statement
Informed Consent Statement
Data Availability Statement
Acknowledgments
Conflicts of Interest
References
- Rudd, C.E.; Johnson, S.C.; Agesa, K.M.; Shackelford, K.A.; Tsoi, D.; Kievlan, D.R. Global, Regional, and National Sepsis Incidence and Mortality, 1990–2017: Analysis for the Global Burden of Disease StudyThe “Centrality of Sepsis”: A Review on Incidence, Mortality, and Cost of Care. Lancet 2020, 395, 200–211. [Google Scholar] [CrossRef] [PubMed]
- Lippi, G. Sepsis Biomarkers: Past, Present and Future. Clin. Chem. Lab. Med. 2019, 57, 1281–1283. [Google Scholar] [CrossRef] [PubMed]
- Gauer, R.; Forbes, D.; Boyer, N. Sepsis: Diagnosis and Management. Am. Fam. Physician 2020, 101, 409–418. [Google Scholar] [PubMed]
- Reinhart, K.; Meisner, M.; Brunkhorst, F.M. Markers for Sepsis Diagnosis: What Is Useful? Crit. Care Clin. 2006, 22, 503–519. [Google Scholar] [CrossRef] [PubMed]
- Tamma, P.D.; Avdic, E.; Li, D.X.; Dzintars, K.; Cosgrove, S.E. Association of Adverse Events with Antibiotic Use in Hospitalized Patients. JAMA Intern. Med. 2017, 177, 1308–1315. [Google Scholar] [CrossRef] [PubMed]
- Chippendale, J.; Lloyd, A.; Payne, T.; Dunmore, S.; Stoddart, B. The Feasibility of Paramedics Delivering Antibiotic Treatment Pre-Hospital to “red Flag” Sepsis Patients: A Service Evaluation. Br. Paramed. J. 2018, 2, 19–24. [Google Scholar] [CrossRef]
- Kumar, A.; Roberts, D.; Wood, K.E.; Light, B. Duration of Hypotension before Initiation of Effective Antimicrobial Therapy Is the Critical Determinant of Survival in Human Septic Shock. Crit. Care Med. 2006, 34, 1589–1596. [Google Scholar] [CrossRef]
- World Health Organization Global Report on the Epidemiology and Burden of Sepsis. Available online: https://www.who.int/publications-detail-redirect/9789240010789 (accessed on 2 September 2021).
- Assicot, M.; Gendrel, D.; Carsin, H.; Raymond, J.; Guilbaud, J.; Bohuon, C. High Serum Procalcitonin Concentrations in Patients with Sepsis and Infection. Lancet 1993, 341, 515–518. [Google Scholar] [CrossRef]
- Bouadma, L.; Luyt, C.-E.; Tubach, F.; Cracco, C.; Alvarez, A.; Schwebel, C.; Schortgen, F.; Lasocki, S.; Veber, B.; Dehoux, M.; et al. Use of Procalcitonin to Reduce Patients’ Exposure to Antibiotics in Intensive Care Units (PRORATA Trial): A Multicentre Randomised Controlled Trial. Lancet 2010, 375, 463–474. [Google Scholar] [CrossRef]
- de Jong, E.; van Oers, J.A.; Beishuizen, A.; Vos, P. Efficacy and Safety of Procalcitonin Guidance in Reducing the Duration of Antibiotic Treatment in Critically Ill Patients: A Randomised, Controlled, Open-Label Trial (SAPS). Lancet Infect. Dis. 2016, 16, 819–827. [Google Scholar] [CrossRef]
- Meisner, M. Pathobiochemistry and Clinical Use of Procalcitonin. Clin. Chim. Acta 2002, 323, 17–29. [Google Scholar] [CrossRef] [PubMed]
- Cleland, D.A.; Eranki, A.P. Procalcitonin; StatPearls Publishing LLC.: Tampa, FL, USA; NCBI: Bethesda, MA, USA, 2019.
- Lippi, G.; Montagnana, M.; Balboni, F.; Bellone, A.; Casagranda, I.; Cavazza, M.; Rin, G.D.; Coen, D.; Giavarina, D.; Giostra, F.; et al. Academy of Emergency Medicine and Care-Society of Clinical Biochemistry and Clinical Molecular Biology Consensus Recommendations for Clinical Use of Sepsis Biomarkers in the Emergency Department. Emerg. Care J. 2017, 13, 42–50. [Google Scholar] [CrossRef]
- Tan, M.; Lu, Y.; Jiang, H.; Zhang, L. The Diagnostic Accuracy of Procalcitonin and C-reactive Protein for Sepsis: A Systematic Review and Meta-analysis. J. Cell. Biochem. 2018, 120, 5852–5859. [Google Scholar] [CrossRef] [PubMed]
- Cong, S.; Ma, T.; Di, X.; Tian, C.; Zhao, M.; Wang, K. Diagnostic Value of Neutrophil CD64, Procalcitonin, and Interleukin-6 in Sepsis: A Meta-Analysis. BMC Infect. Dis. 2021, 21, 384. [Google Scholar] [CrossRef] [PubMed]
- Kondo, Y.; Umemura, Y.; Hayashida, K.; Hara, Y.; Aihara, M.; Yamakawa, K. Diagnostic Value of Procalcitonin and Presepsin for Sepsis in Critically Ill Adult Patients a Systematic Review and Meta-Analysis. J. Intensive Care 2019, 7, 1–13. [Google Scholar] [CrossRef]
- Kopterides, P.; Siempos, I.I.; Tsangaris, I.; Tsantes, A.; Armaganidis, A. Procalcitonin-Guided Algorithms of Antibiotic Therapy in the Intensive Care Unit: A Systematic Review and Meta-Analysis of Randomized Controlled Trials. Crit. Care Med. 2010, 38, 2229–2241. [Google Scholar] [CrossRef] [PubMed]
- Heyland, D.K.; Johnson, A.P.; Reynolds, S.C.; Muscedere, J. Procalcitonin for Reduced Antibiotic Exposure in the Critical Care Setting: A Systematic Review and an Economic Evaluation. Crit. Care Med. 2011, 39, 1792–1799. [Google Scholar] [CrossRef]
- Schütz, P.; Chiappa, V.; Briel, M.; Greenwald, J.L. Procalcitonin Algorithms for Antibiotic Therapy Decisions: A Systematic Review of Randomized Controlled Trials and Recommendations for Clinical Algorithms. Arch. Intern. Med. 2011, 171, 1322–1331. [Google Scholar] [CrossRef]
- Huynh, H.-H.; Bœuf, A.; Vinh, J.; Delatour, V.; IFCC Working Group on Standardization of Procalcitonin assays (WG-PCT). Evaluation of the Necessity and the Feasibility of the Standardization of Procalcitonin Measurements: Activities of IFCC WG-PCT with Involvement of All Stakeholders. Clin. Chim. Acta 2021, 515, 111–121. [Google Scholar] [CrossRef]
- Chambliss, A.B.; Hayden, J.; Colby, J.M. Evaluation of Procalcitonin Immunoassay Concordance near Clinical Decision Points. Clin. Chem. Lab. Med. 2019, 57, 1414–1421. [Google Scholar] [CrossRef]
- Huynh, H.-H.; Bœuf, A.; Pfannkuche, J.; Schuetz, P.; Thelen, M.; Nordin, G.; van der Hagen, E.; Kaiser, P.; Kesseler, D.; Badrick, T.; et al. Harmonization Status of Procalcitonin Measurements: What Do Comparison Studies and EQA Schemes Tell Us? Clin. Chem. Lab. Med. 2021, 59, 1610–1622. [Google Scholar] [CrossRef] [PubMed]
- Masetto, T.; Eidizadeh, A.; Peter, C.; Grimmler, M. National External Quality Assessment and Direct Method Comparison Reflect Crucial Deviations of Procalcitonin Measurements in Germany. Clin. Chim. Acta 2022, 529, 67–75. [Google Scholar] [CrossRef]
- Huynh, H.-H.; Bœuf, A.; Derbez-Morin, M.; Dupuy, A.-M.; Lalere, B.; Delatour, V.; Vinh, J. Development of an Antibody-Free ID-LC MS Method for the Quantification of Procalcitonin in Human Serum at Sub-Microgram per Liter Level Using a Peptide-Based Calibration. Anal. Bioanal. Chem. 2021, 413, 4707–4725. [Google Scholar] [CrossRef]
- Huynh, H.-H.; Delatour, V.; Derbez-Morin, M.; Liu, Q.; Boeuf, A.; Vinh, J. Candidate High-Resolution Mass Spectrometry-Based Reference Method for the Quantification of Procalcitonin in Human Serum Using a Characterized Recombinant Protein as a Primary Calibrator. Anal. Chem. 2022, 94, 4146–4154. [Google Scholar] [CrossRef] [PubMed]
- Tölke, S.-A.; Masetto, T.; Grimmler, M.; Bindila, L.; Schneider, K. Letter to the Editor Regarding “Development of an Antibody-Free ID-LC MS Method for the Quantification of Procalcitonin in Human Serum at Sub-Microgram per Liter Level Using a Peptide-Based Calibration”. Anal. Bioanal. Chem. 2021, 413, 4917–4919. [Google Scholar] [CrossRef] [PubMed]
- Smit, N.P.M.; Romijn, F.P.H.T.M.; van Ham, V.J.J.; Reijnders, E.; Cobbaert, C.M.; Ruhaak, L.R. Quantitative Protein Mass-Spectrometry Requires a Standardized Pre-Analytical Phase. Clin. Chem. Lab. Med. CCLM 2023, 61, 55–66. [Google Scholar] [CrossRef] [PubMed]
- Le Moullec, J.M.; Jullienne, A.; Chenais, J.; Lasmoles, F.; Guliana, J.M.; Milhaud, G.; Moukhtar, M.S. The Complete Sequence of Human Preprocalcitonin. FEBS Lett. 1984, 167, 93–97. [Google Scholar] [CrossRef]
- Giovanella, L.; Fontana, M.; Keller, F.; Verburg, F.A.; Ceriani, L. Clinical Performance of Calcitonin and Procalcitonin Elecsys® Immunoassays in Patients with Medullary Thyroid Carcinoma. Clin. Chem. Lab. Med. CCLM 2020, 59, 743–747. [Google Scholar] [CrossRef]
- Puertas, S.; Moros, M.; Fernández-Pacheco, R.; Ibarra, M.R.; Grazú, V.; de la Fuente, J.M. Designing Novel Nano-Immunoassays: Antibody Orientation versus Sensitivity. J. Phys. D Appl. Phys. 2010, 43, 474012. [Google Scholar] [CrossRef]
- Pozzi, D.; Caracciolo, G.; Digiacomo, L.; Colapicchioni, V.; Palchetti, S.; Capriotti, A.L.; Cavaliere, C.; Chiozzi, R.Z.; Puglisi, A.; Laganà, A. The Biomolecular Corona of Nanoparticles in Circulating Biological Media. Nanoscale 2015, 7, 13958–13966. [Google Scholar] [CrossRef]
- Gopinath, P.M.; Saranya, V.; Vijayakumar, S.; Mythili Meera, M.; Ruprekha, S.; Kunal, R.; Pranay, A.; Thomas, J.; Mukherjee, A.; Chandrasekaran, N. Assessment on Interactive Prospectives of Nanoplastics with Plasma Proteins and the Toxicological Impacts of Virgin, Coronated and Environmentally Released-Nanoplastics. Sci. Rep. 2019, 9, 8860. [Google Scholar] [CrossRef] [PubMed]
- IFCC Standardization of Procalcitonin Assays (WG-PCT)—IFCC. Available online: https://www.ifcc.org/ifcc-scientific-division/sd-working-groups/wg-pct/ (accessed on 7 September 2021).
- Mariaule, V.; Kriaa, A.; Soussou, S.; Rhimi, S.; Boudaya, H.; Hernandez, J.; Maguin, E.; Lesner, A.; Rhimi, M. Digestive Inflammation: Role of Proteolytic Dysregulation. Int. J. Mol. Sci. 2021, 22, 2817. [Google Scholar] [CrossRef] [PubMed]
- Nissinen, L.; Kähäri, V.-M. Matrix Metalloproteinases in Inflammation. Biochim. Biophys. Acta 2014, 1840, 2571–2580. [Google Scholar] [CrossRef] [PubMed]
- Pham, C.T.N. Neutrophil Serine Proteases: Specific Regulators of Inflammation. Nat. Rev. Immunol. 2006, 6, 541–550. [Google Scholar] [CrossRef] [PubMed]
- Sexton, P.M.; Christopoulos, G.; Christopoulos, A.; Nylen, E.S.; Snider, R.H.; Becker, K.L. Procalcitonin Has Bioactivity at Calcitonin Receptor Family Complexes: Potential Mediator Implications in Sepsis. Crit. Care Med. 2008, 36, 1637–1640. [Google Scholar] [CrossRef] [PubMed]
- Luck, K.; Kim, D.-K.; Lambourne, L.; Spirohn, K.; Begg, B.E.; Bian, W.; Brignall, R.; Cafarelli, T.; Campos-Laborie, F.J.; Charloteaux, B.; et al. A Reference Map of the Human Binary Protein Interactome. Nature 2020, 580, 402–408. [Google Scholar] [CrossRef]
- Lippi, G.; Salvagno, G.L.; Gelati, M.; Pucci, M.; Lo Cascio, C.; Demonte, D.; Faggian, D.; Plebani, M. Two-Center Comparison of 10 Fully-Automated Commercial Procalcitonin (PCT) Immunoassays. Clin. Chem. Lab. Med. 2019, 58, 77–84. [Google Scholar] [CrossRef]
- BRAHMS-Abbott Architect BRAHMS PCT-510(k) Substantial Equivalence Determination Decision Summary K170652. Available online: https://www.accessdata.fda.gov/cdrh_docs/reviews/k170652.pdf (accessed on 27 June 2023).
- BRAHMS-Roche Elecsys BRAHMS PCT-510(k) Substantial Equivalence Determination Decision Summary K160729. Available online: https://www.accessdata.fda.gov/cdrh_docs/reviews/K173927.pdf (accessed on 27 June 2023).
- BRAHMS-Thermo Kryptor BRAHMS PCT Sensitive-510(k) Substantial Equivalence Determination Decision Summary Assay and Instrument Combination Template K070310. Available online: https://www.accessdata.fda.gov/cdrh_docs/reviews/K070310.pdf (accessed on 27 June 2023).
- Meisner, M. Procalcitonin—A New, Innovative Infection Parameter. Biochemical and Clinical Aspects; UNI-MED Science; 3. Revised and Expanded Edition; Georg Thieme: Stuttgart, Germany, 2000; ISBN 978-3-8374-1241-3. [Google Scholar]
- Neher, R.; Riniker, B.; Rittel, W.; Zuber, H. Menschliches Calcitonin. III. Struktur von Calcitonin M Und D. Helv. Chim. Acta 1968, 51, 1900–1905. [Google Scholar] [CrossRef]
- Russwurm, S.; Wiederhold, M.; Oberhoffer, M.; Stonans, I.; Zipfel, P.F.; Reinhart, K. Molecular Aspects and Natural Source of Procalcitonin. Clin. Chem. Lab. Med. 1999, 37, 789–797. [Google Scholar] [CrossRef]
- Elliott, M.H.; Smith, D.S.; Parker, C.E.; Borchers, C. Current Trends in Quantitative Proteomics. J. Mass Spectrom. 2009, 44, 1637–1660. [Google Scholar] [CrossRef]
- Anderson, N.L.; Jackson, A.; Smith, D.; Hardie, D.; Borchers, C.; Pearson, T.W. SISCAPA Peptide Enrichment on Magnetic Beads Using an In-Line Bead Trap Device. Mol. Cell. Proteom. 2009, 8, 995–1005. [Google Scholar] [CrossRef] [PubMed]
- Whiteaker, J.R.; Zhao, L.; Zhang, H.Y.; Feng, L.-C.; Piening, B.D.; Anderson, L.; Paulovich, A. Antibody-Based Enrichment of Peptides on Magnetic Beads for Mass Spectrometry-Based Quantification of Serum Biomarkers. Anal. Biochem. 2007, 362, 44–54. [Google Scholar] [CrossRef] [PubMed]
- Science, A.N.; Organisation, T. Exploring the Interaction of Polystyrene Nanoplastics and Blood Plasma Proteins. Available online: https://phys.org/news/2019-08-exploring-interaction-polystyrene-nanoplastics-blood.html (accessed on 20 September 2021).
- Kihara, S.; van der Heijden, N.J.; Seal, C.K.; Mata, J.P.; Whitten, A.E.; Köper, I.; McGillivray, D.J. Soft and Hard Interactions between Polystyrene Nanoplastics and Human Serum Albumin Protein Corona. Bioconjug. Chem. 2019, 30, 1067–1076. [Google Scholar] [CrossRef] [PubMed]
- Walkey, C.D.; Chan, W.C.W. Understanding and Controlling the Interaction of Nanomaterials with Proteins in a Physiological Environment. Chem. Soc. Rev. 2012, 41, 2780–2799. [Google Scholar] [CrossRef] [PubMed]
- Giamarellos-Bourboulis, E.J.; Opal, S.M. The Role of Genetics and Antibodies in Sepsis. Ann. Transl. Med. 2016, 4, 328. [Google Scholar] [CrossRef]
- Shen, X.-F.; Cao, K.; Jiang, J.; Guan, W.-X.; Du, J.-F. Neutrophil Dysregulation during Sepsis: An Overview and Update. J. Cell. Mol. Med. 2017, 21, 1687–1697. [Google Scholar] [CrossRef]
- Kim, K.S.; Jekarl, D.W.; Yoo, J.; Lee, S.; Kim, M.; Kim, Y. Immune Gene Expression Networks in Sepsis: A Network Biology Approach. PLoS ONE 2021, 16, e0247669. [Google Scholar] [CrossRef]
- Ward, P.A.; Gao, H. Sepsis, Complement and the Dysregulated Inflammatory Response. J. Cell. Mol. Med. 2009, 13, 4154–4160. [Google Scholar] [CrossRef]
- Barker, G.; Leeuwenburgh, C.; Brusko, T.; Moldawer, L.; Reddy, S.; Guirgis, F. Lipid and Lipoprotein Dysregulation in Sepsis: Clinical and Mechanistic Insights into Chronic Critical Illness. JCM 2021, 10, 1693. [Google Scholar] [CrossRef]
- Jumper, J.; Evans, R.; Pritzel, A.; Green, T.; Figurnov, M.; Ronneberger, O.; Tunyasuvunakool, K.; Bates, R.; Žídek, A.; Potapenko, A.; et al. Highly Accurate Protein Structure Prediction with AlphaFold. Nature 2021, 596, 583–589. [Google Scholar] [CrossRef]









| Sepharose Particles (PGS) | Magnetic Particles (MagP) | Polystyrene Particles (Lx) | |
|---|---|---|---|
| Diameter | ~90 µm | 2.8 µm | 0.350 µm |
| Structure | porous/open | compact/close | compact/close |
| Representation of coupled antibodies | ![]() | ![]() | ![]() |
| Ig binding capacity | 100 µL PGS bind approx. 1800 µg rabbit IgG | 100 µL MagP isolate approx. 25–30 µg human IgG | n/a |
| PGS | MagP | Latex | |
|---|---|---|---|
| Antibody binding capacity | Good | Fair | Good |
| PCT depletion efficiency | Good | Good | Good |
| Easy handling/washing | Fair | Good | Fair |
| Reproducibility | Poor | Good | Fair |
| Unspecific interactions with human serum (SDS-PAGE) | Fair | Good | Poor |
| PCT depletion efficiency in human serum (SDS-PAGE) | Poor | Good | Poor |
| Unspecific interactions with human serum (mass spectrometry) | Good | Good | Fair |
| PCT depletion efficiency in human serum (mass spectrometry) | Poor | Good | Poor |
| Unspecific interactions with HeLa cell extract (SDS-PAGE) | Fair | Good | Poor |
| PCT depletion efficiency in HeLa cell extract (SDS-PAGE) | Poor | Good | Poor |
Disclaimer/Publisher’s Note: The statements, opinions and data contained in all publications are solely those of the individual author(s) and contributor(s) and not of MDPI and/or the editor(s). MDPI and/or the editor(s) disclaim responsibility for any injury to people or property resulting from any ideas, methods, instructions or products referred to in the content. |
© 2023 by the authors. Licensee MDPI, Basel, Switzerland. This article is an open access article distributed under the terms and conditions of the Creative Commons Attribution (CC BY) license (https://creativecommons.org/licenses/by/4.0/).
Share and Cite
Masetto, T.; Matzenbach, K.; Reuschel, T.; Tölke, S.-A.; Schneider, K.; Esser, L.M.; Reinhart, M.; Bindila, L.; Peter, C.; Grimmler, M. Comprehensive Comparison of the Capacity of Functionalized Sepharose, Magnetic Core, and Polystyrene Nanoparticles to Immuno-Precipitate Procalcitonin from Human Material for the Subsequent Quantification by LC-MS/MS. Int. J. Mol. Sci. 2023, 24, 10963. https://doi.org/10.3390/ijms241310963
Masetto T, Matzenbach K, Reuschel T, Tölke S-A, Schneider K, Esser LM, Reinhart M, Bindila L, Peter C, Grimmler M. Comprehensive Comparison of the Capacity of Functionalized Sepharose, Magnetic Core, and Polystyrene Nanoparticles to Immuno-Precipitate Procalcitonin from Human Material for the Subsequent Quantification by LC-MS/MS. International Journal of Molecular Sciences. 2023; 24(13):10963. https://doi.org/10.3390/ijms241310963
Chicago/Turabian StyleMasetto, Thomas, Kai Matzenbach, Thomas Reuschel, Sebastian-Alexander Tölke, Klaus Schneider, Lea Marie Esser, Marco Reinhart, Laura Bindila, Christoph Peter, and Matthias Grimmler. 2023. "Comprehensive Comparison of the Capacity of Functionalized Sepharose, Magnetic Core, and Polystyrene Nanoparticles to Immuno-Precipitate Procalcitonin from Human Material for the Subsequent Quantification by LC-MS/MS" International Journal of Molecular Sciences 24, no. 13: 10963. https://doi.org/10.3390/ijms241310963
APA StyleMasetto, T., Matzenbach, K., Reuschel, T., Tölke, S.-A., Schneider, K., Esser, L. M., Reinhart, M., Bindila, L., Peter, C., & Grimmler, M. (2023). Comprehensive Comparison of the Capacity of Functionalized Sepharose, Magnetic Core, and Polystyrene Nanoparticles to Immuno-Precipitate Procalcitonin from Human Material for the Subsequent Quantification by LC-MS/MS. International Journal of Molecular Sciences, 24(13), 10963. https://doi.org/10.3390/ijms241310963




