Pembrolizumab-Induced Fatal Myasthenia, Myocarditis, and Myositis in a Patient with Metastatic Melanoma: Autopsy, Histological, and Immunohistochemical Findings—A Case Report and Literature Review
Abstract
1. Introduction
2. Case Presentation
2.1. Clinical Evolution
2.2. Autopsy Findings
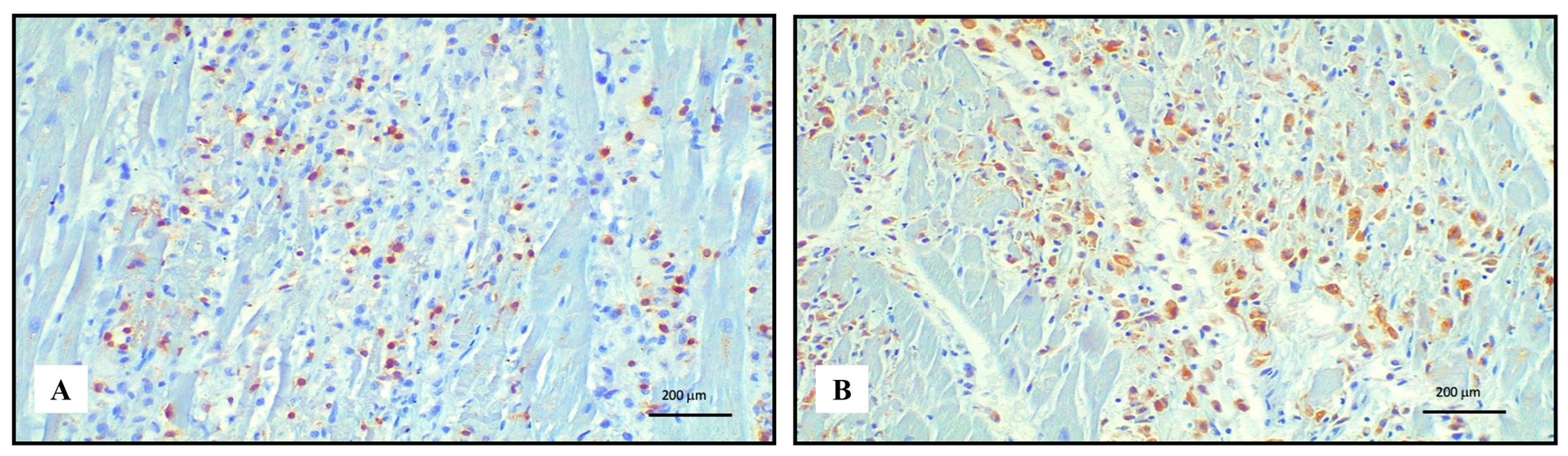
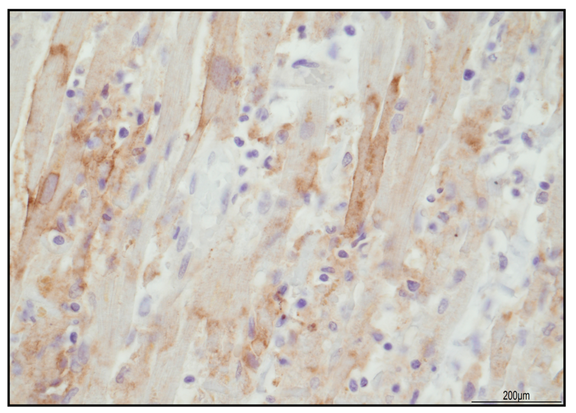
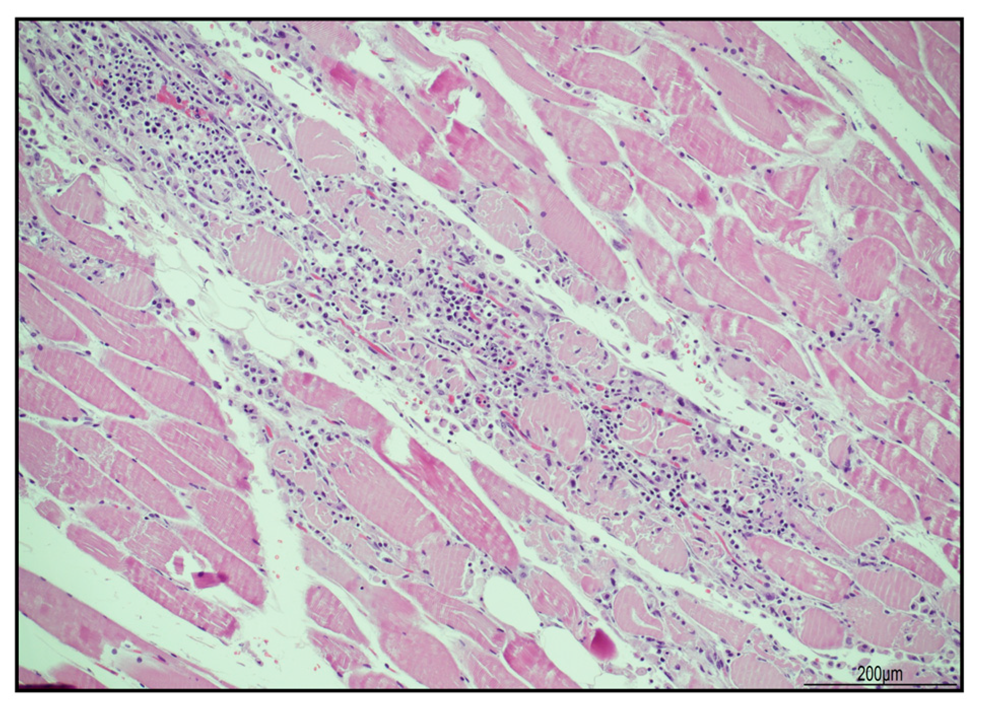
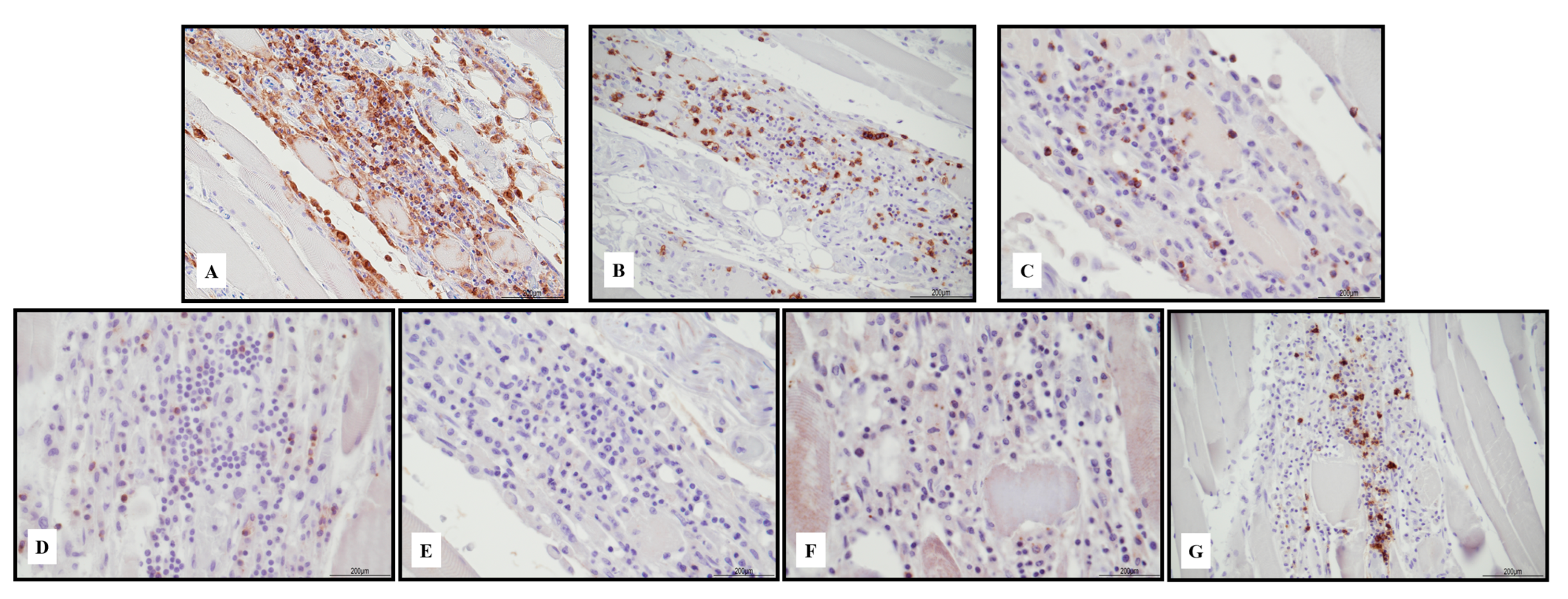
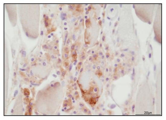
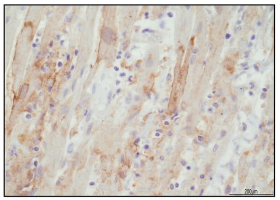
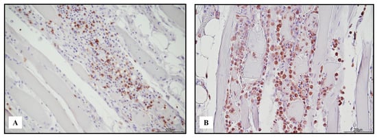
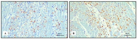
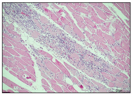
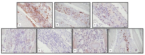
2.3. Histological Findings
2.4. Literature Review
3. Discussion
4. Conclusions
Author Contributions
Funding
Institutional Review Board Statement
Informed Consent Statement
Data Availability Statement
Conflicts of Interest
References
- Nardi Agmon, I.; Itzhaki Ben Zadok, O.; Kornowski, R. The Potential Cardiotoxicity of Immune Checkpoint Inhibitors. J. Clin. Med. 2022, 11, 865. [Google Scholar] [CrossRef]
- Ziogas, D.C.; Theocharopoulos, C.; Koutouratsas, T.; Haanen, J.; Gogas, H. Mechanisms of resistance to immune checkpoint inhibitors in melanoma: What we have to overcome? Cancer Treat. Rev. 2022, 113, 102499. [Google Scholar] [CrossRef] [PubMed]
- Chen, Y.; Jia, Y.; Liu, Q.; Shen, Y.; Zhu, H.; Dong, X.; Huang, J.; Lu, J.; Yin, Q. Myocarditis related to immune checkpoint inhibitors treatment: Two case reports and literature review. Ann. Palliat. Med. 2021, 10, 8512–8517. [Google Scholar] [CrossRef] [PubMed]
- Cozma, A.; Sporis, N.D.; Lazar, A.L.; Buruiana, A.; Ganea, A.M.; Malinescu, T.V.; Berechet, B.M.; Fodor, A.; Sitar-Taut, A.V.; Vlad, V.C.; et al. Cardiac Toxicity Associated with Immune Checkpoint Inhibitors: A Systematic Review. Int. J. Mol. Sci. 2022, 23, 10948. [Google Scholar] [CrossRef] [PubMed]
- Nakagomi, Y.; Tajiri, K.; Shimada, S.; Li, S.; Inoue, K.; Murakata, Y.; Murata, M.; Sakai, S.; Sato, K.; Ieda, M. Immune Checkpoint Inhibitor-Related Myositis Overlapping With Myocarditis: An Institutional Case Series and a Systematic Review of Literature. Front. Pharmacol. 2022, 13, 884776. [Google Scholar] [CrossRef] [PubMed]
- Rasmussen, M.; Durhuus, J.A.; Nilbert, M.; Andersen, O.; Therkildsen, C. Response to Immune Checkpoint Inhibitors Is Affected by Deregulations in the Antigen Presentation Machinery: A Systematic Review and Meta-Analysis. J. Clin. Med. 2022, 12, 329. [Google Scholar] [CrossRef]
- Kwok, G.; Yau, T.C.; Chiu, J.W.; Tse, E.; Kwong, Y.L. Pembrolizumab (Keytruda). Hum. Vaccines Immunother. 2016, 12, 2777–2789. [Google Scholar] [CrossRef]
- Schiopu, S.; Käsmann, L.; Schönermarck, U.; Fischereder, M.; Grabmaier, U.; Manapov, F.; Rauch, J.; Orban, M. Pembrolizumab-induced myocarditis in a patient with malignant mesothelioma: Plasma exchange as a successful emerging therapy-case report. Transl. Lung Cancer Res. 2021, 10, 1039–1046. [Google Scholar] [CrossRef]
- Darnell, E.P.; Mooradian, M.J.; Baruch, E.N.; Yilmaz, M.; Reynolds, K.L. Immune-Related Adverse Events (irAEs): Diagnosis, Management, and Clinical Pearls. Curr. Oncol. Rep. 2020, 22, 39. [Google Scholar] [CrossRef]
- Eggermont, A.; Blank, C.U.; Mandala, M.; Long, G.V.; Atkinson, V.; Dalle, S.; Haydon, A.; Lichinitser, M.; Khattak, A.; Carlino, M.S. Adjuvant Pembrolizumab versus Placebo in Resected Stage III Melanoma. N. Engl. J. Med. 2018, 378, 1789–1801. [Google Scholar] [CrossRef]
- Hamid, O.; Robert, C.; Daud, A.; Hodi, F.S.; Hwu, W.J.; Kefford, R.; Wolchok, J.D.; Hersey, P.; Joseph, R.; Weber, J.S.; et al. Five-year survival outcomes for patients with advanced melanoma treated with pembrolizumab in KEYNOTE-001. Ann. Oncol. 2019, 30, 582–588. [Google Scholar] [CrossRef] [PubMed]
- Robert, C.; Schachter, J.; Long, G.V.; Arance, A.; Grob, J.J.; Mortier, L.; Daud, A.; Carlino, M.S.; McNeil, C.; Lotem, M.; et al. Pembrolizumab versus Ipilimumab in Advanced Melanoma. N. Engl. J. Med. 2015, 372, 2521–2532. [Google Scholar] [CrossRef] [PubMed]
- Chen, Q.; Huang, D.S.; Zhang, L.W.; Li, Y.Q.; Wang, H.W.; Liu, H. Fatal myocarditis and rhabdomyolysis induced by nivolumab during the treatment of type B3 thymoma. Clin. Toxicol. 2018, 56, 667–671. [Google Scholar] [CrossRef] [PubMed]
- Palaskas, N.; Lopez-Mattei, J.; Durand, J.B.; Iliescu, C.; Deswal, A. Immune Checkpoint Inhibitor Myocarditis: Pathophysiological Characteristics, Diagnosis, and Treatment. J. Am. Heart Assoc. 2020, 9, e013757. [Google Scholar] [CrossRef]
- Mahmood, S.S.; Fradley, M.G.; Cohen, J.V.; Nohria, A.; Reynolds, K.L.; Heinzerling, L.M.; Sullivan, R.J.; Damrongwatanasuk, R.; Chen, C.L.; Gupta, D.; et al. Myocarditis in Patients Treated With Immune Checkpoint Inhibitors. J. Am. Coll. Cardiol. 2018, 71, 1755–1764. [Google Scholar] [CrossRef]
- Ronen, D.; Bsoul, A.; Lotem, M.; Abedat, S.; Yarkoni, M.; Amir, O.; Asleh, R. Exploring the Mechanisms Underlying the Cardiotoxic Effects of Immune Checkpoint Inhibitor Therapies. Vaccines 2022, 10, 540. [Google Scholar] [CrossRef]
- Allenbach, Y.; Anquetil, C.; Manouchehri, A.; Benveniste, O.; Lambotte, O.; Lebrun-Vignes, B. Immune Checkpoint Inhibitor-Induced Myositis, the Earliest and Most Lethal Complication Among Rheumatic and Musculoskeletal Toxicities. Autoimmun. Rev. 2020, 19, 102586. [Google Scholar] [CrossRef]
- Nguyen, L.S.; Bretagne, M.; Arrondeau, J.; Zahr, N.; Ederhy, S.; Abbar, B.; Pinna, B.; Allenbach, Y.; Mira, J.P.; Moslehi, J. Reversal of immune-checkpoint inhibitor fulminant myocarditis using personalized-dose-adjusted abatacept and ruxolitinib: Proof of concept. J. Immunother. Cancer 2022, 10, e004699. [Google Scholar] [CrossRef]
- Aldrich, J.; Pundole, X.; Tummala, S.; Palaskas, N.; Andersen, C.R.; Shoukier, M. Inflammatory Myositis in Cancer Patients Receiving Immune Checkpoint Inhibitors. Arthritis Rheumatol. 2021, 73, 866–874. [Google Scholar] [CrossRef]
- Hamada, N.; Maeda, A.; Takase-Minegishi, K.; Kirino, Y.; Sugiyama, Y.; Namkoong, H. Incidence and Distinct Features of Immune Checkpoint Inhibitor-Related Myositis from Idiopathic Inflammatory Myositis: A Single-Center Experience with Systematic Literature Review and Meta- Analysis. Front. Immunol. 2021, 12, 803410. [Google Scholar] [CrossRef]
- Ganatra, S.; Neilan, T.G. Immune checkpoint inhibitor-associated myocarditis. Oncologist 2018, 23, 879–886. [Google Scholar] [CrossRef] [PubMed]
- Powell, S.K. When things go wrong: Responding to adverse events: A consensus statement of the Harvard hospitals. Lippincotts Case Manag. 2006, 11, 193–194. [Google Scholar] [CrossRef]
- Hofer, T.P.; Kerr, E.A.; Hayward, R.A. What is an error? Eff. Clin. Pract. 2000, 3, 261–269. [Google Scholar]
- Skelly, C.L.; Cassagnol, M.; Munakomi, S. Adverse Events. In StatPearls [Internet]; StatPearls Publishing: Treasure Island, FL, USA, 2023. [Google Scholar]
- Madea, B. Medico-legal autopsies as a source of information to improve patient safety. Leg. Med. 2009, 1, S76–S79. [Google Scholar] [CrossRef]
- Keung, E.Z.; Gershenwald, J.E. The eighth edition American Joint Committee on Cancer (AJCC) melanoma staging system: Implications for melanoma treatment and care. Expert Rev. Anticancer. Ther. 2018, 18, 775–784. [Google Scholar] [CrossRef] [PubMed]
- Martinez-Calle, N.; Rodriguez-Otero, P.; Villar, S.; Mejías, L.; Melero, I.; Prosper, F.; Marinello, P.; Paiva, B.; Idoate, M.; San-Miguel, J. Anti-PD1 associated fulminant myocarditis after a single pembrolizumab dose: The role of occult pre-existing autoimmunity. Haematologica 2018, 103, e318–e321. [Google Scholar] [CrossRef] [PubMed]
- Fuentes-Antrás, J.; Peinado, P.; Guevara-Hoyer, K.; Díaz Del Arco, C.; Sánchez-Ramón, S.; Aguado, C. Fatal Autoimmune Storm After a Single Cycle of Anti-PD-1 Therapy: A Case of Lethal Toxicity but Pathological Complete Response in Metastatic Lung Adenocarcinoma. Hematol. Oncol. Stem Cell Ther. 2022, 15, 63–67. [Google Scholar] [CrossRef] [PubMed]
- Portolés Hernández, A.; Blanco Clemente, M.; Escribano García, D.; Velasco Calvo, R.; Núñez García, B.; Oteo Domínguez, J.F.; Salas Antón, C.; Méndez García, M.; Segovia Cubero, J.; Domínguez, F. Checkpoint inhibitor-induced fulminant myo-carditis, complete atrioventricular block and myasthenia gravis—A case report. Cardiovasc. Diagn. Ther. 2021, 11, 1013–1019. [Google Scholar] [CrossRef]
- Matsui, H.; Kawai, T.; Sato, Y.; Ishida, J.; Kadowaki, H.; Akiyama, Y.; Yamada, Y.; Nakamura, M.; Yamada, D.; Akazawa, H.; et al. A Fatal Case of Myocarditis Following Myositis Induced by Pembrolizumab Treatment for Metastatic Upper Urinary Tract Urothelial Carcinoma. Internat. Heart J. 2020, 61, 1070–1074. [Google Scholar] [CrossRef]
- Touat, M.; Maisonobe, T.; Knauss, S.; Ben Hadj Salem, O.; Hervier, B.; Auré, K.; Szwebel, T.A.; Kramkimel, N.; Lethrosne, C.; Bruch, J.F.; et al. Immune checkpoint inhibitor-related myositis and myocarditis in patients with cancer. Neurology 2018, 91, e985–e994. [Google Scholar] [CrossRef]
- Soman, B.; Dias, M.C.; Rizvi, S.A.J.; Kardos, A. Myasthenia gravis, myositis and myocarditis: A fatal triad of immune-related adverse effect of immune checkpoint inhibitor treatment. BMJ Case Rep. 2022, 15, e251966. [Google Scholar] [CrossRef] [PubMed]
- Konstantina, T.; Konstantinos, R.; Anastasios, K.; Anastasia, M.; Eleni, L.; Ioannis, S.; Sofia, A.; Dimitris, M. Fatal adverse events in two thymoma patients treated with anti-PD-1 immune check point inhibitor and literature review. Lung Cancer 2019, 135, 29–32. [Google Scholar] [CrossRef]
- Hellman, J.B.; Traynis, I.; Lin, L.K. Pembrolizumab and epacadostat induced fatal myocarditis and myositis presenting as a case of ptosis and ophthalmoplegia. Orbit 2019, 38, 244–247. [Google Scholar] [CrossRef] [PubMed]
- Nasr, F.; El Rassy, E.; Maalouf, G.; Azar, C.; Haddad, F.; Helou, J.; Robert, C. Severe ophthalmoplegia and myocarditis following the administration of pembrolizumab. Eur. J. Cancer 2018, 91, 171–173. [Google Scholar] [CrossRef] [PubMed]
- Xie, X.; Wang, F.; Qin, Y.; Lin, X.; Xie, Z.; Liu, M.; Ouyang, M.; Luo, B.; Gu, Y.; Li, S.; et al. Case Report: Fatal Multiorgan Failure and Heterochronous Pneumonitis Following Pembrolizumab Treatment in a Patient with Large-Cell Neuroendocrine Carcinoma of Lung. Front. Pharmacol. 2021, 11, 569466. [Google Scholar] [CrossRef]
- Sanchez-Sancho, P.; Selva-O’Callaghan, A.; Trallero-Araguás, E.; Ros, J.; Montoro, B. Myositis and myasteniform syndrome related to pembrolizumab. BMJ Case Rep. 2021, 14, e241766. [Google Scholar] [CrossRef]
- Cao, J.; Li, Q.; Zhi, X.; Yang, F.; Zhu, W.; Zhou, T.; Hou, X.; Chen, D. Pembrolizumab-induced autoimmune Stevens-Johnson syndrome/toxic epidermal necrolysis with myositis and myocarditis in a patient with esophagogastric junction carcinoma: A case report. Transl. Cancer Res. 2021, 10, 3870–3876. [Google Scholar] [CrossRef]
- Todo, M.; Kaneko, G.; Shirotake, S.; Shimada, Y.; Nakano, S.; Okabe, T.; Ishikawa, S.; Oyama, M.; Nishimoto, K. Pembrolizumab-induced myasthenia gravis with myositis and presumable myocarditis in a patient with bladder cancer. IJU Case Rep. 2019, 3, 17–20. [Google Scholar] [CrossRef]
- Shirai, T.; Kiniwa, Y.; Sato, R.; Sano, T.; Nakamura, K.; Mikoshiba, Y.; Ohashi, N.; Sekijima, Y.; Okuyama, R. Presence of antibodies to striated muscle and acetylcholine receptor in association with occurrence of myasthenia gravis with myositis and myocarditis in a patient with melanoma treated with an anti-programmed death 1 antibody. Eur. J. Cancer 2019, 106, 193–195. [Google Scholar] [CrossRef]
- Katsume, Y.; Isawa, T.; Toi, Y.; Fukuda, R.; Kondo, Y.; Sugawara, S.; Ootomo, T. Complete Atrioventricular Block Associated with Pembrolizumab-induced Acute Myocarditis: The Need for Close Cardiac Monitoring. Intern. Med. 2018, 57, 3157–3162. [Google Scholar] [CrossRef]
- Kamo, H.; Hatano, T.; Kanai, K.; Aoki, N.; Kamiyama, D.; Yokoyama, K.; Takanashi, M.; Yamashita, Y.; Shimo, Y.; Hattori, N. Pembrolizumab-related systemic myositis involving ocular and hindneck muscles resembling myasthenic gravis: A case report. BMC Neurol. 2019, 19, 184. [Google Scholar] [CrossRef] [PubMed]
- Johnson, D.B.; Balko, J.M.; Compton, M.L. Fulminant Myocarditis with Combination Immune Checkpoint Blockade. N. Engl. J. Med. 2016, 375, 1749–1755. [Google Scholar] [CrossRef] [PubMed]
- Pradhan, R.; Nautiyal, A.; Singh, S. Diagnosis of immune checkpoint inhibitor-associated myocarditis: A systematic review. Int. J. Cardiol. 2019, 296, 113–121. [Google Scholar] [CrossRef] [PubMed]
- Sobol, I.; Chen, C.L.; Mahmood, S.S.; Borczuk, A.C. Histopathologic Characterization of Myocarditis Associated With Immune Checkpoint Inhibitor Therapy. Arch. Pathol. Lab. Med. 2020, 144, 1392–1396. [Google Scholar] [CrossRef]
- Imai, R.; Ono, M.; Nishimura, N.; Suzuki, K.; Komiyama, N.; Tamura, T. Fulminant Myocarditis Caused by an Immune Checkpoint Inhibitor: A Case Report With Pathologic Findings. J. Thorac. Oncol. 2019, 14, e36–e38. [Google Scholar] [CrossRef]
- Vermeulen, L.; Depuydt, C.E.; Weckx, P. Myositis as a neuromuscular complication of immune checkpoint inhibitors. Acta Neurol. Belg. 2020, 120, 355–364. [Google Scholar] [CrossRef]
- Coutzac, C.; Adam, J.; Soularue, E.; Collins, M.; Racine, A.; Mussini, C.; Boselli, L.; Kamsukom, N.; Mateus, C. Colon immune-related adverse events: Anti-CTLA-4 and anti-PD-1 blockade induce dis- tinct Immunopathological entities. J. Crohns Colitis. 2017, 11, 1238–1246. [Google Scholar] [CrossRef]
- Knauss, S.; Preusse, C.; Allenbach, Y.; Leonard-Louis, S.; Touat, M.; Fischer, N.; Radbruch, H.; Mothes, R.; Matyash, V.; Böhmerle, W.; et al. PD1 pathway in immune-mediated myopathies: Pathogenesis of dysfunctional T cells revisited. Neurol. Neuroimmunol. Neuroinflamm. 2019, 6, e558. [Google Scholar] [CrossRef]
- Seth, R.; Messersmith, H.; Kaur, V.; Kirkwood, J.M.; Kudchadkar, R.; McQuade, J.L.; Provenzano, A.; Swami, U.; Weber, J. Systemic Therapy for Melanoma: ASCO Guideline. J. Clin. Oncol. 2020, 38, 3947–3970. [Google Scholar] [CrossRef]
- Garbe, C.; Amaral, T.; Peris, K.; Hauschild, A.; Arenberger, P.; Basset-Seguin, N.; Bastholt, L.; Bataille, V.; Del Marmol, V.; Dréno, B.; et al. European consensus-based interdisciplinary guideline for melanoma. Part 2: Treatment—Update 2022. Eur. J. Cancer 2022, 170, 256–284. [Google Scholar] [CrossRef]
- Kleef, R.; Nagy, R.; Baierl, A.; Bacher, V.; Bojar, H.; McKee, D.L.; Moss, R.; Thoennissen, N.H.; Szász, M.; Bakacs, T. Low-dose ipilimumab plus nivolumab combined with IL-2 and hyperthermia in cancer patients with advanced disease: Exploratory findings of a case series of 131 stage IV cancers—A retrospective study of a single institution. Cancer Immunol. Immunother. 2021, 70, 1393–1403. [Google Scholar] [CrossRef] [PubMed]
- June, C.H.; Warshauer, J.T.; Bluestone, J.A. Is autoimmunity the Achilles’ heel of cancer immunotherapy? Nat. Med. 2017, 23, 540–547. [Google Scholar] [CrossRef] [PubMed]
- Haslam, A.; Gill, J.; Prasad, V. Estimation of the Percentage of US Patients With Cancer Who Are Eligible for Immune Checkpoint Inhibitor Drugs. JAMA Netw. Open 2020, 3, e200423. [Google Scholar] [CrossRef] [PubMed]








| Antibody | Clone | Company |
|---|---|---|
| CD3 | 2GV6 Rabbit Monoclonal | Ventana Group, Milan, Italy |
| CD4 | SP35 Rabbit Monoclonal | Ventana Group, Milan, Italy |
| CD8 | SP57 Rabbit Monoclonal | Ventana Group, Milan, Italy |
| CD20 | L26 Mouse Monoclonal | Ventana Group, Milan, Italy |
| CD25 | 4C9 Mouse Monoclonal | Cell Marque, Rocklin, CA, USA |
| CD68 | PGM1 Mouse Monoclonal | DBS, Pleasanton, CA, USA |
| Granzyme B | Rabbit Polyclonal | Cell Marque, Rocklin, CA, USA |
| Tia-1 | 2G9A10F5 Mouse Monoclonal | Bio-Genex, Fremont, CA, USA |
| PD-1 | NAT105 Mouse Monoclonal | Ventana Group, Milan, Italy |
| PD-L1 | 22c3 Mouse Monoclonal | Dako Agilent, Santa Clara, CA, USA |
| Articles | Pazient Age and Sex (M, Male; F, Female) | Advanced Neoplasia Treated | Pembrolizumab Number of Doses Administered | Timing and Onset Symptoms after Last Dose | Dead (D) or Alive (A): Number of Days Hospitalized (H) after the Dose Administration | Autopsy Performed (Yes or No) and Histological Findings | Biopsy (Yes or No) and Histological Findings |
|---|---|---|---|---|---|---|---|
| Nguyen et al. [18] | 25, M | Thymoma | 1 | 14 days: chest pain, subtle myalgia | A: 47 days (33 days H) | No | Yes: myositis and myocarditis |
| Martinez-Calle et al. [27] | 67, F | Myeloma | 1 | 16 days: dyspnea malaise | D: 26 days (10 days H) | Yes: myositis and myocarditis | No |
| Fuentes-Antrás et al. [28] | 75, M | Lung Adenocarcinoma | 1 | 21 days: palpitation, myalgia | D: 28 days (7 days H) | Yes: myositis and myocarditis | No |
| Portoles Hernández et al. [29] | 48, F | Thymoma | 1 | 10 days, shortness of breath and muscle weakness | D: 20 days (10 in H) | No | Yes: myocarditis |
| Matsui et al. [30] | 69, M | Urothelial carcinoma | 2 | 5 days: severe fatigue abnormal gait | D: 22 days (17 days H) | No | Yes: myocarditis (HLA-positive cells on myofiber in muscle bundles) |
| Touat et al. [31] | 65, M | Melanoma | 1 | 12 days: fever, muscle aches, constipation, diplopia, gait instability | D: 15 days | Yes: myositis and myocarditis | No |
| Soman et al. [32] | 70, F | Lung adenocarcinoma | 1 | 21 days: left-sided partial ptosis and facial droop | D: 28 days (7 days H) | No | No |
| Konstantina et al. [33] | 30, F | thymoma | 1 | 3 days: chest pain and muscle weakness | D: 67 (64 H) | No | No |
| Hellman et al. [34] | 83, M | Urothelial Carcinoma | 2 | 4 days: ophtalmoplegia | D: 13 days after the second dose (9 days H) | No | No |
| Nasr et al. [35] | 79, M | Gastric adenocarcinoma | 2 | 14 days: ptosis, ophtalmoplegia | D: 22 days (8 days H) | No | No |
| Nagakomi et al. [5] | 77, M | Renal cell Carcinoma | 1 | 21 days: hoarseness and back pain | A: after 80 days (59 days H) | No | No |
| Xie et al. [36] | 67, M | Lung neuroendocrine carcinoma | 1 | 14 days: dyspnea on exertion, ptosis, blurred vision, and quadriparesis | A: myocarditis myositis and after 57 days H, immune-related pneumonia | No | Yes: myositis with lymphocyte infiltration |
| Sanchez-Sancho et al. [37] | 63, M | Liposarcoma | 1 | 6 days: diplopia, palpebral ptosis, myalgia predominating in the lower extremities, dysphagia, dysphonia, left ventricular ejection fraction 40% | A: 41 days (35 days after H myasteniform dysphagia and clinical symptoms) | No | No |
| Cao et al. [38] | 69, M | Esophagogastrci carcinoma | 1 | 14 days: Stevens-Johnson syndrome/toxic epidermal necrolysis (SJS/TEN) 2 months: limb weakness and shortness of breath | A: 74 days (recovered after 60 days H) | No | No |
| Todo et al. [39] | 63, M | Urothelial carcinoma | 1 | 12 days: left ptosis, diplopia | A: 321 days H | No | No |
| Shirai et al. [40] | 83, M | Melanoma | 1 | 25 days: fatigable weakness and muscle pain | A: 75 days (50 days H) | No | No |
| Articles | |||||||
|---|---|---|---|---|---|---|---|
| Nguyen et al. [18] | Martinez-Calle et al. [27] | Fuentes-Antrás et al. [28] | Portoles Hernández et al. [29] | Imai et al. [46] | Current Case | ||
| Heart | CD3 | +++ | +++ | +++ | +++ | +++ | +++ |
| CD4 | + | + | |||||
| CD8 | +++ | +++ | +++ | ||||
| CD20 | - | -/+ | |||||
| CD25 | +++ | ||||||
| CD68 | +++ | +++ | +++ | +++ | +++ | ||
| Granzyme B | - | ||||||
| Tia-1 | + in CD8 | + in CD8 | |||||
| PD-1 | + | ||||||
| PD-L1 | + only in damaged myocardiocytes | ||||||
| Skeletal muscle | CD3 | +++ | +++ | +++ | +++ | ||
| CD4 | + | ||||||
| CD8 | +++ | + | |||||
| CD20 | +++ | ||||||
| CD25 | - | ||||||
| CD68 | +++ | +++ | +++ | +++ | |||
| Granzyme B | - | ||||||
| Tia-1 | + in CD8 | + in CD8 | |||||
| PD-1 | - | + in CD8 | |||||
| PD-L1 | + in injured myocytes and macrophages | ||||||
Disclaimer/Publisher’s Note: The statements, opinions and data contained in all publications are solely those of the individual author(s) and contributor(s) and not of MDPI and/or the editor(s). MDPI and/or the editor(s) disclaim responsibility for any injury to people or property resulting from any ideas, methods, instructions or products referred to in the content. |
© 2023 by the authors. Licensee MDPI, Basel, Switzerland. This article is an open access article distributed under the terms and conditions of the Creative Commons Attribution (CC BY) license (https://creativecommons.org/licenses/by/4.0/).
Share and Cite
Giovannini, E.; Bonasoni, M.P.; D’Aleo, M.; Tamagnini, I.; Tudini, M.; Fais, P.; Pelotti, S. Pembrolizumab-Induced Fatal Myasthenia, Myocarditis, and Myositis in a Patient with Metastatic Melanoma: Autopsy, Histological, and Immunohistochemical Findings—A Case Report and Literature Review. Int. J. Mol. Sci. 2023, 24, 10919. https://doi.org/10.3390/ijms241310919
Giovannini E, Bonasoni MP, D’Aleo M, Tamagnini I, Tudini M, Fais P, Pelotti S. Pembrolizumab-Induced Fatal Myasthenia, Myocarditis, and Myositis in a Patient with Metastatic Melanoma: Autopsy, Histological, and Immunohistochemical Findings—A Case Report and Literature Review. International Journal of Molecular Sciences. 2023; 24(13):10919. https://doi.org/10.3390/ijms241310919
Chicago/Turabian StyleGiovannini, Elena, Maria Paola Bonasoni, Michele D’Aleo, Ione Tamagnini, Matteo Tudini, Paolo Fais, and Susi Pelotti. 2023. "Pembrolizumab-Induced Fatal Myasthenia, Myocarditis, and Myositis in a Patient with Metastatic Melanoma: Autopsy, Histological, and Immunohistochemical Findings—A Case Report and Literature Review" International Journal of Molecular Sciences 24, no. 13: 10919. https://doi.org/10.3390/ijms241310919
APA StyleGiovannini, E., Bonasoni, M. P., D’Aleo, M., Tamagnini, I., Tudini, M., Fais, P., & Pelotti, S. (2023). Pembrolizumab-Induced Fatal Myasthenia, Myocarditis, and Myositis in a Patient with Metastatic Melanoma: Autopsy, Histological, and Immunohistochemical Findings—A Case Report and Literature Review. International Journal of Molecular Sciences, 24(13), 10919. https://doi.org/10.3390/ijms241310919

