Assessment of Tissue Expression of the Oxytocin–Vasopressin Pathway in the Placenta of Women with a First-Episode Psychosis during Pregnancy
Abstract
1. Introduction
2. Results
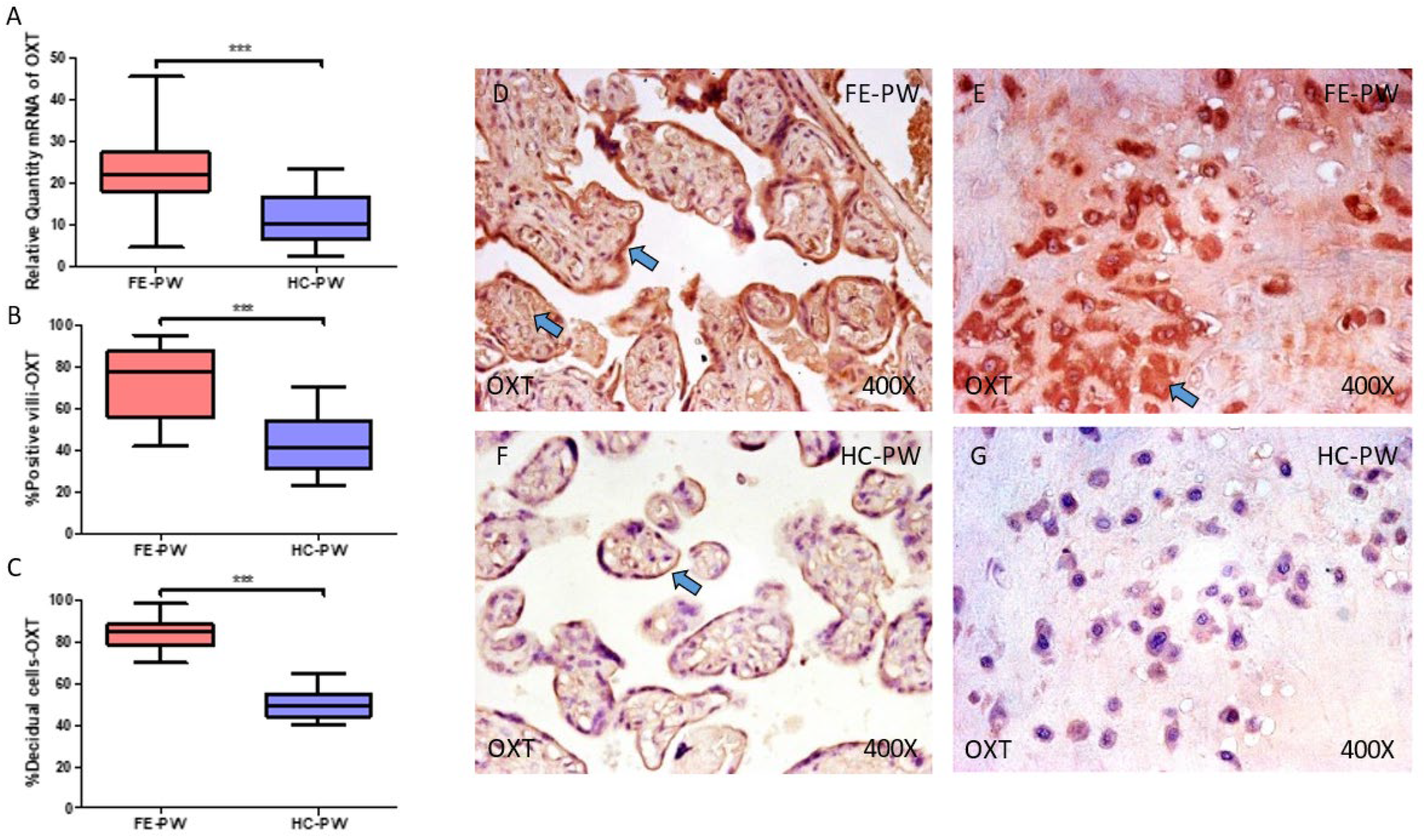
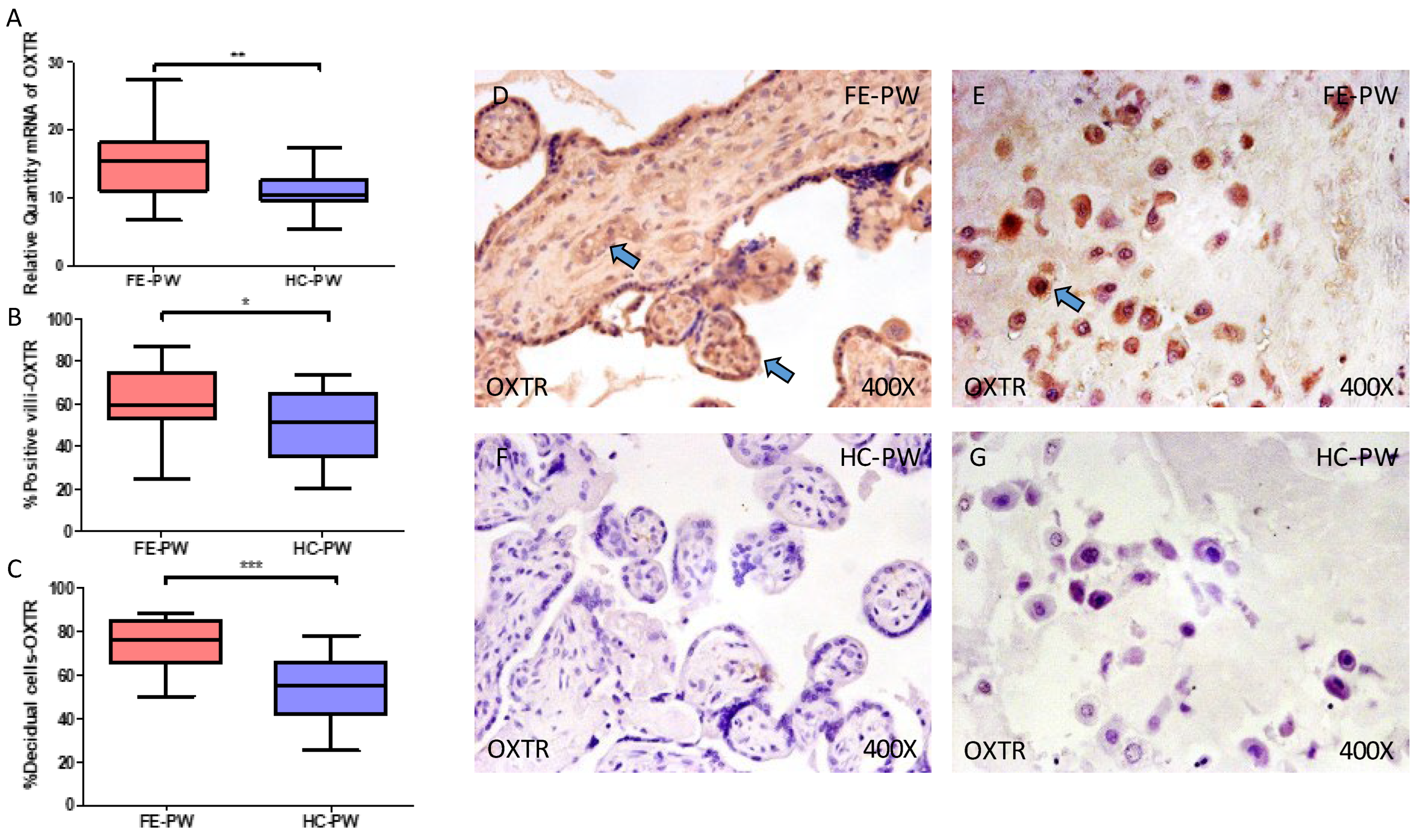
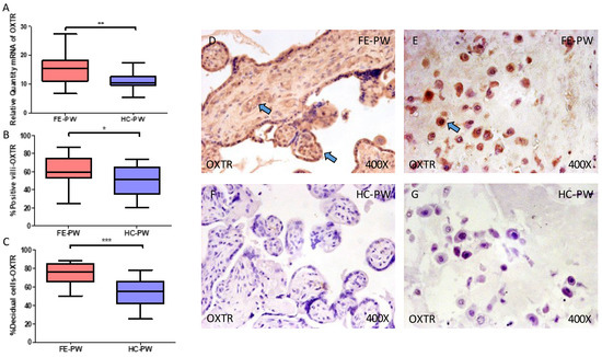
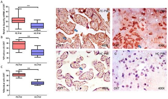
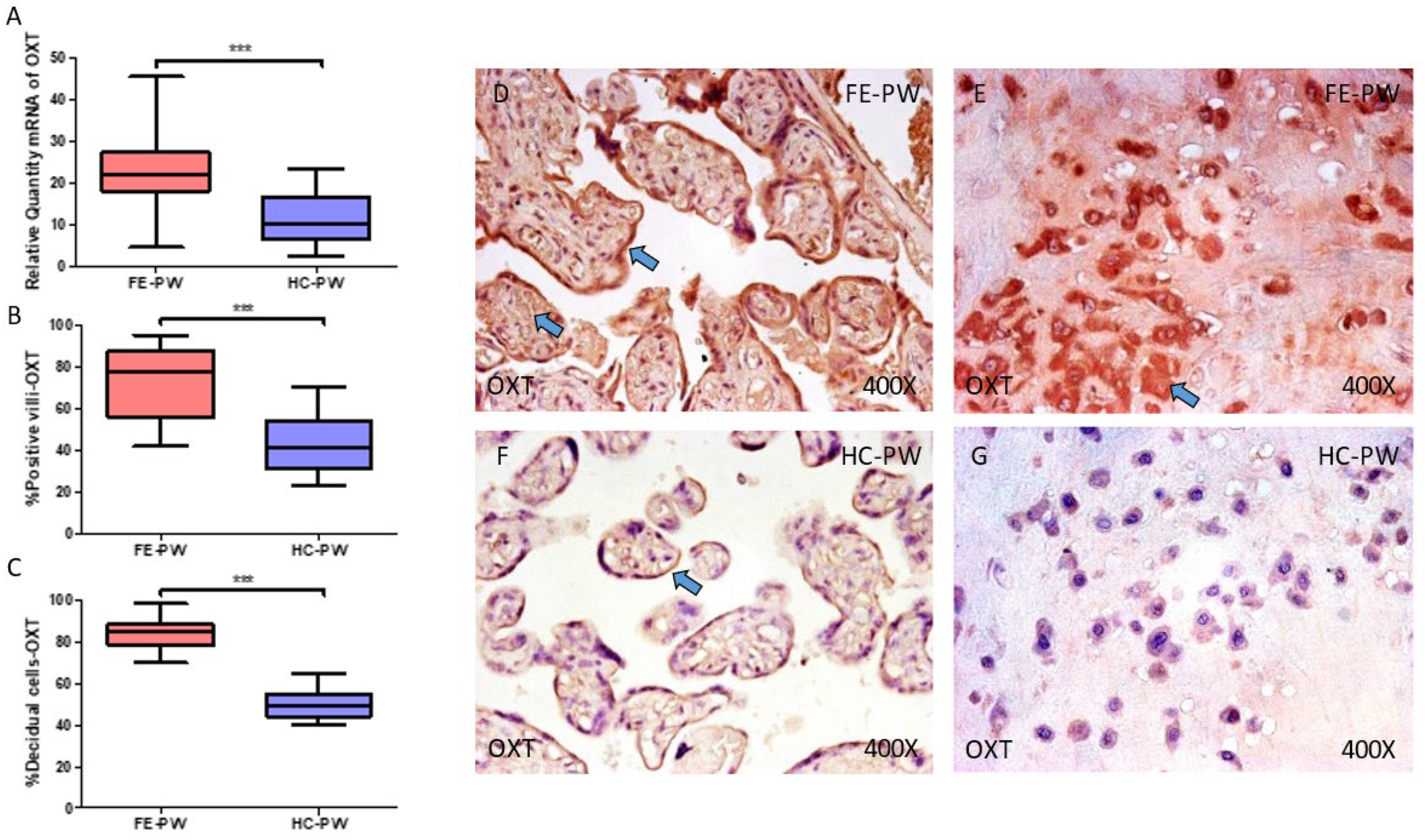
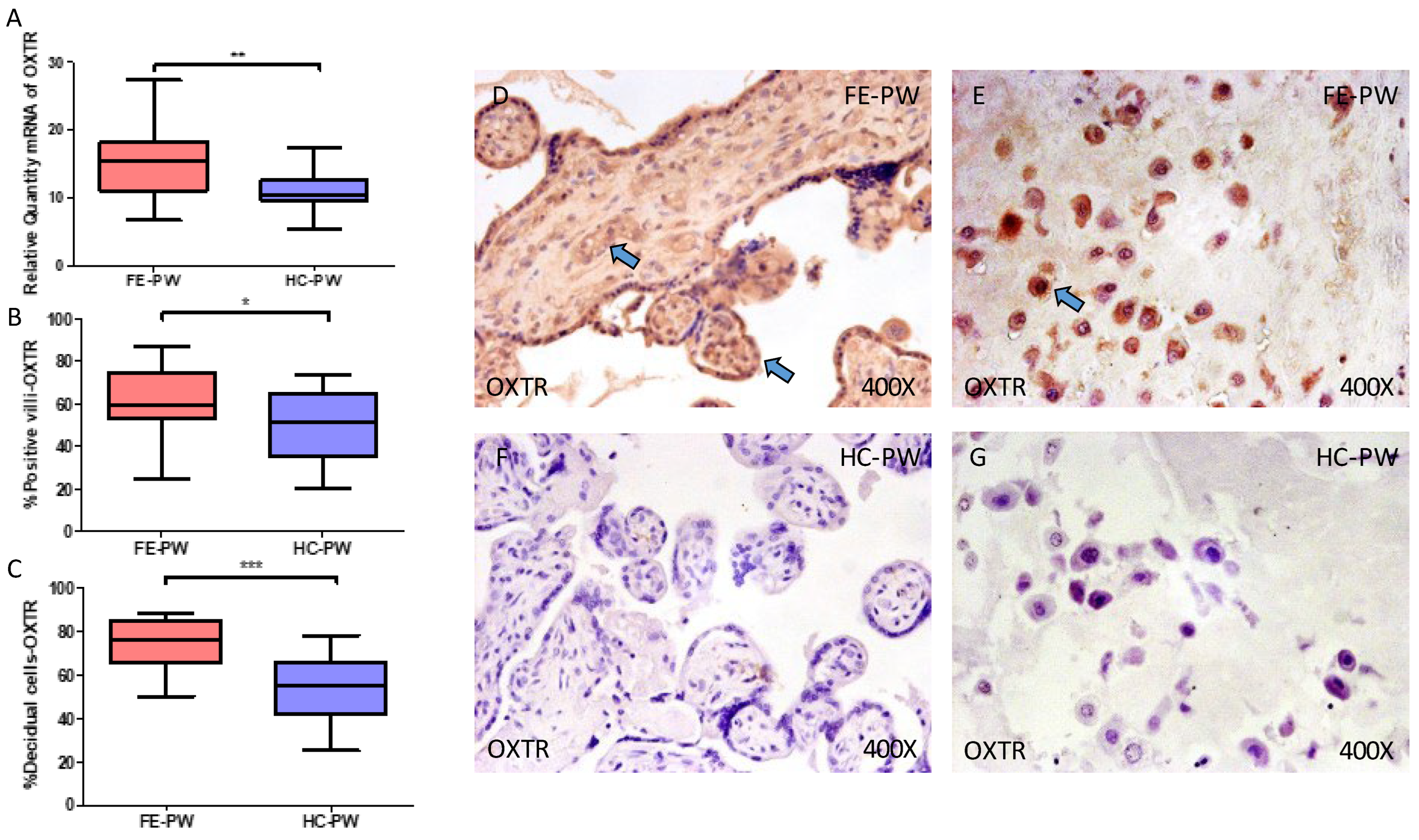
2.1. The Placentas of Women Who Suffered a First Episode of Psychosis in Pregnancy Exhibited Increased Gene and Protein Expression of Oxytocin and Its Receptor
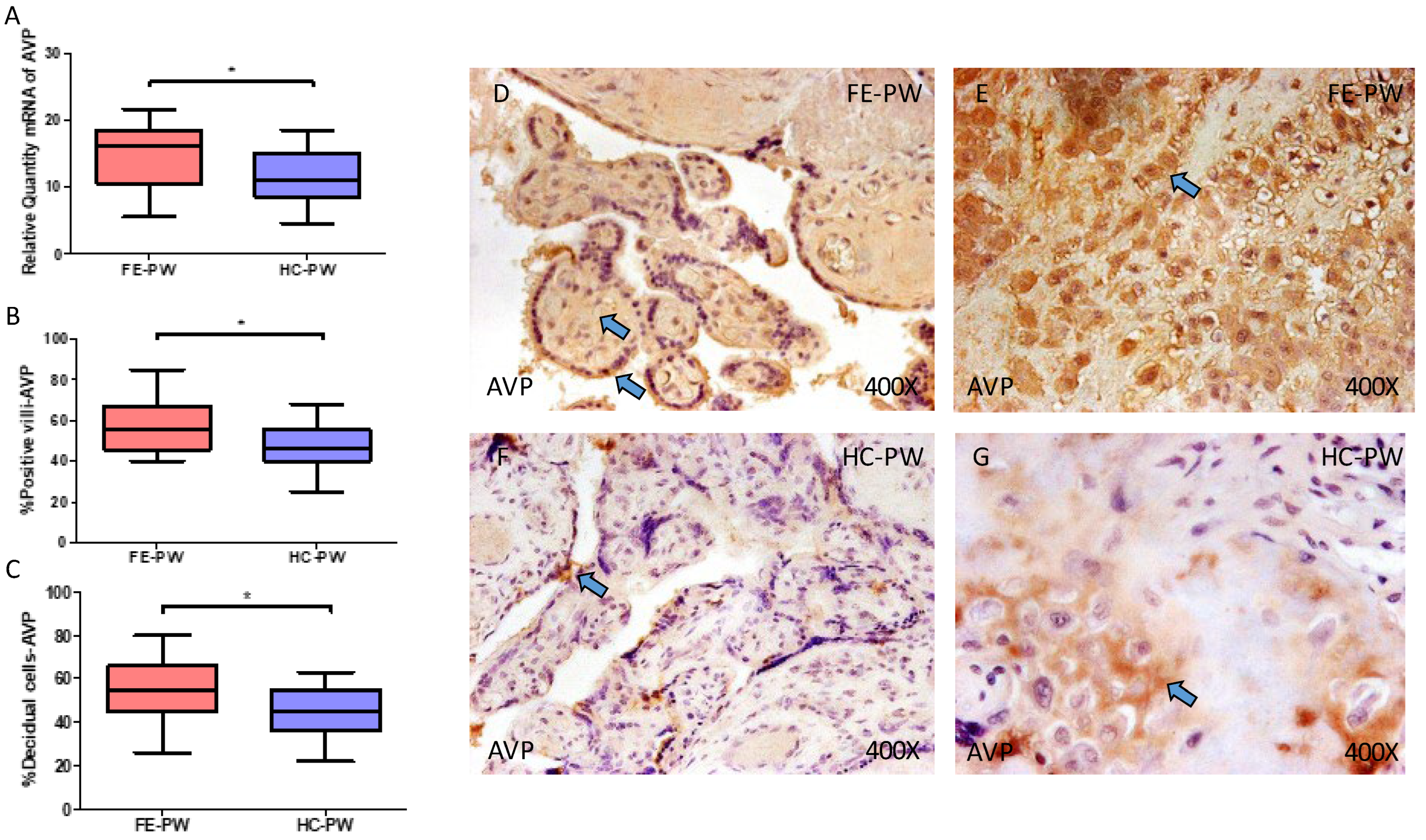
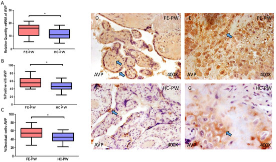
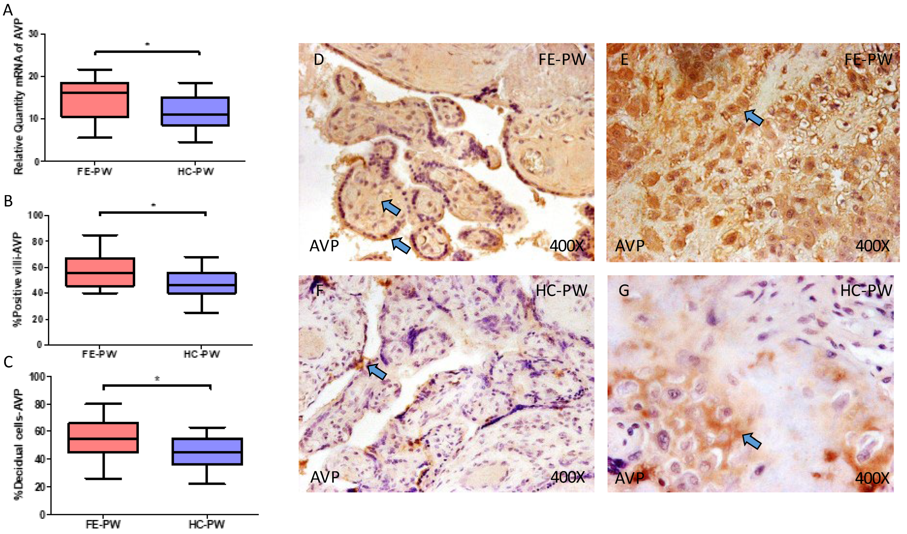
2.2. The Placentas of Women Who Suffered a First-Episode Psychosis in Pregnancy Displayed Enhanced Gene and Protein Expression of Vasopressin and Vasopressin Type 1a Receptor
3. Discussion
4. Patients and Methods
4.1. Study Design and Participants
4.2. Sample Collection and Processing
4.3. Immunohistochemistry and Histological Visualization
4.4. Gene Expression Study
4.5. Statistical Analysis
5. Conclusions
Author Contributions
Funding
Institutional Review Board Statement
Informed Consent Statement
Data Availability Statement
Conflicts of Interest
References
- Calabrese, J.; Khalili, Y. Al Psychosis; StatPearls: Tampa, FL, USA, 2022. [Google Scholar]
- American Psychiatric Association. Diagnostic and Statistical Manual of Mental Disorders (DSM-5®); American Psychiatric Association: Washington, DC, USA, 2013. [Google Scholar]
- Zwicker, A.; Denovan-Wright, E.M.; Uher, R. Gene-environment interplay in the etiology of psychosis. Psychol. Med. 2018, 48, 1925–1936. [Google Scholar] [CrossRef] [PubMed]
- Moreno-Küstner, B.; Martín, C.; Pastor, L. Prevalence of psychotic disorders and its association with methodological issues. A systematic review and meta-analyses. PLoS ONE 2018, 13, e0195687. [Google Scholar] [CrossRef] [PubMed]
- Ripke, S.; Neale, B.M.; Corvin, A.; Walters, J.T.R.; Farh, K.H.; Holmans, P.A.; Lee, P.; Bulik-Sullivan, B.; Collier, D.A.; Huang, H.; et al. Biological insights from 108 schizophrenia-associated genetic loci. Nature 2014, 511, 421–427. [Google Scholar]
- Zavos, H.M.S.; Freeman, D.; Haworth, C.M.A.; McGuire, P.; Plomin, R.; Cardno, A.G.; Ronald, A. Consistent etiology of severe, frequent psychotic experiences and milder, less frequent manifestations: A twin study of specific psychotic experiences in adolescence. JAMA Psychiatry 2014, 71, 1049–1057. [Google Scholar] [CrossRef] [PubMed]
- Robinson, N.; Bergen, S.E. Environmental Risk Factors for Schizophrenia and Bipolar Disorder and Their Relationship to Genetic Risk: Current Knowledge and Future Directions. Front. Genet. 2021, 12, 686666. [Google Scholar] [CrossRef]
- Watkins, M.E.; Newport, D.J. Psychosis in pregnancy. Obstet. Gynecol. 2009, 113, 1349–1353. [Google Scholar] [CrossRef]
- Maccabe, J.H.; Martinsson, L.; Lichtenstein, P.; Nilsson, E.; Cnattingius, S.; Murray, R.M.; Hultman, C.M. Adverse pregnancy outcomes in mothers with affective psychosis. Bipolar. Disord. 2007, 9, 305–309. [Google Scholar] [CrossRef]
- Zhong, Q.Y.; Gelaye, B.; Fricchione, G.L.; Avillach, P.; Karlson, E.W.; Williams, M.A. Adverse obstetric and neonatal outcomes complicated by psychosis among pregnant women in the United States. BMC Pregnancy Childbirth 2018, 18, 120. [Google Scholar] [CrossRef]
- Jones, I.; Chandra, P.S.; Dazzan, P.; Howard, L.M. Bipolar disorder, affective psychosis, and schizophrenia in pregnancy and the post-partum period. Lancet 2014, 384, 1789–1799. [Google Scholar] [CrossRef]
- Ortega, M.A.; Pekarek, T.; Fraile-Martinez, O.; García-Montero, C.; Pekarek, L.; Rodriguez-Martín, S.; Moñux, R.M.F.; Bravo, C.; De León-Luis, J.A.; Lahera, G.; et al. A Review: Integrative Perspectives on the Features and Clinical Management of Psychotic Episodes in Pregnancy. J. Clin. Med. J. Clin. Med. 2023, 12, 656. [Google Scholar] [CrossRef]
- Ortega, M.A.; Fraile-Martínez, O.; García-Montero, C.; Sáez, M.A.; Álvarez-Mon, M.A.; Torres-Carranza, D.; Álvarez-Mon, M.; Bujan, J.; García-Honduvilla, N.; Bravo, C.; et al. The Pivotal Role of the Placenta in Normal and Pathological Pregnancies: A Focus on Preeclampsia, Fetal Growth Restriction, and Maternal Chronic Venous Disease. Cells 2022, 11, 568. [Google Scholar] [CrossRef] [PubMed]
- Ortega, M.A.; Fraile-Martinez, O.; García-Montero, C.; Rodriguez-Martín, S.; Funes Moñux, R.M.; Bravo, C.; De Leon-Luis, J.A.; Saz, J.V.; Saez, M.A.; Guijarro, L.G.; et al. Evidence of Increased Oxidative Stress in the Placental Tissue of Women Who Suffered an Episode of Psychosis during Pregnancy. Antioxidants 2023, 12, 179. [Google Scholar] [CrossRef] [PubMed]
- Ortega, M.A.; Fraile-Martinez, O.; García-Montero, C.; Funes Moñux, R.M.; Rodriguez-Martín, S.; Bravo, C.; De Leon-Luis, J.A.; Saz, J.V.; Saez, M.A.; Guijarro, L.G.; et al. The Placentas of Women Who Suffer an Episode of Psychosis during Pregnancy Have Increased Lipid Peroxidation with Evidence of Ferroptosis. Biomolecules 2023, 13, 120. [Google Scholar] [CrossRef] [PubMed]
- Ortega, M.A.; Fraile-Martínez, O.; García-Montero, C.; Rodríguez-Martín, S.; Funes Moñux, R.M.; Pekarek, L.; Bravo, C.; De Leon-Luis, J.A.; Saez, M.A.; Guijarro, L.G.; et al. Women with psychotic episodes during pregnancy show increased markers of placental damage with Tenney-Parker changes. Histol. Histopathol. 2023; 18605, ahead of print. [Google Scholar]
- Kundu, S.; Maurer, S.V.; Stevens, H.E. Future Horizons for Neurodevelopmental Disorders: Placental Mechanisms. Front. Pediatr. 2021, 9, 653230. [Google Scholar] [CrossRef]
- Costa, M.A. The endocrine function of human placenta: An overview. Reprod. Biomed. Online 2016, 32, 14–43. [Google Scholar] [CrossRef]
- Napso, T.; Yong, H.E.J.; Lopez-Tello, J.; Sferruzzi-Perri, A.N. The role of placental hormones in mediating maternal adaptations to support pregnancy and lactation. Front. Physiol. 2018, 9, 1091. [Google Scholar] [CrossRef]
- Ishunina, T.A.; Swaab, D.F. Vasopressin and oxytocin neurons of the human supraoptic and paraventricular nucleus; size changes in relation to age and sex. J. Clin. Endocrinol. Metab. 1999, 84, 4637–4644. [Google Scholar] [CrossRef]
- Zeeman, G.G.; Khan-Dawood, F.S.; Dawood, M.Y. Oxytocin and its receptor in pregnancy and parturition: Current concepts and clinical implications. Obstet. Gynecol. 1997, 89, 873–883. [Google Scholar] [CrossRef]
- Chibbar, R.; Miller, F.D.; Mitchell, B.F. Synthesis of oxytocin in amnion, chorion, and decidua may influence the timing of human parturition. J. Clin. Investig. 1993, 91, 185–192. [Google Scholar] [CrossRef]
- Kim, S.C.; Lee, J.E.; Kang, S.S.; Yang, H.S.; Kim, S.S.; An, B.S. The regulation of oxytocin and oxytocin receptor in human placenta according to gestational age. J. Mol. Endocrinol. 2017, 59, 235–243. [Google Scholar] [CrossRef]
- Cuzzo, B.; Padala, S.A.; Lappin, S.L. Physiology, Vasopressin; StatPearls: Tampa, FL, USA, 2022. [Google Scholar]
- Evers, K.S.; Wellmann, S. Arginine vasopressin and copeptin in perinatology. Front. Pediatr. 2016, 4, 75. [Google Scholar] [CrossRef]
- Koukoulas, I.; Risvanis, J.; Douglas-Denton, R.; Burrell, L.M.; Moritz, K.M.; Wintour, E.M. Vasopressin receptor expression in the placenta. Biol. Reprod. 2003, 69, 679–686. [Google Scholar] [CrossRef] [PubMed]
- Jobst, A.; Krause, D.; Maiwald, C.; Härtl, K.; Myint, A.M.; Kästner, R.; Obermeier, M.; Padberg, F.; Brücklmeier, B.; Weidinger, E.; et al. Oxytocin course over pregnancy and postpartum period and the association with postpartum depressive symptoms. Arch. Women’s Ment. Health. 2016, 19, 571–579. [Google Scholar] [CrossRef] [PubMed]
- Galbally, M.; Ryan, J.; van IJzendoorn, M.; Watson, S.J.; Spigset, O.; Lappas, M.; Saffery, R.; de Kloet, R.; Lewis, A.J. Maternal depression, antidepressant use and placental oxytocin receptor DNA methylation: Findings from the MPEWS study. Psychoneuroendocrinology 2018, 90, 1–8. [Google Scholar] [CrossRef] [PubMed]
- Santillan, M.K.; Santillan, D.A.; Scroggins, S.M.; Min, J.Y.; Sandgren, J.A.; Pearson, N.A.; Leslie, K.K.; Hunter, S.K.; Zamba, G.K.D.; Gibson-Corley, K.N.; et al. Vasopressin in Preeclampsia: A Novel Very-Early Human Pregnancy Biomarker and Clinically-Relevant Mouse Model. Hypertension 2014, 64, 852–859. [Google Scholar] [CrossRef]
- Gao, Q.; Li, H.; Ding, H.; Fan, X.; Xu, T.; Tang, J.; Liu, Y.; Chen, X.; Zhou, X.; Tao, J.; et al. Hyper-methylation of AVPR1A and PKCΒ gene associated with insensitivity to arginine vasopressin in human pre-eclamptic placental vasculature. EBioMedicine 2019, 44, 574–581. [Google Scholar] [CrossRef]
- Hidalgo-Figueroa, M.; Salazar, A.; Romero-López-Alberca, C.; MacDowell, K.S.; García-Bueno, B.; Bioque, M.; Bernardo, M.; Parellada, M.; González-Pinto, A.; Portilla, M.P.G.; et al. The Influence of Oxytocin and Prolactin During a First Episode of Psychosis: The Implication of Sex Differences, Clinical Features, and Cognitive Performance. Int. J. Neuropsychopharmacol. 2022, 25, 666–677. [Google Scholar] [CrossRef]
- Rubin, L.H.; Carter, C.S.; Bishop, J.R.; Pournajafi-Nazarloo, H.; Harris, M.S.H.; Hill, S.K.; Reilly, J.L.; Sweeney, J.A. Peripheral vasopressin but not oxytocin relates to severity of acute psychosis in women with acutely-ill untreated first-episode psychosis. Schizophr. Res. 2013, 146, 138–143. [Google Scholar] [CrossRef]
- Gimpl, G.; Fahrenholz, F. The oxytocin receptor system: Structure, function, and regulation. Physiol. Rev. 2001, 81, 629–683. [Google Scholar] [CrossRef]
- Meyer-Lindenberg, A.; Domes, G.; Kirsch, P.; Heinrichs, M. Oxytocin and vasopressin in the human brain: Social neuropeptides for translational medicine. Nat. Rev. Neurosci. 2011, 12, 524–538. [Google Scholar] [CrossRef] [PubMed]
- Kompier, N.F.; Keysers, C.; Gazzola, V.; Lucassen, P.J.; Krugers, H.J. Early Life Adversity and Adult Social Behavior: Focus on Arginine Vasopressin and Oxytocin as Potential Mediators. Front. Behav. Neurosci. 2019, 13, 143. [Google Scholar] [CrossRef]
- Song, Z.; Albers, H.E. Cross-talk among oxytocin and arginine-vasopressin receptors: Relevance for basic and clinical studies of the brain and periphery. Front. Neuroendocrinol. 2018, 51, 14–24. [Google Scholar] [CrossRef]
- Broniarczyk-Czarniak, M.; Szemraj, J.; Śmigielski, J.; Gałecki, P. The Role of OXT, OXTR, AVP, and AVPR1a Gene Expression in the Course of Schizophrenia. Curr. Issues Mol. Biol. 2022, 44, 336–349. [Google Scholar] [CrossRef]
- Feifel, D.; MacDonald, K.; Nguyen, A.; Cobb, P.; Warlan, H.; Galangue, B.; Minassian, A.; Becker, O.; Cooper, J.; Perry, W.; et al. Adjunctive intranasal oxytocin reduces symptoms in schizophrenia patients. Biol. Psychiatry 2010, 68, 678–680. [Google Scholar] [CrossRef] [PubMed]
- Shilling, P.D.; Feifel, D. Potential of Oxytocin in the Treatment of Schizophrenia. CNS Drugs 2016, 30, 193–208. [Google Scholar] [CrossRef]
- Goh, K.K.; Chen, C.H.; Lane, H.Y. Oxytocin in Schizophrenia: Pathophysiology and Implications for Future Treatment. Int. J. Mol. Sci. 2021, 22, 2146. [Google Scholar] [CrossRef]
- Feifel, D.; Reza, T. Oxytocin modulates psychotomimetic-induced deficits in sensorimotor gating. Psychopharmacology 1999, 141, 93–98. [Google Scholar] [CrossRef] [PubMed]
- Uvnäs-Moberg, K.; Ekström-Bergström, A.; Berg, M.; Buckley, S.; Pajalic, Z.; Hadjigeorgiou, E.; Kotłowska, A.; Lengler, L.; Kielbratowska, B.; Leon-Larios, F.; et al. Maternal plasma levels of oxytocin during physiological childbirth—A systematic review with implications for uterine contractions and central actions of oxytocin. BMC Pregnancy Childbirth 2019, 19, 285. [Google Scholar] [CrossRef] [PubMed]
- Kim, S.H.; Bennett, P.R.; Terzidou, V. Advances in the role of oxytocin receptors in human parturition. Mol. Cell Endocrinol. 2017, 449, 56–63. [Google Scholar] [CrossRef]
- Fuchs, A.R.; Fuchs, F.; Husslein, P.; Soloff, M.S.; Fernström, M.J. Oxytocin Receptors and Human Parturition: A Dual Role for Oxytocin in the Initiation of Labor. Science 1982, 215, 1396–1398. [Google Scholar] [CrossRef] [PubMed]
- Brown, E.F.; Fronius, M.; Brown, C.H. Vasopressin regulation of maternal body fluid balance in pregnancy and lactation: A role for TRPV channels? Mol. Cell Endocrinol. 2022, 558, 111764. [Google Scholar] [CrossRef] [PubMed]
- Soma-Pillay, P.; Nelson-Piercy, C.; Tolppanen, H.; Mebazaa, A. Physiological changes in pregnancy. Cardiovasc. J. Afr. 2016, 27, 89–94. [Google Scholar] [CrossRef] [PubMed]
- Kashkouli, M.; Jahanian Sadatmahalleh, S.; Ziaei, S.; Kazemnejad, A.; Saber, A.; Darvishnia, H.; Azarbayjani, K. Relationship between postpartum depression and plasma vasopressin level at 6–8 weeks postpartum: A cross-sectional study. Sci. Rep. 2023, 13, 3518. [Google Scholar] [CrossRef] [PubMed]
- Thul, T.A.; Corwin, E.J.; Carlson, N.S.; Brennan, P.A.; Young, L.J. Oxytocin and postpartum depression: A systematic review. Psychoneuroendocrinology 2020, 120, 104793. [Google Scholar] [CrossRef] [PubMed]
- Rutherford, J.N.; Asiodu, I.V.; Liese, K.L. Reintegrating modern birth practice within ancient birth process: What high cesarean rates ignore about physiologic birth. Am. J. Hum. Biol. 2019, 31, e23229. [Google Scholar] [CrossRef]
- Vannuccini, S.; Bocchi, C.; Severi, F.M.; Challis, J.R.; Petraglia, F. Endocrinology of human parturition. Ann. Endocrinol. 2016, 77, 105–113. [Google Scholar] [CrossRef]
- Liu, B.; Hill, S.J.; Khan, R.N. Oxytocin Inhibits T-Type Calcium Current of Human Decidual Stromal Cells. J. Clin. Endocrinol. Metab. 2005, 90, 4191–4197. [Google Scholar] [CrossRef]
- Szukiewicz, D.; Bilska, A.; Mittal, T.K.; Stangret, A.; Wejman, J.; Szewczyk, G.; Pyzlak, M.; Zamlynski, J. Myometrial contractility influences oxytocin receptor (OXTR) expression in term trophoblast cells obtained from the maternal surface of the human placenta. BMC Pregnancy Childbirth 2015, 15, 220. [Google Scholar] [CrossRef]
- Simon-Szabo, Z.; Fogarasi, E.; Nemes-Nagy, E.; Denes, L.; Croitoru, M.; Szabo, B. Oxidative stress and peripartum outcomes (Review). Exp. Ther. Med. 2021, 22, 771. [Google Scholar] [CrossRef]
- Alotaibi, M.; Arrowsmith, S.; Wray, S. Hypoxia-induced force increase (HIFI) is a novel mechanism underlying the strengthening of labor contractions, produced by hypoxic stresses. Proc. Natl. Acad. Sci. USA 2015, 112, 9763–9768. [Google Scholar] [CrossRef]
- Fan, X.; Xu, T.; Ding, H.; Li, H.; Yang, Y.; He, Y.; Tang, J.; Liu, Y.; Chen, X.; Chen, J.; et al. DNA methylation-reprogrammed oxytocin receptor underlies insensitivity to oxytocin in pre-eclamptic placental vasculature. J. Cell. Mol. Med. 2019, 23, 4118–4126. [Google Scholar] [CrossRef]
- Walter, M.H.; Abele, H.; Plappert, C.F. The Role of Oxytocin and the Effect of Stress During Childbirth: Neurobiological Basics and Implications for Mother and Child. Front. Endocrinol. 2021, 12, 742236. [Google Scholar] [CrossRef] [PubMed]
- Gogos, A.; Sbisa, A.M.; Sun, J.; Gibbons, A.; Udawela, M.; Dean, B. A Role for Estrogen in Schizophrenia: Clinical and Preclinical Findings. Int. J. Endocrinol. 2015, 2015, 615356. [Google Scholar] [CrossRef] [PubMed]
- Accialini, P.; Etcheverry, T.; Malbrán, M.N.; Leguizamón, G.; Maté, S.; Farina, M. Anandamide regulates oxytocin/oxytocin receptor system in human placenta at term. Placenta 2020, 93, 23–25. [Google Scholar] [CrossRef] [PubMed]
- Koethe, D.; Giuffrida, A.; Schreiber, D.; Hellmich, M.; Schultze-Lutter, F.; Ruhrmann, S.; Klosterkötter, J.; Piomelli, D.; Leweke, F.M. Anandamide elevation in cerebrospinal fluid in initial prodromal states of psychosis. Br. J. Psychiatry 2009, 194, 371–372. [Google Scholar] [CrossRef] [PubMed]
- Potvin, S.; Mahrouche, L.; Assaf, R.; Chicoine, M.; Giguère, C.É.; Furtos, A.; Godbout, R. Peripheral Endogenous Cannabinoid Levels Are Increased in Schizophrenia Patients Evaluated in a Psychiatric Emergency Setting. Front. Psychiatry 2020, 11, 628. [Google Scholar] [CrossRef]
- Giuffrida, A.; Leweke, F.M.; Gerth, C.W.; Schreiber, D.; Koethe, D.; Faulhaber, J.; Klosterkötter, J.; Piomelli, D. Cerebrospinal Anandamide Levels are Elevated in Acute Schizophrenia and are Inversely Correlated with Psychotic Symptoms. Neuropsychopharmacol 2004, 29, 2108–2114. [Google Scholar] [CrossRef]
- Minichino, A.; Senior, M.; Brondino, N.; Zhang, S.H.; Godwlewska, B.R.; Burnet, P.W.J.; Cipriani, A.; Lennox, B.R. Measuring Disturbance of the Endocannabinoid System in Psychosis: A Systematic Review and Meta-analysis. JAMA Psychiatry 2019, 76, 914–923. [Google Scholar] [CrossRef]
- Mercedes Perez-Rodriguez, M.; Mahon, K.; Russo, M.; Ungar, A.K.; Burdick, K.E. Oxytocin and social cognition in affective and psychotic disorders. Eur. Neuropsychopharmacol. 2015, 25, 265–282. [Google Scholar] [CrossRef]
- Li, T.; Wang, P.; Wang, S.C.; Wang, Y.F. Approaches Mediating Oxytocin Regulation of the Immune System. Front. Immunol. 2016, 7, 693. [Google Scholar] [CrossRef] [PubMed]
- Hughes, H.K.; Ashwood, P. Overlapping evidence of innate immune dysfunction in psychotic and affective disorders. Brain Behav. Immun.-Health 2020, 2, 100038. [Google Scholar] [CrossRef]
- Ermakov, E.A.; Melamud, M.M.; Buneva, V.N.; Ivanova, S.A. Immune System Abnormalities in Schizophrenia: An Integrative View and Translational Perspectives. Front. Psychiatry 2022, 13, 880568. [Google Scholar] [CrossRef]
- Hughes, H.K.; Yang, H.; Lesh, T.A.; Carter, C.S.; Ashwood, P. Evidence of innate immune dysfunction in first-episode psychosis patients with accompanying mood disorder. J. Neuroinflamm. 2022, 19, 287. [Google Scholar] [CrossRef]
- Najjar, S.; Steiner, J.; Najjar, A.; Bechter, K. A clinical approach to new-onset psychosis associated with immune dysregulation: The concept of autoimmune psychosis. J. Neuroinflamm. 2018, 15, 40. [Google Scholar] [CrossRef] [PubMed]
- Fuller, P.J.; Clements, J.A.; Tregear, G.W.; Nikolaidis, I.; Whitfeld, P.L.; Funder, J.W. Vasopressin-neurophysin II gene expression in the ovary: Studies in Sprague-Dawley, Long-Evans and Brattleboro rats. J. Endocrinol. 1985, 105, 317–321. [Google Scholar] [CrossRef] [PubMed]
- Foo, N.C.; Carter, D.; Murphy, D.; Ivell, R. Vasopressin and oxytocin gene expression in rat testis. Endocrinology 1991, 128, 2118–2128. [Google Scholar] [CrossRef]
- Sandgren, J.A.; Scroggins, S.M.; Santillan, D.A.; Devor, E.J.; Gibson-Corley, K.N.; Pierce, G.L.; Sigmund, C.D.; Santillan, M.K.; Grobe, J.L. Vasopressin: The missing link for preeclampsia? Am. J. Physiol.-Regul. Integr. Comp. Physiol. 2015, 309, R1062–R1064. [Google Scholar] [CrossRef]
- Scroggins, S.M.; Santillan, D.A.; Lund, J.M.; Sandgren, J.A.; Krotz, L.K.; Hamilton, W.S.; Devor, E.J.; Davis, H.A.; Pierce, G.L.; Gibson-Corley, K.N.; et al. Elevated vasopressin in pregnant mice induces T-helper subset alterations consistent with human preeclampsia. Clin. Sci. 2018, 132, 419–436. [Google Scholar] [CrossRef]
- Sandgren, J.A.; Deng, G.; Linggonegoro, D.W.; Scroggins, S.M.; Perschbacher, K.J.; Nair, A.R.; Nishimura, T.E.; Zhang, S.Y.; Agbor, L.N.; Wu, J.; et al. Arginine vasopressin infusion is sufficient to model clinical features of preeclampsia in mice. JCI Insight 2018, 3, e99403. [Google Scholar] [CrossRef]
- Morgenthaler, N.G.; Struck, J.; Jochberger, S.; Dünser, M.W. Copeptin: Clinical use of a new biomarker. Trends Endocrinol. Metab. Trends Endocrinol. Metab. 2008, 19, 43–49. [Google Scholar] [CrossRef] [PubMed]
- Bellos, I.; Pergialiotis, V.; Papapanagiotou, A.; Loutradis, D.; Daskalakis, G. Association between serum copeptin levels and preeclampsia risk: A meta-analysis. Eur. J. Obstet. Gynecol. Reprod. Biol. 2020, 250, 66–73. [Google Scholar] [CrossRef] [PubMed]
- Agorastos, A.; Sommer, A.; Heinig, A.; Wiedemann, K.; Demiralay, C. Vasopressin Surrogate Marker Copeptin as a Potential Novel Endocrine Biomarker for Antidepressant Treatment Response in Major Depression: A Pilot Study. Front. Psychiatry 2020, 11, 453. [Google Scholar] [CrossRef] [PubMed]
- Mansur, R.B.; Rizzo, L.B.; Santos, C.M.; Asevedo, E.; Cunha, G.R.; Noto, M.N.; Pedrini, M.; Zeni-Graiff, M.; Cordeiro, Q.; McIntyre, R.S.; et al. Plasma copeptin and metabolic dysfunction in individuals with bipolar disorder. Psychiatry Clin. Neurosci. 2017, 71, 624–636. [Google Scholar] [CrossRef]
- APA. The Structured Clinical Interview for DSM-5®; APA: Washington, DC, USA, 2015. [Google Scholar]
- Giesbrecht, C.J.; O’Rourke, N.; Leonova, O.; Strehlau, V.; Paquet, K.; Vila-Rodriguez, F.; Panenka, W.J.; MacEwan, G.W.; Smith, G.N.; Thornton, A.E.; et al. The Positive and Negative Syndrome Scale (PANSS): A Three-Factor Model of Psychopathology in Marginally Housed Persons with Substance Dependence and Psychiatric Illness. PLoS ONE 2016, 11, e0151648. [Google Scholar] [CrossRef]
- Ortega, M.A.; Chaowen, C.; Fraile-Martinez, O.; García-Montero, C.; Saez, M.A.; Cruza, I.; Pereda-Cerquella, C.; Alvarez-Mon, M.A.; Guijarro, L.G.; Fatych, Y.; et al. Chronic Venous Disease in Pregnant Women Causes an Increase in ILK in the Placental Villi Associated with a Decrease in E-Cadherin. J. Pers. Med. 2022, 12, 277. [Google Scholar] [CrossRef]
- García-Montero, C.; Fraile-Martinez, O.; Rodriguez-Martín, S.; Funes Moñux, R.M.; Saz, J.V.; Bravo, C.; De Leon-Luis, J.A.; Ruiz-Minaya, M.; Pekarek, L.; Saez, M.A.; et al. Irregular Expression of Cellular Stress Response Markers in the Placenta of Women with Chronic Venous Disease. Antioxidants 2022, 11, 2277. [Google Scholar] [CrossRef]
- Ortega, M.A.; Saez, M.A.; Fraile-Martínez, O.; Asúnsolo, Á.; Pekarek, L.; Bravo, C.; Coca, S.; Sainz, F.; Álvarez-Mon, M.; Buján, J.; et al. Increased angiogenesis and lymphangiogenesis in the placental villi of women with chronic venous disease during pregnancy. Int. J. Mol. Sci. 2020, 21, 2487. [Google Scholar] [CrossRef]
- Chomczynski, P.; Sacchi, N. The single-step method of RNA isolation by acid guanidinium thiocyanate–phenol–chloroform extraction: Twenty-something years on. Nat. Protoc. 2006, 1, 581–585. [Google Scholar] [CrossRef]
- Ye, J.; Coulouris, G.; Zaretskaya, I.; Cutcutache, I.; Rozen, S.; Madden, T.L. Primer-BLAST: A tool to design target-specific primers for polymerase chain reaction. BMC Bioinform. 2012, 13, 134. [Google Scholar] [CrossRef]
- Vallone, P.M.; Butler, J.M. AutoDimer: A screening tool for primer-dimer and hairpin structures. Biotechniques 2004, 37, 226–231. [Google Scholar] [CrossRef] [PubMed]
- Jang, S.J.; Jeon, R.H.; Kim, H.D.; Hwang, J.C.; Lee, H.J.; Bae, S.G.; Lee, S.-L.; Rho, G.-J.; Kim, S.-J.; Lee, W.-J. TATA box binding protein and ribosomal protein 4 are suitable reference genes for normalization during quantitative polymerase chain reaction study in bovine mesenchymal stem cells. Asian-Australas. J. Anim. Sci. 2020, 33, 2021–2030. [Google Scholar] [CrossRef] [PubMed]





| FE-PW (n = 22) | HC-PW (n = 20) | |
|---|---|---|
| Median age (IQR), years | 33.5 (21–42) | 33.5 (25–39) |
| Median gestational age (IQR), weeks | 40 (38–41) | 40 (39–42) |
| C-section delivery, n (%) | 3 (13.6) | 2 (10.0) |
| Previous pregnancies, n (%) | 8 (36.4) | 9 (45.0) |
| Previous abortions, n (%) | 1 (4.5) | 2 (10.0) |
| Regular menstrual cycles, n (%) | 17 (77.3) | 16 (80.0) |
| PANSS mean (SD) | Positive 18.8 (6.3) | ----- |
| Negative 25.7 (7.9) |
| Antigen | Species | Dilution | Provider | Protocol Specifications |
|---|---|---|---|---|
| Anti-neurophysin 1/NP-OXT antibody | Rabbit Polyclonal | 1:250 | Abcam (ab2078) | EDTA pH = 9, before incubation with blocking solution |
| OXTR | Rabbit Polyclonal | 1:500 | Thermofisher (PA5-34066) | EDTA pH = 9, before incubation with blocking solution |
| Anti-Neurophysin 2/NP-AVP Antibody | Mouse Monoclonal | 1:350 | Sigma-Aldrich (MABN845) | 10 mM sodium citrate pH = 6, before incubation with blocking solution |
| AVPR1a | Rabbit Polyclonal | 1:500 | LSBio (LS-A3831) | 100% triton, 0.1% in PBS for 10 min, before incubation with blocking solution |
| IgG (Rabbit) | Mouse | 1:1000 | Sigma-Aldrich (RG96/B5283) | ------ |
| IgG (Mouse) | Goat | 1:300 | Sigma-Aldrich (F2012/045K6072) | ------ |
| GENE | SEQUENCE Fwd (5′→3′) | SEQUENCE Rev (5′→3′) | Temp |
|---|---|---|---|
| TBP | TGCACAGGAGCCAAGAGTGAA | CACATCACAGCTCCCCACCA | 60 °C |
| Human preprooxytocin-neurophysin I gene | TAAAAAGGCCAGGCCGAGAG | TCTTCCAGTCCCACAATGCC | 57 °C |
| OXTR | TCCTGTACCCATCCAGCGA | TCCGCAGGCGAACCTAAAG | 60 °C |
| Human prepro-8-arginine-vasopressin-neurophysin II gene | GCTGCCAGGAGGAGAACTAC | GAGACTGAGACAGACGCGAG | 58 °C |
| AVPR1a | TGGGCGCCTTTCTTCATCAT | AGGGTTTTCCGATTCGGTCC | 61 °C |
Disclaimer/Publisher’s Note: The statements, opinions and data contained in all publications are solely those of the individual author(s) and contributor(s) and not of MDPI and/or the editor(s). MDPI and/or the editor(s) disclaim responsibility for any injury to people or property resulting from any ideas, methods, instructions or products referred to in the content. |
© 2023 by the authors. Licensee MDPI, Basel, Switzerland. This article is an open access article distributed under the terms and conditions of the Creative Commons Attribution (CC BY) license (https://creativecommons.org/licenses/by/4.0/).
Share and Cite
Ortega, M.A.; García-Montero, C.; Fraile-Martinez, Ó.; De Leon-Oliva, D.; Boaru, D.L.; Bravo, C.; De Leon-Luis, J.A.; Saez, M.A.; Asúnsolo, A.; Romero-Gerechter, I.; et al. Assessment of Tissue Expression of the Oxytocin–Vasopressin Pathway in the Placenta of Women with a First-Episode Psychosis during Pregnancy. Int. J. Mol. Sci. 2023, 24, 10254. https://doi.org/10.3390/ijms241210254
Ortega MA, García-Montero C, Fraile-Martinez Ó, De Leon-Oliva D, Boaru DL, Bravo C, De Leon-Luis JA, Saez MA, Asúnsolo A, Romero-Gerechter I, et al. Assessment of Tissue Expression of the Oxytocin–Vasopressin Pathway in the Placenta of Women with a First-Episode Psychosis during Pregnancy. International Journal of Molecular Sciences. 2023; 24(12):10254. https://doi.org/10.3390/ijms241210254
Chicago/Turabian StyleOrtega, Miguel A., Cielo García-Montero, Óscar Fraile-Martinez, Diego De Leon-Oliva, Diego Liviu Boaru, Coral Bravo, Juan A. De Leon-Luis, Miguel A. Saez, Angel Asúnsolo, Ignacio Romero-Gerechter, and et al. 2023. "Assessment of Tissue Expression of the Oxytocin–Vasopressin Pathway in the Placenta of Women with a First-Episode Psychosis during Pregnancy" International Journal of Molecular Sciences 24, no. 12: 10254. https://doi.org/10.3390/ijms241210254
APA StyleOrtega, M. A., García-Montero, C., Fraile-Martinez, Ó., De Leon-Oliva, D., Boaru, D. L., Bravo, C., De Leon-Luis, J. A., Saez, M. A., Asúnsolo, A., Romero-Gerechter, I., Sanz-Giancola, A., Diaz-Pedrero, R., Lopez-Gonzalez, L., Guijarro, L. G., Barrena-Blázquez, S., Bujan, J., García-Honduvilla, N., Alvarez-Mon, M., Alvarez-Mon, M. Á., & Lahera, G. (2023). Assessment of Tissue Expression of the Oxytocin–Vasopressin Pathway in the Placenta of Women with a First-Episode Psychosis during Pregnancy. International Journal of Molecular Sciences, 24(12), 10254. https://doi.org/10.3390/ijms241210254

