Water Extract from Brown Strain of Flammulina velutipes Alleviates Cisplatin-Induced Acute Kidney Injury by Attenuating Oxidative Stress, Inflammation, and Autophagy via PI3K/AKT Pathway Regulation
Abstract
1. Introduction
2. Results
2.1. WFV Ameliorates Renal Changes and Renal Activity in Mice with Cisplatin-Induced AKI
2.2. WFV Restores Renal Antioxidant Capacity and Reduces Levels of Oxidative Stress in Cisplatin-Related Aki
2.3. WFV Reduces the Renal Inflammatory Response Caused by Cisplatin Administration
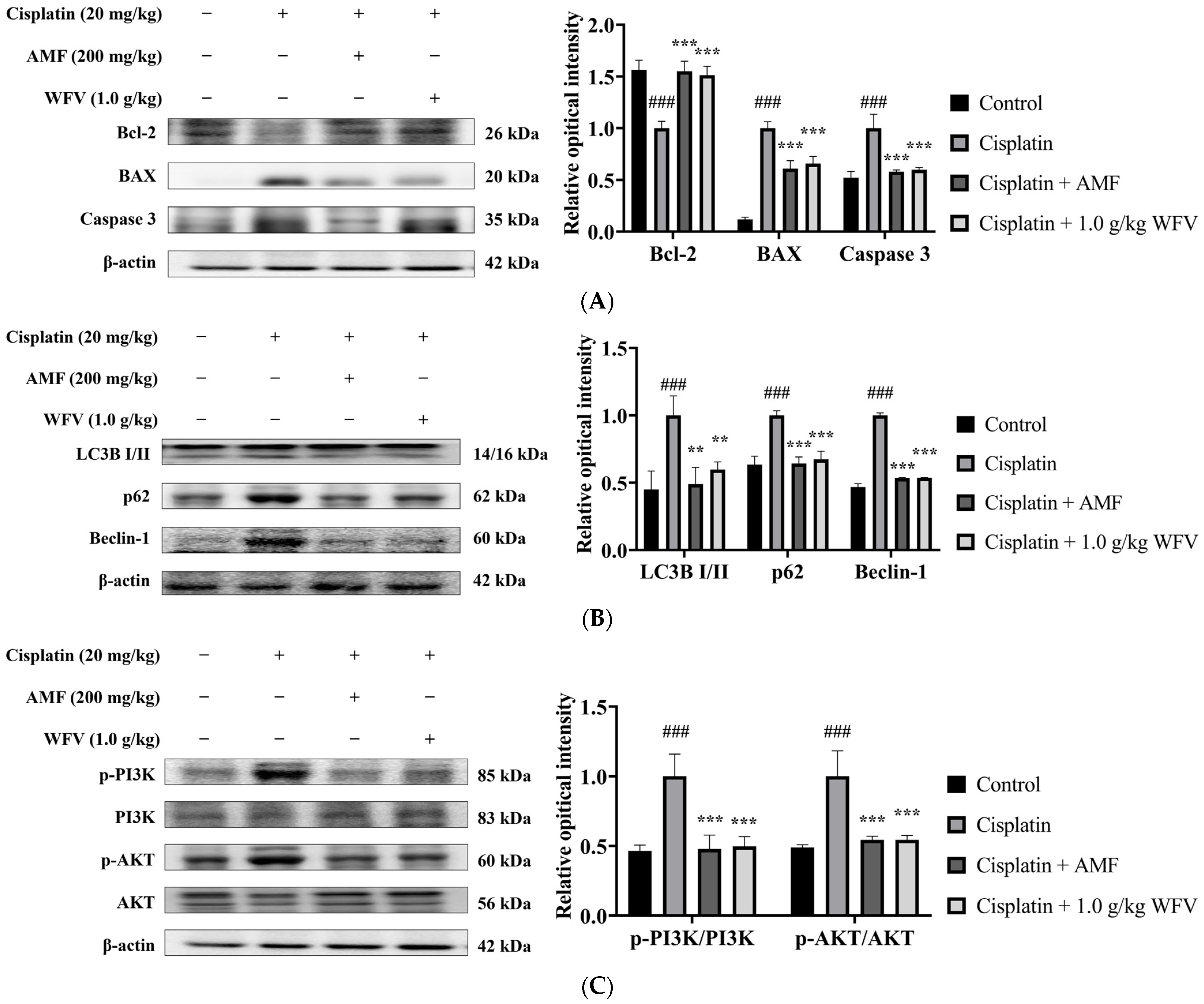
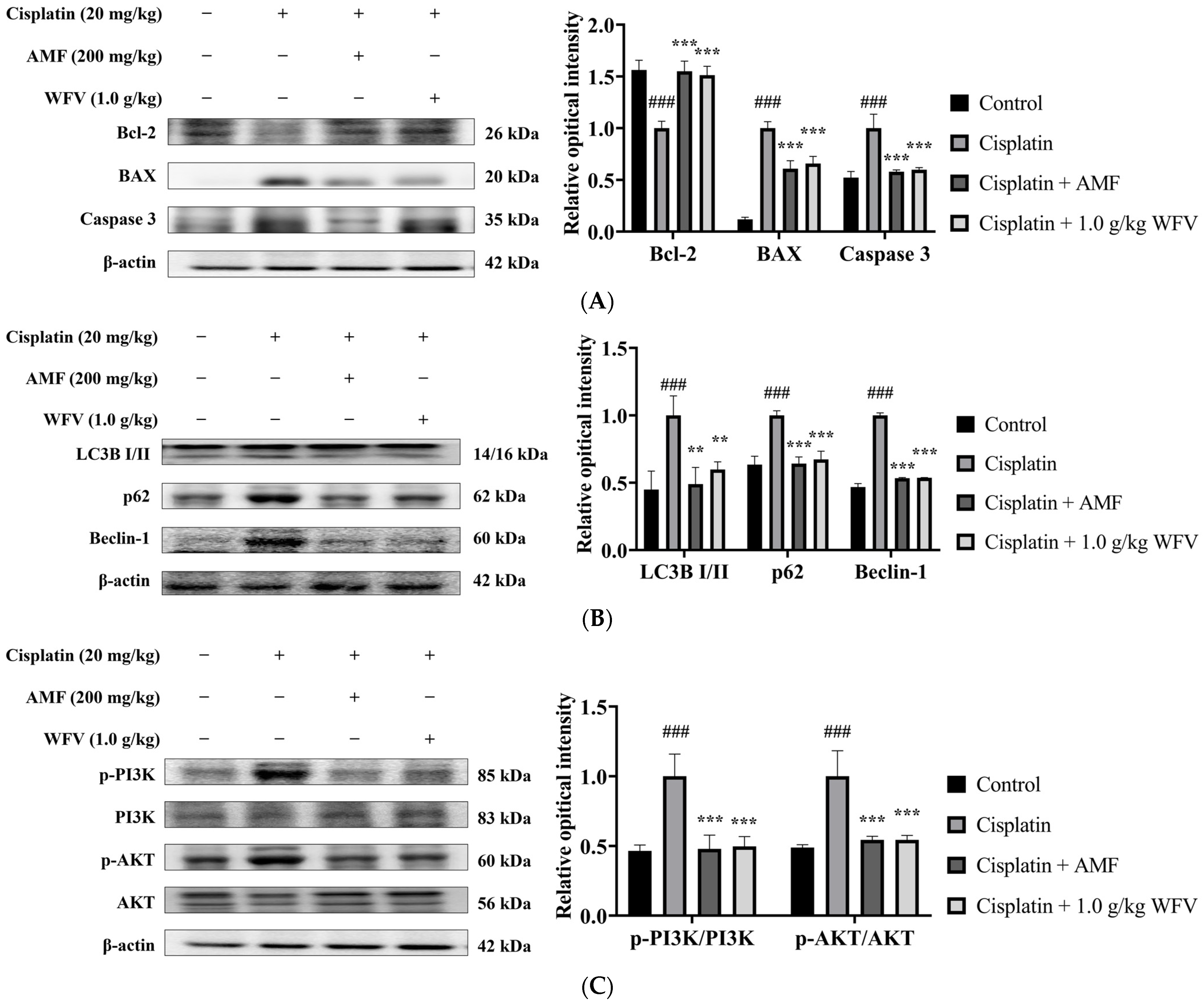
2.4. WFV Attenuates Cisplatin-Induced Apoptosis, Autophagy, and PI3K/AKT Pathway Expression
2.5. Use of PI3K Inhibitor Blocks Subsequent Signals and Increases Kidney Damage Caused by Cisplatin
2.6. Anti-Inflammatory and Anti-Oxidative Stress Responses of WFV with or without Wtmn in Cisplatin-Induced AKI
2.7. Effect of WFV with or without Wtmn on Autophagy and PI3K/AKT Protein Performance
2.8. Determination of WFV by High-Performance Liquid Chromatography
3. Discussion
4. Materials and Methods
4.1. Sample Preparation
4.2. Chemicals and Reagents
4.3. Mouse Model and Research Design
4.4. Bodyweight and Kidney Index
4.5. Histological Tests
4.6. Renal Biomarker Measurements
4.7. Serum Nitric Oxide Level Measurement
4.8. Lipid Peroxidation Assay
4.9. Glutathione Assay
4.10. Cytokine Assay
4.11. Western Blot Analysis
4.12. High-Performance Liquid Chromatography (HPLC) Analysis
4.13. Statistical Analysis
5. Conclusions
Author Contributions
Funding
Institutional Review Board Statement
Informed Consent Statement
Data Availability Statement
Conflicts of Interest
References
- Lazzareschi, D.; Mehta, R.L.; Dember, L.M.; Bernholz, J.; Turan, A.; Sharma, A.; Kheterpal, S.; Parikh, C.R.; Ali, O.; Schulman, I.H.; et al. Overcoming Barriers in the Design and Implementation of Clinical Trials for Acute Kidney Injury: A Report from the 2020 Kidney Disease Clinical Trialists Meeting. Nephrol. Dial. Transplant. 2023, 38, 834–844. [Google Scholar] [CrossRef] [PubMed]
- Kellum, J.A.; Romagnani, P.; Ashuntantang, G.; Ronco, C.; Zarbock, A.; Anders, H.-J. Acute Kidney Injury. Nat. Rev. Dis. Prim. 2021, 7, 52. [Google Scholar] [CrossRef] [PubMed]
- Thongprayoon, C.; Hansrivijit, P.; Kovvuru, K.; Kanduri, S.R.; Torres-Ortiz, A.; Acharya, P.; Gonzalez-Suarez, M.L.; Kaewput, W.; Bathini, T.; Cheungpasitporn, W. Diagnostics, Risk Factors, Treatment and Outcomes of Acute Kidney Injury in a New Paradigm. J. Clin. Med. 2020, 9, 1104. [Google Scholar] [CrossRef]
- Perazella, M.A.; Rosner, M.H. Drug-Induced Acute Kidney Injury. CJASN 2022, 17, 1220–1233. [Google Scholar] [CrossRef] [PubMed]
- Ali, R.; Aouida, M.; Alhaj Sulaiman, A.; Madhusudan, S.; Ramotar, D. Can Cisplatin Therapy Be Improved? Pathways that Can Be Targeted. Int. J. Mol. Sci. 2022, 23, 7241. [Google Scholar] [CrossRef] [PubMed]
- Ranasinghe, R.; Mathai, M.L.; Zulli, A. Cisplatin for Cancer Therapy and Overcoming Chemoresistance. Heliyon 2022, 8, e10608. [Google Scholar] [CrossRef]
- Soni, H.; Kaminski, D.; Gangaraju, R.; Adebiyi, A. Cisplatin-Induced Oxidative Stress Stimulates Renal Fas Ligand Shedding. Ren. Fail. 2018, 40, 314–322. [Google Scholar] [CrossRef]
- Mercantepe, F.; Mercantepe, T.; Topcu, A.; Yılmaz, A.; Tumkaya, L. Protective Effects of Amifostine, Curcumin, and Melatonin against Cisplatin-Induced Acute Kidney Injury. Naunyn-Schmiedeberg’s Arch. Pharm. 2018, 391, 915–931. [Google Scholar] [CrossRef]
- Alassaf, N.; Attia, H. Autophagy and Necroptosis in Cisplatin-Induced Acute Kidney Injury: Recent Advances Regarding Their Role and Therapeutic Potential. Front. Pharmacol. 2023, 14, 1103062. [Google Scholar] [CrossRef] [PubMed]
- Karwasra, R.; Kalra, P.; Gupta, Y.K.; Saini, D.; Kumar, A.; Singh, S. Antioxidant and Anti-Inflammatory Potential of Pomegranate Rind Extract to Ameliorate Cisplatin-Induced Acute Kidney Injury. Food Funct. 2016, 7, 3091–3101. [Google Scholar] [CrossRef]
- Deng, J.-S.; Jiang, W.-P.; Chen, C.-C.; Lee, L.-Y.; Li, P.-Y.; Huang, W.-C.; Liao, J.-C.; Chen, H.-Y.; Huang, S.-S.; Huang, G.-J. Cordyceps cicadae Mycelia Ameliorate Cisplatin-Induced Acute Kidney Injury by Suppressing the TLR4/NF-κ B/MAPK and Activating the HO-1/Nrf2 and Sirt-1/AMPK Pathways in Mice. Oxidative Med. Cell. Longev. 2020, 2020, 7912763. [Google Scholar] [CrossRef] [PubMed]
- Wu, X.; Liu, Z.; Yu, X.; Xu, S.; Luo, J. Autophagy and Cardiac Diseases: Therapeutic Potential of Natural Products. Med. Res. Rev. 2021, 41, 314–341. [Google Scholar] [CrossRef]
- Xu, Z.; Han, X.; Ou, D.; Liu, T.; Li, Z.; Jiang, G.; Liu, J.; Zhang, J. Targeting PI3K/AKT/MTOR-Mediated Autophagy for Tumor Therapy. Appl. Microbiol. Biotechnol. 2020, 104, 575–587. [Google Scholar] [CrossRef]
- Tang, C.; Hoo, P.C.-X.; Tan, L.T.-H.; Pusparajah, P.; Khan, T.M.; Lee, L.-H.; Goh, B.-H.; Chan, K.-G. Golden Needle Mushroom: A Culinary Medicine with Evidenced-Based Biological Activities and Health Promoting Properties. Front. Pharmacol. 2016, 7, 474. [Google Scholar] [CrossRef]
- Lin, L.; Cui, F.; Zhang, J.; Gao, X.; Zhou, M.; Xu, N.; Zhao, H.; Liu, M.; Zhang, C.; Jia, L. Antioxidative and Renoprotective Effects of Residue Polysaccharides from Flammulina Velutipes. Carbohydr. Polym. 2016, 146, 388–395. [Google Scholar] [CrossRef] [PubMed]
- Kemp, G.; Rose, P.; Lurain, J.; Berman, M.; Manetta, A.; Roullet, B.; Homesley, H.; Belpomme, D.; Glick, J. Amifostine Pretreatment for Protection against Cyclophosphamide-Induced and Cisplatin-Induced Toxicities: Results of a Randomized Control Trial in Patients with Advanced Ovarian Cancer. JCO 1996, 14, 2101–2112. [Google Scholar] [CrossRef]
- Ali, B.H.; Ramkumar, A.; Madanagopal, T.T.; Waly, M.I.; Tageldin, M.; Al-Abri, S.; Fahim, M.; Yasin, J.; Nemmar, A. Motor and Behavioral Changes in Mice with Cisplatin-Induced Acute Renal Failure. Physiol. Res. 2014, 63, 35–45. [Google Scholar] [CrossRef] [PubMed]
- Ozbek, E. Induction of Oxidative Stress in Kidney. Int. J. Nephrol. 2012, 2012, 465897. [Google Scholar] [CrossRef] [PubMed]
- Clerici, S.; Boletta, A. Role of the KEAP1-NRF2 Axis in Renal Cell Carcinoma. Cancers 2020, 12, 3458. [Google Scholar] [CrossRef] [PubMed]
- McSweeney, K.R.; Gadanec, L.K.; Qaradakhi, T.; Ali, B.A.; Zulli, A.; Apostolopoulos, V. Mechanisms of Cisplatin-Induced Acute Kidney Injury: Pathological Mechanisms, Pharmacological Interventions, and Genetic Mitigations. Cancers 2021, 13, 1572. [Google Scholar] [CrossRef]
- Zhang, B.; Ramesh, G.; Uematsu, S.; Akira, S.; Reeves, W.B. TLR4 Signaling Mediates Inflammation and Tissue Injury in Nephrotoxicity. JASN 2008, 19, 923–932. [Google Scholar] [CrossRef]
- Zhang, H.; Sun, S.-C. NF-ΚB in Inflammation and Renal Diseases. Cell Biosci. 2015, 5, 63. [Google Scholar] [CrossRef] [PubMed]
- Yamamoto, Y.; Gaynor, R.B. IκB Kinases: Key Regulators of the NF-ΚB Pathway. Trends Biochem. Sci. 2004, 29, 72–79. [Google Scholar] [CrossRef]
- West, A.P.; Koblansky, A.A.; Ghosh, S. Recognition and Signaling by Toll-Like Receptors. Annu. Rev. Cell Dev. Biol. 2006, 22, 409–437. [Google Scholar] [CrossRef]
- Lau, A.H. Apoptosis Induced by Cisplatin Nephrotoxic Injury. Kidney Int. 1999, 56, 1295–1298. [Google Scholar] [CrossRef] [PubMed]
- Kaushal, G.P.; Kaushal, V.; Hong, X.; Shah, S.V. Role and Regulation of Activation of Caspases in Cisplatin-Induced Injury to Renal Tubular Epithelial Cells. Kidney Int. 2001, 60, 1726–1736. [Google Scholar] [CrossRef]
- Volarevic, V.; Djokovic, B.; Jankovic, M.G.; Harrell, C.R.; Fellabaum, C.; Djonov, V.; Arsenijevic, N. Molecular Mechanisms of Cisplatin-Induced Nephrotoxicity: A Balance on the Knife Edge between Renoprotection and Tumor Toxicity. J. Biomed. Sci. 2019, 26, 25. [Google Scholar] [CrossRef] [PubMed]
- Periyasamy-Thandavan, S.; Jiang, M.; Wei, Q.; Smith, R.; Yin, X.-M.; Dong, Z. Autophagy Is Cytoprotective during Cisplatin Injury of Renal Proximal Tubular Cells. Kidney Int. 2008, 74, 631–640. [Google Scholar] [CrossRef]
- Rodon, J.; Dienstmann, R.; Serra, V.; Tabernero, J. Development of PI3K Inhibitors: Lessons Learned from Early Clinical Trials. Nat. Rev. Clin. Oncol. 2013, 10, 143–153. [Google Scholar] [CrossRef]
- Kma, L.; Baruah, T.J. The Interplay of ROS and the PI3K/Akt Pathway in Autophagy Regulation. Biotechnol. Appl. Biochem. 2022, 69, 248–264. [Google Scholar] [CrossRef]
- Guerreiro, Í.; Ferreira-Pêgo, C.; Carregosa, D.; Santos, C.N.; Menezes, R.; Fernandes, A.S.; Costa, J.G. Polyphenols and Their Metabolites in Renal Diseases: An Overview. Foods 2022, 11, 1060. [Google Scholar] [CrossRef]
- Su, Y.-C.; Huang, G.-J.; Lin, J.-G. Chinese Herbal Prescriptions for COVID-19 Management: Special Reference to Taiwan Chingguan Yihau (NRICM101). Front. Pharmacol. 2022, 13, 928106. [Google Scholar] [CrossRef] [PubMed]
- Chien, L.-H.; Wu, C.-T.; Deng, J.-S.; Jiang, W.-P.; Huang, W.-C.; Huang, G.-J. Salvianolic Acid C Protects against Cisplatin-Induced Acute Kidney Injury through Attenuation of Inflammation, Oxidative Stress and Apoptotic Effects and Activation of the CaMKK–AMPK–Sirt1-Associated Signaling Pathway in Mouse Models. Antioxidants 2021, 10, 1620. [Google Scholar] [CrossRef] [PubMed]
- Ma, S.; Zhang, H.; Xu, J. Characterization, Antioxidant and Anti-Inflammation Capacities of Fermented Flammulina Velutipes Polyphenols. Molecules 2021, 26, 6205. [Google Scholar] [CrossRef] [PubMed]
- Wasser, S.P. Current Findings, Future Trends, and Unsolved Problems in Studies of Medicinal Mushrooms. Appl. Microbiol. Biotechnol. 2011, 89, 1323–1332. [Google Scholar] [CrossRef] [PubMed]
- Zhao, S.; Gao, Q.; Rong, C.; Wang, S.; Zhao, Z.; Liu, Y.; Xu, J. Immunomodulatory Effects of Edible and Medicinal Mushrooms and Their Bioactive Immunoregulatory Products. J. Fungi 2020, 6, 269. [Google Scholar] [CrossRef]
- Mau, J.-L.; Lin, H.-C.; Chen, C.-C. Antioxidant Properties of Several Medicinal Mushrooms. J. Agric. Food Chem. 2002, 50, 6072–6077. [Google Scholar] [CrossRef]
- Teplyakova, T.V.; Kosogova, T.A. Antiviral Effect of Agaricomycetes Mushrooms (Review). Int. J. Med. Mushrooms 2016, 18, 375–386. [Google Scholar] [CrossRef]
- Martel, J.; Ojcius, D.M.; Chang, C.-J.; Lin, C.-S.; Lu, C.-C.; Ko, Y.-F.; Tseng, S.-F.; Lai, H.-C.; Young, J.D. Anti-Obesogenic and Antidiabetic Effects of Plants and Mushrooms. Nat. Rev. Endocrinol. 2017, 13, 149–160. [Google Scholar] [CrossRef]
- Soares, A.; de Sá-Nakanishi, A.; Bracht, A.; da Costa, S.; Koehnlein, E.; de Souza, C.; Peralta, R. Hepatoprotective Effects of Mushrooms. Molecules 2013, 18, 7609–7630. [Google Scholar] [CrossRef]
- Hu, Q.; Yu, J.; Yang, W.; Kimatu, B.M.; Fang, Y.; Ma, N.; Pei, F. Identification of Flavonoids from Flammulina Velutipes and Its Neuroprotective Effect on Pheochromocytoma-12 Cells. Food Chem. 2016, 204, 274–282. [Google Scholar] [CrossRef] [PubMed]
- Fang, C.-Y.; Lou, D.-Y.; Zhou, L.-Q.; Wang, J.-C.; Yang, B.; He, Q.-J.; Wang, J.-J.; Weng, Q.-J. Natural Products: Potential Treatments for Cisplatin-Induced Nephrotoxicity. Acta Pharm. Sin. 2021, 42, 1951–1969. [Google Scholar] [CrossRef] [PubMed]
- Kang, H.G.; Lee, H.K.; Cho, K.B.; Park, S.I. A Review of Natural Products for Prevention of Acute Kidney Injury. Medicina 2021, 57, 1266. [Google Scholar] [CrossRef] [PubMed]
- Akomolafe, S.F.; Akinyemi, A.J.; Anadozie, S.O. Phenolic Acids (Gallic and Tannic Acids) Modulate Antioxidant Status and Cisplatin Induced Nephrotoxicity in Rats. Int. Sch. Res. Not. 2014, 2014, 984709. [Google Scholar] [CrossRef] [PubMed]
- Dehghani, M.A.; Shakiba Maram, N.; Moghimipour, E.; Khorsandi, L.; Atefi khah, M.; Mahdavinia, M. Protective Effect of Gallic Acid and Gallic Acid-Loaded Eudragit-RS 100 Nanoparticles on Cisplatin-Induced Mitochondrial Dysfunction and Inflammation in Rat Kidney. Biochim. Biophys. Acta (BBA)-Mol. Basis Dis. 2020, 1866, 165911. [Google Scholar] [CrossRef]
- Tan, R.; Wang, C.; Deng, C.; Zhong, X.; Yan, Y.; Luo, Y.; Lan, H.; He, T.; Wang, L. Quercetin Protects against Cisplatin-induced Acute Kidney Injury by Inhibiting Mincle/Syk/NF-κB Signaling Maintained Macrophage Inflammation. Phytother. Res. 2020, 34, 139–152. [Google Scholar] [CrossRef]
- Holditch, S.J.; Brown, C.N.; Lombardi, A.M.; Nguyen, K.N.; Edelstein, C.L. Recent Advances in Models, Mechanisms, Biomarkers, and Interventions in Cisplatin-Induced Acute Kidney Injury. Int. J. Mol. Sci. 2019, 20, 3011. [Google Scholar] [CrossRef]
- Faubel, S.; Lewis, E.C.; Reznikov, L.; Ljubanovic, D.; Hoke, T.S.; Somerset, H.; Oh, D.-J.; Lu, L.; Klein, C.L.; Dinarello, C.A.; et al. Cisplatin-Induced Acute Renal Failure Is Associated with an Increase in the Cytokines Interleukin (IL)-1β, IL-18, IL-6, and Neutrophil Infiltration in the Kidney. J. Pharm. Exp. 2007, 322, 8–15. [Google Scholar] [CrossRef]
- Dasari, S.; Bernard Tchounwou, P. Cisplatin in Cancer Therapy: Molecular Mechanisms of Action. Eur. J. Pharmacol. 2014, 740, 364–378. [Google Scholar] [CrossRef]
- Potočnjak, I.; Marinić, J.; Batičić, L.; Šimić, L.; Broznić, D.; Domitrović, R. Aucubin Administered by Either Oral or Parenteral Route Protects against Cisplatin-Induced Acute Kidney Injury in Mice. Food Chem. Toxicol. 2020, 142, 111472. [Google Scholar] [CrossRef]
- Forrester, S.J.; Kikuchi, D.S.; Hernandes, M.S.; Xu, Q.; Griendling, K.K. Reactive Oxygen Species in Metabolic and Inflammatory Signaling. Circ. Res. 2018, 122, 877–902. [Google Scholar] [CrossRef] [PubMed]
- Nguepi Tsopmejio, I.S.; Yuan, J.; Diao, Z.; Fan, W.; Wei, J.; Zhao, C.; Li, Y.; Song, H. Auricularia Polytricha and Flammulina Velutipes Reduce Liver Injury in DSS-Induced Inflammatory Bowel Disease by Improving Inflammation, Oxidative Stress, and Apoptosis through the Regulation of TLR4/NF-ΚB Signaling Pathways. J. Nutr. Biochem. 2023, 111, 109190. [Google Scholar] [CrossRef] [PubMed]
- Zhang, W.; Liu, H.T. MAPK Signal Pathways in the Regulation of Cell Proliferation in Mammalian Cells. Cell Res. 2002, 12, 9–18. [Google Scholar] [CrossRef]
- Ozkok, A.; Edelstein, C.L. Pathophysiology of Cisplatin-Induced Acute Kidney Injury. BioMed Res. Int. 2014, 2014, 967826. [Google Scholar] [CrossRef] [PubMed]
- Mukhopadhyay, S.; Panda, P.K.; Sinha, N.; Das, D.N.; Bhutia, S.K. Autophagy and Apoptosis: Where Do They Meet? Apoptosis 2014, 19, 555–566. [Google Scholar] [CrossRef]
- Xu, H.-D.; Qin, Z.-H. Beclin 1, Bcl-2 and Autophagy. In Autophagy: Biology and Diseases; Qin, Z.-H., Ed.; Advances in Experimental Medicine and Biology; Springer: Singapore, 2019; Volume 1206, pp. 109–126. ISBN 9789811506017. [Google Scholar]
- Potočnjak, I.; Domitrović, R. Carvacrol Attenuates Acute Kidney Injury Induced by Cisplatin through Suppression of ERK and PI3K/Akt Activation. Food Chem. Toxicol. 2016, 98, 251–261. [Google Scholar] [CrossRef]
- Mustonen, A.-M.; Määttänen, M.; Kärjä, V.; Puukka, K.; Aho, J.; Saarela, S.; Nieminen, P. Myo- and Cardiotoxic Effects of the Wild Winter Mushroom (Flammulina velutipes) on Mice. Exp. Biol. Med. 2018, 243, 639–644. [Google Scholar] [CrossRef]
- Zeng, T.; Zhang, C.-L.; Song, F.-Y.; Zhao, X.-L.; Yu, L.-H.; Zhu, Z.-P.; Xie, K.-Q. PI3K/Akt Pathway Activation Was Involved in Acute Ethanol-Induced Fatty Liver in Mice. Toxicology 2012, 296, 56–66. [Google Scholar] [CrossRef]
- Shackelford, C.; Long, G.; Wolf, J.; Okerberg, C.; Herbert, R. Qualitative and Quantitative Analysis of Nonneoplastic Lesions in Toxicology Studies. Toxicol. Pathol. 2002, 30, 93–96. [Google Scholar] [CrossRef]
- Sun, J.; Zhang, X.; Broderick, M.; Fein, H. Measurement of Nitric Oxide Production in Biological Systems by Using Griess Reaction Assay. Sensors 2003, 3, 276–284. [Google Scholar] [CrossRef]
- Aguilar Diaz De Leon, J.; Borges, C.R. Evaluation of Oxidative Stress in Biological Samples Using the Thiobarbituric Acid Reactive Substances Assay. J. Vis. Exp. 2020, 159, e61122. [Google Scholar] [CrossRef]
- Rahman, I.; Kode, A.; Biswas, S.K. Assay for Quantitative Determination of Glutathione and Glutathione Disulfide Levels Using Enzymatic Recycling Method. Nat. Protoc. 2006, 1, 3159–3165. [Google Scholar] [CrossRef] [PubMed]
- Kurien, B.; Scofield, R. Western Blotting. Methods 2006, 38, 283–293. [Google Scholar] [CrossRef] [PubMed]















| Groups | Dosage (g/kg) | Renal Weight (g) | Kidney Index (mg/g) |
|---|---|---|---|
| Control | - | 0.54 ± 0.01 | 1.36 ± 0.06 |
| Cisplatin | 0.02 | 0.75 ± 0.02 ### | 2.31 ± 0.07 ### |
| Cisplatin + WFV | 0.25 | 0.67 ± 0.01 *** | 1.92 ± 0.04 *** |
| Cisplatin + WFV | 0.5 | 0.65 ± 0.01 *** | 1.86 ± 0.04 *** |
| Cisplatin + WFV | 1.0 | 0.61 ± 0.01 *** | 1.68 ± 0.03 *** |
| Cisplatin + AMF | 0.2 | 0.55 ± 0.02 *** | 1.50 ± 0.07 *** |
| Group | Renal Weight (g) | Kidney Index (mg/g) |
|---|---|---|
| Control | 0.52 ± 0.03 | 1.33 ± 0.08 |
| Cisplatin | 0.75 ± 0.03 ### | 2.33 ± 0.10 ### |
| Cisplatin + WFV (1.0 g/kg) | 0.61 ± 0.01 *** | 1.68 ± 0.03 *** |
| Cisplatin + Wtmn (1.4 mg/kg) | 0.75 ± 0.02 | 2.27 ± 0.04 |
| Cisplatin + WFV + Wtmn | 0.71 ± 0.01 | 2.11 ± 0.01 ** |
Disclaimer/Publisher’s Note: The statements, opinions and data contained in all publications are solely those of the individual author(s) and contributor(s) and not of MDPI and/or the editor(s). MDPI and/or the editor(s) disclaim responsibility for any injury to people or property resulting from any ideas, methods, instructions or products referred to in the content. |
© 2023 by the authors. Licensee MDPI, Basel, Switzerland. This article is an open access article distributed under the terms and conditions of the Creative Commons Attribution (CC BY) license (https://creativecommons.org/licenses/by/4.0/).
Share and Cite
Chou, Y.-N.; Lee, M.-M.; Deng, J.-S.; Jiang, W.-P.; Lin, J.-G.; Huang, G.-J. Water Extract from Brown Strain of Flammulina velutipes Alleviates Cisplatin-Induced Acute Kidney Injury by Attenuating Oxidative Stress, Inflammation, and Autophagy via PI3K/AKT Pathway Regulation. Int. J. Mol. Sci. 2023, 24, 9448. https://doi.org/10.3390/ijms24119448
Chou Y-N, Lee M-M, Deng J-S, Jiang W-P, Lin J-G, Huang G-J. Water Extract from Brown Strain of Flammulina velutipes Alleviates Cisplatin-Induced Acute Kidney Injury by Attenuating Oxidative Stress, Inflammation, and Autophagy via PI3K/AKT Pathway Regulation. International Journal of Molecular Sciences. 2023; 24(11):9448. https://doi.org/10.3390/ijms24119448
Chicago/Turabian StyleChou, Ya-Ni, Min-Min Lee, Jeng-Shyan Deng, Wen-Ping Jiang, Jaung-Geng Lin, and Guan-Jhong Huang. 2023. "Water Extract from Brown Strain of Flammulina velutipes Alleviates Cisplatin-Induced Acute Kidney Injury by Attenuating Oxidative Stress, Inflammation, and Autophagy via PI3K/AKT Pathway Regulation" International Journal of Molecular Sciences 24, no. 11: 9448. https://doi.org/10.3390/ijms24119448
APA StyleChou, Y.-N., Lee, M.-M., Deng, J.-S., Jiang, W.-P., Lin, J.-G., & Huang, G.-J. (2023). Water Extract from Brown Strain of Flammulina velutipes Alleviates Cisplatin-Induced Acute Kidney Injury by Attenuating Oxidative Stress, Inflammation, and Autophagy via PI3K/AKT Pathway Regulation. International Journal of Molecular Sciences, 24(11), 9448. https://doi.org/10.3390/ijms24119448

