625 nm Light Irradiation Prevented MC3T3-E1 Cells from Accumulation of Misfolded Proteins via ROS and ATP Production
Abstract
1. Introduction
2. Results
2.1. Pre-IR Treatment Recovered Cell Viability and Increased BiP Expression
2.2. 625 nm LEDI Promoted the Expression of BiP via ROS Production
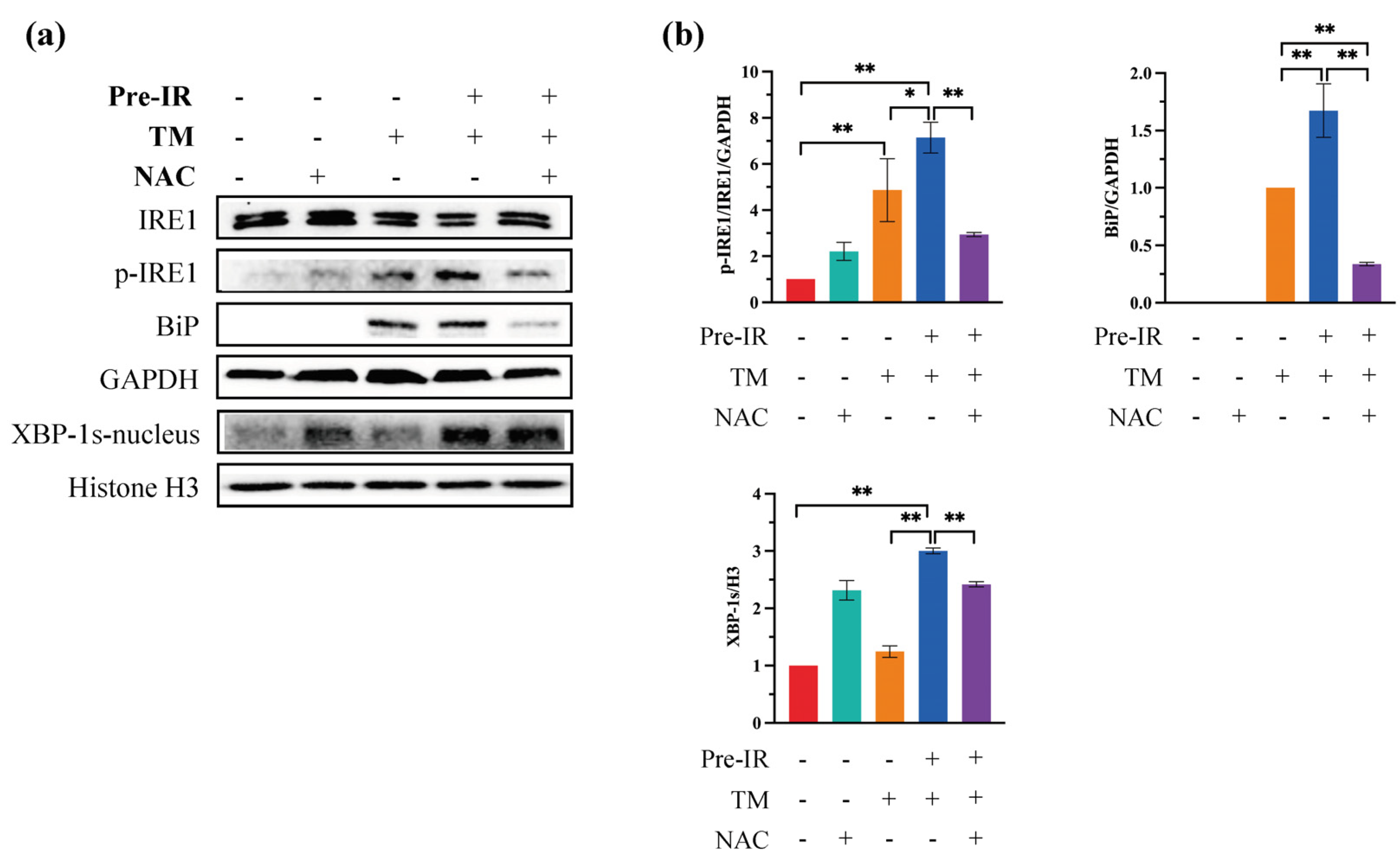
2.3. The Effects of Pre-IR on ER Stress Sensors
2.4. Pre-IR Upregulated the Expression of BiP via the ROS Production
2.5. TM-Induced Apoptosis and the Decrease in Osteogenic Gene Expression Were Prevented by ROS Production
2.6. Pre-IR Increased ATP Generation and BiP Translocation into the ER Lumen
3. Discussion
4. Materials and Methods
4.1. Cell Culture
4.2. Irradiation Treatment
4.3. Cell Viability Assay
4.4. ROS Detection
4.5. Intracellular ATP Assay
4.6. Intracellular Cyclic AMP Assay
4.7. Western Blotting Analysis
4.8. Statistical Analysis
Author Contributions
Funding
Institutional Review Board Statement
Informed Consent Statement
Data Availability Statement
Acknowledgments
Conflicts of Interest
Abbreviations
References
- Walter, P.; Ron, D. The unfolded protein response: From stress pathway to homeostatic regulation. Science 2011, 334, 1081–1086. [Google Scholar] [CrossRef] [PubMed]
 - Hino, S.; Kondo, S.; Yoshinaga, K.; Saito, A.; Murakami, T.; Kanemoto, S.; Sekiya, H.; Chihara, K.; Aikawa, Y.; Hara, H.; et al. Regulation of ER molecular chaperone prevents bone loss in a murine model for osteoporosis. J. Bone Miner. Metab. 2010, 28, 131–138. [Google Scholar] [CrossRef] [PubMed]
 - Jiang, M.; Li, Z.; Zhu, G. The role of endoplasmic reticulum stress in the pathophysiology of periodontal disease. J. Periodontal. Res. 2022, 57, 915–932. [Google Scholar] [CrossRef] [PubMed]
 - Husa, M.; Petursson, F.; Lotz, M.; Terkeltaub, R.; Liu-Bryan, R. C/EBP homologous protein drives pro-catabolic responses in chondrocytes. Arthritis Res. Ther. 2013, 15, R218. [Google Scholar] [CrossRef]
 - Hamblin, M.R. Mechanisms and Mitochondrial Redox Signaling in Photobiomodulation. Photochem. Photobiol. 2018, 94, 199–212. [Google Scholar] [CrossRef]
 - Sarmadi, S.; Tanbakuchi, B.; Hesam Arefi, A.; Chiniforush, N. The Effect of Photobiomodulation on Distraction Osteogenesis. J. Lasers Med. Sci. 2019, 10, 330–337. [Google Scholar] [CrossRef]
 - Kulkarni, S.; Meer, M.; George, R. Efficacy of photobiomodulation on accelerating bone healing after tooth extraction: A systematic review. Lasers Med. Sci. 2019, 34, 685–692. [Google Scholar] [CrossRef]
 - Gao, X.; Xing, D. Molecular mechanisms of cell proliferation induced by low power laser irradiation. J. Biomed. Sci. 2009, 16, 4. [Google Scholar] [CrossRef]
 - Kim, H.P. Lightening up Light Therapy: Activation of Retrograde Signaling Pathway by Photobiomodulation. Biomol. Ther. 2014, 22, 491–496. [Google Scholar] [CrossRef]
 - Osborne, N.N.; Nunez-Alvarez, C.; Del Olmo-Aguado, S.; Merrayo-Lloves, J. Visual light effects on mitochondria: The potential implications in relation to glaucoma. Mitochondrion 2017, 36, 29–35. [Google Scholar] [CrossRef]
 - Tauffenberger, A.; Magistretti, P.J. Reactive Oxygen Species: Beyond Their Reactive Behavior. Neurochem. Res. 2021, 46, 77–87. [Google Scholar] [CrossRef]
 - Schulz, T.J.; Zarse, K.; Voigt, A.; Urban, N.; Birringer, M.; Ristow, M. Glucose restriction extends Caenorhabditis elegans life span by inducing mitochondrial respiration and increasing oxidative stress. Cell Metab. 2007, 6, 280–293. [Google Scholar] [CrossRef]
 - Huang, Y.Y.; Nagata, K.; Tedford, C.E.; McCarthy, T.; Hamblin, M.R. Low-level laser therapy (LLLT) reduces oxidative stress in primary cortical neurons in vitro. J. Biophotonics 2013, 6, 829–838. [Google Scholar] [CrossRef] [PubMed]
 - Ibrahim, I.M.; Abdelmalek, D.H.; Elfiky, A.A. GRP78: A cell’s response to stress. Life Sci. 2019, 226, 156–163. [Google Scholar] [CrossRef] [PubMed]
 - Gardner, B.M.; Pincus, D.; Gotthardt, K.; Gallagher, C.M.; Walter, P. Endoplasmic reticulum stress sensing in the unfolded protein response. Cold Spring Harb. Perspect. Biol. 2013, 5, a013169. [Google Scholar] [CrossRef]
 - Chakrabarti, A.; Chen, A.W.; Varner, J.D. A review of the mammalian unfolded protein response. Biotechnol. Bioeng. 2011, 108, 2777–2793. [Google Scholar] [CrossRef]
 - Chinese Human Liver Proteome Profiling Consortium. First insight into the human liver proteome from PROTEOME(SKY)-LIVER(Hu) 1.0, a publicly available database. J. Proteome Res. 2012, 9, 79–94. [Google Scholar]
 - Shim, S.M.; Choi, H.R.; Sung, K.W.; Lee, Y.J.; Kim, S.T.; Kim, D.; Mun, S.R.; Hwang, J.; Cha-Molstad, H.; Ciechanover, A.; et al. The endoplasmic reticulum-residing chaperone BiP is short-lived and metabolized through N-terminal arginylation. Sci. Signal 2018, 11, eaan0630. [Google Scholar] [CrossRef] [PubMed]
 - Kudo, T.; Kanemoto, S.; Hara, H.; Morimoto, N.; Morihara, T.; Kimura, R.; Tabira, T.; Imaizumi, K.; Takeda, M. A molecular chaperone inducer protects neurons from ER stress. Cell Death Differ. 2008, 15, 364–375. [Google Scholar] [CrossRef]
 - Ha, T.K.; Hansen, A.H.; Kildegaard, H.F.; Lee, G.M. BiP Inducer X: An ER Stress Inhibitor for Enhancing Recombinant Antibody Production in CHO Cell Culture. Biotechnol. J. 2019, 14, e1900130. [Google Scholar] [CrossRef]
 - Cho, H.; Kim, O.S.; Kim, B.; Yang, Y.; Song, J.; Liu, D.; Kim, Y.; Jeon, S.; Kim, O. 635 nm LED irradiation may prevent endoplasmic reticulum stress in MC3T3-E1 cells. J. Mol. Histol. 2021, 53, 75–83. [Google Scholar] [CrossRef] [PubMed]
 - Brocchieri, L.; Conway de Macario, E.; Macario, A.J. hsp70 genes in the human genome: Conservation and differentiation patterns predict a wide array of overlapping and specialized functions. BMC Evol. Biol. 2008, 8, 19. [Google Scholar] [CrossRef] [PubMed]
 - Kopp, M.C.; Larburu, N.; Durairaj, V.; Adams, C.J.; Ali, M.M.U. UPR proteins IRE1 and PERK switch BiP from chaperone to ER stress sensor. Nat. Struct. Mol. Biol. 2019, 26, 1053–1062. [Google Scholar] [CrossRef] [PubMed]
 - Carroll, J.D.; Milward, M.R.; Cooper, P.R.; Hadis, M.; Palin, W.M. Developments in low level light therapy (LLLT) for dentistry. Dent. Mater 2014, 30, 465–475. [Google Scholar] [CrossRef] [PubMed]
 - Banerjee, A.; Lang, J.Y.; Hung, M.C.; Sengupta, K.; Banerjee, S.K.; Baksi, K.; Banerjee, D.K. Unfolded protein response is required in nu/nu mice microvasculature for treating breast tumor with tunicamycin. J. Biol. Chem. 2011, 286, 29127–29138. [Google Scholar] [CrossRef]
 - Wittkowske, C.; Reilly, G.C.; Lacroix, D.; Perrault, C.M. In Vitro Bone Cell Models: Impact of Fluid Shear Stress on Bone Formation. Front. Bioeng. Biotechnol. 2016, 4, 87. [Google Scholar] [CrossRef]
 - Sato, A.Y.; Tu, X.; McAndrews, K.A.; Plotkin, L.I.; Bellido, T. Prevention of glucocorticoid induced-apoptosis of osteoblasts and osteocytes by protecting against endoplasmic reticulum (ER) stress in vitro and in vivo in female mice. Bone 2015, 73, 60–68. [Google Scholar] [CrossRef]
 - Hetz, C.; Papa, F.R. The Unfolded Protein Response and Cell Fate Control. Mol. Cell 2018, 69, 169–181. [Google Scholar] [CrossRef]
 - Horiuchi, K.; Tohmonda, T.; Morioka, H. The unfolded protein response in skeletal development and homeostasis. Cell Mol. Life Sci. 2016, 73, 2851–2869. [Google Scholar] [CrossRef]
 - Satoh, M.; Nakai, A.; Sokawa, Y.; Hirayoshi, K.; Nagata, K. Modulation of the phosphorylation of glucose-regulated protein, GRP78, by transformation and inhibition of glycosylation. Exp. Cell Res. 1993, 205, 76–83. [Google Scholar] [CrossRef]
 - Harding, H.P.; Zhang, Y.; Ron, D. Protein translation and folding are coupled by an endoplasmic-reticulum-resident kinase. Nature 1999, 397, 271–274. [Google Scholar] [CrossRef] [PubMed]
 - Marcella Calfon, H.Z.; Urano, F.; Till, J.; Hubbard, S.; Harding, H.; Clark, S.; Ron, D. IRE1 couples endoplasmic reticulum load to secretory capacity by processing the XBP-1 mRNA. Nature 2002, 415, 92–96. [Google Scholar] [CrossRef]
 - Wang, M.; Kaufman, R.J. Protein misfolding in the endoplasmic reticulum as a conduit to human disease. Nature 2016, 529, 326–335. [Google Scholar] [CrossRef]
 - Oakes, S.A.; Papa, F.R. The role of endoplasmic reticulum stress in human pathology. Annu. Rev. Pathol. 2015, 10, 173–194. [Google Scholar] [CrossRef] [PubMed]
 - Rutkovskiy, A.; Stenslokken, K.O.; Vaage, I.J. Osteoblast Differentiation at a Glance. Med. Sci. Monit. Basic. Res. 2016, 22, 95–106. [Google Scholar] [CrossRef] [PubMed]
 - McCullough, K.D.; Martindale, J.L.; Klotz, L.O.; Aw, T.Y.; Holbrook, N.J. Gadd153 sensitizes cells to endoplasmic reticulum stress by down-regulating Bcl2 and perturbing the cellular redox state. Mol. Cell Biol. 2001, 21, 1249–1259. [Google Scholar] [CrossRef] [PubMed]
 - Ron, D.; Walter, P. Signal integration in the endoplasmic reticulum unfolded protein response. Nat. Rev. Mol. Cell Biol. 2007, 8, 519–529. [Google Scholar] [CrossRef]
 - Hu, W.P.; Wang, J.J.; Yu, C.L.; Lan, C.C.; Chen, G.S.; Yu, H.S. Helium-neon laser irradiation stimulates cell proliferation through photostimulatory effects in mitochondria. J. Investig. Dermatol. 2007, 127, 2048–2057. [Google Scholar] [CrossRef]
 - Georges Kalouche, C.B. Annick Coste, Laurent Debussche, Cécile Orsini, Christophe Baudouin, Thomas Debeir, Xavier Vigé, William Rostène. Prostaglandin EP2 receptor signaling protects human trabecular meshwork cells from apoptosis induced by ER stress through down regulation of p53. Biochim. Biophys. Acta 2016, 1863, 2322–2332. [Google Scholar]
 - Nishihara, H.; Hwang, M.; Kizaka-Kondoh, S.; Eckmann, L.; Insel, P.A. Cyclic AMP promotes cAMP-responsive element-binding protein-dependent induction of cellular inhibitor of apoptosis protein-2 and suppresses apoptosis of colon cancer cells through ERK1/2 and p38 MAPK. J. Biol. Chem. 2004, 279, 26176–26183. [Google Scholar] [CrossRef]
 - Sun, Q.; Kim, H.E.; Cho, H.; Shi, S.; Kim, B.; Kim, O. Red light-emitting diode irradiation regulates oxidative stress and inflammation through SPHK1/NF-kappaB activation in human keratinocytes. J. Photochem. Photobiol. B 2018, 186, 31–40. [Google Scholar] [CrossRef] [PubMed]
 - He, Y.; Kim, B.G.; Kim, H.E.; Sun, Q.; Shi, S.; Ma, G.; Kim, Y.; Kim, O.S.; Kim, O.J. The Protective Role of Feruloylserotonin in LPS-Induced HaCaT Cells. Molecules 2019, 24, 3064. [Google Scholar] [CrossRef] [PubMed]
 






 means inhibition.).
  
 means inhibition.).
Disclaimer/Publisher’s Note: The statements, opinions and data contained in all publications are solely those of the individual author(s) and contributor(s) and not of MDPI and/or the editor(s). MDPI and/or the editor(s) disclaim responsibility for any injury to people or property resulting from any ideas, methods, instructions or products referred to in the content.  | 
© 2023 by the authors. Licensee MDPI, Basel, Switzerland. This article is an open access article distributed under the terms and conditions of the Creative Commons Attribution (CC BY) license (https://creativecommons.org/licenses/by/4.0/).
Share and Cite
Fu, W.; Im, Y.-G.; Kim, B.; Kim, O.-S.; Yang, Y.; Song, J.; Liu, D.; Zhu, S.; Kang, J.-S.; Kim, O. 625 nm Light Irradiation Prevented MC3T3-E1 Cells from Accumulation of Misfolded Proteins via ROS and ATP Production. Int. J. Mol. Sci. 2023, 24, 9257. https://doi.org/10.3390/ijms24119257
Fu W, Im Y-G, Kim B, Kim O-S, Yang Y, Song J, Liu D, Zhu S, Kang J-S, Kim O. 625 nm Light Irradiation Prevented MC3T3-E1 Cells from Accumulation of Misfolded Proteins via ROS and ATP Production. International Journal of Molecular Sciences. 2023; 24(11):9257. https://doi.org/10.3390/ijms24119257
Chicago/Turabian StyleFu, Wenqi, Yeong-Gwan Im, Byunggook Kim, Ok-Su Kim, Ying Yang, Jianan Song, Danyang Liu, Siyu Zhu, Jae-Seok Kang, and Okjoon Kim. 2023. "625 nm Light Irradiation Prevented MC3T3-E1 Cells from Accumulation of Misfolded Proteins via ROS and ATP Production" International Journal of Molecular Sciences 24, no. 11: 9257. https://doi.org/10.3390/ijms24119257
APA StyleFu, W., Im, Y.-G., Kim, B., Kim, O.-S., Yang, Y., Song, J., Liu, D., Zhu, S., Kang, J.-S., & Kim, O. (2023). 625 nm Light Irradiation Prevented MC3T3-E1 Cells from Accumulation of Misfolded Proteins via ROS and ATP Production. International Journal of Molecular Sciences, 24(11), 9257. https://doi.org/10.3390/ijms24119257
        
