A New Indicator to Differentiate Thyroid Follicular Inclusions in Cervical Lymph Nodes from Patients with Thyroid Cancer
Abstract
1. Introduction
2. Results
2.1. Presence of BRAFV600E Mutation, 53BP1, mBRAF, HBME-1, and Galectin-3 Expression in Primary Thyroid Tumors and Metastatic PTC in Cervical LNs
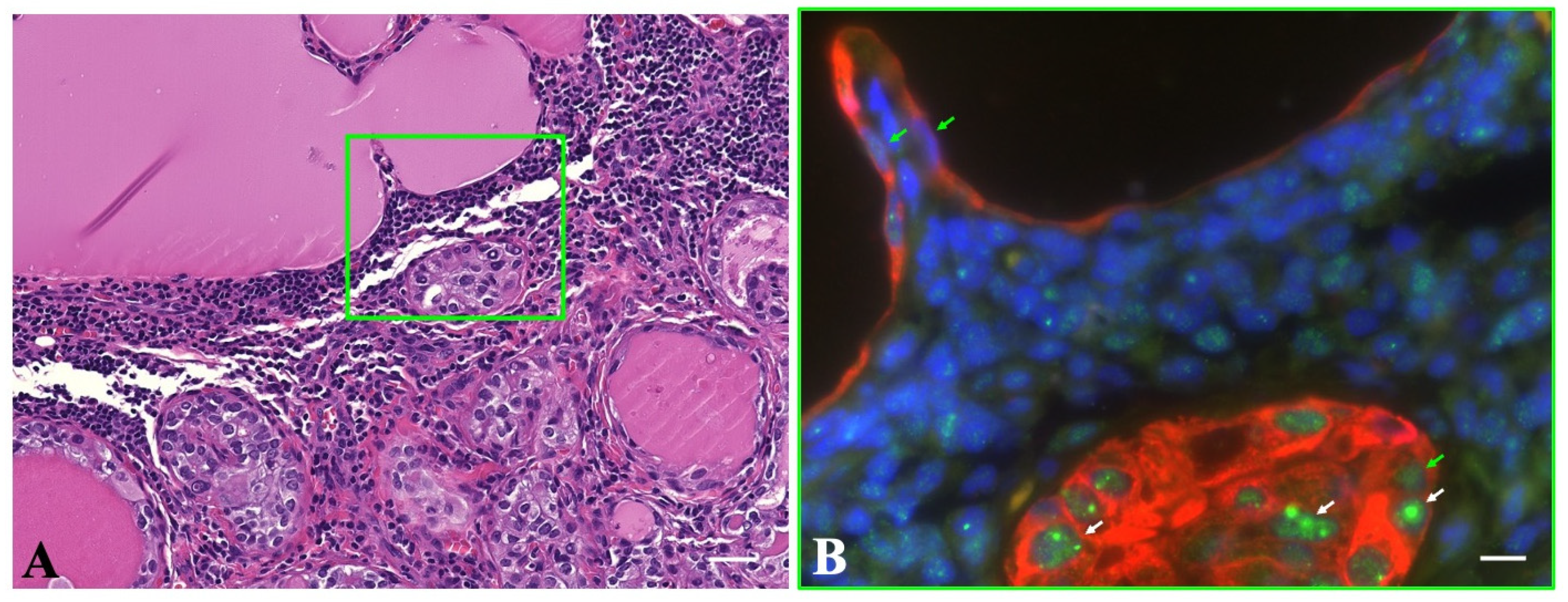
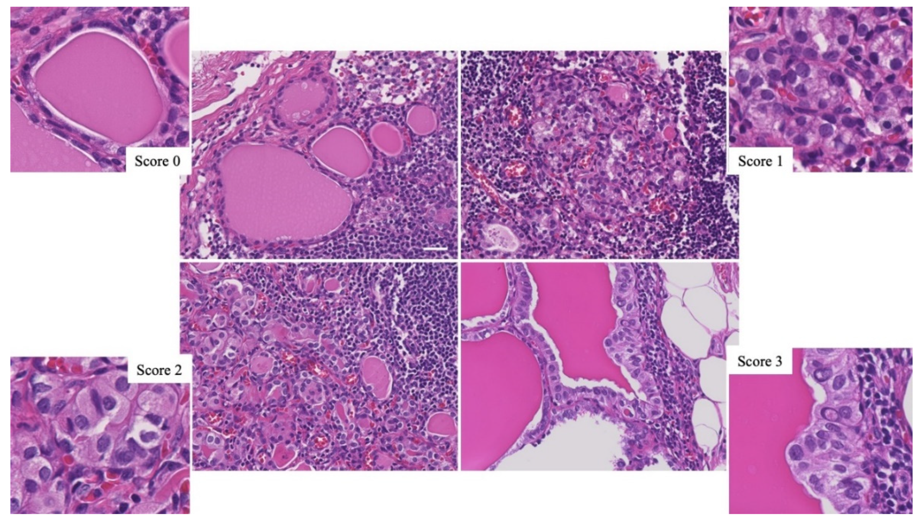
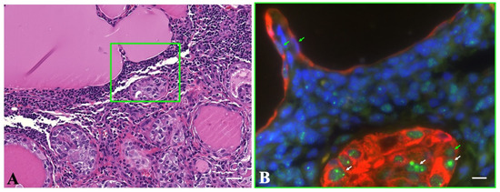
2.2. Expression of 53BP1, mBRAF, HBME-1, and Galectin-3 in TFIs of Cervical LNs
3. Materials and Methods
3.1. Sample Collections
3.2. IF Analysis for 53BP1 Expression
3.3. IHC for mBRAF, Hector Battifora Mesothelial Epitope (HBME)-1, and Galectin-3 Expression
3.4. DNA Extraction
3.5. Droplet Digital PCR (ddPCR) Analysis for BRAFV600E Mutations
3.6. NRAS Codon 61 Mutations by ddPCR Analysis
4. Discussion
Supplementary Materials
Author Contributions
Funding
Institutional Review Board Statement
Informed Consent Statement
Conflicts of Interest
References
- Ibrahim, N.A.; Fadeyibi, I.O. Ectopic thyroid: Etiology, pathology and management. Hormones 2011, 10, 261–269. [Google Scholar] [PubMed]
- Lin, D.M.; Javidiparsijani, S.; Vardouniotis, A.; Buckingham, L.; Reddy, S.B.; Gattuso, P. Ectopic thyroid tissue: Immunohistochemistry and molecular analysis. Appl. Immunohistochem. Mol. Morphol. 2018, 26, 734–739. [Google Scholar] [CrossRef] [PubMed]
- Meyer, J.S.; Steinberg, L.S. Microscopically benign thyroid follicles in cervical lymph nodes. Serial section study of lymph node inclusions and entire thyroid gland in 5 cases. Cancer 1969, 24, 302–311. [Google Scholar] [CrossRef] [PubMed]
- Cohen, Y.; Xing, M.; Mambo, E.; Guo, Z.; Wu, G.; Trink, B.; Beller, U.; Westra, W.H.; Ladenson, P.W.; Sidransky, D. BRAF mutation in papillary thyroid carcinoma. J. Natl. Cancer Inst. 2003, 95, 625–627. [Google Scholar] [CrossRef]
- Grieco, M.; Santoro, M.; Berlingieri, M.T.; Melillo, R.M.; Donghi, R.; Bongarzone, I.; Pierotti, M.A.; Della Porta, G.; Fusco, A.; Vecchiot, G. PTC is a novel rearranged form of the ret proto-oncogene and is frequently detected in vivo in human thyroid papillary carcinomas. Cell 1990, 60, 557–563. [Google Scholar] [CrossRef]
- Suárez, H.G.; Du Villard, J.A.; Caillou, B.; Schlumberger, M.; Tubiana, M.; Parmentier, C.; Monier, R. Detection of activated ras oncogenes in human thyroid carcinomas. Oncogene 1988, 2, 403–406. [Google Scholar]
- Mulligan, L.M.; Kwok, J.B.J.; Healey, C.S.; Elsdon, M.J.; Eng, C.; Gardner, E.; Love, D.R.; Mole, S.E.; Moore, J.K.; Papi, L.; et al. Germ-line mutations of the RET proto-oncogene in multiple endocrine neoplasia type 2A. Nature 1993, 363, 458–460. [Google Scholar] [CrossRef]
- Melo, M.; da Rocha, A.G.; Vinagre, J.; Batista, R.; Peixoto, J.; Tavares, C.; Celestino, R.; Almeida, A.; Salgado, C.; Eloy, C.; et al. TERT promoter mutations are a major indicator of poor outcome in differentiated thyroid carcinomas. J. Clin. Endocrinol. Metab. 2014, 99, E754–E765. [Google Scholar] [CrossRef]
- Garcia-Rostan, G.; Camp, R.L.; Herrero, A.; Carcangiu, M.L.; Rimm, D.L.; Tallini, G. Beta-catenin dysregulation in thyroid neoplasms: Down-regulation, aberrant nuclear expression, and CTNNB1 exon 3 mutations are markers for aggressive tumor phenotypes and poor prognosis. Am. J. Pathol. 2001, 158, 987–996. [Google Scholar] [CrossRef]
- Fugazzola, L.; Puxeddu, E.; Avenia, N.; Romei, C.; Cirello, V.; Cavaliere, A.; Faviana, P.; Mannavola, D.; Moretti, S.; Rossi, S.; et al. Correlation between B-RAFV600E mutation and clinico-pathologic parameters in papillary thyroid carcinoma: Data from a multicentric Italian study and review of the literature. Endocr. Relat. Cancer 2006, 13, 455–464. [Google Scholar] [CrossRef]
- Schultz, L.B.; Chehab, N.H.; Malikzay, A.; Halazonetis, T.D. p53 binding protein 1 (53BP1) is an early participant in the cellular response to DNA double-strand breaks. J. Cell Biol. 2000, 151, 1381–1390. [Google Scholar] [CrossRef] [PubMed]
- Xia, Z.; Morales, J.C.; Dunphy, W.G.; Carpenter, P.B. Negative cell cycle regulation and DNA damage-inducible phosphorylation of the BRCT protein 53BP1. J. Biol. Chem. 2001, 276, 2708–2718. [Google Scholar] [CrossRef] [PubMed]
- Anderson, L.; Henderson, C.; Adachi, Y. Phosphorylation and rapid relocalization of 53BP1 to nuclear foci upon DNA damage. Mol. Cell. Biol. 2001, 21, 1719–1729. [Google Scholar] [CrossRef] [PubMed]
- Rappold, I.; Iwabuchi, K.; Date, T.; Chen, J. Tumor suppressor p53 binding protein 1 (53BP1) is involved in DNA damage-signaling pathways. J. Cell Biol. 2001, 153, 613–620. [Google Scholar] [CrossRef] [PubMed]
- Nakashima, M.; Suzuki, K.; Meirmanov, S.; Naruke, Y.; Matsuu-Matsuyama, M.; Shichijo, K.; Saenko, V.; Kondo, H.; Hayashi, T.; Ito, M.; et al. Foci formation of P53-binding protein 1 in thyroid tumors: Activation of genomic instability during thyroid carcinogenesis. Int. J. Cancer 2008, 122, 1082–1088. [Google Scholar] [CrossRef]
- Otsubo, R.; Matsuda, K.; Mussazhanova, Z.; Sato, A.; Matsumoto, M.; Yano, H.; Oikawa, M.; Kondo, H.; Ito, M.; Miyauchi, A.; et al. A novel diagnostic method for thyroid follicular tumors based on immunofluorescence analysis of p53-binding protein 1 expression: Detection of genomic instability. Thyroid 2019, 29, 657–665. [Google Scholar] [CrossRef]
- Sato, A.; Matsuda, K.; Motoyama, T.; Mussazhanova, Z.; Otsubo, R.; Kondo, H.; Akazawa, Y.; Higuchi, M.; Suzuki, A.; Hirokawa, M.; et al. 53BP1 expression as a biomarker to differentiate thyroid follicular tumors. Endocr. Connect. 2021, 10, 309–315. [Google Scholar] [CrossRef]
- Nikiforov, Y.E.; Seethala, R.R.; Tallini, G.; Baloch, Z.W.; Basolo, F.; Thompson, L.D.; Barletta, J.A.; Wenig, B.M.; Al Ghuzlan, A.; Kakudo, K.; et al. Nomenclature revision for encapsulated follicular variant of papillary thyroid carcinoma: A paradigm shift to reduce overtreatment of indolent tumors. JAMA Oncol. 2016, 2, 1023–1029. [Google Scholar] [CrossRef]
- Lloyd, R.V.; Osamura, R.Y.; Klöppel, G.; Rosai, J. (Eds.) WHO Classification of Tumours of Endocrine Organs, 4th ed.; IARC: Lyon, France, 2017. [Google Scholar]
- Volante, M.; Bozzalla-Cassione, F.; DePompa, R.; Saggiorato, E.; Bartolazzi, A.; Orlandi, F.; Papotti, M. Galectin-3 and HBME-1 expression in oncocytic cell tumors of the thyroid. Virchows Arch. 2004, 445, 183–188. [Google Scholar] [CrossRef]
- Papotti, M.; Rodriguez, J.; De Pompa, R.; Bartolazzi, A.; Rosai, J. Galectin-3 and HBME-1 expression in well-differentiated thyroid tumors with follicular architecture of uncertain malignant potential. Mod. Pathol. 2005, 18, 541–546. [Google Scholar] [CrossRef]
- Damiano, A.; Glickman, A.B.; Rubin, J.S.; Cohen, A.F. Ectopic thyroid tissue presenting as a midline neck mass. Int. J. Pediatr. Otorhinolaryngol. 1996, 34, 141–148. [Google Scholar] [CrossRef] [PubMed]
- Naruke, Y.; Nakashima, M.; Suzuki, K.; Matsuu-Matsuyama, M.; Shichijo, K.; Kondo, H.; Sekine, I. Alteration of p53-binding protein 1 expression during skin carcinogenesis: Association with genomic instability. Cancer Sci. 2008, 99, 946–951. [Google Scholar] [CrossRef] [PubMed]
- Matsuda, K.; Miura, S.; Kurashige, T.; Suzuki, K.; Kondo, H.; Ihara, M.; Nakajima, H.; Masuzaki, H.; Nakashima, M. Significance of p53-binding protein 1 nuclear foci in uterine cervical lesions: Endogenous DNA double strand breaks and genomic instability during carcinogenesis. Histopathology 2011, 59, 441–451. [Google Scholar] [CrossRef] [PubMed]
- Mussazhanova, Z.; Matsuda, K.; Naruke, Y.; Mitsutake, N.; Stanojevic, B.; Rougounovitch, T.; Saenko, V.; Suzuki, K.; Nishihara, E.; Hirokawa, M.; et al. Significance of p53-binding protein 1 (53BP1) expression in thyroid papillary microcarcinoma: Association with BRAFV600E mutation status. Histopathology 2013, 63, 726–734. [Google Scholar] [PubMed]
- Mussazhanova, Z.; Akazawa, Y.; Matsuda, K.; Shichijo, K.; Miura, S.; Otsubo, R.; Oikawa, M.; Yoshiura, K.; Mitsutake, N.; Rogounovitch, T.; et al. Association between p53-binding protein 1 expression and genomic instability in oncocytic follicular adenoma of the thyroid. Endocr. J. 2016, 63, 457–467. [Google Scholar] [CrossRef]
- Matsuda, K.; Kawasaki, T.; Akazawa, Y.; Hasegawa, Y.; Kondo, H.; Suzuki, K.; Iseki, M.; Nakashima, M. Expression pattern of p53-binding protein 1 as a new molecular indicator of genomic instability in bladder urothelial carcinoma. Sci. Rep. 2018, 8, 15477. [Google Scholar] [CrossRef] [PubMed]
- Ueki, N.; Akazawa, Y.; Miura, S.; Matsuda, K.; Kurohama, H.; Imaizumi, T.; Kondo, H.; Nakashima, M. Significant association between 53 BP1 expression and grade of intraepithelial neoplasia of esophagus: Alteration during esophageal carcinogenesis. Pathol. Res. Pract. 2019, 215, 152601. [Google Scholar] [CrossRef] [PubMed]
- Kawashita, S.; Matsuda, K.; Kondo, H.; Kitajima, Y.; Hasegawa, Y.; Shimada, T.; Kitajima, M.; Miura, K.; Nakashima, M.; Masuzaki, H. Significance of p53-binding protein 1 nuclear foci in cervical squamous intraepithelial lesions: Association with high-risk human papillomavirus infection and P16INK4a expression. Cancer Control 2020, 27, 1073274819901170. [Google Scholar] [CrossRef]
- Luong, T.M.H.; Matsuda, K.; Niino, D.; Kurohama, H.; Ito, M.; Nakashima, M. Significance of abnormal 53BP1 expression as a novel molecular pathologic parameter of follicular-shaped B-cell lymphoid lesions in human digestive tract. Sci. Rep. 2021, 11, 3074. [Google Scholar] [CrossRef]
- Imaizumi, T.; Matsuda, K.; Tanaka, K.; Kondo, H.; Ueki, N.; Kurohama, H.; Otsubo, C.; Matsuoka, Y.; Akazawa, Y.; Miura, S.; et al. Detection of endogenous DNA double-strand breaks in oral squamous epithelial lesions by P53-binding protein 1. Anticancer Res. 2021, 41, 4771–4779. [Google Scholar] [CrossRef]
- Ueda, M.; Matsuda, K.; Kurohama, H.; Mussazhanova, Z.; Sailaubekova, Y.; Kondo, H.; Shimizu, T.; Takada, N.; Matsuoka, Y.; Otsubo, C.; et al. Molecular pathological characteristics of thyroid follicular-patterned tumors showing nodule-in-nodule appearance with poorly differentiated component. Cancers 2022, 14, 3577. [Google Scholar] [CrossRef] [PubMed]
- Ward, I.M.; Minn, K.; van Deursen, J.; Chen, J. p53 Binding protein 53BP1 is required for DNA damage responses and tumor suppression in mice. Mol. Cell Biol. 2003, 23, 2556–2563. [Google Scholar] [CrossRef] [PubMed]
- Fernandez-Vidal, A.; Vignard, J.; Mirey, G. Around and beyond 53BP1 nuclear bodies. Int. J. Mol. Sci. 2017, 18, 2611. [Google Scholar] [CrossRef] [PubMed]





| F/M | Age | pT | Type | BRAFV600E (Others) | Primary Thyroid Tumor | Metastatic PTC | TFI without PTC-Like NF | TFI with Questionable PTC-Like NF | ||||||||||||
|---|---|---|---|---|---|---|---|---|---|---|---|---|---|---|---|---|---|---|---|---|
| mBRAF | HBME | Gal | 53BP1 | mBRAF | HBME | Gal | 53BP1 | mBRAF | HBME | Gal | 53BP1 | mBRAF | HBME | Gal | 53BP1 | |||||
| F | 55 | 1a | PTC | + | + | + | + | NA | + | + | + | + | − | − | − | − | + | + | + | + |
| M | 65 | 1a | PTC | + | + | + | + | + | + | + | + | + | − | − | − | − | + | + | + | + |
| F | 52 | 1b | PTC | + | + | + | + | + | + | + | + | + | − | − | − | − | − | − | − | − |
| M | 28 | 1b | PTC | + | + | + | + | + | + | + | + | + | − | − | − | − | + | + | + | + |
| F | 30 | 3a | PTC | + | + | + | + | + | + | + | + | + | − | − | − | − | + | + | + | + |
| F | 60 | 1a | PTC | + | + | + | + | + | + | + | + | + | NA | NA | NA | − | + | + | + | + |
| F | 80 | 1a | PTC | + | + | + | + | + | + | + | + | + | − | − | − | − | ||||
| M | 45 | 1b | PTC | + | + | + | + | + | + | + | + | + | − | − | − | NA | ||||
| F | 43 | 1b | PTC | + | + | + | + | + | + | + | + | + | − | − | NA | − | ||||
| F | 48 | 1b | PTC | + | + | + | + | + | + | + | + | + | − | − | − | − | ||||
| M | 61 | 1b | PTC | + | + | + | + | + | + | + | + | + | − | − | − | − | ||||
| F | 46 | 2 | PTC | + | + | + | + | + | + | + | + | + | − | NA | − | − | ||||
| F | 69 | 4a | PTC | + | + | + | + | + | + | + | + | + | − | − | − | − | ||||
| F | 57 | 1b | PTC | + | + | + | + | + | − | − | − | − | − | − | − | − | ||||
| F | 35 | 1b | PTC | + | + | + | + | + | − | NA | NA | NA | − | NA | NA | NA | ||||
| F | 58 | 3b | PTC | + | + | + | + | + | + | + | + | + | + | + | + | + | ||||
| F | 72 | 1a | PTC | + | + | + | NA | + | − | − | NA | − | ||||||||
| F | 65 | 1a | PTC | + | + | + | + | + | − | NA | − | − | ||||||||
| F | 31 | 1a | PTC | + | + | + | + | + | − | − | − | − | ||||||||
| F | 64 | 1b | PTC | + | + | + | + | + | − | NA | − | − | ||||||||
| F | 30 | 1b | PTC | + | + | + | + | + | − | − | − | − | ||||||||
| F | 56 | 2 | PTC | + | + | + | + | + | − | − | − | − | ||||||||
| F | 65 | 1a | PTC | − (Unkown) | − | + | + | + | - | + | + | + | ||||||||
| M | 28 | 2 | FTC | − (Unkown) | − | − | − | + | − | − | − | + | ||||||||
| M | 83 | 3b | FTC | − (Unkown) | − | − | − | + | − | − | − | + | ||||||||
| F | 63 | WDT-UMP | − (Unkown) | − | − | − | + | − | − | − | - | |||||||||
| F | 46 | FA | − (Unkown) | − | − | − | − | − | − | − | - | |||||||||
| F | 38 | 1b | PTC | − (SQSTM1-NTRK3) | − | + | + | + | − | + | + | + | ||||||||
| F | 48 | 2 | PTC | − (ETV6-NTRK3) | − | + | + | + | − | + | + | + | ||||||||
| F | 62 | 3b | PTC | − (HRASQ61R) | − | + | + | + | − | NA | NA | NA | ||||||||
Disclaimer/Publisher’s Note: The statements, opinions and data contained in all publications are solely those of the individual author(s) and contributor(s) and not of MDPI and/or the editor(s). MDPI and/or the editor(s) disclaim responsibility for any injury to people or property resulting from any ideas, methods, instructions or products referred to in the content. |
© 2022 by the authors. Licensee MDPI, Basel, Switzerland. This article is an open access article distributed under the terms and conditions of the Creative Commons Attribution (CC BY) license (https://creativecommons.org/licenses/by/4.0/).
Share and Cite
Otsubo, C.; Mussazhanova, Z.; Kurohama, H.; Shalgimbayeva, G.; Ueki, N.; Matsuoka, Y.; Madiyeva, M.; Sato, S.; Yamashita, H.; Nakashima, M. A New Indicator to Differentiate Thyroid Follicular Inclusions in Cervical Lymph Nodes from Patients with Thyroid Cancer. Int. J. Mol. Sci. 2023, 24, 490. https://doi.org/10.3390/ijms24010490
Otsubo C, Mussazhanova Z, Kurohama H, Shalgimbayeva G, Ueki N, Matsuoka Y, Madiyeva M, Sato S, Yamashita H, Nakashima M. A New Indicator to Differentiate Thyroid Follicular Inclusions in Cervical Lymph Nodes from Patients with Thyroid Cancer. International Journal of Molecular Sciences. 2023; 24(1):490. https://doi.org/10.3390/ijms24010490
Chicago/Turabian StyleOtsubo, Chieko, Zhanna Mussazhanova, Hirokazu Kurohama, Gulzira Shalgimbayeva, Nozomi Ueki, Yuki Matsuoka, Madina Madiyeva, Shinya Sato, Hiroyuki Yamashita, and Masahiro Nakashima. 2023. "A New Indicator to Differentiate Thyroid Follicular Inclusions in Cervical Lymph Nodes from Patients with Thyroid Cancer" International Journal of Molecular Sciences 24, no. 1: 490. https://doi.org/10.3390/ijms24010490
APA StyleOtsubo, C., Mussazhanova, Z., Kurohama, H., Shalgimbayeva, G., Ueki, N., Matsuoka, Y., Madiyeva, M., Sato, S., Yamashita, H., & Nakashima, M. (2023). A New Indicator to Differentiate Thyroid Follicular Inclusions in Cervical Lymph Nodes from Patients with Thyroid Cancer. International Journal of Molecular Sciences, 24(1), 490. https://doi.org/10.3390/ijms24010490

