A Sequence Variation in GmBADH2 Enhances Soybean Aroma and Is a Functional Marker for Improving Soybean Flavor
Abstract
:1. Introduction
2. Results
2.1. 2AP Content in Aromatic Soybean Cultivars
2.2. Candidate Gene Sequence Acquisition and SNP/InDel Detection
2.3. Genetic Analysis
2.4. GmBADH1 and GmBADH2 Expression Levels
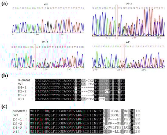
2.5. Confirming the Function of GmBADH2 Using CRISPR/Cas9
2.6. Development of High-Throughput Molecular Markers for Aroma
2.7. Validation of High-Throughput Molecular Markers
3. Discussion
4. Materials and Methods
4.1. Plant Materials
4.2. Quantitative Analysis of the 2AP Content
4.3. Genetic Analysis and Gene Identification
4.4. DNA Extraction and Gene Sequencing
4.5. RNA Isolation and qRT-PCR Analysis
4.6. pCRISPR-Cas9-GmBADH2 Vector Construction
4.7. Soybean Transformation and Screening for Mutations
4.8. Development and Validation of Aroma-Related Molecular Markers
5. Conclusions
Author Contributions
Funding
Institutional Review Board Statement
Informed Consent Statement
Data Availability Statement
Conflicts of Interest
References
- Shanmugasundaram, S.; Cheng, S.T.; Huang, M.T.; Yan, M.R. Quality requirement and improvement of vegetable soybean. In Vegetable Soybean: Research Needs for Production and Quality Improvement; Asian Vegetable Research and Development Center: Tainan, Taiwan, 1991. [Google Scholar]
- Statistics Department, Ministry of Agriculture, Forestry and Fisheries. Statistics on Production and Shipment of Vegetables Heisei 19; Statistics Department, Ministry of Agriculture, Forestry and Fisheries: Tokyo, Japan, 2009; ISBN 4-541-03621-5.
- Fushimi, T.; Masuda, R. 2-acetyl-1-pyrroline concentration of the vegetable soybean. In Proceedings of the 2nd International Vegetable Soybean Conference, Pullman, WA, USA, 10–11 August 2001; Volume 39. [Google Scholar]
- Mathure, S.V.; Wakte, K.V.; Jawali, N.; Nadaf, A.B. Quantification of 2-acetyl-1-pyrroline and other rice aroma volatiles among Indian scented rice cultivars by HS-SPME/GC-FID. Food Anal. Methods 2010, 4, 326–333. [Google Scholar] [CrossRef]
- Attar, U.; Hinge, V.; Zanan, R.; Adhav, R.; Nadaf, A. Identification of aroma volatiles and understanding 2-acetyl-1-pyrroline biosynthetic mechanism in aromatic mung bean (Vigna radiata (L.) wilczek). Physiol. Mol. Biol. Plants 2017, 23, 443–451. [Google Scholar] [CrossRef] [PubMed] [Green Version]
- Ruangnam, S.; Wanchana, S.; Phoka, N.; Saeansuk, C.; Mahatheeranont, S.; de Hoop, S.J.; Toojinda, T.; Vanavichit, A.; Arikit, S. A deletion of the gene encoding amino aldehyde dehydrogenase enhances the “pandan-like” aroma of winter melon (Benincasa hispida) and is a functional marker for the development of the aroma. Theor. Appl. Genet. 2017, 130, 2557–2565. [Google Scholar] [CrossRef] [PubMed]
- Arikit, S.; Yoshihashi, T.; Wanchana, S.; Tanya, P.; Juwattanasomran, R.; Srinives, P.; Vanavichit, A. A PCR-based marker for a locus conferring aroma in vegetable soybean (Glycine max L.). Theor. Appl. Genet. 2011, 122, 311–316. [Google Scholar] [CrossRef]
- Bradbury, L.; Fitzgerald, T.L.; Henry, R.J.; Jin, Q.; Waters, D. The gene for fragrance in rice. Plant Biotechnol. J. 2005, 3, 363–370. [Google Scholar] [CrossRef]
- Juwattanasomran, R.; Somta, P.; Chankaew, S.; Shimizu, T.; Wongpornchai, S.; Kaga, A.; Srinives, P. A SNP in GmBADH2 gene associates with fragrance in vegetable soybean variety “kaori” and SNAP marker development for the fragrance. Theor. Appl. Genet. 2011, 122, 533–541. [Google Scholar] [CrossRef]
- Yundaeng, C.; Somta, P.; Tangphatsornruang, S.; Chankaew, S.; Srinives, P. A single base substitution in BADH/AMADH is responsible for fragrance in cucumber (Cucumis sativus L.), and development of SNAP markers for the fragrance. Theor. Appl. Genet. 2015, 128, 1881–1892. [Google Scholar] [CrossRef]
- Yundaeng, C.; Somta, P.; Tangphatsornruang, S.; Wongpornchai, S.; Srinives, P. Gene discovery and functional marker development for fragrance in sorghum (Sorghum bicolor (L.) moench). Theor. Appl. Genet. 2013, 126, 2897–2906. [Google Scholar] [CrossRef]
- Vanavichit, A.; Yoshihashi, T. Molecular aspects of fragrance and aroma in rice. Adv. Bot. Res. 2010, 56, 49–73. [Google Scholar]
- Saensuk, C.; Wanchana, S.; Choowongkomon, K.; Wongpornchai, S.; Kraithong, T.; Imsabai, W.; Chaichoompu, E.; Ruanjaichon, V.; Toojinda, T.; Vanavichit, A.; et al. De novo transcriptome assembly and identification of the gene conferring a “pandan-like” aroma in coconut (Cocos nucifera L.). Plant Sci. 2016, 252, 324–334. [Google Scholar] [CrossRef]
- Ahn, S.N.; Bollich, C.N.; Tanksley, S.D. RFLP tagging of a gene for aroma in rice. Theor. Appl. Genet. 1992, 84–84, 825–828. [Google Scholar] [CrossRef] [PubMed]
- Lorieux, M.; Petrov, M.; Huang, N.; Guiderdoni, E.; Ghesquire, A. Aroma in rice: Genetic analysis of a quantitative trait. Theor. Appl. Genet. 1996, 93, 1145–1151. [Google Scholar] [CrossRef] [PubMed]
- Wanchana, S. Identification of Genes Controlling Grain Aroma and Amylose Content for Positional Cloning and Marker-Assisted Selection Program in Rice (Oryza sativa L.). Ph.D. Thesis, Kasetsart University, Bangkok, Thailand, 2005. [Google Scholar]
- Shi, W.; Yi, Y.; Chen, S.; Xu, M. Discovery of a new fragrance allele and the development of functional markers for the breeding of fragrant rice varieties. Mol. Breed. 2008, 22, 185–192. [Google Scholar] [CrossRef]
- Khandagale, K.S.; Chavhan, R.; Nadaf, A.B. RNAi-mediated down regulation of BADH2 gene for expression of 2-acetyl-1-pyrroline in non-scented indica rice IR-64 (Oryza sativa L.). Can. J. Biotechnol. 2017, 1, 169. [Google Scholar] [CrossRef]
- Niu, X.; Tang, W.; Huang, W.; Ren, G.; Wang, Q.; Luo, D.; Xiao, Y.; Yang, S.; Wang, F.; Lu, B.-R.; et al. RNAi-directed downregulation of OsBADH2 results in aroma (2-acetyl-1-pyrroline) production in rice (Oryza sativa L.). BMC Plant Biol. 2008, 8, 100. [Google Scholar] [CrossRef] [Green Version]
- Vanavichit, A.; Tragoonrung, S.; Toojinda, T.; Wanchana, S.; Kamolsukyunyong, W. Transgenic Rice Plants with Reduced Expression of Os2AP and Elevated Levels of 2-Acetyl-1-pyrroline. U.S. Patent 7,319,181, 15 January 2008. [Google Scholar]
- Amarawathi, Y.; Singh, R.; Singh, A.K.; Singh, V.P.; Mohapatra, T.; Sharma, T.R.; Singh, N.K. Mapping of quantitative trait loci for basmati quality traits in rice (Oryza sativa L.). Mol. Breed. 2008, 21, 49–65. [Google Scholar] [CrossRef]
- Arikit, S.; Yoshihashi, T.; Wanchana, S.; Uyen, T.T.; Huong, N.T.T.; Wongpornchai, S.; Vanavichit, A. Deficiency in the amino aldehyde dehydrogenase encoded by GmAMADH2, the homologue of rice Os2AP, enhances 2-acetyl-1-pyrroline biosynthesis in soybeans (Glycine max L.). Plant Biotechnol. J. 2010, 9, 75–87. [Google Scholar] [CrossRef]
- Chen, S.; Yang, Y.; Shi, W.; Ji, Q.; He, F.; Zhang, Z.; Cheng, Z.; Liu, X.; Xu, M. Badh2, encoding betaine aldehyde dehydrogenase, inhibits the biosynthesis of 2-acetyl-1-pyrroline, a major component in rice fragrance. Plant Cell 2008, 20, 1850–1861. [Google Scholar] [CrossRef] [Green Version]
- Bradbury, L.; Gillies, S.A.; Brushett, D.J.; Waters, D.; Henry, R.J. Inactivation of an aminoaldehyde dehydrogenase is responsible for fragrance in rice. Plant Mol. Biol. 2008, 68, 439–449. [Google Scholar] [CrossRef] [Green Version]
- Pachauri, V.; Mishra, V.; Mishra, P.; Singh, A.K.; Singh, S.; Singh, R.; Singh, N.K. Identification of candidate genes for rice grain aroma by combining qtl mapping and transcriptome profiling approaches. Cereal Res. Commun. 2014, 42, 376–388. [Google Scholar] [CrossRef] [Green Version]
- Prodhan, Z.H.; Qingyao, S. Rice aroma: A natural gift comes with price and the way forward. Rice Sci. 2020, 27, 86–100. [Google Scholar] [CrossRef]
- Yuan, F.; Fu, X.; Yu, X.; Yang, Q.; Jin, H.; Zhu, L. Comparative analysis and development of a flavor fingerprint for volatile compounds of vegetable soybean seeds based on headspace-gas chromatography-ion mobility spectrometry. Front. Plant Sci. 2021, 12, 768675. [Google Scholar] [CrossRef] [PubMed]
- Monkhan, T.; Chen, X.; Somta, P. BADH1 is associated with fragrance in sorghum (Sorghum bicolor (L.) moench) cultivar ‘ambemohor’. J. Genet. 2021, 100, 3. [Google Scholar] [CrossRef]
- Rückriemen, J.; Schwarzenbolz, U.; Adam, S.; Henle, T. Identification and quantitation of 2-acetyl-1-pyrroline in manuka honey (Leptospermum scoparium). J. Agric. Food Chem. 2015, 63, 8488–8492. [Google Scholar] [CrossRef]
- Starkenmann, C.; Niclass, Y.; Vuichoud, B.; Schweizer, S.; He, X. Occurrence of 2-acetyl-1-pyrroline and its nonvolatile precursors in celtuce ( Lactuca sativa L. var. Augustana). J. Agric. Food Chem. 2019, 67, 11710–11717. [Google Scholar] [CrossRef] [PubMed]
- Zanan, R.; Khandagale, K.; Hinge, V.; Elangovan, M.; Henry, R.J.; Nadaf, A. Characterization of fragrance in sorghum (Sorghum bicolor (L.) moench) grain and development of a gene-based marker for selection in breeding. Mol. Breed. 2016, 36, 146. [Google Scholar] [CrossRef]
- Jiang, Y.; Zhu, S.; Yuan, J.; Chen, G.; Lu, G. A betaine aldehyde dehydrogenase gene in quinoa (Chenopodium quinoa): Structure, phylogeny, and expression pattern. Genes Genom. 2016, 38, 1013–1020. [Google Scholar] [CrossRef]
- Liu, Z.J.; Sun, Y.J.; Rose, J.; Chung, Y.J.; Wang, B.C. The first structure of an aldehyde dehydrogenase reveals novel interactions between NAD and the rossmann fold. Nat. Struct. Biol. 1997, 4, 317–326. [Google Scholar] [CrossRef]
- Rothschild, H.A.; Barron, E. The oxidation of betaine aldehyde by betaine aldehyde dehydrogenase. J. Biol. Chem. 1954, 209, 511. [Google Scholar] [CrossRef]
- Shan, Q.; Zhang, Y.; Chen, K.; Zhang, K.; Gao, C. Creation of fragrant rice by targeted knockout of the OsBADH2 gene using TALEN technology. Plant Biotechnol. J. 2015, 13, 791–800. [Google Scholar] [CrossRef]
- Shao, G.; Xie, L.; Jiao, G.; Wei, X.; Hu, P. CRISPR/CAS9-mediated editing of the fragrant gene Badh2 in rice. Chin. J. Rice Sci. 2017, 31, 216–222. [Google Scholar]
- Hui, S.; Li, H.; Mawia, A.M.; Zhou, L.; Cai, J.; Ahmad, S.; Lai, C.; Wang, J.; Jiao, G.; Xie, L.; et al. Production of aromatic three-line hybrid rice using novel alleles of BADH2. Plant Biotechnol. J. 2022, 20, 59–74. [Google Scholar] [CrossRef] [PubMed]
- Tang, Y.; Abdelrahman, M.; Li, J.; Wang, F.; Ji, Z.; Qi, H.; Wang, C.; Zhao, K. CRISPR/Cas9 Induces exon skipping that facilitates development of fragrant rice. Plant Biotechnol. J. 2021, 19, 642–644. [Google Scholar] [CrossRef] [PubMed]
- Adams, A.; Kimpe, N.D. Chemistry of 2-acetyl-1-pyrroline, 6-acetyl-1,2,3,4-tetrahydropyridine, 2-acetyl-2-thiazoline, and 5-acetyl-2,3-dihydro-4H-thiazine: Extraordinary maillard flavor compounds. Chem. Rev. 2006, 106, 2299. [Google Scholar] [CrossRef] [PubMed]
- [AVRDC] Asian Vegetable Research and Development Center. Annual Report 2003; Asian Vegetable Research and Development Center: Tainan, Taiwan, 2004. [Google Scholar]
- Wu, M.-L.; Chou, K.-L.; Wu, C.-R.; Chen, J.-K.; Huang, T.-C. Characterization and the possible formation mechanism of 2-acetyl-1-pyrroline in aromatic vegetable soybean (Glycine max L.). J. Food Sci. 2009, 74, S192–S197. [Google Scholar] [CrossRef]
- Cavanna, D.; Zanardi, S.; Dall’Asta, C.; Suman, M. Ion mobility spectrometry coupled to gas chromatography: A rapid tool to assess eggs freshness. Food Chem. 2019, 271, 691–696. [Google Scholar] [CrossRef]
- Garrido-Delgado, R.; Arce, L.; Guamán, A.V.; Pardo, A.; Marco, S.; Valcárcel, M. Direct coupling of a gas-liquid separator to an ion mobility spectrometer for the classification of different white wines using chemometrics tools. Talanta 2011, 84, 471–479. [Google Scholar] [CrossRef]
- Sun, H.-X.; Zhang, S.-J.; Xue, J.-X.; Zhao, X.-T.; Xing, S.-H.; Chen, C.-H.; Li, C.-J. Model Transfer Method of Fresh Jujube Soluble Solids Detection Using Variables Optimization and Correction Algorithms. Spectrosc. Spectr. Anal. 2019, 39, 1041. [Google Scholar]
- Wang, X.; Rogers, K.M.; Li, Y.; Yang, S.; Zhou, J. Untargeted and targeted discrimination of honey collected by Apis cerana and Apis mellifera based on volatiles using HS-GC-IMS and HS-SPME-GC-MS. J. Agric. Food Chem. 2019, 67, 12144–12152. [Google Scholar] [CrossRef]
- Hinge, V.R.; Patil, H.B.; Nadaf, A.B. Aroma volatile analyses and 2AP characterization at various developmental stages in basmati and non-basmati scented rice (Oryza sativa L.) cultivars. Rice 2016, 9, 38. [Google Scholar] [CrossRef]
- Sriseadka, T.; Wongpornchai, S.; Kitsawatpaiboon, P. Rapid method for quantitative analysis of the aroma impact compound, 2-acetyl-1-pyrroline, in fragrant rice using automated headspace gas chromatography. J. Agric. Food Chem. 2006, 54, 8183–8189. [Google Scholar] [CrossRef] [PubMed]
- Zhang, Y.; Zhang, C.; Zhang, B.; Yin, M.; Hong, H.; Yu, L.; Gao, H.; Gu, Y.; Liu, Z.; Li, F.; et al. Establishment and application of an accurate identification method for fragrant soybeans. J. Integr. Agric. 2021, 20, 1193–1203. [Google Scholar] [CrossRef]
- Tigst, D.; Indira, R.; Anh, P. Effects of DNA extraction and purification methods on real-time quantitative PCR analysis of roundup ready soybean. J. Aoac Int. 2009, 92, 1136–1144. [Google Scholar]
- Yuan, F.J.; Zhao, H.J.; Ren, X.L.; Zhu, S.L.; Fu, X.J.; Shu, Q.Y. Generation and characterization of two novel low phytate mutations in soybean (Glycine max L. merr.). Theor. Appl. Genet. 2007, 115, 945–957. [Google Scholar] [CrossRef] [PubMed]
- Lu, Y.; Ye, X.; Guo, R.; Huang, J.; Wang, W.; Tang, J.; Tan, L.; Zhu, J.K.; Chu, C.; Qian, Y. Genome-wide targeted mutagenesis in rice using the CRISPR/Cas9 system. Mol. Plant 2017, 10, 1242–1245. [Google Scholar] [CrossRef] [PubMed] [Green Version]
- Li, S.; Cong, Y.; Liu, Y.; Wang, T.; Shuai, Q.; Chen, N.; Gai, J.; Li, Y. Optimization of agrobacterium-mediated transformation in soybean. Front. Plant Sci. 2017, 8, 246. [Google Scholar] [CrossRef] [Green Version]






| Crosses | QV1*DBH | ZK1754*ZX8 | QV1*DBH | QV1*DBH | ||
|---|---|---|---|---|---|---|
| Number | Melting Peak Temperature | 2AP Mean Content (μg/g) | ||||
| Observed | Expected | Observed | Expected | |||
| Genotype (expected ratio is 1:2:1) | ||||||
| AA | 52 | 50 | 45 | 50 | 82 °C | - |
| Aa | 99 | 100 | 108 | 100 | 80 and 82 °C | - |
| aa | 49 | 50 | 47 | 50 | 80 °C | 6.19 ± 1.24 |
| Total | 200 | 200 | 200 | 200 | ||
| χ2-value | χ2(1:2:1) = 0.11 | χ2(1:2:1) = 0.72 | ||||
| Phenotype (expected ratio is 3:1) | ||||||
| Non-aroma | 151 | 150 | 153 | 150 | 82 or 80 and 82 °C | - |
| Aromatic | 49 | 50 | 47 | 50 | 80 °C | 6.19 ± 1.24 |
| Total | 200 | 200 | 200 | 200 | ||
| χ2-value | χ2(3:1) = 0.027 | χ2(3:1) = 0.24 | ||||
| Samples | 2AP (μg/g) | ||
|---|---|---|---|
| Mean | SD | RSD | |
| D1-2 | 4.16 ** | 1.12 | 1.32 |
| D2-2 | 7.72 ** | 1.54 | 1.65 |
| D4-1 | 5.17 ** | 1.70 | 1.97 |
| WT | 0.81 | 0.31 | 0.47 |
| Samples | 2AP (μg/g) | ||
|---|---|---|---|
| Mean | SD | RSD | |
| 1 | 6.17 ** | 1.31 | 1.19 |
| 3, 4, 5, 6, 7, 8, 10 | - | - | - |
| 2, 9 | - | - | - |
| Primer | Gene Name | Product Size (bp) | Sequence (5′-3′) |
|---|---|---|---|
| 06G-EX1-2 | GmBADH1 | 600 | F: AAAAGATCTGTGATGACTCATTAGCAAG R: GAACCTTTGAAGCGATGGC |
| 06G-EX3 | 759 | F: CAAAGGCAAAGATTGGTCTTCAG R: GTTAAATGTCACCACTCACCAGG | |
| 06G-EX4-5 | 785 | F: GGAAAGCTTGAAGCAATTGATTG R: ACTTCTCTGCATATTTCAGCCAG | |
| 06G-EX6-8 | 719 | F: TCTGAATTGGCATCTGTGTATGTTC R: GGTTGTCCATAACAAAATAAAAGGCAC | |
| 06G-EX9-10 | 777 | F: GTTTTTGAGGATGTTGACCTTGATAAGAG R: ACTGATTGCCAGACAAAGTGTTTAAC | |
| 06G-EX11-12 | 788 | F: CTCTTTCTGATTAATGTACTTCTGCC R: GGGGATAAAAAATAACGATGACTCAAA | |
| 06G-EX13-14 | 741 | F: GCTATTGAACTAGCAAATGACACAC R: ATTTTCCACAAATAACTATTAGATGAGGG | |
| 06G-EX15 | 789 | F: GAATCTTATTTCCTATATCAGTGAATGAGG R: TTAACTAGAAAACACAACAAAAACATTTAAGAAATC | |
| 05G-EX1-3 | GmBADH2 | 686 | F: TTTAGGATAAAGAAGGAGAGACTGGACTAGC R: GGTCAGCATAGAACTCAAAGCAACC |
| 05G-EX4-6 | 786 | F: GCTCGATGAAGCCGCCTG R: ACCTTGTGTGCAACAATGTGAGAC | |
| 05G-EX7-9 | 842 | F: CCAAAATTGCGGCCACGC R: CCAAGGGATCAGAAATTTTGATGTTTTTGACC | |
| 05G-EX10 | 1311 | F: GCTGAATGGACCATATTTGGTTGC R: GAGAGCAATTAATCCACACAATTCCAGC | |
| 05G-EX11-13 | 777 | F: GAGAAGGAGTCAGAGAAGGAACCTTC R: GAGAGCAATTAATCCACACAATTCCAGC | |
| 05G-EX14-15 | 1036 | F: GTGAGCGCATTACTAAGGTGAGAC R: CAAACATTAGAAGCATGTGGTGGAGC |
Publisher’s Note: MDPI stays neutral with regard to jurisdictional claims in published maps and institutional affiliations. |
© 2022 by the authors. Licensee MDPI, Basel, Switzerland. This article is an open access article distributed under the terms and conditions of the Creative Commons Attribution (CC BY) license (https://creativecommons.org/licenses/by/4.0/).
Share and Cite
Qian, L.; Jin, H.; Yang, Q.; Zhu, L.; Yu, X.; Fu, X.; Zhao, M.; Yuan, F. A Sequence Variation in GmBADH2 Enhances Soybean Aroma and Is a Functional Marker for Improving Soybean Flavor. Int. J. Mol. Sci. 2022, 23, 4116. https://doi.org/10.3390/ijms23084116
Qian L, Jin H, Yang Q, Zhu L, Yu X, Fu X, Zhao M, Yuan F. A Sequence Variation in GmBADH2 Enhances Soybean Aroma and Is a Functional Marker for Improving Soybean Flavor. International Journal of Molecular Sciences. 2022; 23(8):4116. https://doi.org/10.3390/ijms23084116
Chicago/Turabian StyleQian, Linlin, Hangxia Jin, Qinghua Yang, Longming Zhu, Xiaomin Yu, Xujun Fu, Man Zhao, and Fengjie Yuan. 2022. "A Sequence Variation in GmBADH2 Enhances Soybean Aroma and Is a Functional Marker for Improving Soybean Flavor" International Journal of Molecular Sciences 23, no. 8: 4116. https://doi.org/10.3390/ijms23084116
APA StyleQian, L., Jin, H., Yang, Q., Zhu, L., Yu, X., Fu, X., Zhao, M., & Yuan, F. (2022). A Sequence Variation in GmBADH2 Enhances Soybean Aroma and Is a Functional Marker for Improving Soybean Flavor. International Journal of Molecular Sciences, 23(8), 4116. https://doi.org/10.3390/ijms23084116

