Molecular Characterization of a New Tetrodotoxin-Binding Protein, Peroxiredoxin-1, from Takifugu bimaculatus
Abstract
:1. Introduction
2. Results
2.1. Tissue Distribution of Tbprx-1 mRNA
2.2. Characterization and Phylogenetic Analysis of the Tbprx-1 Gene
2.3. Recombinant Expression Vector Construction and Recombinant Tbprx-1 Protein Purification
2.4. Radical Scavenging Ability of rTbprx-1
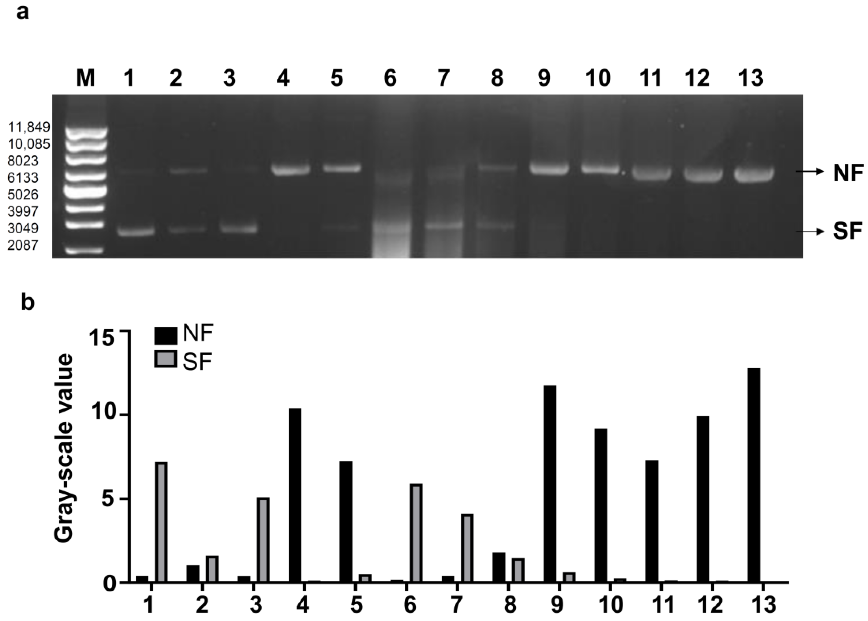
2.5. In Vitro Supercoiled DNA Protection Activity of rTbprx-1
2.6. Protective Effects of rTbprx-1 against H2O2-Induced Cellular Damage
2.7. Protein Modeling and Molecular Docking
2.8. SPR Measurement of the Binding Activity of TTX and rTbprx-1
2.9. Effects of rTbprx-1 on TTX Entry into Epithelioma Papulosum Cyprini (EPC) Cells
3. Discussion
4. Materials and Methods
4.1. Animals and Tissue Collection
4.2. qPCR Analysis of rTbprx-1 Expression in T. bimaculatus
4.3. Construction of the rTbprx-1 Vector
4.4. Prokaryotic Expression and Purification of the pET28a-Tbprx-1 Vector
4.5. Radical Scavenging Ability of rTbprx-1
4.6. MCO Protection Assay
4.7. Measurement of the Antioxidant Activity of rTbprx-1
4.8. Protein Homologous Modeling and Molecular Docking
4.9. SPR Measurement of the Binding Activity of TTX and rTbprx-1
4.10. Effects of rTbprx-1 on TTX Entry into EPC Cells
4.11. Statistical Analysis
5. Conclusions
Author Contributions
Funding
Institutional Review Board Statement
Informed Consent Statement
Data Availability Statement
Acknowledgments
Conflicts of Interest
References
- Sheng, Y.; Sun, Y.; Zhang, X.; Wan, H.; Yao, C.; Liang, K.; Li, L.; Liu, B.; Zhong, J.; Zhang, Z.; et al. Characterization of two myostatin genes in pufferfish Takifugu bimaculatus: Sequence, genomic structure, and expression. PeerJ 2020, 8, e9655. [Google Scholar] [CrossRef]
- Shi, Y.; Zhou, Z.; Liu, B.; Kong, S.; Chen, B.; Bai, H.; Li, L.; Pu, F.; Xu, P.J. Construction of a high-density genetic linkage map and QTL mapping for growth-related traits in Takifugu bimaculatus. Mar. Biotechnol. 2020, 22, 130–144. [Google Scholar] [CrossRef] [PubMed]
- Zhou, Z.; Liu, B.; Chen, B.; Shi, Y.; Pu, F.; Bai, H.; Li, L.; Xu, P. The sequence and de novo assembly of Takifugu bimaculatus genome using PacBio and Hi-C technologies. Sci. Data 2019, 6, 187. [Google Scholar] [CrossRef] [PubMed]
- Shen, H.; Li, Z.; Jiang, Y.; Pan, X.; Wu, J.; Cristofori-Armstrong, B.; Smith, J.J.; Chin, Y.K.Y.; Lei, J.; Zhou, Q.; et al. Structural basis for the modulation of voltage-gated sodium channels by animal toxins. Science 2018, 362, eaau2596. [Google Scholar] [CrossRef] [PubMed] [Green Version]
- Lago, J.; Rodríguez, L.P.; Blanco, L.; Vietes, J.M.; Cabado, A.G. Tetrodotoxin, an Extremely Potent Marine Neurotoxin: Distribution, Toxicity, Origin and Therapeutical Uses. Mar. Drugs 2015, 13, 6384–6406. [Google Scholar] [CrossRef] [PubMed]
- Miyazawa, K.; Noguchi, T. Distribution and origin of tetrodotoxin. J. Toxicol. Toxin Rev. 2001, 20, 11–33. [Google Scholar] [CrossRef]
- Noguchi, T.; Arakawa, O. Tetrodotoxin–Distribution and Accumulation in Aquatic Organisms, and Cases of Human Intoxication. Mar. Drugs 2008, 6, 220–242. [Google Scholar] [CrossRef] [Green Version]
- Dong, W.R.; Xiang, L.X.; Shao, J.Z. Cloning and characterisation of two natural killer enhancing factor genes (NKEF-A and NKEF-B) in pufferfish, Tetraodon nigroviridis. Fish Shellfish Immunol. 2007, 22, 1–15. [Google Scholar] [CrossRef]
- Wood, Z.A.; Schröder, E.; Harris, J.R.; Poole, L.B. Structure, mechanism and regulation of peroxiredoxins. Trends Biochem. Sci. 2003, 28, 32–40. [Google Scholar] [CrossRef]
- Li, C.; Ni, D.; Song, L.; Zhao, J.; Li, L. Molecular cloning and characterization of a catalase gene from Zhikong scallop Chlamys farreri. Fish Shellfish Immunol. 2008, 24, 26–34. [Google Scholar] [CrossRef] [PubMed]
- Sharapov, M.G.; Novoselov, V.I.; Ravin, V.K. Xenopus laevis peroxiredoxins: Gene expression during development and characterization of the enzymes. Mol. Biol. 2016, 50, 336–346. [Google Scholar] [CrossRef]
- Neumann, C.; Krause, D.; Carman, C.; Das, S.; Dubey, D.P.; Abraham, J.L.; Bronson, R.T.; Fujiwara, Y.; Orkin, S.H.; Van Etten, R.A. Essential role for the peroxiredoxin Prdx1 in erythrocyte antioxidant defence and tumour suppression. Nature 2003, 424, 561–565. [Google Scholar] [CrossRef] [PubMed] [Green Version]
- Edgar, R.S.; Green, E.W.; Zhao, Y.; van Ooijen, G.; Olmedo, M.; Qin, X.; Xu, Y.; Pan, M.; Valekunja, U.K.; Feeney, K.A.; et al. Peroxiredoxins are conserved markers of circadian rhythms. Nature 2012, 485, 459–464. [Google Scholar] [CrossRef] [PubMed] [Green Version]
- Han, Y.H.; Zhang, Y.Q.; Jin, M.H.; Jin, Y.H.; Qiu, M.Y.; Li, W.L.; He, C.; Yu, L.Y.; Hyun, J.W.; Lee, J.; et al. Peroxiredoxin I deficiency increases keratinocyte apoptosis in a skin tumor model via the ROS-p38 MAPK pathway. Biochem. Biophys. Res. Commun. 2020, 529, 635–641. [Google Scholar] [CrossRef] [PubMed]
- Matsui, T.; Yamamori, K.; Furukawa, K.; Kono, M. Purification and some properties of a tetrodotoxin binding protein from the blood plasma of kusafugu, Takifugu niphobles. Toxicon 2000, 38, 463–468. [Google Scholar] [CrossRef]
- Yotsu-Yamashita, M.; Sugimoto, A.; Terakawa, T.; Shoji, Y.; Miyazawa, T.; Yasumoto, T. Purification, characterization, and cDNA cloning of a novel soluble saxitoxin and tetrodotoxin binding protein from plasma of the pufferfish, Fugu pardalis. Eur. J. Biochem. 2001, 268, 10–17. [Google Scholar] [CrossRef] [PubMed]
- Yotsu-Yamashita, M.; Yamaki, H.; Okoshi, N.; Araki, N. Distribution of homologous proteins to puffer fish saxitoxin and tetrodotoxin binding protein in the plasma of puffer fish and among the tissues of Fugu pardalis examined by Western blot analysis. Toxicon 2010, 55, 1119–1124. [Google Scholar] [CrossRef] [PubMed]
- Matsumoto, T.; Tanuma, D.; Tsutsumi, K.; Jeon, J.K.; Ishizaki, S.; Nagashima, Y. Plasma protein binding of tetrodotoxin in the marine puffer fish Takifugu rubripes. Toxicon 2010, 55, 415–420. [Google Scholar] [CrossRef] [PubMed]
- Yotsu-Yamashita, M.; Okoshi, N.; Watanabe, K.; Araki, N.; Yamaki, H.; Shoji, Y.; Terakawa, T. Localization of pufferfish saxitoxin and tetrodotoxin binding protein (PSTBP) in the tissues of the pufferfish, Takifugu pardalis, analyzed by immunohistochemical staining. Toxicon 2013, 72, 23–28. [Google Scholar] [CrossRef]
- Tatsuno, R.; Yamaguchi, K.; Takatani, T.; Arakawa, O. RT-PCR- and MALDI-TOF mass spectrometry-based identification and discrimination of isoforms homologous to pufferfish saxitoxin- and tetrodotoxin-binding protein in the plasma of non-toxic cultured pufferfish (Takifugu rubripes). Biosci. Biotechnol. Biochem. 2013, 77, 208–212. [Google Scholar] [CrossRef] [Green Version]
- Hashiguchi, Y.; Lee, J.M.; Shiraishi, M.; Komatsu, S.; Miki, S.; Shimasaki, Y.; Mochioka, N.; Kusakabe, T.; Oshima, Y. Charac-terization and evolutionary analysis of tributyltin-binding protein and pufferfish saxitoxin and tetrodotoxin-binding protein genes in toxic and nontoxic pufferfishes. J. Evol. Biol. 2015, 28, 1103–1118. [Google Scholar] [CrossRef] [PubMed] [Green Version]
- Satone, H.; Nonaka, S.; Lee, J.M.; Shimasaki, Y.; Kusakabe, T.; Kawabata, S.I.; Oshima, Y. Tetrodotoxin- and tributyltin-binding abilities of recombinant pufferfish saxitoxin and tetrodotoxin binding proteins of Takifugu rubripes. Toxicon 2017, 125, 50–52. [Google Scholar] [CrossRef] [PubMed]
- Yotsu-Yamashita, M.; Nagaoka, Y.; Muramoto, K.; Cho, Y.; Konoki, K. Pufferfish Saxitoxin and Tetrodotoxin Binding Protein (PSTBP) Analogues in the Blood Plasma of the Pufferfish Arothron nigropunctatus, A. hispidus, A. manilensis, and Chelonodon patoca. Mar. Drugs 2018, 16, 224. [Google Scholar] [CrossRef] [PubMed] [Green Version]
- Yin, X.; Kiriake, A.; Ohta, A.; Kitani, Y.; Ishizaki, S.; Nagashima, Y. A novel function of vitellogenin subdomain, vWF type D, as a toxin-binding protein in the pufferfish Takifugu pardalis ovary. Toxicon 2017, 136, 56–66. [Google Scholar] [CrossRef] [PubMed]
- Qiao, K.; Jiang, C.; Xu, M.; Chen, B.; Qiu, W.; Su, Y.; Hao, H.; Lin, Z.; Cai, S.; Su, J.; et al. Molecular Characterization of the Von Willebrand Factor Type D Domain of Vitellogenin from Takifugu flavidus. Mar. Drugs 2021, 19, 181. [Google Scholar] [CrossRef]
- Qiao, K.; Fang, C.; Chen, B.; Liu, Z.; Pan, N.; Peng, H.; Hao, H.; Xu, M.; Wu, J.; Liu, S. Molecular characterization, purification, and antioxidant activity of recombinant superoxide dismutase from the Pacific abalone Haliotis discus hannai Ino. World J. Microbiol. Biotechnol. 2020, 36, 115. [Google Scholar] [CrossRef] [PubMed]
- Wang, L.; Guo, H.; Zhang, N.; Ma, Z.; Jiang, S.; Zhang, D. Molecular characterization and functional analysis of a peroxiredoxin 1 cDNA from golden pompano (Trachinotus ovatus). Dev. Comp. Immunol. 2015, 51, 261–270. [Google Scholar] [CrossRef]
- Sun, C.C.; Dong, W.R.; Shao, T.; Li, J.Y.; Zhao, J.; Nie, L.; Xiang, L.X.; Zhu, G.; Shao, J.Z. Peroxiredoxin 1 (Prx1) is a dual-function enzyme by possessing Cys-independent catalase-like activity. Biochem. J. 2017, 474, 1373–1394. [Google Scholar] [CrossRef] [PubMed] [Green Version]
- Neumann, C.A.; Cao, J.; Manevich, Y.J. Peroxiredoxin 1 and its role in cell signaling. Cell Cycle 2009, 8, 4072–4078. [Google Scholar] [CrossRef] [PubMed] [Green Version]
- Xu, K.; Wang, G. Identification and characterization of peroxiredoxin 1 from Lateolabrax japonicus under biotic and abiotic stresses. Fish Shellfish Immunol. 2018, 81, 297–303. [Google Scholar] [CrossRef] [PubMed]
- König, J.; Lotte, K.; Plessow, R.; Brockhinke, A.; Baier, M.; Dietz, K.J. Reaction mechanism of plant 2-Cys peroxiredoxin. Role of the C terminus and the quaternary structure. J. Biol. Chem. 2003, 278, 24409–24420. [Google Scholar] [CrossRef] [PubMed] [Green Version]
- Cai, L.; Wu, X.; Zhang, Y.; Li, X.; Ma, S.; Li, J. Purification and characterization of three antioxidant peptides from protein hydrolysate of grass carp (Ctenopharyngodon idella) skin. J. Funct. Foods 2015, 16, 234–242. [Google Scholar] [CrossRef]
- Shirato, K.; Takanari, J.; Ogasawara, J.; Sakurai, T.; Imaizumi, K.; Ohno, H.; Kizaki, T. Enzyme-treated asparagus extract attenuates hydrogen peroxide-induced matrix metalloproteinase-9 expression in murine skin fibroblast L929 cells. Nat. Prod. Commun. 2016, 11, 677–680. [Google Scholar] [CrossRef] [PubMed] [Green Version]
- Madusanka, R.K.; Neranjan Tharuka, M.D.; Madhurranga, W.S.P.; Lee, S.; Lee, J. Transcriptional modifications and the cytoprotective, DNA protective, and wound healing effects of peroxiredoxin-1 from Sebastes schlegelii. Fish Shellfish Immunol. 2020, 107, 73–83. [Google Scholar] [CrossRef] [PubMed]
- Heo, S.; Kim, S.; Kang, D. The Role of Hydrogen Peroxide and Peroxiredoxins throughout the Cell Cycle. Antioxidants 2020, 9, 280. [Google Scholar] [CrossRef] [PubMed] [Green Version]
- Sangpairoj, K.; Changklungmoa, N.; Vanichviriyakit, R.; Sobhon, P.; Chaithirayanon, K. Analysis of the Expression and Antioxidant Activity of 2-Cys Peroxiredoxin Protein in Fasciola gigarttica. Exp. Parasitol. 2014, 140, 24–32. [Google Scholar] [CrossRef]
- De Zoysa, M.; Pushpamali, W.A.; Whang, I.; Kim, S.J.; Lee, J. Mitochondrial thioredoxin-2 from disk abalone (Haliotis discus discus): Molecular characterization, tissue expression and DNA protection activity of its recombinant protein. Comp. Biochem. Physiol. Part B Biochem. Mol. Biol. 2008, 149, 630–639. [Google Scholar] [CrossRef]









Publisher’s Note: MDPI stays neutral with regard to jurisdictional claims in published maps and institutional affiliations. |
© 2022 by the authors. Licensee MDPI, Basel, Switzerland. This article is an open access article distributed under the terms and conditions of the Creative Commons Attribution (CC BY) license (https://creativecommons.org/licenses/by/4.0/).
Share and Cite
Qiao, K.; Wang, C.; Huang, L.; Feng, H.; Chen, B.; Xu, M.; Su, Y.; Liu, S.; Pan, N.; Su, J.; et al. Molecular Characterization of a New Tetrodotoxin-Binding Protein, Peroxiredoxin-1, from Takifugu bimaculatus. Int. J. Mol. Sci. 2022, 23, 3071. https://doi.org/10.3390/ijms23063071
Qiao K, Wang C, Huang L, Feng H, Chen B, Xu M, Su Y, Liu S, Pan N, Su J, et al. Molecular Characterization of a New Tetrodotoxin-Binding Protein, Peroxiredoxin-1, from Takifugu bimaculatus. International Journal of Molecular Sciences. 2022; 23(6):3071. https://doi.org/10.3390/ijms23063071
Chicago/Turabian StyleQiao, Kun, Chunchun Wang, Luqiang Huang, Huimin Feng, Bei Chen, Min Xu, Yongchang Su, Shuji Liu, Nan Pan, Jie Su, and et al. 2022. "Molecular Characterization of a New Tetrodotoxin-Binding Protein, Peroxiredoxin-1, from Takifugu bimaculatus" International Journal of Molecular Sciences 23, no. 6: 3071. https://doi.org/10.3390/ijms23063071
APA StyleQiao, K., Wang, C., Huang, L., Feng, H., Chen, B., Xu, M., Su, Y., Liu, S., Pan, N., Su, J., & Liu, Z. (2022). Molecular Characterization of a New Tetrodotoxin-Binding Protein, Peroxiredoxin-1, from Takifugu bimaculatus. International Journal of Molecular Sciences, 23(6), 3071. https://doi.org/10.3390/ijms23063071

