Liposomal Formulation of a PLA2-Sensitive Phospholipid–Allocolchicinoid Conjugate: Stability and Activity Studies In Vitro
Abstract
:1. Introduction
2. Results and Discussion
2.1. aC-PC Liposome Composition
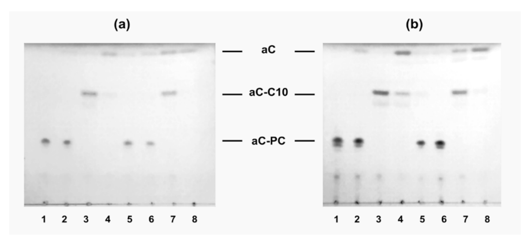
2.2. aC-PC Liposome Stability in Plasma
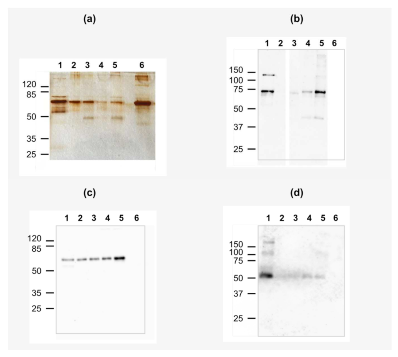
2.3. Characteristics of the Protein Corona of aC-PC Liposomes
2.4. Tubulin Polymerization in the Presence of aC-PC Liposomes
2.5. Cytotoxicity Assessment
3. Conclusions
4. Material and Methods
4.1. Reagents and Equipment
4.2. Liposomes
Dynamic Laser Light Scattering
4.3. Stability of aC-PC Liposomes in the Presence of Human Blood Plasma
4.3.1. Calcein Release
4.3.2. Förster Resonance Energy Transfer (FRET) Assay
4.4. Characteristics of the Protein Corona of aC-PC Liposomes
4.4.1. Determination of the Protein Binding (PB) Values
4.4.2. Identification of Common Opsonins in the Protein Corona
4.5. Polymerization of Tubulin in the Presence of the aC-PC Liposomes
4.5.1. Tubulin Assay
4.5.2. Enzymatic Hydrolysis of the Phospholipid Prodrug
4.6. Cytotoxic Activity of the aC-PC Liposomes
Author Contributions
Funding
Institutional Review Board Statement
Informed Consent Statement
Conflicts of Interest
References
- Negi, A.S.; Gautam, Y.; Alam, S.; Chanda, D.; Luqman, S.; Sarkar, J.; Khan, F.; Konwar, R. Bioorganic & Medicinal Chemistry Natural Antitubulin Agents : Importance of 3, 4, 5-Trimethoxyphenyl Fragment. Bioorg. Med. Chem. 2015, 23, 373–389. [Google Scholar] [CrossRef] [PubMed]
- Gracheva, I.A.; Shchegravina, E.S.; Schmalz, H.G.; Beletskaya, I.P.; Fedorov, A.Y. Colchicine Alkaloids and Synthetic Analogues: Current Progress and Perspectives. J. Med. Chem. 2020, 63, 10618–10651. [Google Scholar] [CrossRef]
- Leung, Y.Y.; Yao Hui, L.L.; Kraus, V.B. Colchicine-Update on Mechanisms of Action and Therapeutic Uses. Semin. Arthritis Rheum. 2015, 45, 341–350. [Google Scholar] [CrossRef] [PubMed] [Green Version]
- Andreis, A.; Imazio, M.; Casula, M.; Avondo, S.; De Ferrari, G.M. Colchicine Efficacy and Safety for the Treatment of Cardiovascular Diseases. Intern. Emerg. Med. 2021. [Google Scholar] [CrossRef]
- Lems, W.; Boers, M.; Van Vollenhoven, R.F.; Nurmohamed, M. Antirheumatic Drugs for Cardiovascular Disease Prevention: The Case for Colchicine. RMD Open 2021, 7, 2020–2022. [Google Scholar] [CrossRef] [PubMed]
- Siak, J.; Flint, N.; Shmueli, H.G.; Siegel, R.J.; Rader, F. The Use of Colchicine in Cardiovascular Diseases: A Systematic Review. Am. J. Med. 2021, 134, 735–744.e1. [Google Scholar] [CrossRef] [PubMed]
- Khani, E.; Khiali, S.; Entezari-Maleki, T. Potential COVID-19 Therapeutic Agents and Vaccines: An Evidence-Based Review. J. Clin. Pharmacol. 2021, 61, 429–460. [Google Scholar] [CrossRef] [PubMed]
- Atzeni, F.; Masala, I.F.; Rodríguez-Carrio, J.; Ríos-Garcés, R.; Gerratana, E.; La Corte, L.; Giallanza, M.; Nucera, V.; Riva, A.; Espinosa, G.; et al. The Rheumatology Drugs for COVID-19 Management: Which and When? J. Clin. Med. 2021, 10, 783. [Google Scholar] [CrossRef]
- Quek, E.; Tahir, H.; Kumar, P.; Hastings, R.; Jha, R. Treatment of COVID-19: A Review of Current and Prospective Pharmacotherapies. Br. J. Hosp. Med. 2021, 82, 50. [Google Scholar] [CrossRef] [PubMed]
- Ghawanmeh, A.A.; Feng, K.; Sarkar, S.M.; Abu, M.; Khalid, R.M. Colchicine Prodrugs and Codrugs: Chemistry and Bioactivities. Eur. J. Med. Chem. 2018, 144, 229–242. [Google Scholar] [CrossRef]
- Shchegravina, E.S.; Maleev, A.A.; Ignatov, S.K.; Gracheva, I.A.; Stein, A.; Schmalz, H.G.; Gavryushin, A.E.; Zubareva, A.A.; Svirshchevskaya, E.V.; Fedorov, A.Y. Synthesis and Biological Evaluation of Novel Non-Racemic Indole-Containing Allocolchicinoids. Eur. J. Med. Chem. 2017, 141, 51–60. [Google Scholar] [CrossRef] [PubMed]
- Voitovich, Y.V.; Shegravina, E.S.; Sitnikov, N.S.; Faerman, V.I.; Fokin, V.V.; Schmalz, H.G.; Combes, S.; Allegro, D.; Barbier, P.; Beletskaya, I.P.; et al. Synthesis and Biological Evaluation of Furanoallocolchicinoids. J. Med. Chem. 2015, 58, 692–704. [Google Scholar] [CrossRef] [PubMed]
- Shchegravina, E.S.; Svirshchevskaya, E.V.; Combes, S.; Allegro, D.; Barbier, P.; Gigant, B.; Varela, P.F.; Gavryushin, A.E.; Kobanova, D.A.; Shchekotikhin, A.E.; et al. Discovery of Dihydrofuranoallocolchicinoids—Highly Potent Antimitotic Agents with Low Acute Toxicity. Eur. J. Med. Chem. 2020, 207, 112724. [Google Scholar] [CrossRef] [PubMed]
- Sitnikov, N.S.; Kokisheva, A.S.; Fukin, G.K.; Neudörfl, J.M.; Sutorius, H.; Prokop, A.; Fokin, V.V.; Schmalz, H.G.; Fedorov, A.Y. Synthesis of Indole-Derived Allocolchicine Congeners through Pd-Catalyzed Intramolecular C-H Arylation Reaction. Eur. J. Org. Chem. 2014, 2014, 6481–6492. [Google Scholar] [CrossRef]
- Barenholz, Y. Doxil®—The First FDA-Approved Nano-Drug: Lessons Learned. J. Control. Release 2012, 160, 117–134. [Google Scholar] [CrossRef]
- Shchegravina, E.S.; Tretiakova, D.S.; Alekseeva, A.S.; Galimzyanov, T.R.; Utkin, Y.N.; Ermakov, Y.A.; Svirshchevskaya, E.V.; Negrebetsky, V.V.; Karpechenko, N.Y.; Chernikov, V.P.; et al. Phospholipidic Colchicinoids as Promising Prodrugs Incorporated into Enzyme-Responsive Liposomes: Chemical, Biophysical, and Enzymological Aspects. Bioconjug. Chem. 2019, 30, 1098–1113. [Google Scholar] [CrossRef]
- Pyrkova, D.; Tarasova, N.; Pyrkov, T.; Krylov, N.; Efremov, R. Atomic-Scale Lateral Heterogeneity and Dynamics of Two-Component Lipid Bilayers Composed of Saturated and Unsaturated Phosphatidylcholines. Soft Matter 2011, 7, 2569–2579. [Google Scholar] [CrossRef]
- Onishchenko, N.R.; Tretiakova, D.S.; Vodovozova, E.L. Spotlight on the Protein Corona of Liposomes. Acta Biomater. 2021, 134, 57–78. [Google Scholar] [CrossRef]
- Foteini, P.; Pippa, N.; Naziris, N.; Demetzos, C.; Natassa, P.; Nikolaos, N.; Costas, D.; Pippa, N.; Naziris, N.; Demetzos, C. Physicochemical Study of the Protein–Liposome Interactions: Influence of Liposome Composition and Concentration on Protein Binding. J. Liposome Res. 2019, 29, 313–321. [Google Scholar] [CrossRef]
- Allen, T.M.; Chonn, A. Large Unilamellar Liposomes with Low Uptake into the Reticuloendothelial System. FEBS Lett. 1987, 223, 42–46. [Google Scholar] [CrossRef] [Green Version]
- Tretiakova, D.; Le-Deigen, I.; Onishchenko, N.; Kuntsche, J.; Kudryashova, E.; Vodovozova, E. Phosphatidylinositol Stabilizes Fluid-Phase Liposomes Loaded with a Melphalan Lipophilic Prodrug. Pharmaceutics 2021, 13, 473. [Google Scholar] [CrossRef]
- Tretiakova, D.; Onishchenko, N.; Boldyrev, I.; Mikhalyov, I.; Tuzikov, A.; Bovin, N.; Evtushenko, E.; Vodovozova, E. Influence of Stabilizing Components on the Integrity of Antitumor Liposomes Loaded with Lipophilic Prodrug in the Bilayer. Colloids Surf. B Biointerfaces 2018, 166, 45–53. [Google Scholar] [CrossRef] [PubMed]
- Charrois, G.J.R.; Allen, T.M. Drug Release Rate Influences the Pharmacokinetics, Biodistribution, Therapeutic Activity, and Toxicity of Pegylated Liposomal Doxorubicin Formulations in Murine Breast Cancer. Biochim. Biophys. Acta—Biomembr. 2004, 1663, 167–177. [Google Scholar] [CrossRef]
- Semple, S.; Chonn, A.; Cullis, P.R. Interactions of Liposomes and Lipid-Based Carrier Systems with Blood Proteins: Relation to Clearance Behaviour In Vivo. Adv. Drug Deliv. Rev. 1998, 32, 3–17. [Google Scholar] [CrossRef]
- Tretiakova, D.S.; Alekseeva, A.S.; Galimzyanov, T.R.; Boldyrev, A.M. Lateral Stress Profile and Fluorescent Lipid Probes. FRET Pair of Probes That Introduces Minimal Distortions into Lipid Packing. Biochim. Biophys. Acta—Biomembr. 2018, 1860, 2337–2347. [Google Scholar] [CrossRef] [PubMed]
- Simonsen, J.B.; Münter, R. Pay Attention to Biological Nanoparticles When Studying the Protein Corona on Nanomedicines. Angew. Chem.—Int. Ed. 2020, 59, 12584–12588. [Google Scholar] [CrossRef] [PubMed]
- Maeda, H. The 35th Anniversary of the Discovery of EPR Effect: A New Wave of Nanomedicines for Tumor-Targeted Drug Delivery-Personal Remarks and Future Prospects. J. Pers. Med. 2021, 11, 229. [Google Scholar] [CrossRef] [PubMed]
- Janssen, B.J.C.; Christodoulidou, A.; McCarthy, A.; Lambris, J.D.; Gros, P. Structure of C3b Reveals Conformational Changes That Underlie Complement Activity. Nature 2006, 444, 213–216. [Google Scholar] [CrossRef] [PubMed] [Green Version]
- Blandino, R.; Baumgarth, N. Secreted IgM: New Tricks for an Old Molecule. J. Leukoc. Biol. 2019, 106, 1021–1034. [Google Scholar] [CrossRef]
- Tretiakova, D.C.; Khaidukov, S.V.; Babayants, A.A.; Frolova, I.S.; Shcheglovitova, O.N.; Onishchenko, N.R.; Vodovozova, E.L. Lipophilic Prodrug of Methotrexate in the Membrane of Liposomes Promotes Their Uptake by Human Blood Phagocytes. Acta Nat. 2020, 12, 99–109. [Google Scholar] [CrossRef]
- Betker, J.L.; Jones, D.; Childs, C.K.; Helm, K.M.; Terrel, K.; Nagel, M.A.; Anchordoquy, T.J. Nanoparticle Uptake by Circulating Leukocytes: A Major Barrier to Tumor Delivery. J. Control. Release 2018, 286, 85–93. [Google Scholar] [CrossRef] [PubMed]
- Kuznetsova, N.R.; Svirshchevskaya, E.V.; Sitnikov, N.S.; Abodo, L.; Sutorius, H.; Zapke, J.; Velder, J.; Thomopoulou, P.; Oschkinat, H.; Prokop, A.; et al. Lipophilic Prodrugs of a Triazole-Containing Colchicine Analogue in Liposomes: Biological Effects on Human Tumor Cells. Russ. J. Bioorg. Chem. 2013, 39, 543–552. [Google Scholar] [CrossRef]
- Zottel, A.; Jovčevska, I.; Šamec, N.; Komel, R. Cytoskeletal Proteins as Glioblastoma Biomarkers and Targets for Therapy: A Systematic Review. Crit. Rev. Oncol. Hematol. 2021, 160, 103283. [Google Scholar] [CrossRef]
- Wu, C.; Su, J.; Wang, X.; Wang, J.; Xiao, K.; Li, Y.; Xiao, Q.; Ling, M.; Xiao, Y.; Qin, C.; et al. Overexpression of the Phospholipase A2 Group V Gene in Glioma Tumors Is Associated with Poor Patient Prognosis. Cancer Manag. Res. 2019, 11, 3139–3152. [Google Scholar] [CrossRef] [Green Version]
- Sperry, J.; Condro, M.C.; Guo, L.; Braas, D.; Vanderveer-Harris, N.; Kim, K.K.O.; Pope, W.B.; Divakaruni, A.S.; Lai, A.; Christofk, H.; et al. Glioblastoma Utilizes Fatty Acids and Ketone Bodies for Growth Allowing Progression during Ketogenic Diet Therapy. iScience 2020, 23, 101453. [Google Scholar] [CrossRef] [PubMed]
- Kuznetsova, N.; Kandyba, A.; Vostrov, I.; Kadykov, V.; Gaenko, G.; Molotkovsky, J.; Vodovozova, E. Liposomes Loaded with Lipophilic Prodrugs of Methotrexate and Melphalan as Convenient Drug Delivery Vehicles. J. Drug Deliv. Sci. Technol. 2009, 19, 51–59. [Google Scholar] [CrossRef]
- Yi, K.; Zhan, Q.; Wang, Q.; Tan, Y.; Fang, C.; Wang, Y.; Zhou, J.; Yang, C.; Li, Y.; Kang, C. PTRF/Cavin-1 Remodels Phospholipid Metabolism to Promote Tumor Proliferation and Suppress Immune Responses in Glioblastoma by Stabilizing CPLA2. Neuro Oncol. 2021, 23, 387–399. [Google Scholar] [CrossRef]
- Allen, M.; Bjerke, M.; Edlund, H.; Nelander, S.; Westermark, B. Origin of the U87MG Glioma Cell Line: Good News and Bad News. Sci. Transl. Med. 2016, 8, 354re3. [Google Scholar] [CrossRef]
- Boldyrev, I.A.; Zhai, X.; Momsen, M.M.; Brockman, H.L.; Brown, R.E.; Molotkovsky, J.G. New BODIPY Lipid Probes for Fluorescence Studies of Membranes. J. Lipid Res. 2007, 48, 1518–1532. [Google Scholar] [CrossRef] [Green Version]
- Alekseeva, A.S.; Tretiakova, D.S.; Melnikova, D.N.; Boldyrev, I.A. Novel Fluorescent Membrane Probe 2,3;5,6 Bis(Cyclohexyl) BODIPY Labeled Phosphatidylcholine. Russ. J. Bioorg. Chem. 2016, 42, 305–309. [Google Scholar] [CrossRef]
- Markwell, M.A.; Haas, S.M.; Bieber, L.L.; Tolbert, N.E. A Modification of the Lowry Procedure to Simplify Protein Determination in Membrane and Lipoprotein Samples. Anal. Biochem. 1978, 87, 206–210. [Google Scholar] [CrossRef]
- Dos Santos, N.; Allen, C.; Doppen, A.M.; Anantha, M.; Cox, K.A.K.; Gallagher, R.C.; Karlsson, G.; Edwards, K.; Kenner, G.; Samuels, L.; et al. Influence of Poly(Ethylene Glycol) Grafting Density and Polymer Length on Liposomes: Relating Plasma Circulation Lifetimes to Protein Binding. Biochim. Biophys. Acta—Biomembr. 2007, 1768, 1367–1377. [Google Scholar] [CrossRef] [PubMed] [Green Version]
- Vaskovsky, V.E.; Kostetsky, E.Y.; Vasendin, I.M. A Universal Reagent for Phospholipid Analysis. J. Chromatogr. A 1975, 114, 129–141. [Google Scholar] [CrossRef]







| Composition | Sample ID | ZP, mV * | Day 1 | Day 7 | Day 21 | |||
|---|---|---|---|---|---|---|---|---|
| DH, nm | PDI | DH, nm | PDI | DH, nm | PDI | |||
| ePC–POPG 80:20 * | L | –59.2 ± 1.4 | 111.1 ± 34.1 | 0.094 | 112.9 ± 27.1 | 0.057 | 107.3 ± 29.2 | 0.074 |
| ePC–Chol–POPG 55:25:20 * | L-Chol | –60.1 ± 0.6 | ND | ND | ND | ND | ND | ND |
| ePC–POPG–aC-PC 70:20:10 * | L-aC-PC10 | –49.5 ± 0.8 | 121.1 ± 34.0 | 0.079 | 159.3 ± 70.6 | 0.196 | 147.7 ± 52.7 | 0.127 |
| ePC–POPG–aC-PC 55:20:25 * | L-aC-PC25 | –50.2 ± 0.8 | 109.9 ± 22.6 | 0.042 | 111.5 ± 31.11 | 0.078 | 126.9 ± 28.4 | 0.050 |
| ePC–Chol–POPG–aC-PC 45:25:20:10 ** | L-Chol-aC-PC10 | –54.9 ± 0.5 | 97.4 ± 21.3 | 0.055 | 105.7 ± 28.1 | 0.071 | ND | ND |
Publisher’s Note: MDPI stays neutral with regard to jurisdictional claims in published maps and institutional affiliations. |
© 2022 by the authors. Licensee MDPI, Basel, Switzerland. This article is an open access article distributed under the terms and conditions of the Creative Commons Attribution (CC BY) license (https://creativecommons.org/licenses/by/4.0/).
Share and Cite
Kobanenko, M.K.; Tretiakova, D.S.; Shchegravina, E.S.; Antipova, N.V.; Boldyrev, I.A.; Fedorov, A.Y.; Vodovozova, E.L.; Onishchenko, N.R. Liposomal Formulation of a PLA2-Sensitive Phospholipid–Allocolchicinoid Conjugate: Stability and Activity Studies In Vitro. Int. J. Mol. Sci. 2022, 23, 1034. https://doi.org/10.3390/ijms23031034
Kobanenko MK, Tretiakova DS, Shchegravina ES, Antipova NV, Boldyrev IA, Fedorov AY, Vodovozova EL, Onishchenko NR. Liposomal Formulation of a PLA2-Sensitive Phospholipid–Allocolchicinoid Conjugate: Stability and Activity Studies In Vitro. International Journal of Molecular Sciences. 2022; 23(3):1034. https://doi.org/10.3390/ijms23031034
Chicago/Turabian StyleKobanenko, Maria K., Daria S. Tretiakova, Ekaterina S. Shchegravina, Nadezhda V. Antipova, Ivan A. Boldyrev, Alexey Yu. Fedorov, Elena L. Vodovozova, and Natalia R. Onishchenko. 2022. "Liposomal Formulation of a PLA2-Sensitive Phospholipid–Allocolchicinoid Conjugate: Stability and Activity Studies In Vitro" International Journal of Molecular Sciences 23, no. 3: 1034. https://doi.org/10.3390/ijms23031034
APA StyleKobanenko, M. K., Tretiakova, D. S., Shchegravina, E. S., Antipova, N. V., Boldyrev, I. A., Fedorov, A. Y., Vodovozova, E. L., & Onishchenko, N. R. (2022). Liposomal Formulation of a PLA2-Sensitive Phospholipid–Allocolchicinoid Conjugate: Stability and Activity Studies In Vitro. International Journal of Molecular Sciences, 23(3), 1034. https://doi.org/10.3390/ijms23031034

