Mitochondrial Features and Expressions of MFN2 and DRP1 during Spermiogenesis in Phascolosoma esculenta
Abstract
1. Introduction
2. Results
2.1. Mitochondrial Ultrastructure during Spermiogenesis
2.2. Expression Dynamics of MFN2 and DRP1 during Spermiogenesis
2.2.1. Full-Length cDNA of Pe-mfn2 and Pe-drp1 and Characteristics of Their Protein Structures
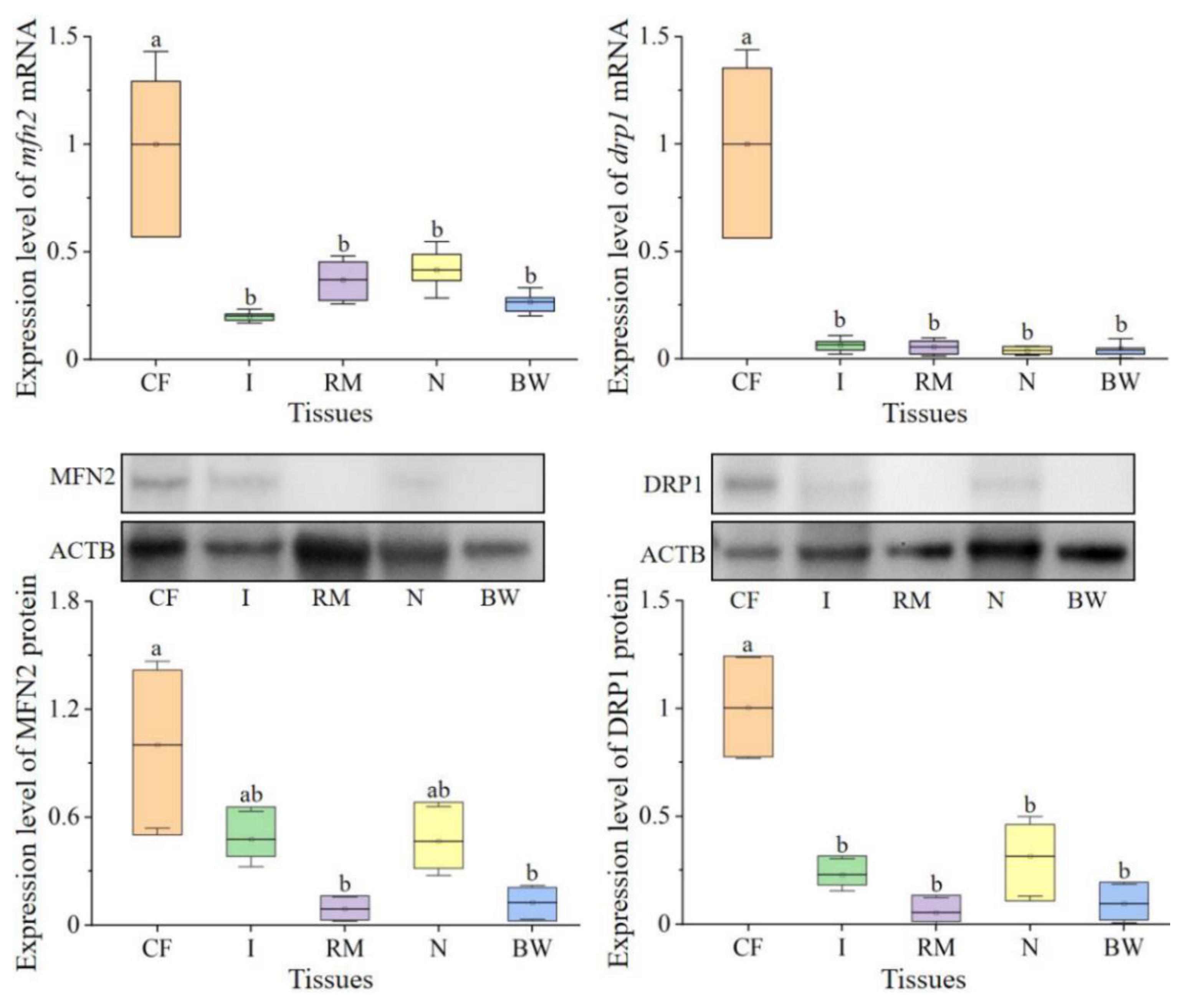
2.2.2. High Expression of MFN2 and DRP1 in Coelomic Fluid
2.2.3. High Expression of MFN2 and DRP1 during Breeding Season
2.2.4. High Expression of MFN2 and DRP1 in Coelomic Fluid Spermatid
2.2.5. Localization of MFN2 and DRP1 in Early Spermatids
2.2.6. Consistent Expression of MFN2 and DRP1 during Spermiogenesis
3. Discussion
3.1. Mitochondrial Distribution during Spermiogenesis
3.2. Morphological Evidence for the Role of Mitochondrial Dynamics during Spermatogenesis
3.3. Molecular Biology Evidence for a Role of Mitochondrial Dynamics during Spermatogenesis
4. Materials and Methods
4.1. Animals and Tissues
4.2. Transmission Electron Microscope
4.3. Immunofluorescence
4.4. Full-Length cDNA Cloning of mfn2 and drp1
4.4.1. RNA Extraction and Reverse Transcription
4.4.2. Full-Length cDNA Cloning
4.5. Analyses of Protein Structures and Properties
4.6. Quantitative Analysis of mfn2 and drp1 mRNA Expression
4.7. Western Blotting
4.8. Statistical Analysis
5. Conclusions
Supplementary Materials
Author Contributions
Funding
Institutional Review Board Statement
Informed Consent Statement
Data Availability Statement
Acknowledgments
Conflicts of Interest
References
- McBride, H.M.; Neuspiel, M.; Wasiak, S. Mitochondria: More than just a powerhouse. Curr. Biol. 2006, 16, R551–R560. [Google Scholar] [CrossRef] [PubMed]
- Dasgupta, S. Mitochondrion: I am more than a fuel server. Ann. Transl. Med. 2019, 7, 594. [Google Scholar] [CrossRef] [PubMed]
- Zhai, Z.H.; Wang, X.Z.; Ding, M.X.; Sodmergen; Tong, X.J.; Zou, F.D.; Zhang, C.M.; Chen, D.Y.; Chen, J.G.; Jiao, R.J. Cytobiology, 4th ed.; Higher Education Press: Beijing, China, 2011. [Google Scholar]
- Obashi, K.; Okabe, S. Regulation of mitochondrial dynamics and distribution by synapse position and neuronal activity in the axon. Eur. J. Neurosci. 2013, 38, 2350–2363. [Google Scholar] [CrossRef] [PubMed]
- Wai, T.; Langer, T. Mitochondrial dynamics and metabolic regulation. Trends Endocrinol. Metab. 2016, 27, 105–117. [Google Scholar] [CrossRef]
- Huang, P.; Galloway, C.A.; Yoon, Y. Control of mitochondrial morphology through differential interactions of mitochondrial fusion and fission proteins. PLoS ONE 2011, 6, e20655. [Google Scholar] [CrossRef]
- Chan, D.C. Mitochondrial dynamics and its involvement in disease. Annu. Rev. Pathol. 2020, 15, 235–259. [Google Scholar] [CrossRef]
- Chen, H.; Detmer, S.A.; Ewald, A.J.; Griffin, E.E.; Fraser, S.E.; Chan, D.C. Mitofusins Mfn1 and Mfn2 coordinately regulate mitochondrial fusion and are essential for embryonic development. J. Biol. Chem. 2003, 160, 189–200. [Google Scholar] [CrossRef]
- Song, Z.; Ghochani, M.; McCaffery, J.M.; Frey, T.G.; Chan, D.C. Mitofusins and OPA1 mediate sequential steps in mitochondrial membrane fusion. Mol. Biol. Cell 2009, 20, 3525–3532. [Google Scholar] [CrossRef]
- Kageyama, Y.; Zhang, Z.; Roda, R.; Fukaya, M.; Wakabayashi, J.; Wakabayashi, N.; Kensler, T.W.; Reddy, P.H.; Iijima, M.; Sesaki, H. Mitochondrial division ensures the survival of postmitotic neurons by suppressing oxidative damage. J. Cell Biol. 2012, 197, 535–551. [Google Scholar] [CrossRef]
- De Kretser, D.M.; Loveland, K.L.; Meinhardt, A.; Simorangkir, D.; Wreford, N. Spermatogenesis. Hum. Reprod. 1998, 13 (Suppl. 1), 1–8. [Google Scholar] [CrossRef]
- Ramalho-Santos, J.; Varum, S.; Amaral, S.; Mota, P.C.; Sousa, A.P.; Amaral, A. Mitochondrial functionality in reproduction: From gonads and gametes to embryos and embryonic stem cells. Hum. Reprod. Update 2009, 15, 553–572. [Google Scholar] [CrossRef] [PubMed]
- Nakada, K.; Sato, A.; Yoshida, K.; Morita, T.; Tanaka, H.; Inoue, S.; Yonekawa, H.; Hayashi, J. Mitochondria-related male infertility. Proc. Natl. Acad. Sci. USA 2006, 103, 15148–15153. [Google Scholar] [CrossRef] [PubMed]
- Rajender, S.; Rahul, P.; Mahdi, A.A. Mitochondria, spermatogenesis and male infertility. Mitochondrion 2010, 10, 419–428. [Google Scholar] [CrossRef] [PubMed]
- Baklouti-Gargouri, S.; Ghorbel, M.; Ben Mahmoud, A.; Mkaouar-Rebai, E.; Cherif, M.; Chakroun, N.; Sellami, A.; Fakhfakh, F.; Ammar-Keskes, L. Identification of a novel m.9588G > A missense mutation in the mitochondrial COIII gene in asthenozoospermic Tunisian infertile men. J. Assist. Reprod. Genet. 2014, 31, 595–600. [Google Scholar] [CrossRef]
- Jiang, M.; Kauppila, T.E.S.; Motori, E.; Li, X.; Atanassov, I.; Folz-Donahue, K.; Bonekamp, N.A.; Albarran-Gutierrez, S.; Stewart, J.B.; Larsson, N.G. Increased total mtDNA copy number cures male infertility despite unaltered mtDNA mutation load. Cell Metab. 2017, 26, 429–436.e4. [Google Scholar] [CrossRef]
- De Martino, C.; Floridi, A.; Marcante, M.L.; Malorni, W.; Scorza Barcellona, P.; Bellocci, M.; Silvestrini, B. Morphological, histochemical and biochemical studies on germ cell mitochondria of normal rats. Cell Tissue Res. 1979, 196, 1–22. [Google Scholar] [CrossRef]
- Fabian, L.; Brill, J.A. Drosophila spermiogenesis: Big things come from little packages. Spermatogenesis 2012, 2, 197–212. [Google Scholar] [CrossRef]
- Varuzhanyan, G.; Rojansky, R.; Sweredoski, M.J.; Graham, R.L.J.; Hess, S.; Ladinsky, M.S.; Chan, D.C. Mitochondrial fusion is required for spermatogonial differentiation and meiosis. Elife 2019, 8, e51601. [Google Scholar] [CrossRef]
- Aldridge, A.C.; Benson, L.P.; Siegenthaler, M.M.; Whigham, B.T.; Stowers, R.S.; Hales, K.G. Roles for Drp1, a dynamin-related protein, and milton, a kinesin-associated protein, in mitochondrial segregation, unfurling and elongation during Drosophila spermatogenesis. Fly 2007, 1, 38–46. [Google Scholar] [CrossRef]
- Li, F.L. Studies on the genus Phascolosoma (Sipuncula) of the China coasts. J. Ocean Univ. Qingdao 1989, 19, 78–90. [Google Scholar]
- Zhu, J.Q.; Wang, W.; Xu, S.J.; Zeng, H.X. Spermatogenesis and sperm morphology of Phascolosoma esculenta. Acta Zool. Sin. 2007, 53, 733–741. [Google Scholar]
- Gao, X.; Du, C.; Zheng, X.; Zhu, J.; Jin, S. Process of cytoplasm elimination during spermiogenesis in Octopus tankahkeei: Polarized development of the spermatid and discarding of the residual body. J. Morphol. 2021, 282, 500–510. [Google Scholar] [CrossRef] [PubMed]
- Hales, K.G.; Fuller, M.T. Developmentally regulated mitochondrial fusion mediated by a conserved, novel, predicted GTPase. Cell 1997, 90, 121–129. [Google Scholar] [CrossRef] [PubMed]
- Tang, D.; Gao, X.; Lin, C.; Feng, B.; Hou, C.; Zhu, J.; Wang, J. Cytological features of spermatogenesis in Opsariichthys bidens (Teleostei, Cyprinidae). Anim. Reprod. Sci. 2020, 222, 106608. [Google Scholar] [CrossRef] [PubMed]
- Haseeb, A.; Chen, H.; Huang, Y.; Yang, P.; Sun, X.; Iqbal, A.; Ahmed, N.; Wang, T.; Samad Gandahi, N.; Bai, X.; et al. Remodelling of mitochondria during spermiogenesis of Chinese soft-shelled turtle (Pelodiscus sinensis). Reprod. Fertil. Dev. 2018, 30, 1514–1521. [Google Scholar] [CrossRef]
- Sun, X.; Yang, W.X. Mitochondria: Transportation, distribution and function during spermiogenesis. Adv. Biosci. Biotechnol. 2010, 1, 97–109. [Google Scholar] [CrossRef]
- Shi, L.; Xun, W.; Zhou, H.; Hou, G.; Yue, W.; Zhang, C.; Ren, Y.; Yang, R. Ultrastructure of germ cells, Sertoli cells and mitochondria during spermatogenesis in mature testis of the Chinese Taihang black goats (Capra hircus). Micron 2013, 50, 14–19. [Google Scholar] [CrossRef]
- Gao, X.; Du, C.; Zheng, X.; Hou, C.; Wang, Y.; Xu, S.; Yang, Y.; Zhu, J.; Jin, S. Characterisation, expression and possible functions of prohibitin during spermatogenesis in the silver pomfret Pampus argenteus. Reprod. Fertil. Dev. 2020, 32, 1084–1098. [Google Scholar] [CrossRef]
- Varuzhanyan, G.; Chan, D.C. Mitochondrial dynamics during spermatogenesis. J. Cell Sci. 2020, 133, jcs235937. [Google Scholar] [CrossRef]
- Rato, L.; Alves, M.G.; Socorro, S.; Duarte, A.I.; Cavaco, J.E.; Oliveira, P.F. Metabolic regulation is important for spermatogenesis. Nat. Rev. Urol. 2012, 9, 330–338. [Google Scholar] [CrossRef]
- Bajpai, M.; Gupta, G.; Setty, B.S. Changes in carbohydrate metabolism of testicular germ cells during meiosis in the rat. Eur. J. Endocrinol. 1998, 138, 322–327. [Google Scholar] [CrossRef] [PubMed]
- Boussouar, F.; Benahmed, M. Lactate and energy metabolism in male germ cells. Trends Endocrinol. Metab. 2004, 15, 345–350. [Google Scholar] [CrossRef] [PubMed]
- Chen, H.; Chomyn, A.; Chan, D.C. Disruption of fusion results in mitochondrial heterogeneity and dysfunction. J. Biol. Chem. 2005, 280, 26185–26192. [Google Scholar] [CrossRef] [PubMed]
- Boutant, M.; Kulkarni, S.S.; Joffraud, M.; Ratajczak, J.; Valera-Alberni, M.; Combe, R.; Zorzano, A.; Cantó, C. Mfn2 is critical for brown adipose tissue thermogenic function. EMBO J. 2017, 36, 1543–1558. [Google Scholar] [CrossRef]
- Sebastián, D.; Hernández-Alvarez, M.I.; Segalés, J.; Sorianello, E.; Muñoz, J.P.; Sala, D.; Waget, A.; Liesa, M.; Paz, J.C.; Gopalacharyulu, P.; et al. Mitofusin 2 (Mfn2) links mitochondrial and endoplasmic reticulum function with insulin signaling and is essential for normal glucose homeostasis. Proc. Natl. Acad. Sci. USA 2012, 109, 5523–5528. [Google Scholar] [CrossRef]
- Labrousse, A.M.; Zappaterra, M.D.; Rube, D.A.; van der Bliek, A.M. C. elegans dynamin-related protein DRP-1 controls severing of the mitochondrial outer membrane. Mol. Cell 1999, 4, 815–826. [Google Scholar] [CrossRef]
- Wang, L.; Ishihara, T.; Ibayashi, Y.; Tatsushima, K.; Setoyama, D.; Hanada, Y.; Takeichi, Y.; Sakamoto, S.; Yokota, S.; Mihara, K.; et al. Disruption of mitochondrial fission in the liver protects mice from diet-induced obesity and metabolic deterioration. Diabetologia 2015, 58, 2371–2380. [Google Scholar] [CrossRef]
- Honda, S.; Hirose, S. Stage-specific enhanced expression of mitochondrial fusion and fission factors during spermatogenesis in rat testis. Biochem. Biophys. Res. Commun. 2003, 311, 424–432. [Google Scholar] [CrossRef]
- Zhang, J.; Wang, Q.; Wang, M.; Jiang, M.; Wang, Y.; Sun, Y.; Wang, J.; Xie, T.; Tang, C.; Tang, N.; et al. GASZ and mitofusin-mediated mitochondrial functions are crucial for spermatogenesis. EMBO Rep. 2016, 17, 220–234. [Google Scholar] [CrossRef]
- Watanabe, T.; Chuma, S.; Yamamoto, Y.; Kuramochi-Miyagawa, S.; Totoki, Y.; Toyoda, A.; Hoki, Y.; Fujiyama, A.; Shibata, T.; Sado, T.; et al. MITOPLD is a mitochondrial protein essential for nuage formation and piRNA biogenesis in the mouse germline. Dev. Cell 2011, 20, 364–375. [Google Scholar] [CrossRef]
- Huang, H.; Gao, Q.; Peng, X.; Choi, S.Y.; Sarma, K.; Ren, H.; Morris, A.J.; Frohman, M.A. piRNA-associated germline nuage formation and spermatogenesis require MitoPLD profusogenic mitochondrial-surface lipid signaling. Dev. Cell 2011, 20, 376–387. [Google Scholar] [CrossRef]
- Sênos Demarco, R.; Jones, D.L. Mitochondrial fission regulates germ cell differentiation by suppressing ROS-mediated activation of Epidermal Growth Factor Signaling in the Drosophila larval testis. Sci. Rep. 2019, 9, 19695. [Google Scholar] [CrossRef]
- Varuzhanyan, G.; Chen, H.; Rojansky, R.; Ladinsky, M.S.; McCaffery, J.M.; Chan, D.C. Mitochondrial fission factor (Mff) is required for organization of the mitochondrial sheath in spermatids. Biochim. Biophys. Acta Gen. Subj. 2021, 1865, 129845. [Google Scholar] [CrossRef] [PubMed]
- Varuzhanyan, G.; Ladinsky, M.S.; Yamashita, S.I.; Abe, M.; Sakimura, K.; Kanki, T.; Chan, D.C. Fis1 ablation in the male germline disrupts mitochondrial morphology and mitophagy, and arrests spermatid maturation. Development 2021, 148, dev199686. [Google Scholar] [CrossRef] [PubMed]
- Gao, X.M.; Mu, D.L.; Hou, C.C.; Zhu, J.Q.; Jin, S.; Wang, C.L. Expression and putative functions of KIFC1 for nuclear reshaping and midpiece formation during spermiogenesis of Phascolosoma esculenta. Gene 2019, 683, 169–183. [Google Scholar] [CrossRef] [PubMed]
- Zhang, D.D.; Gao, X.M.; Zhao, Y.Q.; Hou, C.C.; Zhu, J.Q. The C-terminal kinesin motor KIFC1 may participate in nuclear reshaping and flagellum formation during spermiogenesis of Larimichthys crocea. Fish Physiol. Biochem. 2017, 43, 1351–1371. [Google Scholar] [CrossRef] [PubMed]







| Publisher’s Note: MDPI stays neutral with regard to jurisdictional claims in published maps and institutional affiliations. | 
© 2022 by the authors. Licensee MDPI, Basel, Switzerland. This article is an open access article distributed under the terms and conditions of the Creative Commons Attribution (CC BY) license (https://creativecommons.org/licenses/by/4.0/).
Share and Cite
Gao, X.; Feng, B.; Tang, D.; Du, C.; Hou, C.; Jin, S.; Zhu, J. Mitochondrial Features and Expressions of MFN2 and DRP1 during Spermiogenesis in Phascolosoma esculenta. Int. J. Mol. Sci. 2022, 23, 15517. https://doi.org/10.3390/ijms232415517
Gao X, Feng B, Tang D, Du C, Hou C, Jin S, Zhu J. Mitochondrial Features and Expressions of MFN2 and DRP1 during Spermiogenesis in Phascolosoma esculenta. International Journal of Molecular Sciences. 2022; 23(24):15517. https://doi.org/10.3390/ijms232415517
Chicago/Turabian StyleGao, Xinming, Binbin Feng, Daojun Tang, Chen Du, Congcong Hou, Shan Jin, and Junquan Zhu. 2022. "Mitochondrial Features and Expressions of MFN2 and DRP1 during Spermiogenesis in Phascolosoma esculenta" International Journal of Molecular Sciences 23, no. 24: 15517. https://doi.org/10.3390/ijms232415517
APA StyleGao, X., Feng, B., Tang, D., Du, C., Hou, C., Jin, S., & Zhu, J. (2022). Mitochondrial Features and Expressions of MFN2 and DRP1 during Spermiogenesis in Phascolosoma esculenta. International Journal of Molecular Sciences, 23(24), 15517. https://doi.org/10.3390/ijms232415517
 
        

