Psoralen as a Photosensitizers for Photodynamic Therapy by Means of In Vitro Cherenkov Light
Abstract
1. Introduction
2. Material and Methods
2.1. Plasmid DNA and Cell Culture
2.1.1. Plasmid DNA
2.1.2. FaDu Cells
2.2. Psoralen and DMSO
2.3. Light and Radioactivity
2.4. Agarose Gel Electrophoresis, Colony Formation Assay and Cherenkov Light
2.4.1. Agarose Gel Electrophoresis
2.4.2. CL Verification
2.4.3. Colony Formation Assay
2.5. Statistics
3. Results
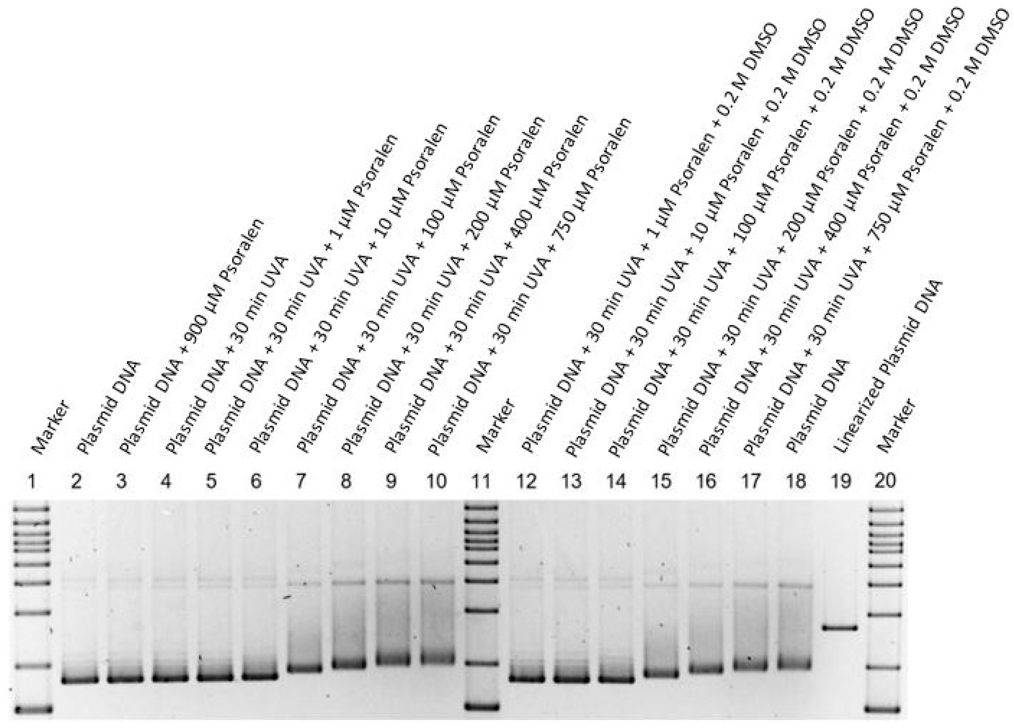
3.1. Plasmid DNA and Psoralen with UVA
3.2. Plasmid DNA and Psoralen with Re-188
3.3. Plasmid DNA and Psoralen with a Combination of UVA and Re-188
3.4. FaDu Cells with Psoralen and UVA
3.5. FaDu Cells with Psoralen and Re-188
4. Discussion
5. Conclusions and Outlook
Author Contributions
Funding
Institutional Review Board Statement
Informed Consent Statement
Data Availability Statement
Conflicts of Interest
Abbreviations
| Re-188 | Rhenium-188 | 
| SSB | Single strand break | 
| PDT | Photodynamic therapy | 
| CL | Cherenkov light | 
| Ga-68 | Gallium-68 | 
| Y-90 | Yttrium-90 | 
| DMSO | Dimethyl sulfoxide | 
| LET | Linear energy transfer | 
| SC | Supercoiled (conformation) | 
| OC | Open circular (conformation) | 
| L | Linear (conformation) | 
| SEM | Standard error of the mean | 
| SDpooled | Pooled standard deviation | 
| SF | Survival fraction | 
| PUVA therapy | UVA therapy with psoralen | 
| DSB | Double strand break | 
| ALA | Aminoevulinic acid | 
| F-18-FDG | Fluor-18-fluorodeoxyglucose | 
References
- Patrizi, A.; Raone, B.; Ravaioli, G.M. Management of atopic dermatitis: Safety and efficacy of phototherapy. Clin. Cosmet. Investig. Dermatol. 2015, 8, 511–520. [Google Scholar] [CrossRef] [PubMed]
 - Stern, R.S. Psoralen and ultraviolet a light therapy for psoriasis. N. Engl. J. Med. 2007, 357, 682–690. [Google Scholar] [CrossRef] [PubMed]
 - Zhang, P.; Wu, M.X. A clinical review of phototherapy for psoriasis. Lasers Med. Sci. 2018, 33, 173–180. [Google Scholar] [CrossRef] [PubMed]
 - Gill, R.K.; Mitchell, G.S.; Cherry, S.R. Computed Cerenkov luminescence yields for radionuclides used in biology and medicine. Phys. Med. Biol. 2015, 60, 4263–4280. [Google Scholar] [CrossRef]
 - Kotzerke, J.; Runge, R.; Gotze, P.; Wunderlich, G.; Enghardt, W.; Freudenberg, R. [Radio- and photosensitization of plasmid DNA by DNA binding ligand propidium iodide: Investigation of Auger electron induction and detection of Cherenkov-emission]. Nuklearmedizin. Nucl. Med. 2019, 58, 319–327. [Google Scholar]
 - Krebs, M.; Dobber, A.; Rodat, T.; Lutzen, U.; Zhao, Y.; Zuhayra, M.; Peifer, C. Photopharmacological Applications for Cherenkov Radiation Generated by Clinically Used Radionuclides. Int. J. Mol. Sci. 2021, 22, 9010. [Google Scholar] [CrossRef]
 - Bianfei, S.; Fang, L.; Zhongzheng, X.; Yuanyuan, Z.; Tian, Y.; Tao, H.; Jiachun, M.; Xiran, W.; Siting, Y.; Lei, L. Application of Cherenkov radiation in tumor imaging and treatment. Future Oncol. 2022, 18, 3101–3118. [Google Scholar] [CrossRef]
 - Olde Heuvel, J.; de Wit-van der Veen, B.J.; van der Poel, H.G.; Bekers, E.M.; Grootendorst, M.R.; Vyas, K.N.; Slump, C.H.; Stokkel, M.P.M. (68)Ga-PSMA Cerenkov luminescence imaging in primary prostate cancer: First-in-man series. Eur. J. Nucl. Med. Mol. Imaging 2020, 47, 2624–2632. [Google Scholar] [CrossRef]
 - Tamura, R.; Pratt, E.C.; Grimm, J. Innovations in Nuclear Imaging Instrumentation: Cerenkov Imaging. Semin. Nucl. Med. 2018, 48, 359–366. [Google Scholar] [CrossRef]
 - Jain, S.; Yoon, S.W.; Zhang, X.; Adamson, J.; Floyd, S.; Oldham, M. Evaluation of UVA emission from x-ray megavoltage-irradiated tissues and phantoms. Phys. Med. Biol. 2019, 64, 225017. [Google Scholar] [CrossRef]
 - Oldham, M.; Yoon, P.; Fathi, Z.; Beyer, W.F.; Adamson, J.; Liu, L.; Alcorta, D.; Xia, W.; Osada, T.; Liu, C.; et al. X-Ray Psoralen Activated Cancer Therapy (X-PACT). PLoS ONE 2016, 11, e0162078. [Google Scholar] [CrossRef] [PubMed]
 - Yoon, S.W.; Tsvankin, V.; Shrock, Z.; Meng, B.; Zhang, X.; Dewhirst, M.; Fecci, P.; Adamson, J.; Oldham, M. Enhancing Radiation Therapy Through Cherenkov Light-Activated Phototherapy. Int. J. Radiat. Oncol. Biol. Phys. 2018, 100, 794–801. [Google Scholar] [CrossRef] [PubMed]
 - Rangan, S.R. A new human cell line (FaDu) from a hypopharyngeal carcinoma. Cancer 1972, 29, 117–121. [Google Scholar] [CrossRef]
 - Eicheler, W.; Zips, D.; Dorfler, A.; Grenman, R.; Baumann, M. Splicing mutations in TP53 in human squamous cell carcinoma lines influence immunohistochemical detection. J. Histochem. Cytochem. 2002, 50, 197–204. [Google Scholar] [CrossRef]
 - Scott, B.R.; Pathak, M.A.; Mohn, G.R. Molecular and genetic basis of furocoumarin reactions. Mutat. Res. 1976, 39, 29–74. [Google Scholar] [CrossRef]
 - Melough, M.M.; Cho, E.; Chun, O.K. Furocoumarins: A review of biochemical activities, dietary sources and intake, and potential health risks. Food Chem. Toxicol. 2018, 113, 99–107. [Google Scholar] [CrossRef] [PubMed]
 - Cai, Z.; Chattopadhyay, N.; Liu, W.J.; Chan, C.; Pignol, J.P.; Reilly, R.M. Optimized digital counting colonies of clonogenic assays using ImageJ software and customized macros: Comparison with manual counting. Int. J. Radiat. Biol. 2011, 87, 1135–1146. [Google Scholar] [CrossRef]
 - Franken, N.A.; Rodermond, H.M.; Stap, J.; Haveman, J.; van Bree, C. Clonogenic assay of cells in vitro. Nat. Protoc. 2006, 1, 2315–2319. [Google Scholar] [CrossRef]
 - Yoakum, G.H.; Cole, R.S. Cross-linking and relaxation of supercoiled DNA by psoralen and light. Biochim. Biophys. Acta 1978, 521, 529–546. [Google Scholar] [CrossRef]
 - Kharroubi Lakouas, D.; Huglo, D.; Mordon, S.; Vermandel, M. Nuclear medicine for photodynamic therapy in cancer: Planning, monitoring and nuclear PDT. Photodiagnosis. Photodyn. Ther. 2017, 18, 236–243. [Google Scholar] [CrossRef]
 - Hartl, B.A.; Ma, H.S.W.; Hansen, K.S.; Perks, J.; Kent, M.S.; Fragoso, R.C.; Marcu, L. The effect of radiation dose on the onset and progression of radiation-induced brain necrosis in the rat model. Int. J. Radiat. Biol. 2017, 93, 676–682. [Google Scholar] [CrossRef] [PubMed]
 - Kotagiri, N.; Cooper, M.L.; Rettig, M.; Egbulefu, C.; Prior, J.; Cui, G.; Karmakar, P.; Zhou, M.; Yang, X.; Sudlow, G.; et al. Radionuclides transform chemotherapeutics into phototherapeutics for precise treatment of disseminated cancer. Nat. Commun. 2018, 9, 275. [Google Scholar] [CrossRef] [PubMed]
 - Kotagiri, N.; Sudlow, G.P.; Akers, W.J.; Achilefu, S. Breaking the depth dependency of phototherapy with Cerenkov radiation and low-radiance-responsive nanophotosensitizers. Nat. Nanotechnol. 2015, 10, 370–379. [Google Scholar] [CrossRef] [PubMed]
 - Pratx, G.; Kapp, D.S. In Regard to Yoon et al: Cherenkov-Activated Phototherapy. Int. J. Radiat. Oncol. Biol. Phys. 2018, 101, 494–495. [Google Scholar] [CrossRef]
 - Pratx, G.; Kapp, D.S. Is Cherenkov luminescence bright enough for photodynamic therapy? Nat. Nanotechnol. 2018, 13, 354. [Google Scholar] [CrossRef]
 - Ashwood-Smith, M.J.; Grant, E. Conversion of psoralen DNA monoadducts in E. coli to interstrand DNA cross links by near UV light (320–360 nm): Inability of angelicin to form cross links, in vivo. Experientia 1977, 33, 384–386. [Google Scholar] [CrossRef]
 - Bethea, D.; Fullmer, B.; Syed, S.; Seltzer, G.; Tiano, J.; Rischko, C.; Gillespie, L.; Brown, D.; Gasparro, F.P. Psoralen photobiology and photochemotherapy: 50 years of science and medicine. J. Dermatol. Sci. 1999, 19, 78–88. [Google Scholar] [CrossRef]
 - Chen, J.X.; Kagan, J. Sites of preferred interaction between double-stranded pBR322 DNA and 7-methylpyrido[3,4-c]psoralen. J. Photochem. Photobiol. B 1997, 39, 56–62. [Google Scholar] [CrossRef]
 - Cimino, G.D.; Gamper, H.B.; Isaacs, S.T.; Hearst, J.E. Psoralens as photoactive probes of nucleic acid structure and function: Organic chemistry, photochemistry, and biochemistry. Ann. Rev. Biochem. 1985, 54, 1151–1193. [Google Scholar] [CrossRef]
 - Xia, W.; Gooden, D.; Liu, L.; Zhao, S.; Soderblom, E.J.; Toone, E.J.; Beyer, W.F., Jr.; Walder, H.; Spector, N.L. Photo-activated psoralen binds the ErbB2 catalytic kinase domain, blocking ErbB2 signaling and triggering tumor cell apoptosis. PLoS ONE 2014, 9, e88983. [Google Scholar] [CrossRef]
 - Axelsson, J.; Davis, S.C.; Gladstone, D.J.; Pogue, B.W. Cerenkov emission induced by external beam radiation stimulates molecular fluorescence. Med. Phys. 2011, 38, 4127–4132. [Google Scholar] [CrossRef] [PubMed]
 - Clement, S.; Chen, W.; Deng, W.; Goldys, E.M. X-ray radiation-induced and targeted photodynamic therapy with folic acid-conjugated biodegradable nanoconstructs. Int. J. Nanomed. 2018, 13, 3553–3570. [Google Scholar] [CrossRef] [PubMed]
 - Scaffidi, J.P.; Gregas, M.K.; Lauly, B.; Zhang, Y.; Vo-Dinh, T. Activity of psoralen-functionalized nanoscintillators against cancer cells upon X-ray excitation. ACS Nano 2011, 5, 4679–4687. [Google Scholar] [CrossRef] [PubMed]
 - Runge, R.; Oehme, L.; Kotzerke, J.; Freudenberg, R. The effect of dimethyl sulfoxide on the induction of DNA strand breaks in plasmid DNA and colony formation of PC Cl3 mammalian cells by alpha-, beta-, and Auger electron emitters (223)Ra, (188)Re, and (99m)Tc. EJNMMI Res. 2016, 6, 48. [Google Scholar] [CrossRef] [PubMed]
 - Yamamoto, S. Discovery of the luminescence of water during irradiation of radiation at a lower energy than the Cherenkov light threshold. Radiol. Phys. Technol. 2021, 14, 16–24. [Google Scholar] [CrossRef]
 - Quintos-Meneses, H.A.; Aranda-Lara, L.; Morales-Avila, E.; Torres-Garcia, E.; Camacho-Lopez, M.A.; Sanchez-Holguin, M.; Luna-Gutierrez, M.A.; Ramirez-Duran, N.; Isaac-Olive, K. In vitro irradiation of doxorubicin with (18)F-FDG Cerenkov radiation and its potential application as a theragnostic system. J. Photochem. Photobiol. B 2020, 210, 111961. [Google Scholar] [CrossRef]
 - Chen, Y.A.; Li, J.J.; Lin, S.L.; Lu, C.H.; Chiu, S.J.; Jeng, F.S.; Chang, C.W.; Yang, B.H.; Chang, M.C.; Ke, C.C.; et al. Effect of Cerenkov Radiation-Induced Photodynamic Therapy with (18)F-FDG in an Intraperitoneal Xenograft Mouse Model of Ovarian Cancer. Int. J. Mol. Sci. 2021, 22, 4934. [Google Scholar] [CrossRef]
 - Glaser, A.K.; Zhang, R.X.; Andreozzi, J.M.; Gladstone, D.J.; Pogue, B.W. Cherenkov radiation fluence estimates in tissue for molecular imaging and therapy applications. Phys. Med. Biol. 2015, 60, 6701–6718. [Google Scholar] [CrossRef]
 - Pratt, E.C.; Skubal, M.; Mc Larney, B.; Causa-Andrieu, P.; Das, S.; Sawan, P.; Araji, A.; Riedl, C.; Vyas, K.; Tuch, D.; et al. Prospective testing of clinical Cerenkov luminescence imaging against standard-of-care nuclear imaging for tumour location. Nat. Biomed. Eng. 2022, 6, 559–568. [Google Scholar] [CrossRef]
 - Mc Larney, B.; Zhang, Q.; Pratt, E.C.; Skubal, M.; Isaac, E.; Hsu, H.T.; Ogirala, A.; Grimm, J. Shortwave infrared detection of medical radioisotope Cerenkov luminescence. J. Nucl. Med. 2022, 63. [Google Scholar] [CrossRef]
 - Buhimschi, A.D.; Gooden, D.M.; Jing, H.; Fels, D.R.; Hansen, K.S.; Beyer, W.F., Jr.; Dewhirst, M.W.; Walder, H.; Gasparro, F.P. Psoralen Derivatives with Enhanced Potency. Photochem. Photobiol. 2020, 96, 1014–1031. [Google Scholar] [CrossRef] [PubMed]
 - Clement, S.; Anwer, A.G.; Pires, L.; Campbell, J.; Wilson, B.C.; Goldys, E.M. Radiodynamic Therapy Using TAT Peptide-Targeted Verteporfin-Encapsulated PLGA Nanoparticles. Int. J. Mol. Sci. 2021, 22, 6425. [Google Scholar] [CrossRef] [PubMed]
 - Boschi, F.; Spinelli, A.E. Nanoparticles for Cerenkov and Radioluminescent Light Enhancement for Imaging and Radiotherapy. Nanomaterials 2020, 10, 1771. [Google Scholar] [CrossRef] [PubMed]
 - Squillante, M.R.; Justel, T.; Anderson, R.R.; Brecher, C.; Chartier, D.; Christian, J.F.; Cicchetti, N.; Espinoza, S.; McAdams, D.R.; Muller, M.; et al. Fabrication and characterization of UV-emitting nanoparticles as novel radiation sensitizers targeting hypoxic tumor cells. Opt. Mater. 2018, 80, 197–202. [Google Scholar] [CrossRef]
 - Niu, G.; Chen, X. When radionuclides meet nanoparticles. Nat. Nanotechnol. 2018, 13, 359–360. [Google Scholar] [CrossRef]
 - Ni, D.; Ferreira, C.A.; Barnhart, T.E.; Quach, V.; Yu, B.; Jiang, D.; Wei, W.; Liu, H.; Engle, J.W.; Hu, P.; et al. Magnetic Targeting of Nanotheranostics Enhances Cerenkov Radiation-Induced Photodynamic Therapy. J. Am. Chem. Soc. 2018, 140, 14971–14979. [Google Scholar] [CrossRef]
 











Publisher’s Note: MDPI stays neutral with regard to jurisdictional claims in published maps and institutional affiliations.  | 
© 2022 by the authors. Licensee MDPI, Basel, Switzerland. This article is an open access article distributed under the terms and conditions of the Creative Commons Attribution (CC BY) license (https://creativecommons.org/licenses/by/4.0/).
Share and Cite
Hübinger, L.; Runge, R.; Rosenberg, T.; Freudenberg, R.; Kotzerke, J.; Brogsitter, C. Psoralen as a Photosensitizers for Photodynamic Therapy by Means of In Vitro Cherenkov Light. Int. J. Mol. Sci. 2022, 23, 15233. https://doi.org/10.3390/ijms232315233
Hübinger L, Runge R, Rosenberg T, Freudenberg R, Kotzerke J, Brogsitter C. Psoralen as a Photosensitizers for Photodynamic Therapy by Means of In Vitro Cherenkov Light. International Journal of Molecular Sciences. 2022; 23(23):15233. https://doi.org/10.3390/ijms232315233
Chicago/Turabian StyleHübinger, Lisa, Roswitha Runge, Tobias Rosenberg, Robert Freudenberg, Jörg Kotzerke, and Claudia Brogsitter. 2022. "Psoralen as a Photosensitizers for Photodynamic Therapy by Means of In Vitro Cherenkov Light" International Journal of Molecular Sciences 23, no. 23: 15233. https://doi.org/10.3390/ijms232315233
APA StyleHübinger, L., Runge, R., Rosenberg, T., Freudenberg, R., Kotzerke, J., & Brogsitter, C. (2022). Psoralen as a Photosensitizers for Photodynamic Therapy by Means of In Vitro Cherenkov Light. International Journal of Molecular Sciences, 23(23), 15233. https://doi.org/10.3390/ijms232315233
        