Evaluating Thera-101 as a Low-Volume Resuscitation Fluid in a Model of Polytrauma
Abstract
1. Introduction
2. Results
2.1. Survival and Vitals
2.2. Plasma Markers of Organ Damage and Inflammation
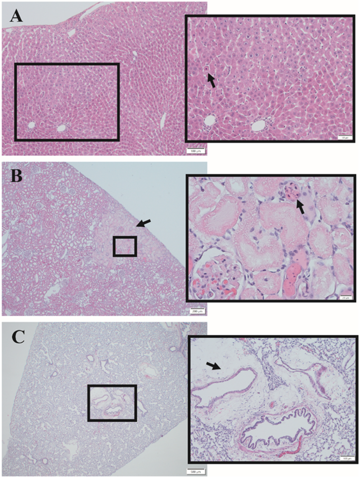
2.3. Histopathological Analysis of Organ Injury
2.4. Evaluating the Neuroprotective Effects of T-101
3. Discussion
4. Materials and Methods
4.1. Rat Poly-Trauma Model
4.2. Histopathology of Lung, Kidney, and Liver
4.3. Immunohistochemistry and Diffusion Tensor Imaging
4.4. Laboratory Assays
4.5. Statistical Analysis
5. Conclusions
Supplementary Materials
Author Contributions
Funding
Institutional Review Board Statement
Informed Consent Statement
Data Availability Statement
Acknowledgments
Conflicts of Interest
References
- Mayer, A.R.; Dodd, A.B.; Vermillion, M.S.; Stephenson, D.D.; Chaudry, I.H.; Bragin, D.E.; Gigliotti, A.P.; Dodd, R.J.; Wasserott, B.C.; Shukla, P.; et al. A systematic review of large animal models of combined traumatic brain injury and hemorrhagic shock. Neurosci. Biobehav. Rev. 2019, 104, 160–177. [Google Scholar] [CrossRef] [PubMed]
- Chambers, L.W.; Rhee, P.; Baker, B.C.; Perciballi, J.; Cubano, M.; Compeggie, M.; Nace, M.; Bohman, H.R. Initial Experience of US Marine Corps Forward Resuscitative Surgical System During Operation Iraqi Freedom. Arch. Surg. 2005, 140, 26–32. [Google Scholar] [CrossRef] [PubMed][Green Version]
- Muller, C.R.; Courelli, V.; Lucas, A.; Williams, A.T.; Li, J.B.; Dos Santos, F.; Cuddington, C.T.; Moses, S.R.; Palmer, A.F.; Kistler, E.B.; et al. Resuscitation from hemorrhagic shock after traumatic brain injury with polymerized hemoglobin. Sci. Rep. 2021, 11, 2509. [Google Scholar] [CrossRef] [PubMed]
- Mclaughlin, A. Traumatic Brain Injury in the Military. Open J. Mod. Neurosurg. 2013, 3, 23–28. [Google Scholar] [CrossRef][Green Version]
- Manley, G.; Knudson, M.M.; Morabito, D.; Damron, S.; Erickson, V.; Pitts, L. Hypotension, Hypoxia, and Head Injury: Frequency, Duration, and Consequences. Arch. Surg. 2001, 136, 1118–1123. [Google Scholar] [CrossRef]
- Gann, D.S.; Drucker, W.R. Hemorrhagic shock. J. Trauma Acute Care Surg. 2013, 75, 888–895. [Google Scholar] [CrossRef]
- Werner, C.; Engelhard, K. Pathophysiology of traumatic brain injury. Br. J. Anaesth. 2007, 99, 4–9. [Google Scholar] [CrossRef]
- Rauch, S.; Marzolo, M.; Cappello, T.D.; Ströhle, M.; Mair, P.; Pietsch, U.; Brugger, H.; Strapazzon, G.; the IATR study group. Severe traumatic brain injury and hypotension is a frequent and lethal combination in multiple trauma patients in mountain areas—An analysis of the prospective international Alpine Trauma Registry. Scand. J. Trauma Resusc. Emerg. Med. 2021, 29, 61. [Google Scholar] [CrossRef]
- Chesnut, R.M.; Marshall, L.F.; Klauber, M.R.; Blunt, B.A.; Baldwin, N.; Eisenberg, H.M.; Jane, J.A.; Marmarou, A.; Foulkes, M.A. The Role of Secondary Brain Injury in Determining Outcome from Severe Head Injury. J. Trauma Inj. Infect. Crit. Care 1993, 34, 216–222. [Google Scholar] [CrossRef]
- Chatrath, V.; Khetarpal, R.; Ahuja, J. Fluid management in patients with trauma: Restrictive versus liberal approach. J. Anaesthesiol. Clin. Pharmacol. 2015, 31, 308–316. [Google Scholar] [CrossRef]
- Lukomska, B.; Stanaszek, L.; Zuba-Surma, E.; Legosz, P.; Sarzynska, S.; Drela, K. Challenges and Controversies in Human Mesenchymal Stem Cell Therapy. Stem Cells Int. 2019, 2019, 9628536. [Google Scholar] [CrossRef]
- Pati, S.; Rasmussen, T.E. Cellular therapies in trauma and critical care medicine: Looking towards the future. PLoS Med. 2017, 14, e1002343. [Google Scholar] [CrossRef] [PubMed]
- Murphy, M.B.; Moncivais, K.; Caplan, A. Mesenchymal stem cells: Environmentally responsive therapeutics for regenerative medicine. Exp. Mol. Med. 2013, 45, e54. [Google Scholar] [CrossRef] [PubMed]
- Prockop, D.J.; Oh, J.Y. Medical therapies with adult stem/progenitor cells (MSCs): A backward journey from dramatic results in vivo to the cellular and molecular explanations. J. Cell. Biochem. 2011, 113, 1460–1469. [Google Scholar] [CrossRef] [PubMed]
- Wang, X.; Zhao, Z.; Gong, J.; Zhou, S.; Peng, H.; Shatara, A.; Zhu, T.Z.; Meltzer, R.; Du, Y.; Gu, H. Adipose stem cells-conditioned medium blocks 6-hydroxydopamine-induced neurotoxicity via the IGF-1/PI3K/AKT pathway. Neurosci. Lett. 2014, 581, 98–102. [Google Scholar] [CrossRef]
- Zhang, Y.; Chopp, M.; Meng, Y.; Katakowski, M.; Xin, H.; Mahmood, A.; Xiong, Y. Effect of exosomes derived from multipluripotent mesenchymal stromal cells on functional recovery and neurovascular plasticity in rats after traumatic brain injury. J. Neurosurg. 2015, 122, 856–867. [Google Scholar] [CrossRef]
- Vallabhaneni, K.C.; Penfornis, P.; Dhule, S.; Guillonneau, F.; Adams, K.V.; Mo, Y.Y.; Xu, R.; Liu, Y.; Watabe, K.; Vemuri, M.C.; et al. Extracellular vesicles from bone marrow mesenchymal stem/stromal cells transport tumor regulatory microRNA, proteins, and metabolites. Oncotarget 2015, 6, 4953–4967. [Google Scholar] [CrossRef]
- Kang, S.K.; Lee, D.H.; Bae, Y.C.; Kim, H.K.; Baik, S.Y.; Jung, J.S. Improvement of neurological deficits by intracerebral transplantation of human adipose tissue-derived stromal cells after cerebral ischemia in rats. Exp. Neurol. 2003, 183, 355–366. [Google Scholar] [CrossRef]
- Zhang, S.; Danchuk, S.D.; Imhof, K.M.; Semon, J.A.; Scruggs, B.A.; Bonvillain, R.W.; Strong, A.L.; Gimble, J.M.; Betancourt, A.M.; E Sullivan, D.; et al. Comparison of the therapeutic effects of human and mouse adipose-derived stem cells in a murine model of lipopolysaccharide-induced acute lung injury. Stem Cell Res. Ther. 2013, 4, 13. [Google Scholar] [CrossRef]
- Banas, A.; Teratani, T.; Yamamoto, Y.; Tokuhara, M.; Takeshita, F.; Osaki, M.; Kawamata, M.; Kato, T.; Okochi, H.; Ochiya, T. IFATS Collection: In Vivo Therapeutic Potential of Human Adipose Tissue Mesenchymal Stem Cells After Transplantation into Mice with Liver Injury. Stem Cells 2008, 26, 2705–2712. [Google Scholar] [CrossRef]
- Chen, Y.-T.; Sun, C.-K.; Lin, Y.-C.; Chang, L.-T.; Chen, Y.-L.; Tsai, T.-H.; Chung, S.-Y.; Chua, S.; Kao, Y.-H.; Yen, C.-H.; et al. Adipose-Derived Mesenchymal Stem Cell Protects Kidneys against Ischemia-Reperfusion Injury through Suppressing Oxidative Stress and Inflammatory Reaction. J. Transl. Med. 2011, 9, 51. [Google Scholar] [CrossRef]
- Tajiri, N.; Acosta, S.A.; Shahaduzzaman, M.; Ishikawa, H.; Shinozuka, K.; Pabon, M.; Hernandez-Ontiveros, D.; Kim, D.W.; Metcalf, C.; Staples, M.; et al. Intravenous Transplants of Human Adipose-Derived Stem Cell Protect the Brain from Traumatic Brain Injury-Induced Neurodegeneration and Motor and Cognitive Impairments: Cell Graft Biodistribution and Soluble Factors in Young and Aged Rats. J. Neurosci. 2013, 34, 313–326. [Google Scholar] [CrossRef]
- Wei, X.; Du, Z.; Zhao, L.; Feng, D.; Wei, G.; He, Y.; Tan, J.; Lee, W.-H.; Hampel, H.; Dodel, R.; et al. IFATS Collection: The Conditioned Media of Adipose Stromal Cells Protect Against Hypoxia-Ischemia-Induced Brain Damage in Neonatal Rats. Stem Cells 2009, 27, 478–488. [Google Scholar] [CrossRef] [PubMed]
- Wei, X.; Zhao, L.; Zhong, J.; Gu, H.; Feng, D.; Johnstone, B.; March, K.; Farlow, M.; Du, Y. Adipose stromal cells-secreted neuroprotective media against neuronal apoptosis. Neurosci. Lett. 2009, 462, 76–79. [Google Scholar] [CrossRef] [PubMed]
- Qi, L.; Cui, X.; Dong, W.; Barrera, R.; Nicastro, J.; Coppa, G.F.; Wang, P.; Wu, R. Ghrelin Attenuates Brain Injury after Traumatic Brain Injury and Uncontrolled Hemorrhagic Shock in Rats. Mol. Med. 2012, 18, 186–193. [Google Scholar] [CrossRef]
- Rönn, T.; Lendemans, S.; De Groot, H.; Petrat, F. A new model of severe hemorrhagic shock in rats. Comp. Med. 2011, 61, 419–426. [Google Scholar] [PubMed]
- Hanks, R.; Millis, S.; Scott, S.; Gattu, R.; O’Hara, N.B.; Haacke, M.; Kou, Z. The relation between cognitive dysfunction and diffusion tensor imaging parameters in traumatic brain injury. Brain Inj. 2018, 33, 355–363. [Google Scholar] [CrossRef]
- Benson, R.R.; Gattu, R.; Sewick, B.; Kou, Z.; Zakariah, N.; Cavanaugh, J.M.; Haacke, E.M. Detection of hemorrhagic and axonal pathology in mild traumatic brain injury using advanced MRI: Implications for neurorehabilitation. NeuroRehabilitation 2012, 31, 261–279. [Google Scholar] [CrossRef] [PubMed]
- Li, S.; Sun, Y.; Shan, D.; Feng, B.; Xing, J.; Duan, Y.; Dai, J.; Lei, H.; Zhou, Y. Temporal profiles of axonal injury following impact acceleration traumatic brain injury in rats—A comparative study with diffusion tensor imaging and morphological analysis. Int. J. Leg. Med. 2012, 127, 159–167. [Google Scholar] [CrossRef]
- Roland, J.L.; Snyder, A.Z.; Hacker, C.D.; Mitra, A.; Shimony, J.S.; Limbrick, D.D.; Raichle, M.E.; Smyth, M.D.; Leuthardt, E.C. On the role of the corpus callosum in interhemispheric functional connectivity in humans. Proc. Natl. Acad. Sci. USA 2017, 114, 13278–13283. [Google Scholar] [CrossRef]
- Wible, C.G. Hippocampal Physiology, Structure and Function and the Neuroscience of Schizophrenia: A Unified Account of Declarative Memory Deficits, Working Memory Deficits and Schizophrenic Symptoms. Behav. Sci. 2013, 3, 298–315. [Google Scholar] [CrossRef] [PubMed]
- Xu, C.; Diao, Y.-F.; Wang, J.; Liang, J.; Xu, H.-H.; Zhao, M.-L.; Zheng, B.; Luan, Z.; Yang, X.-P.; Wei, M.-G.; et al. Intravenously Infusing the Secretome of Adipose-Derived Mesenchymal Stem Cells Ameliorates Neuroinflammation and Neurological Functioning After Traumatic Brain Injury. Stem Cells Dev. 2020, 29, 222–234. [Google Scholar] [CrossRef] [PubMed]
- Jha, K.A.; Pentecost, M.; Lenin, R.; Gentry, J.; Klaic, L.; Del Mar, N.; Reiner, A.; Yang, C.H.; Pfeffer, L.M.; Sohl, N.; et al. TSG-6 in conditioned media from adipose mesenchymal stem cells protects against visual deficits in mild traumatic brain injury model through neurovascular modulation. Stem Cell Res. Ther. 2019, 10, 318. [Google Scholar] [CrossRef] [PubMed]
- Marmarou, A.; Foda, M.A.A.-E.; Brink, W.V.D.; Campbell, J.L.; Kita, H.; Demetriadou, K. A new model of diffuse brain injury in rats. Part I: Pathophysiology and biomechanics. J. Neurosurg. 1994, 80, 291–300. [Google Scholar] [CrossRef] [PubMed]
- Diehl, K.-H.; Hull, R.; Morton, D.; Pfister, R.; Rabemampianina, Y.; Smith, D.; Vidal, J.-M.; Van De Vorstenbosch, C. European Federation of Pharmaceutical Industries A, European Centre for the Validation of Alternative M. A good practice guide to the administration of substances and removal of blood, including routes and volumes. J. Appl. Toxicol. 2001, 21, 15–23. [Google Scholar] [CrossRef]
- Leibowitz, A.; Brotfain, E.; Koyfman, L.; Klein, M.; Hess, S.; Zlotnik, A.; Boyko, M. Treatment of combined traumatic brain injury and hemorrhagic shock with fractionated blood products versus fresh whole blood in a rat model. Eur. J. Trauma Emerg. Surg. 2018, 45, 263–271. [Google Scholar] [CrossRef] [PubMed]
- Johnstone, B.H.; Hoda, N.; Pandya, C.; Vaibhav, K.; Fatima, S.; March, K.L.; Hess, D.C. Abstract 133: Effectiveness of a Stem Cell-derived Therapeutic Factor Concentrate in a Mouse Embolic Stroke Model. Stroke 2017, 48 (Suppl. S1), A133. [Google Scholar] [CrossRef]
- Qi, L.; Cui, X.; Dong, W.; Barrera, R.; Coppa, G.F.; Wang, P.; Wu, R. Ghrelin Protects Rats Against Traumatic Brain Injury and Hemorrhagic Shock Through Upregulation of UCP2. Ann. Surg. 2014, 260, 169–178. [Google Scholar] [CrossRef] [PubMed]
- Sled, J.G.; Zijdenbos, A.P.; Evans, A.C. A nonparametric method for automatic correction of intensity nonuniformity in MRI data. IEEE Trans. Med. Imag. 1998, 17, 87–97. [Google Scholar] [CrossRef] [PubMed]
- Lau, J.C.; Lerch, J.P.; Sled, J.G.; Henkelman, R.M.; Evans, A.C.; Bedell, B.J. Longitudinal neuroanatomical changes determined by deformation-based morphometry in a mouse model of Alzheimer’s disease. NeuroImage 2008, 42, 19–27. [Google Scholar] [CrossRef] [PubMed]
- Fonov, V.; Evans, A.C.; Botteron, K.; Almli, C.R.; McKinstry, R.C.; Collins, D.L.; The Brain Development Cooperative Group. Unbiased average age-appropriate atlases for pediatric studies. NeuroImage 2011, 54, 313–327. [Google Scholar] [CrossRef]
- Grand’Maison, M.; Zehntner, S.P.; Ho, M.-K.; Hébert, F.; Wood, A.; Carbonell, F.; Zijdenbos, A.P.; Hamel, E.; Bedell, B.J. Early cortical thickness changes predict β-amyloid deposition in a mouse model of Alzheimer’s disease. Neurobiol. Dis. 2013, 54, 59–67. [Google Scholar] [CrossRef] [PubMed]
- Hébert, F.; Grand’Maison, M.; Ho, M.-K.; Lerch, J.P.; Hamel, E.; Bedell, B.J. Cortical atrophy and hypoperfusion in a transgenic mouse model of Alzheimer’s disease. Neurobiol. Aging 2013, 34, 1644–1652. [Google Scholar] [CrossRef] [PubMed]
- Zehntner, S.P.; Chakravarty, M.M.; Bolovan, R.J.; Chan, C.; Bedell, B.J. Synergistic Tissue Counterstaining and Image Segmentation Techniques for Accurate, Quantitative Immunohistochemistry. J. Histochem. Cytochem. 2008, 56, 873–880. [Google Scholar] [CrossRef] [PubMed]






| Publisher’s Note: MDPI stays neutral with regard to jurisdictional claims in published maps and institutional affiliations. | 
© 2022 by the authors. Licensee MDPI, Basel, Switzerland. This article is an open access article distributed under the terms and conditions of the Creative Commons Attribution (CC BY) license (https://creativecommons.org/licenses/by/4.0/).
Share and Cite
Shah, J.S.; Macaitis, J.; Lundquist, B.; Johnstone, B.; Coleman, M.; Jefferson, M.A.; Glaser, J.; Rodriguez, A.R.; Cardin, S.; Wang, H.-C.; et al. Evaluating Thera-101 as a Low-Volume Resuscitation Fluid in a Model of Polytrauma. Int. J. Mol. Sci. 2022, 23, 12664. https://doi.org/10.3390/ijms232012664
Shah JS, Macaitis J, Lundquist B, Johnstone B, Coleman M, Jefferson MA, Glaser J, Rodriguez AR, Cardin S, Wang H-C, et al. Evaluating Thera-101 as a Low-Volume Resuscitation Fluid in a Model of Polytrauma. International Journal of Molecular Sciences. 2022; 23(20):12664. https://doi.org/10.3390/ijms232012664
Chicago/Turabian StyleShah, Jessica Stukel, Joseph Macaitis, Bridney Lundquist, Brian Johnstone, Michael Coleman, Michelle A. Jefferson, Jacob Glaser, Annette R. Rodriguez, Sylvain Cardin, Heuy-Ching Wang, and et al. 2022. "Evaluating Thera-101 as a Low-Volume Resuscitation Fluid in a Model of Polytrauma" International Journal of Molecular Sciences 23, no. 20: 12664. https://doi.org/10.3390/ijms232012664
APA StyleShah, J. S., Macaitis, J., Lundquist, B., Johnstone, B., Coleman, M., Jefferson, M. A., Glaser, J., Rodriguez, A. R., Cardin, S., Wang, H.-C., & Burdette, A. (2022). Evaluating Thera-101 as a Low-Volume Resuscitation Fluid in a Model of Polytrauma. International Journal of Molecular Sciences, 23(20), 12664. https://doi.org/10.3390/ijms232012664
 
        


