Next Article in Journal
Desmin Knock-Out Cardiomyopathy: A Heart on the Verge of Metabolic Crisis
Next Article in Special Issue
Quantitative Analysis of Collective Migration by Single-Cell Tracking Aimed at Understanding Cancer Metastasis
Previous Article in Journal
Anti-c-MET Fab-Grb2-Gab1 Fusion Protein-Mediated Interference of c-MET Signaling Pathway Induces Methuosis in Tumor Cells
Previous Article in Special Issue
Neuroprotective Effect of Gold Nanoparticles and Alpha-Lipoic Acid Mixture against Radiation-Induced Brain Damage in Rats
 
 
Retraction published on 10 November 2025, see Int. J. Mol. Sci. 2025, 26(22), 10882.
Font Type:
Arial Georgia Verdana
Font Size:
Aa Aa Aa
Line Spacing:
Column Width:
Background:
Article

RETRACTED: A Polysaccharide Isolated from the Herb Bletilla striata Combined with Methylcellulose to Form a Hydrogel via Self-Assembly as a Wound Dressing

1
Institute of Biomedical Engineering, National Taiwan University, Taipei 106, Taiwan
2
Dentistry Faculty, Syiah Kuala University, Darussalam, Banda Aceh 23111, Indonesia
3
Agriculture Faculty, Gajah Putih University, Aceh Tengah 24552, Indonesia
4
Institute of Biomedical Engineering and Nanomedicine, National Health Research Institutes, Miaoli 350, Taiwan
*
Author to whom correspondence should be addressed.
Int. J. Mol. Sci. 2022, 23(19), 12019; https://doi.org/10.3390/ijms231912019
Submission received: 2 September 2022 / Revised: 1 October 2022 / Accepted: 5 October 2022 / Published: 10 October 2022 / Retracted: 10 November 2025
(This article belongs to the Special Issue Bio-Engineering and Nano-Medicine 2.0)

Abstract

The Bletilla striata Polysaccharide (BSP), a natural polysaccharide derived from the east Asian terrestrial orchid Bletilla striata, is an anti-inflammatory, antiviral, and antioxidant polysaccharide. Traditionally, it has been used to treat hemostasis and for wound healing. In this study, BSP was blended with methylcellulose (MC) and methylparaben (MP) to create a hydrogel through a self-assembly route as a wound dressing. The developed hydrogels were designed as M2Bx, M5Bx, and M8Bx. M stands for MC, and the number represents a percentage. Whereas the second letter of B stands for BSP, and x refers to the percentage variation of BSP: x = 0.5%, 1%, and 2%. All the developed MB hydrogels contained β-glucopyranosyl and α-mannopyranosyl, and rheology test had a tan δ value ≥ 0.5. The pore sizes of the hydrogels decreased by increasing the MC and BSP content, and they had better properties with respect to water loss and their swelling ratio. Evaluations in vitro and in vivo showed that all of the developed MB hydrogels have good cell viability and wound-healing properties. The M8B2 hydrogel group was found to be superior to the others from within the developed MB hydrogels. Therefore, we believe that the M8B2 hydrogel formulation has a high potential for development as a wound dressing.

1. Introduction

Wound healing is a complicated physiological process including three overlapping phases: inflammation, cell migration, and remodeling [1,2]. The inflammatory phase of the wound-healing process is regarded as critical because it serves as a precursor to tissue formation and remodeling. Vasoactive mediators and chemotactic factors attract inflammatory leucocytes to the wound site as a result of the blood vessels’ disruption. Furthermore, it contributes to the secretion of signaling molecules and cytokines such as nitric oxide (NO), vascular endothelial growth factor (VEGF), endothelial growth factors (EGF), and tumor necrosis factor-α (TNF-α), all of which are required for either re-epithelialization or neo-vascularization [3,4]. Thus, maintaining an appropriate level of inflammatory response at the wound site would benefit the healing process. Whereas aggressive inflammation can negatively affect the healing process. It can also lead to phenomena such as the failure of re-epithelialization, tissue damage, and even the exacerbation of the wound.
There are many kinds of wound dressings on the market. Such dressings basically serve as a barrier to prevent bacterial invasion and to relieve acute pain. Furthermore, all such products do not have the function of creating an environment to promote wound healing, relieve pain, and induce anti-inflammatory activity simultaneously. In this study, a polysaccharide extracted from the terrestrial orchid Bletilla striata found in East Asian countries (BSP), which was reported to have properties that were anti-oxidant, anti-inflammatory, anti-bacterial, anti-tumorigenesis, etc., was used as a major component in the developed wound dressing to create an environment conducive to wound healing. As is known, the biostability of BSP is not so promising, so methyl-cellulose was mixed with it to stabilize the entire material. The developed wound dressing, so-called MB (methyl-cellulose and BSP), should have anti-inflammatory, anti-bacterial, pain-relieving, and barrier functions to stop bacterial invasion. Then, the MB mixture can self-assemble to form a hydrogel without the use of a crosslinker to prevent cytotoxicity.
Polysaccharides were brought into the limelight due to their unique therapeutic properties, such as a low toxicity, biocompatibility, biodegradability, non-immunogenicity, and ample availability. They have also been used in biomedical and pharmaceutical formulations. Plant polysaccharides, microbial polysaccharides, animal polysaccharides, and semi-synthetic polysaccharides are all examples of polysaccharides. The polysaccharides’ applications include boosting the body’s immunity against viral infections and acting as a food stabilizer [5]. Included among the polysaccharides that are commonly used as bioactive wound dressings are alginate, dextran, starch, inulin, chitosan, cellulose, chitin, fibrin, elastin, collagen, gelatin, and hyaluronan [5,6,7]. In some cases, polysaccharides are combined with other materials to make them more effective as wound dressings and are effective in stopping bleeding, preventing infection, absorbing wound exudates, accelerating wound healing, biodegradability, controlling moisture levels in the wound, gas flow, and more [8].
A natural polysaccharide derived from the terrestrial orchid Bletilla striata found in east Asian countries has been used in traditional Asian medicine for hemostasis and wound healing. Bletilla striata Polysaccharide (BSP), which is composed of mannan as its main chain and glucose residue as its side chain, possesses anti-inflammatory, antiviral, and antioxidant properties [9,10]. BSP, as previously reported, can increase the expression of pro-inflammatory cytokines such as vascular endothelial growth factors (VEGF), interleukin−1β (IL−1β), and TNF-α and induce nitric oxide synthase, all of which are involved in the wound-healing process [11,12,13]. As previously mentioned, inflammation is a critical step in the wound-healing process as it contributes to the success of the remaining two steps of the healing process: cell migration and remodeling. Thus, the anti-inflammatory properties of BSP make it a candidate for use as an active material in wound dressings. It also plays a major role in the healing process of the wound because the type of dressing used to create its physiological environment was very important to its success.
Aside from the biological roles that BSP plays during the wound-healing process, it also contributes to physical roles through its polyhydric structure, which allows for favorable swelling and sufficient water vapor transmission to create a suitable environment on the wound site by removing any excess exudates [12]. In a moist environment, a wound-dressing must be able to absorb exudates and provide moisture for the wound to heal quickly. The hydrogel type of wound dressing is thought to be more appropriate for meeting this condition because it makes is easier to deliver bioactive agents and acts as an effective barrier against possible bacterial infection. Methylcellulose (MC) has been used as a mixing material in biomedical applications such as membrane-based material, hydrogels, and drug delivery purposes because of its biocompatibility and ability to form a physically crosslinked hydrogel at the site and at a physiological temperature (temperature-sensitive polymer). While MC has poor biological properties, such as its weak ability to induce cell migration, and does not have anti-inflammatory or anti-bacterial properties, it has unique physical and chemical properties, such as rapid gel formation at physiological temperatures, which sometimes make the addition of crosslinking agents unnecessary [14,15,16]. Both the hydrogel and the cross-linkers in hydrogels should be non-toxic for use in drugs, food, and biomaterials, as some cross-linker agents have been reported to have negative effects at the cellular level [17,18,19].
This study was undertaken to evaluate the combinatory potential of BSP and MC in hydrogel form as a wound dressing. Due to safety concerns about the use of cross-linker agents between MC and BSP, the hydrogel in this study was created using a self-assembly method that did not include cross-linker agents. The hydrogel characterizations of the developed MB hydrogel were evaluated using Fourier-transform infrared spectroscopy (FTIR), Proton nuclear magnetic resonance (1H NMR), carbon-13 nuclear magnetic resonance (13C NMR ), rheology analysis, water loss and swelling ratios, and scanning electron microscope (SEM) analysis of the pore size and porosity of hydrogels. Furthermore, we used the disk diffusion method to assess the antibacterial and hemolysis evaluations, the WST-1 assay, and the live/dead stains to investigate the biocompatibility properties of developed hydrogels. Finally, the scratch test in vitro and wound healing and histological examination in vivo using the Rattus norvegicus rat model were performed to confirm the hydrogels’ healing ability. The overall concept and experimental design were schemed as shown in Figure 1.

2. Results

2.1. Characterization of MB Hydrogels

Figure 2 shows the results of the FTIR spectrum for MC, the extracted BSP, and the developed MB hydrogels. The FTIR spectra of MC, extracted BSP, and all the MB hydrogels revealed hydroxyl groups with a broadband between 3200 and 3500 cm−1, while the C-H stretching was confirmed between 2896 and 2937 cm−1. The absorption bands at 1640 and 1731 cm−1 corresponded to alkene stretching, whereas the absorption band at 1515 was attributed to an aromatic group that was only detected for the MC spectra. Furthermore, the spectral evaluation around the fingerprint area showed a wavenumber below 1500 cm−1; the detected absorption bands at 1019 and 1056 cm−1 were assigned to pyran-glycosylated BSP or MB hydrogels. Additionally, the residues of β-glucosyl and mannose from BSP could be traced at 873 cm−1 and 809 cm−1, respectively. On the other hand, the MB hydrogels’ intensity was not so strong in the two bands.
Figure 3 shows the NMR analysis of MC, extracted BSP, and the developed MB hydrogels. Figure 3a depicts the 1H NMR spectra of MC, BSP, and the developed MB hydrogels. The methyl proton can be found in the 1H NMR spectra of MC at 3.3 ppm and 3.5 ppm. As shown in Figure 3b, the 13C NMR spectra between 58.3 ppm and 60.4 ppm contain three signals corresponding to methyl substituents at the carbon in the C-2, C-3, and C-6 positions from the low to high field, while those at 102.12 ppm are attributed to β-glucopyranosyl [20]. On the other hand, in the spectra of both BSP and the developed MB hydrogels, the anomeric proton spectra from 1H NMR revealed two peaks at 4.42 ppm and 4.69 ppm that belonged to β-glucopyranosyl and α-mannopyranosyl, respectively. Whereas the 13C NMR spectra at 100.14 ppm and 102.2 ppm correspond to α-mannopyranosyl residue and the anomeric signal, respectively. In line with this, the spectra for the MB hydrogels contained the spectra both from MC and BSP. Some new spectra were discovered at chemical shifts δ7.8 and δ6.8 at 1H NMR, and δ160.9 and δ169.2 at 13C NMR, which belonged to MP peaks.

2.2. Rheology Analysis of MB Hydrogels

The rheological properties of the MB hydrogels are summarized in Table 1. The storage modulus (G’) of the majority of the hydrogels was greater than the loss modulus (G”). Two exceptions were the hydrogel groups M5B05 and M5B1, which have a high loss modulus, contributing to an increase in the tan delta value. Apart from those, the groups M2B05, M2B1, M8B1, and M8B2 had loss-to-storage modulus ratios greater than 0.5. On the other hand, the complex viscosity was also influenced by the fraction of MC in the hydrogel, with an increase in MC content increasing the complex viscosity value.

2.3. SEM, Water Loss and Swelling Ratios

The scanning electron micrographs (SEM) of the developed hydrogels of M2B2, M5B2, and M8B2 are illustrated in Figure 4a–c, respectively. Figure 4d summarizes the average pore size of M2B05, M2B1, M2B2, M5B05, M5B1, M5B2, M8B05, M8B1, and M8B2 as 96 ± 17, 58 ± 21, 58 ± 16, 31 ± 10, 37 ± 20, 22 ± 5, 13 ± 3, 19 ± 9, 17 ± 3, 43 ± 8, and 32 ± 6 µm, respectively. The increasing amount MC and BSP were reduced the pore size of the MB hydrogels (p < 0.001, M2Bx group vs. M5Bx and M8Bx group).
Furthermore, Figure 5a shows the water loss of the experimental hydrogels. Figure 5b shows the swelling ratios for the developed hydrogels. The M5Bx group had the highest amount of water loss, followed by the M8Bx and M2Bx groups. While the M5Bx group experienced water loss ranging from 12% to 22%, the M5B05 group experienced the least water loss during the first hour but this increased as time passed. Meanwhile, the rest of the groups (M2Bx and M8Bx) had about 13–15 percent and 13–16 percent water losses during the first hour, respectively.
As expected, all of the MB hydrogel groups demonstrated a high swelling capacity ranging from 486 to 911 percent. However, the M5Bx group demonstrated the least ability to swell in comparison to the other groups (486 to 633 percent, p < 0.001), as illustrated in Figure 5b.
According to the SEM, water loss, and swelling ratio of the developed MB hydrogel groups, M8B2 showed better performance than the other groups in all conditions. For instance, the smaller pore size and high porosity of M8B2 could absorb more exudate from the wound site.

2.4. Antibacterial Test for MB Hydrogels

The antibacterial activity of the MB hydrogels, MC, and BSP towards S. aureus (Gram-positive bacteria) and E. coli (Gram-negative bacteria) strains was determined using the disc diffusion method. Table 2 summarizes the results. None of them exhibited detectably high antibacterial activity after 24 or 48 h. All three developed MB hydrogels, BSP, and MC had inhibition zones measuring approximately 6 mm in diameter. Concentration is a factor that influences the inhibition or bactericidal properties of microorganisms by drugs. The concentration of 4 mg/mL for the hydrogel dilution used in this study inhibited S. aureus and E. coli bacteria from attaching to the hydrogels. The images of the antibacterial activity of the developed MB hydrogel, BSP, and MC by those bacteria strains using the disc diffusion method are shown in Figures S1 and S2.

2.5. Evaluation of Biocompatibilities of MB Hydrogels

2.5.1. Hemolysis and Cell Viability Assay

In this study, the level of hemolysis was determined using rabbit blood in accordance with ASTM F 756–00, 2000, while cell viability was determined using the WST-1 assay in accordance with ISO-10993 guidelines, as illustrated in Figure 6. The hemolytic properties of all the MB hydrogels were significantly lower than those of the positive and negative controls (less than 0%) and were statistically significant when compared to the positive control (p < 0.001). In this study, double-distilled water was used as the positive control, which has high osmotic pressure and causes osmotic lysis of the cell membrane, as indicated by the hemoglobin released from the RBCs, whereas phosphate-buffered saline (PBS) as the negative control has characteristics of iso-osmotic pressure that prevents cell membrane rupture and provides a comfortable environment for RBCs. In addition, by adding the developed MB hydrogels into PBS, the performance of the PBS was improved, as shown by the fact that it caused less hemolysis to occur. On the other hand, the cell viability was greater than 100% in all the developed MB hydrogel groups (compared to the control group). Even so, there was no statistically significant difference between the groups.

2.5.2. Live and Dead Test

Figure 7 depicts the live/dead stain results for all the developed MB hydrogels represented by the M2B2, M5B2, and M8B2 groups. Green denotes living cells, while red denotes dead cells. By increasing the concentration of MC and BSP, the number of dead cells was reduced in comparison to the control group (medium only).

2.6. In Vitro Wound Healing

A monolayer scratch assay was performed on L929 cells to determine the cells’ ability to migrate in a medium containing MB hydrogel. As illustrated in Figure 8, the distance traveled by the L929 cells increased until the scratch was completely closed at the end of the incubation period (24 h), and it was confirmed that the cell densities of the medium containing MB hydrogel around the scratch area were denser than in the control group (with no hydrogel).

2.7. In Vivo Wound Healing and Histological Analysis

A monolayer (for the developed MB hydrogels as treatment group) and sterile cotton gauge (for the control group) were applied in full-thickness cutaneous wound healing to determine the wound-healing rate. As illustrated in Figure 9a, the developed MB hydrogels induced a faster rate of healing than the control on the third, seventh, and fourteenth days. Whereas, as shown in Figure 9b, the developed MB hydrogels improved wound closure percentages to around 30–40 percent and around 13 percent for the control group on day 3 (p < 0.01). On day 7, the degree of wound closure ranged between 57–73 percent and 50 percent (p < 0.01), and on day 14, it ranged between 88–92 percent and 73 percent (p < 0.001).
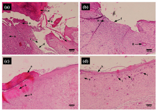
Further, to determine the rate and quality of the new tissue regeneration in the animal models, the rats were euthanized on day 14 and their neo-skins were collected for histological examination using H&E staining. As shown in Figure 10, all the developed MB hydrogel groups (M2B2, M5B2, and M8B2), as well as the control group, retained a significant number of inflammatory cells. However, neovascularization activity was detected on the wounds treated with M8B2 only, as shown in Figure 10d. Re-epithelization was observed in the wounds treated with the M5Bx and M8Bx hydrogels, whereas the M2Bx and control groups lacked an epidermis shape. When compared to the control group, epidermal folding and thickening, epidermal lysis, epidermal necrosis, and scabs were observed in the control group, whereas the M2Bx groups performed better than the control groups, as indicated by the greater epidermal range.
Thus, M8B2 demonstrated the best results with respect to wound healing checked by the wound healing-assay and histological examination. At day 14, re-epithelialization and neovascularization were all completed and showed no laceration for the group M8B2.

3. Discussion

Bletilla striata Polysaccharide (BSP), a bioactive polysaccharide substance, has been continuously investigated and developed in medical applications. It has been reported to have anti-inflammatory, anti-oxidant, anti-bacterial, anti-viral, and growth factor-inducing properties. Several results have shown that BSP might have the potential to be developed as a new material for medical treatments such as artificial tears for dry eye syndrome (DES), as a biodegradable sponge to prevent epidural fibrosis after laminectomy, and as a conduit material to improve tenocyte proliferation, migration, and, finally, tissue repair [9,21,22]. However, BSP cannot be used as a single ingredient in most medical applications due to its lack of biostability. Therefore, combining it with other polymers might be a good option to increase its biostability.
Methylcellulose (MC) and its derivatives have become a popular material and are intensively used in many applications, and not only in medicine, but also in food industries as gelling agents and in pharmaceutical industries. Nevertheless, MC was generally reported as not having the ability to induce growth factor release as well as lacking anti-oxidant, anti-inflammatory, anti-bacterial, and anti-viral properties. Consequently, we believe that the BSP and MC might be an adequate combination for wound dressings to serve as a template for cell migration, proliferation, and regeneration. Aside from being a polysaccharide, similar to BSP, MC is a heterogeneous polymer with hydrophobic (a highly substituted zone) and hydrophilic (a less substituted zone) properties [23]. Thus, it is easier to combine it with other materials through a self-assembly interaction, where a crosslinker would not be required to link the two natural polymers together. Therefore, we have combined BSP and MC as a hydrogel for wound dressing, as the so-called MB hydrogel, which has the advantages of both polysaccharides.
BSP’s biological properties in the wound-healing process allow it to downregulate pro-inflammatory cytokine secretions on the wound site to the mildest level, stimulating IL-1, VEGF, EGF, TNF-expression, and NO production. Thus, it was beneficial to exert control over the subsequent phase of the healing process, namely, the formation and remodeling of tissues [6,9,12]. However, it was reported that high BSP concentrations may have a detrimental effect on the cytotoxicity of several cell lines [21]. As a result, we developed the BSP in a hydrogel form in this study not only to control the amount of BSP released during the healing process but also to create a suitable environment around the wound site using the advantages afforded by the hydrogel.
The developed MB hydrogels were successfully made through the self-assembly method. There were β-glucopyranosyl and α-mannopyranosyl residues present in all the developed hydrogel groups. These compounds are so-called glucomannans and have been widely developed for biomaterials such as drug delivery vehicles and wound-healing dressings, which have bioactivities such as an affinity for carbohydrate receptors on specific cells [12,24]. In addition, most of the developed MB hydrogels that were made had viscous rather than elastic properties, with loss-to-storage modulus ratios (tan δ) greater than 0.5, as shown in Table 1. The lower viscosity of the hydrogel may result in a greater ability to deform without breaking (cohesivity). This condition satisfies the requirements necessary for use as a derma topical wound dressing, affecting its ability to spread on the wound site [25].
Furthermore, besides the biological properties of bioactive materials to promote healing in wound dressings, their design must properly keep the wound from dehydrating [26]. The hydrogel dressing is considered superior in its ease of application and removal from the wound and its cooling effect. The hydrogel’s structure, with its pores, enables air circulation and oxygen supply and absorbs wound fluids or exudates during the healing process. Our findings also showed that the pore sizes of the lyophilized hydrogels led to denser structures by increasing the MC and BSP concentrations, and that these structures’ effects accorded with the study by Ding et al., wherein the dense structure enabled the easy removal of the dressing from the wound site [7]. Moreover, the smallest pore-size of around 13.22 ± 3.63–19.71 ± 9.14 µm of the hydrogel group was M8Bx, which had better water loss and swelling properties, thereby enabling M8Bx to hold enough water to maintain a moist environment for the healing process. Water loss is an important factor in keeping a wound dry, as is maintaining the humidity level of the wound. Our findings show that the use of M8Bx is the best way to increase the comfort of the area around the wound.
The inhibitory effect of all the developed MB hydrogels on the growth of Staphylococcus aureus and Escherichia coli was very low, at around 6 mm. These findings partly agree with previous reports by Li et al. that BSP has no antibacterial effect on these bacteria [27]. However, according to our findings, even though the developed MB hydrogels possessed low inhibitory properties towards bacteria, they had sufficient levels to inhibit bacteria from attaching to the wound dressing. A report by Li et al. about the antibacterial properties of BSP found that its minimum inhibitory concentration (MIC) was 6.25 mg/mL and its minimum bactericidal concentration (MBC) was 12.50 mg/mL [28]. In our study, however, a lower concentration of BSP was used, and this amount was sufficient to inhibit bacterial attachment to the hydrogels.
The developed MB hydrogels showed good biocompatibility and were non-toxic to the L929 cells, as shown in Figure 6 and Figure 7. The hemolysis assay was performed according to ASTM F756-00, 2000, in which the hemolytic properties of material are sorted as the percentage of released hemoglobin. Non-hemolytic material accounts for about 0–2% of the hemoglobin released, whereas 2–5% and greater than 5% are categorized as moderate and hemolytic materials, respectively [29]. Fortunately, we found that the developed MB hydrogels had the lowest hemolytic percentages, meaning all the developed hydrogels did not cause hemolysis through their contact with blood circulation. In addition, the cell viability, in terms of the cell numbers, increased for all of the developed MB hydrogels. The BSP may stimulate the MEK/ERK1/2 and PI3K/Akt signaling pathways, which are involved in cellular proliferation, migration, differentiation, and survival [22]. Thus, the BSP has a good effect towards encouraging cell growth and increasing their longevity.
A monolayer of developed MB hydrogels was applied for full-thickness cutaneous wound healing in the rat models, and then the healing rate was evaluated during a time period of 14 days, as shown in Figure 9. When the developed MB hydrogel was used to treat the rats’ wounds, the wounds healed faster than when they were not treated. Moreover, the healing rates increased by increasing the BSP and MC compositions in the developed MB hydrogel. The in vitro scratch test using the L929 cell line also supported the in vivo condition, wherein increasing the BSP and MC compositions in the developed hydrogel increased the density of the cell migrations to the wound scratch area, as shown in Figure 8. In addition, the hydrogel’s function as a wound dressing can act as a promising source of air circulation and/or oxygen supply. The hydrophilic functional group of MC enables it to absorb wound fluids or exudate during the healing process, which might contribute to fast healing [30]. Moreover, enabling the downregulation of inflammatory cytokines (TNF-α, iNOS, and IL-1β) by BSP could be one factor among others that could accelerate wound healing and promote re-epithelialization [31].
Furthermore, in line with the above, the histological evaluation of the wound tissue from the euthanized rats also confirmed a reduction in inflammatory cells for the developed MB hydrogels, as shown in Figure 10. BSP could induce the expression of vascular endothelial growth factor, as well as endothelial cell and fibroblast proliferation, which play essential roles in the healing process [32]. This was inconsistent with the untreated group, in which a higher number of inflammatory cells and no tissue repair occurred. Consequently, the thickness of the epidermis and the continuity of the epithelial lining grew significantly faster in the M8Bx-treated group than in the others, and new blood vessels were discovered during the treatment of this group (Figure 10d).
This study reveals that BSP combined with MC in a hydrogel form could induce a fast healing process in wound treatments, regulating the moist environment around the wound site by absorbing the wound fluid and exudate and avoiding suffering caused by the wound drying.

4. Materials and Methods

4.1. Materials

The chopped Bletilla striata was purchased from a traditional herbal store (Taoyuan, Taiwan). Methylcellulose and methylparaben were obtained from Sigma-Aldrich, Darmstadt, Germany. Ethanol (95%) was obtained from Honeywell, 30926, Seelze, Germany. Dialyzed bag with a 3500 Da cut-off was employed (60035515, Orange Scientific, Braine-I’ Alleud, Belgium). Penicillin/streptomycin, phosphate-buffered saline, and trypsin-ethylenediaminetetraacetic acid (EDTA) were obtained from Gibco BRL (Gaithersburg, MD, USA). Minimum Essential Medium Eagle (α-MEM) and anesthesia solution (ketamine/xylazine) were purchased from Sigma Aldrich. ZDEC was also used (Zinc Diethyldithiocarbamate; Sigma, 329703, Darmstadt, Germany). The remaining chemicals and reagents used in this study were purchased from Sigma-Aldrich.

4.2. Extraction of Polysaccharide from B. striata

BSP from B. Striata was prepared by the Ethanol Precipitation (EP) method as described previously [33,34]. In a nutshell, 100 g of dry, powdered B. Striata was dispersed in 1000 mL of double-distilled water at 80 °C for 4 h. Filtering was used to collect the liquid phase. Afterwards, it was precipitated with 95% ethanol 3 times and left to stand overnight. The precipitated portion was then collected by centrifugation and the last two steps were repeated twice before the portion was resuspended in double-distilled water. The solution was stirred overnight with savage solution (1/3 vol. of chloroform/n-butanol (4:1 v/v)) to remove any remaining proteins. The top layer of solution was collected and then dialyzed using a membrane (60035515, Orange Scientific, Belgium) with a molecular weight cut-off of 3500 Da before being freeze-dried (FCU-1200, Eyela).

4.3. Hydrogel Preparation

Hydrogels were synthesized by combining BSP and methylcellulose (MC) in a self-assembly reaction with 0.04% methylparaben (MP). In brief, a specific amount of MC was dissolved in double-distilled water at 80 °C before adding a particular percentage of BSP solution and an exact amount of MP as a preservative chemical to the hydrogel. The varied composition of developed hydrogels was abbreviated as M2Bx, M5Bx, and M8Bx groups, where both M and B stand for MC and BSP, respectively; the numbers refer to M percentage; and x refers to BSP percentages: 0.5%, 1%, and 2%. The developed hydrogels were homogenized and then left at 5 °C in a refrigerator overnight until full gelation.

4.4. Characterization

4.4.1. FTIR Analysis of Hydrogels

Fourier transform infrared (FTIR) was used to characterize the chemical functional group of MC, BSP, and all developed hydrogels: M2Bx, M5Bx, and M8Bx. Analyzed materials were powdered, mixed with KBr, and pressed to form a transparent film. To identify functional groups in the BSP hydrogel’s structure, FTIR spectra (JASCO 410, Tokyo, Japan) were collected with a resolution of 4 cm−1 in the wavelength range of 4000–400 cm−1.

4.4.2. NMR Analysis of Hydrogels

The molecular structures of MC, BSP, and all developed hydrogels—M2Bx, M5Bx, and M8Bx—were analyzed by 13C NMR and 1H NMR spectroscopy. The MC, BSP, and hydrogel samples were dissolved in deuterium oxide (D2O) solvent to a concentration of 30 mg/mL and transferred around at 600 µL to 5 mm NMR tubes (Wilmad Glass Co., Inc., Buena, NJ, USA), and the spectra were acquired at 400 MHz using the Bruker ARX-600 instrument, Bruker Co., Ltd., Fällanden, Switzerland.

4.4.3. Rheology Analysis of Hydrogels

Rheological measurements of all hydrogel groups were performed using a rheometer (Discovery HR-1, TA Instruments, Newcastle, USA). Under the frequency sweep model, three viscoelastic parameters were recorded, which were storage modulus (G’), loss modulus (G”), and angular frequency (ω) in the range of 1 to 100 rad/s at 37 °C.

4.4.4. Water Loss and Swelling Ratio of Hydrogels

The water loss of the hydrogels was measured according to a procedure reported in previous studies [6,7]. In brief, the first step for the water loss analysis was that each hydrogel group (M2Bx, M5Bx, or M8Bx) was weighed on a scale and recorded as an initial weight (mi). Afterward, the hydrogels were dried in a vacuum oven at 60 °C for 24 h and were weighted every hour (mh) for 18 h. The water loss of hydrogels was calculated with the following formula:
W a t e r   l o s s   r a t e   % = m i m h m i m 18 × 100 %
Further, the second step was to calculate the water retention abilities of the hydrogels: dried hydrogels from the vacuum oven were weighted as dried samples (Wi) and soaked in a phosphate buffer solution (PBS) with pH = 7.4 at 37 °C for 24 h. The swelling hydrogels were weighted by a scale as their maximum water content (Wf). The swelling ratio of the hydrogels was calculated as follows:
S w e l l i n g   r a t i o   % = W f W i W i × 100 %
All the experiments above were performed at least in triplicate. To assure results, average values and standard deviations were applied.

4.4.5. The Examination of the Pore Size and Porosity of Hydrogels under SEM

A scanning electron microscope (SEM) was used to examine the pore structure of the hydrogels. The morphologies of M2Bx, M5Bx, and M8Bx were observed using SEM (Joel, JSM-7800F Prime, Tokyo, Japan). In brief, each lyophilized hydrogel group was mounted to the Al sample stage of SEM and the surface of the sample was coated with a platinum film under a vacuum atmosphere and observed under the SEM with an accelerating voltage of 15 kV. A computer program called ImageJ was used to determine the pore size (d) of hydrogels from the SEM image and then average it.

4.5. Antibacterial Measurement

The disk diffusion method (Kirby Bauer method) was employed to evaluate BSP hydrogels’ antibacterial activities. Two common strains of bacteria, Staphylococcus aureus (S. aureus) ATCC 25923 and Escherichia coli (E. coli) ATCC 25922, were used as the model gram-positive and gram-negative bacteria, respectively. A Luria Bertani medium was used to inoculate the bacteria with McFarland standard 0.5 at 37 °C overnight with shaking. Subsequently, to prepare media for the inhibition zone, the Mueller–Hinton agar was poured into a sterilized petri dish (100 mm in diameter) to a uniform depth of 4 mm until solidification. Then, one-hundred microliters of bacteria was uniformly spread on the dish using the streak plate method. For the test, filter paper discs (average 6 mm in diameter) were soaked in each hydrogel suspension (4 mg/mL), placed on the inoculated plate, and allowed to dry for 15 min, and then incubated at 37 °C for 24 h. The diameter of the inhibition zones was measured in millimeters. Both amoxicillin and chloramphenicol were used as positive controls for S. aureus and E. coli, respectively, and the nutrient broth was used as a negative control for both bacteria [35,36].

4.6. Biocompatibility of Hydrogels

4.6.1. Hemolysis

The hemolysis of MB hydrogels was measured by red blood cells (RBCs) harvested from a rabbit ear central artery that was performed according to the previous method [37]. Blood (3 mL) was drawn via the rabbit ear (central artery) and placed in a heparin-coated anticoagulant tube. A total of 1 mL of fresh rabbit blood was resuspended in 9 mL of saline buffer to create the testing solution. The RBC suspension was then washed three times with saline buffer by centrifugation (3000 r/min) for 10 min, and the supernatant was gently aspirated. Finally, a 1% RBC suspension for the hemolytic assay was obtained by resuspending the pelleted RBCs in phosphate-buffered saline (PBS). Following that, 0.2 mL of suspended RBCs was added to 9 tubes containing 10 mL of each dissolved MB hydrogel (3 mg) in PBS, as well as two tubes containing PBS and double-distilled water for negative and positive controls, respectively. The mixture was then incubated at 37 °C for 60 min. All the sample supernatants were collected by centrifugation, and the absorbances of the supernatants at 450 nm were measured to calculate the percentage of hemolysis using the following formula:
H e m o l y s i s   % = S a m p l e   a b s o r b a n c e n e g a t i v e   c o n t r o l P o s i t i v e   c o n t r o l n e g a t i v e   c o n t r o l × 100
All the hemolysis experiments were performed in triplicate.

4.6.2. Cell Viability Test Using Cell L929

The L929 (ATCC No. CCL-1) cell line was used to assess the cell viability of developed MB hydrogels using WST-1 and Live/Dead stain according to ISO-10993. The procedures were performed as in previous methods with some modifications, as follows [38].
The proliferation of the L929 cell line was examined for its number of viable cells using colorimetric quantification of tetrazolium salt WST-1 in viable cells via mitochondrial dehydrogenase. In brief, the cells were seeded into a 96-well plate at an average density of 5000 cells per well. After one day of culturing, the L929 cells were fully attached to the plate ground. The medium was changed to a medium containing 98 percent αMEM and 2% MB hydrogels. Each group’s hydrogels were used to create the dissolved MB hydrogel medium. The positive and negative controls were zinc diethyldithiocarbamate (ZDEC) and alumina (Al2O3), respectively. After 24 h, the medium was refreshed with 100 μL of WST-1 working solution per well and cultured for another 2 h. The plate was placed on the ELISA reader to determine cell viability using an absorbance spectrum at 450 nm.
In culture conditions or experimental treatments, the color of fluorescence produced by living cells versus dead cells represents the state of cell viability, apoptosis, and necrosis. Living cells are distinguished by intracellular esterase activity (green fluorescence). In contrast, dead cells are indicated by red dye staining that shows a lack of esterase activity due to the absence of an intact plasma membrane. In brief, the L929 cell line was seeded at a density of 4 × 104 cells per well in a 24-well plate for 24 h in an αMEM medium. After 24 h, the previous medium was replaced with the experimental medium (αMEM + 1% MB hydrogels). On the third day, the cells were stained for 30 min with two different mixing solutions: 2 μM calcein-AM (Thermo Fisher, Waltham, MA, USA) and 4 μM ethidium homodimer-1 (Thermo Fisher). Finally, the surviving cells could be examined under a confocal microscope (Olympus FV300 Confocal Laser Scanning Microscope).

4.7. The Evaluation of MB Hydrogels in Wound Healing In Vitro

The scratch evaluation of wound healing in vitro was described in the previous method with some modification as follows [6]. In brief, the L929 cells were seeded in 35 mm culture dish at a density of 105 cells/dish with 3 mL of complete medium (αMEM containing 10% fetal bovine serum, streptomycin, and penicillin for each 100 U/mL) and incubated for 24 h. When the cells were 80 percent confluent, a sterile pipet tip (200 µL) was used to scratch a straight line on the cell monolayer, which was then rinsed twice with 1xPBS. Then, the αMEM (3 mL) containing 1% serum was added. The control group only used the medium. A total of 1 mg/mL of developed MB hydrogel was added to the test groups. Cells in these dishes were incubated at 37 °C for 0, 12, and 24 h before being photographed. The experiments were performed in triplicate.

4.8. The Evaluation of Wound Healing In Vivo

The wound-healing efficacy of all the developed hydrogels, in vivo, was studied using the Rattus norvegicus rat model in an open excision wound model as described by Ding et al. [7]. The animal study was approved by the Ethical Clearance Committee (ECC) of Dentistry Faculty of Universitas Syiah Kuala (USK), Indonesia. The corresponding reference number was 351/KE/FKG/2022. For this study, twelve-week-old male mice weighing 175–300 g were obtained from the Veterinary Faculty of Syiah Kuala University (Banda Aceh, Indonesia). All rats stayed in cage for a week-long acclimation and were then anesthetized by a combination of Kentamine and xylazine (100 mg/kg and 5 mg/kg, respectively) administered intraperitoneally. Two full-thickness circular wounds (10 mm in diameter) were created in the upper back area of each rat using sterile scissors after the hair was completely removed via shaving. The excised right-wound was covered with a monolayer of each MB hydrogel group (n = 3, M2Bx, M5Bx, and M8Bx), whereas the untreated excised right-wound served as a control (sterile cotton gauge was applied). Each rat was housed in an individual cage with free access to food and water (ad libitum feeding), and the wound was cleaned with a sterile saline solution and reapplied with newly developed MB hydrogel daily. The wound area was measured daily. The percentage of wound closure area (%) served as the healing efficacy of the developed MB hydrogels; it was calculated using the following formula:
w o u n d   c l o s u r e   % = W i n i t i a l   a r e a W f i n a l   a r e a W i n i t i a l   a r e a × 100
where W i n i t i a l   a r e a was the wound area on day 0 and W f i n a l   a r e a was the wound area on day 1 until day 14.
On the 14th day, mice were sacrificed, and wound tissue samples were meticulously biopsied and fixed in 10% Neutral Buffer Formalin for 24 h, embedded in paraffin, and sagittal sectioned in 3–5 µm increments. Each section was stained with hematoxylin and eosin (H & E) and examined by an optical microscope (OLYMPUS, CX31,Tokyo, Japan).

4.9. Statistical Analysis

The GraphPad Prism software6 was used to analyze the data, and the results are expressed as mean ± S.D. One-way ANOVA was used for statistical analysis, followed by Tukey multiple comparison tests, with significance levels indicated as * p < 0.05, ** p < 0.01, and *** p < 0.001.

5. Conclusions

In this study, the MB hydrogels were successfully developed as wound dressings; the hydrogel compositions were BSP, MC, and a preservative component of MP, which was formulated through a self-assembly route without the presence of a crosslinker. The developed hydrogels contain bioactive materials such as glucomannan that are effective in the wound-healing process and have physical properties conducive for their application as wound-topical drugs. In addition, they were biocompatible with live tissue. The MB hydrogel with the best properties towards use as a wound-healing agent was M8Bx, which could quickly heal wounds and restore cutaneous wound structures to full-thickness in vivo. According to the previous evaluation and analysis, the M8Bx group was listed as the best and maintained good levels with respect to all the tests compared to the other groups. Thus, this formula has the potential to be developed as a final product for suitable wound dressing.

Supplementary Materials

The following supporting information can be downloaded at: https://www.mdpi.com/article/10.3390/ijms231912019/s1. Figure S1: Antibacterial activity of the developed MB hydrogels, BSP, and MC against Gram-Negative; Figure S2: Antibacterial activity of the developed MB hydrogels, BSP, and MC against Gram-Positive.

Author Contributions

Conceptualization and methodology, F.-H.L.; data curation, S.J.; formal analysis, F.-H.L.; investigation, S.J., T.-C.L., Z.-Y.C. and C.-T.C.; project administration, S.J. and D.S.N.; funding acquisition, S.J. and D.S.N.; resources, F.-H.L. and B.A.G.; supervision, F.-H.L.; writing—original draft, S.J. and I.-H.Y.; validating, H.K.; writing—review and editing, F.-H.L. and S.J.; supervision and formal analysis, F.-H.L. All authors have read and agreed to the published version of the manuscripts.

Funding

This research was funded by Universitas Syiah Kuala within the Ministry of Research, Technology and Higher Education, Indonesia (grant number 233/UN11.2.1/PT.01.03/PNBP/2022).

Institutional Review Board Statement

The study was conducted in accordance with the Declaration of Helsinki and approved by The Ethical Clearance Committee of Dentistry Faculty of Universitas Syiah Kuala (USK), Banda Aceh, Indonesia. Number 351/KE/FKG/2022, 30 March 2022.

Data Availability Statement

Not applicable.

Conflicts of Interest

The authors declare no conflict of interest.

References

  1. Potekaev, N.N.; Borzykh, O.B.; Medvedev, G.V.; Pushkin, D.V.; Petrova, M.M.; Petrov, A.V.; Dmitrenko, D.V.; Karpova, E.I.; Demina, O.M.; Shnayder, N.A. The Role of Extracellular Matrix in Skin Wound Healing. J. Clin. Med. 2021, 10, 5947. [Google Scholar] [CrossRef] [PubMed]
  2. Cano Sanchez, M.; Lancel, S.; Boulanger, E.; Neviere, R. Targeting Oxidative Stress and Mitochondrial Dysfunction in the Treatment of Impaired Wound Healing: A Systematic Review. Antioxidants 2018, 7, 98. [Google Scholar] [CrossRef] [PubMed]
  3. Raziyeva, K.; Kim, Y.; Zharkinbekov, Z.; Kassymbek, K.; Jimi, S.; Saparov, A. Immunology of Acute and Chronic Wound Healing. Biomolecules 2021, 11, 700. [Google Scholar] [CrossRef] [PubMed]
  4. Vimalraj, S.; Pichu, S.; Pankajam, T.; Dharanibalan, K.; Djonov, V.; Chatterjee, S. Nitric oxide regulates intussusceptive-like angiogenesis in wound repair in chicken embryo and transgenic zebrafish models. Nitric Oxide 2019, 82, 48–58. [Google Scholar] [CrossRef]
  5. Shariatinia, Z. Chapter 2—Pharmaceutical applications of natural polysaccharides. In Natural Polysaccharides in Drug Delivery and Biomedical Applications; Hasnain, M.S., Nayak, A.K., Eds.; Academic Press: Cambridge, MA, USA, 2019; pp. 15–57. [Google Scholar]
  6. Luo, Y.; Diao, H.; Xia, S.; Dong, L.; Chen, J.; Zhang, J. A physiologically active polysaccharide hydrogel promotes wound healing. J. Biomed. Mater. Res. Part A 2010, 94, 193–204. [Google Scholar] [CrossRef] [PubMed]
  7. Ding, L.; Shan, X.; Zhao, X.; Zha, H.; Chen, X.; Wang, J.; Cai, C.; Wang, X.; Li, G.; Hao, J.; et al. Spongy bilayer dressing composed of chitosan–Ag nanoparticles and chitosan–Bletilla striata polysaccharide for wound healing applications. Carbohydr. Polym. 2017, 157, 1538–1547. [Google Scholar] [CrossRef] [PubMed]
  8. Alven, S.; Aderibigbe, B. Hyaluronic Acid-Based Scaffolds as Potential Bioactive Wound Dressings. Polymers 2021, 13, 2102. [Google Scholar] [CrossRef] [PubMed]
  9. Thacker, M.; Tseng, C.-L.; Chang, C.-Y.; Jakfar, S.; Chen, H.Y.; Lin, F.-H. Mucoadhesive Bletilla striata Polysaccharide-Based Artificial Tears to Relieve Symptoms and Inflammation in Rabbit with Dry Eyes Syndrome. Polymers 2020, 12, 1465. [Google Scholar] [CrossRef] [PubMed]
  10. Zhang, Q.; Qi, C.; Wang, H.; Xiao, X.; Zhuang, Y.; Gu, S.; Zhou, Y.; Wang, L.; Yang, H.; Xu, W. Biocompatible and degradable Bletilla striata polysaccharide hemostasis sponges constructed from natural medicinal herb Bletilla striata. Carbohydr. Polym. 2019, 226, 115304. [Google Scholar] [CrossRef] [PubMed]
  11. Piipponen, M.; Li, D.; Landén, N.X. The Immune Functions of Keratinocytes in Skin Wound Healing. Int. J. Mol. Sci. 2020, 21, 8790. [Google Scholar] [CrossRef]
  12. Chen, Z.; Cheng, L.; He, Y.; Wei, X. Extraction, characterization, utilization as wound dressing and drug delivery of Bletilla striata polysaccharide: A review. Int. J. Biol. Macromol. 2018, 120 Pt B, 2076–2085. [Google Scholar] [CrossRef]
  13. Diao, H.; Li, X.; Chen, J.; Luo, Y.; Chen, X.; Dong, L.; Wang, C.; Zhang, C.; Zhang, J. Bletilla striata Polysaccharide Stimulates Inducible Nitric Oxide Synthase and Proinflammatory Cytokine Expression in Macrophages. J. Biosci. Bioeng. 2008, 105, 85–89. [Google Scholar] [CrossRef] [PubMed]
  14. Ho, M.T.; Teal, C.J.; Shoichet, M.S. A hyaluronan/methylcellulose-based hydrogel for local cell and biomolecule delivery to the central nervous system. Brain Res. Bull. 2019, 148, 46–54. [Google Scholar] [CrossRef]
  15. Liang, H.-F.; Hong, M.-H.; Ho, R.-M.; Chung, C.-K.; Lin, Y.-H.; Chen, C.-H.; Sung, H.W. Novel Method Using a Temperature-Sensitive Polymer (Methylcellulose) to Thermally Gel Aqueous Alginate as a pH-Sensitive Hydrogel. Biomacromolecules 2004, 5, 1917–1925. [Google Scholar] [CrossRef]
  16. Tam, R.Y.; Cooke, M.J.; Shoichet, M.S. A covalently modified hydrogel blend of hyaluronan–methyl cellulose with peptides and growth factors influences neural stem/progenitor cell fate. J. Mater. Chem. 2012, 22, 19402–19411. [Google Scholar] [CrossRef]
  17. Jeong, C.H.; Kim, D.H.; Yune, J.H.; Kwon, H.C.; Shin, D.-M.; Sohn, H.; Lee, K.H.; Choi, B.; Kim, E.S.; Kang, J.H.; et al. In vitro toxicity assessment of crosslinking agents used in hyaluronic acid dermal filler. Toxicol. Vitr. 2021, 70, 105034. [Google Scholar] [CrossRef]
  18. Song, K.; Xu, H.; Mu, B.; Xie, K.; Yang, Y. Non-toxic and clean crosslinking system for protein materials: Effect of extenders on crosslinking performance. J. Clean. Prod. 2017, 150, 214–223. [Google Scholar] [CrossRef]
  19. Chunyu Chang, L.Z. Review: Cellulose-based hydrogels: Present status and application prospects. Carbohydr. Polym. 2011, 84, 4. [Google Scholar]
  20. Nasatto, P.L.; Pignon, F.; Silveira, J.L.M.; Duarte, M.E.R.; Noseda, M.D.; Rinaudo, M. Methylcellulose, a Cellulose Derivative with Original Physical Properties and Extended Applications. Polymers 2015, 7, 777–803. [Google Scholar] [CrossRef]
  21. Chen, H.-Y.; Lin, T.-C.; Chiang, C.-Y.; Wey, S.-L.; Lin, F.-H.; Yang, K.-C.; Chang, C.-H.; Hu, M.-H. Antifibrotic Effect of Bletilla striata Polysaccharide-Resveratrol-Impregnated Dual-Layer Carboxymethyl Cellulose-Based Sponge for The Prevention of Epidural Fibrosis after Laminectomy. Polymers 2021, 13, 2129. [Google Scholar] [CrossRef] [PubMed]
  22. Chen, Z.-Y.; Chen, S.-H.; Chen, C.-H.; Chou, P.-Y.; Yang, C.-C.; Lin, F.-H. Polysaccharide Extracted from Bletilla striata Promotes Proliferation and Migration of Human Tenocytes. Polymers 2020, 12, 2567. [Google Scholar] [CrossRef] [PubMed]
  23. Sarkar, G.; Saha, N.R.; Roy, I.; Bhattacharyya, A.; Adhikari, A.; Rana, D.; Bhowmik, M.; Bose, M.; Mishra, R.; Chattopadhyay, D. Cross-linked methyl cellulose/graphene oxide rate controlling membranes for in vitro and ex vivo permeation studies of diltiazem hydrochloride. RSC Adv. 2016, 6, 36136–36145. [Google Scholar] [CrossRef]
  24. Wang, Y.; Liu, J.; Li, Q.; Wang, Y.; Wang, C. Two natural glucomannan polymers, from Konjac and Bletilla, as bioactive materials for pharmaceutical applications. Biotechnol. Lett. 2015, 37, 1–8. [Google Scholar] [CrossRef] [PubMed]
  25. Sparavigna, A.; La Gatta, A.; Bellia, G.; La Penna, L.; Giori, A.M.; Vecchi, G.; Tenconi, B.; Schiraldi, C. Evaluation of the Volumizing Performance of a New Volumizer Filler in Volunteers with Age-Related Midfacial Volume Defects. Clin. Cosmet. Investig. Dermatol. 2020, 13, 683–690. [Google Scholar] [CrossRef] [PubMed]
  26. Dhivya, S.; Padma, V.V.; Santhini, E. Wound dressings—A review. BioMedicine 2015, 5, 22. [Google Scholar] [CrossRef] [PubMed]
  27. Li, Y.; Ma, Z.; Yang, X.; Gao, Y.; Ren, Y.; Li, Q.; Qu, Y.; Chen, G.; Zeng, R. Investigation into the physical properties, antioxidant and antibacterial activity of Bletilla striata polysaccharide/chitosan membranes. Int. J. Biol. Macromol. 2021, 182, 311–320. [Google Scholar] [CrossRef] [PubMed]
  28. Li, Q.; Li, K.; Huang, S.-S.; Zhang, H.-L.; Diao, Y.-P. Optimization of Extraction Process and Antibacterial Activity of Bletilla striata Polysaccharides. Asian J. Chem. 2014, 26, 3574–3580. [Google Scholar] [CrossRef]
  29. Ferrer, M.C.C.; Eckmann, U.N.; Composto, R.J.; Eckmann, D.M. Hemocompatibility and biocompatibility of antibacterial biomimetic hybrid films. Toxicol. Appl. Pharmacol. 2013, 272, 703–712. [Google Scholar] [CrossRef] [PubMed]
  30. Firlar, I.; Altunbek, M.; McCarthy, C.; Ramalingam, M.; Camci-Unal, G. Functional Hydrogels for Treatment of Chronic Wounds. Gels 2022, 8, 127. [Google Scholar] [CrossRef] [PubMed]
  31. Zhang, C.; He, Y.; Chen, Z.; Shi, J.; Qu, Y.; Zhang, J. Effect of Polysaccharides from Bletilla striata on the Healing of Dermal Wounds in Mice. Evid.-Based Complement. Altern. Med. 2019, 2019, 1–9. [Google Scholar] [CrossRef] [PubMed]
  32. Zhou, H.; Jin, Y.; Gu, C.; Chen, Y.; Xia, J. Bletilla striata promotes the healing of enterocutaneous fistula: A case report. Medicine 2019, 98, e16288. [Google Scholar] [CrossRef] [PubMed]
  33. Tai, Y.; Shen, J.; Luo, Y.; Qu, H.; Gong, X. Research progress on the ethanol precipitation process of traditional Chinese medicine. Chin. Med. 2020, 15, 1–17. [Google Scholar] [CrossRef] [PubMed]
  34. Lai, Y.-L.; Lin, Y.-Y.; Sadhasivam, S.; Kuan, C.-Y.; Chi, C.-Y.; Dong, G.-C.; Lin, F.-H. Efficacy of Bletilla striata polysaccharide on hydrogen peroxide-induced apoptosis of osteoarthritic chondrocytes. J. Polym. Res. 2018, 25, 49. [Google Scholar] [CrossRef]
  35. Bachir, R.G.; Benali, M. Antibacterial activity of the essential oils from the leaves of Eucalyptus globulus against Escherichia coli and Staphylococcus aureus. Asian Pac. J. Trop. Biomed. 2012, 2, 739–742. [Google Scholar] [CrossRef]
  36. Zhao, N.; Yuan, W. Highly adhesive and dual-crosslinking hydrogel via one-pot self-initiated polymerization for efficient antibacterial, antifouling and full-thickness wound healing. Compos. Part B Eng. 2022, 230, 109525. [Google Scholar] [CrossRef]
  37. Hajji, S.; Khedir, S.B.; Hamza-Mnif, I.; Hamdi, M.; Jedidi, I.; Kallel, R.; Boufi, S.; Nasri, M. Biomedical potential of chitosan-silver nanoparticles with special reference to antioxidant, antibacterial, hemolytic and in vivo cutaneous wound healing effects. Biochim. Biophys. Acta BBA-Gen. Subj. 2019, 1863, 241–254. [Google Scholar] [CrossRef]
  38. Jakfar, S.; Lin, T.-C.; Wu, S.-C.; Wang, Y.-H.; Sun, Y.-J.; Thacker, M.; Liu, L.-X.; Lin, F.-H. New design to remove leukocytes from platelet-rich plasma (PRP) based on cell dimension rather than density. Bioact. Mater. 2021, 6, 3528–3540. [Google Scholar] [CrossRef]
Figure 1. The scheme of concept and experimental design for the entire study. (1) Bletilla striata Polysaccharide (BSP) extract from B. Striata was produced by the ethanol precipitation method. (2) BSP, Methylcellulose (MC), and Methylparaben (MP) were blended with the different compositions of developed hydrogels, which were abbreviated as M2Bx, M5Bx, and M8Bx groups, where M and B stand for MC and BSP, respectively, and the numbers refer to M percentage and x refers to BSP percentages: 0.5%, 1%, and 2%. (3) MB hydrogel was a general term to represent all hydrogels. (4) the developed MB hydrogel used to serve as wound dressing was applied to a rat model to evaluate its efficacy towards wound healing. (5) The scheme of MB hydrogel to induce cell migration/proliferation and to improve tissue repair during the wound-healing process.
Figure 1. The scheme of concept and experimental design for the entire study. (1) Bletilla striata Polysaccharide (BSP) extract from B. Striata was produced by the ethanol precipitation method. (2) BSP, Methylcellulose (MC), and Methylparaben (MP) were blended with the different compositions of developed hydrogels, which were abbreviated as M2Bx, M5Bx, and M8Bx groups, where M and B stand for MC and BSP, respectively, and the numbers refer to M percentage and x refers to BSP percentages: 0.5%, 1%, and 2%. (3) MB hydrogel was a general term to represent all hydrogels. (4) the developed MB hydrogel used to serve as wound dressing was applied to a rat model to evaluate its efficacy towards wound healing. (5) The scheme of MB hydrogel to induce cell migration/proliferation and to improve tissue repair during the wound-healing process.
Ijms 23 12019 g001
Figure 2. Fourier transform infrared spectrum of BSP, MC, and MB hydrogels. (a) MC, (b) BSP, (c) M8B2, (d) M5B2, and (e) M2B2. The characteristic absorption bands of MC, BSP, and MB hydrogels are indicated by red arrows.
Figure 2. Fourier transform infrared spectrum of BSP, MC, and MB hydrogels. (a) MC, (b) BSP, (c) M8B2, (d) M5B2, and (e) M2B2. The characteristic absorption bands of MC, BSP, and MB hydrogels are indicated by red arrows.
Ijms 23 12019 g002
Figure 3. Chemical shift (ppm) of MC, pure BSP, and MB hydrogels. (a) 1H NMR spectra of all examined materials revealed the presence of both α-mannopyranosyl (α-M) and β-glucopyranosyl (β-G), while the same chemical shift of methyl protons, indicated as red mark Me, was detected on the MB hydrogel and MC. (b) 13C NMR spectra confirmed the same chemical shift of α-M and β-G for BSP and MB hydrogels as shown in arrows of dark-blue and green, respectively, with which the β-G chemical shift could be traced only in MC.
Figure 3. Chemical shift (ppm) of MC, pure BSP, and MB hydrogels. (a) 1H NMR spectra of all examined materials revealed the presence of both α-mannopyranosyl (α-M) and β-glucopyranosyl (β-G), while the same chemical shift of methyl protons, indicated as red mark Me, was detected on the MB hydrogel and MC. (b) 13C NMR spectra confirmed the same chemical shift of α-M and β-G for BSP and MB hydrogels as shown in arrows of dark-blue and green, respectively, with which the β-G chemical shift could be traced only in MC.
Ijms 23 12019 g003
Figure 4. SEM images of the lyophilized MB hydrogels as represented by (a) M2B2, (b) M5B2, and (c) M8B2; (d) the average of pore size for each hydrogel. The scale bar is 50 µm, the mark ns means no significant difference, and significance levels were indicated as * (p < 0.05), ** (p < 0.01), and *** (p < 0.001).
Figure 4. SEM images of the lyophilized MB hydrogels as represented by (a) M2B2, (b) M5B2, and (c) M8B2; (d) the average of pore size for each hydrogel. The scale bar is 50 µm, the mark ns means no significant difference, and significance levels were indicated as * (p < 0.05), ** (p < 0.01), and *** (p < 0.001).
Ijms 23 12019 g004
Figure 5. Water loss and swelling ratio of MB hydrogels: (a) water loss property of MB hydrogels after drying in a vacuum oven at 60 °C for 24 h, and (b) the swelling of MB hydrogel after immersion in phosphate buffer solution (PBS) with pH = 7.4 at 37 °C for 24 h. The significance levels were indicated as ** (p < 0.01), and *** (p < 0.001).
Figure 5. Water loss and swelling ratio of MB hydrogels: (a) water loss property of MB hydrogels after drying in a vacuum oven at 60 °C for 24 h, and (b) the swelling of MB hydrogel after immersion in phosphate buffer solution (PBS) with pH = 7.4 at 37 °C for 24 h. The significance levels were indicated as ** (p < 0.01), and *** (p < 0.001).
Ijms 23 12019 g005
Figure 6. Hemolysis and cell viability evaluations for MB hydrogel groups: (a) Hemolytic potentials as determined by ASTM F756−00, 2000 and (b) Cell viability followed by ISO−10993 using the WST−1 assay. There was no statistical difference in cell viability at *** p < 0.001.
Figure 6. Hemolysis and cell viability evaluations for MB hydrogel groups: (a) Hemolytic potentials as determined by ASTM F756−00, 2000 and (b) Cell viability followed by ISO−10993 using the WST−1 assay. There was no statistical difference in cell viability at *** p < 0.001.
Ijms 23 12019 g006
Figure 7. Live/Dead staining with respect to cytotoxicity: (a) Control, (b) M2B2, (c) M5B2, and (d) M8B2; scale bar 100 µm.
Figure 7. Live/Dead staining with respect to cytotoxicity: (a) Control, (b) M2B2, (c) M5B2, and (d) M8B2; scale bar 100 µm.
Ijms 23 12019 g007
Figure 8. Assay for cell wound healing. The migration of L929 cells in the MB hydrogel-containing medium by in an in vitro scratch evaluation. The cell migration around the scratch line increased for all developed hydrogel groups compared the control group (medium only). The cell density around scratch line was denser than the control group after 24 h of the incubation period for all the developed MB hydrogels as shown by the red arrows; scale bar 200 µm.
Figure 8. Assay for cell wound healing. The migration of L929 cells in the MB hydrogel-containing medium by in an in vitro scratch evaluation. The cell migration around the scratch line increased for all developed hydrogel groups compared the control group (medium only). The cell density around scratch line was denser than the control group after 24 h of the incubation period for all the developed MB hydrogels as shown by the red arrows; scale bar 200 µm.
Ijms 23 12019 g008
Figure 9. Assay for wound healing. (a) The laceration model was used on Rattus Norvegicus rats, and the wound areas were treated for two weeks with either sterile cotton gauge (control group) or developed MB hydrogels (test group); the scale bar represents 10 mm. (b) The wound-healing area on rats treated with developed MB hydrogels versus those left untreated (control) at 3, 7, and 14 days. The data represent the mean ± S.D (n = 3; ** p < 0.01 and *** p < 0.001, when compared to the control group). All the developed MB hydrogels were much better than control group in terms of wound healing, even when considering 3-day, 7-day or 14-day results, but showed no significant difference among the MB groups.
Figure 9. Assay for wound healing. (a) The laceration model was used on Rattus Norvegicus rats, and the wound areas were treated for two weeks with either sterile cotton gauge (control group) or developed MB hydrogels (test group); the scale bar represents 10 mm. (b) The wound-healing area on rats treated with developed MB hydrogels versus those left untreated (control) at 3, 7, and 14 days. The data represent the mean ± S.D (n = 3; ** p < 0.01 and *** p < 0.001, when compared to the control group). All the developed MB hydrogels were much better than control group in terms of wound healing, even when considering 3-day, 7-day or 14-day results, but showed no significant difference among the MB groups.
Ijms 23 12019 g009
Figure 10. Histological images of dissected skin tissues stained with H&E on day 14. The letters a, b, c, d, e, f, g, h, and i represent inflammatory cells, epidermal folding and thickening, epidermal lysis, epidermal necrosis, scabs, epidermal shedding, blood vessels, re-epithelization, and neovascularization, respectively. (a) Control, (b) M2B2, (c) M5B2, and (d) M8B2 The scale bar measures 100 µm.
Figure 10. Histological images of dissected skin tissues stained with H&E on day 14. The letters a, b, c, d, e, f, g, h, and i represent inflammatory cells, epidermal folding and thickening, epidermal lysis, epidermal necrosis, scabs, epidermal shedding, blood vessels, re-epithelization, and neovascularization, respectively. (a) Control, (b) M2B2, (c) M5B2, and (d) M8B2 The scale bar measures 100 µm.
Ijms 23 12019 g010
Table 1. Rheological properties of the developed hydrogels.
Table 1. Rheological properties of the developed hydrogels.
Hydrogel NameG’ (Pa)G” (Pa)Complex Viscosity (Pa × s)Tan Delta (G”/G’)
M2B0536.32 ± 26.3134.9 ± 30.4079.52 ± 60.750.85 ± 0.25
M2B168.90 ± 45.2343.15 ± 31.7515.05 ± 12.860.58 ± 0.13
M2B250.22 ± 34.6726.78 ± 20.9710.85 ± 9.820.49 ± 0.13
M5B05373.30 ± 317.22375.13 ± 242.7573.72 ± 40.731.19 ± 0.24
M5B1547.96 ± 421.86501.02 ± 297.02111.94 ± 67.991.05 ± 0.19
M5B2651.04 ± 488.15560.49 ± 316.50133.86 ± 84.800.99 ± 0.18
M8B054193.40 ± 1611.771703.23 ± 575.751069.29 ± 1002.070.41 ± 0.01
M8B12578.84 ± 1365.371462.60 ± 585.79594.40 ± 487.130.60 ± 0.07
M8B22242.33 ± 1322.151431.57 ± 620.18497.64 ± 380.880.70 ± 0.11
Table 2. Antibacterial activity of the MB hydrogels, BSP, and MC against Gram-positive and Gram-negative bacteria.
Table 2. Antibacterial activity of the MB hydrogels, BSP, and MC against Gram-positive and Gram-negative bacteria.
BacteriaPositive ControlInhibition Zone Diameter (mm)
M2B05M2B1M2B2M5B05M5B1M5B2M8B05M8B1M8B2BSPMC
Gram (+)
S. aureus
24 h 29.8 ± 0.06.0 ± 0.06.0 ± 0.06.1 ± 0.06.2 ± 0.06.3 ± 0.06.2 ± 0.06.1 ± 0.06.1 ± 0.06.0 ± 0.06.1 ± 0.06.1 ± 0.0
48 h 29.8 ± 0.06.1 ± 0.06.1 ± 0.06.1 ± 0.06.2 ± 0.06.3 ± 0.06.2 ± 0.06.1 ± 0.06.1 ± 0.06.1 ± 0.06.1 ± 0.06.1 ± 0.0
Gram (−)
E. coli
24 h 24.9 ± 0.06.0 ± 0.06.0 ± 0.06.1 ± 0.06.0 ± 0.06.1 ± 0.06.1 ± 0.06.1 ± 0.06.1 ± 0.06.0 ± 0.06.0 ± 0.06.0 ± 0.0
48 h 25.0 ± 0.06.0 ± 0.06.1 ± 0.06.1 ± 0.06.0 ± 0.06.1 ± 0.06.1 ± 0.06.1 ± 0.06.1 ± 0.06.0 ± 0.06.1 ± 0.06.0 ± 0.0
incubation period; amoxicillin and Chloramphenicol were used as positive controls for gram (+) and (–), respectively. In addition, nutrient broth (NB) was used as negative control.
Publisher’s Note: MDPI stays neutral with regard to jurisdictional claims in published maps and institutional affiliations.

Share and Cite

MDPI and ACS Style

Jakfar, S.; Lin, T.-C.; Chen, Z.-Y.; Yang, I.-H.; Gani, B.A.; Ningsih, D.S.; Kusuma, H.; Chang, C.-T.; Lin, F.-H. RETRACTED: A Polysaccharide Isolated from the Herb Bletilla striata Combined with Methylcellulose to Form a Hydrogel via Self-Assembly as a Wound Dressing. Int. J. Mol. Sci. 2022, 23, 12019. https://doi.org/10.3390/ijms231912019

AMA Style

Jakfar S, Lin T-C, Chen Z-Y, Yang I-H, Gani BA, Ningsih DS, Kusuma H, Chang C-T, Lin F-H. RETRACTED: A Polysaccharide Isolated from the Herb Bletilla striata Combined with Methylcellulose to Form a Hydrogel via Self-Assembly as a Wound Dressing. International Journal of Molecular Sciences. 2022; 23(19):12019. https://doi.org/10.3390/ijms231912019

Chicago/Turabian Style

Jakfar, Subhaini, Tzu-Chieh Lin, Zhi-Yu Chen, I-Hsuan Yang, Basri A. Gani, Diana Setya Ningsih, Hendra Kusuma, Chia-Tien Chang, and Feng-Huei Lin. 2022. "RETRACTED: A Polysaccharide Isolated from the Herb Bletilla striata Combined with Methylcellulose to Form a Hydrogel via Self-Assembly as a Wound Dressing" International Journal of Molecular Sciences 23, no. 19: 12019. https://doi.org/10.3390/ijms231912019

APA Style

Jakfar, S., Lin, T.-C., Chen, Z.-Y., Yang, I.-H., Gani, B. A., Ningsih, D. S., Kusuma, H., Chang, C.-T., & Lin, F.-H. (2022). RETRACTED: A Polysaccharide Isolated from the Herb Bletilla striata Combined with Methylcellulose to Form a Hydrogel via Self-Assembly as a Wound Dressing. International Journal of Molecular Sciences, 23(19), 12019. https://doi.org/10.3390/ijms231912019

Note that from the first issue of 2016, this journal uses article numbers instead of page numbers. See further details here.

Article Metrics

Back to TopTop