A Computational QSAR, Molecular Docking and In Vitro Cytotoxicity Study of Novel Thiouracil-Based Drugs with Anticancer Activity against Human-DNA Topoisomerase II
Abstract
1. Introduction
2. Results and Discussion
2.1. Methods Benchmark
2.2. Determination of the Chemical Reactivity of 2H, 6H, 7H, and 9H Derivatives in the Gas and Aqueous Phases
2.2.1. Effect of Solvent on Energy and Dipole Moment
2.2.2. Global Reactivity Descriptors
2.3. Molecular Docking
2.3.1. Docking with Human DNA Topoisomerase II Alpha (IIα)
2.3.2. Docking with Human DNA Topoisomerase II Beta (II β)
2.4. Drug Likeness and Virtual Screening
2.4.1. Lipinski Rule of 5
2.4.2. Veber’s Rule
2.4.3. Golden Triangle
2.4.4. Structure–Activity (SAR) Properties
2.5. Biological Activity (IC50)
2.5.1. Cytotoxicity Screening of 2H, 6H, 7H, and 9H TUDHIPP Derivatives
2.5.2. Visualization of the Morphological Changes in Human Cancer Cell Lines by Phase Contrast Inverted Microscopy
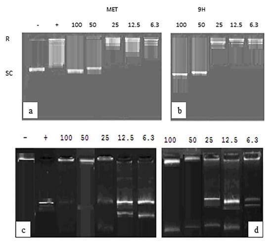
2.5.3. Testing DNA Topoisomerase Targeting by 7H & 9H
2.5.4. Cell Cycle Analysis and Apoptosis
2.6. Quantitative Structure–Activity Relationship (QSAR) and Regression Analysis
2.6.1. Quantitative Structure–Activity Relationships (QSARs)
2.6.2. Descriptor Generation
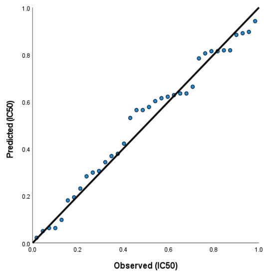
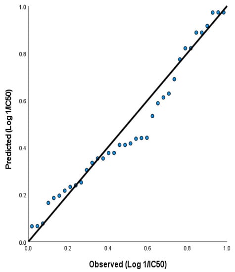
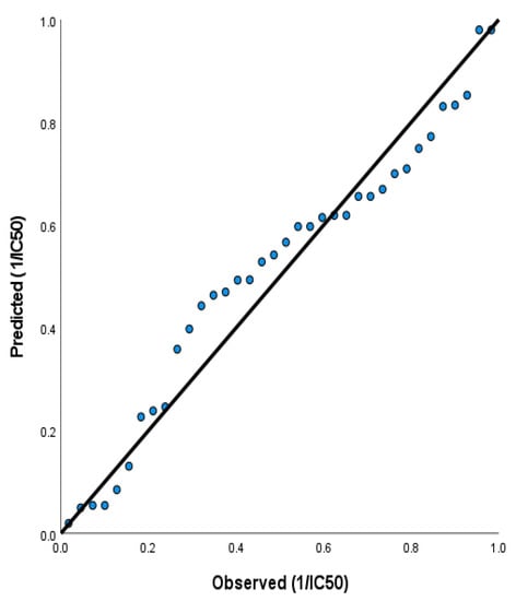
2.6.3. Regression Analysis
3. Materials and Methods
3.1. Synthesis of 2H, 6H, 7H, and 9H
3.2. Biological Activity
3.2.1. Testing In Vitro Cytotoxicity (Evaluation of IC50)
3.2.2. Morphologic Observation Using Inverted Microscope
3.2.3. Topoisomerase I Assay
3.2.4. Topoisomerase II Assay
3.2.5. Cell Cycle Analysis and Detection of Apoptosis
4. Computational Details
4.1. Geometry Optimization
4.2. Virtual Screening and Drug Likeness
4.3. Molecular Docking Simulation
5. Conclusions
Author Contributions
Funding
Institutional Review Board Statement
Data Availability Statement
Acknowledgments
Conflicts of Interest
References
- Word Health Organization. Cancer Key Facts 2018. Available online: https://www.who.int/cancer/about/facts/en/ (accessed on 4 January 2019).
- Khamouli, S.; Belaidi, S.; Medjahed, A.; Belaidi, H. Property/Activity Relationships and Drug Likeness for Pyrimidine Derivatives as Serine/Threonine Protein Kinase B Inhibitor. J. Bionanosci. 2017, 11, 301–309. [Google Scholar] [CrossRef]
- Harkati, D.; Belaidi, S.; Kerassa, A.; Gherraf, N. Molecular Structure, Substituent Effect and Physical-Chemistry Property Relationship of Indole Derivatives. Quantum Matter. 2016, 5, 36–44. [Google Scholar] [CrossRef]
- Dua, R.; Shrivastava, S.; Sonwane, S.K.; Srivastava, S.K. Pharmacological Significance of Synthetic Heterocycles Scaffold. Adv. Biol. Res. 2011, 5, 120–144. [Google Scholar]
- Builla, J.A.; Vaquero, J.J.; Barluenga, J. Modern Heterocyclic Chemistry, 1st ed.; Wiley-VCH Verlag GmbH: Weinheim, Germany, 2011; Volume 4, ISBN 9783527332014. [Google Scholar]
- Bouchlaleg, L.; Belaidi, S.; Salah, T.; Alafeefy, A.M. Quantitative Structure Activity Relationship Study for Development of Plasmin Inhibitors Controlled by the Spacer Hydantoin. J. Comput. Theor. Nanosci. 2015, 12, 3949–3955. [Google Scholar] [CrossRef]
- Dermeche, K.; Tchouar, N.; Belaidi, S.; Salah, T. Qualitative Structure-Activity Relationships and 2D-QSAR Modeling of TNF-α Inhibition by Thalidomide Derivatives. J. Bionanosci. 2015, 9, 395–400. [Google Scholar] [CrossRef]
- Belaidi, S.; Youcef, O.; Salah, T.; Lanez, T. In Silico Approach for Conformational Analysis, Drug-Likeness Properties and Structure Activity Relationships of 12-Membered Macrolides. J. Comput. Theor. Nanosci. 2015, 12, 4855–4861. [Google Scholar] [CrossRef]
- Cecil, R. The Proteins: Composition, Structure, and Function, 2nd ed.; Hans, N., Ed.; Elsevier: New York, NY, USA, 1963; Volume 1, pp. 379–476. ISBN 978-0-12-395723-8. [Google Scholar]
- Evdokimov, N.M.; Van Slambrouck, S.; Heffeter, P.; Le Calve, L.; Tu, B.; Lamoral-Theys, D.; Hooten, C.J.P.; Uglinskii, Y.; Rogelj, S.; Kiss, R.; et al. Structural simplification of bioactive natural products with multicomponent synthesis. 3. Fused uracil-containing heterocycles as novel topoisomerase-targeting agents. J. Med. Chem. 2011, 52, 6643–6645. [Google Scholar] [CrossRef][Green Version]
- Hassaneen, M.E. A novel one-pot three-components reaction: Synthesis of indeno [2’,1’:5,6]pyrido [2,3:4’’,5’’]pyrimido [2’’,1’’-c] triazole-5,7-dione. A new ring system. Arkivoc 2007, 2007, 154–163. [Google Scholar] [CrossRef]
- Zheng, H.; Jie, J.; Zheng, Y.J. Multi-Swarm Chaotic Particle Swarm Optimization for Protein Folding. J. Bionanosci. 2013, 7, 643–648. [Google Scholar] [CrossRef]
- Xu, H.; Fang, G.; Gou, J.; Wang, S.; Yao, Q.; Zhang, Y.; Tang, X.; Zhao, Y.J. Lyophilization of Self-Assembled Polymeric Nanoparticles Without Compromising Their Microstructure and Their In Vivo Evaluation: Pharmacokinetics, Tissue Distribution and Toxicity. Biomater. Tissue Eng. 2015, 5, 919–929. [Google Scholar] [CrossRef]
- Li, X.; Rong, Q.; Chen, S.-L. The Innate Osteogenic Potential of the Canine Maxillary Sinus Membrane: An In Vitro and In Vivo Study. J. Biomater. Tissue Eng. 2015, 5, 445–451. [Google Scholar] [CrossRef]
- Guo, H.G.; Guo, H.S.; Yao, F.L.; Yang, S.G.; Chen, Z.; Wang, T. In Vitro Study on Biological Potential of Tissue-Engineered Cage by Using Surface-Modified Technique: A Preliminary Evaluation. J. Biomater. Tissue Eng. 2016, 6, 114–121. [Google Scholar] [CrossRef]
- Liu, Y.; Hsing, I. Others Cancer specific targeting by glucosamine coated gold nanoparticles in vitro and in vivo. J. Biomater. Tissue Eng. 2015, 5, 687–696. [Google Scholar] [CrossRef]
- Kim, K.; Kim, D.Y.; Baek, J.H.; Kim, J.H.; Park, Y.H.; Kim, Y.J.; Min, B.H.; Kim, M.S. Comparison of the In Vivo Bioactivity of Electrospun Poly (D, L-lactic-co-glycolic acid) and Poly (L-lactide) Fibrous Scaffolds. J. Biomater. Tissue Eng. 2015, 5, 372–377. [Google Scholar] [CrossRef]
- Jeyapragas, R.; Poovi, G.; Rao, M.S.; Gopal, R.; Sivabalan, M. Formulation, In-Vitro Characterization, Dissolution and Stability Enhancement of Oral Delivery of Nano Self-Emulsifying Powder for Poorly Water Soluble Drug. J. Bionanosci. 2015, 9, 465–474. [Google Scholar] [CrossRef]
- Zakharov, A.V.; Lagunin, A.A.; Filimonov, D.A.; Poroikov, V.V. Quantitative prediction of antitarget interaction profiles for chemical compounds. Chem. Res. Toxicol. 2012, 25, 2378–2385. [Google Scholar] [CrossRef]
- Tao, K.; Bai, X.Z.; Li, X.Q.; Zhang, Y.; Shi, J.H.; Tang, C.W.; Hu, D.-H. In vitro induction of adipose-derived mesenchymal stem cells differentiated into sweat gland epithelial cells. J. Comput. Theor. Nanosci. 2014, 11, 1785–1789. [Google Scholar] [CrossRef]
- Campos, J.; Jiménez, C.; Trigo, C.; Ibarra, P.; Rana, D.; Thiruganesh, R.; Ramalingam, M.; Haidar, Z.S. Quartz crystal microbalance with dissipation monitoring: A powerful tool for bionanoscience and drug discovery. J. Bionanosci. 2015, 9, 249–260. [Google Scholar] [CrossRef]
- Romagnoli, C.; Zonefrati, R.; Puppi, D.; Rosati, C.; Aldinucci, A.; Palmini, G.; Galli, , G.; Chiellini, F.; Martelli, F.S.; Tanini, A. Human Adipose Tissue-Derived Stem Cells and a Poly (ε-Caprolactone) Scaffold Produced by Computer-Aided Wet Spinning for Bone Tissue Engineering. J. Biomater. Tissue Eng. 2017, 7, 622–633. [Google Scholar] [CrossRef]
- Straka, F.; Schornik, D.; Masin, J.; Filova, E.; Mirejovsky, T.; Burdikova, Z.; Svindrych, Z.; Chlup, H.; Horny, L.; Vesely, J.A. New approach to heart valve tissue engineering based on modifying autologous human pericardium by 3D cellular mechanotransduction. J. Biomater. Tissue Eng. 2017, 7, 527–543. [Google Scholar] [CrossRef]
- Medjahed, S.; Belaidi, S.; Djekhaba, S.; Tchouar, N.; Kerassa, A. Computational Study of Molecular Electrostatic Potential, Drug Likeness Screening and Structure-Activity/Property Relationships of Thiazolidine-2, 4-Dione Derivatives. J. Bionanosci. 2016, 10, 118–126. [Google Scholar] [CrossRef]
- Soualmia, F.; Belaidi, S.; Belaidi, H.; Tchouar, N.; Almi, Z. Quantitative Structure Anti-Proliferative Activity Against HEPG2 and SW1116 Relationships in a Series of Pyrazine Derivatives. J. Bionanosci. 2017, 11, 584–591. [Google Scholar] [CrossRef]
- Belaidi, S.; Melkemi, N.; Bouzidi, D. Molecular geometry and structure-property relationships for 1, 2-dithiole-3-thione derivatives. Int. J. Chem. Res. 2012, 4, 134–139. [Google Scholar]
- Yam, C.-Y.; Zheng, X.; Chen, G. Some recent progresses in density-functional theory: Efficiency, accuracy, and applicability. J. Comput. Theor. Nanosci. 2006, 3, 857–863. [Google Scholar] [CrossRef][Green Version]
- Jadhav, A.K.; Karuppayil, S.M. Molecular docking studies on thirteen fluoroquinolines with human topoisomerase II a and b. Silico Pharmacol. 2017, 5, 4. [Google Scholar] [CrossRef] [PubMed]
- Costa, C.H.S.; Oliveira, A.R.S.; Pereira, M.J.S.; Figueiredo, A.F.; Ferreira, J.E.V.; Miranda, R.M. Quantum Chemistry, Quantitative Structure-Activity Relationship and Molecular Docking Study on Fenarimol Derivatives with Biological Activity Against Chagas Disease. J. Comput. Theor. Nanosci. 2015, 12, 3309–3321. [Google Scholar] [CrossRef]
- McGinnity, D.F.; Collington, J.; Austin, R.P.; Riley, R.J. Evaluation of human pharmacokinetics, therapeutic dose and exposure predictions using marketed oral drugs. Curr. Drug Metab. 2007, 8, 463–479. [Google Scholar] [CrossRef]
- Nithiyanantham, S.; Palaniappan, L.; Lenin, M. Physico-Chemical and Bio-Chemical Nature of Pectin with Amylase. J. Bionanosci. 2015, 9, 359–362. [Google Scholar] [CrossRef]
- Langueur, H.; Kassali, K.; Lebgaa, N. Density Functional Study of Structural, Mechanic, Thermodynamic and Dynamic Properties of SiGe Alloys. J. Comput. Theor. Nanosci. 2013, 10, 86–94. [Google Scholar] [CrossRef]
- Melkemi, N.; Belaidi, S. Structure-property relationships and quantitative structure-activity relationship modeling of detoxication properties of some 1, 2-dithiole-3-thione derivatives. J. Comput. Theor. Nanosci. 2014, 11, 801–806. [Google Scholar] [CrossRef]
- Mellaoui, M.; Belaidi, S.; Bouzidi, D.; Gherraf, N. Electronic Structure and Physical-Chemistry Property Relationship for Cephalosporin Derivatives. Quantum Matter. 2014, 3, 435–441. [Google Scholar] [CrossRef]
- Belaidi, S.; Belaidi, H.; Bouzidi, D. Computational Methods Applied in Physical-Chemistry Property Relationships of Thiophene Derivatives. J. Comput. Theor. Nanosci. 2015, 12, 1737–1745. [Google Scholar] [CrossRef]
- Belaidi, S.; Mazri, R.; Belaidi, H.; Lanez, T.; Bouzidi, D. Electronic Structure and Physico-Chemical Property Relationship for Thiazole Derivatives. Asian J. Chem. 2013, 25, 9241–9245. [Google Scholar] [CrossRef]
- Belaidi, S.; Belaidi, H.; Kerassa, A.; Saoula, M.; Bouzidi, D. Predictive Qualitative Structure-Property/Activity Relationships for Drug Design in Some of Antimycobacterial Pyrrole Derivatives. Quantum Matter. 2016, 5, 798–805. [Google Scholar] [CrossRef]
- Esposito, E.X.; Hopfinger, A.J.; Madura, J.D. Methods for applying the quantitative structure-activity relationship paradigm. Methods Mol. Biol. 2004, 275, 131–213. [Google Scholar]
- Poovi, G. Bio-Physicochemical, Pharmacological Challenges, and Opportunities in the Design of Polymeric Nanoparticles. J. Bionanosci. 2017, 11, 87–104. [Google Scholar] [CrossRef]
- Roy, S. Green Synthesized Gold Nanoparticles: Study of Antimicrobial Activity. J. Bionanosci. 2017, 11, 131–135. [Google Scholar] [CrossRef]
- Bradbury, S.P. Quantitative structure-activity relationships and ecological risk assessment: An overview of predictive aquatic toxicology research. Toxicol. Lett. 1995, 79, 229–237. [Google Scholar] [CrossRef]
- Hansch, C.; Leo, A.; Hoekman, D.H. Exploring QSAR: Fundamentals and applications in chemistry and biology. J. Am. Chem. Soc. 1995, 117, 9782. [Google Scholar]
- Hansen, C.; Telzer, B.R.; Zhang, L. Comparative QSAR in toxicology: Examples from teratology and cancer chemotherapy of aniline mustards. Crit. Rev. Toxicol. 1995, 25, 67–89. [Google Scholar] [CrossRef] [PubMed]
- Jarzembska, K.N.; Kubsik, M.; Kaminski, R.; Wozniak, K.; Dominiak, P.M. From a Single Molecule to Molecular Crystal Architectures: Structural and Energetic Studies of Selected Uracil Derivative. Cryst. Growth. Des. 2012, 12, 2508–2524. [Google Scholar] [CrossRef]
- Groom, C.R.; Bruno, I.J.; Lightfoot, M.P.; Ward, S.C. The Cambridge structural database. Acta Cryst. 2016, 72, 171–179. [Google Scholar] [CrossRef] [PubMed]
- Defranceschi, M.; Le Bris, C. Mathematical Models and Methods for ab Initio Quantum Chemistry, 1st ed.; Springer Science & Business Media: Berlin, Germany, 2012. [Google Scholar]
- Mendoza-Huizar, L.H.; Rios-Reyes, C.H. Chemical reactivity of atrazine employing the Fukui function. J. Mex. Chem. Soc. 2011, 55, 142–147. [Google Scholar]
- Parr, R.G. Density-Functional Theory of Atoms and Molecules. Int. Academy Quantum Mole. Sci. 1980, 3, 5–15. [Google Scholar]
- Wu, R.; Zhang, T.; Qiao, X.; Zhang, J.; Yang, L.; Yu, W. Synthesis and crystal structure of 7-nitro-5-sulfo-napthalene-1,4-dicarboxylate acid. Chin. J. Struct. Chem. 2006, 7, 849–885. [Google Scholar]
- Nitiss, J.L. Targeting DNA topoisomerase II in cancer chemotherapy. Nat. Rev. Cancer. 2009, 9, 338–350. [Google Scholar] [CrossRef] [PubMed]
- Shen, L.L.; Baranowski, J.; Pernet, A.G. Mechanism of inhibition of DNA gyrase by quinolone antibacterials: Specificity and cooperativity of drug binding to DNA. Biochemistry 1989, 28, 3879–3885. [Google Scholar] [CrossRef] [PubMed]
- Wilson, C.O.; Beale, J.M.; Block, J.H. Wilson and Gisvold’s Textbook of Organic Medicinal and Pharmaceutical Chemistry; Lippincott Williams & Wilkins: Philadelphia, PA, USA, 2011. [Google Scholar]
- Wei, B.; Shi, Z.; Xiao, J.; Xu, Y.; Lv, L. In vivo and in vitro antibacterial effect of nano-structured titanium coating incorporated with silver oxide nanoparticles. J. Biomater.Tissue Eng. 2017, 7, 418–425. [Google Scholar] [CrossRef]
- Khojasteh, S.C.; Wong, H.; Hop, C.E.C.A. Drug Metabolism and Pharmacokinetics Quick Guide; Springer: New York, NY, USA, 2011. [Google Scholar]
- Lipinski, C.A.; Lombardo, F.; Dominy, B.W.; Feeney, P.J. Experimental and computational approaches to estimate solubility and permeability in drug discovery and development settings. Adv. Drug Deliv. Rev. 1997, 23, 3–25. [Google Scholar] [CrossRef]
- Bemis, G.W.; Murcko, M.A. The Properties of Known Drugs. 1. Molecular Frameworks. J. Med. Chem. 1996, 39, 2887–2893. [Google Scholar] [CrossRef] [PubMed]
- Schultes, S.; de Graaf, C.; Haaksma, E.E.J.; de Esch, I.J.P.; Leurs, R.; Krämer, O. Ligand efficiency as a guide in fragment hit selection and optimization. Drug Discov. Today Technol. 2010, 7, e157–e162. [Google Scholar] [CrossRef] [PubMed]
- Di, L.; Kerns, E.H. Drug-Like Properties: Concepts, Structure, and Design, 1st ed.; Academic Press: San Diego, CA, USA, 2008; ISBN 9780080557618. [Google Scholar]
- Singh, T.; Adekoya, O.A.; Jayaram, B. Understanding the binding of inhibitors of matrix metalloproteinases by molecular docking, quantum mechanical calculations, molecular dynamics simulations, and a MMGBSA/MMBappl study. Mol. Biosyst. 2015, 11, 1041–1051. [Google Scholar] [CrossRef]
- Veber, D.F.; Johnson, S.R.; Cheng, H.-Y.; Smith, B.R.; Ward, K.W.; Kopple, K.D. Molecular properties that influence the oral bioavailability of drug candidates. J. Med. Chem. 2002, 45, 2615–2623. [Google Scholar] [CrossRef]
- Viswanadhan, V.N.; Ghose, A.K.; Revankar, G.R.; Robins, R.K. Atomic physicochemical parameters for three -dimensional structure directed quantitative structure-activity relationships. 4. Additional parameters for hydrophobic and dispersive interactions and their application for an automated superposition of certain. J. Chem. Inf. Comput. Sci. 1989, 29, 163–172. [Google Scholar] [CrossRef]
- Johnson, T.W.; Dress, K.R.; Edwards, M. Using the Golden Triangle to optimize clearance and oral absorption. Bioorg. Med. Chem. Lett. 2009, 19, 5560–5564. [Google Scholar] [CrossRef] [PubMed]
- Wang, J.; Xie, X.-Q.; Hou, T.; Xu, X. Fast approaches for molecular polarizability calculations. J. Phys. Chem. A 2007, 111, 4443–4448. [Google Scholar] [CrossRef]
- Kapupara, P.P.; Matholiya, C.R.; Dedakiya, A.S.; Desai, T.R. 2D-QSAR Study on 1-Acetyl-3-Aryl-5-(4-Methoxyphenyl) Pyrazole Analogues as an Antifungal Agents. Int. Bull. Drug Res. 2011, 1, 1–10. [Google Scholar]
- Andrasi, M.; Buglyo, P.; Zekany, L.; Gaspar, A. A comparative study of capillary zone electrophoresis and pH-potentiometry for determination of dissociation constants. J. Pharm. Biomed. Anal. 2007, 44, 1040–1047. [Google Scholar] [CrossRef]
- Hong, J.F.; Song, Y.F.; Liu, Z.; Zheng, Z.C.; Chen, H.J.; Wang, S.S. Anticancer activity of taraxerol acetate in human glioblastoma cells and a mouse xenograft model via induction of autophagy and apoptotic cell death, cell cycle arrest and inhibition of cell migration. Mol. Med. Rep. 2016, 13, 4541–4548. [Google Scholar] [CrossRef]
- Kang, K.; Lee, H.J.; Kim, C.Y.; Lee, S.B.; Tunsag, J.; Batsuren, D.; Nho, C.W. The chemopreventive effects of Saussurea salicifolia through induction of apoptosis and phase II detoxification enzyme. Biol. Pharm. Bull. 2007, 30, 2352–2359. [Google Scholar] [CrossRef]
- Kerr, J.F.; Wyllie, A.H.; Currie, A.R. Apoptosis: A basic biological phenomenon with wide-ranging implications in tissue kinetics. Br. J. Cancer 1972, 26, 239–257. [Google Scholar] [CrossRef]
- Acebedo, A.R.; Amor, E.C.; Jacinto, S.D. Apoptosis-inducing activity of HPLC fraction from Voacanga globosa (Blanco) merr. on the human colon carcinoma cell. Asian Pac. J. Cancer Prev. 2014, 15, 617–622. [Google Scholar] [CrossRef]
- Ali, R.; Alabsi, A.M.; Ali, A.M.; Ideris, A.; Omar, A.R.; Yusoff, K.; Ali, R.S. Cytolytic effects and apoptosis induction of Newcastle disease virus strain AF2240 on anaplastic astrocytoma brain tumor cell line. Neurochem. Res. 2011, 36, 2051–2056. [Google Scholar] [CrossRef]
- Shaghayegh, G.; Alabsi, A.M.; Saeed, R.A.; Ali, A.M.; Vincent-Chong, V.K.; Ismail, N.H.; Choon, Y.F.; Zain, R.B. Effects of Damnacanthal and Nordamnacanthal on Proliferation, Apoptosis, and Migration of Oral Squamous Cell Carcinoma Cells. Asian Pac. J. Cancer Prev. 2017, 18, 3333–3341. [Google Scholar]
- Abdel Wahab, S.I.; Abdul, A.B.; Alzubairi, A.S.; Elhassan, M.M.; Mohan, S. J In Vitro Ultramorphological Assement of Apoptosis Induced by Zerumbone on(HeLa). Biomed. Biotechnol. 2009, 2009, 1–10. [Google Scholar] [CrossRef]
- Abdul Rahman, S.N.S.; Abdul Wahab, N.; Abd Malek, S.N. In Vitro Morphological Assessment of Apoptosis Induced by Antiproliferative Constituents from the Rhizomes of Curcuma zedoaria. Evid. Based Complement. Altern. Med. 2013, 2013, 257108. [Google Scholar]
- Gunathilaka, T.L.; Dilrangi, K.H.; Ranasinghe, P.; Samarakoon, K.W.; Peiris, L.D. Mechanistic Insight into Apoptotic Induction in Human Rhabdomyosarcoma and Breast Adenocarcinoma Cells by Chnoospora minima: A Sri Lankan Brown Seaweed. Pharmaceuticals 2021, 14, 1154. [Google Scholar] [CrossRef]
- Bacelar, A.H.; Carvalho, M.A.; Proenca, M.F. Synthesis and in vitro evaluation of substituted pyrimido pyrimidines as a novel class of Antimycobacterium tuberculosis agents. Eur. J. Med. Chem. 2010, 45, 3234–3239. [Google Scholar] [CrossRef]
- Amin, K.M.; Hanna, M.M.; Abo-Youssef, H.E.; George, R.F. Synthesis, analgesic and anti-inflammatory activities evaluation of some bi-, tri-and tetracyclic condensed pyrimidines. Eur. J. Med. Chem. 2009, 44, 4572–4584. [Google Scholar] [CrossRef]
- Lin, W.; Buolamwini, J.K.J. Synthesis, Flow Cytometric Evaluation, and Identification of Highly Potent Dipyridamole Analogues as Equilibrative Nucleoside Transporter 1 Inhibitors. Med. Chem. 2007, 50, 3906–3920. [Google Scholar] [CrossRef]
- Barlow, H.C.; Bowman, K.J.; Curtin, N.J.; Calvert, A.H.; Golding, B.T.; Huang, B.; Loughlin, P.J.; Newell, D.R.; Smith, P.G.; Griffin, R.J. Resistance-modifying agents. Part 7: 2,6-disubstituted-4,8-dibenzylaminopyrimido [5,4-d]pyrimidines that inhibit nucleoside transport in the presence of α1-acid glycoprotein (AGP). J. Med. Chem. 2004, 47, 4905–4922. [Google Scholar]
- Ram, V.J.; Goel, A.; Sarkhel, S.; Maulik, P.R.A. convenient synthesis and hepatoprotective activity of imidazo [1,2-c] pyrimido [5,4-e] pyrimidine, tetraazaacenaphthene and tetraazaphenalene from cyclic ketene aminals through tandem addition-cyclization reactions. Bioorg. Med. Chem. 2002, 10, 1275–1280. [Google Scholar] [CrossRef]
- Tenser, R.B.; Gaydos, A.; Hay, K.A. Inhibition of herpes simplex virus reactivation by dipyridamole. Antimicrob. Agents Chemother. 2001, 45, 3657–3659. [Google Scholar] [CrossRef]
- Rewcastle, G.W.; Bridges, A.J.; Fry, D.W.; Rubin, J.R.; Denny, W.A. Tyrosine kinase inhibitors. 12. Synthesis and structure−activity relationships for 6-substituted 4-(phenylamino) pyrimido [5,4-d] pyrimidines designed as inhibitors of the epidermal growth factor receptor. J. Med. Chem. 1997, 40, 1820–1826. [Google Scholar] [CrossRef] [PubMed]
- Fry, D.W.; Becker, M.A.; Switzer, R.L. Inhibition of human 5-phosphoribosyl-1-pyrophosphate synthetase by 4-amino-8-[β-d-ribofuranosylamino]pyrimido [5,4-d]pyrimidine-5′-monophosphate: Evidence for interaction at the adenosine-5′-diphosphate allosteric site. Mol. Pharmacol. 1995, 47, 810–815. [Google Scholar]
- Gebauer, M.G.; McKinlay, C.; Gready, J.E. Synthesis of quaternised 2-aminopyrimido [4,5-d]pyrimidin-4(3H)-ones and their biological activity with dihydrofolate reductase. Eur. J. Med. Chem. 2003, 38, 719–728. [Google Scholar] [CrossRef]
- Zhang, J.; El-Shabrawy, A.-R.O.; El-Shanawany, M.A.; Schiff, P.L.; Slatkin, D.J. New Azafluorene Alkaloids from Oxandra xylopioides. J. Nat. Prod. 1987, 50, 800–806. [Google Scholar] [CrossRef]
- Newman, D.J.; Cragg, G.M.; Snader, K.M. Natural products as sources of new drugs over the period 1981–2002. J. Nat. Prod. 2003, 66, 1022–1037. [Google Scholar] [CrossRef]
- Lorence, A.; Nessler, C.L. Molecules of interest—Camptothecin, over four decades of surprising findings. Phytochemistry 2004, 65, 2735–2749. [Google Scholar] [CrossRef]
- Pizzolato, J.F.; Saltz, L.B. The camptothecins. Lancet 2003, 361, 2235–2242. [Google Scholar] [CrossRef]
- Driver, R.W.; Yang, L.X. Synthesis and pharmacology of new camptothecin drugs. Mini-Rev. Med. Chem. 2005, 5, 425–439. [Google Scholar] [CrossRef]
- Thomas, C.J.; Rahier, N.J.; Hecht, S.M. Camptothecin: Currentperspectives. Bioorg. Med. Chem. 2004, 12, 1585–1604. [Google Scholar] [CrossRef]
- Dallavalle, S.; Ferrari, A.; Biasotti, B.; Merlini, L.; Penco, S.; Gallo, G.; Marzi, M.; Tinti, M.O.; Martinelli, R.; Pisano, C.; et al. Novel 7-oxyiminomethyl derivatives of camptothecin with potent in vitro and in vivo antitumor activity. J. Med. Chem. 2001, 44, 3264–3274. [Google Scholar] [CrossRef]
- Bom, D.; Curran, D.P.; Kruszewski, S.; Zimmer, S.G.; Strode, J.T.; Kohlhagen, G.; Du, W.; Chavan, A.J.; Fraley, K.A.; Bingcang, A.L.; et al. The novel silatecan 7-tertbutyldimethylsilyl-10-hydroxycamptothecin displays high lipophilicity, improved human blood stability, and potent anticancer activity. J. Med. Chem. 2000, 43, 3970–3980. [Google Scholar] [CrossRef]
- Lansiaux, A.; Leonce, S.; Kraus-Berthier, L.; Bal-Mahieu, C.; Mazinghien, R.; Didier, S.; David-Cordonnier, M.H.; Hautefaye, P.; Lavielle, G.; Bailly, C.; et al. Novel stable camptothecin derivatives replacing the E-ring lactone by a ketone function are potent inhibitors of topoisomerase I and promising antitumor drugs. Mol. Pharmacol. 2007, 72, 311–319. [Google Scholar] [CrossRef]
- Cagir, A.; Jones, S.H.; Gao, R.; Eisenhauer, B.M.; Hecht, S.M.; Luotonin, A. A naturally occurring human DNA topoisomerase I poison. J. Am. Chem. Soc. 2003, 125, 13628–13629. [Google Scholar] [CrossRef]
- Rao, V.A.; Agama, K.; Holbeck, S.; Pommier, Y. Batracylin (NSC 320846), a dual inhibitor of DNA Topoisomerases I and II induces histone gamma-H2AX as a biomarker of DNA damage. Cancer Res. 2007, 67, 9971–9979. [Google Scholar] [CrossRef]
- Manpadi, M.; Uglinskii, P.Y.; Rastogi, S.K.; Cotter, K.M.; Wong, Y.-S.C.; Anderson, L.A.; Ortega, A.J.; Van slambrouck, S.; Steelant, W.F.A.; Rogelj, S.; et al. Three-component synthesis and anticancer evaluation of polycyclic indenopyridines lead to the discovery of a novel indenoheterocycle with potent apoptosis inducing properties. Org. Biomol. Chem. 2007, 5, 3865–3872. [Google Scholar] [CrossRef]
- Chen, J.-Z.; Han, X.-W.; Liu, Q.; Makriyannis, A.; Wang, J.; Xie, X.-Q. 3D-QSAR studies of arylpyrazole antagonists of cannabinoid receptor subtypes CB1 and CB2. A combined NMR and CoMFA approach. J. Med. Chem. 2006, 49, 625–636. [Google Scholar] [CrossRef]
- Perkins, R.; Fang, H.; Tong, W.; Welsh, W.J. Quantitative structure-activity relationship methods: Perspectives on drug discovery and toxicology. Environ. Toxicol. Chem. 2003, 22, 1666–1679. [Google Scholar] [CrossRef]
- Salum, L.B.; Andricopulo, A.D. Fragment-based QSAR: Perspectives in drug design. Mol. Divers. 2009, 13, 277–285. [Google Scholar] [CrossRef]
- HyperChem software (version 8.0.7). Hyper cube Inc.: Gainesville, FL, USA.
- Marvin version 21.17.0, ChemAxon. Available online: https://www.chemaxon.com.
- Frisch, M.J.; Trucks, G.W.; Schlegel, H.B.; Scuseria, G.E.; Robb, M.A.; Cheeseman, J.R.; Scalmani, G.; Barone, V.; Petersson, G.A.; Nakatsuji, H.; et al. Gauss ian 09, Revis. C. 01. 2010. Available online: https://gaussian.com/g09citation/ (accessed on 3 March 2018).
- Bryman, A.; Cramer, D. Quantitative Data Analysis with Minitab: A Guide for Social Scientists, 1st ed.; Routledge: London, UK, 2003. [Google Scholar]
- Cory, A.H.; Owen, T.C.; Barltrop, J.A.; Cory, J.G. Use of an aqueous soluble tetrazolium/formazan assay for cell growth assays in culture. Cancer Commun. 1991, 3, 207–212. [Google Scholar] [CrossRef]
- Thomson, J.A.; Itskovitz-Eldor, J.; Shapiro, S.S.; Waknitz, M.A.; Swiergiel, J.J.; Marshall, V.S.; Jones, J.M. Embryonic stem cell lines derived from human blastocysts. Science 1998, 282, 1145–1147. [Google Scholar] [CrossRef]
- Reed, A.E.; Weinhold, F. Natural bond orbital analysis of near-Hartree—Fock water dimer. J. Chem. Phys. 1983, 78, 4066–4073. [Google Scholar] [CrossRef]
- Morell, C.; Grand, A.; Toro-Labbe, A. New dual descriptor for chemical reactivity. J. Phys. Chem. A 2005, 109, 205–212. [Google Scholar] [CrossRef]
- Roothaan, C.C.J. New developments in molecular orbital theory. Rev. Mod. Phys. 1951, 23, 69. [Google Scholar] [CrossRef]
- Becke, A.D. Density-functional exchange-energy approximation with correct asymptotic behavior. Phys. Rev. A 1988, 38, 3098. [Google Scholar] [CrossRef]
- Johnson, B.G.; Frisch, M.J. Analytic second derivatives of the gradient-corrected density functional energy. Effect of quadrature weight derivatives. Chem. Phys. Lett. 1993, 216, 133–140. [Google Scholar] [CrossRef]
- Lee, C.; Yang, W.; Parr, R.G. Development of the Colle-Salvetti correlation-energy formula into a functional of the electron density. Phys. Rev. B 1988, 37, 785–789. [Google Scholar] [CrossRef]
- McLean, A.D.; Chandler, G.S. Contracted Gaussian basis sets for molecular calculations. I. Second row atoms, Z = 11–18. J. Chem. Phys. 1980, 72, 5639–5648. [Google Scholar] [CrossRef]
- Dunning, T.H., Jr. Gaussian basis sets for use in correlated molecular calculations. I. The atoms boron through neon and hydrogen. J. Chem. Phys. 1989, 90, 1007–1023. [Google Scholar] [CrossRef]
- Ulic, S.E.; Vedova, C.O.D.; Hermann, A.; Mack, H.-G.; Oberhammer, H. Preparation and Properties of Trifluorothioacetic Acid-S-(trifluoromethyl) ester, CF3C(O)SCF3. J. Phys. Chem. A 2008, 112, 6211–6216. [Google Scholar] [CrossRef]
- Andrienko, G.A. Chemcraft Program. 2018. Available online: https://www.chemcraftprog.com/about.html (accessed on 13 February 2020).
- Morris, G.M.; Goodsell, D.S.; Halliday, R.S.; Huey, R.; Hart, W.E.; Belew, R.K.; Olson, A.J. Automated docking using a Lamarckian genetic algorithm and an empirical binding free energy function. J. Comput. Chem. 1998, 19, 1639–1662. [Google Scholar] [CrossRef]
- Kumar, A.; Bora, U. Molecular docking studies of curcumin natural derivatives with DNA topoisomerase I and II-DNA complexes. Interdiscip. Sci. Comput. Life Sci. 2014, 6, 285–291. [Google Scholar] [CrossRef] [PubMed]
- Wendorff, T.J.; Schmidt, B.H.; Heslop, P.; Austin, C.A.; Berger, J.M. The structure of DNA-bound human topoisomerase II alpha: Conformational mechanisms for coordinating inter-subunit interactions with DNA cleavage. J. Mol. Biol. 2012, 424, 109–124. [Google Scholar] [CrossRef]
- Wu, C.-C.; Li, T.-K.; Farh, L.; Lin, L.-Y.; Lin, T.-S.; Yu, Y.-J.; Yen, T.-J.; Chiang, C.-W.; Chan, N.-L. Structural basis of type II topoisomerase inhibition by the anticancer drug etoposide. Science 2011, 333, 459–462. [Google Scholar] [CrossRef]
- Guex, N.; Peitsch, M.C. SWISS-MODEL and the Swiss-Pdb Viewer: An environment for comparative protein modeling. Electrophoresis 1997, 18, 2714–2723. [Google Scholar] [CrossRef] [PubMed]
- Laskowski, R.A.; Swindells, M.B. LigPlot+: Multiple Ligand—Protein Interaction Diagrams for Drug Discovery. J. Chem. Inf. Model. 2011, 51, 2778–2786. [Google Scholar] [CrossRef]




















| Parameters | Exp. * | 6-311++G(d,p) | CC-PVDZ | ||||
|---|---|---|---|---|---|---|---|
| ab initio/HF | ab initio/MP2 | DFT (B3LYP) | ab initio/HF | ab initio/MP2 | (DFT) B3LYP | ||
| R(N1,C2) | 1.351 | 1.353 | 1.380 | 1.378 | 1.355 | 1.382 | 1.380 |
| R(N1,C6) | 1.371 | 1.374 | 1.376 | 1.374 | 1.374 | 1.377 | 1.375 |
| R(N1,H7) | 1.030 | 0.994 | 1.011 | 1.010 | 0.998 | 1.016 | 1.014 |
| R(C2,N3) | 1.357 | 1.350 | 1.376 | 1.370 | 1.351 | 1.376 | 1.370 |
| R(C2,S8) | 1.683 | 1.661 | 1.643 | 1.662 | 1.665 | 1.658 | 1.668 |
| R(N3,C4) | 1.394 | 1.398 | 1.414 | 1.417 | 1.398 | 1.418 | 1.419 |
| R(N3,H9) | 1.030 | 0.998 | 1.015 | 1.013 | 1.002 | 1.021 | 1.018 |
| R(C4,C5) | 1.442 | 1.460 | 1.458 | 1.456 | 1.462 | 1.463 | 1.460 |
| R(C4,O10) | 1.235 | 1.187 | 1.220 | 1.214 | 1.190 | 1.222 | 1.217 |
| R(C5,C6) | 1.354 | 1.328 | 1.356 | 1.348 | 1.332 | 1.362 | 1.353 |
| R(C5,H11) | 1.080 | 1.070 | 1.082 | 1.079 | 1.077 | 1.090 | 1.088 |
| R(C6,H12) | 1.080 | 1.073 | 1.085 | 1.083 | 1.080 | 1.093 | 1.091 |
| A% | 1.386 | 1.200 | 1.102 | 1.192 | 1.257 | 1.105 | |
| Compound | Gas Phase | Aqueous Phase | ||
|---|---|---|---|---|
| ET, au | μ, D | ET, au | μ, D | |
| 2H | −1483.19061 | 6.96 | −1483.22089 | 11.02 |
| 6H | −1687.75484 | 10.68 | −1687.79006 | 15.26 |
| 7H | −1597.74680 | 7.78 | −1597.77917 | 12.19 |
| 9H | −1617.19402 | 6.59 | −1617.22616 | 10.44 |
| Comp. | Phases | EHOMO, au | ELUMO, au | Eg, eV | I, eV | A, eV | χ, eV | η, eV | S, eV−1 | V, eV | ω, eV | N, eV |
|---|---|---|---|---|---|---|---|---|---|---|---|---|
| 2H | Gas phase | −0.23738 | −0.11034 | 3.46 | 6.46 | 3.00 | 4.73 | 1.73 | 0.29 | −4.73 | 6.47 | −2.25 |
| Aqueous phase | −0.23132 | −0.10799 | 3.36 | 6.29 | 2.94 | 4.62 | 1.68 | 0.30 | −4.62 | 6.35 | −2.08 | |
| 6H | Gas phase | −0.24851 | −0.12131 | 3.46 | 6.76 | 3.30 | 5.03 | 1.73 | 0.29 | −5.03 | 7.31 | −2.55 |
| Aqueous phase | −0.23470 | −0.11624 | 3.22 | 6.39 | 3.16 | 4.77 | 1.61 | 0.31 | −4.77 | 7.07 | −2.18 | |
| 7H | Gas phase | −0.22399 | −0.10882 | 3.13 | 6.09 | 2.96 | 4.53 | 1.57 | 0.32 | −4.53 | 6.54 | −1.88 |
| Aqueous phase | −0.22796 | −0.10734 | 3.28 | 6.20 | 2.92 | 4.56 | 1.64 | 0.30 | −4.56 | 6.34 | −1.99 | |
| 9H | Aqueous phase | −0.22796 | −0.10734 | 3.28 | 6.20 | 2.92 | 4.56 | 1.64 | 0.30 | −4.56 | 6.34 | −1.99 |
| Aqueous phase | −0.20005 | −0.10646 | 2.55 | 5.44 | 2.90 | 4.17 | 1.27 | 0.39 | −4.17 | 6.83 | −1.23 |
| Ligand | Run No. | Interaction Residue in Human Topo II α | Interaction Atoms (Amino Acid…Ligand) HB Length (Å) | H Bonds Formed | Binding Energy kcal/mol | Inhibition Constant Ki, nM |
|---|---|---|---|---|---|---|
| 2H | 18 | GLN773.A ASN770.A SER800.A DC9.C | OE1….27N11 (3.11) OD1….H7N1 (2.6), OD1….H27N11(3.15) OG….S8 (3.78) O3….O16 (3.58) | 5 | −9.29 | 155.7 |
| 6H | 3 | DG10.C ARG929.A TYR892.A ASN779.A | OP2….N3H9 (2.67) NE….O40 (3.37), NH2….O40 (2.81) OH….O40 (2.65) ND2….H27N11 (3.2) | 5 | −9.17 | 189.18 |
| 7H | 48 | SER778.A GLU854.A TYR892.A ARG929.A ASN779.A | OG….H7N1 (3.18) N….O16 (2.99) OH….O39 (2.69) NH2….O10 (3.17) OD1….H27N11 (2.6) | 5 | −9.23 | 170.11 |
| 9H | 93 | TYR892.A GLU854.A | OH….S8 (3.121) N….O10 (3.05) | 2 | −8.53 | 555.3 |
| Etoposide | 43 | GLN773.A LYS798.A SER800.A DC9.C DG10.C | NE2….O1 (2.85) O….O9 (2.75) O….O9 (2.81) O3/….O11 (3.1) O5/….O11 (2.64) | 5 | −8.39 | 708.84 |
| Ligand | Run No. | Interaction Residue in Human Topo II β | Interaction Atoms (Amino Acid…Ligand) HB Length (Å) | H Bonds Formed | Binding Energy kcal/mol | Inhibition Constant Ki, nM |
|---|---|---|---|---|---|---|
| 2H | 4 | ASP479 LYS456 DG10.D | OD1….H7N1 (3.05), OD1….H27N11 (3.13) NZ….S8 (3.17) O3/….S8 (3.19) | 4 | −9.29 | 154.3 |
| 6H | 28 | ASP479 DC11.D DT9.D | OD1….H9N3 (2.8), N….S8 (3.71) N1….O41 (3.81) O3/….S8 (3.26) | 4 | −10.07 | 41.62 |
| 7H | 75 | GLN778.A DC8.C | N….O10 (3.51) O3/….S8 (3.58) | 2 | −9.34 | 142.45 |
| 9H | 49 | ASP479.A DT9.D | OD1….H7N1 (3.27), OD1….H27N11 (3.04) O3/….H27N11 (3.42) | 3 | −9.16 | 193.43 |
| Etoposide | 19 | ASP479.A DC8.C DT9.D | N….O9 (3.08), OD1….O9 (2.78) O3/….O8 (2.87) O3/….O9 (3.37) | 4 | −11.59 | 3.17 |
| Compounds | Lipinski Rules | Veber Rules | Log D(7.4) | |||||
|---|---|---|---|---|---|---|---|---|
| Log P | MW (DA) | HBD | HBA | Lipinski Score of 5 | nrotb | PSA | ||
| 2H | 1.39 | 359.4 | 3 | 4 | 4 | 1 | 70.23 | 2.310 |
| 6H | −2.52 | 404.4 | 3 | 6 | 4 | 2 | 113.37 | 2.250 |
| 7H | 1.14 | 389.43 | 3 | 5 | 4 | 2 | 79.46 | 2.152 |
| 9H | 1.66 | 402.47 | 3 | 5 | 4 | 2 | 73.47 | 2.416 |
| Etoposide | 1.27 | 588.56 | 3 | 13 | 2 | 5 | 160.83 | 1.15 |
| Etoposide * | 1.16 | 588.56 | 3 | 13 | 2 | 5 | 160.83 | |
| Etoposide # | 588.56 | 3 | 13 | 2 | 0.74 | |||
| Comp. | Polarizability (A3) | Refractivity (A3) | Vol (A3) | Surface area (Grid) A2 | HE (kcal/mol) |
|---|---|---|---|---|---|
| 2H | 40.88 | 101.87 | 739.85 | 554.14 | −11.73 |
| 6H | 42.72 | 108.18 | 998.3 | 586.26 | −16.69 |
| 7H | 43.35 | 108.33 | 1014.72 | 598.73 | −13.42 |
| 9H | 45.9 | 116.3 | 1070.91 | 621.57 | −10.22 |
| Etoposide | 55.15 | 138.73 | 1448.08 | 808.26 | −25.39 |
| Etoposide * | 58.77 | 139.02 | |||
| Etoposide #+† | 55.5 | 140.1 |
| W138 | A549 | MCF-7 | HeLa | HCT | HepG2 | ||
|---|---|---|---|---|---|---|---|
| 2H | --- | --- | --- | --- | 22.80 | --- | |
| 6H | --- | --- | --- | --- | 43.25 | --- | |
| 7H | 140.48 | 35.09 | 24.08 | 30.42 | 1.95 | 9.98 | |
| 9H | 0.34 | 0.28 | 0.32 | 0.19 | 0.06 | 1.112 | |
| DNA Content | ||||
|---|---|---|---|---|
| Code | %G0–G1 | %S | %G2/M | %Pre-G1 |
| Control HCT | 59.31 | 35.41 | 5.28 | 1.97 |
| 7H/HCT | 35.77 | 26.38 | 37.85 | 22.42 |
| 9H/HCT | 36.49 | 26.59 | 36.92 | 11.92 |
| Control HeLA | 53.48 | 39.28 | 7.24 | 1.63 |
| 9H/HeLA | 29.64 | 29.57 | 40.79 | 24.36 |
| Apoptosis | Necrosis | ||||
|---|---|---|---|---|---|
| Total | Early | Late | |||
| Control HCT | 1.97 | 0.79 | 0.63 | 0.55 | |
| 7H/HCT | 22.42 | 7.59 | 11.56 | 3.27 | |
| 9H/HCT | 11.92 | 4.26 | 5.94 | 1.72 | |
| Control HeLa | 1.63 | 0.89 | 0.35 | 0.39 | |
| 9H/Hela | 24.36 | 8.72 | 12.95 | 2.69 | |
Publisher’s Note: MDPI stays neutral with regard to jurisdictional claims in published maps and institutional affiliations. |
© 2022 by the authors. Licensee MDPI, Basel, Switzerland. This article is an open access article distributed under the terms and conditions of the Creative Commons Attribution (CC BY) license (https://creativecommons.org/licenses/by/4.0/).
Share and Cite
Khaled, D.M.; Elshakre, M.E.; Noamaan, M.A.; Butt, H.; Abdel Fattah, M.M.; Gaber, D.A. A Computational QSAR, Molecular Docking and In Vitro Cytotoxicity Study of Novel Thiouracil-Based Drugs with Anticancer Activity against Human-DNA Topoisomerase II. Int. J. Mol. Sci. 2022, 23, 11799. https://doi.org/10.3390/ijms231911799
Khaled DM, Elshakre ME, Noamaan MA, Butt H, Abdel Fattah MM, Gaber DA. A Computational QSAR, Molecular Docking and In Vitro Cytotoxicity Study of Novel Thiouracil-Based Drugs with Anticancer Activity against Human-DNA Topoisomerase II. International Journal of Molecular Sciences. 2022; 23(19):11799. https://doi.org/10.3390/ijms231911799
Chicago/Turabian StyleKhaled, Doaa M., Mohamed E. Elshakre, Mahmoud A. Noamaan, Haider Butt, Marwa M. Abdel Fattah, and Dalia A. Gaber. 2022. "A Computational QSAR, Molecular Docking and In Vitro Cytotoxicity Study of Novel Thiouracil-Based Drugs with Anticancer Activity against Human-DNA Topoisomerase II" International Journal of Molecular Sciences 23, no. 19: 11799. https://doi.org/10.3390/ijms231911799
APA StyleKhaled, D. M., Elshakre, M. E., Noamaan, M. A., Butt, H., Abdel Fattah, M. M., & Gaber, D. A. (2022). A Computational QSAR, Molecular Docking and In Vitro Cytotoxicity Study of Novel Thiouracil-Based Drugs with Anticancer Activity against Human-DNA Topoisomerase II. International Journal of Molecular Sciences, 23(19), 11799. https://doi.org/10.3390/ijms231911799

