The Italian Research on the Molecular Characterization of Maize Kernel Development
Abstract
1. Introduction
2. Genetic Molecular Analysis of Seed Development in Maize
2.1. Seed Origin and Development
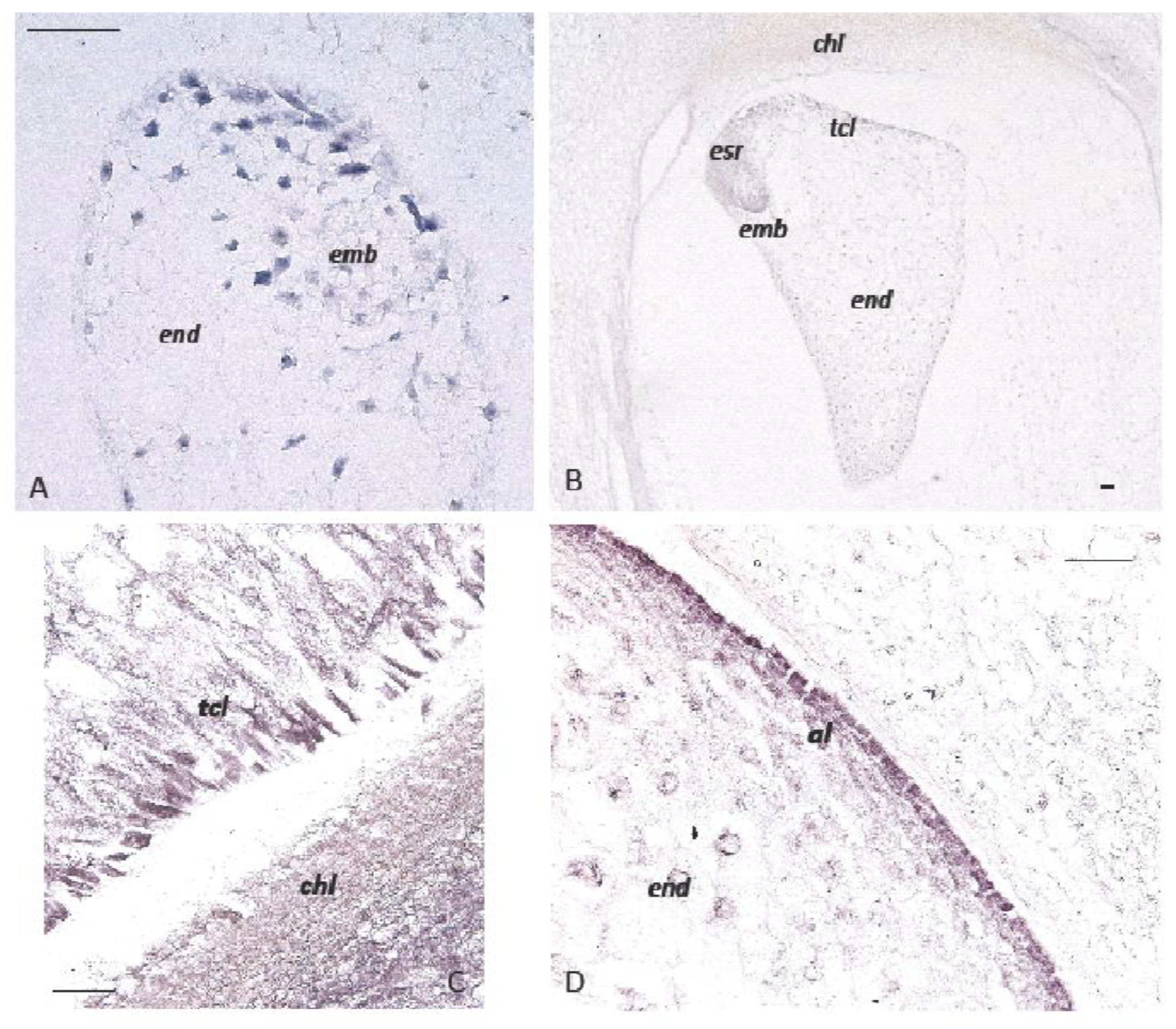
2.2. Differentiation of Embryo and Endosperm Domains
2.3. The Mutant Approach: Type of Mutants and Usage in Functional Gene Studies
3. A Focus on Endosperm Development
3.1. Endosperm Storage Protein-Accumulation and Transcriptional Regulation
3.2. Chromatin and Epigenetic Regulation of Endosperm Development
3.3. The Role of Auxin in Endosperm Development
4. Conclusions
Author Contributions
Funding
Institutional Review Board Statement
Informed Consent Statement
Data Availability Statement
Acknowledgments
Conflicts of Interest
References
- Peterson, P.A.; Bianchi, A. Maize Genetics and Breeding in the 20th Century; World Scientific Publishing: Singapore, 1999. [Google Scholar]
- Sari-Gorla, M. Ercole Ottaviano An Appreciation. Maydica 1994, 39, 79–82. [Google Scholar]
- Bianchi, G.; Avato, P.; Salamini, F. Glossy mutants of maize. Heredity 1979, 42, 391–395. [Google Scholar] [CrossRef]
- Sturaro, M.; Hartings, H.; Schmelzer, E.; Velasco, R.; Salamini, F.; Motto, M. Cloning and Characterization of GLOSSY1, a Maize Gene Involved in Cuticle Membrane and Wax Production. Plant Physiol. 2005, 138, 478–489. [Google Scholar] [CrossRef]
- Castorina, G.; Domergue, F.; Chiara, M.; Zilio, M.; Persico, M.; Ricciardi, V.; Horner, D.S.; Consonni, G. Drought-Responsive ZmFDL1/MYB94 Regulates Cuticle Biosynthesis and Cuticle-Dependent Leaf Permeability. Plant Physiol. 2020, 184, 266–282. [Google Scholar] [CrossRef] [PubMed]
- Tonelli, C.; Consonni, G.; Dolfini, S.F.; Dellaporta, S.L.; Viotti, A.; Gavazzi, G. Genetic and molecular analysis of Sn, a light-inducible, tissue specific regulatory gene in maize. Mol. Gen. Genet. 1991, 225, 401–410. [Google Scholar] [CrossRef] [PubMed]
- Piazza, P.; Procissi, A.; Jenkins, G.I.; Tonelli, C. Members of the c1/pl1 Regulatory Gene Family Mediate the Response of Maize Aleurone and Mesocotyl to Different Light Qualities and Cytokinins. Plant Physiol. 2002, 128, 1077–1086. [Google Scholar] [CrossRef]
- Morgante, M.; Brunner, S.; Pea, G.; Fengler, K.; Zuccolo, A.; Rafalski, A.J. Gene duplication and exon shuffling by helitron-like transposons generate intraspecies diversity in maize. Nat. Genet. 2005, 37, 997–1002. [Google Scholar] [CrossRef]
- Frascaroli, E.; Canè, M.A.; Landi, P.; Pea, G.; Gianfranceschi, L.; Villa, M.; Morgante, M.; Pè, M.E. Classical Genetic and Quantitative Trait Loci Analyses of Heterosis in a Maize Hybrid Between Two Elite Inbred Lines. Genetics 2007, 176, 625–644. [Google Scholar] [CrossRef]
- Salvi, S.; Giuliani, S.; Ricciolini, C.; Carraro, N.; Maccaferri, M.; Presterl, T.; Ouzunova, M.; Tuberosa, R. Two major quantitative trait loci controlling the number of seminal roots in maize co-map with the root developmental genes rtcs and rum1. J. Exp. Bot. 2016, 67, 1149–1159. [Google Scholar] [CrossRef]
- Miculan, M.; Nelissen, H.; Ben Hassen, M.; Marroni, F.; Inzé, D.; Pè, M.E.; Dell’Acqua, M. A forward genetics approach integrating genome-wide association study and expression quantitative trait locus mapping to dissect leaf development in maize (Zea mays). Plant J. 2021, 107, 1056–1071. [Google Scholar] [CrossRef]
- Lanubile, A.; Maschietto, V.; Borrelli, V.M.; Stagnati, L.; Logrieco, A.F.; Marocco, A. Molecular Basis of Resistance to Fusarium Ear Rot in Maize. Front. Plant Sci. 2017, 8, 1774. [Google Scholar] [CrossRef] [PubMed]
- Balconi, C.; Berardo, N.; Locatelli, S.; Lanzanova, C.; Torri, A.; Redaelli, R. Evaluation of ear rot (Fusarium verticillioides) resistance and fumonisin accumulation in Italian maize inbred lines. Phytopathol. Mediterr. 2014, 53, 14–26. [Google Scholar] [CrossRef]
- Pilu, R.; Panzeri, D.; Gavazzi, G.; Rasmussen, S.K.; Consonni, G.; Nielsen, E. Phenotypic, genetic and molecular characterization of a maize low phytic acid mutant (lpa241). Theor. Appl. Genet. 2003, 107, 980–987. [Google Scholar] [CrossRef] [PubMed]
- Badone, F.C.; Amelotti, M.; Cassani, E.; Pilu, S.R. Study of Low Phytic Acid1-7 (lpa1-7), a New ZmMRP4 Mutation in Maize. J. Hered. 2012, 103, 598–605. [Google Scholar] [CrossRef] [PubMed]
- Dell’Acqua, M.; Gatti, D.M.; Pea, G.; Cattonaro, F.; Coppens, F.; Magris, G.; Hlaing, A.L.; Aung, H.H.; Nelissen, H.; Baute, J.; et al. Genetic properties of the MAGIC maize population: A new platform for high definition QTL mapping in Zea mays. Genome Biol. 2015, 16, 167. [Google Scholar] [CrossRef] [PubMed]
- McClintock, B. The origin and behavior of mutable loci in maize. Proc. Natl. Acad. Sci. USA 1950, 36, 344–355. [Google Scholar] [CrossRef]
- Doll, N.M.; Just, J.; Brunaud, V.; Caïus, J.; Grimault, A.; Depège-Fargeix, N.; Esteban, E.; Pasha, A.; Provart, N.J.; Ingram, G.C.; et al. Transcriptomics at Maize Embryo/Endosperm Interfaces Identifies a Transcriptionally Distinct Endosperm Subdomain Adjacent to the Embryo Scutellum. Plant Cell 2020, 32, 833–852. [Google Scholar] [CrossRef]
- Rhoades, M.M. The Early Years of Maize Genetics. Annu. Rev. Genet. 1984, 18, 1–29. [Google Scholar] [CrossRef]
- Rafalski, A.; Morgante, M. Corn and humans: Recombination and linkage disequilibrium in two genomes of similar size. Trends Genet. 2004, 20, 103–111. [Google Scholar] [CrossRef]
- Randolph, L.F. Developmental morphology of the caryopsis in maize. J. Agric. Res. 1936, 53, 881–916. [Google Scholar]
- Kiesselbach, T.A. The Structure and Reproduction of Corn; Cold Spring Harbor Laboratory Press: Cold Spring Harbor, NY, USA, 1999. [Google Scholar]
- Motto, M.; Hartings, H.; Fracassetti, M.; Consonni, G. Grain quality-related traits in maize: Gene identification and exploitation. Maydica 2012, 56, 291–314. [Google Scholar]
- Dumas, C.; Rogowsky, P. Fertilization and early seed formation. Comptes Rendus. Biol. 2008, 331, 715–725. [Google Scholar] [CrossRef] [PubMed]
- Consonni, G.; Gavazzi, G.; Dolfini, S. Genetic Analysis as a Tool to Investigate the Molecular Mechanisms Underlying Seed Development in Maize. Ann. Bot. 2005, 96, 353–362. [Google Scholar] [CrossRef]
- Lin, B.-Y. Ploidy barrier to endosperm development in maize. Genetics 1984, 107, 103–115. [Google Scholar] [CrossRef]
- Leroux, B.M.; Goodyke, A.J.; Schumacher, K.I.; Abbott, C.P.; Clore, A.M.; Yadegari, R.; Larkins, B.A.; Dannenhoffer, J. Maize early endosperm growth and development: From fertilization through cell type differentiation. Am. J. Bot. 2014, 101, 1259–1274. [Google Scholar] [CrossRef] [PubMed]
- Vernoud, V.; Hajduch, M.; Khaled, A.; Depège, N.; Rogowsky, M.P. Maize embryogenesis. Maydica 2005, 50, 469–483. [Google Scholar]
- Sabelli, P.A.; Larkins, B.A. The Development of Endosperm in Grasses. Plant Physiol. 2009, 149, 14–26. [Google Scholar] [CrossRef] [PubMed]
- Ingram, G.; Gutierrez-Marcos, J. Peptide signalling during angiosperm seed development. J. Exp. Bot. 2015, 66, 5151–5159. [Google Scholar] [CrossRef]
- Doll, N.M.; Depège-Fargeix, N.; Rogowsky, P.M.; Widiez, T. Signaling in Early Maize Kernel Development. Mol. Plant 2017, 10, 375–388. [Google Scholar] [CrossRef]
- Chandler, J.; Nardmann, J.; Werr, W. Plant development revolves around axes. Trends Plant Sci. 2008, 13, 78–84. [Google Scholar] [CrossRef]
- Giuliani, C.; Consonni, G.; Gavazzi, G.; Colombo, M.; Dolfini, S. Programmed Cell Death during Embryogenesis in Maize. Ann. Bot. 2002, 90, 287–292. [Google Scholar] [CrossRef]
- Olsen, O.-A. Endosperm Development: Cellularization and Cell Fate Specification. Annu. Rev. Plant Biol. 2001, 52, 233–267. [Google Scholar] [CrossRef]
- Thompson, R.D.; Hueros, G.; Becker, H.-A.; Maitz, M. Development and functions of seed transfer cells. Plant Sci. 2001, 160, 775–783. [Google Scholar] [CrossRef]
- Becraft, P.W.; Yi, G. Regulation of aleurone development in cereal grains. J. Exp. Bot. 2011, 62, 1669–1675. [Google Scholar] [CrossRef]
- Procissi, A.; Dolfini, S.; Ronchi, A.; Tonelli, C. Light-Dependent Spatial and Temporal Expression of Pigment Regulatory Genes in Developing Maize Seeds. Plant Cell 1997, 9, 1547–1557. [Google Scholar] [CrossRef]
- Sabelli, P.A.; Larkins, B.A. The contribution of cell cycle regulation to endosperm development. Sex. Plant Reprod. 2009, 22, 207–219. [Google Scholar] [CrossRef]
- James, M.G.; Denyer, K.; Myers, A.M. Starch synthesis in the cereal endosperm. Curr. Opin. Plant Biol. 2003, 6, 215–222. [Google Scholar] [CrossRef]
- Neuffer, M.G.; Coe, E.H.; Wessler, S.R. Mutants of Maize; Cold Spring Harbor Laboratory Press: Cold Spring Harbor, NY, USA, 1997. [Google Scholar]
- Neuffer, M.G.; Sheridan, W.F. Defective kernel mutants of maize. I. Genetic and lethality studies. Genetics 1980, 95, 929–944. [Google Scholar] [CrossRef]
- Clark, J.K.; Sheridan, W.F. Isolation and Characterization of 51 embryo-specific Mutations of Maize. Plant Cell 1991, 3, 935–951. [Google Scholar] [CrossRef]
- Consonni, G.; Aspesi, C.; Barbante, A.; Dolfini, S.; Giuliani, C.; Giulini, A.; Hansen, S.; Brettschneider, R.; Pilu, R.; Gavazzi, G. Analysis of four maize mutants arrested in early embryogenesis reveals an irregular pattern of cell division. Sex. Plant Reprod. 2003, 15, 281–290. [Google Scholar] [CrossRef]
- Salamini, F. Variabilità mendeliana nelle varietà italiane di mais. Maydica 1968, 13, 1–45. [Google Scholar]
- Dolfini, S.; Consonni, G.; Viotti, C.; Prà, M.D.; Saltini, G.; Giulini, A.; Pilu, S.R.; Malgioglio, A.; Gavazzi, G. A mutational approach to the study of seed development in maize. J. Exp. Bot. 2007, 58, 1197–1205. [Google Scholar] [CrossRef] [PubMed]
- Gutiérrez-Marcos, J.F.; Prà, M.D.; Giulini, A.; Costa, L.M.; Gavazzi, G.; Cordelier, S.; Sellam, O.; Tatout, C.; Paul, W.; Perez, P.; et al. empty pericarp4 Encodes a Mitochondrion-Targeted Pentatricopeptide Repeat Protein Necessary for Seed Development and Plant Growth in Maize. Plant Cell 2007, 19, 196–210. [Google Scholar] [CrossRef] [PubMed]
- Sangiorgio, S.; Carabelli, L.; Gabotti, D.; Manzotti, P.S.; Persico, M.; Consonni, G.; Gavazzi, G. A mutational approach for the detection of genetic factors affecting seed size in maize. Plant Reprod. 2016, 29, 301–310. [Google Scholar] [CrossRef]
- Sosso, D.; Canut, M.; Gendrot, G.; Dedieu, A.; Chambrier, P.; Barkan, A.; Consonni, G.; Rogowsky, P.M. PPR8522 encodes a chloroplast-targeted pentatricopeptide repeat protein necessary for maize embryogenesis and vegetative development. J. Exp. Bot. 2012, 63, 5843–5857. [Google Scholar] [CrossRef] [PubMed]
- Forestan, C.; Farinati, S.; Rouster, J.; Lassagne, H.; Lauria, M.; Ferro, N.D.; Varotto, S. Control of Maize Vegetative and Reproductive Development, Fertility, and rRNAs Silencing by HISTONE DEACETYLASE 108. Genetics 2018, 208, 1443–1466. [Google Scholar] [CrossRef]
- Motto, M.; Marotta, R.; Di Fonzo, N.; Soave, C.; Salamini, F. Ds-induced alleles at the OPAQUE-2 locus of maize. Genetics 1986, 112, 121–133. [Google Scholar] [CrossRef]
- Hartings, H.; Maddaloni, M.; Lazzaroni, N.; Di Fonzo, N.; Motto, M.; Salamini, F.; Thompson, R. The O2 gene which regulates zein deposition in maize endosperm encodes a protein with structural homologies to transcriptional activators. EMBO J. 1989, 8, 2795–2801. [Google Scholar] [CrossRef]
- Larkins, B.A.; Hurkman, W.J. Synthesis and Deposition of Zein in Protein Bodies of Maize Endosperm. Plant Physiol. 1978, 62, 256–263. [Google Scholar] [CrossRef]
- Viotti, A.; Abildsten, D.; Pogna, N.; Sala, E.; Pirrotta, V. Multiplicity and diversity of cloned zein cDNA sequences and their chromosomal localisation. EMBO J. 1982, 1, 53–58. [Google Scholar] [CrossRef]
- Bianchi, M.W.; Viotti, A. DNA methylation and tissue-specific transcription of the storage protein genes of maize. Plant Mol. Biol. 1988, 11, 203–214. [Google Scholar] [CrossRef] [PubMed]
- Lund, G.; Ciceri, P.; Viotti, A. Maternal-specific demethylation and expression of specific alleles of zein genes in the endosperm of Zea mays L. Plant J. 1995, 8, 571–581. [Google Scholar] [CrossRef] [PubMed]
- Sturaro, M.; Viotti, A. Methylation of the Opaque2 box in zein genes is parent-dependent and affects O2 DNA binding activity in vitro. Plant Mol. Biol. 2001, 46, 549–560. [Google Scholar] [CrossRef] [PubMed]
- Castelli, S.; Mascheretti, I.; Cosentino, C.; Lazzari, B.; Pirona, R.; Ceriotti, A.; Viotti, A.; Lauria, M. Uniparental and transgressive expression of α-zeins in maize endosperm of o2 hybrid lines. PLoS ONE 2018, 13, e0206993. [Google Scholar] [CrossRef] [PubMed]
- Viotti, A.; Cairo, G.; Vitale, A.; Sala, E. Each zein gene class can produce polypeptides of different sizes. EMBO J. 1985, 4, 1103–1110. [Google Scholar] [CrossRef]
- Maddaloni, M.; Di Fonzo, N.; Hartings, H.; Lazzaroni, N.; Salamini, F.; Thompson, R.; Motto, M. The sequence of the zein regulatory gene opaque-2 (O2) of Zea Mays. Nucleic Acids Res. 1989, 17, 7532. [Google Scholar] [CrossRef][Green Version]
- Maddaloni, M.; Donini, G.; Balconi, C.; Rizzi, E.; Gallusci, P.; Forlani, F.; Lohmer, S.; Thompson, R.; Salamini, F.; Motto, M. The transcriptional activatorOpaque-2 controls the expression of a cytosolic form of pyruvate orthophosphate dikinase-1 in maize endosperms. Mol. Gen. Genet. 1996, 250, 647–654. [Google Scholar] [CrossRef]
- Lohmer, S.; Maddaloni, M.; Motto, M.; Salamini, F.; Thompson, R.D. Translation of the mRNA of the maize transcriptional activator Opaque-2 is inhibited by upstream open reading frames present in the leader sequence. Plant Cell 1993, 5, 65–73. [Google Scholar] [CrossRef]
- Bernard, L.; Ciceri, P.; Viotti, A. Molecular analysis of wild-type and mutant alleles at the Opaque-2 regulatory locus of maize reveals different mutations and types of O2 products. Plant Mol. Biol. 1994, 24, 949–959. [Google Scholar] [CrossRef]
- Hartings, H.; Lazzaroni, N.; Rossi, V.; Riboldi, G.R.; Thompson, R.D.; Salamini, F.; Motto, M. Molecular analysis of opaque-2 alleles from Zea mays L. reveals the nature of mutational events and the presence of a hypervariable region in the 5′ part of the gene. Genet. Res. 1995, 65, 11–19. [Google Scholar] [CrossRef]
- Gavazzi, F.; Lazzari, B.; Ciceri, P.; Gianazza, E.; Viotti, A. Wild-Type Opaque2 and Defective opaque2 Polypeptides Form Complexes in Maize Endosperm Cells and Bind the Opaque2-Zein Target Site. Plant Physiol. 2007, 145, 933–945. [Google Scholar] [CrossRef] [PubMed]
- Ciceri, P.; Gianazza, E.; Lazzari, B.; Lippoli, G.; Genga, A.; Hoscheck, G.; Schmidt, R.J.; Viotti, A. Phosphorylation of Opaque2 changes diurnally and impacts its DNA binding activity. Plant Cell 1997, 9, 97–108. [Google Scholar] [CrossRef] [PubMed]
- Ciceri, P.; Locatelli, F.; Genga, A.; Viotti, A.; Schmidt, R.J. The Activity of the Maize Opaque2 Transcriptional Activator Is Regulated Diurnally. Plant Physiol. 1999, 121, 1321–1327. [Google Scholar] [CrossRef] [PubMed]
- Rossi, V.; Motto, M.; Pellegrini, L. Analysis of the Methylation Pattern of the Maize Opaque-2 (O2) Promoter and in Vitro Binding Studies Indicate That the O2 B-Zip Protein and Other Endosperm Factors Can Bind to Methylated Target Sequences. J. Biol. Chem. 1997, 272, 13758–13765. [Google Scholar] [CrossRef]
- Nelson, O.E.; Mertz, E.T.; Bates, L.S. Second Mutant Gene Affecting the Amino Acid Pattern of Maize Endosperm Proteins. Science 1965, 150, 1469–1470. [Google Scholar] [CrossRef]
- Marocco, A.; Santucci, A.; Cerioli, S.; Motto, M.; Di Fonzo, N.; Thompson, R.; Salamini, F. Three high-lysine mutations control the level of ATP-binding HSP70-like proteins in the maize endosperm. Plant Cell 1991, 3, 507–515. [Google Scholar] [CrossRef]
- Di Fonzo, N.; Hartings, H.; Brembilla, M.; Motto, M.; Soave, C.; Navarro, E.; Palau, J.; Rhode, W.; Salamini, F. The b-32 protein from maize endosperm, an albumin regulated by the O2 locus: Nucleic acid (cDNA) and amino acid sequences. Mol. Gen. Genet. 1988, 212, 481–487. [Google Scholar] [CrossRef]
- Hartings, H.; Lazzaroni, N.; Marsan, P.A.; Aragay, A.; Thompson, R.; Salamini, F.; Di Fonzo, N.; Palau, J.; Motto, M. The b-32 protein from maize endosperm: Characterization of genomic sequences encoding two alternative central domains. Plant Mol. Biol. 1990, 14, 1031–1040. [Google Scholar] [CrossRef]
- Lohmer, S.; Maddaloni, M.; Motto, M.; Di Fonzo, N.; Hartings, H.; Salamini, F.; Thompson, R.D. The maize regulatory locus Opaque-2 encodes a DNA-binding protein which activates the transcription of the b-32 gene. EMBO J. 1991, 10, 617–624. [Google Scholar] [CrossRef]
- Gallusci, P.; Varotto, S.; Matsuoko, M.; Maddaloni, M.; Thompson, R.D. Regulation of cytosolic pyruvate, orthophosphate dikinase expression in developing maize endosperm. Plant Mol. Biol. 1996, 31, 45–55. [Google Scholar] [CrossRef]
- Li, C.; Song, R. The regulation of zein biosynthesis in maize endosperm. Theor. Appl. Genet. 2020, 133, 1443–1453. [Google Scholar] [CrossRef] [PubMed]
- Lauria, M.; Rossi, V. Epigenetic control of gene regulation in plants. Biochim. Biophys. Acta Gene Regul. Mech. 2011, 1809, 369–378. [Google Scholar] [CrossRef] [PubMed]
- Wade, P.A.; Wolffe, A.P. Chromatin: Histone acetyltransferases in control. Curr. Biol. 1997, 7, R82–R84. [Google Scholar] [CrossRef]
- Rossi, V.; Hartings, H.; Motto, M. Identification and characterisation of an RPD3 homologue from maize (Zea mays L.) that is able to complement an rpd3 null mutant of Saccharomycescerevisiae. Gene Regul. Mech. 1998, 258, 288–296. [Google Scholar] [CrossRef]
- Rossi, V.; Locatelli, S.; Lanzanova, C.; Boniotti, M.B.; Varotto, S.; Pipal, A.; Goralik-Schramel, M.; Lusser, A.; Gatz, C.; Gutierrez, C.; et al. A maize histone deacetylase and retinoblastoma-related protein physically interact and cooperate in repressing gene transcription. Plant Mol. Biol. 2003, 51, 401–413. [Google Scholar] [CrossRef] [PubMed]
- Rossi, V.; Varotto, S.; Locatelli, S.; Lanzanova, C.; Lauria, M.; Zanotti, E.; Hartings, H.; Motto, M. The maize WD-repeat gene ZmRbAp1 encodes a member of the MSI/RbAp sub-family and is differentially expressed during endosperm development. Mol. Genet. Genom. 2001, 265, 576–584. [Google Scholar] [CrossRef] [PubMed]
- Varotto, S.; Locatelli, S.; Canova, S.; Pipal, A.; Motto, M.; Rossi, V. Expression Profile and Cellular Localization of Maize Rpd3-Type Histone Deacetylases during Plant Development. Plant Physiol. 2003, 133, 606–617. [Google Scholar] [CrossRef]
- Rossi, V.; Locatelli, S.; Varotto, S.; Donn, G.; Pirona, R.; Henderson, D.A.; Hartings, H.; Motto, M. Maize Histone Deacetylase hda101 Is Involved in Plant Development, Gene Transcription, and Sequence-Specific Modulation of Histone Modification of Genes and Repeats. Plant Cell 2007, 19, 1145–1162. [Google Scholar] [CrossRef]
- Locatelli, S.; Piatti, P.; Motto, M.; Rossi, V. Chromatin and DNA modifications in the Opaque2-mediated regulation of gene transcription during maize endosperm development. Plant Cell 2009, 21, 1410–1427. [Google Scholar] [CrossRef]
- Batista, R.A.; Köhler, C. Genomic imprinting in plants—Revisiting existing models. Genes Dev. 2020, 34, 24–36. [Google Scholar] [CrossRef]
- Lund, G.; Messing, J.; Viotti, A. Endosperm-specific demethylation and activation of specific alleles of α-tubulin genes of Zea mays L. Mol. Gen. Genet. 1995, 246, 716–722. [Google Scholar] [CrossRef]
- Lauria, M.; Rupe, M.; Guo, M.; Kranz, E.; Pirona, R.; Viotti, A.; Lund, G. Extensive Maternal DNA Hypomethylation in the Endosperm of Zea mays. Plant Cell 2004, 16, 510–522. [Google Scholar] [CrossRef]
- Gent, J.I.; Higgins, K.M.; Swentowsky, K.W.; Fu, F.-F.; Zeng, Y.; Kim, D.W.; Dawe, R.K.; Springer, N.M.; Anderson, S.N. The maize gene maternal derepression of r1 encodes a DNA glycosylase that demethylates DNA and reduces siRNA expression in the endosperm. Plant Cell 2022, 2022, koac199. [Google Scholar] [CrossRef]
- Locascio, A.; Roig-Villanova, I.; Bernardi, J.; Varotto, S. Current perspectives on the hormonal control of seed development in Arabidopsis and maize: A focus on auxin. Front. Plant Sci. 2014, 5, 412. [Google Scholar] [CrossRef]
- Forestan, C.; Meda, S.; Varotto, S. ZmPIN1-Mediated Auxin Transport Is Related to Cellular Differentiation during Maize Embryogenesis and Endosperm Development. Plant Physiol. 2009, 152, 1373–1390. [Google Scholar] [CrossRef]
- Carraro, N.; Forestan, C.; Canova, S.; Traas, J.; Varotto, S. ZmPIN1aandZmPIN1bEncode Two Novel Putative Candidates for Polar Auxin Transport and Plant Architecture Determination of Maize. Plant Physiol. 2006, 142, 254–264. [Google Scholar] [CrossRef]
- Torti, G.; Manzocchi, L.; Salamini, F. Free and bound indole-acetic acid is low in the endosperm of the maize mutantdefective endosperm-B18. Theor. Appl. Genet. 1986, 72, 602–605. [Google Scholar] [CrossRef]
- Forestan, C.; Varotto, S. The Role of PIN Auxin Efflux Carriers in Polar Auxin Transport and Accumulation and Their Effect on Shaping Maize Development. Mol. Plant 2012, 5, 787–798. [Google Scholar] [CrossRef]
- Forestan, C.; Farinati, S.; Varotto, S. The Maize PIN Gene Family of Auxin Transporters. Front. Plant Sci. 2012, 3, 16. [Google Scholar] [CrossRef]
- Phillips, K.A.; Skirpan, A.L.; Liu, X.; Christensen, A.; Slewinski, T.L.; Hudson, C.; Barazesh, S.; Cohen, J.D.; Malcomber, S.; McSteen, P. vanishing tassel2 Encodes a Grass-Specific Tryptophan Aminotransferase Required for Vegetative and Reproductive Development in Maize. Plant Cell 2011, 23, 550–566. [Google Scholar] [CrossRef]
- Bernardi, J.; Lanubile, A.; Li, Q.-B.; Kumar, D.; Kladnik, A.; Cook, S.D.; Ross, J.J.; Marocco, A.; Chourey, P.S. Impaired Auxin Biosynthesis in the defective endosperm18 Mutant Is Due to Mutational Loss of Expression in the ZmYuc1 Gene Encoding Endosperm-Specific YUCCA1 Protein in Maize. Plant Physiol. 2012, 160, 1318–1328. [Google Scholar] [CrossRef]
- Bernardi, J.; Battaglia, R.; Bagnaresi, P.; Lucini, L.; Marocco, A. Transcriptomic and metabolomic analysis of ZmYUC1 mutant reveals the role of auxin during early endosperm formation in maize. Plant Sci. 2019, 281, 133–145. [Google Scholar] [CrossRef]
- Chen, L.; Li, Y.; Li, C.; Shi, Y.; Song, Y.; Zhang, D.; Wang, H.; Li, Y.; Wang, T. The retromer protein ZmVPS29 regulates maize kernel morphology likely through an auxin-dependent process(es). Plant Biotechnol. J. 2019, 18, 1004–1014. [Google Scholar] [CrossRef] [PubMed]
- Chen, L.; Li, Y.-X.; Li, C.; Shi, Y.; Song, Y.; Zhang, D.; Li, Y.; Wang, T. Genome-wide analysis of the pentatricopeptide repeat gene family in different maize genomes and its important role in kernel development. BMC Plant Biol. 2018, 18, 366. [Google Scholar] [CrossRef] [PubMed]
- Dai, D.; Ma, Z.; Song, R. Maize kernel development. Mol. Breed. 2021, 41, 2. [Google Scholar] [CrossRef]
- Wu, H.; Becraft, P.W.; Dannenhoffer, J.M. Maize Endosperm Development: Tissues, Cells, Molecular Regulation and Grain Quality Improvement. Front. Plant Sci. 2022, 13, 852082. [Google Scholar] [CrossRef]



| Zea mays. | Oryza sativa | ||||
|---|---|---|---|---|---|
| Gene Name | Gene Symbol | Synonyms | Gene Model | Gene Symbol | Gene Model |
| opaque endosperm2 | op2 | ZmbZIP1 | Zm00001eb301570 | BZIP58 | Os07G0182000 |
| floury2 | fl2 | zp19/22*-L34340 | Zm00001eb170070 | none | none |
| defective endosperm B30 | de30 | zp2 | Zm00001eb303160 | none | none |
| mucronate1 | mc1 | zp15*, zp16 | Zm00001eb099950 | none | none |
| ribosome-inactivating protein1 | b-32 | rip1 | Zm00001eb350070 | none | none |
| Histone Deacetylase 101 | Rpd3/101 | rpd3; hda1; ZmHDA101 | Zm00001eb205290 | HDAC3 | Os02g0214900 |
| Histone Deacetylase 102 | Rpd3/102 | hda112; ZmHDA102 | Zm00001eb084120 | none | Os04g0409600 |
| Histone Deacetylase 108 | Rpd3/108 | hda108; ZmHDA108 | Zm00001eb177560 | none | Os08g0344100 |
| retinoblastoma-associated protein1 | RbAp1 | nfc102; rbap3 | Zm00001eb361300 | WD40-23 | Os01g0710000 |
| retinoblastoma-related protein | RBR1 | rrb1 | Zm00001eb113470 | none | Os11G0533500 |
| pyruvate orthophosphate dikinase-1 | cyPPDK1 | pdk1 | Zm00001eb287770 | none | Os05G0405000 |
| defective endosperm 18 | de18 | yuc1; YUCCA1 | Zm00001eb409250 | YUCCA11 | Os12G0189500 |
| PIN-formed protein | PIN1 | ZmPIN1a | Zm00001eb372180 | PIN1-like | Os06g0232300 |
| PIN-formed protein | PIN2 | ZmPIN1b | Zm00001eb254390 | PIN1 | Os02g0743400 |
| PIN-formed protein | PIN5 | ZmPIN5a | Zm00001eb143310 | PIN5a | Os01G0919800 |
| PIN-formed protein | PIN8 | none | Zm00001eb154930 | PIN8 | Os01G0715600 |
| PIN-formed protein | PIN10 | ZmPIN10a | Zm00001eb158690 | PIN10A | Os01G0643300 |
| PIN-formed like protein | PIN14 | PINY | Zm00001eb149720 | none | Os01G0818000 |
Publisher’s Note: MDPI stays neutral with regard to jurisdictional claims in published maps and institutional affiliations. |
© 2022 by the authors. Licensee MDPI, Basel, Switzerland. This article is an open access article distributed under the terms and conditions of the Creative Commons Attribution (CC BY) license (https://creativecommons.org/licenses/by/4.0/).
Share and Cite
Consonni, G.; Castorina, G.; Varotto, S. The Italian Research on the Molecular Characterization of Maize Kernel Development. Int. J. Mol. Sci. 2022, 23, 11383. https://doi.org/10.3390/ijms231911383
Consonni G, Castorina G, Varotto S. The Italian Research on the Molecular Characterization of Maize Kernel Development. International Journal of Molecular Sciences. 2022; 23(19):11383. https://doi.org/10.3390/ijms231911383
Chicago/Turabian StyleConsonni, Gabriella, Giulia Castorina, and Serena Varotto. 2022. "The Italian Research on the Molecular Characterization of Maize Kernel Development" International Journal of Molecular Sciences 23, no. 19: 11383. https://doi.org/10.3390/ijms231911383
APA StyleConsonni, G., Castorina, G., & Varotto, S. (2022). The Italian Research on the Molecular Characterization of Maize Kernel Development. International Journal of Molecular Sciences, 23(19), 11383. https://doi.org/10.3390/ijms231911383

