Increased ACS Enzyme Dosage Causes Initiation of Climacteric Ethylene Production in Tomato
Abstract
1. Introduction
2. Results
2.1. Differences in Fruit Maturation and Ethylene Production during Ripening
2.2. Expression Profiling of Ethylene and Carotenoid Biosynthetic Genes
2.3. Statistical Motif Analysis in Regulatory Sequences
2.4. Exogenous Ethylene Response Assays
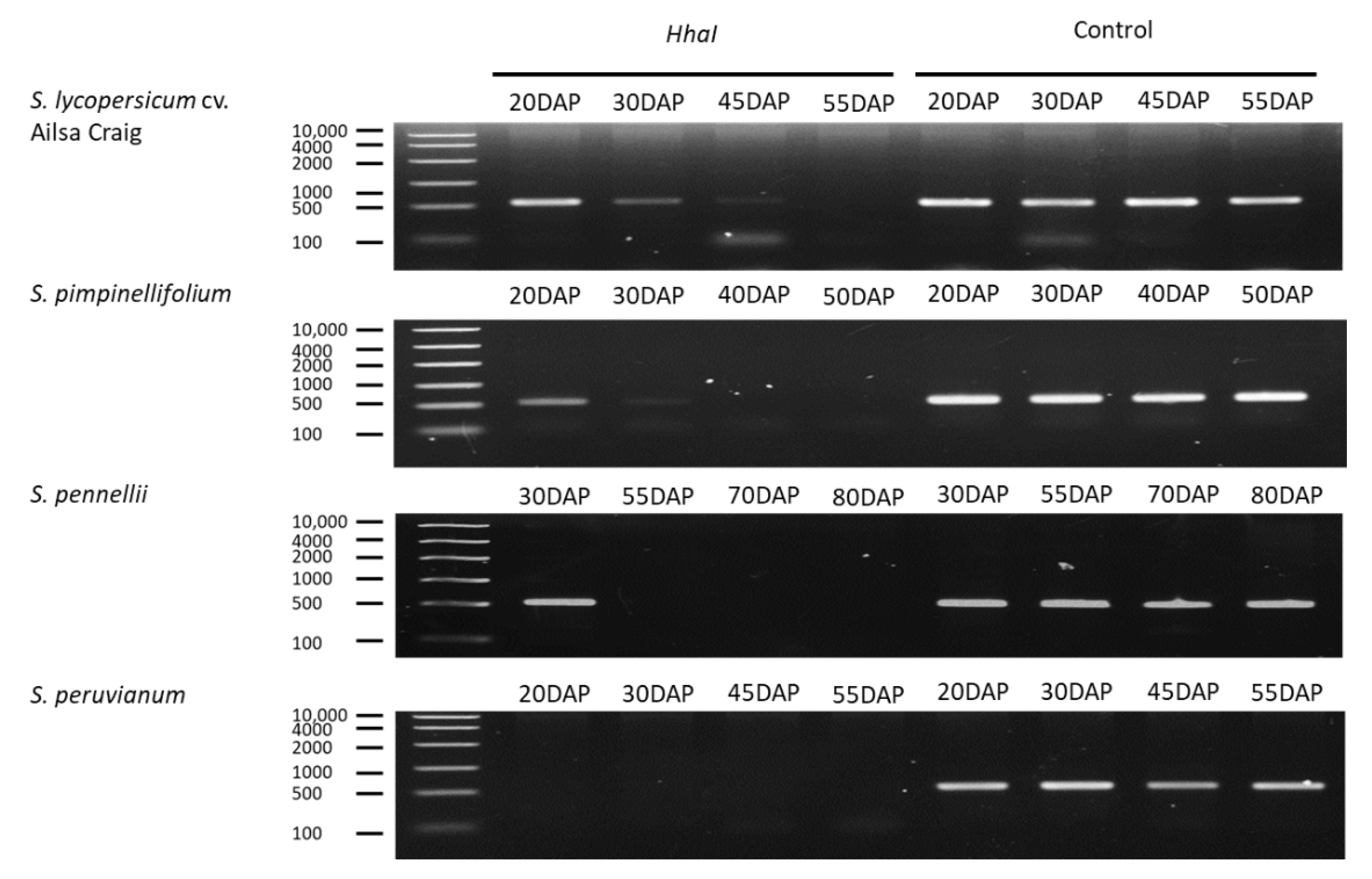
2.5. Quantification of DNA Methylation in the NOR Promoter
3. Discussion
3.1. Ethylene-Mediated Carotenoid Biosynthesis Is an Evolutionary Adaptation
3.2. Increased Dosage of ACS Enzyme Is Favored by Selection
3.3. Divergence in Transcriptional Regulation
3.4. Ethylene Perception in Fruits
4. Materials and Methods
4.1. Plant Materials and Growth Conditions
4.2. Ethylene Production in Fruits
is the volume of the bottle (mL), Z is the fruit weight (g), and T is the time (h).
4.3. Exogenous Ethylene Treatment
4.4. DNA Extraction and Sequencing
4.5. Promoter Analysis
4.6. RNA Extraction and Quantitative RT-PCR Analysis
4.7. DNA Methylation Using Real-Time PCR (qAMP)
5. Conclusions
Supplementary Materials
Author Contributions
Funding
Institutional Review Board Statement
Informed Consent Statement
Data Availability Statement
Acknowledgments
Conflicts of Interest
References
- Bai, Y.; Lindhout, P. Domestication and Breeding of Tomatoes: What Have We Gained and What Can We Gain in the Future? Ann. Bot. 2007, 100, 1085–1094. [Google Scholar] [CrossRef] [PubMed]
- Nakazato, T.; Bogonovich, M.; Moyle, L.C. Environmental Factors Predict Adaptive Phenotypic Differentiation within and between Two Wild Andean Tomatoes. Evol. Int. J. Org. Evol. 2008, 62, 774–792. [Google Scholar] [CrossRef] [PubMed]
- Nakazato, T.; Franklin, R.A.; Kirk, B.C.; Housworth, E.A. Population Structure, Demographic History, and Evolutionary Patterns of a Green-Fruited Tomato, Solanum Peruvianum (Solanaceae), Revealed by Spatial Genetics Analyses. Am. J. Bot. 2012, 99, 1207–1216. [Google Scholar] [CrossRef] [PubMed]
- Nakazato, T.; Warren, D.L.; Moyle, L.C. Ecological and Geographic Modes of Species Divergence in Wild Tomatoes. Am. J. Bot. 2010, 97, 680–693. [Google Scholar] [CrossRef]
- Lü, P.; Yu, S.; Zhu, N.; Chen, Y.-R.; Zhou, B.; Pan, Y.; Tzeng, D.; Fabi, J.P.; Argyris, J.; Garcia-Mas, J.; et al. Genome Encode Analyses Reveal the Basis of Convergent Evolution of Fleshy Fruit Ripening. Nat. Plants 2018, 4, 784–791. [Google Scholar] [CrossRef]
- Grumet, R.; Fobes, J.F.; Herner, R.C. Ripening Behavior of Wild Tomato Species. Plant Physiol. 1981, 68, 1428–1432. [Google Scholar] [CrossRef]
- Blanca, J.; Cañizares, J.; Cordero, L.; Pascual, L.; Diez, M.J.; Nuez, F. Variation Revealed by SNP Genotyping and Morphology Provides Insight into the Origin of the Tomato. PLoS ONE 2012, 7, e48198. [Google Scholar] [CrossRef]
- Blanca, J.; Montero-Pau, J.; Sauvage, C.; Bauchet, G.; Illa, E.; Díez, M.J.; Francis, D.; Causse, M.; van der Knaap, E.; Cañizares, J. Genomic Variation in Tomato, from Wild Ancestors to Contemporary Breeding Accessions. BMC Genom. 2015, 16, 1–19. [Google Scholar] [CrossRef]
- Lin, T.; Zhu, G.; Zhang, J.; Xu, X.; Yu, Q.; Zheng, Z.; Zhang, Z.; Lun, Y.; Li, S.; Wang, X.; et al. Genomic Analyses Provide Insights into the History of Tomato Breeding. Nat. Genet. 2014, 46, 1220–1226. [Google Scholar] [CrossRef]
- Klee, H.J.; Giovannoni, J.J. Genetics and Control of Tomato Fruit Ripening and Quality Attributes. Annu. Rev. Genet. 2011, 45, 41–59. [Google Scholar] [CrossRef]
- Giovannoni, J.J. Genetic Regulation of Fruit Development and Ripening. Plant Cell 2004, 16, S170–S180. [Google Scholar] [CrossRef]
- Sharma, K.; Gupta, S.; Sarma, S.; Rai, M.; Sreelakshmi, Y.; Sharma, R. Mutations in Tomato 1-Aminocyclopropane Carboxylic Acid Synthase2 Uncover Its Role in Development beside Fruit Ripening. Plant J. 2021, 106, 95–112. [Google Scholar] [CrossRef]
- Barry, C.S.; Giovannoni, J.J. Ethylene and Fruit Ripening. J. Plant Growth Regul. 2007, 26, 143–159. [Google Scholar] [CrossRef]
- Innan, H.; Kondrashov, F. The Evolution of Gene Duplications: Classifying and Distinguishing between Models. Nat. Rev. Genet. 2010, 11, 97–108. [Google Scholar] [CrossRef]
- Panchy, N.; Lehti-Shiu, M.; Shiu, S.-H. Evolution of Gene Duplication in Plants. Plant Physiol. 2016, 171, 2294–2316. [Google Scholar] [CrossRef]
- Arsovski, A.A.; Pradinuk, J.; Guo, X.Q.; Wang, S.; Adams, K.L. Evolution of Cis-Regulatory Elements and Regulatory Networks in Duplicated Genes of Arabidopsis. Plant Physiol. 2015, 169, 2982–2991. [Google Scholar] [CrossRef]
- Yokotani, N.; Nakano, R.; Imanishi, S.; Nagata, M.; Inaba, A.; Kubo, Y. Ripening-Associated Ethylene Biosynthesis in Tomato Fruit Is Autocatalytically and Developmentally Regulated. J. Exp. Bot. 2009, 60, 3433–3442. [Google Scholar] [CrossRef]
- Oeller, P.W.; Lu, M.-W.; Taylor, L.P.; Pike, D.A.; Theologis, A.A. Reversible Inhibition of Tomato Fruit Senescence by Antisense RNA. Science 1991, 254, 437–439. [Google Scholar] [CrossRef]
- Hoogstrate, S.W.; van Bussel, L.J.; Cristescu, S.M.; Cator, E.; Mariani, C.; Vriezen, W.H.; Rieu, I. Tomato ACS4 Is Necessary for Timely Start of and Progression through the Climacteric Phase of Fruit Ripening. Front. Plant Sci. 2014, 5, 466. [Google Scholar] [CrossRef]
- Gao, Y.; Zhu, N.; Zhu, X.; Wu, M.; Jiang, C.-Z.; Grierson, D.; Luo, Y.; Shen, W.; Zhong, S.; Fu, D.-Q.; et al. Diversity and Redundancy of the Ripening Regulatory Networks Revealed by the FruitENCODE and the New CRISPR/Cas9 CNR and NOR Mutants. Hortic. Res. 2019, 6, 39. [Google Scholar] [CrossRef]
- Robinson, R. Ripening Inhibitor: A Gene with Multiple Effects on Ripening. Rep Tomato Genet Coop 1968, 18, 36–37. [Google Scholar]
- Ito, Y.; Nishizawa-Yokoi, A.; Endo, M.; Mikami, M.; Shima, Y.; Nakamura, N.; Kotake-Nara, E.; Kawasaki, S.; Toki, S. Re-Evaluation of the Rin Mutation and the Role of RIN in the Induction of Tomato Ripening. Nat. Plants 2017, 3, 866–874. [Google Scholar] [CrossRef]
- Gao, Y.; Wei, W.; Fan, Z.; Zhao, X.; Zhang, Y.; Jing, Y.; Zhu, B.; Zhu, H.; Shan, W.; Chen, J.; et al. Re-Evaluation of the nor Mutation and the Role of the NAC-NOR Transcription Factor in Tomato Fruit Ripening. J. Exp. Bot. 2020, 71, 3560–3574. [Google Scholar] [CrossRef]
- Zhong, S.; Fei, Z.; Chen, Y.-R.; Zheng, Y.; Huang, M.; Vrebalov, J.; McQuinn, R.; Gapper, N.; Liu, B.; Xiang, J.; et al. Single-Base Resolution Methylomes of Tomato Fruit Development Reveal Epigenome Modifications Associated with Ripening. Nat. Biotechnol. 2013, 31, 154–159. [Google Scholar] [CrossRef]
- Gapper, N.E.; McQuinn, R.P.; Giovannoni, J.J. Molecular and Genetic Regulation of Fruit Ripening. Plant Mol. Biol. 2013, 82, 575–591. [Google Scholar] [CrossRef]
- Janson, C.H. Adaptation of Fruit Morphology to Dispersal Agents in a Neotropical Forest. Science 1983, 219, 187–189. [Google Scholar] [CrossRef]
- Liu, M.; Pirrello, J.; Chervin, C.; Roustan, J.-P.; Bouzayen, M. Ethylene Control of Fruit Ripening: Revisiting the Complex Network of Transcriptional Regulation. Plant Physiol. 2015, 169, 2380–2390. [Google Scholar] [CrossRef]
- Hurr, B.M.; Huber, D.J.; Lee, J.H. Differential Responses in Color Changes and Softening OfFlorida 47’Tomato Fruit Treated at Green and Advanced Ripening Stages with the Ethylene Antagonist 1-Methylcyclopropene. HortTechnology 2005, 15, 617–622. [Google Scholar] [CrossRef]
- Hu, K.-D.; Zhang, X.-Y.; Wang, S.-S.; Tang, J.; Yang, F.; Huang, Z.-Q.; Deng, J.-Y.; Liu, S.-Y.; Zhao, S.-J.; Hu, L.-Y.; et al. Hydrogen Sulfide Inhibits Fruit Softening by Regulating Ethylene Synthesis and Signaling Pathway in Tomato (Solanum lycopersicum). HortScience 2019, 54, 1824–1830. [Google Scholar] [CrossRef]
- Peralta, I.E.; Knapp, S.; Spooner, D.M. Nomenclature for Wild and Cultivated Tomatoes. Tomato Genet. Coop. Rep. 2006, 56, 6–12. [Google Scholar]
- Colanero, S.; Tagliani, A.; Perata, P.; Gonzali, S. Alternative Splicing in the Anthocyanin Fruit Gene Encoding an R2R3 MYB Transcription Factor Affects Anthocyanin Biosynthesis in Tomato Fruits. Plant Commun. 2020, 1, 100006. [Google Scholar] [CrossRef] [PubMed]
- Tomato Genome Consortium. The Tomato Genome Sequence Provides Insights into Fleshy Fruit Evolution. Nature 2012, 485, 635–641. [Google Scholar] [CrossRef] [PubMed]
- Cara, B.; Giovannoni, J.J. Molecular Biology of Ethylene during Tomato Fruit Development and Maturation. Plant Sci. 2008, 175, 106–113. [Google Scholar] [CrossRef]
- Tatsuki, M. Ethylene Biosynthesis and Perception in Fruit. J. Jpn. Soc. Hortic. Sci. 2010, 79, 315–326. [Google Scholar] [CrossRef]
- Boter, M.; Ruíz-Rivero, O.; Abdeen, A.; Prat, S. Conserved MYC Transcription Factors Play a Key Role in Jasmonate Signaling Both in Tomato and Arabidopsis. Genes Dev. 2004, 18, 1577–1591. [Google Scholar] [CrossRef]
- Tuteja, N. Abscisic Acid and Abiotic Stress Signaling. Plant Signal. Behav. 2007, 2, 135–138. [Google Scholar] [CrossRef]
- Cao, H.; Chen, J.; Yue, M.; Xu, C.; Jian, W.; Liu, Y.; Song, B.; Gao, Y.; Cheng, Y.; Li, Z. Tomato Transcriptional Repressor MYB70 Directly Regulates Ethylene-Dependent Fruit Ripening. Plant J. 2020, 104, 1568–1581. [Google Scholar] [CrossRef]
- Barry, C.S.; Llop-Tous, M.I.; Grierson, D. The Regulation of 1-Aminocyclopropane-1-Carboxylic Acid Synthase Gene Expression during the Transition from System-1 to System-2 Ethylene Synthesis in Tomato. Plant Physiol. 2000, 123, 979–986. [Google Scholar] [CrossRef]
- Chen, C.; Chen, H.; Zhang, Y.; Thomas, H.R.; Frank, M.H.; He, Y.; Xia, R. TBtools: An Integrative Toolkit Developed for Interactive Analyses of Big Biological Data. Mol. Plant 2020, 13, 1194–1202. [Google Scholar] [CrossRef]
- Livak, K.J.; Schmittgen, T.D. Analysis of Relative Gene Expression Data Using Real-Time Quantitative PCR and the 2−ΔΔCT Method. Methods 2001, 25, 402–408. [Google Scholar] [CrossRef]
- Takayama, M.; Koike, S.; Kusano, M.; Matsukura, C.; Saito, K.; Ariizumi, T.; Ezura, H. Tomato Glutamate Decarboxylase Genes SlGAD2 and SlGAD3 Play Key Roles in Regulating γ-Aminobutyric Acid Levels in Tomato (Solanum Lycopersicum). Plant Cell Physiol. 2015, 56, 1533–1545. [Google Scholar] [CrossRef]
- Shinozaki, Y.; Hao, S.; Kojima, M.; Sakakibara, H.; Ozeki-Iida, Y.; Zheng, Y.; Fei, Z.; Zhong, S.; Giovannoni, J.J.; Rose, J.K.; et al. Ethylene Suppresses Tomato (Solanum Lycopersicum) Fruit Set through Modification of Gibberellin Metabolism. Plant J. 2015, 83, 237–251. [Google Scholar] [CrossRef]
- Mantelin, S.; Bhattarai, K.K.; Jhaveri, T.Z.; Kaloshian, I. Mi-1-Mediated Resistance to Meloidogyne Incognita in Tomato May Not Rely on Ethylene but Hormone Perception through ETR3 Participates in Limiting Nematode Infection in a Susceptible Host. PLoS ONE 2013, 8, e63281. [Google Scholar] [CrossRef]
- Wang, N.; Chen, H.; Nonaka, S.; Sato-Izawa, K.; Kusano, M.; Ezura, H. Ethylene Biosynthesis Controlled by NON-RIPENING: A Regulatory Conflict between Wounding and Ripening. Plant Physiol. Biochem. 2018, 132, 720–726. [Google Scholar] [CrossRef]
- Efremov, G.I.; Slugina, M.A.; Shchennikova, A.V.; Kochieva, E.Z. Differential Regulation of Phytoene Synthase Psy1 during Fruit Carotenogenesis in Cultivated and Wild Tomato Species (Solanum Section Lycopersicon). Plants 2020, 9, 1169. [Google Scholar] [CrossRef]






Publisher’s Note: MDPI stays neutral with regard to jurisdictional claims in published maps and institutional affiliations. |
© 2022 by the authors. Licensee MDPI, Basel, Switzerland. This article is an open access article distributed under the terms and conditions of the Creative Commons Attribution (CC BY) license (https://creativecommons.org/licenses/by/4.0/).
Share and Cite
Chen, H.; Bai, S.; Kusano, M.; Ezura, H.; Wang, N. Increased ACS Enzyme Dosage Causes Initiation of Climacteric Ethylene Production in Tomato. Int. J. Mol. Sci. 2022, 23, 10788. https://doi.org/10.3390/ijms231810788
Chen H, Bai S, Kusano M, Ezura H, Wang N. Increased ACS Enzyme Dosage Causes Initiation of Climacteric Ethylene Production in Tomato. International Journal of Molecular Sciences. 2022; 23(18):10788. https://doi.org/10.3390/ijms231810788
Chicago/Turabian StyleChen, Haoting, Songling Bai, Miyako Kusano, Hiroshi Ezura, and Ning Wang. 2022. "Increased ACS Enzyme Dosage Causes Initiation of Climacteric Ethylene Production in Tomato" International Journal of Molecular Sciences 23, no. 18: 10788. https://doi.org/10.3390/ijms231810788
APA StyleChen, H., Bai, S., Kusano, M., Ezura, H., & Wang, N. (2022). Increased ACS Enzyme Dosage Causes Initiation of Climacteric Ethylene Production in Tomato. International Journal of Molecular Sciences, 23(18), 10788. https://doi.org/10.3390/ijms231810788

